Adrenal incidentaloma. Part 1. Computed tomography of adrenal incidentaloma: the possibilities and difficulties of differential diagnosis
- Authors: Buryakina S.A.1,2, Tarbaeva N.V.1,2, Volevodz N.N.1, Karmazanovsky G.G.2, Kovalevich L.D.1, Shestakova M.V.1, Dedov I.I.1
-
Affiliations:
- Endocrinology Research Centre
- Vishnevsky National Medical Research Centre of Surgery
- Issue: Vol 92, No 12 (2020)
- Pages: 185-194
- Section: Articles
- Submitted: 07.02.2021
- Accepted: 07.02.2021
- Published: 15.12.2020
- URL: https://ter-arkhiv.ru/0040-3660/article/view/60295
- DOI: https://doi.org/10.26442/00403660.2020.12.200451
- ID: 60295
Cite item
Full Text
Abstract
The adrenal incidentaloma is a lesion of a different etiology and found incidentally in patients who underwent a diagnostic study not about the disease of this organ. Lesions can be both hormonally inactive and hormonally active, can arise from different zones of the adrenal gland or have non-specific organ affiliation, can be benign or malignant. Computed tomography characterization of these lesions, especially the differential diagnosis of benign and malignant, is extremely important for the correct diagnosis in order to provide adequate management of the patient. The article presents the key computed tomography criteria that allow radiologist to characterize the lesion most accurately and consider appropriate diagnosis.
Full Text
АКР – адренокортикальный рак
АФ – артериальная фаза
ВФ – венозная фаза
КТ – компьютерная томография
МСКТ – мультиспиральная компьютерная томография
НФ – нативная фаза
ОФ – отсроченная фаза
Введение
Инциденталома надпочечника является достаточно частой находкой при рутинной компьютерной томографии (КТ). Она встречается в 4% наблюдений при рутинном исследовании пациентов с помощью компьютерной томографии (КТ) и занимает важное место в работе отделений КТ [1, 2]. Образования могут быть гормонально неактивными (около 70%), гормонально активными, доброкачественными или злокачественными, могут исходить из надпочечника или иметь неспецифическую органную принадлежность [3]. Основная задача лучевого диагноста – дифференцировать злокачественное и доброкачественное образование надпочечника. Оптимальный алгоритм диагностики до сих пор противоречив, так как достаточно много заболеваний надпочечников имеют сходные КТ-признаки, и порой план дальнейшего ведения пациента после проведенного обследования является «индивидуальным» в каждом отдельном случае. Однако необходимо знать ключевые КТ-признаки наиболее часто встречающихся образований, для того чтобы установить наиболее точный диагноз.
КТ-анатомия надпочечников. Надпочечники – это парные органы, расположенные в забрюшинной жировой клетчатке между листками околопочечной фасции у верхнемедиальной поверхности полюсов почек, по бокам от позвоночного столба, на уровне позвонка Th12 грудного отдела позвоночника. Правый надпочечник расположен кзади от нижней полой вены, медиально от правой доли печени и латерально от правой ножки диафрагмы. Левый надпочечник расположен кзади от селезеночной вены и хвоста поджелудочной железы, частично кпереди и медиально относительно верхнего полюса левой почки и латерально от левой ножки диафрагмы.
Надпочечники состоят из двух слоев, отличающихся друг от друга в эмбриологическом и морфологическом отношении: коркового и мозгового. Корковое вещество считают аденогипофиззависимой эндокринной железой, вырабатывающей минералокортикоидные, глюкокортикоидные и половые гормоны, мозговое вещество – аденогипофизнезависимой железой, отвечающей за секрецию и выработку адреналина и норадреналина.
На аксиальных КТ-изображениях правый надпочечник V-образной формы, левый надпочечник имеет Y- или λ-образную форму. Каждый надпочечник состоит из тела, медиальной и латеральной ножек (рис. 1).
Рис. 1. КТ, НФ, аксиальная проекция. Нормальное изображение надпочечников. Правый надпочечник (тонкая стрелка), левый надпочечник (толстая стрелка).
Толщина ножек, по данным КТ-исследований, в норме, как правило, не превышает 4 мм. Тело – толщиной до 4,5–6 мм.
При выявлении инциденталомы надпочечника в дифференциальный диагноз попадают следующие морфологические варианты заболеваний:
- образования коркового вещества надпочечников: аденома, адренокортикальный рак (АКР), узелковая гиперплазия, гемангиома;
- образования мозгового вещества надпочечников: феохромоцитома, ганглионеврома/нейробластома, первичная меланома;
- другие образования надпочечников: миелолипома, метастазы;
- различные опухоли: тератома, липома, гемангиома, шваннома, гладкомышечные опухоли (лейомиома и лейомиосаркома), ангиосаркома;
- инфекционные, гранулематозные и инфильтративные поражения: амилоидоз, грибковые поражения (гистиоплазмоз, кокцидиомикоз, бластомикоз, туберкулез), саркоидоз, цитомегаловирус;
- кисты: паразитарные, эндотелиальные, эпителиальные, псевдокисты, аденомы с признаками дегенерации;
- лимфома (лимфосаркома);
- врожденная гиперплазия надпочечников;
- кровоизлияния (гематома);
- псевдообразования надпочечников;
- образования почек, селезенки, поджелудочной железы, внеорганные забрюшинные образования;
- сосудистые поражения (аневризмы, извитые селезеночные вены);
- артефакты при проведении КТ-сканирования.
Аденома является доброкачественной опухолью надпочечника и составляет около 80% всех образований надпочечников. Она выявляется у 0,2% пациентов на 2-м десятке жизни и у 7–10% пациентов более старшего возраста [4]. Большинство аденом нефункционирующие, в то время как около 6% обладают функциональной активностью (5% секретируют кортизол, 1% – альдостерон или половые гормоны) [4].
