Редкий клинический случай больной с наследуемой легочной гипертензией на фоне болезни Ослера–Вебера–Рандю. Клиническое наблюдение
- Авторы: Каспарова А.М.1, Валиева З.С.1, Мартынюк Т.В.1,2
-
Учреждения:
- ФГБУ «Национальный медицинский исследовательский центр кардиологии им. акад. Е.И. Чазова» Минздрава России
- ФГАОУ ВО «Российский национальный исследовательский медицинский университет им. Н.И. Пирогова» Минздрава России
- Выпуск: Том 94, № 4 (2022)
- Страницы: 538-543
- Раздел: Клинические наблюдения
- Статья получена: 04.03.2021
- Статья опубликована: 26.05.2022
- URL: https://ter-arkhiv.ru/0040-3660/article/view/62592
- DOI: https://doi.org/10.26442/00403660.2022.04.201453
- ID: 62592
Цитировать
Полный текст
Аннотация
В статье описан редкий клинический случай пациентки с легочной гипертензией на фоне наследственной геморрагической телеангиоэктазии и обсуждаются вопросы выбора тактики лечения у данной категории больных. Представленное клиническое наблюдение интересно тем, что первоначально у пациентки выявлена легочная гипертензия, а уже впоследствии подтверждена ее наследственная природа и диагностирована болезнь Ослера–Вебера–Рандю.
Полный текст
Список сокращений
ВПС – врожденные пороки сердца
ДЗЛА – давление заклинивания в легочной артерии
ДЛА – давление в легочной артерии
ИЛГ – идиопатическая легочная гипертензия
ЛА – легочная артерия
ЛАГ – легочная артериальная гипертензия
ЛГ – легочная гипертензия
ЛСС – легочное сосудистое сопротивление
НГТ – наследственная геморрагическая телеангиоэктазия
ПЖ – правый желудочек
ПП – правое предсердие
СЗСТ – системные заболевания соединительной ткани
ТФР-β – трансформирующий фактор роста β
BMPR2 (bone morphogenic protein receptor-2) – рецепторы 2-го типа белка костного морфогенеза
BNP (Brain Natriuretic Peptide) – мозговой натрийуретический пептид
Наследуемая легочная артериальная гипертензия в структуре 1-й группы
Легочная артериальная гипертензия (ЛАГ) – это тяжелое прогрессирующее заболевание с неблагоприятным прогнозом, прекапиллярная форма легочной гипертензии (ЛГ), которая характеризуется повышением среднего давления в легочной артерии (ЛА) ≥25 мм рт. ст., легочного сосудистого сопротивления (ЛСС) более 3 единиц по Вуду и нормальным значением давления заклинивания в ЛА – ДЗЛА (≤15 мм рт. ст.) в покое по данным катетеризации правых отделов сердца (при отсутствии других причин прекапиллярной ЛГ). Группа ЛАГ включает в себя идиопатическую ЛГ (ИЛГ), наследуемую ЛГ, ЛГ, индуцированную приемом лекарств и токсинов, а также ассоциированные формы вследствие наличия системных заболеваний соединительной ткани (СЗСТ), портальной гипертензии, ВИЧ-инфекции, врожденных пороков сердца – ВПС (табл. 1) [1, 2].
Таблица 1. Классификация ЛГ / Table. 1. Сlassification of pulmonary hypertension
Классификация ЛАГ (1-я группа) |
1.1. Идиопатическая |
1.2. Наследуемая |
1.2.1. BMPR2 |
1.2.2. Другие |
1.3. Индуцированная приемом лекарств и токсинов |
1.4. Ассоциированная: |
1.4.1. СЗСТ |
1.4.2. ВИЧ-инфекции |
1.4.3. Портальная гипертензия |
1.4.4. ВПС (системно-легочные шунты) |
1.4.5. Шистосомоз |
1'. Легочная веноокклюзионная болезнь и/или легочный капиллярный гемангиоматоз |
1'.1. Идиопатическая |
1'.2. Наследуемая |
1'.2.1. EIF2AK4 |
1'.2.2. Другие |
1'.3. Индуцированная приемом лекарств и токсинов |
1'.4. Ассоциированная: |
1'.4.1. СЗСТ |
1'.4.2. ВИЧ-инфекция |
По данным российского регистра, среди пациентов с различными формами ЛГ на долю ЛАГ приходится 67%. В спектре 1-й группы наиболее часто отмечаются ИЛГ (41,5%), ЛАГ-ВПС (36%) и ЛАГ-СЗСТ (19,5%). Доля наследуемой ЛАГ в 2013 г. составила 1%, в настоящее время – 0,4% (100% женщины) [3, 4].
