Clinical case of combined genetic pathology in a patient
- Authors: Losik E.A.1, Yakushina I.I.1, Skhirtladze M.R.1, Balahonova N.P.1, Kerchev V.V.1, Garanina I.A.1
- 
							Affiliations: 
							- Sechenov First Moscow State Medical University (Sechenov University)
 
- Issue: Vol 92, No 12 (2020)
- Pages: 180-184
- Section: Articles
- Submitted: 07.02.2021
- Accepted: 07.02.2021
- Published: 15.12.2020
- URL: https://ter-arkhiv.ru/0040-3660/article/view/60293
- DOI: https://doi.org/10.26442/00403660.2020.12.200435
- ID: 60293
Cite item
Full Text
Abstract
Family hypercholesterolemia (HSX) is a form of genetically deterministic increase in blood lipid levels associated with a high risk of cardiovascular disease, usually at a young age. HSX is a common genetic disease found in the general population in most countries in 1:500 people. Clinically xantomas are found in achilles tendor and wrist flexors, lipoid arc of the cornea, concentration of total cholesterol and low-density lipoproteins is 4.9–11.6 mmol/l. Gilbert’s syndrome is a hereditary benign hyperbilirubinium, associated with a decrease in the functional activity of the liver enzyme uridinfosfat-glucuronosil transferase. Clinically, this syndrome appers in intermittent jaundice, which is provoked by physical activity, consumption of alcoholic beverages, insulation and an increase in the level of indirect bilirubin within 20–100 micromol/ml. The article presents a rare clinical case of genetic combination of HSC SSC and Gilbert syndrome a young patient has and discusses the elevated bilirubin levels protective role in the atherosclerosis progression in Gilbert syndrome.
Full Text
АпоВ – аполипопротеин B
АпоВ-100 – изоформа аполипопротеина B
КТ – компьютерная томография
ЛПНП – липопротеины низкой плотности
СГХС – семейная гиперхолестеринемия
СОЭ – скорость оседания эритроцитов
ТА-повторы – повторы из двух нуклеотидов тимина (Т) и аденина (А)
ХС – холестерин
PQ, QT – интервалы электрокардиограммы
QRS – комплекс электрокардиограммы
R3480W, R3500W и R3531C – миссенс-мутации
R3500Q – мутация в гене аполипопротеина B
UGT1А1 – ген, кодирующий уридиндифосфат-глюкуронозилтрансферазу
Введение
Семейная гиперхолестеринемия (СГХС) – форма генетически детерминированного повышения уровня липидов в крови, ассоциированная с высоким риском сердечно-сосудистых заболеваний, как правило, в молодом возрасте, часто устанавливается только при появлении первых симптомов атеросклероза, в том числе острых сердечно-сосудистых нарушений, что особенно затрудняет их диагностику и профилактику атеросклероза у категории больных без клинических признаков [1, 2]. Одной из причин СГХС является дефект поверхностного белка аполипопротеина В (АпоВ), играющего важную роль во взаимодействии с липопротеинами низкой плотности (ЛПНП), в результате чего при нарушении связывания происходит накопление ЛПНП в плазме крови [3, 4]. Синдром Жильбера – наследственная доброкачественная гипербилирубинемия, связанная с мутацией в гене, кодирующем уридиндифосфат-глюкуронозилтрансферазу (UGT1А1), и снижением функции фермента уридиндифосфат-глюкуронозилтрансферазы в гепатоцитах. Мутация в регуляторной области гена UGT1A1 характеризуется увеличением количества повторов из двух нуклеотидов – тимина (Т) и аденина (А) – ТА-повторы. При увеличении количества ТА-повторов до 7 (такой вариант гена обозначается как UGT1A1*28) происходит снижение экспрессии гена UGT1A1, что является причиной снижения активности фермента уридиндифосфат-глюкуронозилтрансферазы [5, 6]. В результате обменные процессы нарушаются и в организме накапливается непрямой билирубин с возможным проявлением его токсических свойств [7–9]. Генетическое тестирование пациентов с СГХС и синдромом Жильбера не входит в рутинные обследования, однако может быть рекомендовано родственникам 1-й линии для своевременной диагностики и оценки риска сердечно-сосудистых заболеваний [10, 11].
Цель – демонстрация клинического наблюдения генетического сочетания СГХС и синдрома Жильбера у молодого пациента и анализ возможной протективной роли повышенного уровня билирубина в прогрессировании атеросклероза при синдроме Жильбера.
Материалы и методы
Описание клинического случая сочетания двух генетических заболеваний у молодого пациента, мужчины 24 лет – СГХС и синдрома Жильбера. Использование аналитического, логического, монографического методов, результатов анамнеза и объективного осмотра пациента, методов лабораторной, функциональной, ультразвуковой диагностики и генетического тестирования.
