Pericarditis in contemporary therapeutic clinic: nosological spectrum, approaches to diagnosis and treatment
- Authors: Blagova O.V.1, Nedostup A.V.1, Sedov V.P.1, Kogan E.A.1, Alijeva I.N.1, Sorokin G.Y.1, Sarkisova N.D.1
-
Affiliations:
- Sechenov First Moscow State Medical University (Sechenov University)
- Issue: Vol 92, No 12 (2020)
- Pages: 10-18
- Section: Articles
- Submitted: 07.02.2021
- Accepted: 07.02.2021
- Published: 15.12.2020
- URL: https://ter-arkhiv.ru/0040-3660/article/view/60247
- DOI: https://doi.org/10.26442/00403660.2020.12.200432
- ID: 60247
Cite item
Full Text
Abstract
Aim. To analyze the register of pericarditis in a therapeutic clinic, to evaluate their nosological spectrum, to optimize approaches to diagnosis and treatment.
Materials and methods. For the period 2007–2018, the register includes 76 patients with the diagnosis of “pericarditis” (average age 53.1±15.7 years, 20–85 years, 46 female). Patients with hydropericardium were not included in the register. Diagnostic puncture of pericardium was carried out in 5 patients, pleural puncture – in 11 patients. Morphological diagnostics included endomyocardial/ intraoperative biopsy of myocardium (n=4/2), thoracoscopic/intraoperative biopsy of pericardium (n=1/6), pleural puncture (n=5), transbronchial (n=1), thoracoscopic biopsy of intrathoracic lymph nodes (n=2), lung (n=1), supraclavicular lymph node biopsy (n=1), salivary gland (n=1), subcutaneous fat and rectum biopsy per amyloid (n=6/1). The genome of cardiotropic viruses, level of anti-heart antibodies, C-reactive protein, antinuclear factor, rheumatoid factor (antibodies to cyclic citrullinized peptide), antibodies to neutrophil cytoplasm were determined, extractable nuclear antigens (ENA), protein immunoelectrophoresis, diaskin test, computed tomography of lungs and heart, cardiac magnetic resonance imaging, oncologic search.
Results. The following forms of pericarditis were verified: tuberculosis (14%, including in combination with hypertrophic cardiomyopathy – HCM), acute / chronic viral (8%) and infectious immune (38%), including perimyocarditis in 77%, pericarditis associated with mediastinum lymphoma/sarcoma (4%), sarcoidosis (3%), diffuse diseases of connective tissue and vasculitis (systemic lupus erythematosus, rheumatoid arthritis, diseases of Horton, Takayasu, Shegren, Wegener, 12%), leukoclastic vasculitis, Loeffler’s endomyocarditis, AL-amyloidosis, thrombotic microangiopathy (1% each), HCM (8%), coronary heart disease (constriction after repeated punctures and suppuration; postinfection and immune, 4%), after radiofrequency catheter ablation and valve prosthetics (2%). Tuberculosis was the main causes of constrictive pericarditis (36%). Treatment included steroids (n=39), also in combination with cytostatics (n=12), anti-tuberculosis drugs (n=9), acyclovir/ganclovir (n=14), hydroxychloroquine (n=23), colchicine (n=13), non-steroidal anti-inflammatory drugs (n=21), L-tyroxine (n=5), chemotherapy (n=1). In 36 patients different types of therapy were combined. Treatment results observed in 55 patients. Excellent and stable results were achieved in 82% of them. Pericardiectomy/pericardial resection was successfully performed in 8 patients. Lethality was 13.2% (10 patients) with an average follow-up 9 [2; 29.5] months (up to 10 years). Causes of death were chronic heart failure, surgery for HCM, pulmonary embolism, tumor.
Conclusion. During a special examination, the nature of pericarditis was established in 97% of patients. Morphological and cytological diagnostics methods play the leading role. Tuberculosis pericarditis, infectious-immune and pericarditis in systemic diseases prevailed. Infectious immune pericarditis is characterized by small and medium exudate without restriction and accompanying myocarditis. Steroids remain the first line of therapy in most cases. Hydroxychloroquine as well as colchicine can be successfully used in moderate / low activity of immune pericarditis and as a long-term maintenance therapy after steroid stop.
Full Text
ВГЛУ – внутригрудные лимфатические узлы
ГКМП – гипертрофическая кардиомиопатия
ИБС – ишемическая болезнь сердца
ЛЖ – левый желудочек
МБТ – микобактерии туберкулеза
МРТ – магнитно-резонансная томография
МСКТ – мультиспиральная компьютерная томография
НПВП – нестероидные противовоспалительные препараты
ПЦР – полимеразная цепная реакция
РЧА – радиочастотная катетерная аблация
СРБ – С-реактивный белок
ФВ – фракция выброса
ХСН – хроническая сердечная недостаточность
ЭКГ − электрокардиография
ЭхоКГ – эхокардиография
ANCA – антитела к цитоплазме нейтрофилов
Введение
Перикардит является тем заболеванием (во многих случаях – синдромом, индикатором другой болезни), с которым не любят иметь дело кардиологи и терапевты; его можно назвать нелюбимым пасынком кардиологии. К примеру, среди 5769 презентаций, опубликованных на сайте конгресса Европейского общества кардиологов 2017 г., перикардиту, далеко не редкому заболеванию, посвящено лишь 9 (0,16%). Связано это со сложностями выяснения его причины и, соответственно, выбора эффективного лечения. У многих больных перикардит (особенно не очень тяжелый) протекает хронически, и годами проводятся безуспешные, часто и не очень активные попытки определить его этиологию. При перикардите нередко продолжает использоваться терапия ex juvantibus, но даже ее результаты далеко не всегда отвечают на вопрос о природе заболевания.
Классические представления о триаде основных причин перикардита (туберкулез, ревматизм, уремия) на 2/3 утратили свое значение, спектр новых причин все расширяется. С повсеместным внедрением метода эхокардиографии (ЭхоКГ) значительно участились случаи выявления бессимптомного выпота в полости перикарда, который создает большие диагностические проблемы. Перикардит требует проведения очень специфического обследования с применением особых методов диагностики. Лишь немногие центры в Европе целенаправленно и на высоком уровне занимаются диагностикой и лечением перикардитов. Этот уровень определяется в первую очередь возможностью проведения морфологической диагностики – эндоскопического исследования перикарда с выполнением его биопсии [1].
В России встречаются единичные сообщения о применении данных методик в отделениях торакальной хирургии [2]. Вместе с тем перикардит в значительной степени остается терапевтической проблемой, в большинстве случаев за постановкой нозологического диагноза должна следовать длительная и дифференцированная медикаментозная терапия, что делает оптимальным, как и в случае миокардитов, проведение всего спектра диагностических исследований именно в терапевтической клинике. Крупные европейские регистры перикардитов очень немногочисленны, к ним в первую очередь относятся марбургский (259 больных, каждому из которых проведена биопсия перикарда, B. Maisch и соавт. [1]) и марсельский (1162 случая преимущественно острого перикардита [3]).
Из отечественных авторов наиболее полные обобщающие данные по 200 больным представили недавно А.А. Демин и соавт. из Новосибирска [4]. Результаты нозологической диагностики и подходы к лечению существенно различаются в зависимости от агрессивности (инвазивности) обследования и профиля стационаров. Если в Марселе более 55% случаев перикардита остались «идиопатическими», то в Марбурге таких случаев просто нет. В новосибирской когорте отмечено значительное число пациентов с бактериальным перикардитом (после травм и пр.), которые специально собирались авторами по стационарам города. Однако наибольший интерес для терапевтов представляют, на наш взгляд, случаи затяжного, хронического перикардита, которые особенно трудны для диагностики и лечения.
