Differential diagnosis of pneumonia as a complication of nasal liquorrhea in the context of the COVID-19 pandemic: Case report
- Authors: Chernikova N.A.1, Shelesko E.V.1, Sharipov O.I.1, Ershova O.N.1, Kalinin P.L.1, Kutin M.A.1, Fomichev D.V.1
-
Affiliations:
- Burdenko National Medical Research Center for Neurosurgery
- Issue: Vol 94, No 3 (2022)
- Pages: 420-426
- Section: Case reports
- Submitted: 06.10.2020
- Published: 15.03.2022
- URL: https://ter-arkhiv.ru/0040-3660/article/view/46449
- DOI: https://doi.org/10.26442/00403660.2022.03.201404
- ID: 46449
Cite item
Full Text
Abstract
Nasal liquorrhea – the outflow of cerebrospinal fluid from the cerebrospinal fluid spaces of the cranial cavity into the nasal cavity or paranasal sinuses due to the presence of a congenital or acquired defect in the bones of the skull base and meninges of various etiologies. Nasal liquorrhea leads to potentially fatal complications: meningitis, meningoencephalitis, pneumocephalus, brain abscess. Also, with nasal liquorrhea, less dangerous complications may occur: aspiration bronchopneumonia and gastritis. The article presents a case of aspiration pneumonia in two patients with nasal liquorrhea treated at the Burdenko National Medical Research Center for Neurosurgery during the COVID-19 pandemic. Both patients noted the profuse nature of the nasal liquorrhea, complained of coughing in a horizontal position. In both cases, no RNA virus (SARS-CoV-2) was detected during the polymerase chain reaction. Antibodies (IgG, M) to coronavirus were not detected. Computed tomography of the chest organs in both cases revealed areas of frosted glass darkening. Since no data was obtained for coronavirus infection (negative tests for coronavirus, lack of antibodies), changes in the lungs were interpreted as a consequence of constant aspiration of CSF. The patients were admitted to a separate ward. Both patients underwent endoscopic endonasal plasty of the skull base defect. The postoperative period in both cases was uneventful. In both cases, the patients underwent computer tomography scan of the chest organs one month later. On the photographs, the signs of pneumonia completely regressed.
Full Text
Список сокращений
КТ – компьютерная томография
ПЦР – полимеразная цепная реакция
СКТ – спиральная компьютерная томография
Ig – иммуноглобулин
Введение
Назальная ликворея – истечение цереброспинальной жидкости из ликворных пространств полости черепа в полость носа или околоносовые пазухи вследствие наличия врожденного или приобретенного дефекта костей основания черепа и мозговых оболочек различной этиологии [1].
Назальная ликворея приводит к потенциально смертельным осложнениям: менингит, менингоэнцефалит, пневмоцефалия, абсцесс мозга. Также при назальной ликворее возможно возникновение менее опасных осложнений: аспирационной бронхопневмонии и гастрита [2, 3]. При выраженном истечении цереброспинальной жидкости у пациентов в горизонтальном положении на спине ликвор часто попадает через полость носа и носоглотку в нижние отделы дыхательного тракта. При этом возникает аспирационная бронхопневмония. Пациенты жалуются на кашель, который возникает преимущественно в положении лежа на спине [4].
M. Rozenbaum и соавт. [5] приводят данные по эпидемиологии пневмонии в Европе и Северной Америке. Среди взрослого населения пневмония встречается у 5–10 человек на 1 тыс. жителей. По данным А.Г. Чучалина [6], в России более 1,5 млн взрослого населения страны ежегодно переносят пневмонию, а смертность достигает чуть больше 40 тыс. человек. Эти статистические данные подчеркивают важность ранней диагностики и лечения пневмонии.
Для диагностики наиболее сложной является вирусная пневмония, которая имеет сезонный характер и встречается преимущественно в зимнее время. В декабре 2019 г. в городе Ухань (Китай) началась эпидемия новой коронавирусной инфекции, вызванной SARS-CoV-2, которая с высокой скоростью распространилась по всему миру [7]. Всемирная организация здравоохранения 12.02.2020 определила официальное название инфекционного заболевания – COVID-19 (Coronavirus disease 2019). Международный комитет по таксономии вирусов присвоил официальное название возбудителю инфекции – SARS-CoV-2 [8]. Основным проявлением заболевания является пневмония. Также отмечается бессимптомное или легкое течение с вовлечением верхних дыхательных путей, которое разрешается в течение недели после заражения [9]. По данным https://www.worldometers.info/coronavirus (Мирометры.инфо/коронавирус), на 07.09.2020 число инфицированных людей превысило 27 332 110 человек. Смертность составляет приблизительно 893 697 человек. В России зарегистрировано 1 030 690 случаев COVID- 19, смертность составила 17 871 человек [10].
