Транстиретиновая амилоидная кардиомиопатия. Особенности гистологической диагностики: дизайн исследования
- Авторы: Гусельникова В.В.1, Федорова Е.А.1, Гудкова А.Я.2, Шавловский М.М.1, Коржевский Д.Э.1,2
-
Учреждения:
- ФГБНУ «Институт экспериментальной медицины»
- ФГБОУ ВО «Первый Санкт-Петербургский государственный медицинский университет им. акад. И.П. Павлова» Минздрава России
- Выпуск: Том 94, № 4 (2022)
- Страницы: 473-478
- Раздел: Оригинальные статьи
- Статья получена: 25.05.2022
- Статья одобрена: 25.05.2022
- Статья опубликована: 26.05.2022
- URL: https://ter-arkhiv.ru/0040-3660/article/view/108193
- DOI: https://doi.org/10.26442/00403660.2022.04.201464
- ID: 108193
Цитировать
Полный текст
Аннотация
Цель. Изучить особенности окраски транстиретинового амилоида разными гистохимическими красителями и оценить эффективность их использования для диагностических целей.
Материалы и методы. Материалом для исследования послужили образцы миокарда левого и правого желудочка лиц обоих полов в возрасте старше 70 лет (n=10) с иммуногистохимически верифицированным транстиретиновым амилоидозом. Препараты всех отобранных случаев были окрашены Конго красным, альциановым синим, толуидиновым синим и метиловым фиолетовым.
Результаты. В случае транстиретинового амилоидоза миокарда окраска Конго красным по чувствительности и специфичности выявления амилоида сопоставима с иммуногистохимической реакцией. Для верификации присутствия амилоида вместо поляризационной микроскопии может быть использован метод флуоресцентной микроскопии, который дает возможность более надежно определить природу конгофильных скоплений. Применение метода конфокальной микроскопии и функции спектрального разделения позволяет усилить контрастность выявления амилоида за счет элиминирования фоновой флуоресценции мышечной ткани и автофлуоресценции липофусцина. Метод окраски альциановым синим по чувствительности и специфичности обнаружения амилоида сопоставим с Конго красным. При этом он менее трудоемок и позволяет избежать ложноположительных и ложноотрицательных результатов, обусловленных особенностями финальной обработки препаратов. Толуидиновый синий и метиловый фиолетовый проявляют метахроматическое окрашивание при связывании с транстиретиновым амилоидом, что может быть обусловлено биохимическими особенностями амилоида этого типа.
Заключение. Наиболее надежным методом гистохимической диагностики транстиретинового амилоидоза является окраска Конго красным с последующим исследованием препаратов методами флуоресцентной или конфокальной микроскопии. В качестве скринингового метода в диагностических целях может быть применена окраска альциановым синим. Метахроматические красители менее эффективны для диагностики транстиретинового амилоидоза миокарда.
Ключевые слова
Полный текст
Список сокращений
ТТ – транстиретин
ТТА – транстиретиновый амилоидоз
SAB – Sodium sulphate-Alcian Blue (метод окраски препаратов сульфатным альциановым синим)
Обоснование
Транстиретиновая амилоидная кардиомиопатия – это заболевание, вызванное отложением в интерстициальной межмышечной соединительной ткани сердца аномально агрегированного белка транстиретина (ТТ). ТТ является белком плазмы крови и в норме выполняет транспортную функцию в отношении гормонов щитовидной железы и витамина А, но при определенных условиях приобретает способность к амилоидогенезу [1, 2]. Известно 2 типа транстиретинового амилоидоза (ТТА): мутантный (наследственный), или ТТАm, и ТТА дикого типа, или ТТАwt. Длительное время считалось, что ТТАwt – это редкое заболевание, однако впоследствии было показано, что среди пациентов старше 80 лет транстиретиновые амилоидные скопления в миокарде обнаруживаются в 25% случаев [3]. В настоящее время общепризнано, что ТТАwt гораздо более распространен, чем предполагалось ранее [4, 5].
