Сочетание саркоидоза и первичного билиарного холангита у пациентки с синдромом холестаза
- Авторы: Бровко М.Ю.1, Акулкина Л.А.1, Калашников М.В.1, Розина Т.П.1,2, Некрасова Т.П.1, Шоломова В.И.1,2, Коновалов Д.В.1, Янакаева А.Ш.1, Моисеев С.В.1,2
-
Учреждения:
- ФГАОУ ВО «Первый Московский государственный медицинский университет им. И.М. Сеченова» Минздрава России (Сеченовский Университет)
- ФГБОУ ВО «Московский государственный университет им. М.В. Ломоносова»
- Выпуск: Том 93, № 2 (2021)
- Страницы: 193-198
- Раздел: Клинические наблюдения
- Статья получена: 05.04.2021
- Статья одобрена: 05.04.2021
- Статья опубликована: 15.02.2021
- URL: https://ter-arkhiv.ru/0040-3660/article/view/64755
- DOI: https://doi.org/10.26442/00403660.2021.02.200620
- ID: 64755
Цитировать
Полный текст
Аннотация
Первичный билиарный холангит и саркоидоз относятся к группе заболеваний печени, протекающих с преобладанием синдрома холестаза. Дифференциальная диагностика этих двух патологий основывается на совокупности данных анамнеза, а также объективного, лабораторного и инструментального обследования. Представленное наблюдение демонстрирует редкое сочетание у пациентки морфологически верифицированного поражения печени в рамках первичного билиарного холангита и саркоидоза. Несмотря на схожесть клинических проявлений, подходы к терапии данных заболеваний кардинально отличаются друг от друга, что указывает на необходимость исключения сочетанного поражения печени в сложных диагностических случаях.
Ключевые слова
Полный текст
АЛТ – аланинаминотрансфераза
АМА – антимитохондриальные антитела
АПФ – ангиотензинпревращающий фермент
АСТ – аспартатаминотрансфераза
ВГЛУ – внутригрудной лимфатический узел
ПБХ – первичный билиарный холангит
ЩФ – щелочная фосфатаза
Введение
Первичный билиарный холангит (ПБХ) и саркоидоз являются системными заболеваниями с поражением печени, протекающими с преобладанием синдрома холестаза. В основе патогенеза ПБХ лежит прогрессирующая деструкция мелких внутрипеченочных желчных протоков, что ведет к развитию холестаза, а впоследствии – билиарного цирроза печени. Специфичным серологическим маркером ПБХ считается наличие антимитохондриальных антител (АМА), наиболее часто – АМА-М2-подтипа. Морфологически данная патология характеризуется наличием хронического негнойного деструктивного холангита, уменьшением количества желчевыводящих протоков (дуктопенией), в части случаев – развитием единичных гранулем в области портальных трактов [1].
Саркоидоз представляет собой хроническое гранулематозное заболевание неуточненной этиологии, которое может поражать различные органы и ткани. Патогенез саркоидоза в настоящее время остается не до конца ясным; основной гипотезой является развитие у генетически предрасположенных людей системного иммунного ответа на неидентифицированный антиген [2]. Гистологически в паренхиме печени и портальных трактах обнаруживаются эпителиоидно-клеточные гранулемы с клетками Лангханса без признаков казеозного некроза. Следует отметить, что поражение печени в рамках саркоидоза редко проявляется клинически, и для него, по сравнению с ПБХ, менее характерно прогрессирование с развитием цирроза, печеночной недостаточности и портальной гипертензии [3].
Учитывая определенное сходство морфологических и клинико-лабораторных проявлений ПБХ и саркоидоза, с одной стороны, и различные подходы к терапии обеих нозологий – с другой, проведение дифференциального диагноза очень важно для выбора правильной тактики лечения. Тем не менее указанные заболевания не являются взаимоисключающими и могут, хотя и редко, наблюдаться одновременно у одного и того же пациента [4–10]. В нашем наблюдении представлена пациентка с сочетанием поражения печени в рамках саркоидоза и ПБХ; обсуждаются современные подходы к диагностике и лечению данных нозологий.