При наследственных формах ЛАГ имеют место семейные случаи заболевания и/или выявляются мутации определенных генов при проведении генетического тестирования. Наиболее частая мутация (примерно 80% случаев) – в гене, кодирующем рецепторы 2-го типа белка костного морфогенеза (bone morphogenic protein receptor-2 – BMPR2), который принадлежит к семейству трансформирующих факторов роста β (ТФР-β) и наследуется по аутосомно-доминантному типу с неполной пенетрацией. В 5% случаев выявляются мутации генов, относящихся к суперсемейству ТФР-β: активин-подобной киназы (ALK1) или эндоглина (ENG), а также Smad9. В последние годы обнаружены еще 2 мутации генов: CAV1 (кавеолин-1), кодирующий мембранный белок эндотелиальных клеток, и KCNK3, кодирующий белок калиевых каналов [5, 6].
Согласно последним исследованиям риск развития ЛАГ у BMPR2-носителей мутации в течение жизни составляет 10–20% [7].
В качестве примера, иллюстрирующего наследуемую ЛГ на фоне болезни Ослера–Вебера–Рандю, представляется следующее клиническое наблюдение.
Клиническое наблюдение
Больная К. 60 лет в августе 2018 г. поступила в отделение ЛГ и заболеваний сердца ФГБУ «НМИЦ кардиологии им. акад. Е.И. Чазова» с жалобами на одышку при умеренной физической нагрузке (при подъеме на 2-й этаж), периодические носовые кровотечения и отеки нижних конечностей.
Из анамнеза известно, что первые клинические проявления заболевания пациентка отметила в возрасте 30 лет, когда появились множественные телеангиоэктазии на коже лица и слизистой оболочке ротовой полости. Примерно через 5 лет больную стали беспокоить непрерывно рецидивирующие носовые кровотечения. У ревматологов пациентка не консультировалась, лечения не получала.
С апреля 2017 г. больная отметила появление одышки при умеренной физической нагрузке. При проведении эхокардиографии в том же году впервые выявлены признаки ЛГ.
В сентябре 2017 г. пациентка госпитализирована по месту жительства. По результатам эхокардиографии: сердечное давление в ЛА (ДЛА) – 125 мм рт. ст, правое предсердие (ПП) – 6,3×5,3 мм, конечно-диастолический объем правого желудочка (ПЖ) – 125 мм, ствол ЛА – 25 мм. Выполнена катетеризация правых отделов сердца, по результатам которой подтверждена ЛГ: среднее ДЛА – 79 мм рт. ст. (систолическое ДЛА – 117 мм рт. ст., диастолическое ДЛА – 38 мм рт. ст.). С целью оценки вазореактивности легочных сосудов проводилась острая фармакологическая проба, которая оказалась отрицательной. Пациентке выставлен диагноз ИЛГ, рекомендована терапия бозентаном 125 мг 2 раза в сутки, Кардиомагнилом 75 мг/сут. В связи с явлениями недостаточности кровообращения также проводилась терапия торасемидом 10 мг, Верошпироном 50 мг/сут. В дальнейшем больная самостоятельно отменила Кардиомагнил (в связи с частыми носовыми кровотечениями).
С сентября 2017 г. в общем анализе крови стала выявляться анемия (снижение уровня гемоглобина минимально до 60 г/л), сопровождающаяся выраженной общей слабостью. Снижение гемоглобина расценено как побочное действие бозентана, в связи с чем препарат заменен на силденафил в дозе 60 мг/сут. На фоне приема препаратов железа и отмены бозентана наблюдалось повышение уровня гемоглобина до 143 г/л, пациентка отметила некоторое улучшение состояния.