Наиболее надежным методом диагностики ТТА в настоящее время остается гистологическое исследование образцов тканей [1, 2, 5–7]. В классической гистологии известен ряд гистохимических красителей, для которых показана способность окрашивать амилоидные фибриллы, однако в диагностической практике для выявления амилоида в тканях принято использовать только краситель Конго красный. При этом отмечено, что данная методика имеет ряд недостатков, которые могут повлиять на результаты исследования [8]. В связи с этим актуальным представляется проведение комплексного анализа, направленного на изучение тинкториальных особенностей транстиретинового амилоида и его способности окрашиваться разными красителями.
Цель исследования – изучить особенности окраски транстиретинового амилоида разными гистохимическими красителями (с использованием нескольких методов визуализации) и оценить эффективность их применения для диагностических целей.
Материалы и методы
Объекты исследования. Материалом для исследования послужили образцы миокарда левого и правого желудочка лиц обоих полов в возрасте старше 70 лет (n=10) с диагностированным амилоидозом. Образцы миокарда были получены в результате аутопсии, зафиксированы в 10% забуференном формалине и залиты в парафин по стандартной методике. Парафиновые блоки извлечены из архива НИИ сердечно-сосудистых заболеваний ФГБОУ ВО «Первый СПбГМУ им. акад. И.П. Павлова».
Иммуногистохимическое исследование. Для верификации типа амилоидоза на срезах всех имеющихся случаев была поставлена иммуногистохимическая реакция на агрегированный ТТ с использованием мышиных моноклональных (клон 2T5C925) антител (разведение 1:600, BioLegend, США).
Гистохимическое исследование. Препараты всех отобранных случаев были окрашены Конго красным, альциановым синим, толуидиновым синим и метиловым фиолетовым. Для окраски Конго красным использовали 0,1% водный раствор красителя (Sigma, США). Окраску препаратов альциановым синим проводили с применением описанного ранее A. Pomerance и соавт. метода SAB (от англ. Sodium sulphate-Alcian Blue – сульфатный альциановый синий) [9]. Для этого применяли альциановый синий 8 GX (Loba Chemie, Австрия). После проведения окрашивания одну часть срезов подкрашивали пикриновой кислотой (насыщенный водный раствор), а другую – 0,5% водным раствором ядерного прочного красного (Sigma Aldrich, США). Для окраски срезов толуидиновым синим использовали методику, предложенную M. Wolman [10]. Для этого применяли 1% раствор толуидинового синего (Acros Organics, США), приготовленный на 50% изопропаноле. Для окраски метиловым фиолетовым использовали 0,1% водный раствор метилового фиолетового 5B (Pr. G. Grubler, Германия).
Анализ и фотографирование полученных препаратов проводили при помощи светового микроскопа Leica DM750, флуоресцентного микроскопа Leica DM2500 и конфокального лазерного микроскопа LSM800 (Zeiss, Германия).
Соответствие принципам этики. На проведение исследования имеется разрешение Локального этического комитета ФГБНУ ИЭМ (№3/18 от 22.11.2018). Одобрение и процедуру проведения протокола получали по принципам Хельсинкской конвенции.
