Non-infectious diseases of the aorta and large arteries
- Authors: Beketova T.V.1,2,3
-
Affiliations:
- Nasonova Research Institute of Rheumatology
- Central Clinical Hospital with Polyclinic
- Moscow Polytechnic University
- Issue: Vol 94, No 5 (2022)
- Pages: 695-703
- Section: Lecture
- Submitted: 17.06.2022
- Accepted: 17.06.2022
- Published: 17.06.2022
- URL: https://ter-arkhiv.ru/0040-3660/article/view/108803
- DOI: https://doi.org/10.26442/00403660.2022.05.201500
- ID: 108803
Cite item
Full Text
Abstract
This article describes the various forms of inflammatory lesions of the aorta and large arteries, including chronic periaortitis, as well as the diagnostic methods are considered. Large vessel vasculitis represent the most common entities, however, there is also an association with other rheumatological or inflammatory diseases, drug-induced or paraneoplastic entities. Instrumental imaging modalities play an important role in the diagnosis.
Full Text
Список сокращений
АНЦА – антинейтрофильные цитоплазматические антитела
АТ – артериит Такаясу
ГК – глюкокортикоиды
ГКА – гигантоклеточный артериит
КТА – компьютерная томографическая ангиография
МРТ – магнитно-резонансная томография
ПЭТ – позитронная эмиссионная томография
РФП – радиофармпрепарат
СВ – системный васкулит
СКВ – системная красная волчанка
СРБ – С-реактивный белок
СОЭ – скорость оседания эритроцитов
УЗДС – ультразвуковое дуплексное сканирование
Ig – иммуноглобулин
Поражение аорты и крупных артерий может быть следствием хронического неинфекционного воспаления сосудистой стенки. Развитие аортита и аортоартериита характерно для широкого спектра заболеваний из группы системных васкулитов (СВ), может осложнять течение иммуновоспалительных ревматических заболеваний, воспалительных заболеваний суставов и позвоночника, различных других хронических воспалительных заболеваний или являться следствием медикаментозной или лучевой терапии, проявлением паранеопластической реакции. Термин «хронический периаортит» применяют для обозначения воспалительного процесса, распространяющегося со стенки аорты, обычно инфраренальной части, и общих подвздошных артерий в ретроперитонеальные мягкие ткани [1, 2]. Наиболее известной причиной хронического периаортита является идиопатический ретроперитонеальный фиброз (болезнь Ормонда, впервые описанная в 1948 г.), иммуноглобулин (Ig)G4-связанное заболевание (IgG4-СЗ). По данным литературы, 30–60% случаев болезни Ормонда можно отнести к IgG4-СЗ [3]. Распространенность аортоартериита и периаортита при отдельных нозологических формах достаточно вариабельна. Основные заболевания, протекающие с аортитом и/или периаортитом, приведены в табл. 1.
Таблица 1. Основные неинфекционные хронические заболевания, при которых возможно развитие аортита и периаортита
Table 1. The main non-communicable chronic diseases in which the development of aortitis and periaortitis is possible
Группы заболеваний | Аортит | Периаортит |
Первичные СВ | • АТ • ГКА • Синдром Когана • Болезнь Бехчета • АНЦА-ассоциированный СВ (гранулематоз с полиангиитом) | АНЦА-ассоциированный СВ (гранулематоз с полиангиитом) |
Вторичный СВ при системных ревматических заболеваниях | • СКВ • Синдром Шегрена • Рецидивирующий полихондрит | СКВ |
Воспалительные заболевания суставов и позвоночника | • Ревматоидный артрит • Спондилоартриты (болезнь Бехтерева, синдром Рейтера) | Спондилоартриты |
Другие хронические воспалительные заболевания | • Хронические воспалительные заболевания кишечника (болезнь Крона, неспецифический язвенный колит) • Саркоидоз • IgG4-СЗ, идиопатический ретроперитонеальный фиброз (болезнь Ормонда) • Гистиоцитоз (синдром Эрдгейма–Честера) | • Саркоидоз • IgG4-СЗ, идиопатический ретроперитонеальный фиброз (болезнь Ормонда) • Гистиоцитоз (синдром Эрдгейма– Честера) |
Ятрогенное поражение | • Лекарства (гранулоцитарный колониестимулирующий фактор, химиотерапия при злокачественных новообразованиях) • Лучевая терапия | • Лекарства (химиотерапия при злокачественных новообразованиях • Лучевая терапия • Хирургические вмешательства |
Другие | • Злокачественные новообразования • Другие | • Злокачественные новообразования, лимфома, карциноид, герминогенные опухоли • Травма |
Распространенность неинфекционного воспалительного поражения аорты и крупных артерий изучена недостаточно. Вероятно, значительное число случаев остается невыявленным. По данным ряда исследователей [4–6], среди оперированных пациентов с патологией аорты частота хронических иммуновоспалительных заболеваний варьирует от 1,8 до 8,8%. При планомерном обследовании пациентов с гигантоклеточным артериитом (ГКА) с использованием различных методов визуализации поражение аорты диагностируют в 40–80% случаев [7–9].
Выделяют четыре морфологических варианта аортита: наиболее распространенный – неинфекционный гранулематозный (артериит Такаясу – АТ, ГКА, гранулематоз с полиангиитом, ревматоидный артрит, саркоидоз), лимфоплазмоцитарный (IgG4-СЗ, системная красная волчанка – СКВ, анкилозирующий спондилит, сифилис), смешанный (болезнь Когана, рецидивирующий полихондрит, болезнь Бехчета) и инфекционный (при инфекциях, вызванных синегнойной палочкой, сальмонеллой, грамположительными кокками, микобактериальной инфекцией, сифилисом, бруцеллезом) [10]. Последний в дальнейшем не будет рассматриваться.
В соответствии с международной классификацией СВ, принятой в 2012 г. в Chapel Hill (США) [11], первичные СВ подразделяют в зависимости от калибра пораженных сосудов на СВ крупных, средних, мелких сосудов и вариабельные СВ (табл. 2).
