Тяжелая вирусная-бактериальная пневмония, осложненная молниеносным легочным кровотечением с летальным исходом
- Авторы: Чижова О.Ю.1, Руслякова И.А.1, Бакулин И.Г.1, Винничук С.А.1, Сахаров В.И.1
-
Учреждения:
- ФГБОУ ВО «Северо-Западный государственный медицинский университет им. И.И. Мечникова» Минздрава России
- Выпуск: Том 92, № 11 (2020)
- Страницы: 57-61
- Раздел: Клинические наблюдения
- Статья получена: 25.12.2020
- Статья одобрена: 25.12.2020
- Статья опубликована: 15.11.2020
- URL: https://ter-arkhiv.ru/0040-3660/article/view/56933
- DOI: https://doi.org/10.26442/00403660.2020.11.000373
- ID: 56933
Цитировать
Полный текст
Аннотация
Несмотря на значительные достижения и успехи медицинской науки, заболеваемость гриппом, его осложнения и социально-экономический ущерб не снижаются, оставаясь на высоком уровне. В клинике ФГБОУ ВО «СЗГМУ им. И.И. Мечникова» за период с декабря 2018 по февраль 2019 г. из 89 госпитализированных пациентов с клинико-рентгенологической картиной пневмонии/острого бронхита у 29 (32%) подтверждена вирусная этиология. При этом у 27 (97%) пациентов выявлен грипп А (H1N1), в остальных двух случаях зарегистрирован вирус гриппа А (H3N2). Из 29 пациентов 9 (31%) по тяжести состояния госпитализированы в отделение реанимации и интенсивной терапии. Представлен случай тяжелого течения вирусной пневмонии при гриппе А (H3N2), осложненной молниеносным легочным кровотечением с летальным исходом.
Полный текст
ДН – дыхательная недостаточность
ОРДС – острый респираторный дистресс-синдром
ЧСС – частота сердечных сокращений
Введение
Несмотря на значительные достижения и успехи медицинской науки, заболеваемость гриппом, его осложнения и социально-экономический ущерб не снижаются, оставаясь на высоком уровне. По данным Всемирной организации здравоохранения (ВОЗ), ежегодно гриппом заболевают 20–30% детей и 5–10% взрослых, умирают от гриппа от 250 до 500 тыс. человек каждый год, а экономический ущерб от ежегодных эпидемий составляет от 1 до 6 млн дол. США на 100 тыс. населения [1, 2]. По данным российских исследований, смертность среди лиц старше 60 лет при острых респираторных вирусных инфекциях составляет 103,5 на 100 тыс. человек [3]. Среди вирусов гриппа наибольшее эпидемическое значение имеют вирусы типов А и В. Обращает внимание, что большинство эпидемий гриппа за последние 10 лет связано с циркуляцией вирусов гриппа А, и в частности с подтипом Н3N2, тогда как вирусы гриппа А (Н1N1) являлись причиной спорадической заболеваемости [4]. Характер течения тяжелого гриппа, вызванного пандемическим вирусом, существенно отличается от сезонного молниеносным поражением нижних дыхательных путей с развитием пневмонии, острой дыхательной недостаточности (ДН) и острого респираторного дистресс-синдрома (ОРДС). При вирусных пневмониях прогрессирование острой ДН происходит молниеносно, даже на фоне специфического лечения [5, 6].
Вирусные инфекции в 1/3 случаев являются причиной всех внебольничных пневмоний, и основное значение среди них имеет вирус гриппа. По результатам крупного проспективного исследования внебольничной пневмонии в Испании с декабря 1993 по ноябрь 1995 г. ведущая этиологическая роль вируса гриппа составила 25%. По данным исследования Ю.В. Щерба, вирус гриппа A (H3N2) преобладал в 60% над всеми другими вирусными возбудителями, при этом в 25% – совместно со Streptococcus pneumoniae и Mycoplasma pneumoniae или Сhlamydia pneumoniae [7].
