Роль магнитно-резонансной томографии у пациентов с аортальным стенозом до и после замены клапана
- Авторы: Шария М.А.1, Устюжанин Д.В.1, Лепилин П.М.1, Имаев Т.Э.1, Комлев А.Е.1, Беляевская А.А.1, Терновой С.К.1,2
-
Учреждения:
- Институт клинической кардиологии им. А.Л. Мясникова ФГБУ «Национальный медицинский исследовательский центр кардиологии» Минздрава России
- ФГАОУ ВО «Первый Московский государственный медицинский университет им. И.М. Сеченова» Минздрава России (Сеченовский Университет)
- Выпуск: Том 92, № 9 (2020)
- Страницы: 70-76
- Раздел: Обзоры
- Статья получена: 13.10.2020
- Статья одобрена: 13.10.2020
- Статья опубликована: 14.10.2020
- URL: https://ter-arkhiv.ru/0040-3660/article/view/46858
- DOI: https://doi.org/10.26442/00403660.2020.09.000657
- ID: 46858
Цитировать
Полный текст
Аннотация
Стратификация риска среди пациентов с аортальным стенозом остается неадекватной, и имеется клиническая необходимость в корректной идентификации пациентов высокого риска, которым стало бы полезно вмешательство на аортальном клапане до развития декомпенсации левого желудочка. С момента публикации результатов исследования PARTNER транскатетерная имплантация аортального клапана (transcatheter aortic valve implantation – TAVI) стала методом выбора при стенозе аортального клапана у неоперабельных пациентов и является реальной альтернативой обычной хирургической замене аортального клапана у пациентов высокого риска. При планировании TAVI и постоперационном наблюдении за пациентом из методов визуализации ведущая роль отводится эхокардиографии и мультиспиральной компьютерной томографии. Однако за последнее время возрос интерес исследователей к применению магнитно-резонансной томографии у данной категории пациентов. В обзорной статье рассматривается потенциальная роль применения магнитно-резонансной томографии у пациентов с аортальным стенозом до и после проведения TAVI.
Полный текст
АС – аортальный стеноз
ИБС – ишемическая болезнь сердца
ЛЖ – левый желудочек
МР – магнитно-резонансный
МРТ – магнитно-резонансная томография
МСКТ – мультиспиральная компьютерная томография
ПАР – парапротезная аортальная регургитация
ФВ – фракция выброса
ЭхоКГ – эхокардиография
SAVR (surgical aortic valve replacement) – хирургическая замена аортального клапана
TAVI (transcatheter aortic valve implantation) – транскатетерная имплантация аортального клапана
Введение
Стеноз аортального клапана, или аортальный стеноз (АС), является наиболее распространенным заболеванием клапана в развитых странах. На сегодняшний день самое крупное популяционное исследование, представленное Национальным институтом сердца, легких и крови, включало 11 911 пожилых жителей США. Систематическое эхокардиографическое исследование показало распространенность АС≤0,2% у пациентов до 65 лет и 2,8% лиц старше 75 лет [1]. Европейское исследование Tromso, включавшее 3273 пациентов, сообщало о более высокой распространенности АС – 9,8% у пожилых людей в возрасте от 80 до 89 лет [2].
АС характеризуется уменьшением площади аортального клапана за счет утолщения, фиброза и кальцификации створок клапана. Наиболее частой причиной АС у взрослых является сенильная дегенерация аортального клапана с его кальцификацией. Этот процесс прогрессирует с возрастом и включает в себя отложение липидов, воспаление створок и количественное увеличение содержания гидроксиапатита кальция в анатомических структурах аортального клапана. Другие причины АС: двустворчатый аортальный клапан, ревматический вальвулит, инфекционный эндокардит.
АС – прогрессирующее заболевание, которое может длиться десятилетиями и вследствие постоянной перегрузки левого желудочка (ЛЖ) давлением неуклонно приводит к выраженной гипертрофии миокарда ЛЖ, диастолической, а затем и систолической сердечной недостаточности. Появление типичных симптомов, таких как одышка, стенокардия и обмороки, тесно связаны с тяжестью заболевания [3].
На протяжении многих лет хирургическая замена аортального клапана (surgical aortic valve replacement – SAVR) являлась эталонным стандартом лечения тяжелого АС. Однако метод имеет ряд ограничений, например, вмешательство нельзя проводить пожилым пациентам, имеющим высокий риск тяжелых постоперационных осложнений. Появилась необходимость в альтернативном и менее инвазивном подходе, и таковым стал метод транскатетерной имплантации аортального клапана. В 2002 г. произведена первая транскатетерная имплантация аортального клапана (transcatheter aortic valve implantation – TAVI) у человека. Продемонстрировано, что показатели качества жизни, связанные со здоровьем, выше у пациентов, которым выполнена TAVI, чем у больных, которым выполнена SAVR, даже несмотря на бессимптомные церебральные микроинфаркты, которые наблюдаются чаще после TAVI [4].
