Болезнь Эрдгейма–Честера с поражением сердца: клиническое наблюдение
- Авторы: Латышев В.Д.1, Мершина Е.А.2, Костина И.Э.1, Синицын В.Е.2, Лукина Е.А.1
-
Учреждения:
- ФГБУ «Национальный медицинский исследовательский центр гематологии» Минздарава России
- ФГБОУ ВО «Московский государственный университет им. М.В. Ломоносова»
- Выпуск: Том 94, № 7 (2022)
- Страницы: 897-902
- Раздел: Клинические наблюдения
- Статья получена: 11.08.2022
- Статья одобрена: 11.08.2022
- Статья опубликована: 12.08.2022
- URL: https://ter-arkhiv.ru/0040-3660/article/view/109745
- DOI: https://doi.org/10.26442/00403660.2022.07.201737
- ID: 109745
Цитировать
Полный текст
Аннотация
Болезнь Эрдгейма–Честера (БЭЧ) – редкое заболевание из группы нелангергансоклеточных гистиоцитозов, характеризующееся наличием в различных органах и тканях патологических воспалительных инфильтратов, состоящих из макрофагов/моноцитов, реактивного микроокружения и полей фиброза. Поражение сердечно-сосудистой системы является одним из наиболее частых проявлений БЭЧ и может приводить к развитию жизнеугрожающих осложнений. Представляем описание клинического случая манифестации БЭЧ с поражением сердца у молодого пациента.
Полный текст
Список сокращений
БЭЧ – болезнь Эрдгейма–Честера
ИМ – инфаркт миокарда
ИФН – интерферон
КТ – компьютерная томография
ЛА – легочная артерия
ЛКА – левая коронарная артерия
ЛП – левое предсердие
МРТ – магнитно-резонансная томография
НЯ – нежелательные явления
ОКС – острый коронарный синдром
ПЖ – правый желудочек
ПП – правое предсердие
ССС – сердечно-сосудистая система
ЭКГ – электрокардиография
ЭхоКГ – эхокардиография
LGE (Late gadolinium enhancement) – отсроченное контрастирование гадолинием
Введение
Болезнь Эрдгейма-Честера (БЭЧ) – крайне редкое заболевание из группы нелангергансоклеточных гистиоцитозов, характеризующееся наличием в различных органах и тканях патологических инфильтратов, состоящих из макрофагов/моноцитов и реактивного микроокружения с выраженным фибротическим компонентом.
Эпидемиологические данные достаточно скудны, а наиболее репрезентативная когорта (n=165) представлена французскими исследователями из Pitie-Salpetrière Hospital, по данным которых заболевание чаще встречается у мужчин (соотношение 3:1), средний возраст первых проявлений составляет 52 года [1–3].
Патогенез БЭЧ остается предметом активного изучения, однако с открытием часто встречающейся мутации V600E гена BRAF вектор исследований сместился в сторону молекулярно-генетических аспектов [4]. В настоящее время ведущая роль в патогенезе БЭЧ отводится активации сигнальных каскадов MAPK (Ras-Raf-MEK-ERK) и PI3K/AKT/mTOR [5, 6]. Согласно данной концепции макрофаги, несущие активирующую мутацию, синтезируют ряд профибротических и провоспалительных цитокинов и рекрутируют в очаг поражения клетки микроокружения [2].
Диагностика заболевания основывается на гистопатологическом исследовании (инфильтрация CD68+/CD1a пенистыми клетками) в сочетании с характерной рентгенологической картиной [7].
Характер течения заболевания варьирует от индолентных до жизнеугрожающих форм, а клинические проявления определяются прежде всего локализацией поражения [2]. Патологические инфильтраты при БЭЧ чаще всего имеют характерную, а в некоторых случаях даже патогномоничную локализацию. Так, наиболее часто встречается симметричное поражение крупных трубчатых костей по остеосклеротическому типу (85–95%), ретроперитонеальные инфильтраты с вовлечением паранефральной области по типу «волосатых почек» (65–75%), поражение центральной нервной системы (40%) [1, 3, 8].