Клиническое наблюдение
Пациентка И., 41 год, по профессии – медсестра. Из анамнеза известно, что в III триместре второй беременности в феврале 2017 г. отмечалось повышение активности щелочной фосфатазы (ЩФ) и уровня общего билирубина, что расценено как холестаз беременных. Лабораторного контроля биохимических параметров крови после родоразрешения не проводилось.
С декабря 2017 г. пациентка начала отмечать периодическое повышение температуры тела до 38ºС, появление болей в крупных и мелких суставах, сухого кашля, одышки при физической нагрузке, болезненных красноватых участков уплотнения на коже обеих голеней. При флюорографии выявлено увеличение внутригрудных лимфатических узлов (ВГЛУ), подтвержденное данными компьютерной томографии органов грудной клетки. С целью морфологической верификации патологического процесса в феврале 2018 г. выполнена видеоассоциированная торакоскопическая биопсия ВГЛУ; по данным гистологического заключения в ткани лимфоузла обнаружены множественные эпителиоидно-клеточные гранулемы без признаков казеозного некроза (рис. 1). Установлен диагноз саркоидоза с поражением ВГЛУ; в конце февраля 2018 г. начата терапия глюкокортикостероидами – преднизолоном в дозировке 35 мг/сут, с выраженным положительным эффектом в виде полного регресса указанных симптомов. С мая 2018 г. начато постепенное снижение дозировки преднизолона до полной отмены в сентябре того же года.
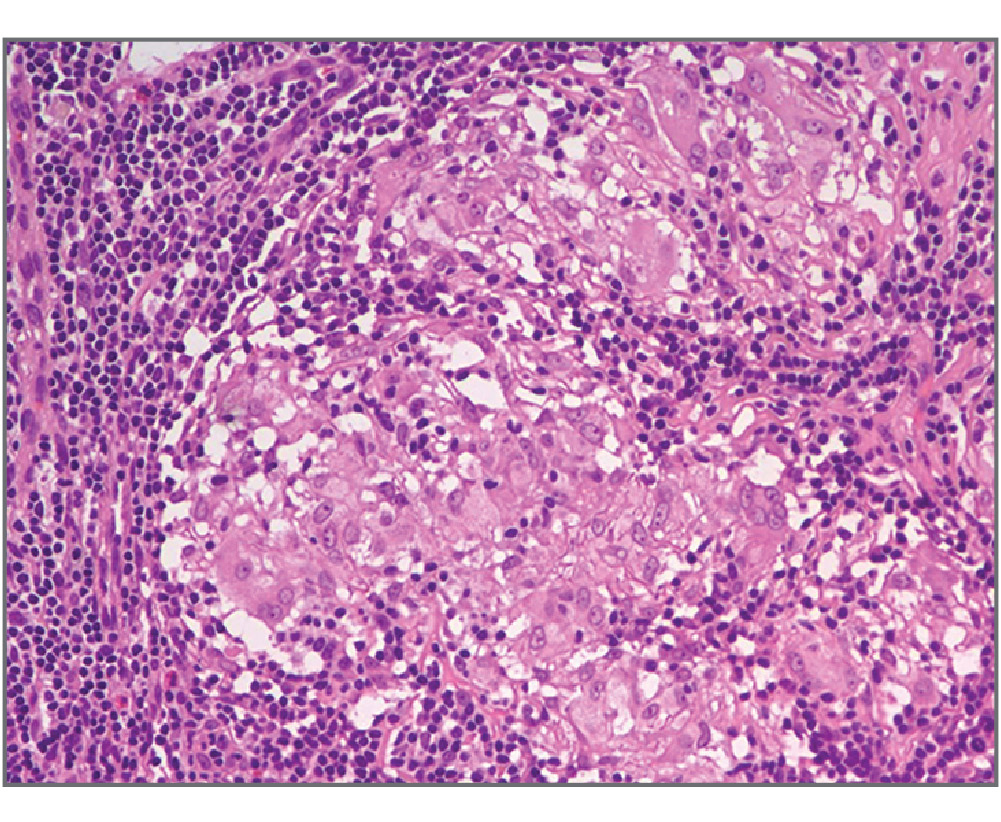
Рис. 1. ВГЛУ. Лимфоидная ткань вытеснена дискретными эпителиоидно-клеточными гранулемами без казеозного некроза. Окраска гематоксилин-эозином; ×200.