Процедура TAVI включает в себя имплантацию биопротезного клапана с использованием катетера и не требует применения искусственного кровообращения. Чаще всего операция выполняется с использованием трансфеморального доступа [5].
Магнитно-резонансная томография
Планирование проведения коррекции АС требует использования ряда методов визуализации, предназначенных как для выбора соответствующего импланта, так и для выявления потенциальных препятствий на пути к успешному выполнению вмешательства. Инструментальные методы диагностики являются необходимым и крайне важным пособием и в постоперационном, динамическом контроле за пациентами. По мнению большинства исследователей, магнитно-резонансная томография (МРТ) должна входить в диагностический алгоритм у пациентов с АС не только как инструмент, дополняющий эхокардиографию (ЭхоКГ) и мультиспиральную компьютерную томографию (МСКТ), но и как метод, дающий во многом иную информацию до и после коррекции патологии. Например, несмотря на то что фракция выброса (ФВ) ЛЖ остается одним из маркеров сердечной недостаточности, в соответствии с современными рекомендациями ее снижение является поздней и неспецифической особенностью АС, что приводит к поиску альтернативных методов выявления декомпенсации. МРТ может использоваться у пациентов с противопоказаниями к проведению МСКТ, например со сниженной функцией почек, а также в случаях с малоинформативной эхокардиографической картиной или противоречивых результатов различных методов визуализации [6–8].
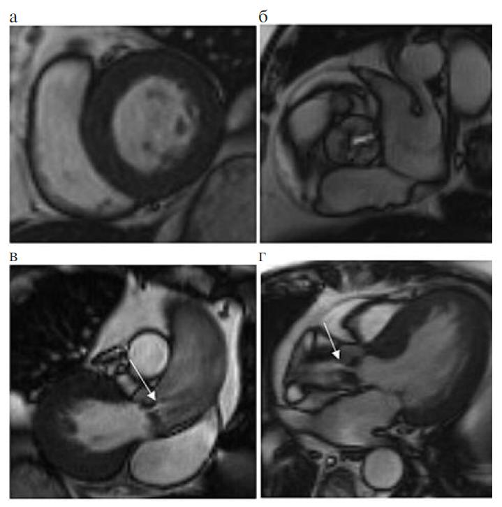
МРТ – метод, дающий как морфологическую, так и функциональную информацию, имеет важное значение для оценки клапанного поражения сердца. МРТ высоковоспроизводимый метод, его точность доказана многими посмертными исследованиями сердца животных и человека [9]. В рамках одного исследования возможно получить изображения высокого качества в любой плоскости, оценить тяжесть поражения клапанов сердца и анатомию связанных с ним крупных сосудов, глобальную и регионарную сократимость. МРТ дает четкую визуализацию субклапанного и надклапанного АС, позволяет оценивать парапротезную аортальную регургитацию (ПАР). Кроме того, МРТ позволяет дать тканевую характеристику миокарда, оценить перфузию и жизнеспособность ткани. Стандартная МРТ сердечно-сосудистой системы проводится на задержке дыхания пациентом. Исследование включает серию ортогональных поперечных срезов, длинную (2- и 4-камерные проекции) и короткую ось ЛЖ (через базальный, средний и апикальный сегменты) в кинорежиме [10]. Для оценки клапанного аппарата, объемов ЛЖ и правого желудочка, систолической и диастолической функций, определения массы миокарда и степени гипертрофии миокарда используют изображения, выполненные через анатомические оси сердца и короткую ось ЛЖ в режиме кино-МРТ со светлой кровью (рис. 1).
Рис. 1. МР-изображения сердца в кинорежиме, дающие анатомическую и функциональную информацию (собственное наблюдение): а – короткая ось ЛЖ, базальный сегмент, диастола (отмечается концентрическая гипертрофия миокарда); б – трехстворчатый аортальный клапан в систолу; в, г – выносящий тракт ЛЖ, систола (стрелки указывают на стеноз аортального клапана).
Важную информацию дает фазово-контрастная магнитно-резонансная (МР) ангиография – методика, измеряющая фазовый сдвиг движущихся протонов внутри магнитного поля по отношению к стационарным протонам (рис. 2). Фазовые изображения восстанавливаются из последовательности «градиентное эхо», и последующая обработка этих данных позволяет провести точные измерения прямого и обратного потока через клапан [10].
Рис. 2. Фазово-контрастная МРТ (собственное наблюдение): анатомическое (а) изображение через аортальный клапан; фазовые изображения через аортальный клапан в систолу (б) и диастолу (в), отображающие поток через стенозированный аортальный клапан в систолу и поток регургитации в диастолу (стрелка).
