Эозинофильный эзофагит и IgG4-связанное поражение пищевода
- Авторы: Бакулина Н.В.1, Симаненков В.И.1, Воробьев С.Л.2, Тихонов С.В.1, Лищук Н.Б.1, Бакулин И.Г.1
-
Учреждения:
- ФГБОУ ВО «Северо-Западный государственный медицинский университет им. И.И. Мечникова» Минздрава России
- Национальный центр клинической морфологической диагностики
- Выпуск: Том 92, № 8 (2020)
- Страницы: 100-107
- Раздел: Оригинальные статьи
- Статья получена: 01.09.2020
- Статья опубликована: 03.09.2020
- URL: https://ter-arkhiv.ru/0040-3660/article/view/43548
- DOI: https://doi.org/10.26442/00403660.2020.08.000792
- ID: 43548
Цитировать
Полный текст
Аннотация
Представления об эозинофильном эзофагите динамично меняются: появляются новые данные об эпидемиологии, патогенезе, диагностике и лечении, полученные в ходе крупных обсервационных и клинических исследований. С другой стороны, в литературе практически отсутствуют данные об иммуноглобулин (Ig)G4-связанном поражении пищевода. В статье приведен клинический случай: история развития язвы и стриктуры пищевода у молодого человека 17 лет. Описаны трудности диагностики и лечения, представлены современные данные о взаимосвязи эозинофильного эзофагита и патологического IgG4-ответа.
Ключевые слова
Полный текст
ГЭРБ – гастроэзофагеальная рефлюксная болезнь
ДПК – двенадцатиперстная кишка
ИЛ – интерлейкин
ИПП – ингибитор протонной помпы
ЭГДС – эзофагогастродуоденоскопия
ЭоЭ – эозинофильный эзофагит
Ig – иммуноглобулин
IgG4-СЗ – IgG4-связанные заболевания
Th2 – Т-хелпер 2-го типа
Введение
В последние годы в зарубежной и отечественной медицинской литературе все больше уделяется внимания эозинофильному эзофагиту (ЭоЭ) – это хроническое иммуно/антиген-опосредованное заболевание, характеризующееся выраженной эозинофильной инфильтрацией слизистой оболочки пищевода, клинически проявляющееся дисфункцией (дисфагией) и гистологически – эозинофильной инфильтрацией эпителия (с количеством эозинофилов ≥15 в поле зрения при увеличении 400) при отсутствии других причин локальной или системной эозинофилии [1, 2]. Изучение ЭоЭ – динамически развивающееся направление в гастроэнтерологии: появляются новые данные об эпидемиологии, патогенезе, диагностике и лечении, полученные в ходе крупных обсервационных и клинических исследований, которые легли в основу экспертных документов и клинических рекомендаций американских, европейских и отечественных научных обществ [2–5]. ЭоЭ, занимая 2-е место в структуре патологии пищевода после гастроэзофагеальной рефлюксной болезни (ГЭРБ), представляет собой большую медико-социальную проблему в связи с хроническим течением, значимым снижением качества жизни пациентов, а также возможностью развития осложнений – стриктур и сужений пищевода, необходимостью эндоскопических и даже хирургических вмешательств [2, 6]. Несмотря на то, что распространенность ЭоЭ, по данным Американской гастроэнтерологической ассоциации, составляет 22,7 на 100 тыс. взрослого населения (95% доверительный интервал 12,4–36,0) и у детей – 29,5 на 100 тыс. (95% доверительный интервал 17,5–44,7), в литературе имеется недостаточное количество исследований, посвященных патогенезу, течению и лечению болезни [7, 8]. Плохая осведомленность врачей первичного звена, гастроэнтерологов о данной проблематике приводит к тому, что ЭоЭ в отечественной популяции выявляется крайне редко, а пациенты часто проходят долгий путь до постановки окончательного диагноза [9].
Мы полагаем, что представленный ниже клинический случай ЭоЭ поможет осветить некоторые проблемы патогенеза, клинической картины и дифференциальной диагностики, подходов к тактике лечения.
На кафедру внутренних болезней, клинической фармакологии и нефрологии ФГБОУ ВО «СЗГМУ им. И.И. Мечникова» обратился молодой человек 17 лет в сопровождении родителей.
На момент обращения пациента беспокоили затруднения при проглатывании твердой пищи на уровне средней трети грудины; загрудинный дискомфорт при проглатывании жидкости, возникающий несколько раз в месяц; боли между лопатками во время еды; ощущение сжатия за грудиной после употребления орехов, фруктов; регургитация желудочного содержимого, возникающая ночью примерно 1 раз в месяц после объемного ужина.
Из анамнеза жизни известно, что пациент родился от первой беременности. На сроке 6 нед существовала угроза ее прерывания, срочные роды (40 нед) прошли без осложнений. Пациент находился на грудном вскармливании до 1 года 8 мес, прикормы вводились по возрасту. На момент обращения обучается в 11-м классе общеобразовательной школы, регулярно 2–3 раза в неделю занимается фитнесом. Страдает сезонной аллергией по типу конъюнктивита и ринита, длящейся с апреля по август, на фоне цветения растений. Наследственность отягощена: мать пациента страдает сезонной аллергией, отца беспокоит постоянная изжога (эндоскопически не обследовался), у бабушки и дедушки по отцовской линии диагностирована язвенная болезнь двенадцатиперстной кишки (ДПК).
Со слов матери, в 3 мес у пациента отмечался неустойчивый стул, из кала выделялся Staphylococcus aureus, проводилась терапия бактериофагами. С 1 года у ребенка появляются мокнущие пятна на руках и шее, с 2-летнего возраста устанавливается диагноз атопического дерматита. В 3 года пациент переносит острый энтероколит (патоген не установлен), после чего до 10-летнего возраста отмечается неоформленный стул. В 3-летнем возрасте у пациента выявляются лямблии и аскариды в стуле, в клиническом анализе крови впервые умеренная эозинофилия. Прошел курс терапии. В этом же возрасте у пациента появляются раскачивания туловища из стороны в сторону практически во время каждого приема пищи, что трактуется неврологом как синдром навязчивых движений на резидуальном фоне. Проводимая терапия нейропротекторами неэффективна.
В 8 лет ребенку впервые проводится комплексное обследование в клинике ФГБОУ ВО СПбГПМУ. В процессе обследования выявляется увеличение уровня общего иммуноглобулина (Ig)Е до 559 МЕ/мл (N=0–124 МЕ/мл), наличие IgЕ к молочному и яичному белку, пшенице, овсу, эпителию кошки, пыльце деревьев; повышение антиглиадиновых IgA до 188,2 Ед/мл (N до 35 Ед/мл), при этом уровни антиглиадиновых IgG, антител к тканевой трансглутаминазе классов IgA и G не выходят за референсные значения. Фекальный кальпротектин повышен до 255 мкг/г (N до 100 мкг/г), однако ANCA (aнтинейтрофильные цитоплазматические антитела), ASCA (антитела к Sacchаromyces cerevisiae), антитела к бокаловидным клеткам кишечника и антитела к экзокринной части поджелудочной железы в пределах нормы. При проведении эзофагогастродуоденоскопии (ЭГДС) определяется эрозивно-язвенный эзофагит. В биоптате слизистой залуковичного отдела ДПК отмечается неравномерная умеренная атрофия ворсинок, количество межэпителиальных лимфоцитов повышено до 23¥100 . В строме умеренно выраженная инфильтрация плазматическими клетками, лимфоцитами, примесь нейтрофилов и эозинофилов. При проведении видеоколоноскопии выявляется нодулярный терминальный илеит. Гистологическая картина соответствует поверхностному воспалению, наиболее выраженному в подвздошной кишке, в толстой кишке имеются признаки слабой воспалительной лимфоплазмоцитарной инфильтрации с незначительной примесью нейтрофилов и эозинофилов.