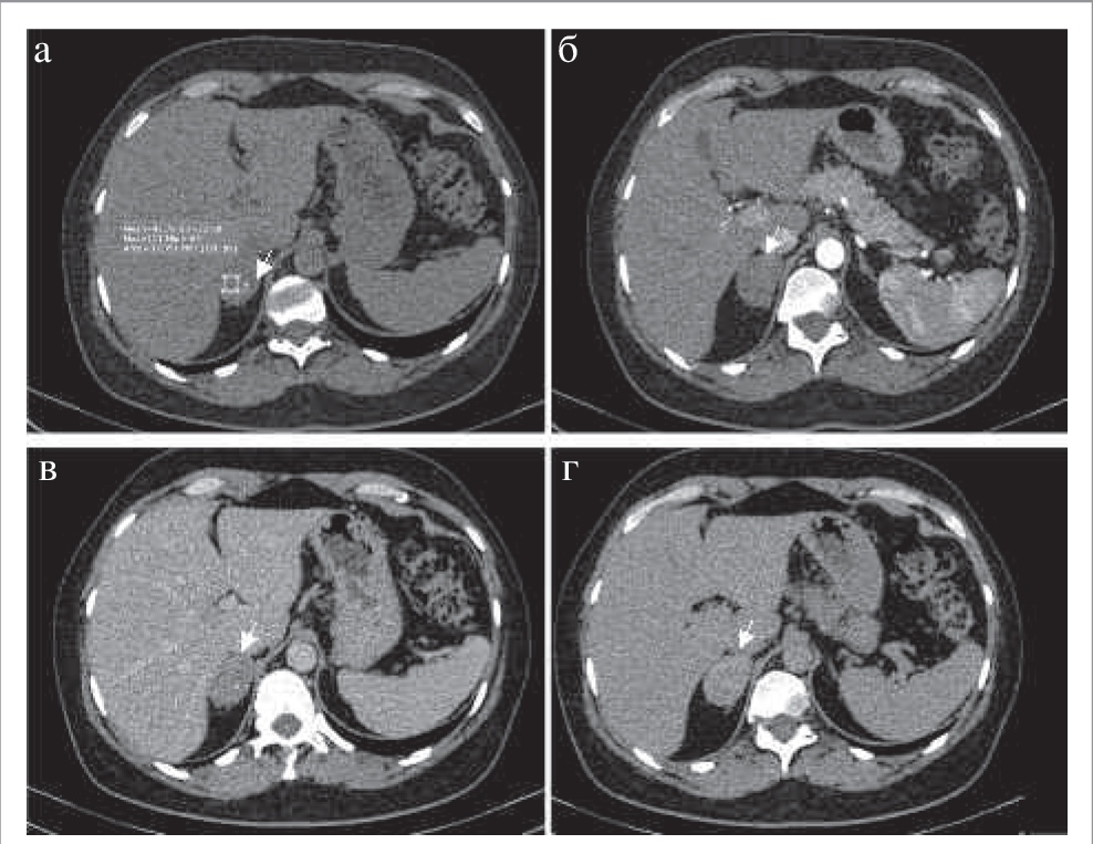
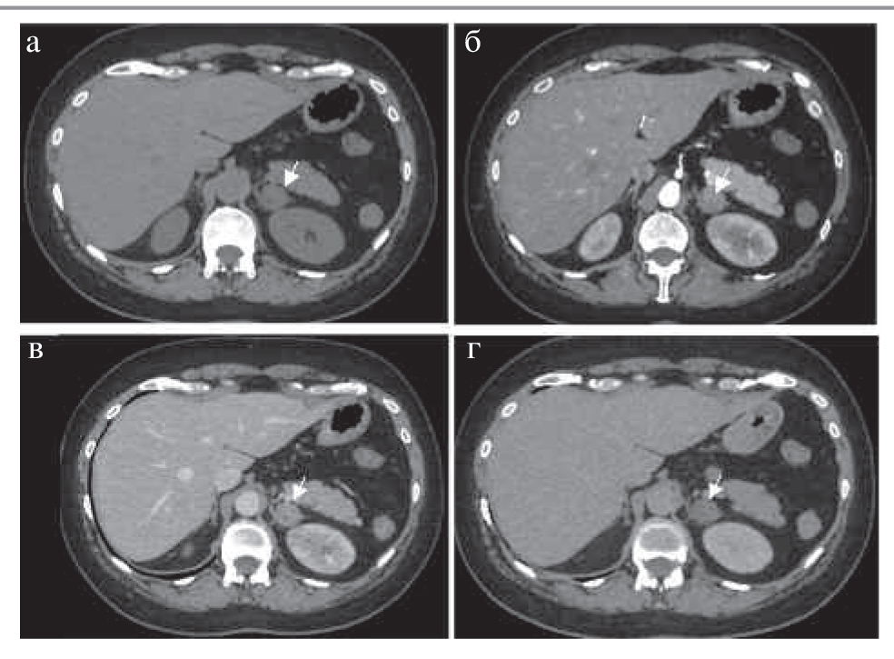
На КТ-изображениях аденомы обычно представляют собой образования с четкими ровными контурами овальной формы, однородной структуры, размером, как правило, менее 3 см. При динамическом наблюдении размер аденом не меняется или увеличивается в пределах нескольких миллиметров в год (рис. 2) [5].
Рис. 2. МСКТ, аксиальная проекция: а – НФ; б – АФ; в – ВФ; г – ОФ. Аденома надпочечника с низким содержанием жира (стрелка). Примечание. МСКТ – мультиспиральная компьютерная томография.
От 10 до 20% аденом расположены одновременно в обоих надпочечниках [6].
При наличии нескольких образований в каждом из надпочечников можно заподозрить у пациента узелковую гиперплазию (макро- или микронодулярную); рис. 3.
Рис. 3. МСКТ, аксиальная проекция, НФ. Узелковая гиперплазия: а – макронодулярная гиперплазия левого надпочечника (стрелка); б – микронодулярная гиперплазия правого надпочечника (стрелка).
В зависимости от количества внутриклеточных жировых включений различают аденомы с высоким содержанием жира (80%) и с низким его содержанием (20%), что проявляется характерной КТ-картиной [7]. Так, аденомы с высоким содержанием жира представлены образованиями плотностью на нативных изображениях до 10–15 ед. Н.
Большой размер, обызвествления в структуре, кровоизлияния или появление жидкостных включений являются редкими КТ-признаками, однако также могут быть выявлены в аденомах [6].
Все аденомы имеют патогномоничное накопление контрастного препарата с быстрым «вымыванием» его после внутривенного болюсного контрастирования, что позволяет дифференцировать аденомы с остальными заболеваниями надпочечников.
Для оценки характера контрастирования в большинстве случаев проводится четырехфазное КТ-сканирование с болюсным введением неионного йодсодержащего контрастного препарата со скоростью 2–4 мл/с, дозой контрастного вещества с концентрацией 300–350 мг йода/мл (60–76%) не менее 1 мл/кг веса тела пациента (лучше – 100–140 мл). Исследование проводят в нативную фазу (НФ), артериальную фазу – АФ (18–25 с после начала введения болюса контрастного препарата или 10 с после достижения пика 100–150 ед. Н на болюс-трекере), венозную фазу – ВФ (55–65 с от начала введения болюса) и отсроченную фазу – ОФ (15 мин после введения контрастного препарата). Для аденом максимальное накопление контрастного препарата в большинстве наблюдений определяется в ВФ. Впервые оценку характера вымывания контрастного препарата в ОФ на различных минутах (от 5 до 15-й) при образованиях надпочечников описали в своей работе M. Korobkin и соавт., где выявили, что наиболее точные результаты получены при измерении плотности образования в ОФ на 15-й минуте [1].
Расчет абсолютного процента вымывания контрастного вещества (APW) и относительного процента вымывания контрастного вещества (RPW) после предварительного измерения плотности образования (HU) во все фазы исследования производится по следующим формулам:
APW=(HU 60 с - HU 10 мин)/(HU 60 с - HU без контраста)×100%;
RPW=(HU 60 с - HU 10 мин)/HU 60 с × 100%.
Если APW более 60% (чувствительность и специфичность 88 и 96% соответственно) и RPW превышает 40% (чувствительность и специфичность 83 и 95% соответственно), объемное образование рассматривается как доброкачественное [2, 8].
Если APW менее 60% и RPW ниже 40%, то это признак, подозрительный на наличие злокачественной природы образования надпочечника [2, 7, 8].
Также ряд авторов предлагали использовать параметры вымывания контрастного препарата после 10-минутной задержки для сокращения времени проведения исследования ввиду высокой загруженности КТ-кабинетов [2, 9]. При этом показатели APW>52,5% и RPW>37,5% считают характерными для аденомы и позволяют дифференцировать ее от «неаденомы». Однако данную методику считают спорной и с клинической точки зрения неоптимальной ввиду более низкой чувствительности данного теста (общая чувствительность и специфичность теста 76,8 и 93,7% соответственно) [9].