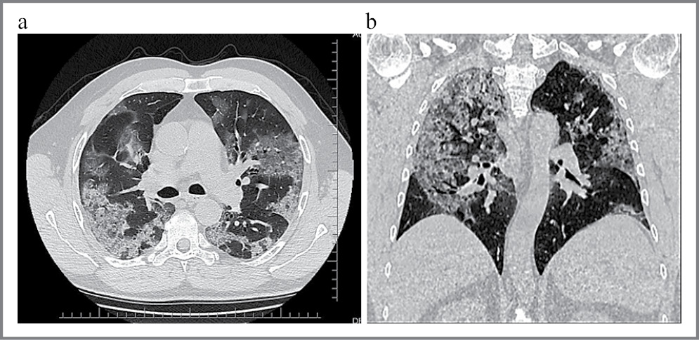
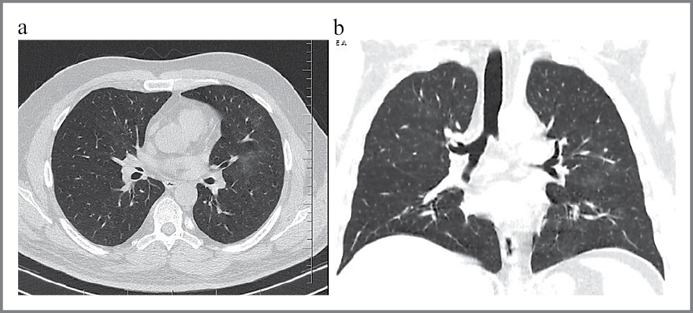
На сегодняшний день «золотым стандартом» диагностики COVID-19 является полимеразная цепная реакция (ПЦР) на выявление РНК вируса с обратной транскрипцией в реальном времени. Данные компьютерной томографии (КТ) у пациентов с первичными ложноотрицательными результатами ПЦР при подозрении на COVID-19 являются существенным дополнением к дифференциальной диагностике (рис. 1) [11, 12].
Рис. 1: а – аксиальная проекция; b – фронтальная проекция. КТ легких у пациента с вирусной пневмонией, вызванной COVID-19. Симптом «матового стекла» и «булыжной мостовой».
Описание случая
Пациент Д., 67 лет, обратился в ФГАУ «НМИЦН им. акад. Н.Н. Бурденко» с жалобами на истечение прозрачной жидкости из носа справа при наклоне головы.
Анамнез жизни: гипертоническая болезнь II стадии, 2-я степень риска сердечно-сосудистых осложнений 3, гипертрофия миокарда левого желудочка, хронический гиперпластический гастрит. Сердечная недостаточность II функционального класса, митральная недостаточность 2–3-й степени, аортальная недостаточность 1–2-й степени, трикуспидальная недостаточность 2-й степени, легочная гипертензия 2-й степени, диастолическая дисфункция миокарда левого желудочка 1-й степени. Пациент не нарушал режима самоизоляции, в контакте с инфекционными больными не состоял. В семье заболеваний COVID-19 не отмечалось.
Анамнез заболевания: со слов пациента, около 6 мес назад обратил внимание на капельное истечение жидкости из носа при наклоне головы. Через месяц выделения из носа усилились. Лечился по месту жительства с диагнозом «аллергический ринит» без эффекта. В июне отметил эпизод повышения температуры до 38–39°С, головные боли. Обследован по месту жительства с подозрением на менингит. Эмпирически назначен амоксициллин. Выполнена магнитно-резонансная томография, на которой выявлено объемное гиперваскулярное образование хиазмально-селлярной области с инфраселлярным распространением размерами 20×33×22 мм с деструкцией тела клиновидной кости. Диагноз менингита не подтвердился. Направлен в ФГАУ «НМИЦН им. акад. Н.Н. Бурденко» для определения дальнейшей тактики лечения.
При дообследовании в ФГАУ «НМИЦН им. акад. Н.Н. Бурденко» при неврологическом осмотре без особенностей. В ходе выполнения ПЦР РНК вируса (SARS-CoV-2) не обнаружена. Антитела – иммуноглобулины (Ig)G, M – к коронавирусу также отрицательные. Выполнена КТ органов грудной клетки. Выявлено легочное воспаление в нижних долях легких с обеих сторон. Справа в нижних сегментах выявлены участки затемнения по типу «матового стекла». В 6-м сегменте правого легкого определены кальцинаты. Корни легких не расширены. Жидкости в плевральной полости не выявлено. Изменений диафрагмы нет. Средостение не смещено.
В клиническом анализе крови лейкоциты 4,35×109/л, нейтрофилы – 72,4%, незрелые гранулоциты – 1,1 %, лимфоциты – 0,85×109/л.
Учитывая хронический характер назальной ликвореи, изменения на КТ легких могут быть следствием затекания ликвора в легкие. Однако принимая во внимание наличие снижения лимфоцитов в крови, данные изменения в высокой степени вероятности могут быть при вирусной пневмонии SARS-CoV-2. Принято решение перенести сроки операции на 10–14 дней с целью оценки изменений на КТ в динамике и повторной сдачей тестов на коронавирус (мазок из зева и носа, анализ на IgG) с последующим решением вопроса о госпитализации пациента в ФГАУ «НМИЦН им. акад. Н.Н. Бурденко».
Пациент проходил обследование у врача-инфекциониста по месту жительства. При лабораторном обследовании на COVID-19 РНК SARS-CoV-2 и антитела классов IgM и G к SARS-CoV-2 не обнаружены.
