Morphological and immunohistochemical predictors of renal response to therapy patients with myeloma cast nephropathy and dialysis-dependent acute kidney injury
- 作者: Rekhtina I.G.1, Kazarina E.V.1, Stolyarevich E.S.2,3, Kovrigina A.M.1,4, Dvirnyk V.N.1, Kulikov S.M.1, Mendeleeva L.P.1
-
隶属关系:
- National Research Center for Hematology
- Moscow City Nephrology Center, Moscow City Hospital 52
- Yevdokimov Moscow State University of Medicine and Dentistry
- Federal Research Clinical Center of Specialized Types of Medical Care and Medical Technologies
- 期: 卷 92, 编号 7 (2020)
- 页面: 63-69
- 栏目: Original articles
- ##submission.dateSubmitted##: 25.08.2020
- ##submission.datePublished##: 01.09.2020
- URL: https://ter-arkhiv.ru/0040-3660/article/view/43124
- DOI: https://doi.org/10.26442/00403660.2020.07.000776
- ID: 43124
如何引用文章
全文:
详细
Aim. Reveal morphological and immunohistochemical predictors of reversibility of dialysis-dependent acute kidney injury (AKI) in patients with myeloma cast nephropathy (MCN) based on the study of kidney biopsy.
Materials and methods. Renal pathological findings were studied in 36 patients with MCN and dialysis-dependent stage 3 AKI (AKIN, 2012). The study of biopsy samples was performed by a semi-quantitative and quantitative analysis using computer morphometry. The expression of E-cadherin, vimentin and á-smooth muscle actin was determined immunohistochemically in the tubular cells and interstitium. Induction therapy for 26 patients was carried out to bortezomib-based programs; in 10 patients other schemes were used. A comparative analysis of morphological changes in nephrobiopathy depending on the renal response was performed in patients with achieved hematologic remission.
Results. Improved renal function was observed only in patients with hematologic response to therapy. There were no differences in the number of sclerotic glomeruli, protein casts, the area of inflammatory interstitial infiltration, and the degree of acute tubular damage in patients with and without renal response. In patients with renal response compared with patients without improving renal function, the area of interstitial fibrosis was less (24.9% and 45.9%, respectively; p=0.001), and the area of E-cadherin expression was larger (15.9% and 7.1%, respectively; p=0.006). Interstitial fibrosis of 40% or more and/or the area of expression of E-cadherin less than 10% of the area of tubulo-interstitium have an unfavorable prognostic value in achieving a renal response in MCN.
Conclusion. If the interstitial fibrosis area is 40% or more and the expression area of E-cadherin is less than 10%, the probability of the absence of a renal response is 93.3% (OR=24.5) even when a hematological response to induction therapy is achieved. The number of protein casts, the prevalence of acute tubular damage and inflammatory interstitial infiltration have not prognostic value.
全文:
ИГХ – иммуногистохимия
ИФ/ТА – интерстициальный фиброз/тубулярная атрофия
Ме – медиана
МКН – миеломная каст-нефропатия
ММ – множественная миелома
ОПП – острое повреждение почек
ПО – почечный ответ
СКФ – скорость клубочковой фильтрации
СЛЦ – свободные легкие цепи иммуноглобулинов
ХБП – хроническая болезнь почек
α-ГМА – α-гладкомышечный актин
Введение
Миеломная каст-нефропатия (МКН) – основная причина острого повреждения почек (ОПП) при множественной миеломе (ММ) [1, 2]. В 5–9% всех случаев впервые диагностированной ММ развивается ОПП с потребностью в заместительной почечной терапии [3, 4]. По данным Российского регистра, включающего с 2017 г. 2992 пациентов с ММ, в дебюте заболевания скорость клубочковой фильтрации (СКФ) менее 40 мл/мин выявлена у 22% больных. Из них у 42% больных отмечалось критическое снижение функции почек (СКФ<15 мл/мин) и 23% уже получали заместительную почечную терапию [5].
МКН развивается вследствие избыточной секреции и экскреции с мочой моноклональных свободных легких цепей иммуноглобулинов (СЛЦ), которые оказывают прямое токсическое действие на клетки проксимального отдела и приводят к образованию цилиндров в дистальном отделе канальцев. Повреждение эпителия, наличие белковых цилиндров в совокупности с воспалительной инфильтрацией и отеком интерстиция составляют морфологические признаки МКН. Диагноз подтверждают иммунофлуоресцентным исследованием, доказывающим в составе цилиндров один изотип легких цепей (ê или λ) в соответствии с характером моноклональной секреции. Особенностью МКН является возможность чрезвычайно быстрого, в течение 2 мес, развития интерстициального фиброза и тубулярной атрофии (ИФ/ТА) – морфологического субстрата хронической болезни почек (ХБП) [6].
Токсическое действие моноклональных СЛЦ реализуется через активацию каспаз 3, 9, а также сигнальной апоптозрегулирующей киназы 1 (ASK1), что приводит к апоптозу клеток эпителия проксимальных отделов канальцев [7]. Повреждение дистального отдела развивается вследствие обструкции белковыми цилиндрами и повышения внутриканальцевого давления. Помимо апоптоза большое значение в формировании ИФ/ТА придают эпителиально-мезенхимальной трансформации клеток проксимального отдела канальцев. Ранее доказана выраженность этого процесса при МКН [8].