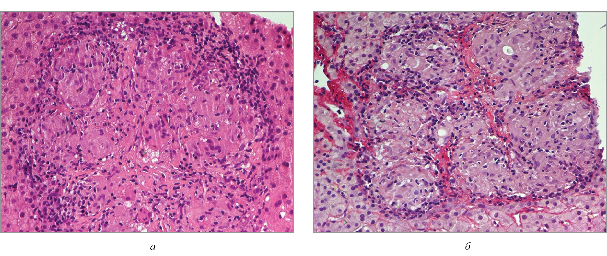
Рис. 2. Характерное для саркоидоза поражение печени: а – в паренхиме определяется конгломерат несливающихся эпителиоидно-клеточных гранулем. Окраска гематоксилин-эозином; ×200; б – между гранулемами в конгломерате определяются тонкие прослойки соединительной ткани. Пикросириус; ×200.
В июле 2018 г. при биохимическом анализе крови выявлено повышение активности ЩФ до 858 ед/л (норма 70–360), аспартатаминотрансферазы (АСТ) до 62 ед/л (норма 0–40), аланинаминотрансферазы (АЛТ) до 216 ед/л (норма 0–40) при отсутствии серологических маркеров вирусов гепатита В и С (с 2017 по июль 2018 г. указанные лабораторные показатели не исследованы). В ноябре 2018 г., через 1,5 мес после окончания терапии глюкокортикостероидами, у пациентки развился рецидив суставного синдрома, наросли одышка при физической нагрузке и общая слабость, периодически отмечалось повышение температуры до субфебрильных значений. Кроме того, больная отметила появление интенсивного кожного зуда, не купирующегося приемом антигистаминных препаратов.
В связи с ухудшением состояния пациентка госпитализирована в Университетскую клиническую больницу №3 ФГАОУ ВО «Первый МГМУ им. И.М. Сеченова» с жалобами на кожный зуд, мигрирующие боли в крупных суставах, мелких суставах обеих кистей и стоп, умеренную одышку при физической нагрузке. По данным биохимического анализа крови сохранялись признаки холестаза: повышение активности ЩФ до 2434 ед/л (норма 70–360), γ-глутамилтранспептидазы до 404 ед/л (норма 0–73). Также отмечался умеренный цитолиз – повышение активности АСТ до 91 ед/л (норма 0–34) и АЛТ до 137 ед/л (норма 0–49). Кроме признаков поражения печени выявлено повышение активности ангиотензинпревращающего фермента (АПФ) до 129 ед/л (норма 20–70). По данным ультразвукового исследования органов брюшной полости отмечались умеренная гепатомегалия, увеличение размеров внутрибрюшных лимфоузлов до 14 мм, без признаков очагового поражения печени, селезенки, портальной гипертензии и внепеченочного холестаза. При проведении компьютерной томографии органов грудной клетки отмечались умеренные интерстициальные изменения в легких, минимальная внутригрудная лимфаденопатия до 12 мм при отсутствии признаков вентиляционных нарушений во время исследования функции внешнего дыхания.
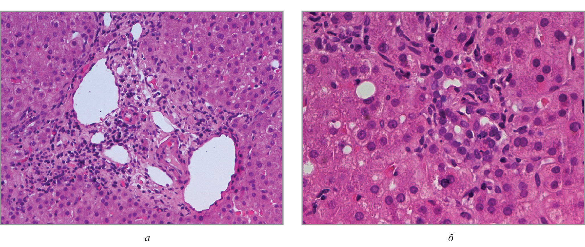
Рис. 3. Характерное для ПБХ поражение печени: а – исчезновение желчных протоков в портальных трактах – дуктопения. Окраска гематоксилин-эозином; ×100; б – очаговая пролиферация новообразованных желчных протоков – билиарная метаплазия с немногочисленными расположенными между протоками лейкоцитами. Окраска гематоксилин-эозином; ×200.