В июле 2018 г. пациентка обратилась в консультативно-диагностическое отделение ФГБУ «НМИЦ кардиологии им. акад. Е.И. Чазова», где впервые установлен диагноз «болезнь Ослера–Вебера–Рандю». В августе 2018 г. пациентка госпитализирована в ФГБУ «НМИЦ кардиологии им. акад. Е.И. Чазова».
Из семейного анамнеза известно, что у отца больной отмечались схожие проявления (множественные телеангио- эктазии на коже и слизистых оболочках), умер в возрасте 70 лет (причина смерти неизвестна). У пациентки единственный сын, который практически здоров. Клинические признаки наследственной геморрагической телеангиоэктазии (НГТ) у сына отсутствуют. При физикальном осмотре при поступлении – пациентка избыточного питания (индекс массы тела 43 кг/м2), обращали на себя внимание множественные телеангиоэктазии на коже лица (нижняя губа, щеки), тела (преимущественно на передней грудной стенке; рис. 1) и конечностей (кончики пальцев; рис. 2), на слизис- той оболочке полости рта и языке (рис. 3); отмечались отеки стоп и нижней трети голеней. При аускультации сердца определялись акцент II тона над ЛА и систолический шум в области аускультации трикуспидального клапана.
Рис. 1. Телеангиоэктазии на передней грудной стенке. / Fig. 1. Telangiectasias on the anterior chest wall.
Рис. 2. Телеангиоэктазии на кончиках пальцев. / Fig. 2. Telangiectasias at the fingertips.
Рис. 3. Телеангиоэктазии на языке. / Fig. 3. Telangiectasia on the tongue.
На электрокардиограмме при поступлении зарегистрирован синусовый ритм с частотой сердечных сокращений 89 уд/мин, отклонение электрической оси сердца влево, P-pulmonale, признаки гипертрофии ПЖ (рис. 4).
Рис. 4. Электрокардиография больной при поступлении. / Fig. 4. Electrocardiography of the patient on admission.
В анализах крови при госпитализации: эритроциты – 4,84×1012/л, гемоглобин – 12,61 г/дл. Обращало на себя внимание снижение уровня железа крови до 6,3 мкмоль/л, повышение уровня мозгового натрийуретического пептида (BNP) до 309,1 пг/мл.
При проведении пульсоксиметрии средняя сатурация кислородом (SpO2) составила 92,5%.
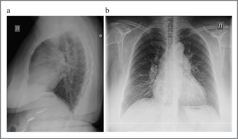
По данным проведенной рентгенографии органов грудой клетки выявлены увеличение правых отделов сердца и высокая артериальная легочная гипертензия [коэффициент Мура – 7,5 мм (при норме от 0 до 1 мм), коэффициент Люпи – 39% (норма до 33%), нисходящая ветвь правой ЛА 21 мм (норма <15 мм), левая ЛА – 31 мм (норма <24 мм)]; рис. 5.
Рис. 5. Рентгенография органов грудной клетки больной: а – левая боковая проекция; b – прямая проекция. / Fig. 5. X-ray of the patient's chest: a – left lateral projection; b – direct projection.
По результатам эхокардиографии выявлено расширение правых камер сердца с признаками перегрузки ПЖ давлением, расширение ствола ЛА и ее ветвей, гипертрофия миокарда ПЖ, сердечное давление в ЛА – 100 мм рт. ст., ДЗЛА (по тканевой миокардиальной допплерэхокардиографии) – 11 мм рт. ст., недостаточность трикуспидального клапана 2–3-й степени, клапана ЛА 1-й степени (табл. 2).