Улучшение функции почек при ОПП вследствие МКН наблюдают чаще при степени редукции опухоли, соответствующей критериям гематологического ответа [9–12]. Ранее нами показано, что у пациентов с ОПП и потребностью в диализе для почечного ответа (ПО) важно также быстрое снижение содержания СЛЦ [6, 9]. Исключение составляют больные с дегидратацией, у которых функция почек может улучшиться после коррекции водного обмена до начала химиотерапии [13]. Однако даже при ранней эффективной редукции СЛЦ с применением экстракорпоральных методов функция почек при ОПП с потребностью в диализе улучшается не у всех, а лишь у 61–65% больных [14, 15]. При этом у большей части пациентов удается достигнуть лишь частичного или минимального ПО (СКФ<60 мл/мин), что соответствует ХБП 3б/4-й стадии (критерий С, KDIGO) [6, 12, 16–18].
Причины несоответствия частоты гематологического ответа и ПО при МКН неясны. Также не определены морфологические предикторы обратимости ОПП при МКН. Имеющиеся данные по этому вопросу малочисленны, противоречивы и не позволяют сделать индивидуальный прогноз. Некоторые исследователи считают, что на почечный прогноз влияет число белковых цилиндров. Обратимость ОПП наблюдалась реже при количестве белковых цилиндров в нефробиоптате более 25 в 10 полях зрения [19]. Нами ранее показано, что важным прогностическим фактором в достижении ПО при МКН является выраженность ИФ/ТА. При фиброзе интерстиция 40% и более (по результатам количественного анализа методом компьютерной морфометрии) вероятность отсутствия ПО составляет 85% (при доверительном интервале 95%) даже при достижении гематологического ответа на индукционную противомиеломную терапию первой линии [13].
Цель исследования – изучить основные составляющие МКН у пациентов с тяжелым ОПП и оценить их прогностическое значение в ПО при эффективной индукционной противомиеломной терапии.
Материалы и методы
Пациенты. В исследование ретроспективно включены 36 пациентов с впервые установленной ММ, 3-й стадией ОПП по классификации AKIN [18] и гистологически подтвержденной МКН. Пункционная биопсия почки выполнялась до начала противомиеломной терапии. Диагноз ММ, противоопухолевый ответ и ПО устанавливали в соответствии с критериями Международной рабочей группы по изучению ММ (IMWG) [1]. СКФ рассчитывали по формуле CKD-EPI [20].
Характеристика пациентов, включенных в исследование, представлена в табл. 1.
Таблица 1. Характеристика пациентов | |
Показатель | Пациенты (n=36) число пациентов, % или Ме (разброс значений) |
Возраст, лет | 58 (38–74) |
Пол, м:ж | 16:20 |
Парапротеин: PIgG/PIgА/PIgD/BJ | 12 (33%)/3 (8%)/5 (15%)/16 (44%) |
СЛЦ ê/λ | 22 (61%)/14 (39%) |
Среднее содержание моноклональных СЛЦ, мг/л | 3310 (200–17 350) |
Концентрация белка Бенс-Джонса в моче, г/л | 1,26 (0,11–7,8) |
Тип протеинурии канальцевый/клубочковый | 29 (81%)/7 (19%) |
Гистологическое исследование биоптата: МКН/сочетание с болезнью отложения легких цепей/сочетание с AL-амилоидозом | 36 (100%)/6 (14%)/3 (9%) |
Предшествующие нефротоксические факторы: Сопутствующие заболевания/применение нестероидных противовоспалительных препаратов/дегидратация/гиперкальциемия | 21 (58%)/8 (36%)/3 (9%)/11 (31%) |
Креатинин сыворотки в дебюте заболевания, мкмоль/л | 1057 (398–2400) |
СКФ, мл/мин/1,73 м2 | 4 (2–11) |
Нарушение водовыделительной функции почек (олигоурия или анурия) | 16 (44%) |
Время от начала гемодиализа до ПО, дни | 84 (1–215) |
Время от дебюта ОПП до начала терапии, дни | 42 (8–88) |
Время от установки диагноза ММ до начала терапии, дни | 21 (7–72) |
Время от начала химиотерапии до получения ПО, дни | 74 (16–183) |
Индукционная терапия Бортезомибсодержащие курсы/другие курсы | 26 (72%)/10 (28%) |
Гематологический ответ | 24 (67%) |
Полная ремиссия/очень хорошая частичная ремиссия/частичная ремиссия | 4 (11%)/8 (22%)/6 (17%) |
ПО | 10 (28%) |
Полный/частичный/минимальный | 0 (0%)/3 (8%)/7 (20%) |
Патоморфологическое исследование
Проспективно выполнен полуколичественный и количественный анализ нефробиоптатов. Степень острого повреждения канальцев, ИФ/ТА оценивали согласно общепринятой полуколичественной классификации. Выделяли 4 степени поражения: 0-я (отсутствие) – <10%, 1-я (легкая) – 10–25%, 2-я (умеренная) – 25–50%, 3-я (тяжелая) – >50% [21, 22]. Визуально подсчитывали полностью склерозированные клубочки (в процентах от общего количества клубочков), а также число белковых цилиндров в поле зрения. К белковым цилиндрам вследствие МКН относили фрагментированные PAS-негативные цилиндры в просветах канальцев с мультиядерной клеточной реакцией вокруг. Компьютерную морфометрию выполняли с помощью микроскопа Leica DM 1000LED, камеры Leica DFC 450 (формат захвата камеры 2560×1920 full frame HD) и цифрового модуля Leica Application Suite версии 4.11.0 (Германия). Рассчитывали процент фиброза интерстиция, а также процент площади клеточной воспалительной инфильтрации (КВИ) как отношение к площади интерстиция коркового вещества почки. Площадь интерстиция определяли по стандартной методике [23], модифицированной для пациентов с МКН [24].