Гормонально неактивные аденомы встречаются у 1% здоровых людей и при размерах более 2 см могут оказаться злокачественными [12]. А.В. Араблинский и соавт. уточняют, что объемное образование диаметром более 3 см в 90–95% случаев является злокачественным, а менее 3 см в 78–87% – доброкачественным [10]. В то же время Н.С. Кузнецов и соавт. в своей статье отмечают, что при размере опухоли более 4 см около 25% образований являются злокачественными [5]. Это подтверждается данными зарубежных источников, в которых размер образования 4 см является пограничным и подозрительным на злокачественную природу, что требует дальнейшего дообследования [11, 12].
Миелолипома представляет собой доброкачественное образование надпочечника, состоящее из макроструктурных жировых включений и гемопоэтической ткани. Первоначально она описана E. Gierke в 1905 г. C. Oberling в 1929 г. назвал ее «миелолипоматозным образованием». Обычно это образования размерами от нескольких миллиметров до 4 см с четкими ровными контурами, неоднородной структуры. Для них характерно наличие тонкой псевдокапсулы, возможны обызвествления, обусловленные последствиями кровоизлияний, которые обнаруживаются в 27% случаев [13].
Наличие макроструктурного жира (плотность от -30 до -100 ед. Н) является ключевым признаком в диагностике данного образования [14]. При этом количество жировой и гемопоэтической ткани вариабельно (рис. 4). Обычно миелолипомы асимптомны и являются случайной находкой. Однако возможно появление клинических симптомов при кровоизлиянии или компрессии образованием большого размера прилежащих органов. При КТ-диагностике возможна установка ложноположительного диагноза, так как в редких случаях аденома, АКР и феохромоцитома могут иметь включения макроструктурного жира (рис. 5) [15, 16]. Установка ложноотрицательного диагноза возможна при незначительном количестве жира и преобладании гемопоэтической ткани в опухоли. Кроме того, подобную структуру может иметь и липосаркома, поэтому в случае быстрого увеличения размеров и изменения структуры образования при динамическом КТ-исследовании, а также появления признаков инвазивного роста необходимо заподозрить данное заболевание и выполнить пункционную биопсию с дальнейшим морфологическим исследованием [13].
Рис. 4. МСКТ, аксиальная проекция. Миелолипома правого надпочечника (стрелка). КТ-изображения в аксиальной проекции: а – НФ; б – АФ; в – ВФ; г – ОФ.
Рис. 5. МСКТ, аксиальная проекция. Аденома с признаками липоматозной дистрофии.
Также миелолипомы могут сочетаться с другими образованиями, например аденомой, АКР с формированием коллизионной (от лат. collisio – столкновение) опухоли, что также может вызвать затруднения при установке верного диагноза.
При наличии только макроструктурного жира в образовании, ограниченном тонкой капсулой, следует заподозрить липому.
Кровоизлияние в надпочечник (гематома). Причин кровоизлияния в надпочечник множество, однако основной является физиологический стресс, например шок, сепсис, оперативное вмешательство, гипотензия, венозная гипертензия (тромбоз надпочечниковой или нижней полой вены), антикоагуляция и геморрагические диатезы. У новорожденных кровоизлияние диагностируют чаще по сравнению с детьми более старшего возраста и взрослыми [17]. Острое или подострое кровоизлияние характеризуется наличием высокой плотности (60–90 ед. Н) округлого или овального образования различного размера, не накапливающего контрастный препарат. При динамическом наблюдении размер данного образования уменьшается, а плотность снижается, что обусловлено лизированием гематомы. Через год данное образование может обызвествляться. Для хронической гематомы характерно наличие жидкостного образования с тонкой псевдокапсулой по периферии и кальцинатами в структуре. Двустороннее расположение гематом чаще определяется при системных патологических процессах (шок, сепсис), в то время как одностороннее кровоизлияние чаще является следствием тупой травмы. При этом чаще кровоизлияние обнаруживают в правом надпочечнике, что связано со сдавлением его между печенью и правой почкой.
При обнаружении кровоизлияния в надпочечнике следует тщательно изучить весь надпочечник, так как возможно обнаружение образования, в котором выявлено кровоизлияние (например, аденома, миелолипома, рак).
Феохромоцитома является опухолью, происходящей из хромаффинных клеток мозгового вещества надпочечников, и примерно в 90% случаев секретирует катехоламины, что проявляется повышенным уровнем метанефринов (метаболитов катехоламинов) в сыворотке крови и моче. Опухоли вненадпочечниковой локализации, расположенные в области симпатического ствола, называются параганглиомами. Необходимо помнить о наличии также спинальной параганглиомы (параганглиомы терминальной нити конского хвоста). Большинство опухолей имеет спорадический характер возникновения, однако в 30% случаев они связаны с наследственными заболеваниями, такими как синдром множественной нейроэндокринной неоплазии (2-го типа – у 30–50% пациентов), синдром фон Гиппеля–Ландау (15–20%), нейрофиброматоз 1-го типа (у 1–5% пациентов) и синдром множественного семейного параганглиоматоза — мутация В-субъединицы митохондриального фермента сукцинатдегидрогеназы – SDH (проявляется вненадпочечниковой феохромоцитомой с большей вероятностью злокачественности) или мутация D-субъединицы данного фермента с повышенным риском развития множественных параганглиом [11]. Спорадические феохромоцитомы выявляются чаще у людей в 40–50 лет, в то время как у пациентов более раннего возраста следует подозревать наследственный генез [18].
КТ-картина феохромоцитом имеет различные признаки. Размер может варьировать от 1,2 до 15 см, в среднем около 5 см. Небольшие образования чаще однородны, в то время как более крупные часто неоднородны с участками жидкостной плотности (зонами некроза), зонами кровоизлияний, внутренними перегородками, а также обызвествлениями. Большинство опухолей интенсивно накапливает контрастный препарат в АФ с последующим умеренным его вымыванием к ОФ. Контуры образования, как правило, четкие, ровные за счет наличия капсулы (рис. 6). В редких случаях феохромоцитомы могут иметь включения макроструктурного жира, что также характерно и для миелолипом [16].
Рис. 6. МСКТ, аксиальная проекция: а – НФ; б – АФ; в – ВФ; г – ОФ. Параганглиома (стрелка).
Озлокачествление опухоли наблюдается в 11% случаев у спорадических феохромоцитом и в 35% случаев наследственных феохромоцитом [19]. Выявление метастазов (чаще в костях, лимфатических узлах, легких и печени) подтверждает озлокачествление образования. Следует отметить, что, несмотря на то, что выраженное вымывание контрастного препарата для феохромоцитом нехарактерно, в редких случаях они могут иметь характеристики вымывания, аналогичные аденомам (APW более 60% и RPW более 40%), что затрудняет установку диагноза [16].
Адренокортикальный рак является наиболее частой первичной злокачественной опухолью, исходящей из коркового слоя надпочечника, и составляет менее 5% всех инциденталом [14]. Поражает обычно людей на 1 и 4–5-м десятках лет [12]. Несмотря на то, что большинство раков, так же как и феохромоцитомы, имеет спорадический характер, они могут быть ассоциированы с различными синдромами (синдром Ли–Фраумени, синдром Карнея, синдром Беквита–Видемана, семейный аденоматозный полипоз толстой кишки, множественная нейроэндокринная неоплазия 1-го типа) [12].
Как правило, АКР представляет собой крупное образование (от 2 до 40 см, в среднем 11–12 см) с неровными нечеткими контурами, повышенной плотности (более 10 ед. Н). При болюсном контрастном усилении образование умеренно неоднородно накапливает контрастный препарат со слабым его вымыванием в ОФ. Для данного образования характеры зоны некроза и кровоизлияний, а также кальцинаты, которые встречаются в 30% случаев [20]. При контрастировании возможно обнаружение тонкого капсулоподобного ободка контрастирования (рис. 7) [21]. Необходимо учитывать, что АКР также может быть выявлен в структуре таких доброкачественных образований, как аденомы (в структуре коллизионной опухоли); рис. 8.