Вовлечение сердечно-сосудистой системы (ССС) является одним из частых проявлений БЭЧ и встречается, по данным разных авторов, примерно в 1/2 случаев [3, 9]. Наиболее характерными локализациями инфильтрации при поражении сердца в рамках БЭЧ являются: правое предсердие (псевдоопухоль правого предсердия – ПП, инфильтрация венечной борозды), перикард, стелящиеся муфтообразные инфильтраты в области крупных сосудов, прежде всего аорты (“coated” aorta).
Длительное время единственной доступной терапевтической опцией для больных с БЭЧ являлся интерферон (ИФН)-α, который позволил существенно увеличить показатели выживаемости [10]. С появлением новых данных о выраженности системного и локального воспаления при БЭЧ стали появляться публикации об успешном применении антицитокиновых препаратов, таких как ингибиторы интерлейкина-1, 6, фактор некроза опухоли α [11, 12]. Открытие часто встречающихся активирующих мутаций в гене BRAF при БЭЧ послужило предпосылкой к активному изучению ингибиторов BRAF в качестве терапевтической опции. По результатам проспективного исследования, показавшего высокую клиническую эффективность такого подхода, один из ингибиторов BRAF – вемурафениб получил ускоренное одобрение Управления по контролю пищевых продуктов и лекарств в США в 2017 г. для лечения БЭЧ с мутациями V600 гена BRAF [13]. Другим перспективным вариантом терапии является применение ингибиторов МЕК-киназ, однако доказательная база в этом направлении остается весьма ограниченной [14].
Представляем описание клинического случая БЭЧ, протекающей с поражением сердца, у молодого пациента.
Клинический случай
Пациент К., 1988 года рождения.
В апреле 2017 г. (возраст 29 лет) отметил появление болей в левой половине грудной клетки. По данным электрокардиографии (ЭКГ) выявлена инверсия зубцов Т в отведениях V4–V6, при эхокардиографии (ЭхоКГ) патологии не обнаружено. Боли были расценены как межреберная невралгия, пациент получал терапию нестероидными противовоспалительными препаратами, в результате которой боли регрессировали в течение 10 дней. В июне 2017 г. развился эпизод интенсивной давящей боли за грудиной, сопровождавшейся потливостью, страхом смерти, онемением IV–V пальцев обеих рук. С диагнозом «острый коронарный синдром» (ОКС) бригадой скорой медицинской помощи пациент доставлен в отделение кардиореанимации. При обследовании острый инфаркт миокарда (ИМ) исключен (концентрация тропонина I и креатинфосфокиназы – в норме), болевой синдром купировался самостоятельно в течение 2 ч. Эндоваскулярные вмешательства не проводились. На электрокардиограмме сохранялась инверсия зубцов Т в отведениях II, III, AVF, V4–V6.
При ЭхоКГ выявлено объемное образование округлой формы в области правого желудочка (ПЖ) размерами 23×29 мм. В удовлетворительном состоянии пациент выписан с рекомендациями:
1) магнитно-резонансная томография (МРТ) сердца;
2) консультация кардиохирурга;
3) прием бисопролола 2,5 мг/сут, ацетилсалициловой кислоты 75 мг/сут.
Перед обращением к кардиохирургу выполнена МРТ сердца, подтвердившая наличие объемного образования в области верхушки сердца, округлой формы с четкими неровными контурами, размерами 29×22×24 мм. Кардиохирургами («НМИЦ ССХ им. А.Н. Бакулева») новообразование было расценено как доброкачественное, избрана наблюдательная тактика.