Иммуногистохимическое (ИГХ) исследование нефробиоптатов с антителами к эпителиальному маркеру Е-кадгерину, мезенхимальным маркерам – виментину и α-гладкомышечному актину (α-ГМА) выполнено 31 пациенту. Экспрессию всех маркеров в эпителии канальцев и интерстиции оценивали полуколичественно и количественно с помощью компьютерной морфометрии. Критерием состоявшейся эпителиально-мезенхимальной трансформации клеток эпителия канальцев считали экспрессию маркера мезенхимальной дифференцировки виментина более чем в 10% просветов канальцев [25, 26]. Отдельно подсчитывали число канальцев с интенсивной и слабой экспрессией Е-кадгерина.
Для статистического анализа полученных данных использовали классические методы описательного и частотного анализа. Оценка прогностического потенциала количественных показателей проводилась с помощью логистического и ROC-анализа. Для выработки решающих правил прогноза и его графического представления использовался метод двумерного дискриминантного анализа. Статистический анализ выполнен с помощью программы SAS 9.4.
Результаты
Клинические данные
Гематологический ответ на первой линии индукционной терапии достигнут у 24 (67%) больных, из них ПО получен у 10. У 3 пациентов наблюдался частичный ПО, у 7 – минимальный. Важно отметить, что при отсутствии гематологического ответа ни у одного пациента ПО не достигнут.
Медиана времени от дебюта ОПП до начала противомиеломной терапии составила 42 дня (8–88). При начале химиотерапии до 4 нед от дебюта ОПП функция почек улучшилась у 89% больных, после 4 нед – лишь в 50% случаев (р<0,05). У 64% пациентов химиотерапия начата через 4 нед и позже от диагностики ОПП.
Дополнительные факторы, ухудшающие функцию почек, такие как дегидратация, гиперкальциемия, прием нестероидных противовоспалительных препаратов, выявлены у 29 (81%) пациентов. Дегидратация диагностирована у 3 (7%) пациентов. После коррекции водного состояния у всех пациентов функция почек улучшилась до начала индукционной химиотерапии, они перестали нуждаться в проведении гемодиализа.
Результаты морфологических исследований
У 6 (17%) больных с изолированной МКН клубочки не изменены. Склероз клубочков выявлен у пациентов с сочетанием МКН и других парапротеинобусловленных нефропатий (болезнью отложения легких цепей или AL-амилоидозом) или сопутствующими заболеваниями (табл. 2).
Таблица 2. Число склерозированных клубочков у пациентов с изолированной МКН и сочетанной патологией | ||
Пациенты (n=36) | Процент склерозированных клубочков, Ме | |
МКН | 6 | 0 (0–25) |
МКН + сопутствующие заболевания: | 21 | 4,7 (0–85,7) |
Сахарный диабет | 2 | |
Артериальная гипертензия | 6 | |
Хронический пиелонефрит | 4 | |
Сочетание 2 и более заболеваний | 9 | |
МКН + болезнь отложения легких цепей или МКН + AL-амилоидоз | 9 | 2,3 (0–33,3) |
Число белковых цилиндров существенно варьировало у разных пациентов (Ме 6,5 в поле зрения; 0,8–36,5). Корреляции между числом белковых цилиндров и содержанием белка Бенс-Джонса в сыворотке и моче не обнаружено (r=0,2, p=0,223).
У всех пациентов выявлены признаки как острого повреждения эпителия канальцев, так и ТА. У 23 (64%) больных признаки острого повреждения отмечались более чем в 25% от числа просветов канальцев, т.е. соответствовали 2-й степени. Распространенность канальцевой атрофии у 12 (38%) пациентов соответствовала 1-й степени (т.е. отмечалась в 10–25% канальцев), у 18 (56%) – 2-й (26–50% канальцев) и у 2 (6%) – 3-й степени (>50% канальцев). У 4 пациентов анализ ТА технически невозможен.
Медиана площади клеточной воспалительной инфильтрации составила 6,6% (0–22,6) от площади интерстиция.
ИФ/ТА 1-й степени выявлены у 13 (37%) больных, 2-й – у 20 (57%), 3-й – у 3 (6%) пациентов. При количественном морфометрическом анализе медиана выраженности фиброза интерстиция во всей группе пациентов составила 26,1% (12,9–59). Не выявлено корреляционной связи между количественными показателями ИФ/ТА и числом цилиндров, выраженностью острого повреждения канальцев, клеточной воспалительной инфильтрацией.