Таблица 2. Показатели эхокардиографии у пациентки при поступлении в стационар / Table 2. Echocardiographic parameters in a patient at admission to hospital
Показатель | Значение | Норма |
ПП, см2 | 25 | <18 |
Переднезадний размер ПЖ, см | 3,5 | <2,9 |
Апикальный размер ПЖ, см | 4,9 | <4,2 |
TAPSE, см | 1,9 | ≥1,7 |
Ствол ЛА, см | 3,0 | <2,5 |
Правая ветвь ЛА, см | 1,8 | <1,5 |
Левая ветвь ЛА, см | 1,8 | <1,5 |
Нижняя полая вена, см | 2,3 | – |
Систолическое давление в ЛА, мм рт. ст. | 100 | <30 |
ДЗЛА, мм рт. ст. | 11 | <12 |
Регургитация на трикуспидальном клапане, степень | 2–3 | – |
Регургитация на клапане ЛА, степень | 1 | – |
Пройденная дистанция в тесте 6-минутной ходьбы составила 290 м, одышка по Боргу – 4 балла. SpO2 до теста – 95%, после теста – 93%.
Для оценки параметров центральной гемодинамики проведена катетеризация правых отделов сердца: ДЛА (систолическое/диастолическое/среднее) – 107/49/72 мм рт. ст., давление ПП (систолическое/диастолическое/среднее) – 23/20/19 мм рт. ст., давление ПЖ (систолическое/диастолическое/среднее) – 110/23/28 мм рт. ст., ДЗЛА (среднее из 3 систолических) – 17 мм рт. ст., SaO2 – 94%, SvO2 – 68%, сердечный выброс – 5,9 л/мин, сердечный индекс – 2,7 л/мин×м2, ударный объем (УО) – 74,0 мл, ЛСС (PVP) – 745,8 дин×с/см5, индекс ЛСС – 1625,8 дин×с/м2/см5 (табл. 3).
Таблица 3. Результаты катетеризации правых отделов сердца / Table 3. Results of right heart catheterization
Показатель | Значение | Норма |
Давление в ЛА (систолическое/диастолическое/среднее), мм рт. ст. | 107/49/72 | 15–30/3–12/10–25 |
Давление в ПП (систолическое/диастолическое/среднее), мм рт. ст. | 23/20/19 | 2–7/2–7/1–5 |
Давление в ПЖ (систолическое/диастолическое/среднее), мм рт. ст. | 110/23/28 | 15–30/0–8 |
ДЗЛА, мм рт. ст. | 17 | 5–12 |
Сердечный выброс, л/мин | 5,9 | 4–8 |
Сердечный индекс, л/мин×м2 | 2,7 | 2,6–4,6 |
ЛСС, дин×с/см5 | 745,8 | 80–240 |
Индекс ЛСС, дин×с/м2/см5 | 1625,8 | 700–1600 |
SvO2, % | 68 | 67–75 |
Таким образом, по данным проведенного комплексного обследования сделан вывод, что ЛГ у данной больной носит наследственный характер и связана с болезнью Ослера– Вебера–Рандю. Пациентке выставлен следующий диагноз: наследуемая ЛГ; функциональный класс III (Всемирная организация здравоохранения); болезнь Ослера–Вебера–Рандю; легочное сердце: относительная недостаточность трикуспидального клапана 3-й степени; хроническая сердечная недостаточность IIА стадии; ожирение 3-й степени.
Принимая во внимание наличие комбинированной пост- и прекапиллярной ЛГ (по данным катетеризации правых отделов сердца ДЗЛА 17 мм рт. ст.), эскалация ЛАГ-специ- фической терапии в данном случае сопряжена с высоким риском развития отека легких. Учитывая положительный эффект от приема силденафила в дозе 60 мг/сут, больной рекомендовано продолжить данную терапию в комбинации с активной диуретической терапией торасемидом 10–25 мг/сут и спиронолактоном 50 мг/сут. В связи со снижением концентрации гемоглобина в эритроцитах и уровня сывороточного железа наряду с пограничным уровнем гемоглобина (12,61 г/дл) рекомендованы терапия препаратами железа и регулярный контроль анализов крови. Принимая во внимание генез заболевания, назначение антиагрегантов и антикоагулянтов противопоказано.