На основании полученных данных в 8 лет установлен основной диагноз целиакии, ГЭРБ, эрозивно-язвенного эзофагита, постинфекционного колита затяжного течения. Сопутствующими заболеваниями являлись атопический дерматит, пищевая сенсибилизация к белку коровьего молока, яичному белку, пшенице и овсу. Рекомендовано: безглютеновая диета, курсовая терапия ингибиторами протонной помпы (ИПП), сезонная противоаллергическая терапия.
С 8 до 11 лет пациента продолжали беспокоить дисфагия, неустойчивый стул, появляются рецидивирующие артралгии, в связи с чем находился под наблюдением педиатра, гастроэнтеролога, несколько раз госпитализировался в гастроэнтерологическое отделение для проведения комплексного дообследования и лечения. При лабораторном обследовании выявлялось повышение уровня кальпротектина (максимальное значение – 898 мкг/г), IgE (максимальное значение – 450 МЕ/л). При проведении эндоскопического обследования ежегодно диагностировались эрозии в пищеводе, терминальный нодулярный илеит, эпизодически эрозивно-язвенный эзофагит. На фоне 2-месячной терапии ИПП отмечалась эпителизация участков повреждения в пищеводе.
С 8 до 11 лет выставлялись диагнозы: ГЭРБ, эрозивный эзофагит, аллергическая энтеропатия на фоне сенсибилизации к глютену, белку коровьего молока, подозревалась болезнь Крона. Терапия препаратами 5-аминосалициловой кислоты в дозировке 1500 мг/сут в течение 3 мес неэффективна. На фоне длительной безглютеновой диеты самочувствие и лаботаторные показатели значимо не изменялись.
С 10 до 17 лет самочувствие пациента относительно хорошее, к врачам не обращался. Специфической диеты, в том числе безглютеновой, не соблюдал. Ежегодные сезонные весенне-летние эпизоды аллергии у пациента сопровождались в анализе крови гиперэозинофилией и повышением уровня IgE. В остальное время года уровни эозинофилов и IgE не выходили за референсные значения. На фоне длительного (не менее часа) и тщательного (до гомогенной жидкой массы) пережевывания пищи дисфагия возникала редко. Учитывая дисфагию при употреблении фруктов, орехов и молока, больной полностью отказался от этих продуктов. Для профилактики эпизодов ночной регургитации сформировалась привычка спать с приподнятым головным концом кровати. При появлении и нарастании пищеводной симптоматики больной с хорошим клиническим эффектом принимал 7–10 дней ИПП – 3–4 курса в течение года.
Осенью 2019 г. пациент обращается на кафедру внутренних болезней, клинической фармакологии и нефрологии ФГБОУ ВО «СЗГМУ им. И.И. Мечникова» по поводу нарастания дисфагии и одинофагии, появления рвоты съеденной пищей, похудения на 7 кг за месяц. При проведении ЭГДС пищевод свободно проходим до нижней трети, на глубине 35 см на границе средней и нижней трети обнаружена язва, занимающая 2/3 окружности пищевода, стриктура (диаметр пищевода до 11 мм), проходимая для эндоскопа. Выраженных изменений при осмотре слизистой желудка и ДПК не выявлено. Таким образом, у пациента диагностированы язва нижней трети пищевода, компенсированный рубцовый стеноз нижней трети пищевода. При гистологическом исследовании биоптатов из нижней трети пищевода выявлена интраэпителиальная неоплазия низкой степени на фоне выраженной эозинофильной инфильтрации, что послужило поводом для беспокойства и углубленного обследования пациента.
При проведении рентгеноскопии пищевода и желудка с барием грыжа пищеводного отверстия диафрагмы не определялась.
На рис. 1 схематично представлен анамнез заболевания с появления первых симптомов до развития язвы пищевода и субкомпенсированного стеноза пищевода.
Рис. 1. Анамнез заболевания (схематично).
Примечание. ФГДС – фиброгастродуоденоскопия.
Проведенное обследование выявило в анализах крови повышение эозинофилов до 15%, суммарного IgE до 340 МЕ/мл (норма до 100,0 Ме/мл). Проведен анализ на глистные инвазии: IgG к антигенам описторхий, эхинококков, трихинелл, токсокар (-), IgA, IgM, IgG к лямблиям (-), исследование кала на яйца гельминтов и цисты простейших (-). Данных о глистной инвазии не получено. Генетический скрининг на целиакию – не выявлены гаплотипы HLA-DQ2 и HLA-DQ8.
Биопсийный материал пациента с 2012 г. пересмотрен в морфологическом центре экспертного уровня с привлечением нескольких морфологов.
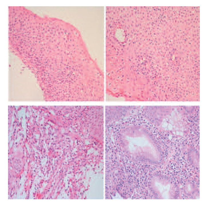
Фотографии биопсийного материала слизистой пищевода от 2012 г. представлены на рис. 2.
Рис. 2. Слизистая оболочка пищевода, 2012 г. (окраска гематоксилинин-эозином, ¥40, ¥200).
В биопсийном материале от 2012 г. выявлены фрагменты слизистой оболочки области пищеводно-желудочного соустья с умеренным воспалительным компонентом, участками желез кардиального типа, без признаков кишечной метаплазии и интраэпителиальной неоплазии. Учитывая выявление 25–30 межэпителиальных эозинофильных лейкоцитов в поле зрения при увеличении 400, гистологическая картина расценена как ЭоЭ.
Биопсийный материал от 2019 г. проанализирован, в том числе с применением иммуногистохимических методов, направленных на оценку характера клеточной инфильтрации, выявление межэпителиальных эозинофильных лейкоцитов и IgG4. Фотографии биопсийного материала слизистой пищевода от 2019 г. представлены на рис. 3, фотографии иммуногистохимических исследований – на рис. 4.
Рис. 3. Слизистая оболочка пищевода, 2019 г. (окраска гематоксилин-эозином, ¥40, ¥200).
Рис. 4. Слизистая оболочка из дна язвы пищевода, 2019 г. (иммуногистохимическое исследование).