Результаты
Иммуногистохимическое исследование
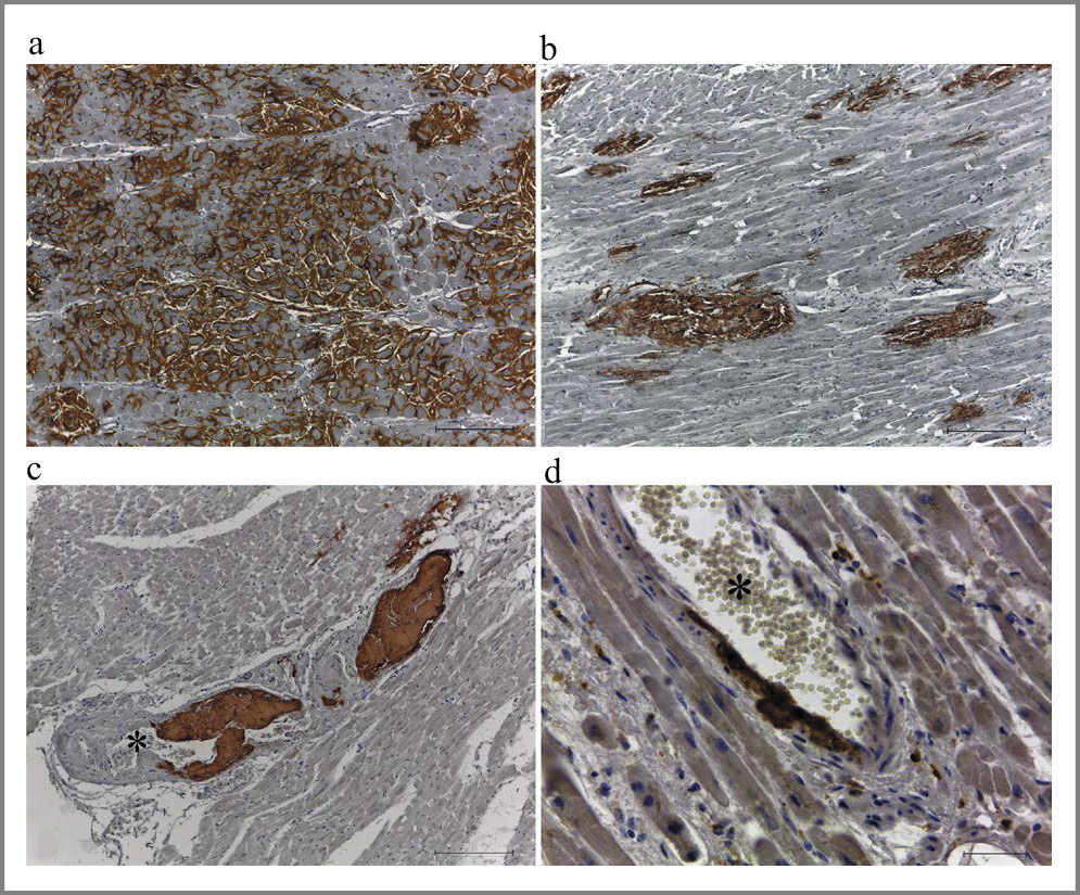
В результате постановки иммуногистохимической реакции на агрегированный ТТ продукт реакции обнаружен во всех исследованных случаях (n=10). Он был интенсивно окрашен в насыщенный коричневый цвет, а неспецифическое фоновое окрашивание полностью отсутствовало (рис. 1). Размер и количество амилоидных скоплений существенно варьировали. В 1/10 исследованных образцов установлено тотальное амилоидное поражение миокарда: амилоидные массы обнаружены во всех полях зрения и занимают большую часть среза (рис. 1, а). Амилоид был локализован внеклеточно, в интерстиции между функциональными волокнами кардиомиоцитов. В участках отложения амилоидных масс часто наблюдалась дегенерация кардиомиоцитов. В 3/10 исследованных случаев обнаружены множественные очаговые скопления амилоида, которые также присутствовали во всех полях зрения, но были разделены участками неповрежденной мышечной ткани (рис. 1, b). Во всех остальных случаях амилоидные отложения встречались в виде немногочисленных очаговых скоплений разного размера, которые при микроскопировании присутствовали не во всех полях зрения. В 50% исследованных случаев амилоидные депозиты присутствовали также в стенках кровеносных сосудов миокарда (рис. 1, c, d).
Рис. 1. ТТА миокарда человека. Иммуногистохимическая реакция на агрегированный ТТ, подкраска ядер гематоксилином Эрлиха: a – тотальное амилоидное поражение миокарда; b – очаговые скопления амилоида в миокарде; c, d – амилоидные скопления в стенках кровеносных сосудов миокарда. *Просвет кровеносного сосуда. Масштабный отрезок равен 100 (a–c) и 50 µm (d). / Fig. 1. Transthyretin amyloidosis of the human myocardium. Immunohistochemical reaction for aggregated transthyretin, staining of nuclei with Ehrlich's hematoxylin: a – total amyloid myocardial damage; b – focal accumulations of amyloid in the myocardium; c, d – amyloid accumulations in the walls of myocardial blood vessels.