Как известно, пневмонии подразделяются на три категории: первичная гриппозная (интерстициальная и геморрагическая), вторичная вирусно-бактериальная и поздняя бактериальная [8, 9]. При общем показателе летальности в 5% именно тяжелая первичная вирусная пневмония требовала госпитализации в стационары и достоверно чаще заканчивалась летальным исходом (19,2%) [7]. Альвеолярное кровоизлияние и массивное легочное кровотечение, довольно редкие осложнения вирусной пневмонии, наиболее часто сообщают о геморрагическом трахеобронхите без выраженной альвеолярной геморрагии.
Согласно данным центра по контролю и профилактике заболеваний США и российским авторам, во время пандемий гриппа самое частое осложнение вирусной пневмонии – ОРДС [10–12]. По данным K. To (2010 г.), частота развития ОРДС не зависела от вида пневмонии при гриппе, первичной вирусной или вторичной вирусно-бактериальной [13]. В исследовании причин смерти у пациентов с тяжелой внебольничной пневмонией частота развития синдрома диссеминированного внутрисосудистого свертывания как одного из механизмов развития ОРДС [14] в группе вирусных пневмоний составляла 16%, тогда как в группе пневмоний невирусной этиологии – 6 [15]. При рефрактерной гипоксемии (PaO2/FiO2<80 мм рт. ст. при РЕЕР (positive end-expiratory pressure) выше 15 мбар; рН<7,2; оценка по шкале повреждения легких более 3 баллов) рекомендовано раннее начало экстракорпоральной мембранной оксигенации [12, 16–19].
В клинике ФГБОУ ВО «СЗГМУ им. И.И. Мечникова» за период с декабря 2018 по февраль 2019 г. из 89 госпитализированных пациентов с клинико-рентгенологической картиной пневмонии/острого бронхита у 29 (32%) подтверждена вирусная этиология. При этом у 27 (97%) пациентов выявлен грипп А (H1N1), в остальных двух случаях зарегистрирован вирус гриппа А (H3N2). Вирусно-бактериальную ассоциацию имели 13 (45%) пациентов, наиболее частые возбудители – Staphylococcus aureus и Streptococcus viridans. Из 29 пациентов 9 (31%) по тяжести состояния госпитализированы в отделение реанимации и интенсивной терапии.
В качестве клинического примера приводим историю болезни женщины 1956 года рождения с вирусно-бактериальной внебольничной пневмонией, ассоциированной с вирусом гриппа А (H3N2), осложненной легочным кровотечением. Необходимо отметить, что у данной пациентки отсутствовала вакцинация против гриппа.
27.02.2019 в 17:50 женщина госпитализирована в отделение реанимации и интенсивной терапии для больных терапевтического профиля с клинико-рентгенологической картиной тяжелой внебольничной левосторонней субтотальной пневмонии. На момент поступления беспокоили сухой кашель, слабость, одышка, повышение температуры до 39ºС.
Из анамнеза известно, что заболела остро 24.02.2019, когда впервые отметила сухой кашель, одышку, повышение температуры тела до 39ºС. На фоне терапии нестероидными противовоспалительными препаратами отмечалось кратковременное снижение температуры тела, одышка и кашель прогрессировали. В анамнезе – ожирение 2-й степени, длительный стаж гипертонической болезни, постоянный прием бисопролола 5 мг/сут, индапамида 2,5 мг/сут. Желчнокаменная болезнь, холецистэктомия в 2009 г.
На момент поступления состояние больной тяжелое. В сознании, заторможена, оценка по шкале комы Глазго 13 баллов. Кожа бледная с серым оттенком. Зев не изменен. В дыхании участвовала вспомогательная мускулатура. Частота дыханий 28/мин. SaO2 – 86%. При перкуссии над легкими – притупление легочного звука над всеми легочными полями левого легкого, при аускультации там же – жесткое дыхание, влажные мелкопузырчатые хрипы. Тоны сердца приглушены, ритмичные, частота сердечных сокращений (ЧСС) 140 уд/мин, среднее артериальное давление (САД) 62 мм рт. ст. Живот мягкий, безболезненный. Печень не увеличена. Отеков нет. Олиго/анурия. С момента поступления больной до получения результатов обследования инициированы неинвазивная вентиляция легких; инфузионная терапия под контролем водно-электролитного баланса, кислотно-основного состояния и уровня лактата; вазопрессорная поддержка норадреналином в дозе 0,05 мкг/кг/мин; противовирусная и антибактериальная терапия – защищенные аминопенициллины и макролиды (проведена коррекция дозы по клиренсу креатинина); симптоматическая терапия. Результаты лабораторных исследований представлены в табл. 1–4.