При анализе биопсийного материала определялись выраженное утолщение краевого многослойного плоского эпителия, значительный воспалительный компонент без признаков кишечной метаплазии и интраэпителиальной неоплазии. По сравнению с 2012 г. увеличилось количество межэпителиальных лейкоцитов (более 50 эозинофильных лейкоцитов в поле зрения при увеличении 400), присутствует примесь эозинофильных лейкоцитов, в том числе в виде скоплений по типу эозинофильных микроабсцессов. Обращало на себя внимание то, что биоптат из зоны изъявления пищевода представлен грубоволокнистой фиброзной тканью с большим количеством эозинофилов и плотной диффузно-очаговой инфильтрацией плазматическими клетками, которая местами напоминала опухолеподобный характер. При проведении иммуногистохимического исследования установлено, что практически весь клеточный массив представлен CD138+-клетками, экспрессирующими IgG4. Результаты представлены на рис. 4.
У пациента диагностирован хронический эрозивно-язвенный эзофагит с умеренным воспалительным компонентом, формированием грануляционной ткани, регенераторными изменениями краевого многослойного плоского эпителия. Наличие 35–40 межэпителиальных эозинофильных лейкоцитов в поле зрения при 400-кратном увеличении критериально свидетельствует о наличии ЭоЭ. При проведении иммуногистохимического исследования выявлена плотная IgG4+ плазмоклеточная инфильтрация грануляционной ткани (50–70 IgG4-позитивных плазматических клеток в поле зрения при увеличении 400), что соответствует критериальным признакам IgG4-связанного поражения пищевода.
Симптомы дисфагии, эндоскопичеcкая картина, выявленные морфологические изменения потребовали назначения патогенетической стероидной терапии – 40 мг преднизолона (0,6 мг/кг в сутки) в течение месяца с последующим снижением дозы на 10 мг каждые 2 нед до поддерживающей дозы 5 мг в течение 3 мес и переходом на пероральный прием будесонида по схеме, рекомендованной для лечения ЭоЭ. Также инициирована базисная терапия ИПП – декслансопразолом в дозировке 60 мг с переходом через 12 нед на постоянную поддерживающую терапию 30 мг декслансопразола. Кроме того, пациент длительно лечился эзофагогастропротектором Альфазоксом. На фоне терапии достигнута клиническая ремиссия – купировались дисфагия, болевой синдром за грудиной, нормализовалась масса тела. По данным контрольной ЭГДС, проведенной через 3 мес после начала терапии, положительная динамика – эпителизация язвенного дефекта, уменьшение выраженности стеноза пищевода. При анализе динамического биопсийного материала значительно уменьшилось количество межэпителиальных эозинофильных лейкоцитов (менее 25 в поле зрения при увеличении 400), эозинофильные микроабсцессы не определялись, в области эпителизировавшегося изъязвления резко снизилась плотность инфильтрации плазматическими клетками. В настоящее время пациент продолжает наблюдаться, получает базовую терапию ИПП.
Обсуждение
Представленный клинический случай иллюстрирует возможность у одного пациента на основании динамического морфологического исследования биоптатов пищевода критериально верифицировать два патологических состояния – ЭоЭ и IgG4-ассоциированное поражение пищевода.
Рассмотрим критерии диагностики каждого из приведенных состояний.
Эозинофильный эзофагит. Критерии диагностики ЭоЭ (EoE-specific histologic scoring system – EoEHSS) – интраэпителиальная эозинофильная инфильтрация с обнаружением более 15 эозинофильных лейкоцитов в поле зрения при увеличении 400. Дополнительные критерии: эозинофильные микроабсцессы; гиперплазия базального слоя эпителия; расширение межклеточных пространств; расположение эозинофилов в поверхностных слоях эпителия; мастоцитарная и лимфоцитарная инфильтрация; удлинение сосочков и фиброз собственной пластинки слизистой оболочки [10, 11].
IgG4-ассоциированное поражение пищевода. Гистологические признаки IgG4-связанных заболеваний (IgG4-СЗ) – плотный лимфоплазмоцитарный инфильтрат; фиброз; более 10 IgG4+ плазматических клеток в поле зрения (¥400); IgG4+/IgG+ соотношение более 40% [12].
Что же лежит в этиологии и патогенезе ЭоЭ и IgG4-СЗ, где точки соприкосновения данных патологий? Является ли ЭоЭ – IgG4-СЗ или повышение количества IgG4+ плазматических клеток в биоптате слизистой пищевода – это иммунная (возможно, защитная) реакция на атопическое воспаление?
Многие авторы полагают, что в патогенезе ЭоЭ имеют значение следующие факторы: воздействие воздушных и пищевых аллергенов, генетическая предрасположенность и активация Т-хелперов 2-го типа (Th2) [6, 13–16].
Пищевые и воздушные аллергены внешней среды считаются триггерами ЭоЭ, которые, попадая на слизистую оболочку пищевода, инициируют развитие патологического генетически детерминированного иммуновоспалительного процесса [16, 17]. В настоящее время известно более 90 генетических нарушений, большинство из которых приводит к нарушению белков плотных контактов, вследствие чего самые обычные антигены могут проникать в глубокие отделы слизистой оболочки и контактировать с антигенпрезентирующими клетками [18]. У пациентов с ЭоЭ обнаружена мутация в гене TSLP, кодирующем синтез тимического стромального лимфопоэтина, а также мутации в гене, кодирующем синтез рецептора к тимическому стромальному лимфопоэтину (TSLPR), расположенных в сцепленных с полом хромосомах Xp22.3 и Yp11, с чем связано преобладание лиц мужского пола среди больных ЭоЭ. Повышенная экспрессия TSLP активирует иммунокомпетентные клетки, в частности дендритные клетки и мастоциты, способствуя детерминации иммунного ответа по Тh2-зависимому пути [19–22]. В биоптатах слизистой оболочки пищевода пациентов с ЭоЭ выявлены повышенные уровни таких интерлейкинов (ИЛ), как ИЛ-4, ИЛ-5, ИЛ-10 и ИЛ-13, которые являются основными цитокинами активации Th2-пути [23–26]. В то же время ИЛ-4 и ИЛ-13 приводят к вовлечению в процесс фибробластов и эндотелиоцитов, происходят гиперплазия базального слоя эпителия и гладкомышечных клеток, активация фиброгенеза и ангионеогенеза в подслизистом слое, что в конечном итоге ведет к потере эластичности ткани и образованию стриктур пищевода [21, 23, 24]. Следует отметить, что ряд исследователей при иммуногистохимическом исследовании биоптатов у пациентов с ЭоЭ также выявляли значительное повышение количества IgG4+ клеток, на чем мы остановимся далее [27–29].
