Lung disease/pneumonitis in a patient with ulcerative colitis due to mesalazine
- Authors: Sablin O.A.1, Chernousova V.V.1, Komlev A.D.1
-
Affiliations:
- Nikiforov Russian Center of Emergency and Radiation Medicine
- Issue: Vol 93, No 2 (2021)
- Pages: 199-203
- Section: Case reports
- Submitted: 05.04.2021
- Accepted: 05.04.2021
- Published: 15.02.2021
- URL: https://ter-arkhiv.ru/0040-3660/article/view/64727
- DOI: https://doi.org/10.26442/00403660.2021.02.200618
- ID: 64727
Cite item
Full Text
Abstract
Mesalazine is a main medicine for treatment of ulcerative colitis. Most patience of left-sides and total colitis receive oral mesalazine for many years. Currently, there is a little information about the tolerability and safety of long-term use of mesalazine. The eosinophilic pneumonia, organizing pneumonia, and nonspecific interstitial pneumonia are very rare adverse effects of ulcerative colitis treatment with mesalazine. The article presents case of the development interstitial lung disease induced by mesalazine under long-term maintenance treatment for three years in the young patient with ulcerative colitis. It shows the difficulties in diagnosing this disease due to the work-long low-grade fever in manifestation of pneumonitis, the similarity of clinical and radiological manifestations (diffuse bilateral pattern in chest imaging). The article demonstrates the limitations of modern laboratory and instrumental diagnostic methods for the differentiation of disseminated lesions of the lung tissue, and shows the importance of elimination treatment of mesalazine-induced pneumonitis.
Full Text
ВЗК – воспалительное заболевание кишечника
КТ – компьютерная томография
МСКТ – мультиспиральная компьютерная томография
ЯК – язвенный колит
Введение
Язвенный колит (ЯК) относится к хроническим иммунопатологическим воспалительным заболеваниям кишечника (ВЗК) с локализацией процесса в толстой кишке. Лечение ЯК направлено на достижение клинико-эндоскопической ремиссии, для индукции которой используются системные (преднизолон) и топические глюкокортикостероиды (будесонид), цитостатическая терапия, 5-аминосалициловая кислота (сульфасалазин) и ее производные (месалазин), тиопурины и генно-инженерная – биологическая терапия [1, 2].
Для поддержания ремиссии применяют иммуносупрессоры и препараты 5-аминосалициловой кислоты. Препарат месалазин – активный компонент сульфасалазина, ингибирует синтез свободных радикалов и метаболитов арахидоновой кислоты (особенно лейкотриенов) – медиаторов воспаления, тормозят миграцию, дегрануляцию и фагоцитоз нейтрофилов. Данный препарат широко применяется при терапии всех форм ЯК, является основным базисным средством противорецидивного лечения ЯК. Прием цитостатиков и глюкокортикостероидов ограничен ввиду широкого спектра побочных эффектов и нецелесообразности применения этих лекарственные средств в случае отсутствия внекишечных проявлений.
Согласно зарубежным данным заболеваемость ЯК составляет от 0,6 до 24,3 на 100 тыс. человек, распространенность достигает 505 на 100 тыс. человек [3]. Заболевание в большинстве случаев характеризуется торпидным рецидивирующим течением, коморбидностью и частыми нежелательными явлениями на фоне проводимой иммунодепрессивной терапии. При этом тотальный колит развивается в среднем у 55% пациентов, левосторонний – в 34% [4].
Далее приводим описание течения заболевания у больного ЯК, которое осложнилось пневмонитом на фоне длительного приема месалазина. Показаны трудности дифференциального диагноза между лекарственно-индуцированным поражением легочной ткани, внебольничной полисегментарной пневмонией и внекишечными проявлениями ЯК.
Цель – на клиническом примере рассмотреть сложности первичной диагностики пневмонита, трудности дифференциального диагноза с другими интерстициальными легочными заболеваниями, возможности лечения на фоне ЯК.