Таблица 2. Современная классификация СВ [11] и ее соответствие Международной классификации болезней 10-го пересмотра (11-го пересмотра)
Table 2. Modern classification of systemic vasculitis [11] and its compliance with the International Classification of Diseases, 10th revision (11th revision)
Первичные СВ |
Васкулит с поражением сосудов крупного калибра: • АТ (устаревшее: неспецифический аортоартериит): М31.4 (4А44.1) • ГКА (болезнь Хортона) и ревматическая полимиалгия: М31.5 (4А44.2) |
Васкулит с поражением сосудов среднего калибра: • узелковый полиартериит: М30.0 (4А44.4) • болезнь Кавасаки: М30.3 (4А44.5) |
Васкулиты с поражением сосудов мелкого калибра: АНЦА-ассоциированные васкулиты: отсутствие термина в МКБ-10 (4А44А) • микроскопический полиангиит: М31.7 (4А44А0) • гранулематоз с полиангиитом (Вегенера): М31.3 (4А44А1) • эозинофильный гранулематоз с полиангиитом (Черджа–Строс): М30.1 (4А44А2) Иммунокомплексные васкулиты: (4A44.9) • заболевания, ассоциированные с антителами к базальной мембране клубочков (синдром Гудпасчера): М31.0 (МК55) • криоглобулинемический васкулит: D89.1 (4А44.90) • IgA-ассоциированный васкулит (устаревшее: геморрагический васкулит, пурпура Шенлейна–Геноха): D69.0 (4А44.92) • гипокомплементемический уртикарный васкулит (анти-C1q-васкулит): М31.8 (4А44.91) |
Вариабельный васкулит: • болезнь Бехчета: М35.2 (4А62) • синдром Когана: H16.3 или H90.3, отсутствие термина в МКБ-10 (отсутствие термина в МКБ-11) |
Васкулит единственного органа: отсутствие термина в МКБ-10 (4A44.3) • изолированный аортит • кожный лейкоцитокластический ангиит: L95.8 (4А44.В0) • кожный артериит: L95.9 (отсутствие термина в МКБ-11) • первичный ангиит центральной нервной системы: отсутствие термина в МКБ-10 (4А44.7) • другие |
Вторичные СВ |
Вторичный васкулит при хронических воспалительных заболеваниях: • ревматоидный васкулит: М05.2 (FA20.03) • саркоидный васкулит: D86.8 • аортит при IgG4-СЗ: отсутствие термина в МКБ-10 (4А43.0) • васкулит при СКВ: М32 (I79.1) • васкулит при синдроме Шегрена • аортит при анкилозирующем спондилоартрите: М45 (I79.1) • аортит при хронических воспалительных заболеваниях кишечника: D70, D71 (I79.1) • аортит при рецидивирующем полихондрите: М94.1 (I79.1) • другие (аортит при заболеваниях, классифицированных в других рубриках МКБ-11: I79.1) |
Вторичный васкулит с определенными этиологическими факторами: • криоглобулинемический васкулит, ассоциированный с вирусом гепатита С: D89.1 • васкулит, ассоциированный с вирусом гепатита В: М30 • аортит, ассоциированный с сифилисом: I79.1 (А52.02) • аортит, ассоциированный с туберкулезом • аортит, ассоциированный с бруцеллезом • лекарственный васкулит • паранеопластический васкулит • другие |
Примечание. МКБ-10 – Международная классификация болезней 10-го пересмотра, МКБ-11 – Международная классификация болезней 11-го пересмотра.
Кроме того, выделяют васкулит одного органа (к чему можно относить изолированный аортит) и вторичные СВ, связанные с различными хроническими воспалительными заболеваниями или определенным этиологическим фактором (лекарства, инфекции). Опубликованы сообщения о редких случаях аортита, вызванных химиотерапией при злокачественных новообразованиях, например применением гранулоцитарного колониестимулирующего фактора [11–14], а также лучевой терапией [15, 16]. Описаны единичные наблюдения воспаления аорты при злокачественных новообразованиях [4, 17]. Причиной аортита могут становиться такие инфекционные заболевания, как сифилис, туберкулез, бруцеллез.
Воспалительное поражение аорты является типичным проявлением СВ крупных сосудов, таких как АТ [18–20] и ГКА [7–9, 20–22]. Кроме того, вторичный васкулит с аортитом с высокой частотой (>10%) может встречаться при анкилозирующем спондилоартрите [23, 24] и псориатическом спондилоартрите [25], вариабельном васкулите при синдроме Когана [26–28], рецидивирующем полихондрите [29–33], болезни Кавасаки [34]. Реже аортит описывают при болезни Бехчета [35], СКВ [36–39], хронических воспалительных заболеваниях кишечника (болезнь Крона, неспецифический язвенный колит) [25]. Единичные случаи аортита описаны при СВ, ассоциированных с антинейтрофильными цитоплазматическими антителами – АНЦА (гранулематоз с полиангиитом), синдроме Шегрена [25], ревматоидном артрите [40–42] и ювенильном артрите, а также саркоидозе [25, 43].
Особым вариантом патологии аорты является хронический периаортит. Недавно предложенная концепция IgG4-СЗ способствовала пересмотру классификации и широкому признанию варианта ретроперитонеального фиброза в рамках IgG4-СЗ [44, 45]. Хронический периаортит описан при различных иммуновоспалительных заболеваниях, включая тиреоидит Хашимото, АНЦА-ассоциированные СВ (гранулематоз с полиангиитом [46, 47]), СКВ [4], первичный билиарный цирроз [48–50], синдром Шегрена [51]. Периваскулярная инфильтрация аорты и крупных сосудов может быть проявлением болезни Эрдгейма–Честера, редкого заболевания, характеризующегося инфильтрацией CD68+, CD1a нелангергансовыми гистиоцитами и занимающего промежуточное положение между злокачественным и иммунным расстройствами [52]. Возможно развитие периаортита вследствие химиотерапии злокачественных новообразований [53, 54], в рамках паранеопластической реакции [55].
Хроническое воспалительное поражение аорты и периаортит могут осложняться формированием аневризмы, диссекцией и разрывом аорты. Отмечено, что в отличие от АТ и других заболеваний при ГКА поражение аорты чаще сопровождается формированием аневризмы. Так, по данным F. Rojo-Leyva и соавт. [4], среди 52 пациентов с воспалительным поражением аорты в 11 случаях выявлена аневризма, включая 4 пациентов с ГКА и единичные случаи АТ, СКВ, синдрома Шегрена, гранулематоза с полиангиитом Вегенера, хронического воспалительного заболевания кишечника. В соответствии с результатами ретроспективного исследования [56] у пациентов с ГКА в сравнении с общей популяцией в 17 раз повышен риск развития аневризмы грудной аорты и в 2,4 раза – аневризмы брюшной аорты. Через 5 лет после установления диагноза ГКА возрастает частота выявления аневризмы или диссекции аорты [57].