Тогда же впервые выявлены антинуклеарные антитела в титре 1:5120, а также АМА-М2, что позволило установить диагноз ПБХ. Принимая во внимание наличие верифицированного диагноза саркоидоза ВГЛУ, для уточнения характера поражения печени проведена чрескожная пункционная биопсия. По результатам гистологического исследования выявлены признаки сочетанного поражения печени в рамках саркоидоза [конгломерат из несливающихся эпителиоидно-клеточных гранулем в паренхиме печеночной дольки] (рис. 2) и ПБХ (дуктопения, пролиферация желчных протоков); рис. 3.
В соответствии с результатами клинико-лабораторного и морфологического исследования диагноз пересмотрен в пользу сочетания ПБХ и саркоидоза с поражением печени, ВГЛУ и системными проявлениями (лихорадка, артралгии). Возобновлена терапия преднизолоном в дозировке 20 мг/сут, с выраженным положительным эффектом в виде нормализации температуры тела, исчезновения одышки и артралгий. Кроме того, пациентке начата терапия урсодезоксихолевой кислотой в дозировке 1000 мг/сут (из расчета 15 мг/кг в сутки), в результате чего полностью регрессировал кожный зуд.
При динамическом обследовании в марте 2019 г., через 3 мес от начала проведения комбинированной терапии, отмечена выраженная положительная динамика: уменьшилась выраженность холестаза и цитолиза [ЩФ 705 ед/л (норма 70–360), γ-глутамилтранспептидазы до 112 ед/л (норма 0–73), АСТ 36 ед/л (норма 0–40), АЛТ 52 ед/л (норма 0–40)]; активность АПФ – 116 ед/л (норма 20–70), регрессировали интерстициальные изменения в легких. Доза преднизолона медленно снижена до полной отмены без развития рецидива ранее описанных клинических проявлений в течение последующих 7 мес; прием урсодезоксихолевой кислоты продолжен в прежней дозе.
Обсуждение
Дифференциальный диагноз между саркоидозом с поражением печени и ПБХ основывается на совокупности данных анамнеза, а также объективного, лабораторного и инструментального обследования. Кроме того, в редких случаях возможно сочетанное развитие обеих патологий [4–10]. При этом не всегда можно четко оценить вклад каждой из них в развитие поражения печени [7].
Саркоидоз – системное гранулематозное заболевание, может иметь многообразные проявления. В основе патогенеза заболевания лежит развитие воспалительного процесса, который преимущественно опосредуется Т-хелперами 1-го типа и макрофагами и ведет к формированию неказеозных эпителиоидно-клеточных гранулем [11]. Саркоидоз чаще диагностируется у пациентов в возрасте от 25 до 40 лет, несколько чаще болеют женщины [13]. Поражение печени при саркоидозе отмечается достаточно часто: 60–65% по данным морфологических исследований [12]. У большинства пациентов с саркоидозом поражение печени протекает бессимптомно. Гепатомегалия присутствует более чем у 1/2 больных. Отклонения печеночных функциональных тестов выявляются приблизительно у 35% пациентов [13]. В 90% случаев отмечается повышение активности ЩФ, в 50–70% – аминотрансфераз, γ-глутамилтрансферазы, уровней общего и прямого билирубина [14].
ПБХ относится к группе аутоиммунных заболеваний печени и характеризуется наличием специфичных антимитохондриальных аутоантител. Характерно развитие негнойного деструктивного холангита с поражением мелких внутрипеченочных желчных протоков с вторичным формированием гранулематозного воспаления вокруг пораженных желчных протоков. ПБХ, по сравнению с саркоидозом, значительно чаще развивается у женщин, чем у мужчин (соотношение мужчины/женщины – 9–12:1), дебют заболевания в 90–95% случаев приходится на возрастной период от 40 до 50 лет [1]. При ПБХ в дебюте заболевания часто отмечаются неспецифические проявления, такие как усталость, повышенная утомляемость, а также кожный зуд, который может задолго предшествовать развитию лабораторного синдрома холестаза [15]. Желтуха выявляется редко и обычно считается проявлением продвинутых стадий заболевания.