Нами подтверждено, что экспрессия Е-кадгерина и виментина/α-ГМА имеет противоположную направленность, т.е. клетки тубулярного эпителия одновременно не могут экспрессировать Е-кадгерин и виментин и/или α-ГМА (рис. 1).
Рис. 1. Иммуногистохимическое исследование биоптата почки у пациента с МКН и острым повреждением почек.
Примечание. А – реакция с антителами к Е-кадгерину, Б – реакция с антителами к виментину, В – реакция с антителами к α-ГМА. Представлено окрашивание идентичных срезов. Стрелками указан каналец, клетки эпителия которого экспрессируют Е-кадгерин (А) и не экспрессируют виментин (Б) и α-ГМА (В). Световая микроскопия, ×400.
По результатам анализа экспрессии виментина у 84% пациентов диагностирована состоявшаяся эпителиально-мезенхимальная трансформация клеток эпителия почечных канальцев. У 16% пациентов с отсутствием эпителиально-мезенхимальной трансформации функция почек улучшилась.
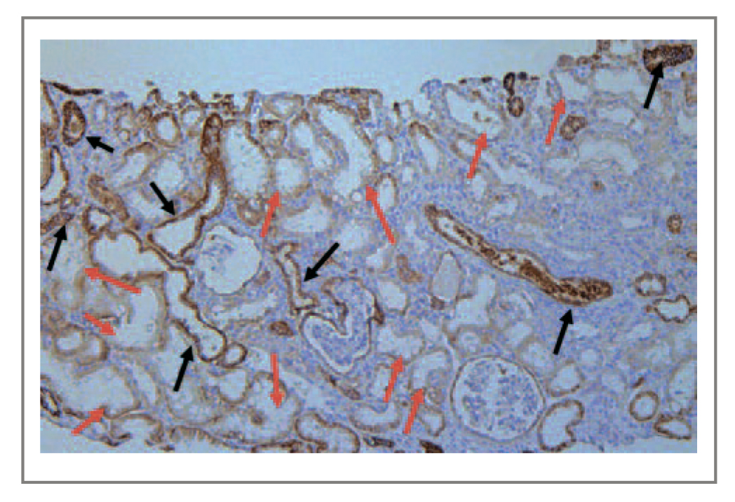
При ИГХ-исследовании с E-кадгерином выявлена различная интенсивность его экспрессии почечными канальцами (рис. 2).
Рис. 2. Экспрессия E-кадгерина у пациента с МКН и ОПП 3-й стадии. ИГХ-исследование, световая микроскопия, ¥100
.
Примечание. Черными стрелками указан пример интенсивной экспрессии Е-кадгерина в дистальных канальцах; красными – пример слабоположительной экспрессии маркера в проксимальном отделе канальцев.
Площадь интенсивной экспрессии Е-кадгерина составила 33,9% (9,1–62,5), площадь слабой экспрессии – 22,8% (6,9–54,3) от площади эпителия канальцев. Медиана площади экспрессии виментина составила 29,4% (6,3–57,7), α-ГМА – 39,5% (14,9–69,9). Выявлена прямая корреляционная связь между площадью тубулоинтерстиция, экспрессирующего виментин и α-ГМА (r=0,425, p=0,017), что подтверждает однонаправленность экспрессии мезенхимальных маркеров. Распространенность экспрессии E-кадгерина прямо коррелировала с выраженностью острого повреждения канальцев (Rs=0,465; p=0,017).
Сопоставление клинических и морфологических результатов исследования
Проведено сравнение морфологических изменений в почках пациентов с гематологическим ответом на лечение в соответствии с ПО (табл. 3).
Таблица 3. Результаты исследования биоптатов почек у пациентов с МКН с гематологическим ответом на химиотерапию | |||
Показатели число пациентов (%) или Ме (разброс значений) | Пациенты с гематологическим ответом (n=17) | р | |
с ПО (n=11) | без ПО (n=8) | ||
Склерозированные клубочки, % | 4,8 (0–33,3) | 3,5 (0–40) | 0,84 |
Количество цилиндров в поле зрения | 6,4 (1,3–36,5) | 6,4 (4–31) | 0,69 |
Площадь цилиндров от просвета канальцев, % | 13,6 (2,9–58,4) | 15,1 (4,9–77,5) | 0,81 |
Степень ТА, % | 1-я – 53 | 1-я – 17 | 0,03 |
2-я – 47 | 2-я – 50 | ||
3-я – 0 | 3-я– 33 | ||
Степень острого повреждения канальцев, % | 1-я – 23 | 1-я – 33 | 0,876 |
2-я – 53 | 2-я – 50 | ||
3-я – 24 | 3-я – 17 | ||
Площадь клеточной воспалительной инфильтрации в поле зрения, % | 2,6 (0–6,1) | 1,6 (1,3–9,2) | 0,45 |
Площадь клеточной воспалительной инфильтрации от площади интерстиция, % | 6,3 (0–22,6) | 4,7 (2,6–17,5) | 0,156 |
Площадь фиброза интерстиция (полуколичественно), % | 1-я степень – 50 | 1-я степень – 0 | 0,008 |
2-я степень – 50 | 2-я степень – 71 | ||
3-я степень – 0 | 3-я степень – 29 | ||
Площадь фиброза интерстиция, % | 24,9 (12,9–39,3) | 45,9 (19,1–59) | 0,001 |
Экспрессия ИГХ-маркеров | |||
Доля канальцев, экспрессирующих Е-кадгерин, % | 61,9 (47,8–82,1) | 53,8 (9,1–74) | 0,35 |
Доля канальцев, интенсивно экспрессирующих E-кадгерин, % | 32,6 (23,6–48,9) | 40,6 (9,1–62,5) | 0,624 |
Доля канальцев, слабоположительно экспрессирующих E-кадгерин, % | 26,9 (15,3–41,2) | 11,5 (0–15,8) | 0,002 |
Площадь экспрессии E-кадгерина от площади тубулоинтерстиция, % | 15,9 (5,4–24,8) | 7,1 (4,2–12) | 0,006 |
Площадь экспрессии виментина от площади тубулоинтерстиция, % | 22,9 (6,3–43,9) | 23,5 (11,1–48,4) | 0,785 |
Площадь экспрессии α-ГМА от площади тубулоинтерстиция, % | 33,5 (14,9–56,5) | 47,5 (30,6–64,2) | 0,24 |