Воспалительное поражение восходящей аорты может приводить к недостаточности аортального клапана. Для периаортита с ретроперитонеальным фиброзом характерна обструкция мочеточника. При периаортите наблюдают отеки нижних конечностей, запоры.
Поражение аорты у пациентов с первичным СВ оказывает влияние на прогноз, поскольку ассоциируется с более высокой сердечно-сосудистой и общей смертностью [6]. Так, поражение аорты у пациентов с ГКА сопровождается увеличением смертности в 3,4 раза [57]. По данным метаанализа [58], у пациентов с АТ частота таких потенциально фатальных осложнений, как инсульт и острый инфаркт миокарда, составляет 8,9 и 3,4% соответственно.
Диагностика и оценка активности воспалительного поражения аорты и крупных сосудов должна основываться на синтезе клинических данных, результатов методов визуализации и исследования отдельных лабораторных параметров. Ключевое значение для диагностики имеет качественный клинический анализ анамнеза и симптомов основного заболевания наряду с инструментальными методами визуализации.
Диагностическая биопсия, как правило, сложна для выполнения и требуется в небольшом числе случаев, при этом варианты гистологических изменений могут широко варьировать от лимфоплазмоцитарной инфильтрации до гранулематозного воспаления.
Лабораторная диагностика аортита прежде всего основана на выявлении лабораторной воспалительной активности с определением уровня С-реактивного белка (СРБ) и скорости оседания эритроцитов (СОЭ) [59], при этом СОЭ включена в классификационные критерии ГКА [60]. Вместе с тем следует учитывать, что эти биомаркеры неспецифичны и не во всех случаях коррелируют с активностью основного заболевания, окончательно не ясна ассоциация уровня СОЭ и СРБ с выраженностью накопления радиофармпрепарата (РФП) по данным позитронной эмиссионной томографии (ПЭТ) [61].
Хорошо известно, что у пациентов с несомненной клинической и лабораторной ремиссией АТ при гистологическом исследовании в стенке артерий могут обнаруживаться признаки активного васкулита [19, 62]. Нормальные значения СОЭ или СРБ не исключают присутствия очага воспаления в стенке аорты, особенно у пациентов, получающих глюкокортикоиды (ГК), иммуносупрессанты или генно-инженерные биологические препараты. Так, T. Xenitidis и соавт. [63] на фоне лечения ингибитором интерлей- кина-6 тоцилизумабом описали прогрессирование поражения стенки аорты при АТ, несмотря на стойкую нормализацию уровня СРБ. По данным D. Spira и соавт. [64], несмотря на нормализацию уровней СРБ, СОЭ и исчезновение клинических признаков активности АТ на фоне лечения тоцилизумабом, в одном из двух случаев результаты магнитно-резонансной томографии (МРТ) свидетельствовали о персистенции воспаления в сосудах.
Среди новых сывороточных биомаркеров определенные перспективы связывают с растворимыми фрагментами эластина, тенасцином С, матриксными металлопротеиназами, интерлейкином-6. В качестве показателя воспалительной активности при сердечно-сосудистых заболеваниях активно обсуждают значение пентраксина-3, продуцируемого клетками сосудистого эндотелия, гладкомышечными клетками, макрофагами, нейтрофилами. Несмотря на то, что пентраксин-3 не относится к специфичным маркерам поражения сосудистой стенки, его меньшая зависимость от терапии ГК в сравнении с рутинными биомаркерами повышает ценность исследования для уточнения активности СВ крупных сосудов у пациентов с нормальным уровнем СРБ на фоне проводимого лечения [65].
В зависимости от клинической картины иммунологическое обследование должно включать определение антинуклеарных антител, АНЦА, антител к сахаромицетам, ревматоидного фактора, IgG4, тем не менее следует помнить о существующих ограничениях их чувствительности и специфичности. Генетическое обследование с типированием HLA представляет определенную ценность для диагностики болезни Бехчета (характерно наличие HLA B51), спондилоартритов и хронических воспалительных заболеваний кишечника (HLA B27).
В настоящее время не существует универсального метода визуализации, который мог бы предоставить исчерпывающую информацию о состоянии крупных сосудов, отдельные методы имеют определенное и взаимодополняющее значение (табл. 3). Стандартизация инструментальных методов для оценки степени активности и диагностика рецидива относятся к ключевым нерешенным проблемам ведения пациентов с воспалительным поражением аорты и крупных артерий.
Таблица 3. Сравнительная характеристика основных инструментальных методов, применяемых для визуализации поражения крупных сосудов
Table 3. Comparative characteristics of the main instrumental methods used to visualize lesions of large vessels
Метод | Характерные для поражения крупных сосудов результаты | Оценка структурных изменений | Оценка функциональных изменений | Введение контрастного вещества | Недостатки метода |
УЗДС | При ГКА – гипоэхогенный, несжимаемый «ореол», факультативные изменения скоростных и потоковых показателей. При АТ – резкое утолщение стенок сонных артерий, расплывчатость контуров | Неинвазивный способ определения геометрии сосуда, протяженности процесса, осложнений. Удобно для динамического наблюдения | С высоким разрешением позволяет определить функциональные изменения кровотока. Удобно для динамического наблюдения | Не требует | Анатомические ограничения (невозможность визуализации грудной аорты). Малая информативность в отношении наличия воспалительной активности. Зависимость результата от квалификации оператора |
Рентгеноконтрастная ангиография | Сосудистый стеноз, окклюзия, эктазия. Сохраняет значение как «золотой стандарт» визуализации сосудистого повреждения. Высокая чувствительность при изменениях в мелких сосудах | Позволяет определить геометрию сосуда, длину протяженности процесса, осложнения. Применяют при эндоваскулярном вмешательстве (стентирование) | Не позволяет определить функциональные изменения кровотока. | Требует введения контраста | Относительно низкая чувствительность. Не позволяет оценить состояние сосудистой стенки (наличие воспалительной активности) и окружающих тканей, может не выявлять небольшие неокклюзивные поражения. Ограниченная доступность, высокая стоимость. Зависимость результата от квалификации оператора. Значительная лучевая нагрузка. Потенциальный риск аллергических реакций, эмболизации, гематомы, диссекции артерий |