Рис. 7. МСКТ, аксиальная проекция. Рак надпочечника. КТ-изображения в аксиальной проекции: а – НФ; б – АФ; в – ВФ; г – ОФ. В теле правого надпочечника определяется овальной формы образование (стрелка) с четкими ровными контурами, неоднородной структуры за счет наличия кальцинатов по периферии.
Рис. 8. МСКТ, аксиальная проекция. Коллизионная опухоль правого надпочечника (рак в структуре аденомы). КТ-изображения в аксиальной проекции: а – НФ; б – АФ; в – ВФ; г – ОФ. В правом надпочечнике определяется округлое образование (стрелка) пониженной плотности с четкими ровными контурами, неоднородной структуры за счет наличия центрально расположенного мягкотканного включения, интенсивно накапливающего контрастный препарат, со слабым его вымыванием в ВФ и ОФ.
Чаще поражается левый надпочечник, в то время как двустороннее поражение встречается менее чем в 10% случаев [20]. Для АКР характерны признаки злокачественности: инвазивный рост с вовлечением окружающих структур и органов или метастазы. Вовлечение почечной вены (9–19% наблюдений) чаще встречается при опухоли правого надпочечника и проявляется распространением опухоли в просвете данной вены, далее в нижней полой вене до правого предсердия [20]. Метастазы наиболее часто поражают легкие, печень, лимфатические узлы и кости.
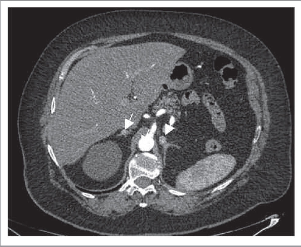
Метастазы являются наиболее частым злокачественным образованием, выявляемым в надпочечниках. При этом надпочечники находятся на 4-м месте по частоте поражения среди остальных органов [22]. Наиболее часто метастазируют в надпочечники меланома, рак молочной железы, легкого, толстой кишки, почки. При аутопсии метастазы в надпочечник обнаруживают у 27% пациентов со злокачественной опухолью [23]. Кроме того, объемное образование надпочечника у пациента со злокачественной опухолью в 50–75% случаев является метастазом [24]. В то же время вероятность диагностики метастазов у пациентов при отсутствии онкологического заболевания в анамнезе крайне низка [11].
КТ-критерии метастатического поражения часто сходны с таковыми при АКР. Для метастазов характеры: нечетко очерченные контуры, высокая плотность образования (более 15 ед. Н), неоднородность структуры, а также слабое вымывание контрастного препарата при болюсном контрастном усилении. Однако небольшие по размеру метастазы могут быть однородными, в то время как атипичные аденомы, наоборот, могут быть неоднородными. Гиперконтрастные метастазы (например, рака почки) следует дифференцировать с феохромоцитомой (рис. 9). Двустороннее поражение надпочечников более характерно для метастазов, чем для аденом (50% против 10–20%) [11]. Кроме того, в отличие от аденом, метастазы значительно быстрее растут при динамическом КТ-контроле через 6 мес.
Рис. 9. Метастазы светлоклеточного рака почки в надпочечники. МСКТ, аксиальная проекция, АФ. Гиперденсные округлые солидные образования в телах обоих надпочечников.
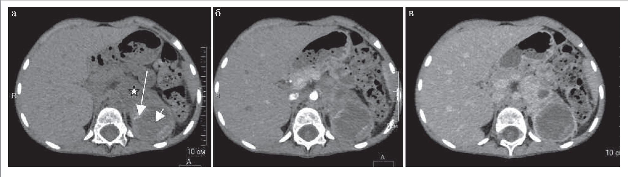
Нейробластома – злокачественная опухоль, возникающая при нарушении эмбриональной закладки симпатической нервной системы. Наиболее часто встречается в детском возрасте (8–10% всех детских онкологических заболеваний, в 15% случаев является причиной детской смерти от онкологического заболевания) [25].
Нейробластомы представляют собой крупные образования неоднородной структуры, чаще поражающие надпочечники, но так же, как и феохромоцитомы, могут быть обнаружены в любом другом месте вдоль симпатического ствола [12]. КТ-картина сходна с АКР и лимфомой (рис. 10). Для нейробластомы характерен выраженный инвазивный рост. Наиболее часто метастазы этой опухоли обнаруживают в печени и костях. Основным заболеванием, с которым следует дифференцировать нейробластому, является нефробластома (опухоль Вильмса). Для нейробластомы характерны наличие кальцинатов, охватывание сосудов без их инвазии, возраст пациентов до 2 лет, нечеткие, неровные контуры и распространение образования в контрлатеральную сторону за пределы срединной линии. Опухоль Вильмса, наоборот, характерна для детей более старшего возраста (3–4 года), имеет более четкие, ровные контуры. Для нее характерны смещение и инвазия сосудов (например, нижней полой вены).
Рис. 10. МСКТ, аксиальная проекция. Нейробластома левого надпочечника. КТ-изображения в аксиальной проекции: а – НФ; б – АФ; в – ВФ. В левом надпочечнике определяется неправильной формы образование с зонами обызвествлений (длинная стрелка) и участками некроза (короткая стрелка). Солидный компонент (звезда) умеренно накапливает контрастный препарат. (Изображения представлены с любезного разрешения д.м.н., проф. А.В. Горбунова и Д.Г. Коваленко, ГБУЗ «Морозовская детская городская клиническая больница» Департамента здравоохранения г. Москвы.)