Клиническое наблюдение
Для консультации по поводу впервые выявленной гиперлипидемии в отделение кардиологии Клиники пропедевтики внутренних болезней, гастроэнтерологии и гепатологии им. В.Х. Василенко обратился пациент Г., 24 года. При первичном обращении жалоб пациент не предъявлял.
Анамнез заболевания. Около года назад после усиленной физической нагрузки пациент отметил появление пожелтения склер. В анализах крови выявлено повышение уровня общего билирубина за счет непрямой фракции при нормальных значениях сывороточных трансаминаз, других маркеров холестаза. Исключены вирусные гепатиты, аутоиммунные заболевания печени, болезни накопления. При ультразвуковом исследовании образований и нарушения структуры желчных протоков не выявлено. Таким образом, пациенту установлен диагноз синдрома Жильбера. При очередном лабораторном контроле биохимических показателей зафиксировано повышение уровня общего холестерина (ХС) до 8 ммоль/л, в связи с чем пациент обратился для определения дальнейшей тактики лечения.
Анамнез жизни. Туберкулез и гепатит отрицает. Аллергоанамнез: не отягощен. Оперативные вмешательства: в возрасте 18 лет выполнен металлоостеосинтез грудопоясничного отдела позвоночника по поводу сколиоза III–IV степени.
Поводом для проведения оперативного вмешательства послужили появление и нарастание одышки при физической нагрузке, которая после оперативного лечения полностью разрешилась.
Два года назад случайным образом выявлена остеома теменной области слева, выполнено удаление опухоли с одномоментной краниопластикой. Сопутствующие заболевания: синдром недифференцированной дисплазии соединительной ткани, проявляющийся выраженным сколиозом, потребовавшим хирургического лечения, гипермобильностью суставов, систолическим кликом на верхушке при аускультации сердца, свидетельствующим о наличии пролапса митрального клапана.
Семейный анамнез. Данные не собраны из-за отсутствия родственников 1 и 2-й степени родства, что не позволило проследить наследование генетической предрасположенности заболеваний в семье.
Объективные данные. Общее состояние пациента удовлетворительное. Индекс массы тела – 19 кг/м2. Кожные покровы физиологической окраски и влажности, высыпаний, патологических образований, отеков нет. Периферические лимфатические узлы не пальпируются. Определяется сколиотическая деформация грудной клетки, гипермобильность суставов. Пальпация по межреберьям безболезненная. Пульсация периферических артерий сохранена, симметрична. В легких выслушивалось везикулярное дыхание, хрипов не зафиксировано. Частота дыхания – 17 в минуту. Сатурация по пульсоксиметру – 99%. Тоны сердца ритмичные, выслушивался систолический клик на верхушке. Артериальное давление – 110/70 мм рт. ст. на обеих руках, частота сердечных сокращений – 74 в минуту. Живот при пальпации мягкий, безболезненный. Симптомов раздражения брюшины нет. Печень не выступает из-под края реберной дуги. Селезенка не увеличена. Симптом поколачивания отрицательный с обеих сторон.
На электрокардиограмме (рис. 1, см. на цветной вклейке) патологических изменений не выявляется: синусовый ритм с частотой 75 уд/мин, PQ – 0,20, QRS – 0,09, QT – 0,36. Вертикальное положение электрической оси сердца. Положение по Вильсону: вертикальное.
Рис. 1. Электрокардиограмма пациента.
При ультразвуковом исследовании сердца камеры не расширены, толщина миокарда в пределах нормы, фракция выброса составила 68%. Зоны гипокинеза не выявлены. Определялся пролапс передней створки митрального клапана в систолу в полость левого предсердия на 7 мм с развитием митральной регургитации 0–1-й степени.
По результатам лабораторных исследований в общем анализе крови определялся нормальный уровень гемоглобина, лейкоцитов. Лейкоцитарная формула не изменена, СОЭ – 2 мм/ч. В биохимическом анализе крови определяются нормальные значения гликемии (5,0 ммоль/л), функции почек (креатинин – 1,03 мкмоль/л, скорость клубочковой фильтрации – 101 мл/мин). Показатели сывороточных трансаминаз и маркеров холестаза, билирубина в норме. Выявлялись значимые изменения в липидном спектре: повышение общего ХС до 9,09 ммоль/л, липопротеины очень низкой плотности – 0,49 ммоль/л, ЛПНП – 6,75 ммоль/л, показатели триглицеридов в пределах нормы (1,08 ммоль/л). Данные лабораторного обследования свидетельствуют о наличии выраженной дислипидемии, характерной для IIа типа по Фредриксону.