КТА | Утолщение стенки, сосудистые стенозы | С высоким разрешением и широким диапазоном сканирования позволяет определить структурные изменения в сосудах (просвет, изменения стенки), оценить протяженность процесса, осложнения | Не позволяет определить функциональные изменения кровотока | Использование йодсодержащего контраста | Не дает информации об изменениях в сосудистой стенке (наличие воспалительной активности). Потенциальная нефротоксичность контраста. Значительная лучевая нагрузка |
МРА | Утолщение и уплотнение сосудистой стенки, стенозы магистральных артерий, окклюзия, эктазия. Отек стенки сосуда, реакция окружающей ткани. Последствия сосудистого повреждения (инфаркт, некроз, кровотечение) | С высоким разрешением и широким диапазоном позволяет определить структурные изменения (протяженность процесса, осложнения), но с меньшей точностью, чем КТА. Возможна оценка воспалительного процесса. Доступна любая локализация | Не позволяет определить функциональные изменения кровотока | Не требует | Менее информативен, чем КТА. Не стандартизирован. Ограниченная доступность, трудоемкость, высокая стоимость. Техническая вариабельность. Зависимость результата от квалификации оператора. Потенциальная нефротоксичность и нейротоксичность гадолиния, риск развития нефрогенного системного фиброза |
ПЭТ-КТ с 18F-фтордезоксиглюкозой | Утолщение сосудистой стенки и поглощение РФП, сосудистый стеноз, окклюзия, эктазия. Отек стенки сосуда, реакция окружающий ткани. Наиболее раннее выявление рецидива СВ | С высоким разрешением и широким диапазоном сканирования позволяет оценить структурные изменения в сосудах (просвет, стенки) и окружающих тканях. Дает информацию о воспалительной активности | Не позволяет определить функциональные изменения кровотока | Требует введения РФП | Не дает информации об изменениях во внутричерепных сосудах. Относительно низкая чувствительность. Ограниченная доступность, высокая стоимость. Значительная лучевая нагрузка |
Информативность инвазивной рентгеноконтрастной ангиографии, которая в течение десятилетий оставалась «золотым стандартом» для диагностики поражения аорты и крупных сосудов, имеет ограничения, поскольку выявляет изменения просвета сосудов (стеноз, окклюзия, аневризма), но не позволяет охарактеризовать изменения в сосудистой стенке, может не выявлять небольшие неокклюзивные поражения. Кроме того, выполнение рентгеноконтрастной ангиографии сопряжено с более высоким риском осложнений по сравнению с другими методами визуализации (контрастная нефропатия, аллергические реакции, ятрогенная эмболизация, формирование гематомы, диссекции артерий). В последние годы ангиография не рекомендована для диагностики ГКА или АТ как первоочередное исследование, поскольку может быть заменено другими методами [8].
Тем не менее рентгеноконтрастная ангиография, как и компьютерная томографическая ангиография (КТА), позволяют выявить патогномоничные рентгенологические симптомы. В случае поражения брахиоцефальных артерий для АТ типична локализация патологического процесса во II и III сегментах подключичных артерий и в общих сонных артериях, в то время как при атеросклерозе изменения, как правило, локализуются в области бифуркации сонных артерий, общие сонные и позвоночные артерии поражаются чаще в устье, подключичные артерии, как правило, – в I сегменте, что нередко вызывает развитие синдрома позвоночно-подключичного обкрадывания. Вместе с тем при атеросклерозе может развиваться обширное поражение ветвей дуги аорты, имеющее сходство с АТ, при этом атеросклеротический процесс распространяется на наружные и внутренние сонные артерии, вызывая гемодинамически значимые стенозы, иногда окклюзии. Для проксимального типа атеросклеротического поражения характерны стеноз или окклюзия брахиоцефального ствола.
Для дифференциальной диагностики между СВ крупных сосудов и ранним атеросклеротическим поражением важное значение приобретает ультразвуковое дуплексное сканирование (УЗДС). Наиболее патогномоничным признаком ГКА является выявление при УЗДС височных артерий несжимаемого «ореола» (halo) [8], однородного гипоэхогенного утолщения стенки, хорошо очерченного со стороны просвета сосуда, которое определяется как в продольной, так и в поперечной плоскостях, чаще всего концентрическое на поперечном срезе. Поскольку при других СВ (например, АНЦА-ассоциированном СВ), инфекционных заболеваниях или выраженном атеросклерозе иногда может обнаруживаться ложноположительный феномен halo, результаты УЗДC всегда следует интерпретировать с учетом клинических признаков и лабораторных показателей. У пациентов с подозрением на ГКА при отсутствии или неубедительных признаках поражения височных артерий может иметь значение выполнение УЗДС подмышечных артерий, что несколько повышает чувствительность исследования в сравнении с изолированным УЗДС височных артерий [66].
Ультразвуковой метод обладает высоким разрешением и позволяет осуществлять частый мониторинг поражения сосудов доступных локализаций, но исследование грудной аорты требует транспищеводного доступа [67]. Несмотря на исчезновение феномена halo у пациентов с ГКА через 2–4 нед лечения ГК [68, 69], остаточные изменения в экстракраниальных артериях по данным УЗДС могут сохраняться в течение нескольких месяцев.
ПЭТ проявляет высокую чувствительность при выявлении очагов воспаления сосудистой стенки, в том числе на ранней стадии, когда активация воспалительных клеток может предшествовать появлению структурных изменений [70, 71].
ПЭТ-КТ может быть особенно информативна при наличии неспецифических симптомов АТ для дифференциальной диагностики с другими заболеваниями. Вместе с тем значение ПЭТ для мониторинга пациентов с СВ крупных сосудов не определено. Так, в ряде случаев ГКА, несмотря на ответ на лечение, при ПЭТ выявляется персистенция поглощения РФП, что связывают как с остаточным воспалением, так и отражением процессов ремоделирования сосудов. По данным D. Blockmans и соавт. [7], проводивших повторные ПЭТ пациентам с ГКА в дебюте заболевания и на фоне лечения, у 2/3 пациентов с полной клинической ремиссией через 3 и 6 мес лечения по-прежнему определялось накопление РФП, но со значительно меньшей выраженностью. В двух клинических исследованиях ПЭТ при ГКА получены варьирующие показатели чувствительности (67–77%) и специфичности (66–100%), что может быть обусловлено небольшим числом пациентов и использованием неодинаковых критериев ГКА [72, 73]. Кроме того, накопление 18F-фтордезоксиглюкозы в стенке сосудов не является специфичным для васкулита и наблюдается при атеросклерозе [74, 75], дифференциация с которым может становиться непростой задачей, особенно в руках неопытного оператора.