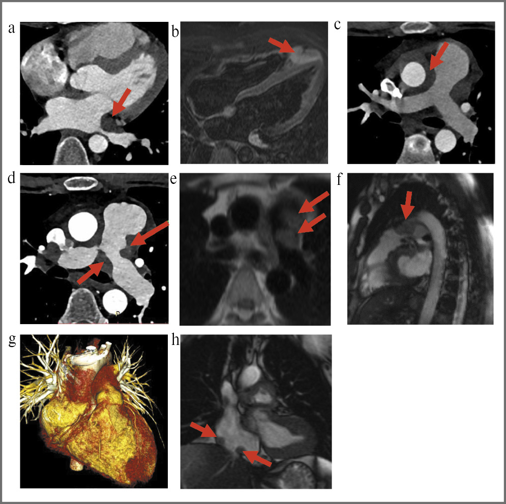
Через 6 мес на фоне удовлетворительного самочувствия пациента при контрольных КТ- (компьютерная томография) и МРТ-исследованиях отмечено увеличение размеров образования в области верхушки ПЖ, появление мягкотканых инфильтратов, муфтообразно окутывающих аорту в восходящем отделе, легочную артерию (ЛА) и ее ветви, верхнюю полую вену, проксимальную часть правой коронарной артерии и ствол левой коронарной артерии (ЛКА). Дистальная часть передней межжелудочковой ветви ЛКА частично располагалась в толще инфильтрата. Также выявлялось образование в области левого предсердия (ЛП), деформирующее полость ЛП (рис. 1).
Рис. 1. Локализации инфильтратов в области сердца и крупных сосудов у пациента К. (данные КТ и МРТ): а – инфильтрат в области ЛП со сдавлением легочных вен (КТ, 2020 г.); b – округлый инфильтрат в области верхушки ПЖ (МРТ, 2018 г.); с – парааортальный инфильтрат (КТ, 2018 г.); d–f – инфильтраты в области ЛА с сужением просвета ЛА (КТ и МРТ, 2020 г.); g – трехмерная реконструкция КТ-изображений в 2018 г. (красным цветом отображены зоны специфической инфильтрации); h – инфильтраты в области устья нижней полой вены (МРТ, 2020 г.).
В связи с отрицательной динамикой МРТ-картины пациенту рекомендована биопсия образования.
В феврале 2018 г. проведена торакоскопия, перикардиотомия с биопсией образования в области легочного ствола. По данным гистологического и иммуногистохимического исследований биопсийного материала выявлена картина обширных инфильтратов из CD68+ гистиоцитов/ксантомных клеток, соответствующая нелангергансоклеточному гистиоцитозу. Дополнительно проведено молекулярно-генетическое исследование ткани биоптата на наличие наиболее частых мутаций гена BRAF (в том числе V600E) методом полимеразной цепной реакции – отрицательно.
В апреле 2018 г. пациент госпитализирован в отделение орфанных заболеваний ФГБУ «НМИЦ гематологии» Минздрава России. При поступлении в клинику состояние пациента было относительно удовлетворительным, предъявлял жалобы на эпизоды дискомфорта за грудиной, преимущественно при перемене положения тела. При осмотре: витальные показатели (частота сердечных сокращений, артериальное давление, частота дыхательных движений) – в пределах нормальных значений.
В гемограмме, коагулограмме и биохимическом анализе крови показатели – в пределах нормы. Отмечалось увеличение концентрации С-реактивного белка до 7,5 мг/л (<5).
При инструментальном обследовании выявлено уплотнение костной структуры метаэпифизов крупных трубчатых костей, участок остеосклероза в правой бедренной кости (КТ), что характерно для специфического поражения костей в рамках БЭЧ. При контрольной МРТ документирован объем поражения ССС (табл. 1). Обращал на себя внимание феномен «отсроченного контрастирования гадолинием» небольших по площади субэндокардиальных участков в верхушечном, передне-перегородочном и нижнем сегментах сердца, что расценивалось как постишемические рубцовые изменения миокарда (см. раздел Обсуждение). Поражений других характерных для БЭЧ локализаций (ретроперитонеальная область, центральная нервная система) при инструментальном обследовании не выявлено, в том числе по данным позитронно-эмиссионной томографии/КТ.