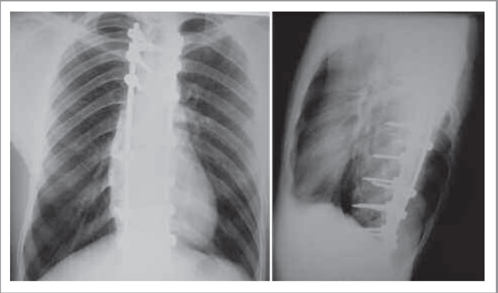
Кроме того, с учетом наличия в анамнезе у пациента указаний на проведенные оперативные вмешательства нам предоставлены рентгенологические снимки и данные компьютерной томографии (КТ). На рентгенограммах грудной клетки в прямой и левой боковой проекциях визуализируются результаты металлоостеосинтеза сколиотической деформации грудной клетки, транспедикулярная конструкция для фиксации грудопоясничного отдела позвоночника (рис. 2). Такие изменения скелета, возможно, связаны с выявленными дефектами, но могут иметь и самостоятельное значение в виде сопутствующего заболевания пациента Г. – синдрома недифференцированной дисплазии соединительной ткани. У пациента данный синдром характеризуется следующими фенотипическими признаками: торакодиафрагмальным синдромом, включающим в себя деформацию позвоночника (выраженный сколиоз, потребовавший хирургического лечения), синдромом гипермобильности суставов, клапанным синдромом, проявляющимся пролапсом митрального клапана [12].
Рис. 2. Рентгенограммы пациента Г. Транспедикулярная винтовая система для фиксации грудопоясничного отдела позвоночника.
Мультиспиральная КТ черепа пациента позволила увидеть в структуре левой теменной кости костный дефект размером 57х77 мм, закрытый костным трансплантатом без признаков смещения. Однако обращало на себя внимание наличие множественных вставочных костей в швах черепа – кости инков (рис. 3). Кость инков представляет собой вставочную кость, обнаруживаемую по ходу сагиттального и лямбдовидного швов черепа. Они возникают вследствие наличия нескольких центров окостенения чешуи затылочной кости и незарастания швов между ними. Впервые описаны M. Rivero и S. Tschudy в 1851 г. при описании найденных останков в Перу: выявляются у 20% инков. Распространенность в европейской популяции невысока – до 2%. В настоящее время кость инков расценивается как малая аномалия развития, не влияющая на продолжительность жизни пациента [13].
Рис. 3. Данные КТ пациента Г. Примечание. Костный трансплантат в структуре левой теменной кости (слева) и множественные вставочные кости в швах черепа (справа).
Кроме того, проводилась оценка атеросклеротического поражения стенки артерий. Комплекс интима–медиа брахиоцефальных артерий толщиной до 0,5 мм и признаков его локального утолщения не выявлен. Таким образом, значимых гемодинамических сужений не зафиксировано.
Обсуждение
На основании полученных данных решено провести молекулярно-генетическое исследование пациента для подтверждения синдрома Жильбера и СГХС. В результате генетического тестирования обнаружена мутация гена UGT1A1, характеризующаяся увеличением количества ТА-повторов в гомозиготном состоянии (7 повторов). Ген UGT1А1 располагается в длинном плече 2-й хромосомы в районе 2q37.1 [14]. Кроме того, выявлена мутация R3500Q гена АпоВ-100 в области, которая кодирует рецепторсвязывающий домен белка, и представляющая однонуклеотидную замену в кодоне 3500, в результате чего аминокислота аргинин замещается на аминокислоту глутамин (рис. 4, см. на цветной вклейке). Ген, кодирующий АпоВ-100, расположен в коротком плече 2-й хромосомы (2p24-p23). Мутация R3500Q является наиболее частым семейным дефектом. Другие миссенс-мутации, вызывающие СГХС, такие как R3480W, R3500W и R3531C, встречаются значительно реже [15, 16].
Рис. 4. Хромосома 2. Указаны локусы генов выявленных мутаций. Примечание. р24-р23 - сегменты короткого плеча 2-й хромосомы; q37.1 - сегмент длинного плеча 2-й хромосомы.
Согласно рекомендациям Европейского (от 2016 г.) и Российского (от 2017 г.) обществ кардиологов все пациенты с подозрением на СГХС должны быть оценены по Голландским диагностическим критериям (Dutch Lipid Clinic Network Criteria, DLCNC), в основе которых лежит балльная система оценки, и фенотипический диагноз СГХС ставится в зависимости от количества баллов. Критерии DLCN представляют собой набор из 10 вопросов, которые делятся на 5 групп: семейная история (отягощенная наследственность по раннему развитию сердечно-сосудистых заболеваний и гиперхолестеринемия у близких родственников); клиническая история (преждевременная ишемическая болезнь сердца, преждевременная церебральная или периферическая сосудистая болезнь); физическое обследование (наличие сухожильных ксантом и липоидной дуги роговицы); биохимические результаты (ХС и ЛПНП) и молекулярно-генетическое тестирование [17]. Для пациента Г. общая суммарная оценка по голландским критериям составила 13 баллов, что делает диагноз СГХС в данном клиническом случае определенным (табл. 1).