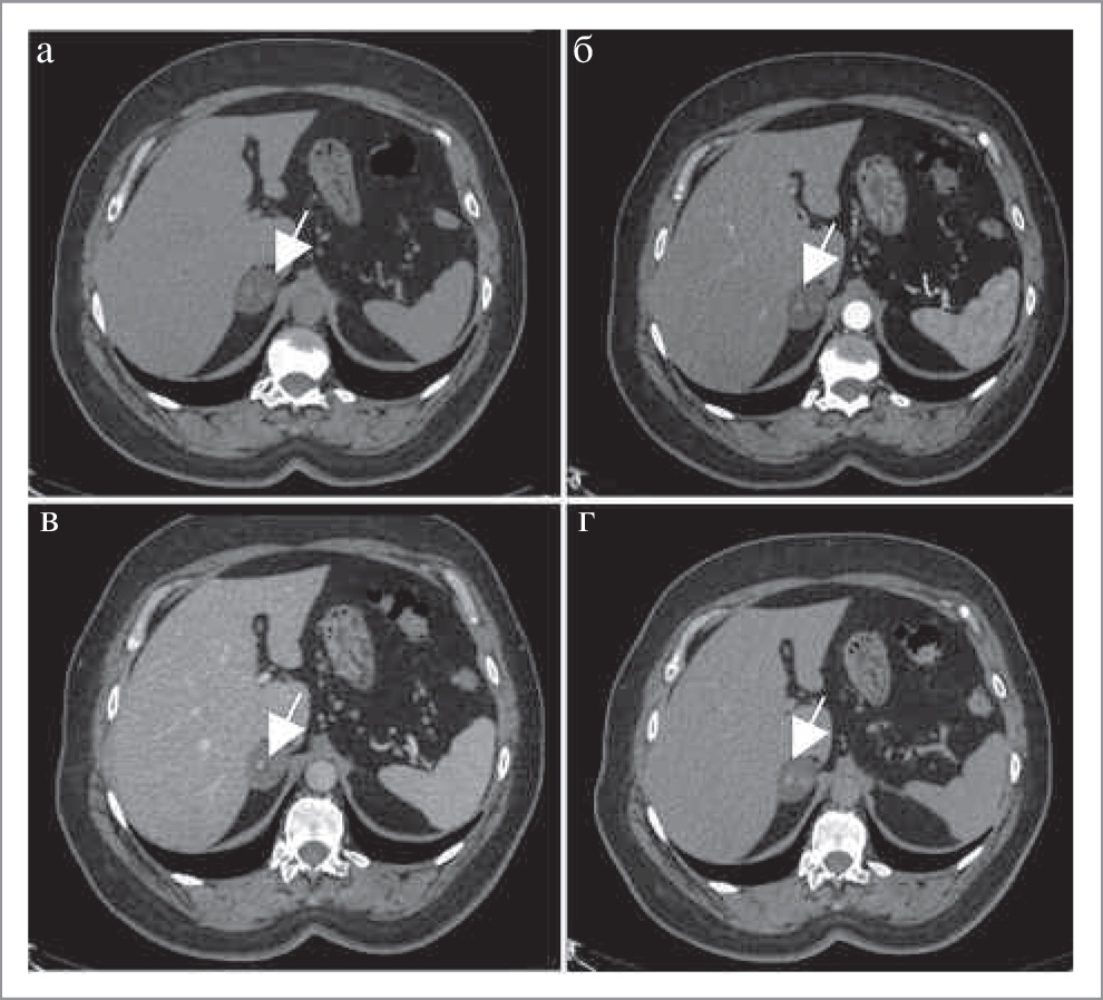
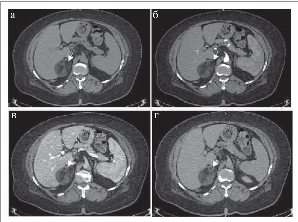
Ганглионеврома является редкой доброкачественной, медленно растущей опухолью, исходящей из клеток нервного гребня симпатической нервной системы, и гистологически состоит из шванновских клеток, ганглионарных клеток и фиброзной стромы. Так же, как и нейробластома, ганглионеврома исходит из ганглионарных клеток, но, в отличие от нее, состоит из зрелых симпатических ганглионарных клеток и не имеет злокачественного потенциала. Наиболее часто поражает детей и подростков, а также людей в возрасте от 40 до 50 лет [26]. В большинстве случаев ганглионевромы расположены в заднем средостении и забрюшинном пространстве и реже – в мозговом веществе надпочечника. Обычно ганглионевромы гормонально неактивны и поэтому асимптомны даже при большом размере, однако некоторые из них секретируют катехоламины и их метаболиты, поэтому представляют собой коллизионные опухоли, сочетающиеся с феохромоцитомой, и редко могут секретировать кортизол и половые гормоны [29]. На КТ-изображениях они выглядят как четко очерченные опухоли овальной формы, с ровными или дольчатыми контурами, низкой плотности, однородной или умеренно неоднородной структуры. На нативных КТ-изображениях плотность составляет около 40 ед. Н. При болюсном контрастном усилении плотность повышается и достигает максимума в ОФ [26]. Размер ганглионевром варьирует от 1 до 22 мм (в среднем 6,2 мм). Кальцинаты, по данным литературы, представлены в 0–29% случаев (рис. 11) [27].
Рис. 11. МСКТ, аксиальная проекция: а – НФ; б – АФ; в – ВФ; г – ОФ. Ганглионеврома правого надпочечника (стрелка).
Шваннома представляет собой доброкачественную опухоль нервной оболочки, которая исходит из шванновских клеток периферических нервов области головы, шеи, верхних и нижних конечностей. Шванномы встречаются с одинаковой частотой как у мужчин, так и у женщин, часто у подростков, а также у взрослых на 3–5-м десятке жизни [28]. Они могут располагаться в забрюшинном и околонадпочечниковом пространствах. Однако шванномы висцеральных органов, особенно надпочечников, редки. Мозговое вещество надпочечников иннервировано диафрагмальными нервами, блуждающим нервом и симпатическим стволом. Считается, что шванномы надпочечников возникают из данных нервов. Несмотря на то, что большинство шванном доброкачественные и гормонально неактивные, злокачественные варианты также встречаются [29]. Злокачественная форма часто сочетается с синдромом Ренклингхаузена или другими формами нейрофиброматоза [28]. T. Hori и соавт. описали случай ретроперитонеальной шванномы, секретирующей катехоламины [30].
На КТ-изображениях шваннома не имеет специфических признаков и представляет собой четко очерченное образование однородной структуры, окруженное тонкой фиброзной капсулой. Для длительно существующих шванном характерна кистозная дегенерация. Кальцинаты, кровоизлияния и гиалинизация также могут быть выявлены при длительном существовании шванном. При контрастном усилении накопление контрастного препарата постепенное, с максимальными плотностными показателями в ОФ [31]. Наиболее сходная КТ-картина у данного образования с ганглионевромами. При наличии кальцинатов, жидкостных включений и кровоизлияний в опухоли ее необходимо дифференцировать с феохромоцитомой и другими злокачественными образованиями, такими как злокачественная фиброзная гистиоцитома и липосаркома.
Тератома – это образование, исходящее из первичных половых клеток, происходящих из эмбриональных плюрипотентных клеток, которые не мигрировали в гонады. В соответствии со степенью зрелости выделяют незрелые, зрелые и злокачественные тератомы. Большинство зрелых тератом доброкачественные и кистозные, поэтому представляют собой дермоидные кисты. Опухоли состоят из нескольких типов клеток, исходящих из различных зародышевых листков (эктодермы, энтодермы, мезодермы), поэтому в структуре могут быть выявлены жир, волосы, зубы и кожа. КТ-картина зависит от преобладания того или иного вида ткани. В надпочечнике тератомы встречаются крайне редко. Большинство опухолей на КТ-изображениях четко очерчены, имеют жировые включения. В структуре возможно наличие уровня «жир–жидкость», а также солидного компонента. Точечные, оскольчатые или линейные кальцинаты представлены чаще в зрелых тератомах. Если плотность выявленных кальцинатов выше плотности кортикального слоя костей пациента, то высоковероятно они являются зубами (рис. 12) [29]. Таким образом, при выявлении жирового, солидного, жидкостного компонентов, а также кальцинатов необходимо думать о тератоме. При выявлении жирового компонента необходимо проводить дифференциальный диагноз с миелолипомой, липомой и липосаркомой (последние две встречаются крайне редко).
Рис. 12. МСКТ во фронтальной проекции. Тератома надпочечника: а – НФ; б – АФ; в – ВФ; г – ОФ. В левом надпочечнике определяется неправильной формы образование (стрелка) с четкими ровными контурами, неоднородной структуры за счет наличия высокой плотности кальцинатов, солидного компонента и включений макроструктурного жира.
Гладкомышечные опухоли (лейомиома и лейомиосаркома). Первичные гладкомышечные опухоли надпочечника встречаются крайне редко (менее 10 наблюдений описано в литературе) [32]. Чаще они встречаются в сочетании с опухолями других локализаций: печени, толстой и тонкой кишки, перикарда, лимфатических узлов. Частота встречаемости опухоли у пациентов со СПИД, а также после трансплантации органов выше. Также установлены наличие повышенного уровня вируса Эпштейна–Барр в клетках опухоли у пациентов со СПИД и отсутствие повышения уровня данного вируса в опухоли у иммунокомпетентных людей [33]. На КТ-изображениях картина образований неспецифична. Она представляет собой четко очерченное образование, неоднородно накапливающее контрастный препарат.