Проведенный иммуногистохимический анализ позволил установить природу амилоидных скоплений в исследованных образцах миокарда и сделать заключение о том, что все отобранные для исследования случаи (n=10) действительно содержат амилоидные агрегаты ТТ.
Гистохимическое исследование
При анализе препаратов, окрашенных Конго красным, амилоидные скопления были идентифицированы во всех исследованных образцах. При микроскопии в проходящем свете эти скопления выглядели как волокнистые агрегаты, окрашенные в розовый цвет (рис. 2, а, b). Они присутствовали как в интерстициальном пространстве миокарда (рис. 2, а), так и в стенке кровеносных сосудов сердца (рис. 2, б). Количество, размер и характер распределения амилоидных масс в данном случае соответствовали таковым, описанным при постановке иммуногистохимической реакции на ТТ.
Рис. 2. Амилоидные скопления, окрашенные Конго красным, в миокарде человека. Окраска 0,1% водным раствором Конго красного: а, b – световая микроскопия; c – флуоресцентная микроскопия; d, e – конфокальная лазерная микроскопия (spectral unmixing). Для возбуждения флуоресценции Конго красного использовали диодный лазер c длиной волны 561 нм (красный цвет), для возбуждения автофлуоресценции мышечной ткани – диодный лазер c длиной волны 488 нм. *Просвет кровеносного сосуда, головка стрелки – липофусцин в кардиомиоцитах. Масштабный отрезок равен 50 (а–d) и 100 µm (e). / Fig. 2. Amyloid aggregates stained with Congo red in the human myocardium. Stained with 0.1% aqueous solution of Congo red: a, b – light microscopy; c – fluorescence microscopy; d, e – confocal laser microscopy (spectral unmixing). A diode laser with a wavelength of 561 nm (red color) was used to excite the fluorescence of Congo red, and a diode laser with a wavelength of 488 nm was used to excite the autofluorescence of muscle tissue.
При наблюдении препаратов, окрашенных Конго красным с использованием флуоресцентной микроскопии, отмечено, что конгофильные скопления обладают способностью флуоресцировать в красном диапазоне спектра (рис. 2, c). Флуоресценция амилоида, окрашенного Конго красным, характеризуется высокой интенсивностью, что позволяет легко идентифицировать скопления амилоида даже на малом (×10) увеличении микроскопа. В части проанализированных образцов отмечено присутствие липофусцина – пигмента, который накапливается в кардиомиоцитах при старении и имеет собственную автофлуоресценцию в широком диапазоне видимого спектра (рис. 2, c, головка стрелки).
При изучении препаратов методом конфокальной лазерной микроскопии отмечено, что контрастность выявления амилоида можно увеличить за счет возбуждения автофлуоресценции мышечной ткани сердца и раздельной регистрации автофлуоресценции кардиомиоцитов и специфической флуоресценции конгофильных скоплений (рис. 2, d, e). В этом случае конгофильные скопления (красная флуоресценция) отчетливо выявляются на фоне мышечной ткани, автофлуоресцирующей в зеленой части спектра. Применение функции спектрального разделения (англ. spectral unmixing), доступной в программном обеспечении ZEN 2012 blue edition, позволяет также разделить специфический сигнал (флуоресценцию амилоидных скоплений, окрашенных Конго красным) и автофлуоресценцию липофусцина, которому программа присваивает цвет, отличный от специфического сигнала (рис. 2, d, e, головка стрелки).
При анализе препаратов, окрашенных альциановым синим (по методу SAB) с подкраской пикриновой кислотой, установлено, что амилоидные скопления в этом случае имеют бирюзовый цвет, в то время как мышечная ткань сердца окрашена в желтый (рис. 3, а). Более контрастное окрашивание амилоида можно получить, используя для подкраски препаратов краситель ядерный прочный красный. В этом случае скопления амилоида приобретают насыщенный синий цвет на фоне красновато-розового окрашивания мышечной ткани сердца (рис. 3, b). Высокая контрастность окраски в данном случае позволяет выявлять даже мелкие скопления амилоида на малом (×10) увеличении микроскопа.