Таблица 1. Динамика размеров специфических инфильтратов в области сердца и крупных сосудов в 2018–2021 гг. (данные КТ и МРТ с внутривенным контрастным усилением) Table 1. Dynamics of the size of specific infiltrates in the area of the heart and large vessels in 2018–2021 (CT and MRI data with intravenous contrast enhancement) | ||||||
Локализация образований | Апрель 2018 г. (до лечения) | Февраль 2019 г. (10 мес лечения ИФН) | Ноябрь 2019 г. | Август 2020 г. | Декабрь 2020 г. (3 мес лечения траметинибом) | Декабрь 2021 г. (15 мес лечения траметинибом) |
Толщина инфильтрации вокруг аорты, мм | 8–10 | 6 ↓ | 6 ↔ | 6–7 ↔ | 6 ↔ | 3 ↓ |
Просвет ствола ЛА, мм | 17 | 17 ↔ | 13 ↓ | 8 ↓ | 8 ↔ | 19 ↑ |
Образование в верхушке ПЖ, мм | 36×29×34 | 35×15 ↓ | 20×13 ↓ | 27×17×30 ↑ | 20×8 ↓ | 6×8 ↓ |
Левая стенка ЛП, мм | 29×12 | 18×11 ↓ | 18×11 ↔ | 17×15 ↔ | 16×15 ↔ | 6×10 ↓ |
Задняя стенка ПП, мм | 10 | N/A | 2,1×1,2 ↑ | 2,3×0,9 ↔ | 2,3×0,9 ↔ | N/A |
Фракция выброса ЛЖ, % | 71 | 71 | N/A | N/A | 69 | 77 |
Дополнительная информация | В отсроченную фазу определяются небольшие субэндокардиальные участки контрастирования в верхушечных переднеперегородочном и нижнем сегментах | При отсроченном контрастировании миокарда (LGE) признаки накопления контрастного вещества в миокарде отсутствуют | Локальная компрессия огибающей ветви ЛКА | Новые мягкотканые структуры по ходу и в просвете ЛА (толщиной до 15–20 мм), в области овального окна | Стабилизация. Новых структур нет | Значительное уменьшение инфильтратов всех локализаций, регресс сужения просвета ЛА |
Примечание. ЛЖ – левый желудочек; здесь и далее в табл. 2: N/A – данные отсутствуют. | ||||||
Cистолическая и диастолическая функции сердца были удовлетворительными (по данным ЭхоКГ), нарушений сердечного ритма не зарегистрировано, в том числе при суточном мониторировании ЭКГ.
Таким образом, был подтвержден диагноз БЭЧ с поражением сердца и крупных сосудов. В качестве 1-й линии с апреля 2018 г. начата терапия ИФН-α 2b (3 млн МЕ 3 раза в 1 нед). Переносимость ИФН-терапии была удовлетворительной, гриппоподобный синдром отсутствовал, кардиальные жалобы не рецидивировали.
В феврале 2019 г. (10 мес лечения) при контрольной МРТ сердца отмечена положительная динамика: уменьшились размеры инфильтрации вокруг аорты и ЛА, а также размеры образования в верхушке ПЖ (см. табл. 1). Нормализовалась концентрация С-реактивного белка – 2,3 мг/л. На ЭКГ инверсия зубцов Т в V4–V6 сохранялась.
Терапия ИФН была продолжена в прежнем режиме, однако при очередных КТ- и МРТ-исследованиях в августе 2020 г. отмечена отрицательная динамика в виде увеличения размеров предсуществующих и появления новых мягкотканых структур в области стенки ПП, в области овального окна, ЛА и ее главных ветвей, расширение ПП. Особенно впечатляющей находкой явились инфильтраты в области стенки ЛА с сужением ее просвета до 8 мм, что стало ключевым фактором в принятии решения о смене терапии. Несмотря на выраженную отрицательную радиологическую динамику, какие-либо клинические проявления заболевания отсутствовали, что ассоциировалось с сохранной функцией сердца по данным ЭхоКГ.