В последние годы все более широко используют магнитно-резонансную ангиографию и КТА [8, 76, 77]. Последняя является надежным неинвазивным инструментом выявления поражения как аорты, так и легочной артерии (рис. 1), в том числе на ранней стадии заболевания (до формирования стеноза), используется для ранней диагностики с возможностью мониторинга активности воспаления [78]. Показано, что для диагностики АТ чувствительность и специфичность КТА достигают 100% [79], при ГКА – 73 и 78% соответственно [72]. КТА с трехмерным изображением сосудов позволяет выявить изменения как просвета, так и стенки сосуда, но точность измерения толщины и плотности стенки значительно снижается за счет присутствия в сосудистом русле контраста. Кроме того, при КТА используют потенциально нефротоксичные контрастные вещества и присутствует лучевое воздействие, что существенно ограничивает возможности повторных исследований для динамического мониторинга.
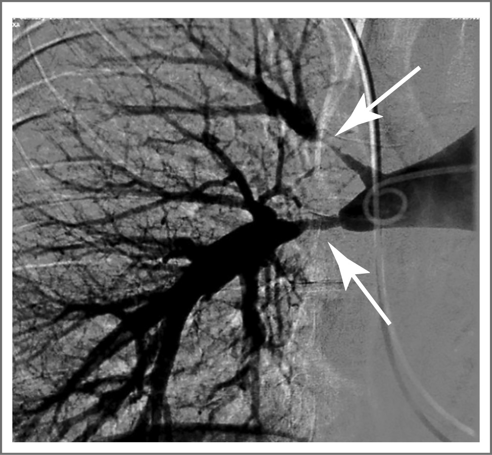
Рис. 1. Селективная ангиопульмонография у пациентки с АТ: субтотальный стеноз в устьях и проксимальных сегментах верхнедолевой и нижнедолевой ветвей правой легочной артерии (стрелки).
Fig. 1. Selective angiopulmonography in a female patient with Takayasu's arteritis: subtotal stenosis at the orifices and proximal segments of the upper and lower lobe branches of the right pulmonary artery (arrows).
Тем не менее у пациентов с подозрением на АТ приоритетно применение МРТ-ангиографии, дополнительным аргументом у больных АТ молодого возраста является отсутствие лучевой нагрузки. МРТ-ангиография способна сочетать в одном исследовании визуализацию с изображением в трехмерной (3D) плоскости стенок сосудов любой локализации и изучение перфузии органов с выявлением гипоперфузии, в частности легких [80]. Так, при поражении легочных артерий рентгеноконтрастная ангиография позволяет выявить изменения в 50% случаев, в то время как чувствительность и специфичность МРТ-ангиографии достигают 100% [79]. При ГКА с поражением поверхностных черепных артерий ретроспективное прямое сравнение МРТ и УЗДС продемонстрировало их сходную чувствительность (69 и 67% соответственно) и специфичность (91%) [81]. Предполагают, что контрастное усиление сосудистой стенки может отражать активное воспаление. Недостатки МРТ-ангиографии по сравнению с другими методами включают более длительное время сканирования и возможность отдаленных осложнений, таких как нефрогенный системный фиброз и отложение гадолиния в базальных ганглиях головного мозга c неуточненной патогенностью [82, 83]. В связи с этим у пациентов со снижением функции почек ограничивают применение контрастных препаратов на основе гадолиния (в первую очередь гадодиамида, гадопентетата димеглюмина, гадоверсетамида).
Таким образом, поскольку в ряде случаев воспалительного поражения аорты и крупных сосудов результаты клинического и лабораторного обследований могут быть неубедительны, решающее значение для уточнения фазы болезни и определения тактики лечения приобретает визуализация с помощью инструментальных методов обследования. Выбор метода должен определяться клинической ситуацией, доступностью исследований и опытом специалистов, при этом различные методы могут иметь взаимодополняющее значение.
Раскрытие интересов. Автор декларирует отсутствие явных и потенциальных конфликтов интересов, связанных с публикацией настоящей статьи.
Disclosure of interest. The author declares that she has no competing interests.
Вклад автора. Автор декларирует соответствие своего авторства международным критериям ICMJE.
Author’s contribution. The author declares the compliance of her authorship according to the international ICMJE criteria.
Источник финансирования. Автор декларирует отсутствие внешнего финансирования для проведения исследования и публикации статьи.
Funding source. The author declares that there is no external funding for the exploration and analysis work.
About the authors
Tatiana V. Beketova
Nasonova Research Institute of Rheumatology; Central Clinical Hospital with Polyclinic; Moscow Polytechnic University
Author for correspondence.