Количество склерозированных клубочков не различалось у больных с ПО и без него. Число белковых цилиндров оказалось равным. Острое повреждение канальцев выявлено во всех случаях, и его распространенность статистически значимо не влияла на ПО. Выделенные группы различались по степени ИФ/ТА. У пациентов с улучшением функции почек преобладала 1-я степень ТА. ТА 3-й степени определялась только у пациентов с отсутствием ПО на химиотерапию. Площадь фиброза интерстиция у больных с ПО меньше по сравнению с группой пациентов без улучшения функции почек (соответственно 24,9 и 45,9%; р=0,001).
При ИГХ-исследовании распространенность экспрессии виментина и α-ГМА не различалась. В то же время площадь экспрессии E-кадгерина у пациентов с ПО на терапию отмечена существенно больше, чем без ПО (соответственно 15,9 и 7,1%; p=0,006). Это различие обусловлено большим числом канальцев со слабой экспрессией Е-кадгерина у пациентов с ПО.
Таким образом, морфологические различия в нефробиоптатах пациентов с ПО и без него различались только по площади ИФ/ТА и площади экспрессии E-кадгерина. Между площадью экспрессии E-кадгерина и фиброзом интерстиция статистически значимой корреляционной связи не установлено (Rs=-0,335, p=0,065).
С использованием двумерного дискриминантного анализа на группе пациентов с достигнутым гематологическим ответом (n=24) разработана прогностическая модель и создано логическое правило, которое определяет неблагоприятную группу по достижению ПО. При площади экспрессии Е-кадгерина менее 10% и/или площади фиброза интерстиция более 40% (от площади интерстиция) отношение шансов отсутствия ПО составляет 24,5; рис. 3.
Рис. 3. Суммарное прогностическое значение распространенности фиброза интерстиция и экспрессии Е-кадгерина.
У пациентов с неблагоприятным прогнозом по ПО вероятность восстановления функции почек в 24 раза меньше, чем при благоприятном прогнозе. Сочетание двух параметров позволяет прогнозировать отсутствие ПО с вероятностью 93,3%.
Площадь экспрессии E-кадгерина менее 10% выявлена у 42% пациентов. Фиброз интерстиция 40% и более установлен у 33% больных. В 5 (21%) случаях имелось сочетание площади экспрессии E-кадгерина менее 10% и площади фиброза интерстиция больше 40%. Таким образом, согласно предложенной прогностической модели у 13 (54%) пациентов из анализируемой когорты улучшение функции почек маловероятно, несмотря на эффективность противоопухолевой терапии.
Обсуждение
Ранняя диагностика МКН и эффективность терапии – основные факторы, определяющие обратимость ОПП. По нашим данным, время от дебюта ОПП до диагностики МКН и начала противоопухолевой терапии составило 42 (8–88) дня. В момент диагностики МКН у всех пациентов определялись ИФ/ТА, составляющие 26,1% (12,9–59) от площади тубулоинтерстиция, при этом у большей части (63%) пациентов ИФ/ТА соответствовали 2 и 3-й степени. ИФ/ТА – необратимый компонент повреждения почек, морфологический субстрат ХБП. Именно выраженностью ИФ/ТА можно объяснить отсутствие улучшения функции почек у пациентов с достигнутым гематологическим ответом на лечение, а также редкость полного ПО у этой категории пациентов. Малую частоту обратимости ОПП у пациентов с потребностью в диализе в реальной клинической практике подтверждают и другие исследователи [17]. По опубликованным данным, при общем гематологическом ответе 73,9% на бортезомибсодержащих программах терапии ПО составил лишь 23,5%. Время от момента повреждения почек до начала противомиеломной терапии составило 93,4 (41,7–145,1) дня [17]. Совершенно очевидно, что к моменту начала терапии у большей части пациентов было не ОПП, а ХБП.
Наряду с полуколичественным анализом нами выполнен точный подсчет структур почки с применением технологии компьютерной морфометрии. Необходимость данного подхода обусловлена неточностью полуколичественного анализа. В частности, ИФ/ТА 2-й степени (25–50% пораженного тубулоинтерстиция) одинаково часто выявляли у пациентов с ПО и без него. Проведенный количественный анализ позволил получить точные значения и выявить значимые различия в распространенности фиброза интерстиция внутри этого диапазона.