Ангиосаркома надпочечника встречается крайне редко. В литературе описано всего несколько наблюдений. Данное образование не имеет специфических КТ-признаков и представляет собой солидное образование неоднородной структуры, неравномерно интенсивно накапливающее контрастный препарат. В структуре также могут быть выявлены точечные кальцинаты и зоны некроза [34].
Первичная меланома надпочечника. Меланома надпочечника также встречается крайне редко, и основная задача диагностики – это исключить метастатическое поражение надпочечника при меланоме кожи или другой локализации (многослойного плоского эпителия слизистых оболочек, сетчатки глаза). Существование первичной меланомы можно объяснить нейроэктодермальной природой мозгового вещества надпочечника. Гистологически сходные признаки также имеет и феохромоцитома. КТ-признаки меланомы неспецифичны и сходны с другими злокачественными образованиями надпочечника. Поражается, как правило, один надпочечник. Структура образования неоднородна, могут быть выявлены зоны некроза. Кальцинаты нехарактерны, однако могут присутствовать в образовании [34].
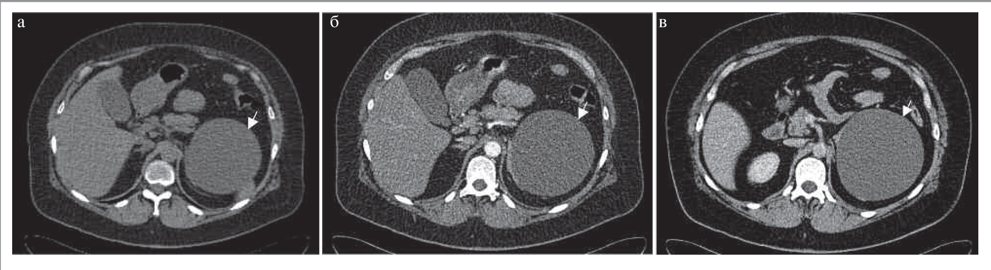
Киста. Кисты надпочечников выявляются крайне редко. В соответствии с гистопатологической картиной выделяют 4 основных типа кист: эндотелиальные, псевдокисты, паразитарные и эпителиальные.
Эндотелиальные (простые) кисты представляют собой жидкостные тонкостенные образования, не накапливающие контрастный препарат, и составляют 45% случаев всех кист надпочечников (рис. 13) [33]. Среди простых кист выделяют лимфангиоматозные (42%) и ангиоматозные кисты (3%) [28, 33]. Чаще данные кисты диагностируются у женщин в среднем в возрасте 39,5 года. Средний размер кист – около 8,85 см. Данные образования являются гормонально неактивными, однако в литературе описаны единичные случаи гиперсекреции гормонов [35]. На КТ-изображениях киста представляет собой одно- (чаще ангиоматозные) или многокамерное (чаще лимфангиомы) образование с тонкими стенками, не накапливающее контрастный препарат (см. рис. 13). В стенках возможно наличие кальцинатов. Плотность содержимого лакун может быть повышенной ввиду наличия кровоизлияний или белкового компонента. Эхинококковая киста, феохромоцитома, нейробластома, шваннома, кистозные метастазы (например, рака молочной железы, яичников), первичная лимфома надпочечника – опухоли, которые могут иметь кистозный компонент, – должны быть включены в дифференциальный ряд.
Рис. 13. МСКТ, аксиальная проекция. Простая киста левого надпочечника (стрелка): а – НФ; б – АФ; в – ВФ.
Псевдокисты (39% случаев) образуются в результате перенесенного инфаркта или кровоизлияния. Несмотря на низкую плотность, они могут иметь фиброзную ткань, толстые стенки, внутренние перегородки и обызвествления в структуре. Обызвествления встречаются чаще в псевдокистах (20%), чем в эндотелиальных кистах (9,5%), преимущественно локализуются в стенках [28].
Паразитарная природа кисты (гидатидная киста при эхинококкозе) составляет около 7% всех кист надпочечников. В зависимости от стадии заболевания может быть либо единичной кистой, либо поликистозным образованием за счет дочерних пузырей, с несколько утолщенными стенками. Внутренние перегородки и кальцинаты в стенках могут быть выявлены при всех заболеваниях. Эпителиальные кисты встречаются еще реже, и дифференциальный диагноз с другими кистозными образованиями надпочечников значительно затруднен ввиду недостаточного количества наблюдений [28]. При обнаружении в солидном образовании жидкостного компонента дифференциальную диагностику следует проводить с кистозными метастазами, феохромоцитомой и раком надпочечника с зонами некроза в структуре. В подобной ситуации необходима оценка клинической картины с учетом анамнеза пациента и анализ КТ-картины в динамике [12].
При неравномерном утолщении стенок и повышении плотности содержимого кисты необходимо заподозрить злокачественную природу образования. Феохромоцитома, нейробластома, шваннома, кистозные метастазы (например, рака молочной железы, яичников), первичная лимфома надпочечника, у которых присутствует кистозный компонент, должны быть включены в дифференциальный ряд.
Гемангиома встречается также крайне редко. В 2 раза чаще наблюдается у женщин. Возраст пациентов составляет от 50 до 70 лет. Гемангиомы являются гормон-непродуцирующими опухолями и чаще всего протекают латентно. Симптомы могут возникнуть при объемном воздействии опухоли на окружающие органы. Гемангиома чаще поражает корковое вещество надпочечника. Опухоль имеет тонкую капсулу, многочисленные полости, расположенные по периферии, которые активно контрастируются при болюсном контрастном усилении. В центре можно выявить зону некроза, фиброза, кальцинаты и участки кровоизлияния. Центрипетальный характер контрастирования, в отличие от гемангиом печени, более редок ввиду чаще возникающих зон некроза и фиброза [34]. Таким образом, наиболее типичными признаками гемангиомы являются контрастирование периферических сосудистых «озер» и наличие флеболитов. Эти признаки также могут выявляться у гемангиобластомы, с которой следует дифференцировать гемангиому [36]. Кроме того, при наличии зоны некроза необходимо проводить дифференциальную диагностику с остальными доброкачественными и злокачественными образованиями надпочечника. При подозрении на гемангиому рекомендовано оперативное вмешательство [34].
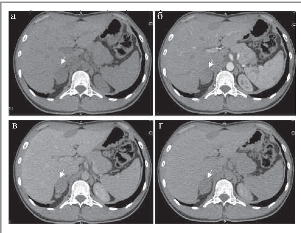
Лимфома. Вторичная лимфома надпочечников, согласно литературным данным, диагностируется в 25% случаев при аутопсии и в 4% случаев по данным КТ у пациентов с неходжкинской лимфомой [11]. В то же время первичная лимфома надпочечников, поражающая только надпочечники, встречается значительно реже (менее 3% случаев лимфом). Наиболее часто поражение двустороннее (70%). Наличие крупных объемных образований в обоих надпочечниках без наличия в анамнезе онкологического заболевания подозрительно на лимфому [37]. Для лимфомы характерно значительное увеличение размеров надпочечников с сохранением их формы [38]. На ранней стадии поражение надпочечников может выглядеть как диффузная гиперплазия. Узловое увеличение характерно при прогрессировании заболевания [39]. КТ-картина представляет собой наличие в надпочечнике образования размером в среднем около 8 см округлой, овальной или узловой формы (рис. 14) [40]. Наличие зон некроза и кистозных компонентов затрудняет дифференциальную диагностику от АКР, метастазов и феохромоцитомы [41]. Характер вымывания контрастного препарата при лимфоме аналогичен злокачественной опухоли.