Клиническое наблюдение
Пациент С., 30 лет, поступил в отделение терапии и профпатологии клиники №1 ФГБУ «ВЦЭРМ им. А.М. Никифорова» 25.06.2019 с жалобами на повышение температуры до фебрильных цифр в течение недели, сухой кашель, диарею до 4 раз в сутки с периодической примесью прожилок крови в кале. Пациент в конце 2015 г. впервые заметил примесь крови в кале, обследован, и при колоноскопии впервые диагностирован язвенный панколит. В этой связи пациент с 2016 г. начал принимать месалазин в виде таблеток 3,0 г/сут. Через 5 мес на фоне улучшения состояния (исчезновения диареи и крови в кале) пациент предпринял попытку перейти на поддерживающую дозу месалазина – 1,5 г/сут. Но в связи с неэффективностью терапии, проявившейся учащением стула, появлением слизи и крови в кале, с 2018 г. к терапии добавлен будесонид в виде микронизированный формы (Кортимент) в дозировке 9 мг/сут.
При контрольной колоноскопии в ноябре 2018 г. выявлено снижение активности ЯК (панколит с активностью US-DAI 2 балла), вследствие этого отменен будесонид и продолжена базисная терапия препаратом месалазин в таблетках в дозе 3,0 г/сут. На фоне лечения отмечались улучшение состояния пациента, исчезновение диареи, явлений кишечной диспепсии, и при колоноскопии в апреле 2019 г. верифицирована эндоскопическая ремиссия. Пациент снизил дозировку месалазина до 1,5 г/сут.
В июне 2019 г. у пациента без видимых причин появились субфебрилитет, слабость, потливость, в связи с чем он обратился к отоларингологу, который диагностировал риносинусит. Назначено местное лечение. Однако из-за сохранения субфебрильной температуры, диареи, появления кашля и крови в кале пациент госпитализирован в отдел терапии и профпатологии клиники №1 ФГБУ «ВЦЭРМ им. А.М. Никифорова».
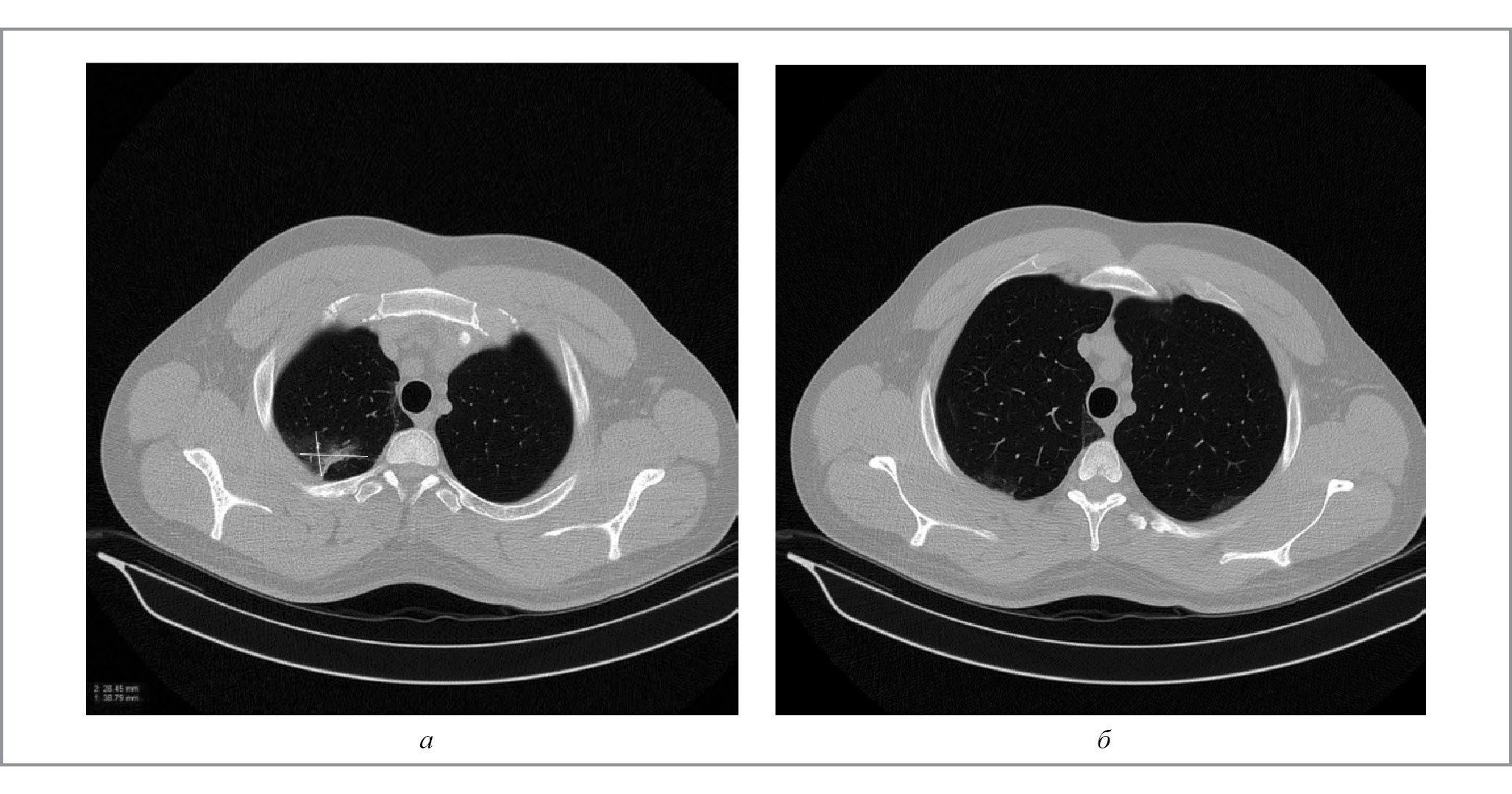
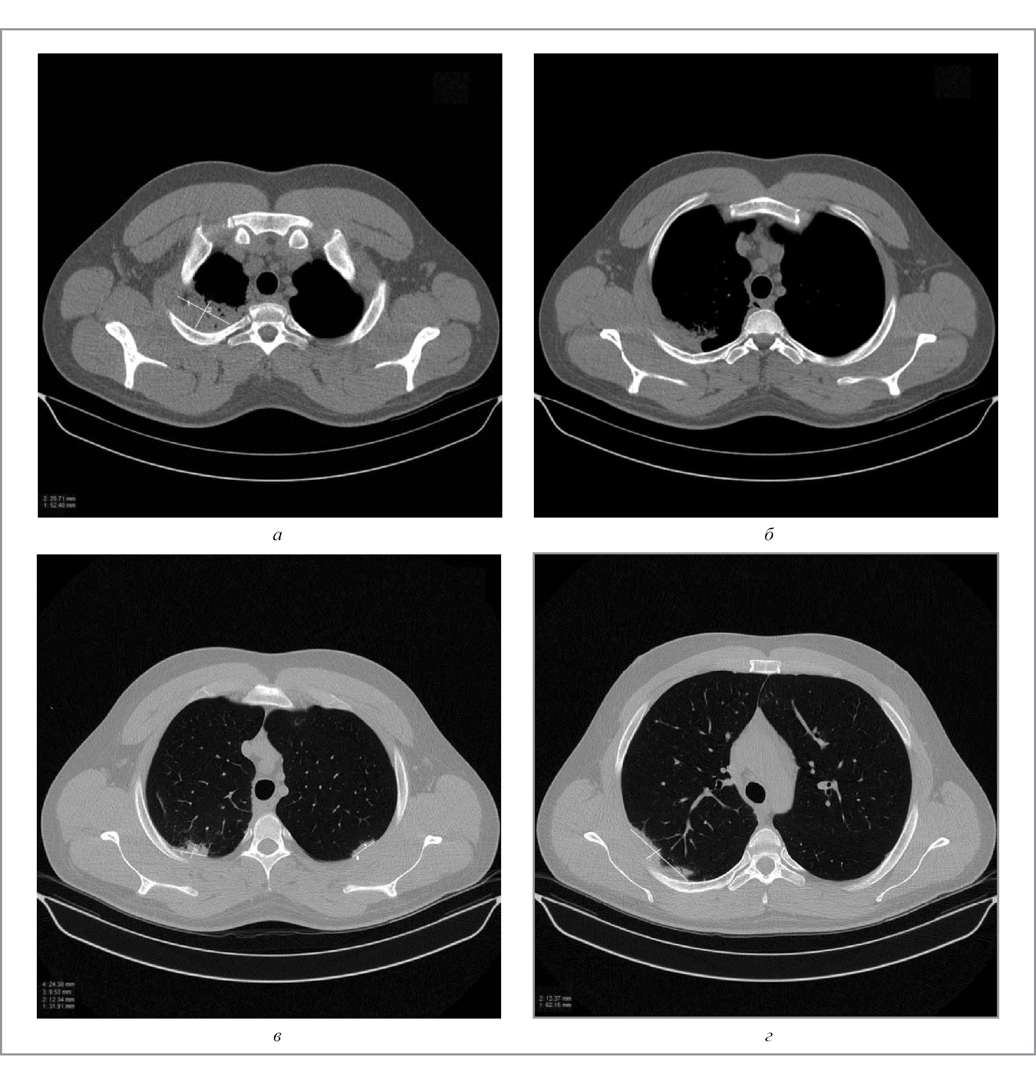