Как ЭоЭ, IgG4-связанные заболевания также в своем патогенезе имеют детерминацию иммунного ответа по Тh2-зависимому пути, активация которого сопровождается появлением цитокиновых каскадов с вовлечением в процесс целого ряда клеточных элементов и повышением содержания ИЛ-4, ИЛ-5 и ИЛ-10 [30–32]. Данные ИЛ прямым и опосредованным образом влияют на количество плазматических клеток, экспрессирующих IgG4, что приводит к развитию характерной патоморфологической картины – облитерирующего флебита и фибросклероза [30, 31]. Описана роль ИЛ-5 в качестве отдельного патофизиологического агента в этом комплексе иммунного ответа с вовлечением в процесс эозинофильных лейкоцитов, повышенное содержание которых всегда можно наблюдать у пациентов с IgG4-СЗ [30, 34]. Патофизиологические аспекты IgG4-СЗ представлены на рис. 5 [30–34, 36]. Независимо от локализации очаги поражения при IgG4-ассоциированной болезни имеют сходную патоморфологическую картину: муароподобный фиброз, облитерирующий флебит и лимфоплазмоцитарный инфильтрат с высоким содержанием IgG4+ клеток и соотношением IgG4+/IgG+ клеток более 40% [12, 35]. При этом до 40% пациентов с IgG4-ассоциированной болезнью могут иметь нормальный уровень IgG4 в сыворотке крови [31, 35].
Рис. 5. Патофизиологические аспекты IgG4-связанных заболеваний [36].
Роль IgG4 в иммунном ответе
Номенклатура заболеваний и синдромов, связанных с патологическим накоплением IgG4, продолжает развиваться и уточняться. Так, в медицинской литературе IgG4-СЗ также обозначается как IgG4-связанное системное заболевание, IgG4-связанное склерозирующее заболевание, мультифокальный фибросклероз, IgG4-мультиорганное лимфопролиферативное нарушение, системный IgG4-связанный плазматический синдром и др. Отсутствие единой номенклатуры, терминологии по IgG4-зависимым состояниям, четких единых критериев верификации заболевания усложняет как поиск информации, так и взаимопонимание специалистов, участвующих в разработке данного вопроса [36].
IgG4 – подкласс IgG с минимальной из всех известных четырех подклассов данного Ig концентрацией в сыворотке крови (в среднем – 0,35–0,51 мг/мл). У здоровых людей содержание IgG4 в сыворотке крови подвержено значительным колебаниям, чаще всего в пределах 10–1,4 мг/мл; уровень ≥2 мг/мл отмечают в редких случаях; содержание этого Ig в целом выше у мужчин и лиц старшего возраста [36, 37]. IgG4 не активирует комплемент, имеет сниженные эффекторные свойства по сравнению с другими подклассами IgG. Синтез IgG4 частично стимулируется Тh2-зависимыми цитокинами. Известно, что этот подкласс Ig наряду с IgE играет значительную роль в патогенезе атопических процессов (бронхиальная астма, атопическая экзема, буллезный дерматит). С другой стороны, описан защитный механизм действия IgG4, препятствующий эффективному связыванию IgE с аллергеном [37, 38].
Взаимосвязь IgG4 и ЭоЭ
Впервые патологическое содержание IgG4 при иммуногистохимическом анализе биоптатов слизистой оболочки пищевода пациентов с ЭоЭ описали F. Clayton и соавт. в своем исследовании «Эозинофильный эзофагит у взрослых ассоциирован с IgG4, а не с IgE-ответом» [27]. Авторы отмечают схожесть патогенеза ЭоЭ и IgG4-связанных заболеваний. ЭоЭ, как и IgG4-CЗ, реагирует на стероиды, эти заболевания связаны с атопией, эозинофильными инфильтратами, многочисленными плазматическими клетками, гранулярными скоплениями IgG4, фиброзом и преобладают у мужчин [27, 39, 40]. Но между ними присутствуют и различия: типичные IgG4-СЗ с поражением пищевода имеют отчетливую миофибробластную пролиферацию, стриктуры и нередко облитерирующий флебит [27, 41]. Общий сывороточный IgG4 минимально увеличивается при ЭоЭ в отличие от IgG4-СЗ. Учитывая эти различия, коллектив авторов называет ЭоЭ IgG4-ассоциированным состоянием, а не IgG4-СЗ [27]. Исследователи предположили, что активация IgG4 следует за IgE-опосредованным ответом, блокируя вызванную им реакцию активации тучных клеток, т.е. выполняет защитную реакцию [27, 39]. Вторым этапом данного исследования стало изучение влияния терапии омализумабом (моноклональные антитела к IgE) на течение ЭоЭ у взрослых пациентов. Данное проспективное исследование продемонстрировало, что омализумаб не уменьшал симптомы ЭоЭ и количества эозинофилов в тканях по сравнению с плацебо, что еще раз подтверждает не-IgE-индуцированный ответ на триггерные факторы воспаления [27].
В 2016 г. L. Zukerberg и соавт. провели исследование роли IgG4-ответа у пациентов с ЭоЭ и ГЭРБ [42]. Выявлено, что у пациентов с рефлюкс-эзофагитом также имеется повышение IgG4-плазматических клеток и депозитов IgG4 в собственной пластинке, что позволяет предположить, что эти два заболевания тесно связаны, и патологический каскад воспалительных реакций может быть сходным [42–44]. ГЭРБ может служить дополнительным фактором в патогенезе ЭоЭ, способствуя более глубокому проникновению антигенов через поврежденную кислотно-пептическим рефлюктатом слизистую оболочку пищевода. Наличие кислого рефлюкса усиливает степень эозинофильной инфильтрации слизистой пищевода, способствует высвобождению мастоцитами медиаторов воспаления, а расширение межклеточных пространств при ГЭРБ приводит к взаимодействию антигенпрезентирующих клеток с аллергенами [42]. Поэтому значительная доля пациентов с клиническими и гистопатологическими особенностями, характерными для ЭоЭ, отвечает на антисекреторную терапию клиническим улучшением и уменьшением степени эозинофильной инфильтрации слизистой оболочки пищевода [42, 45]. Но у пациентов с ЭоЭ по сравнению с больными с рефлюкс-эзофагитом присутствуют интраэпителиальные депозиты IgG4, что может являться специфическим маркером именно этого заболевания [42, 44].
Еще одно крупное исследование 2018 г. C. Rosenberg и соавт. демонстрирует роль IgG4-ответа в патогенезе ЭоЭ [46]. В работе показано, что содержание IgG4 коррелирует со степенью активности и длительностью заболевания, патогенетическая роль в индукции экспрессии IgG4 принадлежит ИЛ-10, концентрация которого также зависит от активности ЭоЭ. Исследователи сходятся во мнении, что IgG4 и другие не-IgE-антитела функционируют как блокирующие антитела, ингибирующие активацию тучных клеток или базофилов [46]. В настоящее время продолжаются проспективное наблюдение за данной когортой пациентов с ЭоЭ, сравнение клинической, эндоскопической, гистологической, иммуногистохимической картины и сывороточных IgG, что, возможно, в будущем позволит более детально изучить патогенетические аспекты данного заболевания и персонифицировать терапию.
Биоптаты из слизистой пищевода нашего пациента представлены грубой волокнисто-фиброзной тканью с выраженной диффузно-очаговой инфильтрацией плазматических клеток, которая местами напоминала опухолеподобный характер на фоне массивного фиброза и реактивных изменений краевого плоского эпителия, что привело к гипердиагностике интраэпителиальной неоплазии низкой степени. Пересмотр гистологического материала с иммуногистохимическим исследованием позволил провести дифференциальную диагностику выявленных патологических изменений. Весь клеточный массив представлен CD138+ клетками, экспрессирующими IgG4 и IgG4+/IgG+ соотношение более 40%, что позволило расценить патологический процесс как IgG4-СЗ [12]. В настоящее время в доступной литературе описаны единичные клинические случаи IgG4-связанного поражения пищевода.