Цель исследования − проанализировать регистр перикардитов в терапевтической клинике, оценить их нозологический спектр, оптимизировать подходы к диагностике и лечению.
Материалы и методы
Больные, включенные в исследование. За период 2007−2018 гг. в регистр отделения кардиологии клиники факультетской терапии им. В.Н. Виноградова ФГАОУ ВО «Первый МГМУ им. И.М. Сеченова» (Сеченовский Университет) включены 76 больных с диагнозом «перикардит» от 20 до 85 лет (средний возраст 53,1±15,7 года), 46 женщин и 30 мужчин (56,7±13,6 и 47,5±17,3 года соответственно, p<0,05). Критерии включения − наличие выпота в полости перикарда предположительно воспалительного характера, диагностических критериев сухого острого и/или констриктивного перикардита. Пациенты с застойным выпотом и изолированным гипотиреозом, т.е. с гидроперикардом, в регистр не включались.
Методы обследования. Всем больным проведены рентгенография органов грудной клетки, электрокардиография (ЭКГ), ЭхоКГ, суточное мониторирование ЭКГ по Холтеру, стандартные анализы крови, определение уровней С-реактивного белка (СРБ), фибриногена. Дополнительная диагностика включала определение генома кардиотропных вирусов (герпетической группы, парвовируса В19) в крови, уровня антикардиальных антител методом непрямого иммуноферментного анализа, антинуклеарного фактора (АНФ), ревматоидного фактора (РФ), комплемента, при необходимости – антител к циклическому цитруллинированному пептиду (АЦЦП), к цитоплазме нейтрофилов (ANCA), к кардиолипинам, антител ENA-профиля, иммуноэлектрофорез белков крови и мочи с определением свободных легких цепей иммуноглобулинов методом иммунофиксации, мультиспиральную компьютерную томографию (МСКТ) легких (n=44) и сердца (n=26), магнитно-резонансную томографию (МРТ) сердца (n=16), сцинтиграфию миокарда (n=22), коронарографию (n=13), диаскин-тест и консультацию фтизиатра, развернутый онкопоиск.
Диагностическая пункция перикарда стандартным/атипичным доступом проведена кардиохирургом под контролем ЭхоКГ 5 больным, плевральная пункция – 11. Морфологическая диагностика включала эндомиокардиальную/интраоперационную биопсию миокарда (n=4/2), торакоскопическую/интраоперационную биопсию перикарда (n=1/6), плевры (n=5), трансбронхиальную (n=1), торакоскопическую биопсию внутригрудных лимфатических узлов – ВГЛУ (n=2), легкого (n=1), биопсию надключичного лимфоузла (n=1), слюнной железы (n=1), подкожного жира и слизистой прямой кишки на амилоид (n=6/1). Проводились окраска гематоксилином-эозином, по Ван Гизону, конго красным, фенотипирование амилоида, диагностика методом полимеразной цепной реакции (ПЦР) вирусной инфекции, микобактерий туберкулеза (МБТ). В отдельных случаях выполнено иммуногистохимическое исследование с определением экспрессии CD20, CD45, CD65, CD117, опухолевых маркеров.
Лечение и наблюдение. Базисная терапия перикардита назначалась в соответствии с установленным нозологическим диагнозом и будет охарактеризована в разделе «Результаты». Динамика состояния (симптомы, лабораторные показатели, объем перикардиального выпота) отслежена у 55 больных. В качестве конечных точек рассматривались сохранение и рецидив выпота в перикарде, развитие констрикции и потребность в выполнении хирургического вмешательства на перикарде, а также общая летальность. Средний срок наблюдения составил 9 (2; 29,5) мес (максимально до 10 лет).
Статистическая обработка проводилась с помощью программы SPSS Statistics 21. Количественные признаки представлены как М±δ (среднее ± одно стандартное отклонение) либо в виде медианы с указанием 1 и 3-го квартилей. Нормальность распределения оценивалась с помощью теста Колмогорова−Смирнова, достоверность различий – с помощью критериев Стьюдента, Манна−Уитни, Уилкоксона. Различия считались значимыми при р<0,05.
Результаты
Результаты нозологической диагностики у больных с перикардитом
В результате индивидуально подобранного комплекса диагностических мероприятий нозологический диагноз поставлен практически всем больным с перикардитом (рис. 1, см. на цветной вклейке): 82% случаев составили три основные формы – туберкулезный, инфекционно-иммунный (в том числе вирусный) перикардит и перикардит в рамках диффузных болезней соединительной ткани и системных васкулитов, в том числе 3 вирус-позитивных по крови случая. Сюда же примыкают саркоидоз (3%, вирус-позитивный у 1 больной) и по 1 случаю лейкокластического васкулита, панкардита Леффлера, тромботической микроангиопатии и AL-амилоидоза.
Рис. 1. Распределение всех больных с перикардитами по нозологическому спектру
Синдром повреждения перикарда (постперикардиотомный), перикардит после радиочастотной катетерной аблации (РЧА), лучевой и химиотерапии составили абсолютное меньшинство, опухоли как причина перикардита – лишь 4%. Гемоперикард в результате интервенционных вмешательств в регистр не включали, случаев травматического и гнойного перикардита также не отмечено. Особые подгруппы составил перикардит у больных с ишемической болезнью сердца (ИБС) и гипертрофической кардиомиопатией (ГКМП) – его механизмы будут обсуждаться ниже. Наконец, у 2 пожилых пациенток причина большого перикардиального выпота осталась до конца непонятной – в одном случае нетяжелый гипотиреоз не сопровождался другими признаками микседемы, терапия L-тироксином не повлияла на объем выпота; в другом продолжается дифференциальный диагноз между паранеопластической, паратуберкулезной и иммунной природой выпота.
Перикардит с большим выпотом (2 см и более) диагностирован у 19 больных (1/4 всех пациентов регистра), со средним (10−19 мм) − у 23 (30%), с малым – у 29 (38%), сухой – у 5 (7%) пациентов. Наиболее частые формы перикардита с большим выпотом − туберкулезный (26%) и хронический инфекционно-иммунный (32%), а также вирусный в сочетании с ГКМП (5%). Среди системных заболеваний с большим выпотом протекали только панкардит Леффлера (5%) и саркоидоз (5%). Оставшуюся долю составили перикардит, ассоциированный с ИБС (11%), после лучевой и химиотерапии (5%), а также 2 случая перикардита неуточненного генеза (11%).
Перикардит с малым выпотом отличался несколько бóльшим этиологическим разнообразием: отчетливо преобладали инфекционно-иммунные формы (острый – у 13%, хронический – 21%, хронический вирусный – 10%), к которым примыкает и перикардит, ассоциированный с ГКМП (10%); значительную долю составил перикардит в рамках системных заболеваний соединительной ткани и васкулитов (20%), туберкулез диагностирован лишь в 7%. Среди пациентов со средним объемом выпота встретились практически все нозологические формы, доля туберкулеза также небольшая (7%).
Варианты течения и клинические проявления перикардитов
К острым и подострым формам перикардита (с давностью симптомов менее полугода) может быть отнесен лишь 31 (40,8%) случай – в остальных случаях перикардит имел хроническое течение, нередко без яркого начала и четких симптомов. Более или менее четкая связь заболевания с перенесенной инфекцией отмечена у 33 (43%) больных, в том числе у 14 – с признаками хронического процесса без острого начала. Лихорадка сопровождала дебют и/или течение перикардита у 28 (37%) больных и у части из них являлась проявлением неспецифической инфекции. Еще менее характерны высокие цифры температуры тела (более 38°С – у 17 пациентов) и проливные поты (7 больных). Боли в грудной клетке, далеко не всегда «перикардиальные», и кашель встретились у 1/3 больных (25 и 24 соответственно). Те или иные общевоспалительные изменения в крови (включая повышение уровня СРБ, которое считают обязательным критерием острого перикардита [5], выявлены у 39 (51%) больных.