Таблица 1. Динамика показателей клинического анализа крови | ||
Показатель | 17:50 | 20:13 |
Результаты | ||
Лейкоциты, 109/л | 5,3 | 3,3 |
Нейтрофилы, % | 81,6 | 55,4 |
Лимфоциты, % | 10,9 | 37,5 |
Гемоглобин, г/л | 155 | 97 |
Гематокрит, % | 46,1 | 29,1 |
Тромбоциты, 109/л | 251 | 150 |
Таблица 2. Показатели биохимического анализа крови 27.02.2019 в 17:50 | |
Показатели | Результаты |
Креатинфосфокиназа, ед/л | 488 |
Креатинфосфокиназа МВ, ед/л | 44 |
Билирубин общий, мкмоль/л | 23 |
Аланинаминотрансфераза, ед/л | 44 |
Аспартатаминотрансфераза, ед/л | 56 |
Глюкоза, ммоль/л | 14 |
Креатинин, мкмоль/л | 163 |
Тропонин Т, пг/мл | 30,87 |
С-реактивный белок, мг/л | 284,03 |
Альбумин, г/л | 38 |
Таблица 3. Показатели коагулограммы 27.02.2019 в 17:50 | |
Показатель | Результат |
Международное нормализованное отношение | 1,35 |
Активированное частичное тромбопластиновое время, с | 34,8 |
Протромбиновое время, с | 16,7 |
Протромбин, % | 63 |
Фибриноген, г/л | 8,71 |
D-димер, мкг/мл | 5,32 |
Таблица 4. Показатели кислотно-основного состояния и уровня лактата 27.02.2019 в 17:50 и 18:40 | ||
Показатель | 17:50 (оксигенотерапия с потоком 5 л/мин) | 18:40 (FiО2 – 100%) |
рН | 7,25 | 7,29 |
РаО2, мм рт. ст. | 65 | 105 |
РаСО2, мм рт. ст. | 25 | 35 |
BE, ммоль/л | -10 | -4 |
Лактат, ммоль/л | 12 | 10 |
Глюкоза, ммоль/л | 14 | 12 |
Na, ммоль/л | 140 | 135 |
K, ммоль/л | 3,1 | 4,2 |
Ca2+, ммоль/л | 1,22 | 1,18 |
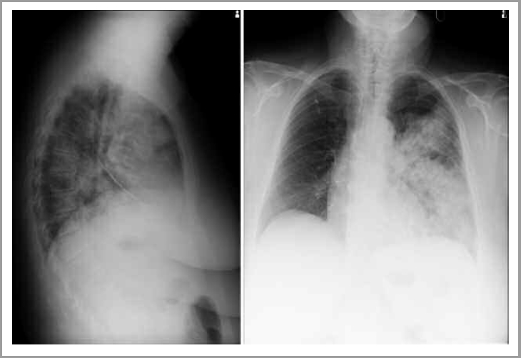
По данным ЭКГ – синусовая тахикардия до 140 уд/мин, депрессия сегмента ST в III, avF, отведениях V5–V6. На рентгенограммах органов грудной полости в двух проекциях (левая боковая) субтотально понижена воздушность левого легочного поля за счет фокусов массивной инфильтрации сливного характера без четких контуров в проекции S3, S6, S8–10, язычковых сегментов с реакцией косой междолевой плевры в виде ее утолщения, неоднородной структуры за счет участков просветления (рис. 1).
Рис. 1. Рентгенограмма органов грудной клетки в прямой и боковой проекции.
Оценка по шкале тяжести повреждения легких 2,75 балла [20]; по шкале SMART-COP – 7 [21]; по шкале органной дисфункции при сепсисе – 5 [22].
Принимая во внимание жалобы, анамнез, клиническую картину и результаты обследования, предварительный диагноз следующий.