Наличие у пациента, о котором говорится в этой статье, дисфагии, рецидивирующего эрозивно-язвенного повреждения слизистой, стеноза пищевода и морфологического заключения биоптатов пищевода позволяет критериально диагностировать IgG4-связанный эзофагит и ЭоЭ. От появления симптомов в 3-летнем возрасте до постановки диагноза прошло 14 лет, что подчеркивает не только объективные сложности, но и расширение методических подходов и новых знаний по изучаемой проблеме.
В 2017 г. в США I. Obiorah и соавт. описали 8 случаев клинико-морфологического наблюдения IgG4-связанного эзофагита [47]. Исследователи ретроспективно оценили патофизиологические аспекты пациентов, у которых диагностирован IgG4-связанный эзофагит, сравнили клиническую, морфологическую и иммуногистохимическую картину с группой сравнения – пациентами с диагнозом «хронический эзофагит», которые также имели лимфоплазмоцитарную инфильтрацию и изъязвление слизистой оболочки, но по гистологическим критериям не являлись IgG4-CЗ. Диагностические критерии IgG4-связанного эзофагита включали наличие IgG4+ клеток и 2 из 3 основных критериев IgG4-CЗ: интенсивное лимфоплазмоцитарное воспаление, облитерирующий флебит и фибросклероз. Иммуногистохимические критерии: наличие ≥50 IgG4-позитивных плазматических клеток при большом увеличении и IgG4/IgG≥50%. Пациенты c IgG4-СЗ пищевода представлены 7 мужчинами и 1 женщиной, средний возраст составил 54,7±16,4 года. Большинство пациентов предъявляли жалобы на дисфагию и симптомы ГЭРБ (изжогу, регургитацию, одинофагию). При контрольных ЭГДС 3 пациентам описывали рецидивирующие стриктуры пищевода с отечной рыхлой слизистой оболочкой, 2 из них в анамнезе выполнены баллонная дилатация пищевода, миотомия Хеллера. У остальных описывали хронический эрозивный эзофагит разной степени выраженности. Всем пациентам осуществлена мультифокальная биопсия слизистой оболочки. У одного пациента в биоптате также диагностировано более 50 эозинофилов в поле зрения при большом увеличении, которое авторы расценили как IgG4-СЗ пищевода, ассоциированное с ЭоЭ. Продолжительность от начала симптомов до постановки окончательного диагноза варьировала у больных от 3 мес до 20 лет. Уровни IgG4 в сыворотке измеряли только у 3 пациентов с рецидивирующими стриктурами, все они имели референсные значения. При сравнении с контрольной группой больные с IgG4-связанным эзофагитом имели более высокую плотность лимфоплазмоцитарных инфильтратов. У 3 лиц с IgG4-СЗ пищевода диагностирован облитерирующий флебит, в то время как ни один из пациентов в контрольной группе не имел данного патогномоничного признака. Среднее количество IgG4-позитивных плазматических клеток в группе IgG4-СЗ пищевода составило 66,9±21,9, и среднее соотношение IgG4:IgG – 0,76±0,13, оба параметра значительно выше (р≤0,001), чем в контрольной группе [47].
После верификации диагноза всем пациентам с IgG4-СЗ пищевода назначена стероидная терапия (преднизолон 0,6 мг/кг в сутки), которая показала хороший клинический и гистологический эффект при других IgG4-СЗ. Предыдущие исследования определили частоту рецидивов от 24 до 63% с высокой частотой неполного ответа на стероидную терапию [48–50]. Долгосрочная поддерживающая терапия низкими дозами глюкокортикостероидов может быть назначена для пациентов с высоким риском рецидива [49]. При неэффективности стероидов может рассматриваться у таких пациентов иммуносупрессивная терапия, например, метотрексатом [51–53]. На иммуносупрессивной терапии отмечалось уменьшение клинической симптоматики, но в исследованиях не продемонстрировано значительного эффекта по сравнению с плацебо [53]. У 2 пациентов в исследовании получен хороший первоначальный ответ на стероиды, но позже развились рецидивы и стриктуры пищевода. При неэффективности стероидной или иммуносупрессивной терапии в настоящее время у пациентов с IgG4-СЗ проходят рандомизированные плацебо-контролируемые исследования по применению моноклональных антител, обладающих специфичностью к CD20-антигену, – ритуксимаба. Несколько исследований продемонстрировали, что пациенты с IgG4-СЗ показали значительное клиническое и серологическое улучшение после лечения ритуксимабом [51, 52]. Его использование при заболеваниях, связанных с IgG4-ответом, требует дальнейшего изучения в условиях клинических исследований. В связи с чем авторы данного исследования рекомендуют всем пациентам с дисфагией и рецидивирующими стриктурами пищевода на фоне эрозивно-язвенного повреждения проводить множественную биопсию пищевода и иммуногистохимическое исследование для верификации IgG4-СЗ пищевода, что поможет предотвратить необоснованную эзофагэктомию, а вовремя назначенная патогенетическая медикаментозная терапия может снизить потребность во множественных эндоскопических дилатациях пищевода.
С учетом отсутствия данных о тактике ведения пациентов с коморбидным поражением пищевода – ЭоЭ и IgG4-СЗ пищевода – мы назначили глюкокортикостероиды (схема назначения представлена выше), ИПП и эзофагопротектор – Альфазокс. Это медицинское изделие состоит из смеси низкомолекулярной (80–100 кДа) гиалуроновой кислоты и низкомолекулярного (10–20 кДа) хондроитина сульфата, растворенных в биоадгезивном носителе (полоксамер 407). Альфазокс обладает способностью фиксироваться на слизистой оболочке, благодаря чему реализует эффект механической защиты слизистой оболочки от повреждающего действия компонентов рефлюктата (соляной кислоты, пепсина и желчи) [54]. Гиалуроновая кислота, входящая в состав препарата, – это естественный полимер, участвующий в различных физиологических процессах, включая репарацию, регенерацию и морфогенез [55]. Биологическое значение гиалуроновой кислоты частично обусловлено ее гидрофильными и гидродинамическими свойствами, которые позволяют ей удерживать воду и играть структурирующую роль. Препараты гиалуроновой кислоты для топического применения предназначены для лечения рецидивирующих афтозных язв слизистой оболочки рта и обеспечивают быстрое облегчение симптомов, чему также может способствовать дозозависимое противовоспалительное действие данного соединения [56, 57]. Помимо этого в экспериментальных исследованиях in vivo показана способность гиалуроновой кислоты индуцировать экспрессию белков плотных контактов ZO-1, что потенциально будет способствовать восстановлению барьерной функции эпителия [58]. Второй компонент Альфазокса – хондроитин сульфат – это естественный гликозаминогликан, обладает иммуномодулирующими, противовоспалительными и антиоксидантными свойствами [59, 60]. Являясь естественным компонентом защитного слоя слизи, хондроитина сульфат связывается с пепсином, ингибируя его [61–63]. Третий компонент Альфазокса, полоксамер 407, представляет собой гидрофильное неионное поверхностно-активное вещество, обеспечивает пролонгированное высвобождение различных лекарственных форм [64]. Адгезивные свойства полоксамера 407 обеспечивают фиксацию комплекса гиалуроновой кислоты и хондроитина сульфата на слизистой оболочке пищевода в течение длительного времени [65, 66].