Специфических лабораторных маркеров саркоидоза печени не существует. Диагностическая и прогностическая ценность определения активности АПФ в сыворотке крови окончательно не определена. Несмотря на низкую чувствительность (приблизительно 60%), определение активности АПФ может служить дополнением к диагнозу, поставленному клинически и гистологически, а также применяться для оценки активности заболевания в динамике и эффективности лечения [16]. При проведении дифференциальной диагностики холестатического поражения печени повышение сывороточной активности АПФ свидетельствует в пользу диагноза саркоидоза, хотя данный лабораторный феномен также может наблюдаться у части пациентов с поражением паренхимы печени другой этиологии [17].
Диагноз саркоидоза требует морфологической верификации, особенно при наличии изолированного поражения печени. Типичным признаком саркоидоза печени является развитие одиночных или сливных неказеозных эпителиоидно-клеточных гранулем, для которых типичны расположение в виде конгломератов в паренхиме и/или портальной строме, а также дискретный характер распределения. Состоят гранулемы из скоплений эпителиоидных клеток и единичных многоядерных гигантских клеток, расположенных центрально; периферическую зону гранулемы занимают лимфоциты (преимущественно CD4+), макрофаги и фибробласты [1, 16]. По сравнению с гранулемами при ПБХ они более крупные и имеют четкие контуры. Плотность расположения желчных протоков при саркоидном поражении печени не меняется. При прогрессировании заболевания гранулематозное воспаление может приводить к развитию фиброза с последующим нарушением гистоархитектоники печени с развитием цирроза, однако происходит это достаточно редко [14].
Диагноз ПБХ основывается на выявлении у пациента одного из нижеперечисленных сочетаний критериев, предложенных Американской ассоциацией гастроэнтерологов [18]:
1) повышения активности ЩФ в сочетании с наличием АМА (в титре выше 1:40 по данным иммунофлуоресцентного или более 25 единиц – по результатам иммуноферментного анализа – ИФА);
2) повышения активности ЩФ при отсутствии АМА и/или антинуклеарных антител в сочетании с признаками деструктивного холангита с поражением междольковых желчных протоков по данным биопсии печени;
3) повышения активности ЩФ при отсутствии АМА, но с наличием ПБХ-специфичных антител (sp-100, gp-210).
АМА в титре более чем 1:40 выявляются приблизительно у 90% пациентов с ПБХ и, как правило, отсутствуют у пациентов с изолированным саркоидным поражением печени. В то же время неспецифическое незначительное повышение титра АМА также может наблюдаться при ряде других заболеваний печени, а также у здоровых людей [7]. Необходимо определение АМА-М2 при доступности этого исследования. Другим иммунологическим отклонением, ассоциированным с ПБХ, но не являющимся критерием диагноза, считается повышение уровня иммуноглобулинов класса М [1].
Определенные гистологические признаки помогают различить гранулемы при ПБХ и саркоидозе. В первом случае чаще выявляются повреждение эпителия желчных протоков и исчезновение мелких внутрипеченочных желчных протоков. В портальных трактах обнаруживается инфильтрация из CD4+ и CD8+ Т-лимфоцитов, В-лимфоцитов, а также макрофагов, эозинофилов и NK-клеток [13]. Дуктопения (уменьшение количества внутрипеченочных желчных протоков) – типичное проявление ПБХ, однако в редких случаях также может наблюдаться и при саркоидозе печени [17]. В то же время наличие плотных перидуктальных воспалительных инфильтратов в сочетании с выраженным повреждением эпителия желчных протоков (florid duct lesions), которое является характерным для ПБХ, при саркоидозе отмечается редко. Гранулемы при ПБХ состоят преимущественно из эпителиоидных клеток; изредка выявляются единичные многоядерные гигантские клетки [1]. Для продвинутых стадий поражения печени при ПБХ характерны вовлечение в патологический процесс большинства портальных трактов, неровная форма желчных протоков, выраженные дуктопения и фиброз [5].
Подходы к терапии саркоидоза печени и ПБХ значительно различаются. При саркоидозе назначается иммуносупрессивная терапия, при этом препаратами 1-й линии являются глюкокортикостероиды [3]. Лекарственные средства, применяемые в терапии саркоидоза печени, также включают в себя цитостатики, генно-инженерные иммунобиологические препараты, прежде всего – ингибиторы фактора некроза опухоли α [19].