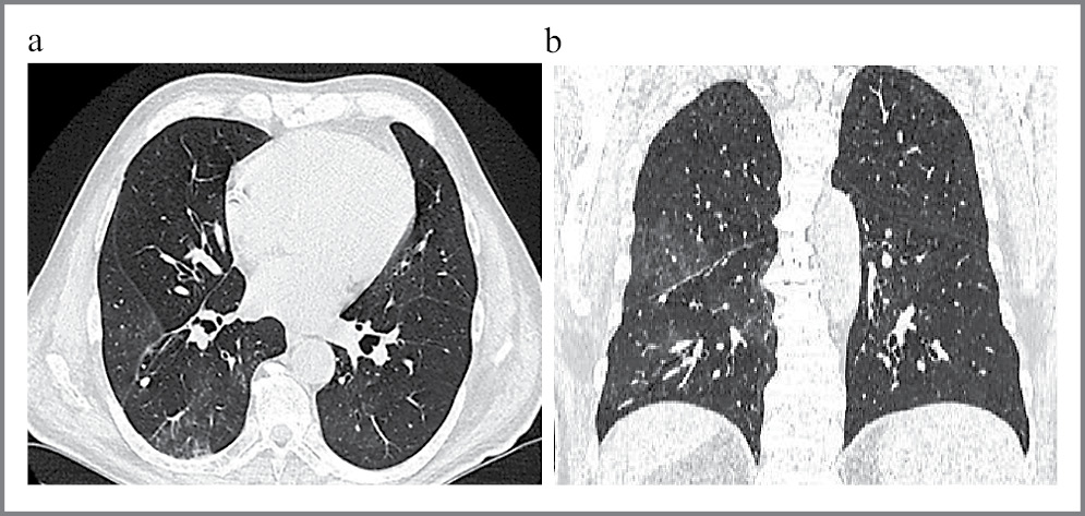
Выполнена повторная КТ легких через 16 дней, на которой определялись множественные очаговые инфильтративные изменения без динамики по сравнению с предыдущим исследованием (рис. 2, a, b).
Рис. 2: а – аксиальная проекция; b – фронтальная проекция. КТ легких первого пациента до операции. Отмечаются множественные участки затемнения по типу «матового стекла».
Проведены повторный забор и исследование биоматериала: РНК вируса SARS-CoV-2 не обнаружена.
В связи с такими неоднозначными данными проведен консилиум, в котором участвовали главный врач, эпидемиолог, анестезиолог, врачи-нейрохирурги. Так как данных в пользу коронавирусной инфекции не получено (отрицательные тесты на коронавирус, отсутствие антител), изменения в легких интерпретированы как следствие постоянной аспирации ликвора. Пациента госпитализировали в отдельную палату.
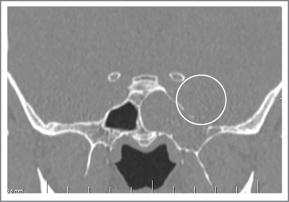
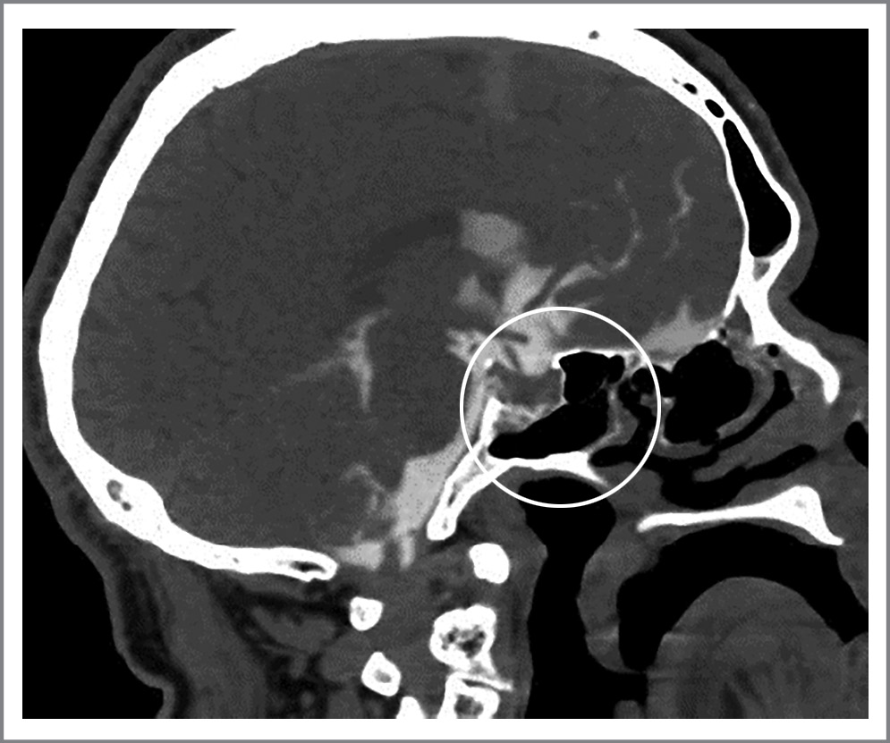
Перед операцией проведена КТ-цистернография, которая выявила наличие дефекта основания черепа: в области турецкого седла (рис. 3).
Рис. 3. КТ-цистернография. Фронтальная проекция. Дефект в области турецкого седла.
Ход лечения
Выполнена операция «эндоскопическое эндоназальное трансфеноидальное удаление эндоселлярной опухоли гипофиза, пластика двух ликворных фистул в области турецкого седла и задних ячеек решетчатой кости справа ауто- и алломатериалами».