Наиболее закономерное клиническое проявление у пациентов с перикардитом − хроническая сердечная недостаточность (ХСН): она диагностирована в 80%, в том числе I−IIА−IIБ стадии у 10, 24 и 22 больных, I−II−III функционального класса (ФК) у 9, 19 и 28 больных. ХСН также далеко не всегда обусловлена перикардитом – ее дополнительными причинами могли быть систолическая и диастолическая дисфункция миокарда в рамках основного заболевания (ИБС, гипертония, миокардит, кардиомиопатия и пр.), перегрузка правых отделов вследствие легочной гипертензии, ожирение и т.д. То же касается и объективных признаков поражения сердца.
Повышенный уровень тропонина (у единственного больного с острым вирусным перикардитом) подтверждал одновременное развитие острого миокардита. Уровень предсердного натрийуретического фактора (BNP) в полной мере не отражал симптомов (боль, тяжесть в груди, одышка), хотя у пациентов с выраженной одышкой вследствие перикардита, как правило, он повышен. Изменения на ЭКГ включали снижение вольтажа комплексов QRS (n=12, 16%; рис. 2, б, см. на цветной вклейке), подъем сегмента ST (n=5, 7%; рис. 2, а), а также малоспецифичные изменения зубцов Т (n=29, 38%), патологические зубцы Q/комплексы QS (n=4, 5%), признаки гипертрофии левого желудочка – ЛЖ (n=14, 18%), блокаду передней ветви левой ножки пучка Гиса (n=13, 17%), полную блокаду левой и правой ножек пучка Гиса (по 1 больному, 1%) и неполную блокаду правой ножки (n=5, 7%).
Рис. 2. Неинвазивная инструментальная диагностика при перикардитах различной этиологии: а - ЭКГ больного с острым вирусным миоперикардитом (скорость записи 50 мм/с): диффузный подъем сегмента ST (отведения II, III, aVF, V3-V6); б - ЭКГ больного с констриктивным перикардитом (скорость записи 25 мм/с): снижение вольтажа комплекса QRS, признаки гипертрофии предсердий; в - ЭКГ больного 28 лет с лейкокластическим васкулитом, тредмил-тест (скорость записи 25 мм/с): частота сердечных сокращений 140 уд/мин, ишемическая депрессия сегмента ST; г - ЭхоКГ при подостром туберкулезном перикардите с большим выпотом (стрелки: размер выпота и нити фибрина в полости перикарда); д - ЭхоКГ при констриктивном туберкулезном перикардите (стрелки - резко утолщенные, спаянные листки перикарда); е, ж - МСКТ больного с ложной аневризмой АЖ (стрелки) и констриктивным кальцинированным перикардитом в исходе синдрома Дресслера; з - МРТ больного с миоперикардитом (стрелки - отсроченное контрастирование гадолиния) и аритмогенной дисплазией правого желудочка; и - МРТ больной с некомпактным миокардом АЖ (левая стрелка) и массивным выпотом в перикарде (правая стрелка) после лучевой/химиотерапии по поводу лимфогранулематоза.
Проявления атриовентрикулярной блокады отмечены у 10 (14%) больных, из нарушений ритма чаще всего регистрировались наджелудочковые – экстрасистолия (n=27, 36%), пробежки тахикардии (n=21, 28%), мерцание (n=21, 28%) и трепетание предсердий (n=8, 11%), причем достоверная корреляция с размерами левого предсердия отмечена только для мерцательной аритмии. Желудочковые аритмии (экстрасистолия у 26, 34%, неустойчивая и устойчивая желудочковая тахикардия у 10/2, 13/3%) четко ассоциировались с выраженностью ХСН и степенью дисфункции миокарда (фракцией выброса − ФВ, размерами левых камер, признаками рестрикции, митральной и трикуспидальной регургитацией, легочной гипертензией). Связи аритмий с лабораторными маркерами воспаления не отмечено, с объемом выпота в перикарде коррелировало только наличие желудочковой экстрасистолии.
ЭхоКГ-параметры в среднем близки к нормальным, однако их величины сильно варьировали в зависимости от нозологической природы перикардита – в первую очередь характера и степени поражения миокарда в рамках основного заболевания (ГКМП, миокардит, перенесенный инфаркт миокарда и пр.). В целом отмечена тенденция к снижению ФВ ЛЖ (54±14%), увеличению левого предсердия − 60 (46; 97) мл. Корреляции с объемом выпота в перикарде и воспалительными изменениями в крови также нет.
Особенности диагностики и лечения отдельных нозологических форм перикардитов
Туберкулезный перикардит диагностирован у 10 (14,1%) больных, средний возраст 58,0±15,1 (от 31 до 79) года, у 1 − в сочетании с ГКМП. Вирус-позитивных пациентов нет. В 60% случаев выпот >10 мм и в 50% – от 20 мм и более; в 70% выявлен фибрин (рис. 2, г), в 50% – признаки констрикции (что сопровождалось уменьшением объема выпота или его исчезновением; рис. 2, д). В одном случае медленное накопление большого количества жидкости приводило к развитию тампонады (неоднократно выполнялись пункции). Значительное утолщение листков перикарда по данным ЭхоКГ и МСКТ отмечено в 70%. Паратуберкулезный миокардит диагностирован у 1 больной.
В эндемичных по туберкулезу районах в разное время проживали 2 больных, туберкулезный анамнез отсутствовал у всех. Лихорадка и общевоспалительная активность в крови отмечены у 1/2 больных, ночные поты – у 2, острое начало – у 6; влажный кашель развился у 3 пациентов. Диаскин-тест отрицателен у 2 больных и сомнителен у 1 (2 из них ранее проводилась терапия малыми дозами стероидов), в остальных случаях расценен как положительный. При МСКТ легких изменения отмечены у всех (петрификаты в лимфоузлах, лимфоаденопатия, очаги Гона, «фиброз», очаги в легочной ткани, бронхиолит, фиброателектаз), однако лишь в 1 случае можно с большой вероятностью думать о туберкулезе; двусторонний плевральный выпот выявлен у 3 больных, у 2 с признаками констрикции; в 1 случае развился артрит коленного сустава.
При исследовании перикардиального (n=2) и плеврального (n=3) пунктатов ни разу не выявлено МБТ методами ПЦР, люминисцентной микроскопии и с помощью интерферонового теста, однако лимфоцитарный характер серозного экссудата (с количеством лимфоцитов 98−99%) отмечен во всех случаях. При исследовании мокроты и бронхоальвеолярной жидкости (n=6) МБТ выявлены биологическим методом у 2 больных. Диагноз верифицирован с помощью биопсии ВГЛУ и легкого (n=1; рис. 3, а, см. на цветной вклейке), плевры (n=1), надключичного лимфоузла (n=1) [6]. В результате определенный диагноз туберкулезного перикардита поставлен 7 больным, у 3 он рассматривался как высоко вероятный. Туберкулостатическая терапия проводилась 7 больным, в том числе в сочетании с малыми дозами кортикостероидов – 2; 1 пациент отказался от дообследования, в 2 случаях фтизиатры по месту жительства не видели показаний к лечению. Терапия ex juvantibus подтвердила диагноз в 3 случаях. Декортикация плевры успешно выполнена 1 больному, перикардэктомия − 2. Средний срок наблюдения составил 12 (3,5; 19,5) мес, летальность – 20% (причины смерти пожилых больных − ХСН и рак легкого).