Email: tvbek@rambler.ru
ORCID iD: 0000-0003-2641-9785
д-р мед. наук, вед. науч. сотр. ФГБНУ «НИИ ревматологии им. В.А. Насоновой», зав. отд-нием ревматологии с нефрологическими койками и кабинетом терапии генно-инженерными биологическими препаратами ФГБУ «ЦКБ с поликлиникой», проф. каф. инфокогнитивных технологий ФГАОУ ВО «Московский политехнический университет»
Russian Federation, Moscow; Moscow; MoscowReferences
- Inoue D, Zen Y, Abo H, et al. Immunoglobulin G4-related periaortitis and periarteritis: CT findings in 17 patients. Radiology. 2011;261(2):625-33. doi: 10.1148/radiol.11102250
- Park SH, Im CH, Yang DH, et al. A case of chronic periaortitis with retroperitoneal fibrosis. Korean Circ J. 2012;42(12):857-60. doi: 10.4070/kcj.2012.42.12.857
- Fujimori N, Ito T, Igarashi H, et al. Retroperitoneal fibrosis associated with immunoglobulin G4-related disease. World J Gastroenterol. 2013;19(1):35-41. doi: 10.3748/wjg.v19.i1.35
- Rojo-Leyva F, Ratliff NB, Cosgrove III DM, Hoffman GS. Study of 52 patients with idiopathic aortitis from a cohort of 1,204 surgical cases. Arthritis Rheum. 2000;43(4):901-7. doi: 10.1002/1529-0131(200004)43:4<901::AIDANR23>3.0.CO;2-U
- De Martino A, Ballestracci P, Faggioni L, et al. Incidence of aortitis in surgical specimens of the ascending aorta clinical implications at follow-up. Semin Thorac Cardiovasc Surg. 2019;31(4):751-60. doi: 10.1053/j.semtcvs.2018.10.022
- Miller DV, Isotalo PA, Weyand CM, et al. Surgical pathology of noninfectious ascending aortitis: A study of 45 cases with emphasis on an isolated variant. Am J Surg Pathol. 2006;30(9):1150-8. doi: 10.1097/01.pas.0000213293.04026.ec
- Blockmans D, Ceuninck Ld, Vanderschueren S, et al. Repetitive 18F-fluorodeoxy-glucose positron-emission tomography in giant cell arteritis: A prospective study of 35 patients. Arthritis Rheum. 2006;55(1):131-7. doi: 10.1002/art.21699
- Dejaco C, Ramiro S, Duftner C, et al. EULAR recommendations for the use of imaging in large-vessel vasculitis in clinical practice. Ann Rheum Dis. 2018;77(5):636-43. doi: 10.1136/annrheumdis-2017-212649
- Rosero EB, Peshock RM, Khera A, et al. Sex, race, and age distributions of mean aortic wall thickness in a multiethnic population-based sample. J Vasc Surg. 2011;53(4):950-7. doi: 10.1016/j.jvs.2010.10.073
- Jennette JC, Falk R, Bacon P, et al. 2012 Revised international Chapel Hill Consensus conference nomenclature of vasculitides. Arthritis Rheum. 2013;65(1):1-11. doi: 10.1002/art.37715
- Adiga GU, Elkadi D, Malik SK, et al. Abdominal aortitis after use of granulocyte colony-stimulating factor. Clin Drug Investig. 2009;29(12):821-5. doi: 10.2165/11530790-000000000-00000
- Oshima Y, Takahashi S, Tani K, Tojo A. Granulocyte colony-stimulating factor-associated aortitis in the japanese adverse drug event report database. Cytokine. 2019;119:47-51. doi: 10.1016/j.cyto.2019.02.013
- Darie C, Boutalba S, Fichter P, et al. Aortite après injections de G-CSF [Aortitis after G-CSF injections]. Rev Med Interne. 2004;25(3):225-9. doi: 10.1016/j.revmed.2003.10.015
- Koyama Y, Adachi K, Yagi M, et al. Successful treatment of G-CSF- related aortitis with prednisolone during preoperative chemotherapy for breast cancer: a case report. Surg Case Rep. 2021;7:23. doi: 10.1186/s40792-021-01111-z
- Hiranuma K, Kusunoki S, Fujino K, et al. Drug-induced aortitis in a patient with ovarian cancer treated with bevacizumab combination therapy. Taiwan J Obstet Gynecol. 2018;57(5):750-2. doi: 10.1016/j.tjog.2018.08.026
- Tanaka H, Kondo E, Kawato H, et al. Aortitis during intraarterial chemotherapy for cervical cancer. Int J Clin Oncol. 2002;7(1):62-5. doi: 10.1007/s101470200008
- O’Connell EW, Reams J, Denio AE. Aortitis as a Harbinger of Occult Malignancy. Case Rep Rheumatol. 2019;2019:8385630. doi: 10.1155/2019/8385630
- Hotchi M. Pathological studies on Takayasu arteritis. Heart Vessels Suppl. 1992;7:11-7. doi: 10.1007/BF01744538
- Kerr GS, Hallahan CW, Giordano J, et al. Takayasu arteritis. Ann Intern Med. 1994;120(11):919-29. doi: 10.7326/0003-4819-120-11-199406010-00004
- Gornik HL, Creager MA. Aortitis. Circulation. 2008;117(23):3039-51. doi: 10.1161/CIRCULATIONAHA.107.760686
- Lie JT. Illustrated histopathologic classification criteria for selected vasculitis syndromes. Arthritis Rheum. 1990;33:1074-87. doi: 10.1002/art.1780330804
- Lie JT. Aortic and extracranial large vessel giant cell arteritis: a review of 72 cases with histopathologic documentation. Semin Arthritis Rheum. 1995;24(6):422-31. doi: 10.1016/s0049-0172(95)80010-7
- Bulkley BH, Roberts WC. Ankylosing spondylitis and aortic regurgitation. Description of the characteristic cardiovascular lesion from study of eight necropsy patients. Circulation. 1973;48(5):1014-27. doi: 10.1161/01.cir.48.5.1014
- Hull RG, Asherson RA, Rennie JA. Ankylosing spondylitis and an aortic arch syndrome. Br Heart J. 1984;51(6):663-5. doi: 10.1136/hrt.51.6.663
- Loricera J, Blanco R, Hernández JL, et al. Non-infectious aortitis: a report of 32 cases from a single tertiary centre in a 4-year period and literature review. Clin Exp Rheumatol. 2015;33(2 Suppl. 89):S19-31.
- Cochrane AD, Tatoulis J. Cogan's syndrome with aortitis, aortic regurgitation, and aortic arch vessel stenoses. Ann Thorac Surg. 1991;52(5):1166-7. doi: 10.1016/0003-4975(91)91304-e
- Haynes BF, Kaiser-Kupfer MI, Mason P, Fauci AS. Cogan syndrome: studies in thirteen patients, long-term follow-up, and a review of the literature. Medicine (Baltimore). 1980;59(6):426-41.
- Singer O. Cogan and Behcet syndromes. Rheum Dis Clin North Am. 2015;41(1):75-91. doi: 10.1016/j.rdc.2014.09.007
- Slobodin G, Naschitz JE, Zuckerman E, et al. Aortic involvement in rheumatic diseases. Clin Exp Rheumatol. 2006;24(2 Suppl. 41):41–S47.