Альфазокс оказывает свое действие на поверхности слизистой оболочки пищевода, не проникая в системный кровоток, а также обладает низким аллергенным потенциалом. В клинических исследованиях безопасность Альфазокса не отличалась от плацебо, аллергических реакций выявлено не было [67, 68].
Таким образом, Альфазокс оказывает заживляющее и восстанавливающее действие при эрозивных повреждениях эпителия пищевода [54]. Согласно результатам нескольких многоцентровых клинических исследований комбинация Альфазокса и ИПП позволяла более эффективно добиться регрессии клинических проявлений заболевания и улучшения качества жизни пациентов (согласно опроснику SF36) по сравнению с монотерапией ИПП [67, 68]. За счет обеспечения Альфазоксом дополнительной защиты пищевода на преэпителиальном и эпителиальном уровнях, что способствует снижению воспаления и заживлению эрозивно-язвенных повреждений слизистой оболочки, мы считаем целесообразным его назначение при заболеваниях пищевода, в которых процессы воспаления являются важным патогенетическим звеном.
Заключение
В настоящее время ЭоЭ не относится по спектру к IgG4-СЗ, но биологическая роль IgG4 в патогенезе ЭоЭ доказана. Показаны IgG4-опосредованный характер воспалительной реакции, корреляция активности заболевания и количества интраэпителиальных и межэпителиальных эозинофильных лейкоцитов и IgG4+ плазматических клеток. Наличие массивной инфильтрации IgG4+ слизистой оболочки пищевода является предиктором плохого ответа на терапию ИПП у пациентов с ЭоЭ, в связи с чем по аналогии с терапией IgG4-СЗ обсуждается целесообразность индукции ремиссии глюкокортикостероидами или биологической антицитокиновой терапией. Отсутствие проспективных контролируемых клинических исследований, посвященных данной проблематике, не позволяет выявить клинические особенности IgG4-СЗ пищевода и рассматривать такую терапию с позиции доказательной медицины.
Таким образом, связь между IgG4-связанной патологией и ЭоЭ еще предстоит изучать. Необходимы дальнейшие исследования, направленные на определение клинической значимости IgG4 в качестве биомаркера и его специфичности при ЭоЭ, а также работы, посвященные IgG4-СЗ пищевода и коморбидности этих состояний [46]. Выяснение точных патофизиологических механизмов позволит разработать новые диагностические и терапевтические подходы.
Об авторах
Наталья Валерьевна Бакулина
ФГБОУ ВО «Северо-Западный государственный медицинский университет им. И.И. Мечникова» Минздрава России
Email: lishchuk.nadezhda@mail.ru
ORCID iD: 0000-0003-4075-4096
д.м.н., зав. каф. внутренних болезней, клинической фармакологии и нефрологии ФГБОУ ВО «СЗГМУ им. И.И. Мечникова»
Россия, Санкт-ПетербургВладимир Ильич Симаненков
ФГБОУ ВО «Северо-Западный государственный медицинский университет им. И.И. Мечникова» Минздрава России
Email: lishchuk.nadezhda@mail.ru
ORCID iD: 0000-0002-1956-0070
д.м.н., проф. каф. внутренних болезней, клинической фармакологии и нефрологии ФГБОУ ВО «СЗГМУ им. И.И. Мечникова»
Россия, Санкт-ПетербургСергей Леонидович Воробьев
Национальный центр клинической морфологической диагностики
Email: lishchuk.nadezhda@mail.ru
ORCID iD: 0000-0002-7817-9069
к.м.н., дир. Национального центра клинической морфологической диагностики
Россия, Санкт-ПетербургСергей Викторович Тихонов
ФГБОУ ВО «Северо-Западный государственный медицинский университет им. И.И. Мечникова» Минздрава России
Email: lishchuk.nadezhda@mail.ru
ORCID iD: 0000-0001-5720-3528
к.м.н., доц. каф. внутренних болезней, клинической фармакологии и нефрологии ФГБОУ ВО «СЗГМУ им. И.И. Мечникова
Россия, Санкт-ПетербургНадежда Биржановна Лищук
ФГБОУ ВО «Северо-Западный государственный медицинский университет им. И.И. Мечникова» Минздрава России
Автор, ответственный за переписку.
Email: lishchuk.nadezhda@mail.ru
ORCID iD: 0000-0002-0703-9763
ассистент каф. внутренних болезней, клинической фармакологии и нефрологии ФГБОУ ВО «СЗГМУ им. И.И. Мечникова»
Россия, Санкт-ПетербургИгорь Геннадьевич Бакулин
ФГБОУ ВО «Северо-Западный государственный медицинский университет им. И.И. Мечникова» Минздрава России
Email: lishchuk.nadezhda@mail.ru
ORCID iD: 0000-0002-6151-2021
д.м.н., проф., зав. каф. пропедевтики внутренних болезней, гастроэнтерологии и диетологии им. С.М. Рысса ФГБОУ ВО «СЗГМУ им. И.И. Мечникова»
Россия, Санкт-ПетербургСписок литературы
- Трухманов А.С., Ивашкина Н.Ю. Эозинофильный эзофагит. В кн.: Рациональная фармакотерапия заболеваний органов пищеварения. Под ред. В.Т. Ивашкина. 2-е изд. М.: Литтерра, 2011. [Trukhma- nov AS, Ivashkina NY. Eosinophilic esophagitis. Rational pharmacotherapy of digestive diseases. Edited by Ivashkin VT. 2nd edition. Moscow: Litterra, 2011 (In Russ.)].
- Lucendo AJ, Molina-Infante J, Arias Á, et al. Guidelines on eosinophilic esophagitis: evidence-based statements and recommendations for diagnosis and management in children and adults. United Eur Gastroenterol J. 2017;5(3):335-58. doi: 10.1177/2050640616689525
- Dellon ES, Gonsalves N, Hirano I, et al. ACG clinical guideline: evidenced based approach to the diagnosis and management of esophageal eosinophilia and eosinophilic esophagitis. Am J Gastroenterol. 2013;108:679-92.