Послеоперационный период протекал удовлетворительно. Соматический и неврологический статус в послеоперационном периоде без отрицательной динамики. В раннем послеоперационном периоде признаков назальной ликвореи не отмечено. Пациент выписан из стационара на 9-е сутки после операции.
По данным гистологического заключения подтвержден диагноз «аденома гипофиза».
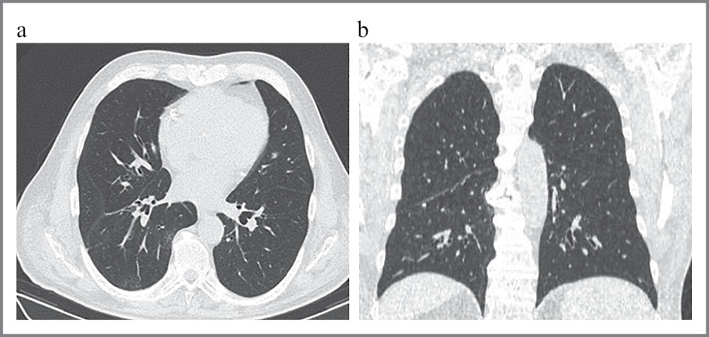
Через месяц после операции пациент выполнил контрольные снимки КТ органов грудной клетки. На снимках признаки пневмонии полностью регрессировали (рис. 4, a, b.)
Рис. 4: а – аксиальная проекция; b – фронтальная проекция. КТ легких через месяц после операции.
Пациент Ф., 40 лет, консультирован в ФГАУ «НМИЦН им. акад. Н.Н. Бурденко» в связи с рецидивирующей назальной ликвореей.
Анамнез заболевания: считает себя больным с августа 2019 г., когда без явной причины появились жидкие выделения из левой половины носа. Консультировался у оториноларинголога по месту жительства, поставлен диагноз «назальная ликворея». Проходил лечение в ФГАУ «НМИЦН им. акад. Н.Н. Бурденко», где выполнена операция «эндоскопическая эндоназальная пластика дефекта основания черепа в области латерального кармана клиновидной пазухи справа». После операции чувствовал себя хорошо, выделения отсутствовали. Однако через 3 мес после операции вновь отметил прозрачные выделения из носа справа при наклоне головы. Отмечал кашель по ночам, головные боли. С этими жалобами обратился в ФГАУ «НМИЦН им. акад. Н.Н. Бурденко» для повторного хирургического лечения. При осмотре оториноларинголога: профузная назальная ликворея; дефект в области латерального кармана клиновидной пазухи справа (рис. 5).
Рис. 5. КТ головного мозга, фронтальная проекция. Дефект основания черепа в области латерального кармана клиновидной пазухи слева.
Анамнез жизни: черепно-мозговая травма 20 лет назад, эпилепсия; ожирение 1-й степени.
При обследовании для госпитализации в стационар дважды выполнено исследование на SARS-CoV-2 методом ПЦР – РНК коронавируса не выявлено. По данным спиральной КТ (СКТ) органов грудной клетки отмечалась картина воспалительных изменений в нижних долях легких. Антител к коронавирусу не обнаружено. Клинический и биохимический анализы крови – норма. У пациента отсутствовали признаки интоксикации. Не отмечалось увеличения периферических лимфоузлов.
Проведен консилиум, в котором участвовали главный врач, эпидемиолог, анестезиолог, врачи-нейрохирурги, врачи-оториноларингологи. Учитывая профузный характер ликвореи, воспалительные изменения на КТ расценены как следствие аспирационной пневмонии за счет затекания цереброспинальной жидкости в легкие (рис. 6, a, b).
Рис. 6: a – аксиальная проекция; b – фронтальная проекция КТ органов грудной клетки перед операцией. Отмечаются множественные участки затемнения в левом легком по типу «матового стекла».
В связи с отсутствием лабораторных данных в пользу коронавирусной инфекции (отрицательные тесты на коронавирус, отсутствие антител), а также отсутствием противопоказаний для проведения анестезии и хирургического лечения пациент госпитализирован в стационар в отдельную палату.
Ход лечения
Выполнена операция «эндоскопическая эндоназальная пластика дефекта основания черепа в области латерального кармана клиновидной пазухи с использованием аутотрансплантатов».
Послеоперационный период протекал удовлетворительно. Соматический и неврологический статус в послеоперационном периоде без отрицательной динамики. В раннем послеоперационном периоде признаков назальной ликвореи не отмечено. Пациент выписан под амбулаторное наблюдение на 5-е сутки после операции.
В позднем послеоперационном периоде (месяц после операции) признаки пневмонии по данным КТ органов грудной клетки полностью регрессировали. Антител к SARS-CoV-2 у пациента не выявлено (рис. 7).
Рис. 7. КТ легких через месяц после операции, фронтальная проекция.
Дискуссия
Аспирация определяется как случайное попадание орофарингеального или желудочного содержимого или жидкости и твердых частиц в нижние дыхательные пути. Клинический ответ на аспирацию зависит от характера аспирированного материала, микробиоценоза слизистой оболочки дыхательных путей и колонизации патогенной микрофлорой [13, 14].