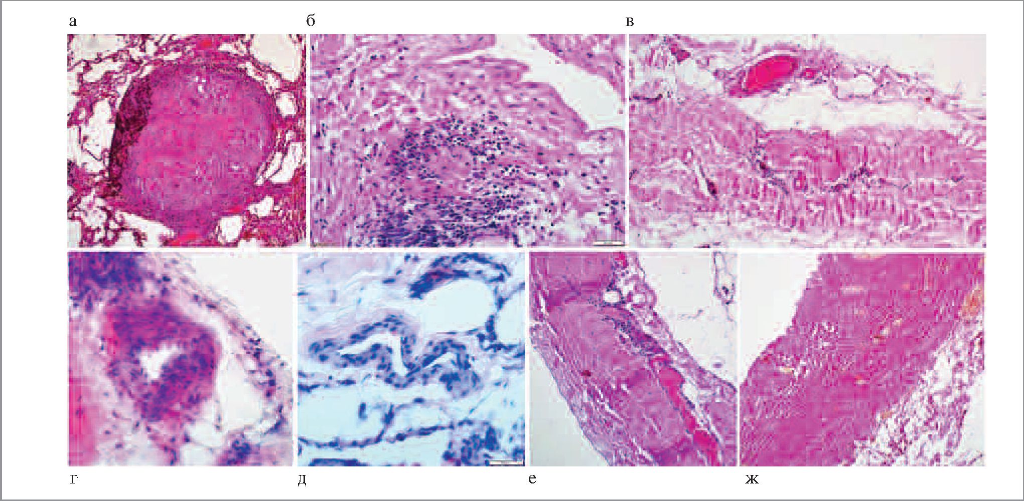
Рис. 3. Морфологическая диагностика при перикардитах различной этиологии: микропрепараты биоптатов ВГЛУ (а), миокарда ЛЖ (б), перикарда (в-ж), малое (а, в, е, ж) и большое (б, с д) увеличение, а-е - окраска гематоксилином-эозином, ж - по Ван Гизону; а - туберкулезная гранулема с казеозным некрозом; лимфоцитарный миокардит (б) и перикардит (в) при эндокардите Леффлера; г, д - лейкокластический васкулит в перикарде; е, ж - выраженный склероз и остаточная лимфоцитарная инфильтрация вследствие фибропластического перикардита после лучевой/химиотерапии.
Инфекционно-иммунный (вирусно-иммунный и вирус-негативный) перикардит диагностирован у 35 (46%) больных: острый/подострый − у 6 и хронический − 29. Сюда же следует отнести и 5 пациентов с ГКМП, которых мы рассмотрим особо. Средний возраст составил 50,1±14,2 года (от 20 до 78). Вирус в миокарде выявлен у 1 из 3 больных, которым проведена биопсия миокарда, вирус Эпштейна−Барр в крови – еще у 5. Общность патогенеза перикардита у вирус-позитивных (n=6) и вирус-негативных (n=29) пациентов доказывают повышение титров антикардиальных антител у 89% больных и одновременное наличие клинических и инструментальных (сцинтиграфия, МРТ, МСКТ) признаков миокардита у 77%, независимо от наличия вирусов. При этом у 13 (37%) больных преобладали признаки миокардита, у 7 (20%) – перикардита, у 7 (20%) они протекали одинаково тяжело. В 1 случае диагностирован миоперикардит на фоне аритмогенной дисплазии правого желудочка (рис. 2, з).
Выделены также следующие особенности инфекционно-иммунного перикардита: преобладание малого (52%) или умеренного (29%) выпота, нечастое выявление фибрина (18%) и признаков констрикции (1 случай) при среднем сроке наблюдения 8 (2; 30) мес; редкость потов (9%), лихорадка у 29% (преимущественно в дебюте), умеренные или выраженные воспалительные изменения в крови (61%), связь дебюта с респираторной инфекцией (54%), острое начало (69%), давность заболевания менее полугода (46%).
Пункцию перикарда удалось выполнить лишь у 2 больных, плевры – у 3. У значительной части пациентов симптоматика определялась миокардитом, который проявлялся в ХСН, дилатации ЛЖ со снижением его ФВ (менее 45% у 9 больных), аритмиями, инфарктоподобной клиникой либо микроваскулярной ишемией. Изолированный перикардит диагностирован у 8 (23%) больных, они в наибольшей степени отвечали традиционным представлениям о болезни и отличались наличием среднего и большого выпота почти в 2/3 случаев, развитием полисерозита − у 1/2. В 1 случае для исключения периодической болезни проведена ДНК-диагностика в гене MEFV. Фебрильная лихорадка и яркие воспалительные изменения в крови требовали исключения бактериальной этиологии процесса и проведения антибактериальной терапии, однако наилучший эффект давали кортикостероиды.
Стероиды составили основу лечения в данной нозологической группе: они назначены 57% больных в средней дозе 20 (20; 27,5) мг/сут в пересчете на преднизолон. У 9 пациентов они использованы в комбинации с гидроксихлорохином (Плаквенилом), у 7 – с азатиоприном [средняя доза 150 (75; 150) мг/сут], еще 7 проводилась монотерапия Плаквенилом (в 3 случаях вслед за колхицином, который суммарно получали 8 больных); терапия нестероидными противовоспалительными препаратами (НПВП) − лишь первый этап лечения у 9 из 10 больных. Во всех случаях достигнуты элиминация вируса из крови (в результате терапии ган-/ацикловиром), уменьшение/полное исчезновение выпота; динамика миокардита могла быть менее выраженной; изолированный перикардит отличался более упорным течением. Три смерти связаны с ХСН, тромбоэмболией легочной артерии (ТЭЛА) и пневмонией.
Перикардит при системных иммунных заболеваниях диагностирован у 15 (20%) больных, средний возраст 50,3±18,7 (26−85) года, в том числе у 3 − системной красной волчанкой, 2 − саркоидозом, по 1 – ревматоидным артритом, дерматомиозитом, аортоартериитом Такаясу, гранулематозом Вегенера, болезнями Хортона, Шегрена. В последних 3 случаях поражение сердца не связано с обострением основного заболевания. Особенности перикардита − преимущественно малый (40%) и средний (33%) объем выпота, низкая частота выявления фибрина (20%) и склонность к констрикции у 4 (3 потребовалась операция [7]). Лихорадка и кашель отмечены в 47%, боли в груди − в 27%, лишь в 1 случае имелись поты; характерны острое появление симптомов (2/3), связь с инфекцией (47%).
Пункция перикарда у больной с гранулематозом Вегенера дала серозно-геморрагический экссудат, плевральная пункция у 2 не имела значения для диагноза. Системное заболевание впервые диагностировано нами у 10 больных, его морфологическая верификация получена у 5 (биопсия слюнной железы, ВГЛУ, подкожного жира, миокарда и перикарда). Признаки миокардита выявлены лишь в 1/2 случаев (рис. 3, б), вирусный геном в крови (вирус Эпштейна−Барр, цитомегаловирус) – у 3, HBV-инфекция – у 1. Поражение сердца значительно усложнило нозологическую диагностику, у 3 больных (саркоидозом, волчанкой и ревматоидным артритом) оно вышло на первый план еще в дебюте болезни. Средний срок наблюдения составил 6 (2; 72) мес.