Рис. 14. Лимфома надпочечника. МСКТ, аксиальная проекция, НФ (стрелка).
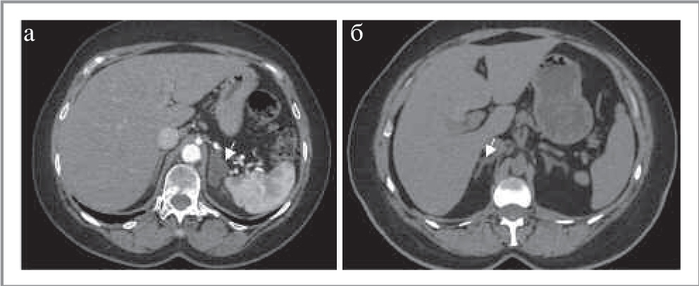
Поражение надпочечника при грибковом и гранулематозном поражении. Туберкулез, гистоплазмоз и другие гранулематозные заболевания часто поражают оба надпочечника. КТ-картина неспецифична и может как включать в себя увеличение надпочечников, так и напоминать мягкотканые образования с наличием кистозного компонента и обызвествлений (рис. 15). КТ-картина острого туберкулезного аденита порой неотличима от саркоидоза, гистоплазмоза, цитомегаловирусного поражения, а также АКР и метастазов. В данной ситуации ключевую роль в верной интерпретации полученных данных играет анамнез пациента. В стадии выздоровления надпочечники выглядят атрофичными с наличием кальцинатов в структуре [33].
Рис. 15. Туберкулез правого надпочечника. МСКТ, аксиальная проекция: а – в структуре диффузно утолщенного правого надпочечника определяются крупные кальцинаты (стрелка); б – диффузная гиперплазия левого надпочечника (стрелка); в – инфильтративные изменения в верхней доле правого легкого: множественные полиморфные очаги с нечеткими контурами, пневматизация легочной ткани в зоне инфильтрации диффузно снижена по типу «матового стекла» (стрелка); по результатам клинического обследования у пациентки диагностирован инфильтративный туберкулез правого легкого.
Амилоидоз. Основным КТ-признаком амилоидоза надпочечника является его выраженное увеличение. Однако данный признак неспецифичен и определяется также при диффузной гиперплазии и различных гранулематозных заболеваниях надпочечников [42].
Заключение
Инциденталомы надпочечников являются относительно частой находкой в брюшной полости и в большинстве случаев являются доброкачественными. Некоторые образования имеют специфические КТ-признаки, другие имеют признаки, совпадающие с различными другими заболеваниями. Поэтому знание особенностей КТ-семиотики доброкачественных и злокачественные заболеваний надпочечников необходимо для повышения точности диагностики и снижения частоты случаев неверной интерпретации изображений.
Авторы заявляют об отсутствии конфликта интересов.
About the authors
S. A. Buryakina
Endocrinology Research Centre; Vishnevsky National Medical Research Centre of Surgery
Author for correspondence.
Email: sburyakina@yandex.ru
ORCID iD: 0000-0001-9065-7791
к.м.н., врач-рентгенолог, врач-рентгенолог
Russian Federation, MoscowN. V. Tarbaeva
Endocrinology Research Centre; Vishnevsky National Medical Research Centre of Surgery
Email: sburyakina@yandex.ru
ORCID iD: 0000-0001-7965-9454
к.м.н., врач-рентгенолог, врач-рентгенолог
Russian Federation, MoscowN. N. Volevodz
Endocrinology Research Centre
Email: sburyakina@yandex.ru
ORCID iD: 0000-0001-6470-6318
д.м.н., проф., зам. дир.
Russian Federation, MoscowG. G. Karmazanovsky
Vishnevsky National Medical Research Centre of Surgery
Email: sburyakina@yandex.ru
ORCID iD: 0000-0002-9357-0998
д.м.н., проф., зав. отд-нием
Russian Federation, MoscowL. D. Kovalevich
Endocrinology Research Centre
Email: sburyakina@yandex.ru
ORCID iD: 0000-0001-8958-8223
врач-рентгенолог
Russian Federation, MoscowM. V. Shestakova
Endocrinology Research Centre
Email: sburyakina@yandex.ru
ORCID iD: 0000-0002-5057-127X
акад. РАН, д.м.н., проф., дир.
Russian Federation, MoscowI. I. Dedov
Endocrinology Research Centre
Email: sburyakina@yandex.ru
ORCID iD: 0000-0002-8175-7886
акад. РАН, д.м.н., проф., дир.
Russian Federation, MoscowReferences
- Korobkin M, Brodeur FJ, Francis IR, et al. CT time attenuation washout curves of adrenal adenomas and nonadenomas. Am J Roentgenol. 1998;170(3):747-52. doi: 10.2214/ajr.170.3.9490968
- Pena CS, Boland GW, Hahn PF, et al. Characterization of indeterminate (lipid-poor) adrenal masses: use of washout characteristics at contrastenhanced CT. Radiology. 2000;217(3):798-802. doi: 10.1148/radiology.217.3.r00dc29798
- Дедов И.И., Мельниченко Г.А. Клинические рекомендации. Инциденталома надпочечников (диагностика и дифференциальная диагностика). Методические рекомендации для врачей первичного звена. М., 2015; с. 1-16 [Dedov II, Melnichenko GA. Clinical recommendations of the adrenal incidentaloma (diagnosis and differential diagnosis). Guidelines for primary care physicians. Moscow, 2015; р. 1-16 (In Russ.)].
- Boland GW, Blake MA, Hahn PF, Mayo-Smith WW. Incidental adrenal lesions: principles, techniques, and algorithms for imaging characterization. Radiology. 2008;249(3):756-75. doi: 10.1148/radiol.2493070976
- Кузнецов Н.С., Бельцевич Д.Г., Ванушко В.Э. и др. Дифференциальная диагностика инциденталом надпочечников. Эндокринная хирургия. 2011;1:5-16 [Kuznetsov NS, Beltsevich DG, Vanushko VE, et al. Differential diagnostics of adrenal incedentaloma. Endocrine surgery. 2011;1:5-16 (In Russ.)]. doi: 10.14341/2306-3513-2011-1-5-16
- Johnson PT, Horton KM, Fishman EK. Adrenal imaging with multidetector CT: evidence-based protocol optimization and interpretative practice. Radiographics. 2009;29(5):1319-31. doi: 10.1148/rg.295095026
- Caoili EM, Korobkin M, Francis IR, et al. Delayed enhanced CT of lipid-poor adrenal adenomas. Am J Roentgenol. 2000;175(5):1411-5. doi: 10.2214/ajr.175.5.1751411
- Caoili EM, Korobkin M, Francis IR, et al. Adrenal masses: characterization with combined unenhanced and delayed enhanced CT. Radiology. 2002;222(3):629-33. doi: 10.1148/radiol.2223010766
- Sangwaiya MJ, Boland GWL, Cronin CG, et al. Incidental adrenal lesions: accuracy of characterization with contrast-enhanced washout multidetector CT-10-minute delayed imaging protocol revisited in a large patient cohort. Radiology. 2010;256(2):504–10. doi: 10.1148/radiol.10091386
- Араблинский А.В., Сидорова Ю.В. Компьютерная и магнитно-резонансная томография в диагностике заболеваний надпочечников. Сибирский онкологический журнал. 2011;2:8-9 [Arablinsky AV, Sidorova YuV. Computer and magnetic resonance tomography in the diagnosis of adrenal diseases. Siberian Journal of Oncology. 2011;2:8-9 (In Russ.)]