Основной: тяжелая внебольничная левосторонняя субтотальная пневмония. Фоновый: гипертоническая болезнь 3-й степени, артериальная гипертензия 3-й степени, риск сердечно-сосудистых осложнений очень высокий; ожирение 2-й степени. Осложнения: септический шок; ДН 3-й степени; ОРДС средней степени; острое повреждение почек 1-й степени. Сопутствующий: желчнокаменная болезнь, холецистэктомия в 2009 г.
В 18:00 в условиях анальгоседации и миорелаксации выполнена интубация трахеи, пациентка переведена на искусственную вентиляцию легких в режиме Pressure controlled ventilation с параметрами: Pinsp. 20→24 см. Н2О (Vt 8→6 мл/кг идеальной массы тела), f 12 в 1 мин, PEEP 6→8→10 см. Н2О, FiO2 60→100%. После интубации трахеи по эндотрахеальной трубке получено значительное количество алой крови в объеме более 700 мл. С целью верификации источника легочного кровотечения выполнена фибробронхоскопия, но из-за большого количества крови в трахее и бронхах визуализация затруднена. Выполнена повторная рентгенография органов грудной клетки, по результатам которой тотально понижена воздушность левого легочного поля за счет массивной инфильтрации легочной ткани. Инициирована плазмотрансфузия, к терапии добавлены антифибринолитики (транексамовая и эпсилонаминокапроновая кислота), увеличен объем инфузионной терапии, под контролем центрального венозного давления, которое составило +3 см → + 5 см Н2О, среднее артериальное давление 65–70 мм рт. ст. на фоне проводимой вазопрессорной терапии. Несмотря на проводимую интенсивную терапию, состояние пациентки прогрессивно ухудшалось, и в 18:40 зафиксирована первая остановка кровообращения, проведена эффективная сердечно-легочная реанимация (табл. 5). В периоды восстановления синусового ритма увеличен темп инфузии вазопрессоров (норадреналин 0,05→1 мкг/кг/мин), к терапии добавлен добутамин (5→13 мкг/кг/мин).
Таблица 5. Хронология проводимых реанимационных мероприятий 27.02.2019 | |||
Время остановки кровообращения | Тип остановки | Время восстановления ритма | Тип ритма |
18:40 | Желудочковая тахикардия без пульса | 19:00 | Синусовый ритм с ЧСС 60–70 уд/мин |
19:20 | Асистолия | 19:30 | Синусовый ритм с ЧСС 40–50 уд/мин |
20:00 | Асистолия | ||
Таблица 6. Данные вирусологического исследования | |||||
Материал | Лаб. № | Грипп типа А | А(H1N1) pdm09 | A(H3N2) | Грипп типа В |
Фрагмент легкого | 2915 | РНК обнаружена | РНК не обнаружена | РНК обнаружена | РНК не обнаружена |
Фрагмент трахеи | 2916 | РНК обнаружена | РНК не обнаружена | РНК обнаружена | РНК не обнаружена |
Фрагмент бронха | 2917 | РНК обнаружена | РНК не обнаружена | РНК не обнаружена | РНК не обнаружена |
Третья остановка кровообращения определена в 20:00, проводимые реанимационные мероприятия в течение 30 мин неэффективны, в 20:30 зафиксирована биологическая смерть.
Окончательный диагноз
Основной: тяжелая внебольничная левосторонняя субтотальная геморрагическая вирусная пневмония. Фоновый: гипертоническая болезнь 3-й степени, артериальная гипертензия 3-й степени, риск сердечно-сосудистых осложнений очень высокий; ожирение 2-й степени. Осложнения: септический шок; ОРДС тяжелой степени; ДН 3-й степени; молниеносное легочное кровотечение с летальным исходом; острое повреждение почек 1-й степени. Сопутствующий: желчнокаменная болезнь, холецистэктомия в 2009 г.