Рис. 3. Амилоидные скопления в миокарде человека, окрашенные разными гистохимическими красителями: а, b – окраска альциановым синим с подкраской пикриновой кислотой (a) или ядерным прочным красным (b). Амилоид окрашен в бирюзовый (а) или синий (b) цвет; c, d – окраска толуидиновым синим, амилоид окрашен в светло-фиолетовый цвет; e, f – окраска метиловым фиолетовым, амилоид окрашен в насыщенный фиолетовый цвет. Стрелка указывает на тучную клетку с признаками дегрануляции. *Просвет кровеносного сосуда. Масштабный отрезок равен 50 µm. / Fig. 3. Amyloid accumulations in the human myocardium, stained with different histochemical stains: a, b – Alcian blue stained with picric acid (a) or nuclear strong red (b); amyloid stained turquoise (a) or blue (b); c, d – stained with toluidine blue, amyloid stained light purple; e, f – staining with methyl violet, amyloid is stained in saturated violet. The arrow points to the mast cell with signs of degranulation.
При использовании толуидинового синего транстиретиновые отложения амилоида в миокарде окрашиваются метахроматически (рис. 3, c, d). Амилоидные депозиты, локализованные в интерстиции, характеризуются светло- фиолетовой окраской (рис. 3, c). Цвет скоплений амилоида в стенках кровеносных сосудов варьирует от светло- до темно-фиолетового (рис. 3, d). Ядра клеток окрашиваются толуидиновым синим ортохроматически (в синий цвет). Фоновое окрашивание мышечной ткани полностью отсутствует. Отмечено, что использованная методика окраски толуидиновым синим также позволяет обнаруживать тучные клетки миокарда, гранулы которых приобретают в данном случае метахроматическое окрашивание (рис. 3, c, стрелка).
На препаратах, окрашенных метиловым фиолетовым, амилоидные скопления демонстрируют метахроматическое окрашивание в насыщенный фиолетовый цвет (рис. 3, e, f). Мышечная ткань сердца при этом приобретает насыщенное синее окрашивание, что сильно снижает контрастность выявления интерстициальных скоплений амилоида (рис. 3, e) и затрудняет идентификацию небольших амилоидных депозитов в миокарде. Амилоидные скопления в стенках кровеносных сосудов, окрашенные в фиолетовый цвет, хорошо выявляются за счет полного отсутствия окрашивания самой сосудистой стенки (рис. 3, f).
Обсуждение
В последнее десятилетие стало очевидно, что транстиретиновая амилоидная кардиомиопатия является недооцененной причиной заболеваемости и смертности людей по всему миру [2]. Наиболее надежным способом диагностики этого заболевания в настоящее время считают эндокардиальную биопсию с последующим гистологическим исследованием образцов тканей. «Золотым стандартом» обнаружения амилоида в данном случае служит окраска красителем Конго красным [1, 2]. В последнее время высказывается мнение о том, что Конго красный обладает низкой специфичностью в отношении связывания амилоида, а его широкое использование в клинико-диагностической практике началось с неверного цитирования одной научной статьи, опубликованной в 1927 г. [8]. Полученные нами при использовании Конго красного результаты свидетельствуют о том, что в отношении ТТА сердца этот краситель характеризуется высокой чувствительностью и специфичностью.
Для подтверждения природы обнаруженных конгофильных скоплений при применении Конго красного традиционно пользуются методом поляризационной микроскопии [11]. Однако современные исследования показывают, что цвет свечения конгофильных скоплений в поляризованном свете существенно варьирует, и это значительно усложняет интерпретацию полученных результатов [12]. Основываясь на данных собственных исследований, мы полагаем, что более надежным способом верификации амилоида в случае использования Конго красного является метод флуоресцентной микроскопии. Нами продемонстрировано, что при применении метода флуоресцентной или конфокальной микроскопии конгофильные скопления характеризуются высокой интенсивностью флуоресценции, что позволяет легко идентифицировать даже небольшие скопления амилоида в миокарде. Аналогичные достоинства флуоресцентного метода при окраске Конго красным были отмечены A. Cohen и соавт. [13].