Результаты нашей работы показали, что число белковых цилиндров не имеет прогностического значения в ПО, хотя существует и противоположное мнение [19]. Мы не выполняли повторные биопсии почки после лечения. В этой связи неизвестно, у всех ли пациентов и в одинаковой ли степени резорбировались белковые цилиндры после проведенной терапии. В литературе представлены описания лишь 5 пациентов с МКН, которым выполняли повторные биопсии почки после терапии. Число белковых цилиндров уменьшалось, однако прогрессировал индекс хронического повреждения интерстиция (с 10 до 42%). У 1 пациента число цилиндров осталось прежним и функция почек не улучшилась [27]. В этой связи правомочно предположение, что резорбция белковых цилиндров после терапии может быть различной и влиять на ПО.
У всех пациентов наблюдались признаки острого повреждения канальцев, распространенность которого не различалась между сравниваемыми группами.
Для более точной характеристики состояния канальцев мы использовали ИГХ-исследование с основными маркерами, определяющими эпителиальную или мезенхимальную дифференцировку. Виментин в норме не экспрессируется клетками канальцев [28]. По нашим данным, экспрессия виментина более чем в 10% канальцев выявлена у 84% пациентов, что подтверждает выраженность этого процесса при МКН. Экспрессия α-ГМА в норме не должна определяться в структурах почки, наличие этого маркера свидетельствует о фибробластической трансформации [25, 29]. В нашем исследовании экспрессия α-ГМА составила 39,5% (14,9–69,9) от площади тубулоинтерстиция, что подтверждает выраженность фенотипической необратимой трансформации эпителия тубулярных клеток. Е-кадгерин в здоровой почке экспрессируется преимущественно клетками эпителия дистальных канальцев и собирательных трубочек, минимально – в клетках проксимального отдела канальцев [29–31]. На основании разной интенсивности окрашивания мы различали проксимальный отдел канальцев (слабая экспрессия) и дистальный (интенсивная экспрессия). Нами показано, что сохраненная экспрессия Е-кадгерина в проксимальных канальцах является благоприятным фактором в достижении ПО на противомиеломную терапию. Отсутствие эпителиально-мезенхимальной трансформации эпителия канальцев – благоприятный признак обратимости ОПП при МКН.
Разработанная нами прогностическая модель на основе площади фиброза интерстиция и экспрессии E-кадгерина позволяет с высокой точностью прогнозировать отсутствие ПО даже при эффективности индукционной терапии. Аналогичных работ по морфологическим предикторам ПО ранее не выполнялось.
Заключение
ИФ/ТА и площадь экспрессии Е-кадгерина – основные морфологические предикторы ПО при ОПП вследствие МКН. При площади фиброза интерстиция 40% и более и площади экспрессии Е-кадгерина менее 10% вероятность отсутствия ПО составляет 93,3% даже при эффективной индукционной терапии. В реальной клинической практике у 21% пациентов в момент диагностики ММ морфологические изменения в почках соответствуют терминальной стадии ХБП. Полученные данные объясняют различия в частоте гематологического ответа и ПО на противоопухолевую терапию.
作者简介
I. Rekhtina
National Research Center for Hematology
Email: kazarina.ev@yandex.ru
ORCID iD: 0000-0001-5440-4340
д.м.н., зав. отд-нием химиотерапии плазмоклеточных дискразий ФГБУ «НМИЦ гематологии»
俄罗斯联邦, MoscowE. Kazarina
National Research Center for Hematology
编辑信件的主要联系方式.
Email: kazarina.ev@yandex.ru
ORCID iD: 0000-0002-9854-9354
врач-нефролог группы гемодиализа отд-ния реанимации и интенсивной терапии ФГБУ «НМИЦ гематологии»
俄罗斯联邦, MoscowE. Stolyarevich
Moscow City Nephrology Center, Moscow City Hospital 52; Yevdokimov Moscow State University of Medicine and Dentistry
Email: kazarina.ev@yandex.ru
ORCID iD: 0000-0002-0402-8348
д.м.н., проф., патологоанатомическое отд-ние ГБУЗ «ГКБ №52»; каф. нефрологии ФГБОУ ВО «МГМСУ им. А.И. Евдокимова»
俄罗斯联邦, MoscowA. Kovrigina
National Research Center for Hematology; Federal Research Clinical Center of Specialized Types of Medical Care and Medical Technologies
Email: kazarina.ev@yandex.ru
ORCID iD: 0000-0002-1082-8659
д.б.н., проф. каф. клинической лабораторной диагностики и патологической анатомии Академии последипломного образования ФГБУ ФНКЦ, зав. патологоанатомическим отд-нием ФГБУ «НМИЦ гематологии»
俄罗斯联邦, MoscowV. Dvirnyk
National Research Center for Hematology
Email: kazarina.ev@yandex.ru
ORCID iD: 0000-0002-9877-0796