Однако основным преимуществом МРТ перед другими методами визуализации является возможность обнаружения фиброза (некроза) миокарда [11]. Для выявления фиброза миокарда с помощью МРТ исследование проводят с внутривенным введением контрастного препарата на основе хелатов гадолиния. МР-исследование выполняется в отсроченную фазу через 12–15 мин после введения. В участках фиброза контраст задерживается, и они на томограммах выглядят «яркими», неизмененный миокард «темный». На сегодняшний день МРТ сердца с отсроченным контрастированием – «золотой стандарт» в оценке очагово-рубцовых изменений миокарда, фиброза и может дать новое представление о патофизиологических процессах в миокарде при АС. Кроме того, программное обеспечение современных МР-томографов дает возможность проводить так называемое Т1-картирование мышцы сердца, что позволяет судить о наличии диффузного фиброза миокарда и степени его выраженности.
В связи с этим наряду с оценкой объемов желудочков и систолической функции Европейское общество кардиологов по лечению АС рекомендует МРТ, у пациентов с парадоксальным низким градиентом, для более детальной оценки восходящей аорты при ее расширении, а также для выявления и количественной оценки фиброза миокарда [12]. В руководствах Американской ассоциации кардиологов также указано, что МРТ может использоваться как дополнение к ЭхоКГ для определения оптимальной тактики лечения пациента [13]. Недавно метод сердечно-сосудистой МРТ включен в руководство по ведению пациентов с клапанной болезнью сердца [5].
Роль МРТ в предоперационной оценке
АС увеличивает постнагрузку ЛЖ и запускает компенсаторную гипертрофию миокарда ЛЖ. Пациенты с АС имеют выраженные структурные изменения ЛЖ, фиброз и различную степень дегенерации миоцитов. Такие изменения происходят преимущественно в субэндокардиальных слоях, приводя сначала к интерстициальному фиброзу, а затем к полной замене миокарда фиброзной тканью. Патофизиологические механизмы, ответственные за эти изменения, включают чрезмерную активацию системы ренин-ангиотензин, ингибирование системы калликреин-кинин и повышенную экспрессию тканевого ингибитора металлопротеиназ 1 и 2-го типа [12].
Фремингемское исследование показало, что увеличение массы миокарда ЛЖ связано с возрастанием сердечно-сосудистой заболеваемости и смертности независимо от наличия у пациента ишемической болезни сердца (ИБС) или других сердечно-сосудистых факторов риска. У женщин чаще развивается концентрическая гипертрофия миокарда ЛЖ с уменьшением объема полости желудочка, тогда как мужчины более склонны к развитию эксцентрической гипертрофии [14]. При отсутствии лечения наблюдается прогрессирующий некроз миоцитов с последующей заменой миокарда фиброзной тканью. Это связано с ненормальным ремоделированием сердца и повышением жесткости желудочков, что ведет к сердечной недостаточности и смерти. Таким образом, фиброз миокарда ЛЖ является объективным маркером декомпенсации, которым можно руководствоваться при определении сроков по проведению вмешательства по замене аортального клапана. Степень гистологически определяемого сердечного фиброза тесно связана с функциональным классом Нью-Йоркской ассоциации сердца [13].
Исторически эталонным стандартом подтверждения фиброза миокарда стала биопсия миокарда, но она инвазивна, подвержена ошибкам выборки и не оценивает все сердце [15]. В настоящее время МРТ с отсроченным контрастированием – основной визуализирующий метод, позволяющий диагностировать фиброз миокарда. Метод отсроченного контрастирования дает возможность непосредственно визуализировать фиброз, который можно дифференцировать от предшествующего инфаркта миокарда. Точность обнаружения очагов фиброза выявляемой МРТ подтверждена исследованиями биопсией во время выполнения операции на аортальном клапане [16]. По данным метаанализа сообщается, что очаги отсроченного контрастирования широко выявляются при стенозе аорты, поражая 1/2 (49,6%) всех пациентов. Причем для подавляющего большинства лиц без ИБС характерен неинфарктный тип накопления (93,6%), в то время как паттерн инфаркта доминировал у пациентов с сопутствующей ИБС (54,6%). Расчетная степень очагового фиброза, выраженная в процентах от массы, равна 3,83. Фиброз чаще встречается у мужчин и лиц с систолической дисфункцией ЛЖ, пациентов с высокой индексированной массой ЛЖ и высокими индексированными значениями конечного систолического и конечного диастолического объема ЛЖ [17].
Фиброз средних сегментов ЛЖ является прямым и специфическим маркером декомпенсации ЛЖ и тесно связан с показателями функциональных возможностей. Ряд исследований продемонстрировал, что фиброз средних сегментов ЛЖ – независимый предиктор смертности от всех причин и сердечно-сосудистой смерти. Фиброз среднего сегмента ЛЖ считается маркером для выявления ранних стадий необратимой декомпенсации и коррелирует с худшим исходом [18].