Помимо Конго красного известно еще несколько гистохимических красителей, для которых показана способность окрашивать амилоид. Одним из них является альциановый синий, который в настоящее время в диагностических целях не применяют. A. Pomerance и соавт. впервые использовали метод SAB для идентификации амилоида в миокарде человека и показали, что он более чувствителен по сравнению с другими проанализированными методами (Конго красным, крезиловым фиолетовым, тиофлавином Т) [9]. Полученные нами данные свидетельствуют о том, что в случае ТТА миокарда метод SAB по чувствительности и специфичности окраски сопоставим с окраской Конго красным. После окраски по методу SAB мы рекомендуем подкрашивать препараты не пикриновой кислотой (как это сделано в оригинальной статье A. Pomerance и соавт. [9]), а красителем ядерным прочным красным. Это позволяет получить значительно более контрастное окрашивание амилоида и дает возможность легко обнаруживать мелкие амилоидные скопления даже на малом увеличении микроскопа.
Использование для выявления амилоида метахроматических красителей, таких как толуидиновый синий и метиловый фиолетовый, относится к концу прошлого века. Согласно результатам исследований тех лет они менее эффективны в отношении выявления амилоида по сравнению с окраской Конго красным [14]. Проведенные нами исследования свидетельствуют о том, что в случае применения этих методик идентификация амилоида затруднена вследствие низкой интенсивности окраски амилоидных скоплений (при использовании толуидинового синего) или высокой интенсивности фонового окрашивания мышечной ткани сердца (при применении метилового фиолетового). Интересно, что, согласно данным литературы, толуидиновый синий в большинстве случаев дает ортохроматическое (синее) окрашивание амилоида. Лишь в редких ситуациях при использовании этого красителя исследователи наблюдали метахроматическое окрашивание амилоидных депозитов [14]. Нами показано, что в случае ТТА толуидиновый синий всегда дает метахроматическое (фиолетовое) окрашивание амилоидных фибрилл. Вероятно, такое метахроматическое окрашивание обусловлено сульфатированием гликозаминогликанов, связанных с амилоидными фибриллами, что характерно не для всех разновидностей амилоидозов [14, 15].
Заключение
Транстиретиновый амилоид обладает способностью связывать разные гистохимические красители. Среди них для диагностических целей наиболее надежным является использование Конго красного с последующим исследованием препаратов методом флуоресцентной или конфокальной микроскопии. В качестве скринингового метода в диагностических лабораториях может быть применен также метод окрашивания SAB. Метахроматические красители, такие как толуидиновый синий и метиловый фиолетовый, менее эффективны для диагностики, однако могут быть использованы в научно-исследовательских целях.
Раскрытие интересов. Авторы декларируют отсутствие явных и потенциальных конфликтов интересов, связанных с публикацией настоящей статьи.
Disclosure of interest. The authors declare that they have no competing interests.
Вклад авторов. Авторы декларируют соответствие своего авторства международным критериям ICMJE. Все авторы в равной степени участвовали в подготовке публикации: разработка концепции статьи, получение и анализ фактических данных, написание и редактирование текста статьи, проверка и утверждение текста статьи.
Authors’ contribution. The authors declare the compliance of their authorship according to the international ICMJE criteria. All authors made a substantial contribution to the conception of the work, acquisition, analysis, interpretation of data for the work, drafting and revising the work, final approval of the version to be published and agree to be accountable for all aspects of the work.