При поступлении у больного отмечались бледность кожных покровов, частота дыхательных движений 18 в минуту, лихорадка до 38ºC, жесткое дыхание при аускультации легких, хрипы не выслушивались. В крови определялись признаки высокой воспалительной активности (СОЭ – 56 мм/ч, С-реактивный белок – 166 мг/л, лейкоцитоз – 13×109/л, фибриноген – 8 г/л, тромбоцитоз – до 850×109/л). Выполнена мультиспиральная компьютерная томография (МСКТ) органов грудной клетки, при которой выявили признаки полисегментарной пневмонии – очаги билатеральной инфильтрации в различных сегментах легких, расположенные преимущественно субплеврально. В S1, S2 c распространением вдоль междолевой плевры и парамедиастинально, в S5, S6, S8, S9, S10 правого легкого и S2, S3, S6, S8, S9 левого легкого определялись зоны консолидации неправильной формы, с широким основанием, обращенные к костальной плевре, видимыми просветами бронхов на их фоне, стенки которых неравномерно утолщены (рис. 1).
Рис. 1. Результаты МСКТ органов грудной клетки пациента С. при поступлении в отделение: а – срез легких (887 мм), с очагом верхней доли размером 29×52 мм; б – срез на уровне 902 мм; в – на уровне 911 мм; г – на уровне 948 мм.
Учитывая клинико-лабораторные и инструментальные данные, начата внутривенная антибактериальная терапия (цефтриаксон 2 г/сут, метронидазол 1 г/сут). Кроме этого, пациент получал месалазин 3,0 г/сут, отхаркивающие препараты (Флуифорт 0,6 г/сут) и пробиотики (Энтерол). По результатам анализов кала исключены кишечные инфекции (клостридиальная инфекция, сальмонеллез, иерсиниоз) и гельминтозы.