С сентября 2020 г. начата эмпирическая терапия ингибитором МЕК-киназ – траметинибом в дозе 1 мг/сут ежедневно. Переносимость лечения в целом была удовлетворительной, из нежелательных явлений (НЯ) отмечалось появление акнеформных высыпаний преимущественно на коже лица и волосистой части головы. Спустя 2 мес непрерывной терапии развился выраженный периорбитальный отек, расцененный как токсический эффект траметиниба (рис. 2). Прием препарата был приостановлен на 1 нед, в результате чего отек регрессировал. В дальнейшем возобновлен прием траметиниба в режиме 1 мг через день.
Рис. 2. Траметиниб-индуцированный периорбитальный отек у пациента К.
В декабре 2020 г. выполнена МРТ сердца (3 мес лечения траметинибом), по данным которой отмечена стабилизация процесса. С учетом недостаточного эффекта пациент переведен на циклическую схему лечения – 21 день приема траметиниба по 1 мг/сут + 7 дней перерыв. На момент описания пациент продолжает лечение по вышеуказанной схеме в течение 15 мес, НЯ не отмечается.
Обсуждение
Поражение ССС является одним из самых частых и опасных проявлений БЭЧ [15, 16]. Примечательно, что W. Chester еще в 1930 г. достаточно точно охарактеризовал паттерн поражения сердца при БЭЧ [17]. Высокая частота вовлечения в патологический процесс сердца и сосудов, возможность развития жизнеугрожающих осложнений, таких как тампонада сердца и ИМ, стали предпосылками к активному изучению этого аспекта БЭЧ. За последние годы опубликовано несколько когортных исследований, посвященных кардиоваскулярным манифестациям БЭЧ (табл. 2). Наиболее крупные когорты представлены в публикациях J. Haroche и соавт. в 2004 и 2009 гг. [15, 16]. По данным авторов, тампонада сердца наблюдалась у 5 из 72 пациентов, а ИМ – у 6 человек, двое из которых умерли. При этом до 1/3 всех летальных исходов при БЭЧ обусловлены вовлечением в патологический процесс ССС [16]. В настоящее время оценка поражения ССС с применением методов визуализации (прежде всего МРТ сердца) рекомендуется всем пациентам с установленным диагнозом БЭЧ [7].
Таблица 2. Описание серий случаев БЭЧ с поражением сердца и крупных сосудов Table 2. Description of case series of Erdheim–Chester disease with involvement of the heart and great vessels | |||||||||
Автор, год | Пациенты с поражением ССС | Поражение перикарда, n | Поражение миокарда, n | Псевдотумор ПП, n | Парааортальный инфильтрат, n | Вовлечение коронарных артерий, n | Сердечная недостаточность, n | ИМ | Ссылка |
J. Haroche и соавт., 2004 | 72 | 32 (44%) тампонада у 5 | 22 (31%) | 6 (8%) | 40 (56%) | 5 (7%) | 19 (26%), из них 8 смертей | 6 (8%), из них 2 смерти | [15] |
J. Haroche и соавт., 2009 | 37 | 5 (14%) | N/A | 11 (30%) | N/A | 12 (32%) | N/A | 7 (2 смер- ти) | [16] |
D. Gianfreda и соавт., 2016 | 10 | 9 (тампонада у 2) | 9 | 8 | 5 | 7 | N/A | N/A | [18] |
A. Ghotra и соавт., 2019 | 8 | 3 (38%) | 6 (75%) | N/A | 4 (50%) | 6 (75%) | N/A | N/A | [19] |
I. Costa и соавт., 2018 | 4 | 1 | N/A | 2 (50%) | 2 (50%) | N/A | 1 (25%) | N/A | [20] |
Особенностью представленного нами клинического случая является манифестация заболевания с симптомокомплекса, характерного для ОКС, что могло быть обусловлено вовлечением в патологический процесс коронарных артерий. Этому предшествовали изменения на ЭКГ в виде нарушения процессов реполяризации в миокарде нижне-боковой стенки левого желудочка, давность которых неизвестна, однако при анализе архивной ЭКГ пациента от 2013 г. подобные изменения не обнаруживались.