| Таблица 1. Голландские диагностические критерии для диагностики гетерозиготной формы семейной гиперхолестеринемии (DLCNC) | |||
| Критерии | Баллы | ||
| Семейный анамнез | |||
| А. Первая степень родства в сочетании с ранним развитием (мужчины – <55, женщины – <60) патологии коронарных артерий и сосудов | 1 | ||
| В. Первая степень родства в сочетании с уровнем ХС ЛПНП>95 перцентилей для каждого пола и всех возрастов | |||
| и/или | |||
| А. Родственники 1-й степени родства: ксантома сухожилий и/или липоидная дуга роговицы | 2 | ||
| В. Дети младше 18 лет в сочетании с уровнем ХС ЛПНП перцентилей для каждого пола и всех возрастов | |||
| Клинический анамнез | |||
| А. Пациент с ранним развитием патологии коронарных артерий (мужчины и женщины в возрасте <55 и <60 соответственно) | 2 | ||
| В. Пациент с ранним развитием патологии артерий головного мозга или периферических сосудов (мужчины и женщины в возрасте <55 и <60 соответственно) | 1 | ||
| Физикальное обследование | |||
| А. Ксантоматоз сухожилий | 6 | ||
| B. Липоидная дуга роговицы в возрасте <45 лет | 4 | ||
| Лабораторные исследования | |||
| ммоль/л | мг/дл | ||
| А. ХС-ЛПНП | >8,5 | >330 | 8 | 
| B. ХС-ЛПНП | 6,5–8,4 | 250–329 | 5 | 
| С. ХС-ЛПНП | 5,0–6,4 | 190–249 | 3 | 
| D. ХС-ЛПНП | 4,0–4,9 | 155–189 | 1 | 
| Содержание уровня липопротеинов высокой плотности и триглицеридов соответствует норме | |||
| Анализ ДНК | |||
| А. Функциональная мутация гена рецептора к ЛПНП | 8 | ||
| Диагноз гетерозиготной семейной гиперхолестеринемии | |||
| Определенный | >8 | ||
| Вероятный | 6–8 | ||
| Возможный | 3–5 | ||
| Примечание. ХС ЛПНП – ХС в составе ЛПНП. | |||
На основании исследования сформулирован диагноз пациента. Основное заболевание: дислипидемия IIа типа по Фредриксону (мутация R3500Q). Доброкачественная гипербилирубинемия по типу синдрома Жильбера. Сопутствующее заболевание: синдром недифференцированной дисплазии соединительной ткани, для обоснования которого требуются медико-генетическое консультирование и анализ родословной. Пациенту рекомендованы соблюдение принципов здорового питания, дозированные физические нагрузки, исключение употребления алкоголя, уменьшение инсоляции. С целью уменьшения риска развития сердечно-сосудистых заболеваний пациенту назначена терапия гиполипидемическими препаратами (статинами), которая показала положительный эффект (снижение показателей общего ХС и ЛПНП на 32 и 38% соответственно) по результатам анализов крови в динамике (табл. 2).
| Таблица 2. Результаты биохимического анализа крови пациента Г. | ||
| Показатель | При обращении | Через 2 нед | 
| ХС, ммоль/л | 9,09 | 6,24 | 
| Триглицериды, ммоль/л | 1,08 | 1,33 | 
| Липопротеины высокой плотности, ммоль/л | 1,85 | 1,40 | 
| Липопротеины очень низкой плотности, ммоль/л | 0,49 | 0,6 | 
| ЛПНП, ммоль/л | 6,75 | 4,24 | 
| Общий билирубин, мкмоль/л | 22,9 | 24,5 | 
| Прямой билирубин, мкмоль/л | 4,4 | 4,5 | 
Заключение
Демонстрация данного клинического случая интересна тем, что сочетание наследственной гиперхолестеринемии и синдрома Жильбера в клинической практике врача встречается достаточно редко. Актуальными и до конца не выясненными остаются возможные протективные свойства повышенного уровня билирубина и сердечно-сосудистых заболеваний.
Дискутабельным научным вопросом является вероятное наличие у пациента генетически детерминированного состояния – дисплазии соединительной ткани, что при более тщательном сборе анамнеза, анализе родословной, проведении медико-генетического консультирования позволит говорить о сочетании сразу трех наследственных заболеваний у одного пациента.
Ключевая роль принадлежит раннему выявлению, лечению заболевания и доступности генетического тестирования родственников 1-й линии пациентов с СГХС. Долгосрочная терапия больных СГХС значительно снижает или устраняет избыточный риск возникновения ишемической болезни сердца, сохраняющийся в течение всей жизни больного, снижая тем самым риск в общей популяции.
Авторы заявляют об отсутствии конфликта интересов.
About the authors
E. A. Losik
Sechenov First Moscow State Medical University (Sechenov University)
														Email: iryakushina@yandex.ru
				                	ORCID iD: 0000-0002-3528-7983
				                																			                								