При профузной назальной ликворее возможно попадание ликвора в бронхи, что может привести к развитию воспаления в дыхательных путях. Хотя пациенты с дефектами основания черепа часто жалуются на кашель в положении лежа на спине, случаев пневмонии как осложнения назальной ликвореи в литературе описано мало [15]. В 2016 г. J. Seltzer и соавт. [16] опубликовали первую статью, посвященную этой проблеме. До этого времени о таком осложнении упоминали при анализе серий случаев лечения назальной ликвореи, однако не описаны диагностические признаки и методы лечения аспирационной пневмонии. Вероятно, это связано с тем, что данное осложнение назальной ликвореи недооценено в клинической практике ранее, но приобрело особую актуальность в условиях пандемии SARS-CoV-2.
По этиологии назальная ликворея может быть спонтанной и травматической [17]. Травматическая связана с черепно-мозговыми травмами и в 80% случаев прекращается в течение первых 2 нед. Также к травматической ликворее относится ликворея, возникающая вследствие различных хирургических вмешательств [18]. При спонтанной назальной ликворее патогенез связан со множеством факторов, таких как повышенный индекс массы тела, внутричерепная гипертензия, синдром «пустого турецкого седла» и арахноидальные грануляции [19]. При ожирении происходит снижение уровня соматотропного гормона, что ведет к повышению секреции лептина, который в свою очередь индуцирует остеопению. Также у пациентов с метаболическим синдромом отмечено повышение уровня кортизола, тестостерона, норадреналина. Эти эндокринные изменения приводят к нарушению кальциевого гомеостаза, функции остеобластов и в конечном итоге – к деминерализации костей и развитию остеопороза, на фоне которого происходит деструкция костей основания черепа [20].
Ожирение оказывает прямое влияние на физиологию дыхания путем увеличения массы и снижения податливости стенок грудной клетки при отложении жира вокруг ребер, что существенно затрудняет вдох. Отложение жира в средостении также ограничивает подвижность легких. При избыточном отложении жира в брюшной полости развивается дисфункция диафрагмы, которая выражается в диспропорции соотношения между длиной и напряжением мышечных волокон вследствие их перерастяжения, что ограничивает экскурсию диафрагмы [21, 22]. Все это ведет к снижению легочных объемов, особенно резервного объема выдоха и функциональной резервной емкости, которые играют важную роль в поддержании проходимости дистальных отделов дыхательных путей. Таким образом, риск развития аспирационной пневмонии у пациентов со спонтанной ликвореей значительно выше, чем у пациентов с травматической ликвореей [23].
Для диагностики пневмонии используется рентгенография легких. При этом характерна локализация в задних сегментах верхних долей и верхних сегментах нижних долей [24].
Изменения легких при COVID-19 достаточно вариабельны, однако большинство авторов сходятся во мнении, что наиболее частыми и вместе с тем наиболее характерными изменениями являются уплотнение паренхимы по типу «матового стекла» (единичное или множественные), а также сочетание этих изменений с консолидацей и/или с ретикулярными изменениями (изменения по типу «булыжной мостовой») [25]. Наиболее часто данные пневмонии манифестируют на КТ как билатеральные изменения с преимущественно субплевральной локализацией при отсутствии плеврального выпота. При этом наиболее типично дорсальное расположение изменений с вовлечением нескольких долей легких, преимущественно нижних. В нашем случае у пациента имелся симптом «матового стекла». Однако данный симптом не является патогномоничным, а является показателем плотности тканей легких и выступает признаком интерстициального характера инфильтрации. «Матовое стекло» представлено определенным участком, на котором наблюдается умеренно сниженный показатель воздушности тканей органов дыхания. Причинным фактором возникновения такого феномена выступает утолщение межальвеолярных перегородок, а также частичное заполнение альвеол содержимым [26–27].
По данным литературы, специального лечения пневмонии при назальной ликворее не требуется, симптоматика быстро регрессирует после успешного закрытия ликворной фистулы [28]. M. Or и соавт. [29] в 2021 г. опубликовали статью, посвященную аспирационной пневмонии при назальной ликворее. В их серии случаев симптомы хронического воспаления легких выявлены у 6 из 20 пациентов с назальной ликвореей. Авторы сообщают, что после пластики дефектов основания черепа симптомы со стороны легких полностью регрессировали без антибактериального лечения.
ФГАУ «НМИЦН им. акад. Н.Н. Бурденко» продолжил оказывать высокотехнологичную медицинскую помощь пациентам в условиях высокого риска заноса COVID-19. С целью снижения и предупреждения внутрибольничного распространения инфекции среди больных разработан алгоритм, учитывающий данные эпидемиологического анамнеза, близкий контакт с больными COVID-19, данные лабораторных исследований (выявление РНК вируса SARS-CoV-2 методом ПЦР) и данные СКТ-легких перед госпитализацией (табл. 1).