Несмотря на то, что характер поражения сердца и сосудов у данного пациента во многом является типичным для БЭЧ, первой радиологической находкой явился округлый инфильтрат в области верхушки ПЖ, что ранее не описано в литературе. Нам также удалось обнаружить в литературе лишь одно упоминание стеноза ЛА в результате сдавления ее специфическим инфильтратом у больного БЭЧ [21].
Отдельного внимания заслуживает феномен отсроченного контрастирования гадолинием (LGE – late gadolinium enhancement) субэндокардиальных участков миокарда, что может быть обусловлено как постишемическими рубцовыми изменениями, так и специфическим поражением миокарда. В исследовании A. Ghotra и соавт. продемонстрировано, что у 5 из 10 пациентов с БЭЧ с поражением сердца по данным МРТ имел место феномен LGE, однако авторы затрудняются однозначно судить о генезе данных изменений и высказывают предположение, что они могут отражать как специфическое (БЭЧ-ассоциированное) поражение миокарда, так и предсуществующие фиброзные изменения [19, 22]. В представленном нами случае LGE-феномен, изначально трактуемый нами как постишемические изменения, вероятно, имел некоронарогенную природу, так как в процессе лечения подвергся обратному развитию.
Выбор терапии у пациентов с БЭЧ представляет трудную задачу, что обусловлено редкостью патологии, скудным количеством проспективных клинических исследований, высокой стоимостью ряда таргетных препаратов и необходимостью назначения их off-label. Недавно опубликованные рекомендации по диагностике и лечению БЭЧ содержат достаточно большой обновленный раздел по применению таргетных препаратов с учетом новых знаний в области молекулярно-генетических аспектов патогенеза заболевания, однако все рекомендации носят консенсусный характер и основываются на личном опыте экспертов и отдельных опубликованных случаях [7].
В представленном наблюдении терапия ИФН-α характеризовалась хорошим частичным ответом в течение 1-го года лечения, однако впоследствии эффект был утрачен и отмечалось достаточно быстрое прогрессирование заболевания с появлением сразу нескольких новых инфильтратов в области сердца. Выбор терапии 2-й линии обусловлен отсутствием у пациента доказанной мутации BRAF V600E, что делало невозможным использование ингибиторов BRAF, а также необходимостью получить быстрый и стойкий ответ на терапию. Стандартные режимы терапии как ингибиторами BRAF, так и ингибиторами MEK в настоящее время не разработаны и выбираются исходя из личного опыта клиницистов и переносимости лечения пациентом [7]. Согласно отдельным сообщениям применение у больных с БЭЧ ингибиторов BRAF- и МЕК-киназ в максимальных дозировках приводило к вынужденной деэскалации дозы у всех больных в связи с развитием НЯ, в то время как снижение дозы в 2 или даже 4 раза позволяло эффективно контролировать течение заболевания [23]. В нашем случае применение траметиниба в дозе 1 мг/сут осложнилось развитием периорбитального отека спустя 2 мес непрерывной терапии, что потребовало коррекции режима терапии.
На фоне лечения получена стойкая положительная динамика с тенденцией к дальнейшему постепенному регрессу патологических структур в области сердца. Новых НЯ не отмечено.
Заключение
В силу исключительной редкости (менее 1500 описанных случаев) и вариабельности клинических проявлений БЭЧ зачастую длительное время остается нераспознанной. Применение современных методов визуализации позволяет заподозрить БЭЧ на основании характерной картины поражения сердца и крупных сосудов. В соответствии с этим целесообразно помнить о БЭЧ как о возможной причине развития жизнеугрожающих осложнений в кардиологической практике и включать данную нозологию в круг дифференциально-диагностического поиска у больных с неясным ОКС, особенно в случае выявления дополнительных образований в области сердца и крупных сосудов.
Информированное согласие на публикацию. Пациент подписал форму добровольного информированного согласия на публикацию медицинской информации.
Consent for publication. Written consent was obtained from the patient for publication of relevant medical information and all of accompanying images within the manuscript.