В настоящее время тактика ведения пациентов с АС основана главным образом на оценке состояния клапанов, ФВ и наличии клинической симптоматики, поскольку появление симптомов – это критическая точка в естественном течении стеноза [19]. АС с выраженной клинической симптоматикой и сниженной ФВ рассматривается в клинических рекомендациях как показание класса I для проведения операции. Иными словами, операция выполняется, когда есть симптоматика и низкая ФВ, а это, как показано в ряде исследований, значительно увеличивает хирургический риск и снижает долгосрочную выживаемость. В большом исследовании, в котором изучалось прогностическое значение очагового фиброза, определенного с помощью МРТ, обследованы 194 пациента тяжелым АС, перенесшие SAVR (n=154) и TAVI (n=40). В течение медианного периода наблюдения (33 мес) 21 пациент, перенесший хирургическую замену клапана, и 20 больных, перенесших TAVI, умерли. При хирургической замене клапана наличие участков фиброза предсказывало более высокую послеоперационную смертность и худшую выживаемость по всем причинам. Результаты исследования показали, что выявление структурных аномалий миокарда ЛЖ с помощью отсроченного контрастирования позволяют прогнозировать смертность после операции. Исследователи сообщают, что применение МРТ может быть полезно для выбора времени операции и оперативного подхода. Отсутствие очагов накопления у пациентов с тяжелым АС выявляет пациентов с низким риском хирургического вмешательства и хорошей долгосрочной выживаемостью, и этим больным показано проведение операции в ранние сроки. С другой стороны, накопление контраста в миокарде указывает на более высокий послеоперационный риск и более низкую выживаемость, и такие пациенты могут быть кандидатами на TAVI вместо классической операции. Хотя, возможно, даже проведение TAVI в случае структурных изменений миокарда не улучшает прогноз, но для окончательных выводов необходимы более крупные исследования. Авторы наблюдали высокую частоту внезапной сердечной смерти у лиц с фиброзом и сделали вывод, что профилактическая установка кардиовертера-дефибриллятора может улучшить долгосрочную выживаемость [20].
Кроме проведения отсроченного контрастирования, которое позволяет выявить очаговый фиброз, МРТ располагает методикой Т1-картирования (mapping), позволяющей обнаружить стадию обратимого диффузного интерстициального фиброза и количественно оценить его. Т1-картирование позволяет рассчитать долю внеклеточного объема (т.е. долю объема миокарда, которая находится во внеклеточном пространстве), измерить фиброз миокарда в процентах от объема миокарда и индекс внеклеточного объема, который оценивает общий объем фиброза по отношению к площади поверхности тела [21]. В исследовании T. Fairbairn 2012 г. отмечено, что после проведения TAVI наблюдается регрессия участков фиброза миокарда, в то время как после проведения SAVR все ранее выявленные участки фиброза сохраняются [18].
Независимым предиктором неблагоприятных исходов у пациентов с гипертонией, почечной недостаточностью, сахарным диабетом и у пожилых людей является повышенная жесткость аорты. МРТ позволяет измерять растяжимость аорты (систолическое расширение аорты) и скорость пульсовой волны. Методика обладает рядом преимуществ по сравнению с обычным ультразвуком, прежде всего возможностью воспроизведения небольших изменений жесткости в любом месте, выбранном оператором. МРТ используется для исследования пациентов с двустворчатым аортальным клапаном, при котором значительно снижена эластичность всего грудного отдела аорты даже без значимого стеноза клапана [22].
Имеются немногочисленные исследования, постулирующие необходимость предоперационной оценки резерва перфузии миокарда у пациентов с АС. Авторы одной из работ сообщают об ассоциации между структурными изменениями миокарда при АС и регрессом резерва перфузии, что может быть объяснено снижением плотности артериол и капилляров, наблюдаемой при ремоделировании ЛЖ и фиброзе. С клинической точки зрения нарушения перфузии миокарда могут быть терапевтической мишенью у пациентов без вмешательства на аортальном клапане и у больных с клинической симптоматикой, которая сохраняется после коррекции. Однако состояние перфузии миокарда у лиц с АС до появления симптомов и бессимптомных пациентов требует дальнейшего исследования [23].
МРТ после замены аортального клапана
Сердечно-сосудистая МРТ – это метод выбора неинвазивного обнаружения и количественной оценки инфаркта миокарда, который можно использовать для выявления повреждений миокарда после лечения АС. Выявление очагового фиброза на постконтрастных изображениях, обусловленного предшествующим инфарктом миокарда, обычно имеет субэндокардиальное или трансмуральное распределение (зависит от тяжести инфаркта) и ограничивается бассейном соответствующей коронарной артерии. В исследовании W. Kim и соавт. [24] у всех пациентов, перенесших TAVI, наблюдалось повышение специфических маркеров повреждения миокарда, однако диагноз острого инфаркта по результатам МРТ поставлен только в 18% случаев. В группе пациентов с инфарктом миокарда, диагностируемым с помощью МРТ, отмечалось значительное снижение функции ЛЖ. Авторы считают, что ишемические участки повреждения после TAVI эмболического генеза. В целом необходимы дальнейшие исследования для оценки прогностической значимости зон инфаркта, выявленных при проведении МРТ, после выполнения TAVI.