При проведении контрольного неинвазивного обследования пациентки через 12 мес на фоне проводимой терапии – состояние без существенной динамики. Повторные госпитализации отсутствовали, продолжена рекомендованная ранее терапия.
Обсуждение
Болезнь Ослера–Вебера–Рандю (НГТ) – наследственное заболевание с аутосомно-доминантным типом наследования, характеризующееся появлением множественных телеангиоэктазий на коже, слизистых и серозных оболочках, наличием артериовенозных мальформаций, шунтов и аневризм сосудов внутренних органов, преимущественно головного мозга, печени и легких [8]. Образование патологических сосудистых структур возможно на протяжении всей жизни больного. Клинические проявления зависят от локализации и размеров сосудистых аномалий.
Согласно имеющимся данным развитие ЛГ при НГТ происходит примерно в 15–20% случаев.
Механизм развития ЛГ на фоне болезни Ослера– Вебера–Рандю до конца неизвестен. Имеются сведения о возникновении как посткапиллярной, так и прекапиллярной ЛГ на фоне НГТ. Считается, что прекапиллярная ЛГ близка по механизму развития к ИЛГ. В основе патогенеза посткапиллярной формы заболевания лежат артериове- нозные мальформации и шунты в печени, которые выявляются, по разным источникам, у 32–78% пациентов [9]. Данные аномалии приводят к увеличению объема циркулирующей крови, повышению венозного возврата к сердцу (пред- нагрузки) и в конечном итоге служат причиной развития хронической сердечной недостаточности.
При болезни Ослера–Вебера–Рандю в большинстве случаев выявляются мутации генов, кодирующих рецепторы ENG в хромосоме 9 или рецепторы ALK1 в хромосоме 12 [10, 11]. Как говорилось выше, ENG и ALK1 входят в суперсемейство ТФР-β.
Для постановки диагноза в клинической практике используются критерии Curasao (1999 г.):
- спонтанные рецидивирующие носовые кровотечения;
- множественные телеангиоэктазии на коже, слизистых и серозных оболочках;
- артериовенозные мальформации, шунты и аневризмы сосудов внутренних органов, преимущественно головного мозга, печени и легких;
- семейный анамнез (наличие родственника 1-й линии родства с подтвержденным диагнозом НГТ) [12].
Считается, что клинически диагноз может быть подтвержден при наличии любых трех критериев; при выявлении двух критериев диагноз является возможным, при определении лишь одного критерия НГТ маловероятна.
В связи с редкостью заболевания и скрытым течением часто длительное время правильный диагноз пациентам не выставляется, хотя заподозрить заболевание возможно при тщательном сборе семейного анамнеза, оценке жалоб пациента и данных физикального осмотра.
Лечение пациентов с разными формами ЛГ при НГТ кардинально различается между собой. Согласно данным единичных наблюдений пациенты с прекапиллярной ЛГ на фоне НГТ клинически неотличимы от пациентов с ИЛГ. Учитывая отсутствие долгосрочных наблюдений пациентов с наследуемой ЛГ на фоне болезни Ослера–Вебера–Рандю, получающих ЛАГ-специфическую терапию, четкие рекомендации для лечения данной группы больных отсутствуют.
Всем пациентам с ЛГ на фоне НГТ назначается симптоматическая терапия (диуретическая терапия, лечение анемии, антиаритмические и гипотензивные препараты). Так как пациенты с ЛГ высокочувствительны даже к незначительному снижению уровня гемоглобина, необходим строгий контроль общего анализа крови.
Редкие публикации клинических случаев пациентов с прекапиллярной ЛГ на фоне НГТ показывают, что назначение ЛАГ-специфической терапии данной группе пациентов приводило к улучшению гемодинамических параметров и увеличению дистанции в тесте 6-минутной ходьбы [13]. В литературе описано несколько успешных наблюдений пациентов на терапии бозентаном. Однако при непереносимости бозентана применение других групп препаратов при прекапиллярной ЛГ не описано.