- Ивашкин В.Т., Маев И.В., Трухманов А.С., Лапина Т.Л. Клинические рекомендации Российской гастроэнтерологической ассоциации по диагностике и лечению эозинофильного эзофагита. Рос. журн. гастроэнтерол. гепатол. колопроктол. 2018;28(6) [Ivashkin VT, Mayev IV, Trukhmanov AS, Lapina TL. Clinical recommendations of the Russian Gastroenterological Association for the diagnosis and treatment of eosinophilic esophagitis. Ros. zhurn. gastroenterol. gepatol. koloproktol. 2018;28(6) (In Russ.)]. doi: 10.22416/1382-4376-2018-28-6-84-98
- Hirano I, Chan ES, Rank MA, et al. AGA Institute and the Joint Task Force on Allergy-Immunology Practice Parameters Clinical Guidelines for the Management of Eosinophilic Esophagitis. Gastroenterology. 2020;158:1776-86. doi: 10.1053/j.gastro.2020.02.038
- O’Shea KM, Aceves SS, Dellon ES, et al. Pathophysiology of Eosinophilic Esophagitis. Gastroenterology. 2018;154(2):333-45. doi: 10.1053/j.gastro.2017.06.065
- Arias A, Perez-Martinez I, Tenias JM, Lucendo AJ. Systematic review with meta- analysis: the incidence and prevalence of eosinophilic oesophagitis in children and adults in population-based studies. Aliment Pharmacol Ther. 2016;43:3-15. doi: 10.1111/apt.13441
- Dellon ES, Hirano I. Epidemiology and Natural History of Eosinophilic Esophagitis. Gastroenterology. 2018;154(2):319-32. doi: 10.1053/j.gastro.2017.06.06
- Кайбышева В.О., Эрдес С.И., Кашин С.В. и др. Эозинофильный эзофагит: собственный опыт диагностики и лечения. Экспериментальная и клиническая гастроэнтерология. 2018;158(10) [Kaibysheva VO, Erdes SI, Kashin SV, et al. Eosinophilic esophagitis: own experience in diagnosis and treatment. Experimental and clinical gastroenterology. 2018;158(10) (In Russ.)].
- Straumann A, Katzka DA. Diagnosis and Treatment of Eosinophilic Esophagitis. Gastroenterology. 2018;154(2):346-59. doi: 10.1053/j.gastro.2017.05.066
- Collins MH, Martin LJ, Alexander ES, et al. Newly developed and validated eosinophilic esophagitis histology scoring system and evidence that it outperforms peak eosinophil count for disease diagnosis and monitoring. Dis Esophagus. 2016. doi: 10.1111/dote.12470
- Khan S, Zhu L, Jiang K, et al. Immunoglobulin G4-Related Disease Manifesting as Isolated, Typical and Nontypical Gastroesophageal Lesion: A Research of Literature Review. Digestion. 2019; p. 1-16. doi: 10.1159/000501513
- Ивашкин В.Т., Баранская Е.К., Кайбышева В.О. и др. Клинические рекомендации по диагностике и лечению эозинофильного эзофагита. М., 2013 [Ivashkin VT, Baranskaya EK, Kaibysheva VO, et al. Clinical Practice Guidelines for the diagnosis and treatment of eosinophilic esophagitis. Moscow, 2013 (In Russ.)].
- Vinit C, Dieme A, Courbage S, et al. Eosinophilic esophagitis: Pathophysiology, diagnosis, and management. Archives de Pédiatrie. 2019;26(3):182-90. doi: 10.1016/j.arcped.2019.02.005
- Rothenberg M. Molecular, Genetic, and Cellular Bases for Treating Eosinophilic Esophagitis. Gastroenterology. 2015;148(6):1143-57. doi: 10.1053/j.gastro.2015.02.002
- Dellon ES. The Pathogenesis of Eosinophilic Esophagitis: Beyond the Eosinophil. Digestive Diseases and Sciences. 2013;58(6):1445-8. doi: 10.1007/s10620-013-2679-9
- Brown-Whitehorn TF, Spergel JM. The link between allergies and eosinophilic esophagitis: implications for management strategies. Expert Rev Clin Immunol. 2010;6:101-9.
- Blanchard C, Wang N, Rothenberg ME. Eosinophilic esophagitis: pathogenesis, genetics, and therapy. J Allergy Clin Immunol. 2006;118:1054-9.
- Sherrill JD, Rothenberg ME. Genetic dissection of eosinophilic esophagitis provides insight into disease pathogenesis and treatment strategies. J Allergy Clin Immunol. 2011;128:23-32.
- Cianferoni A, Spergel JM, Muir A. Recent advances in the pathological understanding of eosinophilic esophagitis. Expert Rev Gastroenterol Hepatol. 2015;9(12):1501-10. doi: 10.1586/17474124.2015.1094372
- Hill DA, Spergel JM. The Immunologic Mechanisms of Eosinophilic Esophagitis. Curr Allergy Asthma Rep. 2016;16(2):9. doi: 10.1007/s11882-015-0592-3
- Spergel JM. New genetic links in eosinophilic esophagitis. Genome Med. 2010;2(9):60.
- Blanchard C, Mingler MK, Vicario M, et al. IL-13 involvement in eosinophilic esophagitis: transcriptome analysis and reversibility with glucocorticoids. J Allergy Clin Immunol. 2007;120:1292-300.
- Mishra A, Rothenberg ME. Intratracheal IL-13 induces eosinophilic esophagitis by an IL-5, eotaxin-1, and STAT6-dependent mechanism. Gastroenterology. 2003;125:1419-27.
- Blanchard C, Wang N, Stringer KF, et al. Eotaxin-3 and a uniquely conserved gene-expression profile in eosinophilic esophagitis. J Clin Invest. 2006;116:536-47.
- Straumann A, Bauer M, Fischer B, et al. Idiopathic eosinophilic esophagitis is associated with a T(H)2-type allergic inflammatory response. J Allergy Clin Immunol 2001;108:954-61.
- Clayton F, Fang JC, Gleich GJ, et al. Eosinophilic esophagitis in adults is associated with IgG4 and not mediated by IgE. Gastroenterology. 2014;147(3):602-9.
- Aalberse RC, Platts-Mills TA, Rispens T. The Developmental History of IgE and IgG4 Antibodies in Relation to Atopy, Eosinophilic Esophagitis, and the Modified TH2 Response. Curr Allergy Asthma Rep. 2016;16(6):45.
- Wright BL, Kulis MD, Guo R, et al. Food-Specific IgG4 Is Associated with Eosinophilic Esophagitis. J Allergy Clin Immunol. 2016;137(2):Ab232Ab232.
- Smyrk TC. Pathological features of IgG4-related sclerosing disease. Curr Opin Rheumatol. 2011;23:74-9.
- Khosroshahi A, Deshpande V, Stone JH. The clinical and pathological features of IgG(4)-related disease. Curr Rheumatol Rep. 2011;13:473-81.
- Kamisawa T, Funata N, Hayashi Y, et al. A new clinicopathological entity of IgG4-related autoimmune disease. J Gastroenterol. 2003;38:982-4.
- Koyabu M, Uchida K, Miyoshi H, et al. Analysis of regulatory T-cells and IgG4-positive plasma cells among patients of IgG4-related sclerosing cholangitis and autoimmune liver diseases. J Gastroenterol. 2010;45:732-41.
- Tanaka A, Moriyama M, Nakashima H, et al. Th2 and regulatory immune reactions contributes to IgG4 production and the initiation of Mikulicz’s disease. Arthritis Rheum. 2012;64:254-63.
- Deshpande V. IgG4-Related Disease of the Gastrointestinal Tract: A 21st Century Chameleon. Arch Pathol Lab Med. 2015;139(6):742-9.