Соответствие принципам этики. Протокол исследования был одобрен локальным этическим комитетом ФГБУ «Национальный медицинский исследовательский центр гематологии». Одобрение и процедуру проведения протокола получали по принципам Хельсинкской конвенции.
Ethics approval. The study was approved by the local ethics committee of National Research Center for Hematology, Moscow, Russia. The approval and procedure for the protocol were obtained in accordance with the principles of the Helsinki Convention.
Благодарности. Выражаем благодарность сотрудникам: Московского городского гематологического центра на базе ГБУЗ «ГКБ им. С.П. Боткина», ФГБУ «НМИЦ онкологии им. Н.Н. Блохина», ФГБУ «НМИЦ сердечно-сосудистой хирургии им. А.Н. Бакулева», ФГБУ «НМИЦ трансплантологии и искусственных органов им. В.И. Шумакова», ГКБ им. С.С. Юдина.
Об авторах
Виталий Дмитриевич Латышев
ФГБУ «Национальный медицинский исследовательский центр гематологии» Минздарава России
Автор, ответственный за переписку.
Email: LatyshevVD@gmail.com
ORCID iD: 0000-0003-0643-8807
врач-гематолог отд-ния орфанных заболеваний
Россия, МоскваЕлена Александровна Мершина
ФГБОУ ВО «Московский государственный университет им. М.В. Ломоносова»
Email: LatyshevVD@gmail.com
ORCID iD: 0000-0002-1266-4926
канд. мед. наук, доц. каф. лучевой диагностики и лучевой терапии, зав. отд-нием рентгенодиагностики с кабинетами МРТ и КТ
Россия, МоскваИрина Эдуардовна Костина
ФГБУ «Национальный медицинский исследовательский центр гематологии» Минздарава России
Email: LatyshevVD@gmail.com
ORCID iD: 0000-0003-4683-4118
канд. мед. наук, врач-рентгенолог, зав. отд-нием рентгенологии и компьютерной томографии
Россия, МоскваВалентин Евгеньевич Синицын
ФГБОУ ВО «Московский государственный университет им. М.В. Ломоносова»
Email: LatyshevVD@gmail.com
ORCID iD: 0000-0002-5649-2193
д-р мед. наук, проф., зав. каф. лучевой диагностики и лучевой терапии фак-та фундаментальной медицины, рук. отд. лучевой диагностики университетской клиники
Россия, МоскваЕлена Алексеевна Лукина
ФГБУ «Национальный медицинский исследовательский центр гематологии» Минздарава России
Email: LatyshevVD@gmail.com
ORCID iD: 0000-0002-8774-850X
д-р мед. наук, проф., зав. отд-нием орфанных заболеваний
Россия, МоскваСписок литературы
- Cohen-Aubart F, Emile J-F, Carrat F, et al. Phenotypes and survival in Erdheim-Chester disease: Results from a 165-patient cohort. Am J Hematol. 2018;93:E114-7. doi: 10.1002/ajh.25055
- Pegoraro F, Papo M, Maniscalco V, et al. Erdheim–Chester disease: a rapidly evolving disease model. Leukemia. 2020;34:2840-57. doi: 10.1038/s41375-020-0944-4
- Haroche J, Cohen-Aubart F, Amoura Z. Erdheim-Chester disease. Blood. 2020;135:1311-8. doi: 10.1182/blood.2019002766
- Haroche J, Charlotte F, Arnaud L, et al. High prevalence of BRAF V600E mutations in Erdheim-Chester disease but not in other non-Langerhans cell histiocytoses. Blood. 2012;120:2700-3. doi: 10.1182/blood-2012-05-430140
- Emile J-F, Diamond EL, Hélias-Rodzewicz Z, et al. Recurrent RAS and PIK3CA mutations in Erdheim-Chester disease. Blood. 2014;124:3016-9. doi: 10.1182/blood-2014-04-570937