К этой группе нами отнесены также больные AL-амилоидозом и скелетной миопатией (экссудативно-констриктивный перикардит, который усугубил ХСН в рамках амилоидной кардиомиопатии), тромботической микроангиопатией (вероятно, вторичной) у пожилого больного полисерозитом и с тяжелой ХСН вследствие ишемии миокарда с некрозом, а также с ANCA-позитивным панкардитом Леффлера (перикардит с локальными спайками привел к скоплению жидкости за верхушкой правого желудочка и его существенной деформации, что стало одним из показаний к операции; рис. 3, б, в). Лейкокластический васкулит у ANCA-негативного больного диагностирован при биопсии перикарда (рис. 3, г, д), о миокардиальном васкулите говорили стенокардия и ишемическая депрессия сегмента ST на ЭКГ (рис. 2, в).
Комбинированная терапия стероидами и цитостатиками (азатиоприном, циклофосфаном, метотрексатом) проводилась 7 больным, монотерапия стероидами − еще 6 (вирус-позитивные – в сочетании с ацикловиром); по 1 пациенту получили плазмаферез и переливание плазмы, 2 выполнена перикардэктомия. Лечение эффективно: за исключением случаев констрикции, отмечено разрешение/значительное уменьшение выпота; 2 смерти связаны с прогрессирующей ХСН (амилоидоз) и ранее выявленным раком матки. У 2 больных диагностированы кисты перикарда, которые регрессировали в ходе терапии.
Перикардит, ассоциированный с ГКМП, диагностирован у 6 больных (8%, средний возраст 49,3±12,0 года, ХСН II−III ФК у всех). Еще у 4 отмечена ассоциация с некомпактным миокардом ЛЖ. Лишь в 1 случае (туберкулезный перикардит у больной с обструктивной ГКМП, выявленный в конце беременности) можно предполагать случайность сочетания. У 5 больных перикардит носил инфекционно-иммунный характер (у 1 в крови и миокарде выявлены вирусы Эпштейна−Барр и герпеса 6-го типа) и ассоциировался с миокардитом. У 1 пациентки отмечена отягощенность семейного анамнеза по перикардиту в сочетании с ГКМП.
Большой выпот развился у больного с рестриктивным типом гемодинамики и мерцательной тахиаритмией; фибрин выявлен у 1/2, признаки констрикции – у 1/3 пациентов. Лихорадка и кашель отмечены лишь у больной туберкулезом, у остальных выпот появлялся латентно и протекал хронически, четкой связи с инфекцией нет ни у кого. Пункцию не удалось выполнить ни разу. Периодическое нарастание объема выпота могло быть обусловлено и нарастанием ХСН. Два пациента погибли после операции (в том числе трансплантации), выполненной им по жизненным показаниям по поводу ГКМП.
Перикардит, ассоциированный с ИБС, диагностирован у 3 (4%) больных, средний возраст 66,0±6,2, срок наблюдения 22 (18; 60) мес. Во всех случаях проводились вмешательства по поводу ИБС (в том числе коронарное шунтирование, стентирование), однако в 1 случае повторные пункции (по поводу синдрома Дресслера) с нагноением в анамнезе лишь способствовали развитию псевдоаневризмы ЛЖ с кальцификацией перикарда (рис. 2, е, ж) и еще в одном выпот «случайно» выявлен одновременно с инфарктом и поддается стероидам с переходом на колхицин.
У 3-го пациента с шунтированием и последующей имплантацией биодеградируемых стентов «Аbsorb» длительно существующий выпот с осумкованием появился через 5 лет после операции – нельзя исключить этиологическую роль атипичной инфекции в его развитии; торакоскопически выполнена резекция перикарда. Выпот имел отграниченный характер у 2 больных, что доказывало его связь с локальными воспалительными и спаечными процессами в перикарде, большой объем – более 15−20 мм (в начале болезни) – у всех, фибрин при этом ни у кого не описан, однако признаки констрикции развились у 2.
Случаев хронического перикардита после инфаркта миокарда у больных, не подвергавшихся инвазивным манипуляциям на сердце, мы не наблюдали ни разу.
Перикардит после операций на сердце и РЧА в основном не включался в регистр, поскольку этиология его ясна, он развивался в ранние сроки после операции (обычно после 1 нед) во время пребывания больных в кардиохирургическом стационаре, где его и лечили. Однако в 1 случае (пациент 70 лет) перикардит с умеренным выпотом, субфебрильной лихорадкой, резкой слабостью и высокой воспалительной активностью стал поводом для обследования через 4 мес после протезирования аортального клапана с рестернотомией по поводу гемоперикарда (дополнительная антигенная стимуляция?). В результате исключения других причин перикардит расценен как рецидив (затяжное течение?) постперикардиотомного полисерозита, который диагностирован сразу после операции и пролечен стероидами в течение 1 мес: в ряде случаев этого срока недостаточно; возобновление стероидной терапии в сочетании с колхицином дало быстрый эффект.
Лишь в 1 случае мы наблюдали клинически яркий сухой перикардит (с болями и подъемом сегмента ST) на 2-е сутки после РЧА по поводу атриовентрикулярной узловой тахикардии, быстро купированный с помощью НПВП. Предрасполагающими факторами могли встать повторные интервенционные вмешательства в анамнезе (имплантация электрокардиостимулятора, его удаление).
Перикардит при опухолях и после лучевой/химиотерапии диагностирован у 3 и 1 больного соответственно (суммарно 5%), средний возраст 42,4±13,3 года. У одной из пациенток причиной перикардита стала неоперабельная опухоль сердца (предположительно, саркома). В 3 из 4 случаев первично лимфопролиферативное заболевание: массивная лимфома средостения у молодого человека, недифференцированная веретеноклеточная саркома перикарда через 18 лет после лимфогранулематоза с вовлечением легкого, плевры и перикарда, леченного хирургически, химио- и лучевой терапией, а также пострадиационный фибропластический перикардит через 22 года после лучевой и химиотерапии по поводу лимфогранулематоза.
Рис. 4. Алгоритм нозологической диагностики перикардитов в терапевтической клинике (в скобках указано число больных, которым выполнено то или иное исследование в нашей клинике).
В последнем случае выпот достигал 700−800 мл, назначение диуретиков и стероидов, а также попытки получить жидкость успеха не имели; несмотря на одновременное выявление некомпактного миокарда (рис. 2, и) и значимую систолическую дисфункцию (ФВ 22%), выполнена субтотальная перикардэктомия с субъективным улучшением и возрастанием ФВ до 35%; данных по поводу хилоперикарда не получено, экссудат серозно-геморрагический, при морфологическом исследовании отмечен выраженный фиброз перикарда с остаточными признаками воспаления (рис. 3, е, ж). У остальных пациентов объем выпота средний и малый, фибрин не определялся, плевральный пунктат у двоих неспецифичен. Диагноз опухоли поставлен с помощью КТ/МРТ органов грудной клетки, заподозрен при ЭхоКГ. Больная с саркомой перикарда погибла через 1 мес после попытки оперативного лечения.
Алгоритм нозологической диагностики при перикардитах в терапевтической клинике (рис. 4). Анализ результатов нашей диагностики показывает ведущую роль морфологических методов исследования. При наличии большого выпота всегда должен рассматриваться вопрос (совместно с кардиохирургом) о выполнении диагностической (и одновременно лечебной) пункции перикарда с исследованием пунктата (биохимическим, бактериологическим, цитологическим, вирусологическим, на туберкулез методами ПЦР, люминисцентной микроскопии, на жир с окраской суданом III). Однако выполнение пункции перикарда оказалось возможным лишь у 7% наших больных; при наличии полисерозита не менее ценным может быть более доступное исследование плеврального выпота. Клеточный состав является одним из главных дифференциально-диагностических критериев, но в ряде случаев массивный выпот в перикарде оказался беден клетками и не дал ценной информации.