к.м.н., зав. центральной клинико-диагностической лаб. ФГБУ «НМИЦ гематологии»
俄罗斯联邦, MoscowS. Kulikov
National Research Center for Hematology
Email: kazarina.ev@yandex.ru
ORCID iD: 0000-0001-8188-5557
к.т.н., зав. информационно-аналитическим отд. ФГБУ «НМИЦ гематологии»
俄罗斯联邦, MoscowL. Mendeleeva
National Research Center for Hematology
Email: kazarina.ev@yandex.ru
ORCID iD: 0000-0002-4966-8146
д.м.н., проф., зам. ген. дир. по научной работе и инновациям ФГБУ «НМИЦ гематологии»
俄罗斯联邦, Moscow参考
- Rajkumar SV, Dimopoulos MA, Palumbo A, et al. International Myeloma Working Group updated criteria for the diagnosis of multiple myeloma. Lancet Oncol. 2014;15 (12):e538-e548. doi: 10.1016/S1470-2045 (14)70442-5
- Dimopoulos MA, Sonneveld P, Leung N, et al. International Myeloma Working Group Recommendations for the Diagnosis and Management of Myeloma-Related Renal Impairment. J Clin Oncol. 2016;34(13):1544-57. doi: 10.1200/JCO.2015.65.0044
- Bladé J, Fernández-Llama P, Bosch F, et al. Renal failure in multiple myeloma: Presenting features and predictors of outcome in 94 patients from a single institution. Arch Int Med. 1998;158(17):1889-93. doi: 10.1001/archinte.158.17.1889
- Yadav P, Cook M, Cockwell P. Current Trends of Renal Impairment in Multiple Myeloma. Kidney Dis. 2016;1(4):241-57. doi: 10.1159/000442511
- Mendeleeva LP, Solovev MV, Alexeeva A, et al. Multiple Myeloma in Russia (First Results of the Registration Trial). Blood. 2017;130(Suppl. 1):5408.
- Рехтина И.Г., Менделеева Л.П., Бирюкова Л.С. Диализзависимая почечная недостаточность у больных множественной миеломой: факторы обратимости. Терапевтический архив. 2015;87(7):72 [Rekhtina IG, Mendeleeva LP, Biryukova LS. Dialysis-dependent renal failure in patients with multiple myeloma: Reversibility factors. Terapevticheskij Arhiv. 2015;87(7):72 (In Russ.)]. doi: 10.17116/terarkh201587772-76
- Ying WZ, Wang PX, Sanders PW. Pivotal role of apoptosis signal-regulating kinase 1 in monoclonal free light chain-mediated apoptosis. Am J Pathol. 2012;180(1):41-7. doi: 10.1016/j.ajpath.2011.09.017
- Hertig A, Bonnard G, Ulinski T, et al. Tubular nuclear accumulation of Snail and epithelial phenotypic changes in human myeloma cast nephropathy. Human Pathol. 2011;42(8):1142-8. doi: 10.1016/j.humpath.2010.11.006
- Рехтина И.Г., Менделеева Л.П., Варламова Е.Ю., Бирюкова Л.С. Сравнение эффективности бортезомибсодержащих программ в достижении раннего гематологического и почечного ответа у больных миеломной нефропатией с диализзависимой почечной недостаточностью. Гематология и трансфузиология. 2015;60(4):4-7 [Rekhtina IG, Mendeleeva LP, Varlamova EYu, Biryukova LS. Comparison of the efficiency of bortezomib-based protocols in induction of an early hematological and renal response in myeloma nephropathy patients with hemodialysis-dependent renal failure. Gematologiya i transfuziologiya. 2015;60(4):4-7 (In Russ.)].
- Ludwig H, Adam Z, Hajek R, et al. Light chain-induced acute renal failure can be reversed by bortezomib-doxorubicin-dexamethasone in multiple myeloma: results of a phase II study. J Clin Oncol. 2010;28(30):4635-41. doi: 10.1200/JCO.2010.28.1238
- Ludwig H, Rauch E, Kuehr T, et al. Lenalidomide and dexamethasone for acute light chain-induced renal failure: a phase II study. Haematologica. 2015;100(3):385-91. doi: 10.3324/haematol.2014.115204
- Dimopoulos MA, Roussou M, Gkotzamanidou M, et al. The role of novel agents on the reversibility of renal impairment in newly diagnosed symptomatic patients with multiple myeloma. Leukemia. 2013;27(2):423-9. doi: 10.1038/leu.2012.182
- Рехтина И.Г., Казарина Е.В., Столяревич Е.С. и др. Прогностическое значение фиброза интерстиция в нефробиоптате в обратимости острого почечного повреждения при цилиндровой нефропатии у пациентов с множественной миеломой. Нефрология и диализ. 2019;21(3):312-9 [Rekhtina IG, Kazarina EV, Stolyarevich ES, et al. Interstitial fibrosis and outcomes of acute kidney injury in myeloma cast nephropathy. Nefrologiya i dializ. 2019;21(3):312-9 (In Russ.)]. doi: 10.28996/2618-9801-2019-3-312-319
- Hutchison CA, Bladé J, Cockwell P, et al.; International Kidney and Monoclonal Gammopathy Research Group. Novel approaches for reducing free light chains in patients with myeloma kidney. Nat RevNephrol. 2012;8(4):234-43. doi: 10.1038/nrneph.2012.14