По данным аутопсии выявлено совпадение клинического и патологоанатомического диагнозов; причина смерти – инфекционно-токсический шок (рис. 2–4, см. цветную вклейку). Проведено бактериологическое исследование и исследование методом полимеразной цепной реакции, секционного материала. По данным бактериологического исследования выявлен рост S. aureus, Escherichia coli, Enterococcus faecalis. При исследовании методом полимеразной цепной реакции во фрагментах легких, трахеи и бронхов обнаружены РНК вируса гриппа А (H3N2; см. табл. 4). Исследование проводилось с использованием наборов, праймеров и зондов CDC&P (Centers for Disease Control and Prevention), рекомендованных ВОЗ для молекулярной диагностики гриппа.
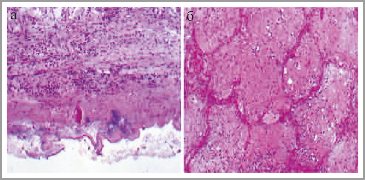
Рис. 2. а - слизистая оболочка трахеи и бронхов набухшая толстая, красновато-серого цвета, с множественными кровоизлияниями; б - левое легкое и нижняя доля правого легкого: мелкопористые, неравномерного розовато-красного цвета, со множеством сливающихся очагов темно-красного цвета, плотной консистенции, выбухающие на разрезе. С поверхности разреза стекает большое количество жидкости геморрагического характера.
Рис. 3. а - гнойно-некротический трахеит: гнойный экссудат в стенке трахеи, некроз слизистого и подслизистого слоев, колонии S. ayreus в слизистом слое (окраска гемотоксилинэозином, *100); б - ткань легкого с полнокровными сосудами межальвеолярных перегородок, геморрагическим экссудатом в просвете альвеол (окраска гематоксилин-эозином, *100)
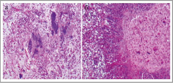
Рис. 4. а - гнойный экссудат в просвете альвеол, колонии S. aureus (окраска гкматооксицилин-эозином,*100); б - ткань легкого с очагом деструкции, колониями S.aureus, перифокальным гнойным воспалением (окраска гематооксицилин-эозином,*100)
Патологоанатомический диагноз
Основной: грипп А (H3N2) с развитием двусторонней пневмонии с геморрагическим компонентом смешанной этиологии (гриппозная и стафилококковая); острый геморрагический трахеит; острый геморрагический бронхит. Осложнения: состоявшееся легочное кровотечение; инфекционно-токсический шок (шоковые почки, паренхиматозная дистрофия внутренних органов: печень, сердце); отек легких. Сопутствующий: ожирение 2-й степени; атеросклероз аорты, II стадия, 2-я степень; атеросклероз коронарных артерий, II стадия, 2-я степень (стеноз левой и правой коронарных артерий до 30%); гипертоническая болезнь с преимущественным поражением сердца (эксцентрическая гипертрофия миокарда левого желудочка); состояние после холецистэктомии.
Обсуждение
Приведено наблюдение из реальной клинической практики тяжелой вирусно-бактериальной пневмонии, осложненной молниеносным легочным кровотечением с летальным исходом. Вирусная и, в частности, гриппозная этиология заболевания не рассматривались врачами на догоспитальном этапе. С одной стороны, данный клинический случай во многом является типичным клиническим примером тяжелой первичной вирусной пневмонии. Отягчающие факторы – пожилой возраст, сопутствующая патология сердечно-сосудистой системы, отсутствие вакцинации, недооценка тяжести своего состояния и позднее обращение за медицинской помощью – на 3-и сутки. Клиническая картина характеризовалась острым началом, быстрым повышением температуры тела с нарастанием интоксикации и одышки, появлением непродуктивного кашля. С другой стороны, следует отметить, что течение заболевания осложнилось геморрагическим компонентом с массивным легочным кровотечением, что нечасто встречается в клинической практике.
Заключение
В данном клиническом примере выделен возбудитель вируса гриппа А (H3N2) в ассоциации с бактериальной суперинфекцией в виде S. aureus. С учетом результатов патологоанатомического исследования тяжесть состояния обусловлена развитием ОДН на фоне острого геморрагического отека легких, что явилось причиной неблагоприятного исхода.
Этот вопрос заслуживает междисциплинарного обсуждения с привлечением как терапевтов и пульмонологов, так и торакальных хирургов, инфекционистов и анестезиологов и реаниматологов.