На фоне терапии отмечена положительная клиническая динамика, нормализовалась температура, уменьшились кашель, слабость, потливость. Сохранялся кашицеобразный стул до 3 раз в сутки, периодически с примесью прожилок крови. При контрольной МСКТ легких, на 8-й день лечения, инфильтративные изменения сохранялись в прежнем объеме. В лабораторных показателях на 7-е сутки лечения отмечалось снижение СОЭ до 15 мм/ч, С-реактивного белка до 8,4 мг/л, но обращали на себя внимание нарастающий тромбоцитоз до 1187×109/л, лейкоцитоз до 18×109/л.
При колоноскопии определялся панколит (UCEIS 3 балла). Слизистая оболочка ободочной кишки выраженно гиперемирована, отечна, контактно ранима, с многочисленными псевдополипами, размером до 0,4–0,6 см, многочисленными плоскими эрозиями небольшого размера, сосудистый рисунок очагово смазан. Слизистая сигмовидной кишки во всех отделах выраженно гиперемирована, отечна, контактно-ранима, с одиночными псевдополипами размером до 0,8 см, сосудистый рисунок очагово смазан. Слизистая оболочка прямой кишки розовая, очагово слабо гиперемированная, с одиночными псевдополипами. Определялись долихосигма, хронический комбинированный геморрой в стадии ремиссии. При гистологии в биоптатах фиксировались хронический колит с умеренной, местами с выраженной активностью, формирующиеся множественные гиперпластические полипы ободочной кишки.
Учитывая отсутствие положительной динамики в рентгенологической картине, сохранение признаков лабораторной активности процесса, произведена смена антибактериальной терапии на меропенем 3,0 г/сут.
В связи с высоким тромбоцитозом пациент осмотрен гематологом, который на основании обследования (протромбин, фибриноген, активированное парциальное тромбопластиновое время, тромбиновое время, антитромбин III, растворимые фибрин-мономерные комплексы, фактор VIII, протеин С, определение мутаций V617F гена янус-киназы 2, делеций в 12-м экзоне гена янус-киназы 2, мутаций в 9-м экзоне гена кальретикулина и мутаций W515 гена рецептора тромбопоэтина) исключил миелопролиферативное заболевание и нарушения гемостаза.