Кроме того, всегда должна оцениваться возможность применения других методов морфологической и цитологической диагностики – анализов мокроты (на МБТ трехкратно, с окраской по Цилю–Нильсену), бронхиального смыва, трансбронхиальных биоптатов, доступных лимфоузлов, подкожного жира, слизистых кишки и десны на амилоид, других органов при подозрении на системные иммунные заболевания. При наличии внутригрудной лимфоаденопатии, осумкованного, констриктивного плеврита, подозрительных изменений в легких должен решаться вопрос о видеоассистированной торакоскопической биопсии. Тот же метод может использоваться для прицельной биопсии перикарда. У пациентов с признаками одновременного поражения миокарда более доступной и информативной может стать эндомиокардиальная биопсия. В случае оперативного вмешательства на сердце и легких всегда должен забираться материал для подробного морфологического исследования.
Параллельно выполняется спектр неинвазивных исследований, которые в обязательном порядке должны включать, вслед за ЭхоКГ и рентгенографией, диаскин-тест и консультацию фтизиатра, МСКТ/МРТ сердца и органов грудной клетки, определение воспалительных маркеров в крови (СРБ, фибриноген), электрофорез (при невозможности исключить амилоидоз – иммуноэлектрофорез), исследование крови на антикардиальные антитела, геном кардиотропных вирусов, спектр маркеров иммунных заболеваний, холтеровское мониторирование ЭКГ. При необходимости привлекаются гематолог, ревматолог и другие специалисты. Обязательным этапом диагностики неясных перикардитов является онкопоиск.
Результаты лечения и исходы у больных с перикардитами
Особенности лечения перикардитов определялись их этиологией и охарактеризованы выше. На рис. 5 (см. на цветной вклейке), приведена частота назначения различных режимов базисной терапии, а также хирургического и неспецифического медикаментозного лечения. Основу лечения составили кортикостероиды [n=39, средняя доза 20 (20; 30) мг/сут в пересчете на преднизолон] в виде мо нотерапии или в комбинации с цитостатиками, наиболее часто с азатиоприном [n=9, средняя доза 150 (75; 150) мг/сут]. Из менее агрессивных базисных препаратов применялись Плаквенил (n=23, доза преимущественно 200 мг/сут) и колхицин 0,5−1 мг/сут (n=13).
Рис. 5. Частота назначения основных видов лечения у больных с перикардитами.
Различные НПВП (n=21) в большинстве случаев назначались в качестве первой линии или в составе комбинированной терапии. Комбинации базисных препаратов (как одновременные, так и последовательные) назначены 36 больным. Туберкулостатики получали 9 больных, антибиотики – 22, противовирусные препараты – 14. Кроме того, применялись β-адреноблокаторы (n=49), ингибиторы ангиотензинпревращающего фермента (n=38), антагонисты минералокортикоидных рецепторов (n=38), петлевые диуретики (n=38), амиодарон (n=21), антикоагулянты (n=18), Аспирин (n=14).
Результаты лечения отслежены у 55 больных. Отличный эффект (исчезновение выпота, отсутствие рецидивов и констрикции) отмечен у 27 (49%) из них, стабильный эффект (сохранение небольшого количества жидкости в перикарде, отсутствие застойной ХСН, в том числе у больных с признаками констрикции) – у 18 (33%), отсутствие эффекта (сохранение выпота в прежнем объеме, ХСН, констрикция) – у 10 (18%), 8 из которых выполнена перикардэктомия или частичная резекция перикарда (6 – на открытом сердце, 2 – торакоскопически).
Констриктивный перикардит (вернее, перикардит с элементами констрикции) диагностирован у 14 (18%) больных, средний возраст 51,6±13,3 года. Нозологически он представлен туберкулезом (n=5, 36%), системной красной волчанкой, ревматоидным артритом, панкардитом Леффлера (n=3, 21%), ассоциацией с ГКМП и ИБС (по 2 − 14% − больных), AL-амилоидозом, саркомой перикарда и хроническим инфекционно-иммунным перикардитом (по 1 − 7% − больному). Констрикция стала основным показанием к перикардэктомии (n=5), еще в 2 случаях операция выполнена по поводу массивного выпота вследствие постлучевого фиброза перикарда и в ходе торакоскопической биопсии.
Летальность составила 13,2% (10 больных); период до наступления смерти – 26 (11,5; 48,5) мес с начала наблюдения. Причины смерти − ХСН, операции на сердце по поводу ГКМП (миэктомия, трансплантация сердца), ТЭЛА, опухоли, в том числе саркома перикарда, субарахноидальное кровоизлияние. Лишь при саркоме поражение перикарда стало непосредственной причиной смерти, еще у 1 больной туберкулезный перикардит с массивным выпотом протекал многие годы (туберкулостатическая терапия не давала стойкого эффекта) и вносил вклад в формирование фатальной ХСН. Тем не менее отмечена корреляция летальных исходов с отсутствием положительного ответа перикардита на лечение, а также с выраженностью ХСН в целом (но не с ФВ ЛЖ) и отсутствием терапии β-адреноблокаторами.
Обсуждение
Полученные в относительно небольшом регистре данные говорят как о широком этиологическом спектре перикардитов в терапевтической клинике, так и о возможности поставить нозологический диагноз – и необходимости это делать – у абсолютного большинства больных (97%). Несмотря на редкое пока выполнение биопсии перикарда, те или методы морфологической и цитологической верификации диагноза использованы нами у 36% больных и стали наиболее прямым и результативным путем к диагнозу.
Большой интерес представляет сопоставление представленных результатов с данными европейских регистров. Наиболее крупный из них, марсельский, представлен в основном случаями острого перикардита (n=933), что и определило спектр его причин: в 17% – постперикардиотомный синдром, в 5% – инфекции, в 16% – предшествовавшие заболевания; в 55% случаев диагноз не установлен [3]. Те же цифры по частоте идиопатических форм (~50%) приводят авторы европейских рекомендаций 2015 г. [5], что вызвало принципиальные критические замечания автора предыдущих рекомендаций B. Maisch из Марбурга: по его убеждению, эта цифра недопустимо высока и определяется лишь недостаточным использованием биопсии перикарда [8]. В его собственном (марбургском) регистре применение биопсии у всех больных позволило свести долю идиопатических форм к нулю [1].
Наиболее частой нозологической формой в марбургском регистре оказался так называемый реактивный лимфоцитарный перикардит (35%), что согласуется с нашими данными: острый и хронический инфекционно-иммунный перикардит диагностирован нами у 39% больных. Не вызывает сомнений, что речь в обоих регистрах идет об одной и той же форме – терминология B. Maisch напрямую обуслов- лена 100% выполнением биопсии перикарда, в то время как наше, предложенное по аналогии с миокардитом обозначение данной формы перикардита в большей степени отражает его этиологию и патогенез. В литературе имеются также данные в пользу аутовоспалительной природы «идиопатического» рецидивирующего перикардита, которые сближают его с перикардитом в рамках периодической болезни: у 6% больных выявлены мутации в гене TNFRSF1A, кодирующем рецептор фактора некроза опухолей α; при этом отмечены низкая эффективность колхицина и высокая – кортикостероидов [9].
Мы убеждены, что значительная доля так называемых идиопатических (иначе – неспецифических) перикардитов относится к подгруппе инфекционно-иммунных. Если биопсия перикарда (и возможность диагностики именно лимфоцитарного перикардита) действительно пока малодоступна, то постановка диагноза инфекционно-иммунного перикардита является посильной задачей для любого терапевтического отделения: она требует обязательного исключения других («специфических») форм, верификации нередкого в таких случаях сопутствующего миокардита (с оценкой уровня антикардиальных антител в крови, проведением МРТ сердца, в идеале – с биопсией миокарда) и, по возможности, доказательства лимфоцитарного состава перикардиальной/плевральной жидкости (при наличии развернутого полисерозита).