Таблица 1. Алгоритм принятия решения о госпитализации пациентов Table 1. Algorithm for making a decision on hospitalization of patients | |||||
№ | РНК | СКТ | Эпиданамнез | Клиника | Решение |
1. | НЕ обнаружена РНК SARS-CoV-2 методом ПЦР с давностью забора материала 48 ч до госпитализации | Данные в пользу вирусной пневмонии на СКТ органов грудной клетки с давностью 7 дней до госпитализации отсутствуют | Контакт с больными COVID-19 на протяжении 14 дней до госпитализации отсутствует | Клинические признаки заболевания отсутствуют | Госпитализация возможна |
2. | НЕ обнаружена РНК SARS-CoV-2 методом ПЦР с давностью забора материала 48 ч до госпитализации | Есть данные в пользу вирусной пневмонии на СКТ органов грудной клетки с давностью 7 дней до госпитализации | В анамнезе перенесенный COVID-19, есть наличие антител класса IgG в крови | Клинические признаки заболевания отсутствуют | Госпитализация откладывается. В дальнейшем госпитализация возможна при двух отрицательных тестах на SARS-CoV-2 методом ПЦР с интервалом в 1 день и положительной динамикой на СКТ органов грудной клетки через 10 дней |
3. | НЕ обнаружена РНК SARS-CoV-2 методом ПЦР с давностью забора материала 48 ч до госпитализации | Есть данные в пользу вирусной пневмонии на СКТ органов грудной клетки с давностью 7 дней до госпитализации | В анамнезе указаний на перенесенный COVID-19 нет | Клинические признаки заболевания отсутствуют | Госпитализация откладывается, и пациента направляют для наблюдения в медицинскую организацию по месту жительства с рекомендацией выполнить тест на антитела классов М и G и повторить СКТ органов грудной клетки в динамике 10 дней. |
4. | Обнаружена РНК SARS-CoV-2 методом ПЦР с давностью забора материала 48 ч до госпитализации | Данные в пользу вирусной пневмонии на СКТ органов грудной клетки с давностью 7 дней до госпитализации отсутствуют | В анамнезе указаний на перенесенный COVID-19 нет | Клинические признаки заболевания отсутствуют | Госпитализация откладывается, и пациента направляют для наблюдения в медицинскую организацию по месту жительства с рекомендацией пройти полное обследование по COVID-19. Дальнейшая госпитализация возможна не ранее чем через 4–5 нед при отсутствии клинической картины и двух отрицательных тестах на SARS-CoV-2 методом ПЦР с интервалом 1 день и повторно СКТ органов грудной клетки |
5. | Сдан тест на SARS-CoV-2 методом ПЦР, результат будет готов на следующий день | Данные в пользу вирусной пневмонии на СКТ органов грудной клетки с давностью 7 дней до госпитализации отсутствуют | В анамнезе указаний на перенесенный COVID-19 нет | Пациент в тяжелом или крайне тяжелом состоянии по основному заболеванию | Пациент может быть госпитализирован в отдельную палату отделения, строго изолирован с сопровождающим лицом до получения результата тестирования. При получении положительного теста на SARS-CoV-2 пациента переводят в специализированный стационар для лечения COVID-19 |
В случае назальной ликвореи при выполнении СКТ органов грудной клетки возможно обнаружение аспирационной пневмонии. В данном случае показано выполнение ПЦР на коронавирус не менее 2 раз. Если оба раза оказываются отрицательными и нет развития клинической симптоматики COVID-19, отсутствуют противопоказания для проведения общей анестезии и выполнения хирургического вмешательства, пациента возможно госпитализировать в отдельную палату для пластики дефекта основания черепа.
Заключение
Изменения в легких у пациентов с назальной ликвореей являются следствием аспирации цереброспинальной жидкости. При этом изменения могут проявляться кратковременным локальным снижением воздушности легочной ткани по типу «матового стекла» вследствие частичного заполнения альвеол жидкостью без каких-либо клинических проявлений.
В подобных случаях пациентам следует выполнять ПЦР-диагностику на выявление РНК вируса SARS-CoV-2 не менее 2 раз и СКТ органов грудной клетки. В случае выявления признаков поражения легочной ткани по типу «матового стекла» рекомендовано перенести сроки операции на 10–14 дней с целью оценки данных изменений на СКТ в динамике и повторного исследования на коронавирус для исключения вирусного характера поражения легких.
Раскрытие интересов. Авторы декларируют отсутствие явных и потенциальных конфликтов интересов, связанных с публикацией настоящей статьи.
Disclosure of interest. The authors declare that they have no competing interests.
Вклад авторов. Авторы декларируют соответствие своего авторства международным критериям ICMJE. Все авторы в равной степени участвовали в подготовке публикации: разработка концепции статьи, получение и анализ фактических данных, написание и редактирование текста статьи, проверка и утверждение текста статьи.
Authors’ contribution. The authors declare the compliance of their authorship according to the international ICMJE criteria. All authors made a substantial contribution to the conception of the work, acquisition, analysis, interpretation of data for the work, drafting and revising the work, final approval of the version to be published and agree to be accountable for all aspects of the work.
Источник финансирования. Авторы декларируют отсутствие внешнего финансирования для проведения исследования и публикации статьи.
Funding source. The authors declare that there is no external funding for the exploration and analysis work.
Информированное согласие на публикацию. Пациенты подписали форму добровольного информированного согласия на публикацию медицинской информации.
Consent for publication. Written consent was obtained from the patients for publication of relevant medical information and all of accompanying images within the manuscript.
Соответствие принципам этики. Протокол исследования был одобрен локальным этическим комитетом при ФГАУ «НМИЦН им. акад. Н.Н. Бурденко» Минздрава России, протокол №27. Одобрение и процедуру проведения протокола получали по принципам Хельсинкской конвенции.