- Diamond EL, Durham BH, Haroche J, et al. Diverse and Targetable Kinase Alterations Drive Histiocytic Neoplasms. Cancer Discov. 2016;6:154-65. doi: 10.1158/2159-8290.CD-15-0913
- Goyal G, Heaney ML, Collin M, et al. Erdheim-Chester disease: consensus recommendations for evaluation, diagnosis, and treatment in the molecular era. Blood. 2020;135:1929-45. doi: 10.1182/blood.2019003507
- Cives M, Simone V, Rizzo FM, et al. Erdheim–Chester disease: A systematic review. Crit Rev Oncol Hematol. 2015;95:1-11. doi: 10.1016/j.critrevonc.2015.02.004
- Estrada-Veras JI, O’Brien KJ, Boyd LC, et al. The clinical spectrum of Erdheim-Chester disease: an observational cohort study. Blood Adv. 2017;1:357-66. doi: 10.1182/bloodadvances.2016001784
- Arnaud L, Hervier B, Néel A, et al. CNS involvement and treatment with interferon-α are independent prognostic factors in Erdheim-Chester disease: a multicenter survival analysis of 53 patients. Blood. 2011;117:2778-82. doi: 10.1182/blood-2010-06-294108
- Goyal G, Shah MV, Call TG, et al. Efficacy of biological agents in the treatment of Erdheim–Chester disease. Br J Haematol. 2018;183:520-4. doi: 10.1111/bjh.14997
- Arnaud L, Gorochov G, Charlotte F, et al. Systemic perturbation of cytokine and chemokine networks in Erdheim–Chester disease: a single-center series of 37 patients. Blood. 2011;117:2783-90. doi: 10.1182/blood-2010-10-313510
- Diamond EL, Subbiah V, Lockhart AC, et al. Vemurafenib for BRAF V600-Mutant Erdheim-Chester Disease and Langerhans Cell Histiocytosis. JAMA Oncol. 2018;4:384. doi: 10.1001/jamaoncol.2017.5029
- Diamond EL, Durham BH, Ulaner GA, et al. Efficacy of MEK inhibition in patients with histiocytic neoplasms. Nature. 2019;567:521-4. doi: 10.1038/s41586-019-1012-y
- Haroche J, Amoura Z, Dion E, et al. Cardiovascular Involvement, an Overlooked Feature of Erdheim-Chester Disease. Medicine (Baltimore). 2004;83:371-92. doi: 10.1097/01.md.0000145368.17934.91
- Haroche J, Cluzel P, Toledano D, et al. Cardiac Involvement in Erdheim-Chester Disease. Circulation. 2009;119. doi: 10.1161/CIRCULATIONAHA.108.825075
- Chester W. Über Lipoidgranulomatose. Virchows Arch Pathol Anat Physiol Klin Med. 1930;279:561-602. doi: 10.1007/BF01942684
- Gianfreda D, Palumbo AA, Rossi E, et al. Cardiac involvement in Erdheim-Chester disease: an MRI study. Blood. 2016;128:2468-71. doi: 10.1182/blood-2016-07-724815
- Ghotra AS, Thompson K, Lopez-Mattei J, et al. Cardiovascular manifestations of Erdheim–Chester disease. Echocardiography. 2019;36:229-36. doi: 10.1111/echo.14231
- Costa IBS da S, Abdo ANR, Bittar CS, et al. Cardiovascular Manifestations of Erdheim-Chester’s Disease: A Case Series. Arq Bras Cardiol. 2018. doi: 10.5935/abc.20180218
- Villatoro-Villar M, Bold MS, Warrington KJ, et al. Arterial involvement in Erdheim–Chester disease. Medicine (Baltimore). 2018;97:e13452. doi: 10.1097/MD.0000000000013452
- Das JP, Xie L, Riedl CC, et al. Cardiothoracic manifestations of Erdheim-Chester disease. Br J Radiol. 2019;92:20190473. doi: 10.1259/bjr.20190473
- Saunders IM, Goodman AM, Kurzrock R. Real-World Toxicity Experience with BRAF/MEK Inhibitors in Patients with Erdheim-Chester Disease. Oncologist. 2020;25. doi: 10.1634/theoncologist.2019-0606
Дополнительные файлы