Основу терапии ПБХ составляет пожизненный прием препаратов урсодезоксихолевой и/или обетихолевой кислоты, что достоверно улучшает прогноз жизни пациентов. При раннем начале лечения продолжительность жизни большинства пациентов не отличается от таковой для здоровых людей. В то же время ни в одном из проведенных клинических исследований не доказана эффективность иммуносупрессивной терапии в лечении ПБХ [1].
В представленном нами клиническом наблюдении диагноз саркоидоза у пациентки подтвержден гистологически наличием эпителиоидно-клеточных гранулем в ткани печени и ВГЛУ в сочетании с системными проявлениями заболевания. Диагноз ПБХ установлен на основании наличия всех трех критериев данной нозологии – синдрома холестаза, аутоантител АМА-М2-типа, а также морфологических признаков ПБХ по результатам биопсии.
В литературе ранее описаны случаи перекрестного синдрома в виде одновременного развития ПБХ и саркоидоза [4–10]. Чаще имело место саркоидное поражение кожи и/или легких, тогда как одновременное наличие поражения печени в рамках саркоидоза и ПБХ выявлялось крайне редко. Одно из наиболее подробных описаний представлено C. Stanca и соавт. в 2005 г. [7]: пациент с прогрессирующим холестатическим заболеванием печени, приведшим к развитию терминальной печеночной недостаточности, которая потребовала проведения трансплантации печени. Так как ранее больному установлен диагноз саркоидоза легких, гранулематозное поражение печени расценивалось исходно также в рамках саркоидоза, однако затем выявление АМА в диагностическом титре подтвердило также наличие ПБХ.
C. Rudzki и соавт. [9] и E. Fagan и соавт. [10] представили ряд клинических описаний пациентов с ПБХ и саркоидозом легких, где ни в одном случае не отмечалось развития саркоидоза печени. P. Hughes и C. McGavin [6] описали пациентку, у которой диагностирован саркоидоз с поражением кожи, слизистой оболочки носовой полости, легких, слезных и слюнных желез. Кроме того, у данной больной отмечалось развитие гранулематозного гепатита с иммунологическими маркерами ПБХ, а также миозита.
Следует отметить, при ПБХ возможно развитие ряда внепеченочных проявлений, в том числе интерстициального поражения легких. Так, ПБХ-ассоциированные респираторные симптомы могут включать в себя кашель – сухой или с отделением мокроты, одышку при физической нагрузке. Отклонения функциональных легочных параметров, в частности снижение диффузионной способности легких (рестриктивные вентиляционные нарушения), развитие различных вариантов интерстициальной пневмонии, описаны у части пациентов с ПБХ [20, 21]. Таким образом, выявление интерстициального поражения легких и/или внутригрудной лимфаденопатии у пациента с морфологической картиной гранулематозного поражения печени и серологическими маркерами ПБХ требует тщательного проведения дифференциальной диагностики ПБХ и саркоидоза.
В настоящее время число описанных случаев перекреста ПБХ и саркоидоза остается слишком малым, чтобы однозначно предположить существование этиологической связи между этими двумя заболеваниями, несмотря на сходную клиническую и патоморфологическую картину. N. Rajoriya и соавт. [4] проанализировали данные 1510 пациентов с саркоидозом с целью выявления ассоциации между данной патологией и различными аутоиммунными и аутовоспалительными заболеваниями. Из 1510 человек только у 3 диагностирован ПБХ; данные результаты предполагают отсутствие значимой ассоциации между развитием ПБХ и саркоидоза, учитывая столь низкую одновременную частоту их встречаемости.
Заключение
Представленное наблюдение демонстрирует редкое сочетание ПБХ и саркоидоза с поражением печени, подтвержденное как по данным клинико-лабораторного обследования, так и морфологически. Следует отметить, что окончательный диагноз установлен только после морфологического исследования ткани печени, что подчеркивает важность проведения биопсии в сложных диагностических ситуациях.
Данный пример демонстрирует возможность сочетания двух редких холестатических заболеваний печени со сходной клинико-лабораторной симптоматикой у одного и того же пациента, что указывает на необходимость проведения полноценного обследования с целью исключения широкого спектра альтернативных нозологий, даже среди пациентов с ранее морфологически верифицированным диагнозом.