Ввиду высокого риска тромбоза исключена тромбоэмболия легочных артерий (эхокардиограмма без признаков легочной гипертензии, D-димер – 257 нг/мл). Последующая МСКТ в ангиорежиме не выявила эмболов, флотирующих тромбов, однако сохранялись очаги консолидации, не обнаружено признаков пневмофиброза.
Учитывая неизменность рентгенологической картины инфильтративных изменений в легких, заподозрен лекарственный пневмонит, вызванный длительным приемом месалазина.
При бронхоскопии выявлен умеренно выраженный диффузный катаральный эндобронхит. При цитологическом исследовании промывных вод бронхов в небольшом количестве обнаружены клетки плоского и призматического эпителия без признаков атипии, единичные лейкоциты и единичные альвеолярные макрофаги; цитология и полимеразная цепная реакция на микобактерию туберкулеза – отрицательные. Не выявлена спонтанная и индуцированная активация базофилов с препаратом месалазин.
Признаков эозинофильной пневмонии не обнаружено (иммуноглобулин E сыворотки и эозинофилы периферической крови в пределах нормы, в бронхоальвеолярном лаваже эозинофилы не обнаружены). Исключена атипичная пневмония на фоне ВИЧ-инфекции.
На 14-й день лечения пациента принято решение об отмене месалазина, а для лечения ЯК к терапии добавлен перорально будесонид 9 мг/сут.
Данная тактика привела к существенному и быстрому улучшению рентгенологической картины в легких. Результаты контрольной МСКТ через 7 дней после отмены месалазина демонстрировали выраженную положительную динамику в виде уменьшения инфильтрации легочной ткани, явления консолидации приобрели вид «матовости» (рис. 2). При анализе данных МСКТ через 1,5 мес после отмены препарата отмечались положительная динамика в виде тотального регресса инфильтративных изменений в легких, а также нормализация воспалительных маркеров крови, но сохранялся легкий тромбоцитоз (424×109/л), вероятно, из-за активности ЯК.
Рис. 2. Результаты МСКТ органов грудной клетки пациента С. Через 7 дней после отмены месалазина: а – срез 887 мм; б – 902 мм.
Обсуждение
Согласно инструкции к препарату месалазин к очень редким побочным эффектам со стороны органов дыхания относят альвеолит, легочную эозинофилию, легочные инфильтраты и пневмонит.
Лекарственно-индуцированные поражения легких уступают только поражению кожи и пищеварительной системы [5]. Выделяют два основных механизма лекарственно-индуцированных поражений легких. Первый из них связан с прямой пневмотоксичностью, а второй – иммуноопосредованный. К препаратам с прямой пневмотоксичностью относятся цитостатики, нитрофураны, амиодарон, сульфасалазин, трициклические антидепрессанты и др.
Учитывая редкость лекарственной пневмотоксичности (3% от всех лекарственно-индуцированных интерстициальных поражений легких), их диагностика в рутинной клинической практике затруднена. Ведущим диагностическим маркером остается связь приема препарата с развитием разнообразных инфильтративных изменений легочной ткани. Основным инструментальным методом диагностики является компьютерная томография (КТ) легких высокого разрешения. Нередко приходится прибегать к диагностической бронхоскопии с анализом бронхоальвеолярного лаважа. Всегда в перечень дифференциального диагноза должна входить микобактериальная инфекция ввиду ее широкого распространения среди населения, высокого риска развития у лиц на иммуносупрессивной терапии.
Легкие – одна из наиболее частых мишеней лекарственных поражений, уступают по частоте лишь коже и пищеварительной системе [6]. Клинические признаки лекарственных пневмопатий представлены широким спектром: от малосимптомных «летучих» инфильтратов до жизнеугрожающих состояний – тяжелого острого респираторного дистресс-синдрома. Тревожным симптомом является нарастающая одышка как признак критического ухудшения респираторной функции, для чего в некоторых случаях проводится комплексное исследование функции легких.
Инфильтраты имеют диффузный или реже локализованный характер с преимущественным вовлечением средне-нижних отделов и крайне редко – апикальных зон легких. КТ позволяет выявить, как правило, диффузное снижение прозрачности легочной ткани по типу «матового стекла» или неоднородные участки консолидации, а также утолщение внутридолькового интерстиция. Плевральный выпот, медиастинальная лимфаденопатия нехарактерны и встречаются очень редко [7].