- Low G, Dhliwayo H, Lomas DJ. Adrenal neoplasms. Clinical radiology. 2012;67(10):988-1000. doi: 10.1016/j.crad.2012.02.005
- Taffel M, Haji-Momenian S, Nikolaidis P, Miller FH. Adrenal imaging: a comprehensive review. Radiol Clin North Am. 2012;50(2):219-43. doi: 10.1016/j.rcl.2012.02.009
- Дубова Е.А., Щеголев А.И., Кармазановский Г.Г. и др. Миелолипома надпочечника. Медицинская визуализация. 2006;1:22-8 [Dubova EA, Shchegolev AI, Karmazanovsky GG, et al. Mielolipoma adrenal gland. Medical Visualization. 2006;1:22-8 (In Russ.)]
- Cyran KM, Kenney PJ, Memel DS, Yacoub I. Adrenal myelolipoma. Am J Roentgenol. 1996;166(2):395-400. doi: 10.2214/ajr.166.2.8553954
- Johnson PT, Horton KM, Fishman EK. Adrenal mass imaging with multidector CT: pathologic conditions, pearls and pitfalls. Radiographics. 2009;29(5):1333-51. doi: 10.1148/rg.295095027
- Blake MA, Kalra MK, Maher MM, et al. Pheochromocytoma: an imaging chameleon. Radiographics. 2004;24(1):87-99. doi: 10.1148/rg.24si045506
- Chorney E, Rosen A, Lewis S, et al. Radiologic Differentiation of Adrenal Lesions and Its Impact on Patient Management. Contemp Diagnost Radiol. 2016;39(3):1-5.
- Lenders JW, Eisenhofer G, Mannelli M, Pacak K. Phaeochromocytoma. Lancet. 2005;366(9486):665-75. doi: 10.1016/S0140-6736(05)67139-5
- Waguespack SG, Rich T, Grubbs E, et al. A current review of the etiology, diagnosis, and treatment of pediatric pheochromocytoma and paraganglioma. J Clin Endocrinol Metab. 2010;95(5):2023-37. doi: 10.1210/jc.2009-2830
- Bharwani N, Rockall AG, Sahdev A, et al. Adrenocortical carcinoma: the range of appearances on CT and MRI. Am J Roentgenol. 2011;196(6):706-14. doi: 10.2214/AJR.10.5540
- Fishman EK, Deutch BM, Hartman DS, et al. Primary adrenocortical carcinoma: CT evaluation with clinical correlation. Am J Roentgenol. 1987;148(3):531-5. doi: 10.2214/ajr.148.3.531
- Krebs TL, Wagner BJ. MR imaging of the adrenal gland: radiologic-pathologic correlation. Radiographics. 1998;18(6):1425-40. doi: 10.1148/radiographics.18.6.9821192
- Abrams HL, Spiros R, Goldstein N. Metastases in carcinoma; analysis of 1000 autopsied cases. Cancer. 1950;3(1):74-85.
- Lenert JT, Barnett CC Jr, Kudelka AP, et al. Evaluation and surgical resection of adrenal masses in patients with a history of extra-adrenal malignancy. Surgery. 2001;130(6):1060-7. doi: 10.1067/msy.2001.118369
- Park JR, Eggert A, Caron H. Neuroblastoma: biology, prognosis, and treatment. Hematol Oncol Clin North Am. 2010;24(1):65-86. doi: 10.1016/j.hoc.2009.11.011
- Sasaki S, Yasuda T, Kaneto H, et al. Large adrenal ganglioneuroma. Inter Med. 2012;51(17):2365-70.
- Linos D, Tsirlis T, Kapralou A, et al. Adrenal ganglioneuromas: incidentalomas with misleading clinical and imaging features. Surgery. 2011;149(1):99-105. doi: 10.1016/j.surg.2010.03.016
- Guo YK, Yang ZG, Li Y, et al. Uncommon adrenal masses: CT and MRI features with histopathologic correlation. Eur J Radiol. 2007;62(3):359-70. doi: 10.1016/j.ejrad.2006.12.011
- Garcia G, Anfossi E, Prost J, et al. Benign retroperitoneal schwannoma: report of three cases. Prog Urol. 2002;12(3):450-3.
- Hori T, Yamagiwa K, Yagi S, et al. Noradrenalin-secreting retroperitoneal schwannoma resected by hand-assisted laparoscopic surgery: report of a case. Surg Today. 2006;36(12):1108–13. doi: 10.1007/s00595-006-3304-8
- Liu QY, Gao M, Li HG, et al. Juxta-adrenal schwannoma: dynamic multi-slice CT and MRI findings. Eur J Radiol. 2012;81(4):794-9. doi: 10.1016/j.ejrad.2011.01.082
- Rosenfeld DL, Girgis WS, Underberg-Davis SJ. Bilateral smoothmuscle tumors of the adrenals in a child with AIDS. Pediatr Radiol. 1999;29(5):376-8. doi: 10.1007/s002470050611
- Lerttumnongtum P, Muttarak M, Visrutaratna P, Ya-In C. Imaging features of unusual adrenal masses. Australias Radiol. 2004;48(2):107-13. doi: 10.1111/j.1440-1673.2004.01268.x
- Otal P, Escourrou G, Mazerolles C, et al. Imaging features of uncommon adrenal masses with histopathologic correlation. Radiographics. 1999;19(3):569-81. doi: 10.1148/radiographics.19.3.g99ma07569
- Michalopoulos N, Laskou S, Karayannopoulou G, et al. Adrenal Gland Lymphangiomas. Indian J Surg. 2015;77(3):1334-42. doi: 10.1007/s12262-015-1206-y
- Vargas AD. Adrenal hemangioma. Urology. 1980;16(4):389-90.
- Li Y, Sun H, Gao S, Bai R. Primary bilateral adrenal lymphoma: two case reports. J Comput Assist Tomogr. 2006;30(5):791-3. doi: 10.1097/01.rct.0000216112.15564.0c
- Guo YK, Yang ZG, Li Y, et al. Uncommon adrenal masses: CT and MRI features with histopathologic correlation. Eur J Radiol. 2007;62(3):359-70. doi: 10.1016/j.ejrad.2006.12.011
- Hussain HK, Korobkin M. MR imaging of the adrenal glands. Magn Reson Imaging Clin N Am. 2004;12(3):515-44. doi: 10.1016/j.mric.2004.03.008
- Aziz SA, Laway BA, Rangreze I, et al. Primary adrenal lymphoma: differential involvement with varying adrenal function. Indian J Endocrinol Metab. 2011;15(3):220-3. doi: 10.4103/2230-8210.83414
- Kato H, Itami J, Shiina T, et al. MR imaging of primary adrenal lymphoma. Clin Imaging. 1996;20(2):126–8.
- Kawashima A, Alleman WG, Takahashi N, et al. Imaging evaluation of amyloidosis of the urinary tract and retroperitoneum. Radiographics. 2011;31(6):1569-82. doi: 10.1148/rg.316115519
Supplementary files
