- Bridoux F, Carron PL, Pegourie B, et al.; MYRE Study Group. Effect of High-Cutoff Hemodialysis vs Conventional Hemodialysis on Hemodialysis Independence among Patients with Myeloma Cast Nephropathy: A Randomized Clinical Trial. JAMA. 2017;318(21):2099-110. doi: 10.1001/jama.2017.17924
- Chanan-Khan AA, Kaufman JL, Mehta J, et al. Activity and safety of bortezomib in multiple myeloma patients with advanced renal failure: a multicenter retrospective study. Blood. 2007;109(6):2604-6. doi: 10.1182/blood-2006-09-046409
- Семочкин С.В., Желнова Е.И., Мисюрина Е.Н. и др. Клиническое значение восстановления функции почек у больных впервые диагностированной множественной миеломой, осложненной тяжелой и диализ-зависимой почечной недостаточностью. Гематология и трансфузиология. 2019;64(3):283-96 [Semochkin SV, Zhelnova EI, Misyurina EN, et al. Сlinical importance of renal recover on outcomes of newly diagnosed multiple myeloma patients with severe and dialysis-dependent kidney failure. Gematologiya i transfuziologiya. 2019;64(3):283-96 (In Russ.)]. doi: 10.35754/0234-5730-2019-64-3-283-296
- KDIGO. Kidney Disease: Improving Global Outcomes. CKD Work Group. KDIGO 2012 Clinical Practice Guideline for the Evaluation and Management of Chronic Kidney Disease. Kidney Int Suppl. 2013;3(1):339. doi: 10.1038/kisup.2012.48
- Ecotière L, Thierry A, Debiais-Delpech C, et al. Prognostic value of kidney biopsy in myeloma cast nephropathy: A retrospective study of 70 patients. Nephrol Dialys Transplant. 2016;31(1):64-72. doi: 10.1093/ndt/gfv283
- Levey AS, Stevens LA, Schmid CH, et al.; CKD-EPI (Chronic Kidney Disease Epidemiology Collaboration). A new equation to estimate glomerular filtration rate. Ann Int Med. 2009;150(9):604-12. doi: 10.7326/0003-4819-150-9-200905050-00006
- Solez K, Colvin RB, Racusen LC, et al. Banff 07 Classification of Renal Allograft Pathology: Updates and Future Directions. Am J Transplant. 2008;8(4):753-60. doi: 10.1111/j.1600-6143.2008.02159.x
- Cattran DC, Coppo R, Cook HT, et al. The Oxford classification of IgA nephropathy: rationale, clinicopathological correlations, and classification. Kidney Intl. 2009;76(5):534-45. doi: 10.1038/ki.2009.243
- Ryan MT. Supplemental Digital Content. Health Phys. 2013;104(5):453. doi: 10.1097/HP.0b013e318287c86c
- Казарина Е.В., Рехтина И.Г., Столяревич Е.С. и др. Способ определения выраженности интерстициального фиброза почек при миеломной нефропатии. Патент РФ на изобретение №2686846/06.05.19 Бюл. №13 [Kazarina EV, Rekhtina IG, Stolyarevich ES, et al. Method for determining intensity of interstitial renal fibrosis in myelome nephropathy Patent RF na izobretenie №2686846/06.05.19 Byul. №13 (In Russ.)]. https://elibrary.ru/item.asp?id=37476505
- Vongwiwatana A, Tasanarong A, Rayner DC, et al. Epithelial to mesenchymal transition during late deterioration of human kidney transplants: The role of tubular cells in fibrogenesis. Am J Transplant. 2005;5(6):1367-74. doi: 10.1111/j.1600-6143.2005.00843.x
- Galichon P, Hertig A. Epithelial to mesenchymal transition as a biomarker in renal fibrosis: are we ready for the bedside? Fibrogen Tis Rep 2011;4 (1):11. doi: 10.1186/1755-1536-4-11
- Basnayake K, Cheung CK, Sheaff M, et al. Differential progression of renal scarring and determinants of late renal recovery in sustained dialysis dependent acute kidney injury secondary to myeloma kidney. J Clin Pathol. 2010;63(10):884-7. doi: 10.1136/jcp.2010.079236
- Vansthertem D, Gossiaux A, Declèves AE, et al. Expression of nestin, vimentin, and NCAM by renal interstitial cells after ischemic tubular injury. J Biomed Biotechnol. 2010;2010:193259. doi: 10.1155/2010/193259
- Чеботерева Н.В., Бобкова И.H., Варшавский В.А. и др. Роль гладкомышечного α-актина в развитии фиброза почек у больных хроническим гломерулонефритом. Терапевтический архив. 2006;78(5):17-21 [Chebotereva NV, Bobkova IH, Varshavskij VA, et al. The role of smooth muscle al-phaactin in development of renal fibrosis in patients with chronic glomerulonephritis. Terapevticheskij Arhiv. 2006;78(5):17-21 (In Russ.)].
- Burns WC, Thomas MC. The molecular mediators of type 2 epithelial to mesenchymal transition (EMT) and their role in renal pathophysiology. Exp Rev Mol Med 2010;12:e17. doi: 10.1017/S1462399410001481
- Hertig A, Verine J, Mougenot B, et al. Risk factors for early epithelial to mesenchymal transition in renal grafts. Am J Transplant. 2006;6(12):2937-46. doi: 10.1111/j.1600-6143.2006.01559.x
补充文件