Авторы заявляют об отсутствии конфликта интересов.
Поступила 07.02.2020
Об авторах
Михаил Юрьевич Бровко
ФГАОУ ВО «Первый Московский государственный медицинский университет им. И.М. Сеченова» Минздрава России (Сеченовский Университет)
Email: vsholomova@mail.ru
ORCID iD: 0000-0003-0023-2701
к.м.н., зав. отд-нием пульмонологии и профпатологии Клиники ревматологии, нефрологии и профпатологии им. Е.М. Тареева Университетской клинической больницы №3 ФГАОУ ВО «Первый МГМУ им. И.М. Сеченова» (Сеченовский Университет)
Россия, МоскваЛариса Анатольевна Акулкина
ФГАОУ ВО «Первый Московский государственный медицинский университет им. И.М. Сеченова» Минздрава России (Сеченовский Университет)
Email: vsholomova@mail.ru
ORCID iD: 0000-0002-4307-8882
врач-пульмонолог отд-ния пульмонологии и профпатологии Клиники ревматологии, нефрологии и профпатологии им. Е.М. Тареева Университетской клинической больницы №3 ФГАОУ ВО «Первый МГМУ им. И.М. Сеченова» (Сеченовский Университет)
Россия, МоскваМихаил Владиславович Калашников
ФГАОУ ВО «Первый Московский государственный медицинский университет им. И.М. Сеченова» Минздрава России (Сеченовский Университет)
Email: vsholomova@mail.ru
ORCID iD: 0000-0003-4828-6338
клинический ординатор каф. внутренних, профессиональных болезней и ревматологии медико-профилактического фак-та ФГАОУ ВО «Первый МГМУ им. И.М. Сеченова» (Сеченовский Университет)
Россия, МоскваТэона Павловна Розина
ФГАОУ ВО «Первый Московский государственный медицинский университет им. И.М. Сеченова» Минздрава России (Сеченовский Университет); ФГБОУ ВО «Московский государственный университет им. М.В. Ломоносова»
Email: vsholomova@mail.ru
ORCID iD: 0000-0002-7939-1416
к.м.н., доц. каф. внутренних, профессиональных болезней и ревматологии ФГАОУ ВО «Первый МГМУ им. И.М. Сеченова» (Сеченовский Университет), доц. каф. внутренних болезней фак-та фундаментальной медицины ФГБОУ ВО «МГУ им. М.В. Ломоносова»
Россия, Москва; МоскваТатьяна Петровна Некрасова
ФГАОУ ВО «Первый Московский государственный медицинский университет им. И.М. Сеченова» Минздрава России (Сеченовский Университет)
Email: vsholomova@mail.ru
ORCID iD: 0000-0001-6376-9392
к.м.н., доц. каф. патологической анатомии им. А.И. Струкова ФГАОУ ВО «Первый МГМУ им. И.М. Сеченова» (Сеченовский Университет)
Россия, МоскваВиктория Игоревна Шоломова
ФГАОУ ВО «Первый Московский государственный медицинский университет им. И.М. Сеченова» Минздрава России (Сеченовский Университет); ФГБОУ ВО «Московский государственный университет им. М.В. Ломоносова»
Автор, ответственный за переписку.