Авторы заявляют об отсутствии конфликта интересов.
Об авторах
Ольга Юрьевна Чижова
ФГБОУ ВО «Северо-Западный государственный медицинский университет им. И.И. Мечникова» Минздрава России
Email: ruslyakova777dok@gmail.com
ORCID iD: 0000-0002-1716-7654
д.м.н., проф. каф. пропедевтики внутренних болезней, гастроэнтерологии и диетологии им. С.М. Рысса; зав. терапевтическим отд-нием №2 клиники Петра Великого
Россия, Санкт-ПетербургИрина Анатольевна Руслякова
ФГБОУ ВО «Северо-Западный государственный медицинский университет им. И.И. Мечникова» Минздрава России
Автор, ответственный за переписку.
Email: ruslyakova777dok@gmail.com
ORCID iD: 0000-0003-1507-833X
к.м.н., ассистент каф. анестезиологии и реаниматологии им. В.Л. Ваневского, зав. отд-нием реанимации и интенсивной терапии для больных терапевтического профиля №2 клиники Петра Великого
Россия, Санкт-ПетербургИгорь Геннадьевич Бакулин
ФГБОУ ВО «Северо-Западный государственный медицинский университет им. И.И. Мечникова» Минздрава России
Email: ruslyakova777dok@gmail.com
ORCID iD: 0000-0002-6151-2021
д.м.н., проф., зав. каф. пропедевтики внутренних болезней, гастроэнтерологии и диетологии им. С.М. Рысса
Россия, Санкт-ПетербургСергей Анатольевич Винничук
ФГБОУ ВО «Северо-Западный государственный медицинский университет им. И.И. Мечникова» Минздрава России
Email: ruslyakova777dok@gmail.com
ORCID iD: 0000-0002-9590-6678
к.м.н., доц. каф. патологической анатомии; зав. центральным патологоанатомическим отд-нием
Россия, Санкт-ПетербургВалерий Игоревич Сахаров
ФГБОУ ВО «Северо-Западный государственный медицинский университет им. И.И. Мечникова» Минздрава России
Email: ruslyakova777dok@gmail.com
ORCID iD: 0000-0001-5012-0586
клин. ординатор каф. анестезиологии и реаниматологии им. В.Л. Ваневского
Россия, Санкт-ПетербургСписок литературы
- Almirall J, et al. Epidemiology of community-acquired pneumonia in adults: a population-based study. Eur Respir J. 2000;15(4):757-63. doi: 10.1034/j.1399-3003.2000.15d21.x
- WHO. Influenza vaccines. WHO position paper. Weekly Epid Rec. 2018;93: 73–96. doi: 10.1016/j.vaccine.2017.02.034
- Инфекционная заболеваемость в Российской Федерации за 2018 г. [Infectious diseases in the Russian Federation in 2018 (In Russ.)] https://www.rospotrebnadzor.ru/activities/statistical-materials /statictic_details.php?ELEMENT_ID=11277 xls
- Яковлев А.А. и др. Три эпидемических сезона гриппа 2009–2013 годов. Эпидемиология и инфекц. болезни. 2014;2 [Yakovlev AA, et al. Three epidemic seasons of flu 2009–2013. Epidemiologiya i infektsionnye bolezni. 2014;2 (In Russ.)].