Как известно, гипертрофия ЛЖ при АС является патофизиологической адаптацией, приводящий к ремоделированию миокарда. Восстановление же клапанной функции приводит к «обратному ремоделированию» ЛЖ, определяемому как снижение массы миокарда, уменьшение объема и улучшение функции. Метод МРТ обеспечивает большую точность в сравнении со стандартной ЭхоКГ в количественном определении объема и массы ЛЖ, что позволяет детально характеризовать обратное ремоделирование как после SAVR, так и TAVI.
Авторы одной из работ провели прямое сравнение изменений МР-картины до и через 6 мес после вмешательства (25 SAVR, 25 TAVI). И по результатам работы представили данные, демонстрирующие, что проведение TAVI значительно снижало градиент давления и приводило к уменьшению фиброза. TAVI сопоставима с SAVR по показателям обратного ремоделирования. Касаемо регресса фиброза авторы оговаривают, что это требует уточнения и проведения не только отсроченного контрастирования, но и Т1-картирования. Интересно, что и обратное ремоделирование правого желудочка оказалось более благоприятным также после TAVI [25].
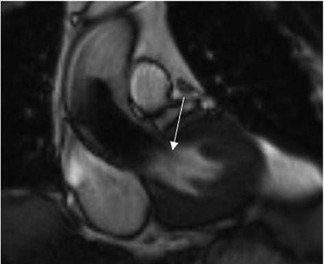
Процедура TAVI включает в себя баллонную предилатацию нативного аортального клапана и установку биопротеза внутри естественного каркаса, образованного кальцинированными створками и фиброзным кольцом. Массивный асимметричный кальциноз створок, неадекватный выбор типа и размера транскатетерного протеза и ошибки в его позиционировании могут привести к возникновению ПАР. Наряду с развитием нарушений ритма и проводимости, ПАР является наиболее значимым осложнением операций TAVI (рис. 3). Потенциально связано с ПАР и нарушение систолической функции правого желудочка на ранней стадии после TAVI [26]. По мнению большинства исследователей, пациенты с ПАР имеют худший отдаленный прогноз. Умеренная или тяжелая аортальная регургитация после TAVI является независимым предиктором смертности в послеоперационном периоде от 30 дней до 1–2 лет. Связь ПАР с повышенной смертностью отмечена в исследовании PARTNER. В исследовании W. Kodali 2015 г. показано, что в течение года после проведения замены аортального клапана повышение смертности от сердечно-сосудистых заболеваний и повторная госпитализация коррелировали с прогрессированием ПАР [27].
Рис. 3. МР-изображение после транскатетерной трансфеморальной малоинвазивной имплантации аортального клапана (собственное наблюдение). Стрелкой указан низкоинтенсивный поток ПАР.
Высказывается мнение, что трансторакальная ЭхоКГ недооценивает ПАР и уступает в этом МРТ, которая не подвержена влиянию артефактов от протеза, позволяет проводить полное количественное определение объема регургитации независимо от типа клапана и количества струй. Кроме того, с помощью МРТ выполняется комплексная оценка последствий ПАР, влияющих на объем и функцию ЛЖ [28, 29].
Будущие направления
МР-спектроскопия. Содержание триглицеридов в миокарде может быть количественно оценено с помощью МР-спектроскопии и ряда других методов. Исследования показали независимую корреляцию между степенью жировой дистрофии миокарда и снижением систолической и диастолической функций. МР-спектроскопия использована для диагностики наличия жировой дистрофии миокарда у пациентов с тяжелым АС. Содержание миокардиального жира подтверждено гистологически. Повышенное содержание жира коррелировало со степенью нарушения сократимости ЛЖ, несмотря на нормальные значения ФВ. Также с помощью МР-спектроскопии отмечены обратимость жировой дистрофии миокарда и восстановление сократительной функции ЛЖ после проведения SAVR [30]. Аналогичные работы по оценке выраженности липидной инфильтрации миокарда до и после TAVI в доступной нам литературе не встречаются.
Feature tracking – функция отслеживания деформации миокарда является новой МР-методикой (аналог Speckle tracking при ультразвуковом исследовании), с помощью которой проводится полуавтоматический анализ стандартных киноизображений. Количественная оценка сократимости миокарда и скорости его деформации позволяет провести четкую функциональную оценку мышечных волокон ЛЖ, оценить сократительную дисфункцию, предшествующую общему снижению ФВ. Во многих случаях методика Feature tracking демонстрирует тонкие нарушения сократимости, не видимые на ЭхоКГ. В работе группы авторов с помощью данной методики проанализирована функция ЛЖ у двух групп пациентов с различным доступом для замены аортального клапана: трансапикальным и трансфеморальным. Анализ результатов показал снижение сократительной способности верхушки ЛЖ после трансапикального доступа [31]. В ряде работ показано, что дисфункция глобальный продольной деформации является независимым предиктором смертности у пациентов со стенозом аорты, превосходящим ФВ или визуальную оценку движения стенок [32, 33].