Доля вирусного перикардита, диагностированного с помощью биопсии перикарда (Марбург), составила 12%, верифицированного при исследовании крови/миокарда (наши данные) – 8% (изолированные вирусные формы) или 15% (все вирус-позитивные случаи, в том числе саркоидоз, системные заболевания, ассоциация с ГКМП). Интересно, что вирусный геном обнаружен в перикарде у 16% больных опухолевым перикардитом и 12% – с ятрогенным/травматическим; при этом спектр вирусов очень сходен (парвовирус В19, вирусы Эпштейна−Барр, герпеса 6-го типа, гриппа, гепатита С), с цитомегаловирусом (только при опухолях) [10]. Это может объясняться иммуносупрессией вследствие самой опухоли либо ее химиотерапии и ставит вопрос о том, что первично в генезе такого перикардита – опухоль или вирус? Вероятно, это сочетание причин. Случаи перикардитов смешанной этиологии несомненны у ряда наших больных, и они требуют комплексного подхода к лечению.
Результаты представленного исследования говорят о том, что вирусный и инфекционно-иммунный перикардит (при котором исключить персистенцию вирусов в мио-/перикарде мы у пациентов без биопсии не можем) имеют много общего и представляют собой по сути одну нозологическую форму. Тем не менее существуют и случаи чисто реактивного, иммунного перикардита, не всегда связанные с инфекцией – в их патогенезе, безусловно, преобладают аутоиммунные (аутовоспалительные?) механизмы. Клинически такой перикардит чаще протекает изолированно (без миокардита), отличается высокой иммунной и воспалительной активностью, лихорадкой, большим объемом выпота в перикарде и нередко – плевральных полостях, высокой эффективностью кортикостероидов и у части наших больных – колхицина, при отсутствии эффекта от НПВП и антибиотиков.
Наиболее существенные расхождения наших и европейских данных касаются частоты туберкулеза – он «потонул» в 2% бактериальных перикардитов среди 259 больных из Марбурга [1], в то время как у нас его доля составила 14%. То же касается и причин констриктивного перикардита – 36% случаев у наших больных и лишь 3−6% − европейских (5-е место после идиопатического или вирусного, постперикардиотомного, постлучевого, перикардита в рамках системных болезней [5]). Такие различия объяснимы совершенно разной эпидемиологической ситуацией по туберкулезу в России и Европе и требуют несколько иных подходов к диагностике и лечению: в частности, у наших больных может быть оправдана терапия ex juvantibus, не рекомендуемая европейскими экспертами.
Заслуживают подробного обсуждения, невозможного в рамках данной статьи, и другие виды перикардитов – в частности, при системных иммунных болезнях. Особой и нередкой формой является перикардит у больных с ГКМП – в его основе лежат, вероятно, повышенная тропность вирусов к генетически неполноценному миокарду и предрасположенность последнего к воспалению. В литературе встречаются описания лишь отдельных случаев как вирусного, так и туберкулезного перикардита в сочетании с ГКМП [11−13]. Возможно, дело в высокой частоте самой ГКМП. Однако мы наблюдали перикардит и при некомпактном миокарде (n=4), в основе которого также нередко лежат мутации саркомерных генов.
Все наши случаи перикардита, ассоциированного с ИБС, выходили за рамки синдрома повреждения перикарда и подтверждают необходимость расширенного поиска и в банальных ситуациях. При РЧА типично возникновение перикардита непосредственно после процедуры, причем введение стероидов существенно снижает его риск [14]. Однако случаи отсроченного на 1−4 нед, до 4 мес, перикардита после подобных вмешательств подтверждают роль аутоиммунных реакций [15]. Небольшое количество онкологических больных в нашем регистре может быть связано с преобладанием у них некардиологической симптоматики и относительно легкой диагностикой опухолей при МСКТ. В качестве механизмов перикардита, помимо контактного воспаления, могут выступать сдавление путей оттока жидкости ВГЛУ, аутоиммунные паранеопластические реакции.
Что касается лечения, ведущая роль стероидов и их комбинации с цитостатиками, а также значительная доля туберкулостатиков в базисной терапии у наших больных вытекают из их нозологической сущности. Положительный эффект медикаментозного лечения у 82% больных доказывает оптимальность такого подхода в нашей когорте больных. Необходимо особо подчеркнуть, что абсолютное большинство в этой когорте (до 87%) составили пациенты с хроническим, длительным течением перикардита, к которому предложенные в 2015 г. алгоритмы лечения не вполне применимы, поскольку они касаются главным образом случаев острого и рецидивирующего перикардита. Критерием остроты течения авторы считают повышение уровня СРБ, на обнаружении которого базируются показания к лечению и его выбор. У значительной части наших больных отсутствовал этот критерий активности воспаления, однако выявлялись антикардиальные антитела и другие маркеры иммунного, далеко не всегда острого воспаления.
В европейских рекомендациях 2015 г. приводится схема лечения острого перикардита, в которой к первой линии отнесены НПВП и колхицин, лишь затем следуют стероиды и анакинра [5]. Однако исследования, на которых основаны эти ограниченные рекомендации, единичны: так, в 2014 г. на 120 больных доказана способность колхицина достоверно снижать частоту рецидивов острого перикардита [16]; наличие вирусов не учитывали. Чуть позже в эксперименте на мышах с Коксаки-вирусным миокардитом колхицин оказал летальное действие на животных, в том числе вследствие аггравации миокардита [17]. Как отметили защитники колхицина, доза препарата в эксперименте в сотню раз превышала дозу у людей (2 мг/кг и 0,5/1 мг/сут) [18]; однако вопрос о пользе колхицина и механизмах его действия при инфекционно-иммунных миоперикардитах остается открытым.
Специально спланированные современные исследования по оценке эффективности не столько противовоспалительной, сколько медикаментозной иммуносупрессивной терапии при хронических формах перикардитов с иммунным патогенезом нам неизвестны. Изученные в данной работе результаты проспективного наблюдения за больными с хроническими формами иммунных перикардитов говорят об успешном применении Плаквенила при инфекционно-иммунном перикардите умеренной степени активности (без лихорадки и общевоспалительных изменений в крови) и требуют не только дальнейшего наблюдения и анализа, но и проведения сравнительных исследований.
Заключение
При тщательном обследовании природа перикардита может быть с той или иной степенью вероятности установлена у большинства больных, что позволяет проводить его лечение. Выполнение диагностической пункции перикарда оказалось возможным у абсолютного меньшинства больных (6%), в связи с чем существенно возрастает роль иных методов цитологической (мокрота, плевральная жидкость) и морфологической (ВГЛУ, легкие, миокард, перикард и пр.) диагностики. Преобладающими формами перикардита стали туберкулезный, инфекционно-иммунный и перикардит в рамках системных болезней (системная красная волчанка, ревматоидный артрит, васкулиты, саркоидоз и пр.). Для инфекционно-иммунных миопери/перимиокардитов наиболее характерно наличие малого выпота без склонности к констрикции. Большой выпот и констриктивный перикардит всегда требуют исключения туберкулеза. Туберкулезный перикардит может протекать в разных формах (большой, малый выпот, констрикция), все иммунологические тесты могут быть отрицательными, включая исследование пунктата перикарда. Стероиды остаются первой линией терапии при большинстве вариантов перикардита. Гидроксихлорохин, а также колхицин могут с успехом использоваться при инфекционно-иммунном перикардите умеренной и низкой степени активности, а также в качестве длительной поддерживающей терапии после отмены кортикостероидов.