м.н., врач-кардиолог
Russian Federation, MoscowI. I. Yakushina
Sechenov First Moscow State Medical University (Sechenov University)
							Author for correspondence.
							Email: iryakushina@yandex.ru
				                	ORCID iD: 0000-0002-6818-0840
				                																			                								
к.м.н., доц. каф.
Russian Federation, MoscowM. R. Skhirtladze
Sechenov First Moscow State Medical University (Sechenov University)
														Email: iryakushina@yandex.ru
				                	ORCID iD: 0000-0002-6946-7771
				                																			                								
к.м.н., зав. отд-нием
Russian Federation, MoscowN. P. Balahonova
Sechenov First Moscow State Medical University (Sechenov University)
														Email: iryakushina@yandex.ru
				                	ORCID iD: 0000-0003-1900-2885
				                																			                								
к.м.н., врач-кардиолог высшей категории
Russian Federation, MoscowV. V. Kerchev
Sechenov First Moscow State Medical University (Sechenov University)
														Email: iryakushina@yandex.ru
				                	ORCID iD: 0000-0001-8023-4410
				                																			                								
врач-ординатор
Russian Federation, MoscowI. A. Garanina
Sechenov First Moscow State Medical University (Sechenov University)
														Email: iryakushina@yandex.ru
				                	ORCID iD: 0000-0003-1135-6558
				                																			                								