4D-визуализация потока. Прогресс фазово-контрастной МР-ангиографии привел к развитию методики с кодированием потока во всех трех пространственных направлениях и измерением времени в течение сердечного сокращения (3D + время = 4D). Таким образом, 4D-визуализация кодирует величину скорости и направление каждого вокселя в пределах области исследования за несколько сердечных циклов. 4D-визуализация потока позволяет оценить, как влияет характер кровотока в аорте на ремоделирование аорты после замены аортального клапана. В одной из пилотных работ показано, как отличается кровоток после замены клапана от физиологического потока. Вместо физиологического центрального потока у всех пациентов (как после TAVI, так и после SAVR) имелись эксцентричные струи потока, в основном направленные к правой передней стенке аорты. По сравнению с контрольной группой у пациентов после SAVR отчетливая завихренность, в то время как после TAVI кровоток в восходящей аорте имел спиральный характер [34]. Будущие исследования, вероятно, покажут, способна ли методика МРТ – 4D-визуализация потока оценить, как влияет характер кровотока в восходящей аорте на ее ремоделирование после замены аортального клапана.
Заключение
Несмотря на то что традиционные методы визуализации (ЭхоКГ, МСКТ) играют ведущую роль до и после проведения TAVI, возрастает роль МРТ в диагностическом алгоритме у пациентов с АС. Экспериментальные работы применения in vivo МРТ в реальном времени при проведении TAVI показали, что метод обеспечивает точное осевое выравнивание протеза [25]. Необходимы дальнейшие исследования потенциала, присущего МРТ как комплексному инструменту визуализации, в улучшении планирования хирургического вмешательства при АС, количественной оценке специфических послеоперационных осложнений, изучении процессов обратного ремоделирования сердца и аорты после хирургической коррекции АС. Требуют подтверждения пока немногочисленные данные о том, что МРТ может выступать в роли дополнительного инструмента для прогнозирования клинических исходов при хирургическом и эндоваскулярном лечении АС.
Об авторах
Мераб Арчильевич Шария
Институт клинической кардиологии им. А.Л. Мясникова ФГБУ «Национальный медицинский исследовательский центр кардиологии» Минздрава России
Автор, ответственный за переписку.
Email: belant2012@rambler.ru
д.м.н., вед. науч. сотр. отд. томографии ИКК им. А.Л. Мясникова ФГБУ «НМИЦ кардиологии»
Россия, МоскваДмитрий Владимирович Устюжанин
Институт клинической кардиологии им. А.Л. Мясникова ФГБУ «Национальный медицинский исследовательский центр кардиологии» Минздрава России
Email: belant2012@rambler.ru
ORCID iD: 0000-0002-0402-3977
к.м.н., ст. науч. сотр. отд. томографии ИКК им. А.Л. Мясникова ФГБУ «НМИЦ кардиологии»
Россия, МоскваПетр Михайлович Лепилин
Институт клинической кардиологии им. А.Л. Мясникова ФГБУ «Национальный медицинский исследовательский центр кардиологии» Минздрава России
Email: belant2012@rambler.ru
ORCID iD: 0000-0003-2979-2542
ст. науч. сотр. лаб. гибридных методов лечения сердечно-сосудистых заболеваний ИКК им. А.Л. Мясникова ФГБУ «НМИЦ кардиологии»
Россия, МоскваТимур Эмвярович Имаев
Институт клинической кардиологии им. А.Л. Мясникова ФГБУ «Национальный медицинский исследовательский центр кардиологии» Минздрава России
Email: belant2012@rambler.ru
ORCID iD: 0000-0002-5736-5698
м.н., рук. лаб. гибридных методов лечения сердечно-сосудистых заболеваний отд. сердечно-сосудистой хирургии ИКК им. А.Л. Мясникова ФГБУ «НМИЦ кардиологии»
Россия, МоскваАлексей Евгеньевич Комлев
Институт клинической кардиологии им. А.Л. Мясникова ФГБУ «Национальный медицинский исследовательский центр кардиологии» Минздрава России
Email: belant2012@rambler.ru
ORCID iD: 0000-0001-6908-7472
врач-кардиолог отд. сердечно-сосудистой хирургии ИКК им. А.Л. Мясникова ФГБУ «НМИЦ кардиологии»
Россия, МоскваАлена Антоновна Беляевская
Институт клинической кардиологии им. А.Л. Мясникова ФГБУ «Национальный медицинский исследовательский центр кардиологии» Минздрава России
Email: belant2012@rambler.ru
ORCID iD: 0000-0003-0697-1484
ординатор отд. томографии ИКК им. А.Л. Мясникова ФГБУ «НМИЦ кардиологии»
Россия, МоскваСергей Константинович Терновой