Авторы заявляют об отсутствии конфликта интересов.
About the authors
O. V. Blagova
Sechenov First Moscow State Medical University (Sechenov University)
Author for correspondence.
Email: blagovao@mail.ru
ORCID iD: 0000-0002-5253-793X
д.м.н., проф.
Russian Federation, MoscowA. V. Nedostup
Sechenov First Moscow State Medical University (Sechenov University)
Email: blagovao@mail.ru
ORCID iD: 0000-0002-5426-3151
м.н., проф.
Russian Federation, MoscowV. P. Sedov
Sechenov First Moscow State Medical University (Sechenov University)
Email: blagovao@mail.ru
ORCID iD: 0000-0003-2326-9347
д.м.н., проф.
Russian Federation, MoscowE. A. Kogan
Sechenov First Moscow State Medical University (Sechenov University)
Email: blagovao@mail.ru
ORCID iD: 0000-0002-1107-3753
д.м.н., проф.
Russian Federation, MoscowI. N. Alijeva
Sechenov First Moscow State Medical University (Sechenov University)
Email: blagovao@mail.ru
ORCID iD: 0000-0002-3338-0762
врач-кардиолог
Russian Federation, MoscowG. Yu. Sorokin
Sechenov First Moscow State Medical University (Sechenov University)
Email: blagovao@mail.ru
ORCID iD: 0000-0002-1013-9706
аспирант
Russian Federation, MoscowN. D. Sarkisova
Sechenov First Moscow State Medical University (Sechenov University)
Email: blagovao@mail.ru
ORCID iD: 0000-0002-5979-1180
зав. кардиологическим отд-нием
Russian Federation, MoscowReferences
- Maisch B, Rupp H, Ristic A, Pankuweit S. Pericardioscopy and epi- and pericardial biopsy − a new window to the heart improving etiological diagnoses and permitting targeted intrapericardial therapy. Heart Fail Rev. 2013;18(3):317-28. doi: 10.1007/s10741-013-9382-y
- Айвазьян С.А., Медведев А.П., Косоногов А.Я., Сидоров М.А. Опыт применения перикардиоскопии для диагностики и лечения заболеваний перикарда. Мед. альманах. 2011;6:236-7 [Aivazyan SA, Medvedev AP, Kosonogov AY, Sidorov MA. The experience of the usage of pericardioscopy for diagnostics and treatment of diseases of pericardium. Medizinskij al’manakh. 2011;6:236-7 (In Russ.)].
- Gouriet F, Levy PY, Casalta JP, et al. Etiology of Pericarditis in a Prospective Cohort of 1162 Cases. Am J Med. 2015;128(7):784.e1-8. doi: 10.1016/j.amjmed.2015.01.040
- Демин А.А., Дробышева В.П. Болезни перикарда. Рос. кардиологический журн. 2016;1:90-8 [Dyomin AA, Drobysheva VP. Pericardium diseases. Russian Journal of Cardiology. 2016;1:90-8 (In Russ.)]. doi: 10.15829/1560-4071-2016-1-90-98
- Adler Y, Charron P, Imazio M, et al. 2015 ESC Guidelines for the diagnosis and management of pericardial diseases: The Task Force for the Diagnosis and Management of Pericardial Diseases of the European Society of Cardiology (ESC)Endorsed by: The European Association for Cardio-Thoracic Surgery (EACTS). Eur Heart J. 2015;36(42):2921-64. doi: 10.1093/eurheartj/ehv318
- Благова О.В., Алиева И.Н., Недоступ А.В. и др. Экссудативно-констириктивный туберкулезный перикардит в сочетании с артритом в практике кардиолога: торакоскопическая биопсия как путь к диагнозу и лечению. Терапевтический архив. 2018;90(9):81-7 [Blagova OV, Alijeva IN, Nedostup AV, et al. Exudative-constrictive tuberculous pericarditis in combination with arthritis in cardiologist practice: thoracoscopic biopsy as a diagnosis and treatment method. Therapeutic Archive. 2018;90(9):81-7. (In Russ.)] doi: 10.26442/terarkh201890981-87
- Благова О.В., Царегородцев Д.А., Недоступ А.В. и др. Распространенный констриктивный полисерозит тяжелого течения у больного ревматоидным артритом. Терапевтический архив. 2010;82(6):56-61 [Blagova OV, Tsaregorodtsev DA, Nedostup AV, et al. Severe disseminated constrictive polyserositis in a patient with rheumatoid arthritis. Therapeutic Archive. 2010;82(6):56-61 (In Russ.)].
- Maisch B; European Society of Cardiology. Progress or regress or both? ESC guidelines on pericardial diseases 2015. Herz. 2015; 40(8):1061-9. doi: 10.1007/s00059-015-4395-z
- Maestroni S, Di Corato PR, Cumetti D, et al. Recurrent pericarditis: autoimmune or autoinflammatory? Autoimmun Rev. 2012;12(1):60-5. doi: 10.1016/j.autrev.2012.07.023
- Pankuweit S, Stein A, Karatolios K, et al. Viral genomes in the pericardial fluid and in peri- and epicardial biopsies from a German cohort of patients with large to moderate pericardial effusions. Heart Fail Rev. 2013;18(3):329-36. doi: 10.1007/s10741-013-9375-x
- Новиков Ю.И., Али Шах Миан Саид, Стулова М.А. О связи гипертрофической кардиомиопатии с вирусными и идиопатическими миоперикардитами. Клиническая медицина. 2000;9:15-21 [Novikov IuI, Mian Said ASh, Stulova MA. Hypertrophic cardiomyopathy and viral, idiopathic myopericarditis. Klin. Med. 2000;78(9):15-21 (In Russ.)]
- Okayama S, Soeda T, Seno A, et al. Rare concurrence of apical hypertrophic cardiomyopathy and effusive constrictive pericarditis. Open Cardiovasc Med J. 2011;5:99-102. doi: 10.2174/1874192401105010099
- Witt CM, Eleid MF, Nishimura RA. Diagnosis of constrictive pericarditis obscured by hypertrophic cardiomyopathy: Back to basics. Catheter Cardiovasc Interv. 2015; 86(3):536-9. doi: 10.1002/ccd.25873
- Dyrda K, Piers SR, van Huls van Taxis CF, et al. Influence of steroid therapy on the incidence of pericarditis and atrial fibrillation after percutaneous epicardial mapping and ablation for ventricular tachycardia. Circ Arrhythm Electrophysiol. 2014;7(4):671-6. doi: 10.1161/CIRCEP.113.001148
- Sedaghat-Hamedani F, Zitron E, Kayvanpour E, et al. Post cardiac injury syndrome after initially uncomplicated CRT-D implantation: a case report and a systematic review. Clin Res Cardiol. 2014; 103(10):781-9. doi: 10.1007/s00392-014-0716-0
- Imazio M, Belli R, Brucato A, et al. Efficacy and safety of colchicine for treatment of multiple recurrences of pericarditis (CORP-2): a multicentre, double-blind, placebo-controlled, randomised trial. Lancet. 2014; 383(9936):2232-7. doi: 10.1016/S0140-6736(13)62709-9
- Smilde BJ, Woudstra L, Fong Hing G, et al. Colchicine aggravates coxsackievirus B3 infection in mice. Int J Cardiol. 2016;216:58-65. doi: 10.1016/j.ijcard.2016.04.144
- Maestroni S, Imazio M, Valenti A, et al. Is colchicine really harmful in viral myocarditis? Int J Cardiol. 2017;229:42. doi: 10.1016/j.ijcard.2016.10.031
Supplementary files