При посткапиллярной ЛГ назначение ЛАГ-специфи- ческой терапии сопряжено с высоким риском осложнений в виде отека легких. Основой лечения таких пациентов является симптоматическая терапия. Хирургическое лечение пациентов с артериовенозными мальформациями и шунтами в печени, связанное с перевязкой или эмболизацией печеночной артерии, не рекомендуется в связи с высоким риском осложнений (в первую очередь кровотечений) и высокой смертностью [9].
Заключение
Вашему вниманию представлен редкий клинический случай больной с ЛГ на фоне болезни Ослера–Вебера–Рандю. Четкие рекомендации по лечению данной категории пациентов на сегодняшний день отсутствуют. Всем пациентам с НГТ рекомендован скрининг на наличие ЛГ. Выбор тактики лечения индивидуален и зависит от конкретного случая.
Раскрытие интересов. Авторы декларируют отсутствие явных и потенциальных конфликтов интересов, связанных с публикацией настоящей статьи.
Disclosure of interest. The authors declare that they have no competing interests.
Вклад авторов. Авторы декларируют соответствие своего авторства международным критериям ICMJE. Все авторы в равной степени участвовали в подготовке публикации: разработка концепции статьи, получение и анализ фактических данных, написание и редактирование текста статьи, проверка и утверждение текста статьи.
Authors’ contribution. The authors declare the compliance of their authorship according to the international ICMJE criteria. All authors made a substantial contribution to the conception of the work, acquisition, analysis, interpretation of data for the work, drafting and revising the work, final approval of the version to be published and agree to be accountable for all aspects of the work.
Источник финансирования. Авторы декларируют отсутствие внешнего финансирования для проведения исследования и публикации статьи.
Funding source. The authors declare that there is no external funding for the exploration and analysis work.
Информированное согласие на публикацию. Пациент подписал форму добровольного информированного согласия на публикацию медицинской информации и фотографий (16.08.2018).
Consent for publication. Written consent was obtained from the patient for publication of relevant medical information and all of accompanying images within the manuscript and photos (08/16/2018).
Об авторах
Анна Михайловна Каспарова
ФГБУ «Национальный медицинский исследовательский центр кардиологии им. акад. Е.И. Чазова» Минздрава России
Автор, ответственный за переписку.
Email: annakasparova@mail.ru
ORCID iD: 0000-0002-2935-481X
врач-кардиолог 2-го клинического отд-ния отд. легочной гипертензии и заболеваний сердца Института клинической кардиологии им. А.Л. Мясникова
Россия, МоскваЗарина Солтановна Валиева
ФГБУ «Национальный медицинский исследовательский центр кардиологии им. акад. Е.И. Чазова» Минздрава России
Email: v.zarina.v@gmail.com
ORCID iD: 0000-0002-9041-3604
канд. мед. наук, ст. науч. сотр. отд. легочной гипертензии и заболеваний сердца Института клинической кардиологии им. А.Л. Мясникова
Россия, МоскваТамила Витальевна Мартынюк
ФГБУ «Национальный медицинский исследовательский центр кардиологии им. акад. Е.И. Чазова» Минздрава России; ФГАОУ ВО «Российский национальный исследовательский медицинский университет им. Н.И. Пирогова» Минздрава России
Email: trukhiniv@mail.ru
ORCID iD: 0000-0002-9022-8097
д-р мед. наук, рук. отд. легочной гипертензии и заболеваний сердца Института клинической кардиологии им. А.Л. Мясникова, проф. каф. кардиологии фак-та дополнительного профессионального образования
Россия, Москва; МоскваСписок литературы
- Мартынюк Т.В. Клиническая классификация легочной гипертензии. В кн.: Легочная гипертензия. Под ред. И.Е. Чазовой, Т.В. Мартынюк. М.: Практика, 2015; с. 29-55 [Martynyuk TV. Klinicheskaya klassifikatsiya legochnoi gipertenzii. V kn.: Legochnaya gipertenziya. Pod red. IE Chazovoi, TV Martynyuk. Moscow: Praktika, 2015; p. 29-55 (in Russian)].