Институт клинической кардиологии им. А.Л. Мясникова ФГБУ «Национальный медицинский исследовательский центр кардиологии» Минздрава России; ФГАОУ ВО «Первый Московский государственный медицинский университет им. И.М. Сеченова» Минздрава России (Сеченовский Университет)
Email: belant2012@rambler.ru
ORCID iD: 0000-0003-4374-1063
акад. РАН, д.м.н., проф., засл. деятель науки, рук. отд. томографии ИКК им. А.Л. Мясникова ФГБУ «НМИЦ кардиологии», зав. каф. лучевой диагностики и терапии ФГАОУ ВО «Первый МГМУ им. И.М. Сеченова» (Сеченовский Университет)
Россия, МоскваСписок литературы
- Nkomo VT, Gardin JM, Skelton TN, et al. Burden of valvular heart diseases: a population-based study. Lancet. 2006;368(9540):1005-11. doi: 10.1016/S0140-6736(06)69208-8
- Eveborn GW, Schirmer H, Heggelund G, et al. The evolving epidemiology of valvular aortic stenosis. the Tromso study. Heart. 2013;99(6):396-400. doi: 10.1136/heartjnl-2012-302265
- Vahanian A, Otto CM. Risk stratification of patients with aortic stenosis. Eur Heart J. 2010;31(4):416-23. doi: 10.1093/eurheartj/ehp575
- Uddin A, Fairbairn TA, Djoukhader IK, et al. Consequence of cerebral embolism after transcatheter aortic valve implantation compared with contemporary surgical aortic valve replacement: effect on health-related quality of life. Circ Cardiovasc Interv. 2015;8(3):e001913. doi: 10.1161/circinterventions.114.001913
- Mahon C, Mohiaddin RH, The emerging applications of cardiovascular magnetic resonance imaging in transcatheter aortic valve implantation. Clin Radiol. 2019. pii: S0009-9260(19)30656-7. doi: 10.1016/j.crad.2019.11.011
- Baumgartner H, Falk V, Bax JJ, Group ESCSD, et al. 2017 ESC/EACTS Guidelines for the management of valvular heart disease. Eur Heart J. 2017;38:2739-91. doi: 10.1093/eurheartj/ehx391
- Kusunose K, Goodman A, Parikh R, et al. Incremental prognostic value of left ventricular global longitudinal strain in patients with aortic stenosis and preserved ejection fraction. Circ Cardiovasc Imaging. 2014;7(6):938-45. doi: 10.1161/CIRCIMAGING.114.002041
- Терновой С.К., Никонова М.Э., Веселова Т.Н. и др. Мультиспиральная компьютерная томография в планировании транскатетерного протезирования аортального клапана. REJR. 2013:3(1):43-9 [Ternovoy SK, Nikonova ME, Veselova TN, et al. Multislice computed tomography in planning of transcatheter aortic valve implantation. REJR. 2013:3(1):43-9 (In Russ.)].
- Childs H, Ma L, Ma M, et al. Comparison of long and short axis quantification of left ventricular volume parameters by cardiovascular magnetic resonance, with ex-vivo validation. J Cardiovasc Magn Reson. 2011;13:40. doi: 10.1186/1532-429X-13-40
- Терновой С.К. Томография сердца. М., 2018 [Ternovoy SK. Heart tomography. Moscow, 2018 (In Russ.)].
- Ambale-Venkatesh B, Lima JA. Cardiac MRI: a central prognostic tool in myocardial fibrosis. Nat Rev Cardiol. 2015;12(1):18-29. doi: 10.1038/nrcardio.2014.159
- Milano AD, Faggian G, Dodonov M, et al. Prognostic value of myocardial fibrosis in patients with severe aortic valve stenosis. J Thorac Cardiovasc Surg. 2012;144(4):830-7. doi: 10.1016/j.jtcvs.2011.11.024
- Weidemann F, Herrmann S, Stork S, et al. Impact of myocardial fibrosis in patients with symptomatic severe aortic stenosis. Circulation. 2009;120:577-84. doi: 10.1161/CIRCULATIONAHA.108.847772
- Dobson J, Whitley RJ, Pocock S, Monto AS. Oseltamivir treatment for influenza in adults: a meta-analysis of randomised controlled trials. Lancet. 2015;385(9979):1729-37. doi: 10.1016/S0140-6736(14)62449-1
- Mewton N, Liu CY, Croisille P, et al. Assessment of myocardial fibrosis with cardiovascular magnetic resonance. J Am Coll Cardiol. 2011;57:891-903. doi: 10.1016/j.jacc.2010.11.013
- Azevedo CF, Nigri M, Higuchi ML, et al. Prognostic significance of myocardial fibrosis quantification by histopathology and magnetic resonance imaging in patients with severe aortic valve disease. J Am Coll Cardiol. 2010;56(4):278-87. doi: 10.1016/j.jacc.2009.12.074
- Balciunaite G, Skorniakov V, Rimkus A, et al. Prevalence and prognostic value of late gadolinium enhancement on CMR in aortic stenosis: meta-analysis. Eur Radiol. 2020;30(1):640-51. doi: 10.1016/ j.crad.2018.07.095