- Буеверов А.О., Кучерявый Ю.А. IgG4-ассоциированная болезнь: монография. М.: Форте Принт, 2014 [Bueverov AO, Kucherya- vyy YuA. IgG4-associated disease: monography. Moscow: Forte Print, 2014 (In Russ.)].
- Stone JH, Zen Y, Deshpande V. IgG4-related disease. N Engl J Med. 2012;366(6):539-51.
- Davies AM, Sutton BJ. Human IgG4: a structural perspective. Immunol Rev. 2015;268(1):139-59.
- Lee H, Joo M, Song TJ, et al. IgG4-related sclerosing esophagitis: a case report. Gastrointest Endosc. 2011;73(4):834-7.
- Lopes J, Hochwald SN, Lancia N, et al. Autoimmune esophagitis: IgG4-related tumors of the esophagus. J Gastrointest Surg. 2010;14(6):1031-4.
- Oh JH, Lee TH, Kim HS, et al. Esophageal Involvement of Immunoglobulin G4-Related Disease: A Case Report and Literature Review. Medicine (Baltimore). 2015;94(50):e2122.
- Zukerberg L, Mahadevan K, Selig M. Oesophageal intrasquamous IgG4 deposits: an adjunctive marker to distinguish eosinophilic oesophagitis from reflux oesophagitis. Histopathology. 2016;68:968-76. doi: 10.1111/his.12892
- Parfitt JR, Gregor JC, Suskin NG, et al. Eosinophilic esophagitis in adults: distinguishing features from gastroesophageal reflux disease: a study of 41 patients. Mod Pathol. 2006;19:90-6.
- Collins MH. Histopathologic features of eosinophilic esophagitis and eosinophilic gastrointestinal diseases. Gastroenterol Clin North Am. 2014;43:257-68.
- Wen T, Dellon ES, Moawad FJ, et al. Transcriptome analysis of proton pump inhibitorresponsive esophageal eosinophilia reveals proton pump inhibitor-reversible allergic inflammation. J Allergy Clin Immunol. 2015;135:187-97.
- Rosenberg CE, Mingler MK, Caldwell JM, et al. Esophageal IgG4 levels correlate with histopathologic and transcriptomic features in eosinophilic esophagitis. Allergy. 2018;73(9):1892-901. doi: 10.1111/ all.13486.doi: 10.1111/all.13486
- Obiorah I, Hussain A, Palese C, Azumi N. IgG4-related disease involving the esophagus: a clinicopathological study. Dis Esophagus. 2017;30:1-7. doi: 10.1093/dote/dox091
- Martinez-Valle F, Fernandez-Codina A, Pinal-Fernandez I, et al. IgG4-related disease: evidence from six recent cohorts. Autoimmun Rev. 2016;15:30274-9.
- Brito-Zeron P, Bosch X, Ramos-Casals M, Stone JH. IgG4-related disease: advances in the diagnosis and treatment. Best Pract Res Clin Rheumatol. 2016;30:261-78.
- Kamisawa T, Okazaki K, Kawa S, et al. Japanese consensus guidelines for management of autoimmune pancreatitis: III. Treatment and prognosis of AIP. J Gastroenterol. 2010;45:471-7.
- Khosroshahi A, Bloch DB, Deshpande V, Stone JH. Rituximab therapy leads to rapid decline of serum IgG4 levels and prompt clinical improvement in IgG4-related systemic disease. Arthritis Rheum. 2010;62:1755-62.
- Carruthers MN, Topazian MD, Khosroshahi A, et al. Rituximab for IgG4-related disease: a prospective, open-label trial. Ann Rheum Dis. 2015;74:1171-7.
- Della-Torre E, Campochiaro C, Bozzolo EP, et al. Methotrexate for maintenance of remission in IgG4-related disease. Rheumatology. 2015;54:1934-6.
- Savarino E, Zentilin P, Marabotto E, et al. Drugs for improving esophageal mucosa defense: where are we now and where are we going? Ann Gastroenterol. 2017;30(6):585-91. doi: 10.20524/aog.2017.0187
- Gaffney J, Matou-Nasri S, Grau-Olivares M, Slevin M. Therapeutic applications of hyaluronan. Mol Biosyst. 2010;6(3):437-43.
- Ialenti A, Di Rosa M. Hyaluronic acid modulates acute and chronic inflammation. Agents Actions. 1994;43(1-2):44-7.
- Nolan A, Baillie C, Badminton J, et al. The efficacy of topical hyaluronic acid in the management of recurrent aphthous ulceration. J Oral Pathol Med. 2006;35:461-5.
- Kim Y, Kessler SP, Obery DR, et al. Hyaluronan 35kDa treatment protects mice from Citrobacter rodentium infection and induces epithelial tight junction protein ZO-1 in vivo. Matrix Biol. 2017;62:28-39. doi: 10.1016/j.matbio.2016.11.001
- Volpi N. Anti-inflammatory activity of chondroitin sulphate: new functions from an old natural macromolecule. Inflammopharmacology. 2011;19(6):299-306.
- Souich P, Garcia AG, Verges J, Montell E. Immunomodulatory and anti-inflammatory effects of chondroitin sulphate. J Cell Mol Med. 2009;13:1451-63.
- Bonfils S, Dubrasquet M, Lambling A. The inhibition of peptic proteolysis by various polysaccharides. Rev Fr Etud Clin Biol. 1960;5:71-4.
- Galzigna L, Previerocoletti MA. Action of sodium chondroitin sulfate on the enzymatic activity of pepsin. Gazz Med Ital. 1965;124:65-7.
- Lenzi G, Rapino P, Ferri S. On the behavior of gastric hydrochloric and peptic activity after administration of sodium chondroitin sulfate. Minerva Med. 1963;54:3421-4.
- Ramya Devi D, Sandhya P, Vedha Hari BN. Poloxamer: a novel functional molecule for drug delivery and gene therapy. J Pharm Sci Res. 2013;5:159-65.
- Dumortier G, Grossiord JL, Agnely F, Chaumeil JC. A review of poloxamer 407 pharmaceutical and pharmacological characteristics. Pharm Res. 2006;23(12):2709-28.
- Palmieri B, Corbascio D, Capone S, Lodi D. Preliminary clinical experience with a new natural compound in the treatment of esophagitis and gastritis: symptomatic effect. Trends Med. 2009;9:219-25.
- Palmieri B, Merighi A, Corbascio D, et al. Fixed combination of hyaluronic acid and chondroitin-sulphate oral formulation in a randomized double blind, placebo controlled study for the treatment of symptoms in patients with non-erosive gastroesophageal reflux. Eur Rev Med Pharmacol Sci. 2013;17:3272-8.
- Savarino V, Pace F, Scarpignato C, Esoxx Study Group Randomised clinical trial: mucosal protection combined with acid suppression in the treatment of non-erosive reflux disease – efficacy of Esoxx, a hyaluronic acid-chondroitin sulphate based bioadhesive formulation. Aliment Pharmacol Ther. 2017;45:631-42.
Дополнительные файлы