Ethics approval. The study was approved by the local ethics committee of Burdenko National Medical Research Center for Neurosurgery, No.27. The approval and procedure for the protocol were obtained in accordance with the principles of the Helsinki Convention.
About the authors
Nadezhda A. Chernikova
Burdenko National Medical Research Center for Neurosurgery
Author for correspondence.
Email: Chernikhope@gmail.com
ORCID iD: 0000-0002-4895-233X
мл. науч. сотр., врач отд. оториноларингологии
Russian Federation, MoscowElizaveta V. Shelesko
Burdenko National Medical Research Center for Neurosurgery
Email: Chernikhope@gmail.com
ORCID iD: 0000-0002-8249-9153
канд. мед. наук, зав. отд. оториноларингологии
Russian Federation, MoscowOleg I. Sharipov
Burdenko National Medical Research Center for Neurosurgery
Email: Chernikhope@gmail.com
ORCID iD: 0000-0003-3777-5662
канд. мед. наук, нейрохирург отд. патологии основания черепа
Russian Federation, MoscowOlga N. Ershova
Burdenko National Medical Research Center for Neurosurgery
Email: Chernikhope@gmail.com
ORCID iD: 0000-0001-9658-807X
д-р мед. наук, эпидемиолог
Russian Federation, MoscowPavel L. Kalinin
Burdenko National Medical Research Center for Neurosurgery
Email: Chernikhope@gmail.com
ORCID iD: 0000-0001-9333-9473
д-р мед. наук, зав. отд. патологии основания черепа
Russian Federation, MoscowMaxim A. Kutin
Burdenko National Medical Research Center for Neurosurgery
Email: Chernikhope@gmail.com
ORCID iD: 0000-0002-6520-4296
канд. мед. наук, нейрохирург отд. патологии основания черепа
Russian Federation, MoscowDmitry V. Fomichev
Burdenko National Medical Research Center for Neurosurgery
Email: Chernikhope@gmail.com
ORCID iD: 0000-0002-5323-1000
канд. мед. наук, нейрохирург отд. патологии основания черепа
Russian Federation, MoscowReferences
- Schlosser RJ, Woodworth BA, Wilensky EM, et al. Spontaneous cerebrospinal fluid leaks: a variant of benign intracranial hypertension. Ann Otol Rhinol Laryngol. 2006;115:495-500. doi: 10.1177/000348940611500703
- Dias E, Dias M. Recurrent meningitis in a child with intranasal encephalocele. J Neurosci Rural Pract. 2012;3(1):102-3. doi: 10.4103/0976-3147.91981
- Bernal-Sprekelsen M, Alobid I, Mullol J, et al. Closure of cerebrospinal fluid leaks prevents ascending bacterial meningitis. Rhinology. 2005;43(4):277-81. doi: 10.1016/s0194-5998(03)01254-3
- Капитанов Д.Н., Лопатин А.С. Эндоскопическая диагностика и лечение назальной ликвореи. M.: Практ ическая медицина, 2015; c. 184-91 [Kapitanov DN, Lopatin AS. Endoskopicheskaya diagnostika i lechenie nazal'noi likvorei. Moscow: Prakticheskaia meditsina, 2015; p. 184-91 (in Russian)].
- Rozenbaum MH, Pechlivanoglou P, van der Werf TS, et al. The role of Streptococcus pneumoniae in community acquired pneumonia among adults: a meta analysis. Eur J Clin Microb Infect Dis. 2013;32:305-16. doi: 10.1007/s10096-012-1778-4
- Чучалин А.Г. Пневмония: актуальная проблема медицины ХХI века. Терапевтический архив. 2016;88(3):4-12 [Chuchalin AG. Pneumonia: an actual problem of medicine in the XXI century. Terapevticheskii Arkhiv (Ter. Arkh.). 2016;88(3):4-12 (in Russian)]. doi: 10.17116/terarkh20168834-12
- Khristenko E, von Stackelberg O, Kauczor HU, et al. Ctpatterns in COVID-19 associated pneumonia – unification of radiological reports based on glossary of Fleischner society. REJR. 2019;9(4):82-96. doi: 10.21569/2222-7415-2020-10-1-16-26
- WHO Director-General’s opening remarks at the media briefing on COVID-19-11 March 2020 n.d. Available at: https://www.who.int/dg/speeches/detail/who-director-general-s openingremarks-at-the-media-briefing-on-covid-19–11-march 2020. Accessed: 22.03.2020.
- Yang W, Cao Q, Qin L, et al. Clinical characteristics and imaging manifestations of the 2019 novel coronavirus disease (COVID-19): a multi-center study in Wenzhou city, Zhejiang, China. J Infect. 2020;80:388-893. doi: 10.1016/j.jinf.2020.02.016
- Coronavirus Update (Live): 629,450 Cases and 28,963 Deaths from COVID-19 Virus Outbreak – Worldometer n.d. Available at: https://www.worldometers.info/coronavirus/ Accessed: 28.03.2020.