- Fairbairn T, et al. The effect of myocardial fibrosis on ventricular remodeling following valve replacement for severe aortic stenosis. A CMR study comparing transcatheter aortic valve implantation and surgical aortic valve replacement. J Cardiovasc Magnetic Resonance. 2012;14(Suppl. 1):O71. doi: 10.1186/1532-429X-14-S1-O71
- Otto CM. Valvular aortic stenosis: disease severity and timing of intervention. J Am Coll Cardiol. 2006;47:2141-51. doi: 10.1016/j.jacc.2006.03.002
- Barone-Rochette G, Pierard S, De Meester de Ravenstein C, et al. Prognostic significance of LGE by CMR in aortic stenosis patients undergoing valve replacement. J Am Coll Cardiol. 2014:64(2):144-54. doi: 10.1016/j.jacc.2014.02.612
- Bing R, Dweck MR. Myocardial Fibrosis in Low-Flow Aortic Stenosis. Circ Cardiovasc Imaging. 2019;12(5):e009187. doi: 10.1161/CIRCIMAGING.119.009187
- Grotenhuis HB, Ottenkamp J, Westenberg JJ, et al. Reduced aortic elasticity and dilatation are associated with aortic regurgitation and left ventricular hypertrophy in nonstenotic bicuspid aortic valve patients. J Am Coll Cardiol. 2007;49(15):1660-5. doi: 10.1016/j.jacc.2006.12.044
- Steadman CD, Jerosch-Herold M, Grundy B, et al. Determinants and functional significance of myocardial perfusion reserve in severe aortic stenosis. JACC Cardiovasc Imaging. 2012;5(2):182-9. doi: 10.1016/j.jcmg.2011.09.022
- Kim WK, Rolf A, Liebetrau C, et al. Detection of myocardial injury by CMR after transcatheter aortic valve replacement. J Am Coll Cardiol. 2014;64:349-57. doi: 10.1016/j.jacc.2014.03.052
- Fairbairn TA, Steadman CD, Mather AN, et al. Assessment of valve haemodynamics, reverse ventricular remodelling and myocardial fibrosis following transcatheter aortic valve implantation compared to surgical aortic valve replacement: a cardiovascular magnetic resonance study. Heart. 2013;99(16):1185-91. doi: 10.1136/heartjnl-2013-303927
- Crouch G, Bennetts J, Sinhal A, et al. Early effects of transcatheter aortic valve implantation and aortic valve replacement on myocardial function and aortic valve hemodynamics: insights from cardiovascular magnetic resonance imaging. J Thorac Cardiovasc Surg. 2015;149(2):462-70. doi: 10.1016/j.jtcvs
- Kodali WS, Pibarot P, Williams M, et al. Paravalvular regurgitation after transcatheter aortic valve replacement with the Edwards sapien valve in the PARTNER trial: characterizing patients and impact on outcomes. Eur Heart J. 2015;36(7):449-56. doi: 10.1093/eurheartj/ehu384
- Crouch G, Tully P, Bennetts J, et al. Quantitative assessment of paravalvular regurgitation following transcatheter aortic valve replacement. J Cardiovasc Magn Reson. 2015;17:32. doi: 10.1186/s12968-015-0134-0
- Musa TA, Plein S, Greenwood JP. The role of CMR in the assessment of severe aortic stenosis and in post-procedural evaluation following TAVI and surgical AVR. Quant Imaging Med Surg. 2016;6(3):259-73. doi: 10.21037/qims.2016.06.05
- Mahmod M, Bull S, Suttie JJ, et al. Myocardial steatosis and left ventricular contractile dysfunction in patients with severe aortic stenosis. Circ Cardiovasc Imaging. 2013;6(5):808-16. doi: 10.1161/CIRCIMAGING.113.000559
- Meyer CG, Frick M, Lotfi S, et al. Regional left ventricular function after transapical vs. transfemoral transcatheter aortic valve implantation analysed by cardiac magnetic resonance feature tracking. Eur Heart J Cardiovasc Imaging. 2014;15(10):1168-76. doi: 10.1093/ehjci/jeu103
- Kearney LG, Lu K, Ord M, et al. Global longitudinal strain is a strong independent predictor of all-cause mortality in patients with aortic stenosis. Eur Heart J Cardiovasc Imaging. 2012;13(10):827-33. doi: 10.1093/ehjci/jes115
- Yingchoncharoen T, Gibby C, Rodriguez LL, et al. Association of myocardial deformation with outcome in asymptomatic aortic stenosis with normal ejection fraction. Circ Cardiovasc Imaging. 2012;5(6):719-25. doi: 10.1161/CIRCIMAGING.112.977348
- Von Knobelsdorff-Brenkenhoff F, Trauzeddel RF, Barker AJ, et al. Blood flow characteristics in the ascending aorta after aortic valve replacement – a pilot study using 4D-flow MRI. Int J Cardiol. 2014;170(3):426-33. doi: 10.1016/j.ijcard.2013.11.034
Дополнительные файлы