Источник финансирования. В работе использовано оборудование Центра коллективного пользования «Микробиом человека» при ФГБНУ ИЭМ. Работа поддержана грантом Президента РФ для государственной поддержки молодых российских ученых-кандидатов наук (МК-560.2020.7). Исследование выполнено в рамках Государственного задания Министерства науки и высшего образования России по темам №122020300199-5 и №122020300191-9, а также Государственного задания Минздрава России по теме: «Молекулярно-генетические предикторы и морфофункциональные фенотипы сердечной недостаточности с сохраненной фракцией выброса левого желудочка при кардиомиопатиях различного генеза» (Рег. №АААА-А18-118070690073-2).
Funding source. The work used the equipment of the Center for Collective Use "Human Microbiome" at the Institute of Experimental Medicine, Saint Petersburg, Russia. The work was supported by a grant from the President of the Russian Federation for state support of young Russian scientists (MK-560.2020.7). The study was carried out within the framework of the State Assignment of the Ministry of Science and Higher Education on topics No. 122020300199-5 and No. 122020300191-9, as well as the State Assignment of the Ministry of Health on the topic: “Molecular genetic predictors and morphofunctional phenotypes of heart failure with preserved left ventricular ejection fraction in cardiomyopathies of various origins” (Reg. No. АААА-А18-118070690073-2).
Соответствие принципам этики. Протокол исследования был одобрен локальным этическим комитетом ФГБНУ ИЭМ (№3/18 от 22.11.2018). Одобрение и процедуру проведения протокола получали по принципам Хельсинкской конвенции.
Ethics approval. The study was approved by the Local Ethics Committee of Institute of Experimental Medicine, Saint Petersburg, Russia (No. 3/18 dated 11/22/2018). The approval and procedure for the protocol were obtained in accordance with the principles of the Helsinki Convention.
Об авторах
Валерия Владимировна Гусельникова
ФГБНУ «Институт экспериментальной медицины»
Автор, ответственный за переписку.
Email: Guselnicova.Valeriia@yandex.ru
ORCID iD: 0000-0002-9499-8275
канд. биол. наук, ст. науч. сотр. лаб. функциональной морфологии центральной и периферической нервной системы отд. общей и частной морфологии
Россия, Санкт-ПетербургЕлена Анатольевна Федорова
ФГБНУ «Институт экспериментальной медицины»
Email: Guselnicova.Valeriia@yandex.ru
ORCID iD: 0000-0002-0190-885X
канд. биол. наук, науч. сотр. лаб. функциональной морфологии центральной и периферической нервной системы отд. общей и частной морфологии
Россия, Санкт-ПетербургАлександра Яковлевна Гудкова
ФГБОУ ВО «Первый Санкт-Петербургский государственный медицинский университет им. акад. И.П. Павлова» Минздрава России
Email: Guselnicova.Valeriia@yandex.ru
ORCID iD: 0000-0003-0156-8821
д-р мед. наук, проф. каф. факультетской терапии, зав. лаб. кардиомиопатий НИИ сердечно-сосудистых заболеваний Научно-клинического исследовательского центра
Россия, Санкт-ПетербургМихаил Михайлович Шавловский
ФГБНУ «Институт экспериментальной медицины»
Email: Guselnicova.Valeriia@yandex.ru
ORCID iD: 0000-0002-2119-476X
д-р мед. наук, проф., зав. лаб. молекулярной генетики человека отд. молекулярной генетики
Россия, Санкт-ПетербургДмитрий Эдуардович Коржевский
ФГБНУ «Институт экспериментальной медицины»; ФГБОУ ВО «Первый Санкт-Петербургский государственный медицинский университет им. акад. И.П. Павлова» Минздрава России
Email: Guselnicova.Valeriia@yandex.ru
ORCID iD: 0000-0002-2456-8165