В настоящее время описаны случаи месалазин-индуцированного поражения легких при длительной терапии ВЗК. У пациентов при этом в клинической картине преобладают явления интоксикации, кашля. По результатам рентгенологического исследования фиксируются билатеральные инфильтративные изменения легких [8]. При этом первичное поражение легких при ЯК фактически не встречается (по данным литературы, в 0,4% случаев), в отличие от лекарственно-индуцированного поражения иммуносупрессивными препаратами [9]. Также описаны случаи острой эозинофильной пневмонии при краткосрочном приеме месалазина в период индукции ремиссии.
В то же время на фоне длительного приема препарата возможно развитие замедленной гиперчувствительности. По КТ легких в таких случаях определяются массивные инфильтраты по типу матового стекла. В периферической крови обнаруживается эозинофилия, а по результатам бронхоскопии – эозинофилы в промывных водах бронхов. Подобная клинико-инструментальная картина эозинофильной пневмонии полностью разрешается после отмены препарата [10].
Помимо пероральных форм месалазина введение суппозиториев также сопряжено с повышением риска гиперчувствительных реакций, сопровождаемых эозинофилией крови, обострением ЯК по результатам колоноскопии [11], в некоторых случаях развитием эозинофильной пневмонии на фоне монотерапии месалазином в виде суппозиториев. Вероятно, это связано с 10% абсорбцией месалазина в кишечнике при применении его в виде ректальных форм [12].
В современной литературе описано немного случаев (около 7 на 2018 г.) развития пневмонии на фоне длительного приема месалазина у пациентов с ЯК. При этом у врача всегда возникает вопрос: связана ли данная ятрогения исключительно с приемом препарата, или в определенной степени она проявление коморбидности аутоиммунного ВЗК.
Латентные интерстициальные заболевания легких могут выявляться у 20–55% пациентов с ВЗК, намного чаще, чем в общей популяции [13]. При измерении функции внешнего дыхания у пациентов с ВЗК отмечается снижение показателей дыхательных тестов, часто в сочетании с лабораторной активностью [14].
Обязательным условием лечения месалазин-индуцированного поражения легких является элиминация причинного фактора – отмена препарата. Дальнейшая тактика ведения пациента зависит от выраженности клинико-рентгенологических и лабораторных изменений. Главной целью считается стратегия treat-to-target [15], часто с применением глюкокортикостероидов [16].
В данном случае с учетом активности ЯК и объема поражения легких подключен будесонид, что привело к купированию как проявлений пневмонита (МСКТ от 29.08.2019), так и явлений колита (сентябрь 2019 г.).
Заключение
Демонстрацией данного клинического случая хотелось привлечь внимание специалистов к лекарственно-индуцированным поражениям легких, более глубокому изучению эффектов иммуномодулирующих препаратов, которые в некоторых случаях являются триггерами развития интерстициальных поражений или заболеваний различных органов и систем. Диагностика лекарственно-индуцированных поражений легких требует мультидисциплинарного подхода, который включает тщательный сбор анамнеза, тщательный анализ используемых лекарственных препаратов, учет динамики лабораторных, рентгенологических и в некоторых случаях гистопатологических данных.
Авторы заявляют об отсутствии конфликта интересов.
Поступила 17.02.2020
About the authors
O. A. Sablin
Nikiforov Russian Center of Emergency and Radiation Medicine
Email: vervlaber@gmail.com
ORCID iD: 0000-0002-2597-1220
д.м.н., проф., зав. клиническим отд. терапии и профпатологии
Russian Federation, Saint PetersburgV. V. Chernousova
Nikiforov Russian Center of Emergency and Radiation Medicine
Author for correspondence.