- Giordano M, Valentini G, Sodano A. Relapsing polychondritis with aortic arch aneurysm and aortic arch syndrome. Rheumatol Int. 1984;4(4):191-3. doi: 10.1007/BF00541214
- Manna R, Annese V, Ghirlanda G, et al. Relapsing polychondritis with severe aortic insufficiency. Clin Rheumatol. 1985;4(4):474-80. doi: 10.1007/BF02031904
- Dib C, Moustafa SE, Mookadam M, et al. Surgical treatment of the cardiac manifestations of relapsing polychondritis: overview of 33 patients identified through literature review and the Mayo Clinic records. Mayo Clin Proc. 2006;81(6):772-6. doi: 10.4065/81.6.772
- Selim AG, Fulford LG, Mohiaddin RH, Sheppard MN. Active aortitis in relapsing polychondritis. J Clin Pathol. 2001;54(11):890-2. doi: 10.1136/jcp.54.11.890
- Miyake T, Yokoyama T, Shinohara T, et al. Transient dilatation of the abdominal aorta in an infant with Kawasaki disease associated with thrombocytopenia. Acta Paediatr Jpn. 1995;37:521-5. doi: 10.1111/j.1442-200x.1995.tb03368.x
- Chikamori T, Doi YL, Yonezawa Y, et al. Aortic regurgitation secondary to Behcet’s disease: a case report and review of the literature. Eur Heart J. 1990;11:572-6. doi: 10.1093/oxfordjournals.eurheartj.a059752
- Willett WF III, Kahn MJ, Gerber MA. Lupus aortitis: a case report and review of the literature. J La State Med Soc. 1996;148:55-9.
- Guard RW, Gotis-Graham I, Edmonds JP, Thomas AC. Aortitis with dissection complicating systemic lupus erythematosus. Pathology. 1995;27:224-8. doi: 10.1080/00313029500169023
- Breynaert C, Cornelis T, Stroobants S, et al. Systemic lupus erythematosus complicated with aortitis. Lupus. 2008;17(1):72-4. doi: 10.1177/0961203307084172
- Kurata A, Kawakami T, Sato J, et al. Aortic aneurysms in systemic lupus erythematosus: a meta-analysis of 35 cases in the literature and two different pathogeneses. Cardiovasc Pathol. 2011;20(1):e1-7. doi: 10.1016/j.carpath.2010.01.003
- Gravallese EM, Corson JM, Coblyn JS, et al. Rheumatoid aortitis: a rarely recognized but clinically significant entity. Medicine (Baltimore). 1989;68:95-106.
- Hoshina K, Koyama H, Miyata T, et al. Aortic wall cell proliferation via basic fibroblast growth factor gene transfer limits progression of experimental abdominal aortic aneurysm. J Vasc Surg. 2004;40(3):512-8. doi: 10.1016/j.jvs.2004.06.018
- Smith DC, Hirst AE. Spontaneous aortic rupture associated with chronic steroid therapy for rheumatoid arthritis in two cases. AJR Am J Roentgenol. 1979;132(2):271-3. doi: 10.2214/ajr.132.2.271
- Rose CD, Eichenfield AH, Goldsmith DP, Athreya BH. Early onset sarcoidosis with aortitis – “juvenile systemic granulomatosis?”. J Rheumatol. 1990;17(1):102-6.
- Stone JH, Zen Y, Deshpande V. IgG4-related disease. N Engl J Med. 2012;366(6):539-51. doi: 10.1056/NEJMra1104650
- Kamisawa T, Zen Y, Pillai S, Stone JH. IgG4-related disease. Lancet. 2015;85(9976):1460-71. doi: 10.1016/S0140-6736(14)60720-0
- Blockmans D, Baeyens H, Van Loon R, et al. Periaortitis and aortic dissection due to Wegener's granulomatosis. Clin Rheumatol. 2000;19(2):161-4. doi: 10.1007/s100670050038
- Carels T, Verbeken E, Blockmans D. p-ANCA-associated periaortitis with histological proof of Wegener's granulomatosis: case report. Clin Rheumatol. 2005;24(1):83-6. doi: 10.1007/s10067-004-0998-0
- Haug ES, Skomsvoll JF, Jacobsen G, et al. Inflammatory aortic aneurysm is associated with increased incidence of autoimmune disease. J Vasc Surg. 2003;38(3):492-7. doi: 10.1016/s0741-5214(03)00340-9
- Vaglio A, Corradi D, Manenti L, et al. Evidence of autoimmunity in chronic periaortitis. A prospective study. Am J Med. 2003;114(6):454-62. doi: 10.1016/s0002-9343(03)00056-1
- Schirmer M, Duftner C, Seiler R, et al. Abdominal aortic aneurysms: an underestimated type of immune-mediated large vessel arteritis? Curr Opin Rheumatol. 2006;18(1):48-53. doi: 10.1097/01.bor.0000198001.35203.36
- Ghinoi A, Pipitone N, Boiardi L, et al. Primary Sjogren's syndrome associated with chronic periaortitis. Rheumatology (Oxford). 2007;46(4):719-20. doi: 10.1093/rheumatology/kel452
- Васильев В.И., Сокол Е.В., Кокосадзе Н.В., и др. Дифференциальная диагностика болезни Эрдгейма–Честера и заболеваний, связанных с IgG4. Терапевтический архив. 2016;88(5):70-6 [Vasilyev VI, Sokol EV, Kokosadze NV, et al. The differential diagnosis of Erdheim–Chester disease and IgG4-related diseases. Terapevticheskii Arkhiv (Ter. Arkh.). 2016;88(5):70-6 (in Russian)]. doi: 10.17116/terarkh201688570-76
- Inoue M, Nakagomi H, Nakada H, et al. Periaortitis induced by epirubicin and cyclophosphamide for a patient with advanced breast cancer. Int Cancer Conf J. 2017;6(4):180-3. doi: 10.1007/s13691-017-0302-1
- Murakami S, Saito H, Ohe M, et al. Periaortitis associated with anti-neutrophil cytoplasmic antibodies induced by bevacizumab combination therapy. Intern Med. 2013;52(5):589-91. doi: 10.2169/internalmedicine.52.6632
- D’Alpino Peixoto R, Al-Barrak J, Lim H, Renouf D. Gastroesophageal cancer and retroperitoneal fibrosis: two case reports and review of the literature. World J Gastroinest. Oncol. 2013;5(3):68-70. doi: 10.4251/wjgo.v5.i3.68
- Evans JM, O’Fallon WM, Hunder GG. Increased incidence of aortic aneurysm and dissection in giant cell (temporal) arteritis: A population-based study. Ann Intern Med. 1995;122(7):502-7. doi: 10.7326/0003-4819-122-7-199504010-00004
- Kermani TA, Warrington KJ, Crowson CS, et al. Large-vessel involvement in giant cell arteritis: A population-based cohort study of the incidence–trends and prognosis. Ann Rheum Dis. 2013;72(12):1989-94. doi: 10.1136/annrheumdis-2012-202408
- Kim H, Barra L. Ischemic complications in takayasu’s arteritis: A meta-analysis. Semin Arthritis Rheum. 2018;47(6):900-6. doi: 10.1016/j.semarthrit.2017.11.001
- Sreih AG, Alibaz-Oner F, Kermani TA, et al. Development of a core set of outcome measures for large-vessel vasculitis: Report from OMERACT 2016. J Rheumatol. 2017;44(12):1933-7. doi: 10.3899/jrheum.161467
- Hunder GG, Bloch DA, Michel BA, et al. The American College of rheumatology 1990 criteria for the classification of giant cell arteritis. Arthritis Rheum. 1990;33(8):1122-8. doi: 10.1002/art.1780330810
- Treglia G, Mattoli MV, Leccisotti L, et al. Usefulness of whole-body fluorine-18-fluorodeoxyglucose positron-emission tomography in patients with large-vessel vasculitis: A systematic review. Clin Rheumatol. 2011;30(10):1265. doi: 10.1007/s10067-011-1828-9
- Salvarani C, Cantini F, Boiardi L, Hunder G. Laboratory investigations useful in giant cell arteritis and Takayasu's arteritis. Clin Exp Rheumatol. 2003;21(6 Suppl. 32):23-8.