д-р. мед. наук, проф., проф. РАН, зав. лаб. функциональной морфологии центральной и периферической нервной системы отд. общей и частной морфологии, вед. науч. сотр. лаб. кардиомиопатий НИИ сердечно-сосудистых заболеваний
Россия, Санкт-Петербург; Санкт-ПетербургСписок литературы
- Narotsky DL, Castano A, Weinsaft JW, et al. Wild-type Transthyretin Cardiac Amyloidosis: Novel Insights from Advanced Imaging. Can J Cardiol. 2016;32(9):1-10. doi: 10.1016/j.cjca.2016.05.008
- Halatchev IG, Zheng J, Ou J. Wild-type transthyretin cardiac amyloidosis (ATTRwt-CA), previously known as senile cardiac amyloidosis: clinical presentation, diagnosis, management and emerging therapies. J Thorac Dis. 2018;10(3):2034-45. doi: 10.21037/jtd.2018.03.134
- Cornwell GG 3rd, Murdoch WL, Kyle RA, et al. Frequency and distribution of senile cardiovascular amyloid: a clinicopathologic correlation. Am J Med. 1983;75:618-62. doi: 10.1016/0002-9343(83)90443-6
- Banypersad SM, Moon JC, Whelan C, et al. Updates in cardiac amyloidosis: a review. J Am Heart Assoc. 2012;1(2):e000364. doi: 10.1161/JAHA.111.000364
- Полякова А.А., Семернин Е.Н., Ситникова М.Ю., и др. Транстиретиновый амилоидоз в когорте пациентов с хронической сердечной недостаточностью старческого возраста и долгожителей. Кардиология. 2018;58(S2):12-8 [Poliakova AA, Semernin EN, Sitnikova MYu, et al. Transthyretin amyloidosis in a cohort of old and very old patients with chronic heart failure. Kardiologiia. 2018;58(S2):12-8 (in Russian)]. doi: 10.18087/cardio.2390
- Liu PP, Smyth D. Wild-Type Transthyretin Amyloid Cardiomyopathy. A Missed Cause of Heart Failure With Preserved Ejection Fraction With Evolving Treatment Implications. Circulation. 2016;133(3):245-7. doi: 10.1161/CIRCULATIONAHA.115.020351
- Рамеев В.В., Козловская Л.В., Жданова Е.А., Гудкова К.В. Кардиоренальные взаимосвязи при системном амилоидозе. Терапевтический архив. 2013;85(6):51-9 [Rameev VV, Kozlovskaia LV, Zhdanova EA, Gudkova KV. Cardiorenal links in systemic amyloidosis. Terapevticheskii Arkhiv (Ter. Arkh.). 2013;85(6):51-9 (in Russian)].
- Yakupova EI, Bobyleva LG, Vikhlyantsev IM, Bobylev AG. Congo Red and amyloids: history and relationship. Biosci Rep. 2019;39(1):BSR20181415. doi: 10.1042/BSR20181415
- Pomerance A, Slavin G, McWatt J. Experience with the sodium sulphate-Alcian Blue stain for amyloid in cardiac pathology. J Clin Pathol. 1976;29(1):22-6. doi: 10.1136/jcp.29.1.22
- Wolman M. Amyloid, its nature and molecular structure. Comparison of a new toluidine blue polarized light method with traditional procedures. Lab Invest. 1971;25(2):104-10.
- Sipe JD, Benson MD, Buxbaum JN, et al. Amyloid fibril proteins and amyloidosis: chemical identification and clinical classification International Society of Amyloidosis 2016 Nomenclature Guidelines. Amyloid. 2016;23(4):209-13. doi: 10.1080/13506129.2016.1257986
- Howie AJ, Owen-Casey MP. 'Apple-green birefringence' of amyloid stained by Congo red. Kidney Int. 2012;82(1):114;author reply 114. doi: 10.1038/ki.2012.89
- Cohen AS, Calkins E, Levene CI. Studies on experimental amyloidosis. Analysis of histology and staining reactions of caseininduced amyloidosis in the rabbit. Am J Pathol. 1959;35:971-89.
- Elghetany MT, Saleem A. Methods for staining amyloid in tissues: a review. Stain Technol. 1988;63(4):201-12. doi: 10.3109/10520298809107185
- Sridharan G, Shankar AA. Toluidine blue: A review of its chemistry and clinical utility. J Oral Maxillofac Pathol. 2012;16(2):251-5. doi: 10.4103/0973-029X.99081
Дополнительные файлы