- Полушин Ю.С., Храпов К.Н., Майская М.Ю. и др. Вирусная пневмония гриппа А (H1N1), осложненная ОРДС. Общая реаниматология. 2010;6(3):15 [Polushin YS, Khrapov KN, Maiskaya MY, et al. Viral Pneumonia Influenza A (H1N1) Complicated by Acute Viral Respiratory Distress Syndrome. General Reanimatology. 2010;6(3):15 (In Russ.)]. doi: 10.15360/1813-9779-2010-3-15
- Burrell A, Huckson S, Pilcher DV. ICU Admissions for Sepsis or Pneumonia in Australia and New Zealand in 2017. N Engl J Med. 2018;378(22):2138-9. doi: 10.1056/nejmc1717178
- Щерба Ю.В., Гончарова И.В. Внебольничная пневмония в аспекте глобального процесса появления новых и возвращающихся инфекций: новые этиологические, эпидемиологические и клинические характеристики, приобретение категории системного инфекционного заболевания. Поликлиника. 2011;1:2152 [Shcherba YV, Goncharova IV. Сommunity-acquired pneumonia in respect to the global process of emerging and re-emerging infectious diseases: novel etiological, epidemiological and clinical features, acquisition of a systemic infectious disease category. Poliklinika. 2011;1:2152 (In Russ.)]. http://www.infectology.ru/publik/stat49.aspx
- McCullers JA. Insights into the interaction between influenza virus and pneumococcus. Clin Microbiol Rev. 2006;19(3):571-82. doi: 10.1128/cmr.00058-05
- Gilbert CR, Vipul K, Baram M. Novel H1N1 influenza A viral infection complicated by alveolar hemorrhage. Respir Care. 2010;55(5):623-5. doi: 10.1164/ajrccm-conference.2010.a018
- Monto AS. Viral respiratory infections in the community: epidemiology, agents, and interventions. Am J Med. 1995;99(6):24S-7S. doi: 10.1016/s0002-9343(99)80307-6
- Ramsey C, Kumar A. H1N1: viral pneumonia as a cause of acute respiratory distress syndrome. Curr Opin Crit Care. 2011;17(1):64-71. doi: 10.1097/mcc.0b013e3283427259
- Vazquez-Grande G, Kumar A. Optimizing antimicrobial therapy of sepsis and septic shock: focus on antibiotic combination therapy. Semin Respir Crit Care Med. 2015;36(1):154-66. doi: 10.1055/s-0034-1398742
- Ярошецкий А.И. и др. Интенсивная терапия гриппа А (H1N1) PDM 2009 осложненного течения. Анестезиология и реаниматология. 2017;62(4):315-24 [Yaroshetsky AI, et al. Intensive care of influenza A (H1N1) pdm 2009 with сomplicated course. Anesteziologiya i reanimatologiya. 2017;62(4):315-24 (In Russ.)]. doi: 10.18821/0201-7563-2017-62-4-315-324
- To KKW, et al. Delayed clearance of viral load and marked cytokine activation in severe cases of pandemic H1N1 2009 influenza virus infection. Clin Infect Dis. 2010;50(6):850-9. doi: 10.1086/650581
- Phuc PH, et al. Successful treatment of pneumonia-induced severe ARDS complicated with DIC in two infants using recombinant human thrombomodulin. Integr Mol Med. 2017;4:1-5. doi: 10.15761/imm.1000289
- Samra T, Pawar M, Yadav A. Comparative evaluation of acute respiratory distress syndrome in patients with and without H1N1 infection at a tertiary care referral center. Indian J Anaesth. 2011;55(1):47. doi: 10.4103/0019-5049.76602
- Buchner J, et al. Single-center experience with venovenous ECMO for influenza-related ARDS. J Cardiothorac Vasc Anesth. 2018;32(3):1154-9. doi: 10.1053/j.jvca.2017.09.031
- Steimer DA, et al. Timing of ECMO Initiation Impacts Survival in Influenza-Associated ARDS. Thorac Cardiovasc Surg. 2018. doi: 10.1055/s-0038-1642066
- Fan E, Brodie D, Slutsky AS. Acute respiratory distress syndrome: advances in diagnosis and treatment. JAMA. 2018;319(7):698-710. doi: 10.1001/jama.2017.21907
- Murray JF, et al. An expanded definition of the adult respiratory distress syndrome. Am Rev Respir Dis. 1988;138(3):720-3. doi: 10.1164/ajrccm/138.3.720
- Charles PGP, et al. SMART-COP: a tool for predicting the need for intensive respiratory or vasopressor support in community-acquired pneumonia. Clin Infect Dis. 2008;47(3):375-84. doi: 10.1086/589754
- Ferreira FL, et al. Serial evaluation of the SOFA score to predict outcome in critically ill patients. JAMA. 2001;286(14):1754-8. doi: 10.1001/jama.286.14.1754
Дополнительные файлы