- Fang Y, Zhang H, Xie J, et al. Sensitivity of chest CT for COVID-19: comparison to RT-PCR. Radiology. 2020;296(2):E115-7. DOI:10.1148/ radiol.20202004.32
- Ai T, Yang Z, Hou H, et al. Correlation of chest CT and RT-PCR testing in coronavirus disease 2019 (COVID-19) in China: a report of 1014 cases. Radiology. 2020;296(2):E32-40. doi: 10.1148/radiol.2020200642
- Marik PE. Pulmonary aspiration syndromes. Curr Opin Pulm Med. 2011;17:148-54. doi: 10.1097/mcp.0b013e32834397d6
- Авдеев С.Н. Аспирационная пневмония: современные подходы к диагностике и терапии. Пульмонология. 2009;2:5-19 [Avdeev SN. Aspiration pneumonia: modern approaches to diagnosis and therapy. Pulmonologiya. 2009;2:5-19 (in Russian)].
- Mahapatra AK, Suri A. Anterior Encephaloceles: A Study of 92 Cases. Pediatr Neurosurg. 2002;36:113-8. doi: 10.1159/000048365
- Seltzer J, Babadjouni A, Wrobel BB, Zada G. Resolution of chronic aspiration pneumonitis following endoscopic endonasal repair of spontaneous cerebrospinal fluid fistula of the skull base. J Neurol Surg Rep. 2016;77:73-6. doi: 10.1055/s-0036-1582238
- Abuabara A. Cerebrospinal fluid rhinorrhoea: diagnosis and management. Med Oral Patol Oral Cir Bucal. 2007;12:E397-400.
- Крюков А.И., Туровский А.Б., Годков И.М., Кудрявцева Ю.С. Лечение риноликвореи после травм основания черепа. Роc. ринология. 2011;19(2):54-5 [Kryukov AI, Turovskij AB, Godkov IM, Kudryavceva YuS. Treatment of rhino-liquorrhea after injuries of the base of the skull. Rossijskaya rinologiya. 2011;19(2):54-5 (in Russian)].
- Махмурян М.С., Кравчук А.Д., Капитанов Д.Н., и др. Диагностика и лечение спонтанной назальной ликвореи у больных с метаболическим синдромом. Вопр. нейрохирургии. 2011;4:82-91 [Mahmuryan MS, Kravchuk AD, Kapitanov DN, et al. Diagnosis and treatment of spontaneous nasal liquorrhea in patients with metabolic syndrome. Voprosy Neirokhirurgii. 2011;4:82-91 (in Russian)].
- Пшеннова В.С., Ежова И.С., Кхир Б.М., Александров О.В. Состояние респираторной системы при ожирении. Рос. мед. журн. 2012;4:6-11 [Pshennova VS, Ezhova IS, Kkhir BM, Aleksandrov OV. The state of the respiratory system in obesity. Rossijskii medicinskii zhurnal. 2012;4:6-11 (in Russian)].
- Barbarito N, De Mattia E. Grading the severity of obstruction in patients with chronic obstructive pulmonary disease and morbid obesity. Monaldi Arch Chest Dis. 2013;79(3-4):121-7. doi: 10.4081/monaldi.2013.5210
- Бычкова С.А. Клинические, функциональные и иммунологические особенности течения хронической обструктивной болезни легких, сочетанной с метаболическим синдромом. Wschodnioeuropejskie Czasopismo Naukowe. 2016;11(1):87-93 [Bychkova SA. Clinical, functional and immunological features of the course of chronic obstructive pulmonary disease, combined with metabolic syndrome. Wschodnioeuropejskie Czasopismo Naukowe. 2016;11(1):87-93 (in Russian)].
- Bakhsheshian J, Hwang MS, Friedman M. Association between obstructive sleep apnea and spontaneous cerebrospinal fluid leaks: a systematic review and metaanalysis. JAMA Otolaryngol Head Neck Surg. 2015;141:733-8. doi: 10.1001/jamaoto.2015.1128
- Paintal H, Kuschner W. Aspiration syndromes: 10 clinical pearls every physician should know. Int J Clin Pract. 2007;61(5):846-52. doi: 10.1111/j.1742-1241.2007.01300.x
- Hani C, Trieua NH, Saaba I, et al. Revel COVID-19 pneumonia: A review of typical CT findings and differential diagnosis. Diagn Interv Imaging. 2020;101:263-8. doi: 10.1016/j.diii.2020.03.014
- Терновой С.К., Серова Н.С., Беляев А.С., Беляева К.А. COVID-19: первые результаты лучевой диагностики в ответе на новый вызов. REJR. 2020;10(1):8-15 [Ternovoj SK, Serova NS, Belyaev AS, Belyaeva KA. COVID-19: first results of radiodiagnosis in response to a new challenge. REJR. 2020;10(1):8-15 (in Russian)]. doi: 10.21569/2222-7415-2020-10-1-8-15
- Xu B, Xing Y, Peng J, et al. Chest CT for detecting COVID-19: a systematic review and meta-analysis of diagnostic accuracy. Eur Radiol. 2020;1:1-8. doi: 10.1007/s00330-020-06934-2
- Jones MG, Leslie KO, Singh N, et al. Dyspnoea, rhinorrhoea and pulmonary infiltrates in a healthy young woman. Thorax. 2013;68:791-3. doi: 10.1136/thoraxjnl-2012-202564
- Or M, Buchanan IA, Sizdahkhani S, et al. Chronic aspiration pneumonitis caused by spontaneous cerebrospinal fluid fistulae of the skull base. Laryngoscope. 2021;131(3):462-6. doi: 10.1002/lary.28757
Supplementary files