- Мартынюк Т.В. Легочная гипертензия: диагностика и лечение. М.: Медицинское информационное агентство, 2018 [Martynyuk TV. Legochnaya gipertenziya: diagnostika i lechenie. Moscow: Meditsinskoe informatsionnoe agentstvo, 2018 (in Russian)].
- Чазова И.Е., Архипова О.А., Валиева З.С., и др. Легочная гипертензия в России: первые результаты национального регистра. Терапевтический архив. 2014;86(9):56-64 [Chazova IE, Arkhipova OA, Valieva ZS, et al. Pulmonary hypertension in Russia: The first results of the national register. Terapevticheskii Arkhiv (Ter. Arkh.). 2014;86(9):56-64 (in Russian)].
- Чазова И.Е., Архипова О.А., Мартынюк Т.В. Легочная артериальная гипертензия в России: анализ шестилетнего наблюдения по данным Национального регистра. Терапевтический архив. 2019;91(1):24-32 [Chazova IE, Arkhipova OA, Martynyuk TV. Pulmonary arterial hypertension in Russia: six-year observation analysis of the National Registry. Terapevticheskii Arkhiv (Ter. Arkh.). 2019;91(1):24-32 (in Russian)]. doi: 10.26442/00403660.2019.01.000024
- Мартынюк Т.В., Чазова И.Е. Вклад Института клинической кардиологии им. А.Л. Мясникова в изучение проблемы легочной гипертензии. Кардиологический вестник. 2018;2:4-14 [Martynyuk TV, Chazova IYe. Contribution of the Institute of Clinical Cardiology named after A.L. Myasnikov in the studying the problem of pulmonary hypertension. Kardiologicheskii vestnik. 2018;2:4-14 (in Russian)]. doi: 10.17116/Cardiobulletin20181324
- Galiè N, Humbert M, Vachiery JL, et al. 2015 ESC/ERS Guidelines for the diagnosis and treatment of pulmonary hypertension. Eur Respir J. 2015;46(4):903-75. doi: 10.1183/13993003.01032-2015
- Frydman N, Steffann J, Girerd B. et al. Pre-implantation genetic diagnosis in pulmonary arterial hypertension due to BMPR2 mutation. Eur Respir J. 2012;39(6):1534-5. doi: 10.1183/09031936.00185011
- Соколова Л.В., Мизерницкий Ю.Л., Полищук Л.А., и др. Болезнь Ослера–Рандю–Вебера. Трудный пациент. 2008;6(9):22-4 [Sokolova LV, Mizernitskii YuL, Polishchuk LA, et al. Bolezn' Oslera–Randyu–Vebera. Trudnyi patsient. 2008;6(9):22-4 (in Russian)].
- Vorselaars VM, Velthuis S, Snijder RJ, et al. Pulmonary hypertension in hereditary haemorrhagic telangiectasia. World J Cardiol. 2015;7(5):230-7. doi: 10.4330/wjc.v7.i5.230
- Cogan JD, Pauciulo MW, Batchman AP, et al. High frequency of BMPR2 exonic deletions/duplications in familial pulmonary arterial hypertension. Am J Respir Crit Care Med. 2006;174:590-8. doi: 10.1164/rccm.200602-165OC
- Harrison RE, Flanagan JA, Sankelo M, et al. Molecular and functional analysis identifies ALK-1 as the predominant cause of pulmonary hypertension related to hereditary haemorrhagic telangiectasia. J Med Genet. 2003;40:865-71. doi: 10.1136/jmg.40.12.865
- Faughnan ME, Palda VA, Garcia-Tsao G, et al. International guidelines for the diagnosis and management of hereditary haemorrhagic telangiectasia. J Med Genet. 2011;48:73-87. doi: 10.1136/jmg.2009.069013
- Raimondi A, Blanco I, Pomares X, Barberà JA. Hipertensión arterial pulmonary en un paciente con telangiectasia hemorrágica hereditaria. Arch Bronconeumol. 2013;49:119-21. doi: 10.1016/j.arbres.2012.04.021
Дополнительные файлы