Email: vervlaber@gmail.com
ORCID iD: 0000-0002-6798-1857
врач-терапевт отд-ния терапии клинического отд. терапии и профпатологии
Russian Federation, Saint PetersburgA. D. Komlev
Nikiforov Russian Center of Emergency and Radiation Medicine
Email: vervlaber@gmail.com
ORCID iD: 0000-0002-6929-4073
к.м.н., доц., зав. клиническим отд. пульмонологии и аллергологии
Saint PetersburgReferences
- Халиф И.Л., Шапина М.В., Головенко А.О. и др. Течение хронических воспалительных заболеваний кишечника и методы их лечения, применяемые в Российской Федерации (Результаты многоцентрового популяционного одномоментного наблюдательного исследования). Рос. журн. гастроэнтерологии, гепатологии, колопроктологии. 2018;28(3):54-62 [Khalif L, Shapina MV, Golovenko AO, et al. Chronic inflammatory bowel diseases: the course and treatment methods in Russian Federation (Results of multicenter population-based one-stage observational study). Russian Journal of Gastroenterology, Hepatology, Coloproctology. 2018;28(3):54-62 (In Russ.)]. doi: 10.22416/1382-4376-2018-28-3-54-62
- Dignass A, Lindsay JO, Sturm A, et al. Second European evidence-based consensus on the diagnosis and management of ulcerative colitis part 2: current. J Crohn’s Colitis. 2012 Dec;6(10):991-1030. doi: 10.1016/j.crohns.2012.09.002
- Cosnes J, Gower-Rousseau C, Seksik P, Cortot A Epidemiology and natural history of inflammatory bowel disease. Gastroenterology. 2011 May;140(6):1785-94. doi: 10.1053/j.gastro.2011.01.055
- Burisch J, Pedersen N, Cukovic-Cavka S, et al. Environmental factors in a population-based inception cohort of inflammatory bowel disease patients in Europe – an ECCO-EpiCom study. J Crohn’s Colitis. 2014 Jul;8(7):607-16. doi: 10.1016/j.crohns.2013.11.021
- Camus P, Rosenow EC. Drug-induced and iatrogenic respiratory disease London MPG Books. 2010.
- Burisch J, Pedersen N, Cukovic-Cavka S, et al. Environmental factors in a population-based inception cohort of inflammatory bowel disease patients in Europe – an ECCO-EpiCom study. J Crohn’s Colitis. 2014 Jul;8(7):607-16. doi: 10.1016/j.crohns.2013.11.021
- Camus P, Fanton A, Bonniaud P, et al. Interstitial Lung Disease Induced by Drugs and Radiation. Respiration. 2004 Jul-Aug;71(4):301-26. doi: 10.1159/000079633
- Kotsiou OS, Konstantinos I. Gourgoulianis. A case report of mesalazine-induced lung injury: A reversible drug side effect. Respir Med Case Rep. 2019 May 27;27:100865. doi: 10.1016/j.rmcr.2019.100865
- Moeser A, Pletz MW, Hagel S, et al. Lung disease and ulcerative colitis – mesalazine-induced bronchiolitis obliterans with organizing pneumonia or pulmonary manifestation of inflammatory bowel disease? Gastroenterol. 2015 Sep;53(9):1091-8. doi: 10.1055/s-0041-103377
- Ankit Gupta and Swati Gulati. Mesalamine induced eosinophilic pneumonia. Respir Med Case Rep. 2017 Apr 12. doi: 10.1016/j.rmcr.2017.04.010
- Hao Ding, Xiao-Chang Liu, Qiao Mei, et al. Ulcerativa colitis flair induced by mesalazine suppositories hypersensitivity. World J Gastroenterol. 2014 Apr 7. doi: 10.3748/wjg.v20.i13.3716
- Kim JH, Lee JH, Koh ES, et al. Acute eosinophilic pneumonia related to mesalazine suppository. Asia Pac Allergy 2013 Apr;3(2):136-9. doi: 10.5415/apallergy.2013.3.2.136
- Black H, Mendoza M, Murin S. Thoracic manifestations of inflammatory bowel disease. Chest. 2007 Feb;131(2):524-32. doi: 10.1378/chest.06-1074
- Zhao Y, Wang J, Liu Z, et al. Pulmonary dysfunction in 114 patients with inflammatory bowel disease. Medicine (Baltimore). 2017 May;96(18):e6808. doi: 10.1097/MD.0000000000006808
- Макарчук П.А., Бриткина О.С., Белоусова Е.А. Будесонид ММХ в лечении язвенного колита. Реальная клиническая практика. Альманах клин. медицины. 2019;47(6):505-10 [Makarchuk PA, Britkina OS, Belousova EA. Budesonide ММХ in the treatment of ulcerative colitis: real world clinical practice. Almanac of Clinical Medicine. 2019;47(6):505-10 (In Russ.)]. doi: 10.18786/2072-0505-2019-47-064
- Po-Han Huang, Chia-Jung Kuo, Cheng-Tang Chiu. Mesalazine-related lung disease in a patient with ulcerative colitis: A case report. Medicine (Baltimore). 2018 Nov;97(48):e13242. doi: 10.1097/MD.0000000000013242
Supplementary files