- Xenitidis T, Horger M, Zeh G, et al. Sustained inflammation of the aortic wall despite tocilizumab treatment in two cases of Takayasu arteritis. Rheumatology (Oxford). 2013;52(9):1729-31. doi: 10.1093/rheumatology/ket107
- Spira D, Xenitidis T, Henes J, Horger M. MRI parametric monitoring of biological therapies in primary large vessel vasculitides: a pilot study. Br J Radiol. 2016;89(1058):20150892. doi: 10.1259/bjr.20150892
- Benhuri B, ELJack А, Kahaleh B, Chakravarti R. Mechanism and biomarkers in aortitis – a review. J Mol Med. 2020;98(1):11-23. doi: 10.1007/s00109-019-01838-1
- Diamantopoulos AP, Haugeberg G, Hetland H, et al. Diagnostic value of color Doppler ultrasonography of temporal arteries and large vessels in giant cell arteritis: a consecutive case series. Arthritis Care Res. 2014;66:113–9. doi: 10.1002/acr.22178
- Germanò G, Monti S, Ponte C, et al. The role of ultrasound in the diagnosis and follow-up of large-vessel vasculitis: an update. Clin Exp Rheumatol. 2017;35 Suppl. 103(1):194-98.
- De Miguel E, Roxo A, Castillo C, et al. The utility and sensitivity of colour Doppler ultrasound in monitoring changes in giant cell arteritis. Clin Exp Rheumatol. 2012;30:34-8.
- Habib HM, Essa AA, Hassan AA. Color duplex ultrasonography of temporal arteries: role in diagnosis and follow-up of suspected cases of temporal arteritis. Clin Rheumatol. 2012;31:231-7. doi: 10.1007/s10067-011-1808-0
- Pipitone N, Versari A, Hunder GG, Salvarani C. Role of imaging in the diagnosis of large and medium-sized vessel vasculitis. Rheum Dis Clin North Am. 2013;39:593-608. doi: 10.1016/j.rdc.2013.02.002
- Prieto-González S, Arguis P, Cid MC. Imaging in systemic vasculitis. Curr Opin Rheumatol. 2015;27:53-62. doi: 10.1097/BOR.0000000000000130
- Lariviere D, Benali K, Coustet B, et al. Positron emission tomography and computed tomography angiography for the diagnosis of giant cell arteritis: A real-life prospective study. Medicine. 2016;95:e4146. doi: 10.1097/MD.0000000000004146
- Blockmans D, Stroobants S, Maes A, et al. Positron emission tomography in giant cell arteritis and polymyalgia rheumatica: evidence for inflammation of the aortic arch. Am J Med. 2000;108:246-9. doi: 10.1016/s0002-9343(99)00424-6
- Puppo C, Massollo M, Paparo F, et al. Giant cell arteritis: a systematic review of the qualitative and semiquantitative methods to assess vasculitis with 18F-fluorodeoxyglucose positron emission tomography. Biomed Res Int. 2014;2014:1-11. doi: 10.1155/2014/574248
- Bucci M, Aparici CM, Hawkins R, et al. Validation of FDG uptake in the arterial wall as an imaging biomarker of atherosclerotic plaques with 18F-fluorodeoxyglucose positron emission tomography-computed tomography (FDG-PET/CT). J Neuroimaging. 2014;24(2):117-23. doi: 10.1111/j.1552-6569.2012.00740.x
- Mavrogeni S, Dimitroulas T, Chatziioannou SN, et al. The role of multimodality imaging in the evaluation of Takayasu arteritis. Semin Arthritis Rheum. 2013;42:401-12. doi: 10.1016/j.semarthrit.2012.07.005
- Muratore F, Pipitone N, Salvarani C, Schmidt WA. Imaging of vasculitis: State of the art. Best Pract Res Clin Rheumatol. 2016;30(4):688-706. doi: 10.1016/j.berh.2016.09.010
- Paul JF, Fiessinger JN, Sapoval M, et al. Follow-up electron beam CT for the management of early phase Takayasu arteritis. J Comput Assist Tomogr. 2001;25:924-31. doi: 10.1097/00004728-200111000-00015
- Yamada I, Nakagawa T, Himeno Y, et al. Takayasu arteritis: evaluation of the thoracic aorta with CT angiography. Radiology. 1998;209:103-9. doi: 10.1148/radiology.209.1.9769819
- Li D, Lin J, Yan F. Detecting disease extent and activity of Takayasu arteritis using whole-body magnetic resonance angiography and vessel wall imaging as a 1-stop solution. J Comput Assist Tomogr. 2011;35:468-74. doi: 10.1148/radiology.209.1.9769819
- Bley TA, Reinhard M, Hauenstein C, et al. Comparison of duplex sonography and high-resolution magnetic resonance imaging in the diagnosis of giant cell (temporal) arteritis. Arthritis Rheum. 2008;58:2574-8. doi: 10.1002/art.23699
- Zhang B, Liang L, Chen W, et al. An Updated Study to Determine Association between Gadolinium-Based Contrast Agents and Nephrogenic Systemic Fibrosis. PLoS One. 2015;10:e0129720. doi: 10.1371/journal.pone.0129720
- Kanda T, Nakai Y, Hagiwara A, et al. Distribution and chemical forms of gadolinium in the brain: a review. Br J Radiol. 2017;90:20170115. doi: 10.1259/bjr.20170115
Supplementary files