студентка
Russian Federation, MoscowReferences
- Watts GF, Gidding S, Wierzbicki AS, et al. Integrated guidance on the care of familial hypercholesterolaemia from the International FH Foundation. Int J Cardiol. 2014;171(3):309-24. doi: 10.1016/j.ijcard.2013.11.025
- Sharifi M, Rakhit RD, Humphries SE, Nair D. Cardiovascular risk stratification in familial hypercholesterolaemia. Heart. 2016;102(13):1003-8. doi: 10.1136/heartjnl-2015-308845
- Marks D, Thorogood M, Neil HA, Humphries SE. A Review on the Diagnosis, Natural History, and Treatment of Familial Hypercholesterolaemia. Atherosclerosis. 2003;168(1):1-14. doi: 10.1016/S0021-9150(02)00330-1
- Innerarity TL, Mahley RW, Weisgraber KH, et al. Familial defective apolipoprotein B-100: a mutation of apolipoprotein B that causes hypercholesterolemia. J Lipid Res. 1990;31(8):1337-49.
- Vítek L. Bilirubin and Atherosclerotic Diseases. Physiol. 2017;66(1):11-20. doi: 10.33549/physiolres.933581
- Schwertner HA, Vitek L. Gilbert syndrome, UGT1A1*28 allele, and cardiovascular disease risk: possible protective effects and therapeutic applications of bilirubin. Atherosclerosis. 2008;198:1-11. doi: 10.1016/j.atherosclerosis.2008.01.001
- Claridge LC, Armstrong MJ, Booth C, et al. Gilbert’s syndrome. BMJ. 2011;342:d2293. doi: 10.1136/bmj.d2293
- Farheen S, Sengupta S, Santra A, et al. Gilbert’s syndrome: High frequency of the (TA) 7 TAA allele in India and its interaction with a novel CAT insertion in promoter of the gene for bilirubin UDP-glucuronosyltransferase 1 gene. World J Gastroenterol. 2006;12(14):2269-75. doi: 10.3748/wjg.v12.i14.2269
- Strassburg CP, Oldhafer K, Manns MP, Tukey RH. Differential expression of the UGT1A locus in human liver, biliary and gastric tissue: identification of UGT1A7 and UGT1A10 transcripts in extrahepatic tissue. Molec Pharm. 1997;52(2):212-20. doi: 10.1124/mol.52.2.212
- Van Es HH, Bout A, Liu J, et al. Assignment of the human UDP glucuronosyltransferase gene (UGT1A1) to chromosome region 2q37. Cytogenet Cell Genet. 1993:63(2);114-6. doi: 10.1159/000133513
- Nordestgaard BG, Chapman MJ, Humphries SE, et al. Familial hypercholesterolaemia is underdiagnosed and undertreated in the general population: guidance for clinicians to prevent coronary heart disease: consensus statement of the European Atherosclerosis Society. Eur Heart J. 2013;34(45):3478-90a. doi: 10.1093/eurheartj/eht273
- Клеменов А.В. Наследственные нарушения соединительной ткани: нерешенные вопросы и дискуссионные проблемы. Мед. вестн. Северного Кавказа. 2016;11(2):358-63 [Klemenov AV. Hereditary connective tissue disorders: unresolved issues and debatable issues. Medicinskij vestnik Severnogo Kavkaza. 2016;11(2):358-63 (In Russ.)]. doi: 10.14300/mnnc.2016.11078
- Hanihara T, Ishida H. Os Incae: Variation In Frequency In Major Human Population Groups. J Anat. 2001;198:137-52. doi: 10.1046/j.1469-7580.2001.19820137.x
- Rauh G, Keller C, Schuster H, et al. Familial defective apolipoprotein B-100: a common cause of primary hypercholesterolemia. Clin Invest. 1992;70:77-84.
- Henderson R, O’Kane M, McGilligan V, Watterson S. The genetics and screening of familial hypercholesterolaemia. J Biomed Sci. 2016;23:39. doi: 10.1186/s12929-016-0256-1
- Chlebus K, Cybulska B, Gruchała M, et al. Prevalence, diagnosis, and treatment of familial hypercholesterolaemia in outpatient practices in Poland. Kardiol Pol. 2018;76(6):960-7. doi: 10.5603/KP.a2018.0053
- Umans-Eckenhausen MA, Defesche JC, Sijbrands EJ, et al. Review of first 5 years of screening for familial hypercholesterolaemia in the Netherlands. Lancet. 2001;357(9251):165-8.
Supplementary files
 
				
			 
					 
						 
						 
				
 
  
  
  Email this article
			Email this article 