Email: vsholomova@mail.ru
ORCID iD: 0000-0002-8785-7968
врач-пульмонолог отд-ния пульмонологии и профпатологии Клиники ревматологии, нефрологии и профпатологии им. Е.М. Тареева Университетской клинической больницы №3, ассистент каф. внутренних, профессиональных болезней и ревматологии ФГАОУ ВО «Первый МГМУ им. И.М. Сеченова» (Сеченовский Университет), аспирант каф. внутренних болезней фак-та фундаментальной медицины ФГБОУ ВО «МГУ им. М.В. Ломоносова»
Россия, Москва; МоскваДенис Владимирович Коновалов
ФГАОУ ВО «Первый Московский государственный медицинский университет им. И.М. Сеченова» Минздрава России (Сеченовский Университет)
Email: vsholomova@mail.ru
ORCID iD: 0000-0003-0593-1309
врач-пульмонолог отд-ния пульмонологии и профпатологии Клиники ревматологии, нефрологии и профпатологии им. Е.М. Тареева Университетской клинической больницы №3 ФГАОУ ВО «Первый МГМУ им. И.М. Сеченова» (Сеченовский Университет)
Россия, МоскваАлиса Шамилевна Янакаева
ФГАОУ ВО «Первый Московский государственный медицинский университет им. И.М. Сеченова» Минздрава России (Сеченовский Университет)
Email: vsholomova@mail.ru
ORCID iD: 0000-0001-7667-8289
врач-рентгенолог отд-ния лучевой диагностики Клиники ревматологии, нефрологии и профпатологии им. Е.М. Тареева Университетской клинической больницы №3 ФГАОУ ВО «Первый МГМУ им. И.М. Сеченова» (Сеченовский Университет)
Россия, МоскваСергей Валентинович Моисеев
ФГАОУ ВО «Первый Московский государственный медицинский университет им. И.М. Сеченова» Минздрава России (Сеченовский Университет); ФГБОУ ВО «Московский государственный университет им. М.В. Ломоносова»
Email: vsholomova@mail.ru
ORCID iD: 0000-0002-7232-4640
д.м.н., проф., дир. Клиники ревматологии, нефрологии и профпатологии им. Е.М. Тареева Университетской клинической больницы №3, зав. каф. внутренних, профессиональных болезней и ревматологии ФГАОУ ВО «Первый МГМУ им. И.М. Сеченова» (Сеченовский Университет), проф. каф. внутренних болезней фак-та фундаментальной медицины ФГБОУ ВО «МГУ им. М.В. Ломоносова»
Россия, Москва; МоскваСписок литературы
- Hirschfield GM, et al. EASL Clinical Practice Guidelines: The diagnosis and management of patients with primary biliary cholangitis. J Hepatol. 2017;67(1);145-72. doi: 10.1016/j.jhep.2017.03.022
- Valeyre D, Prasse A, NunesHet al. Sarcoidosis. Lancet. 2014;383(9923):1155-67. doi: 10.1016/S0140-6736(13)60680-7
- Саркоидоз. Клинические рекомендации. Под ред. Н.А. Мухина. М.: ИМА-пресс, 2009; с. 54 [Sarkoidoz. Klinicheskie rekomendatsii. Pod red. N.A. Mukhina. Moscow: IMA-PRESS, 2009; p. 54 (In Russ.)].
- Rajoriya N, Wotton CJ, Yeates DG, et al. Immune-mediated and chronic inflammatory disease in people with sarcoidosis: disease associations in a large UK database. Postgrad Med J. 2009;85(2003):233-7. doi: 10.1136/pgmj.2008.067769
- Kishor S, Turner ML, Borg BB, et al. Cutaneous sarcoidosis and primary biliary cirrhosis: A chance association or related diseases? J Am Acad Dermatol. 2008;58(2):326-35. doi: 10.1016/j.jaad.2007.07.031
- Hughes P, McGavin CR. Sarcoidosis and primary biliary cirrhosis with co-existing myositis. Thorax. 1997;52(2):201-2. doi: 10.1136/thx.52.2.201
- Stanca CM, Fiel MI, Allina J, et al. Liver failure in an antimitochondrial antibody-positive patient with sarcoidosis: primary biliary cirrhosis or hepatic sarcoidosis? Semin Liver Dis. 2005;25(3):364-70. doi: 10.1055/s-2005-916327
- Karlish AJ, Thompson RP, Williams R. A case of sarcoidosis and primary biliary cirrhosis. Lancet. 1969;2(7620):599. doi: 10.1016/s0140-6736(69)90306-7
- Rudzki C, Ishak KG, Zimmerman HJ. Chronic intrahepatic cholestasis of sarcoidosis. Am J Med. 1975;59(3):373-87. doi: 10.1016/0002-9343(75)90396-4
- Fagan EA, Moore-Gillon JC, Turner-Warwick M. Multiorgan granulomas and mitochondrial antibodies. N EngI J Med. 1983;308(10):572-5. doi: 10.1056/NEJM198303103081006
- Zissel G, Prasse A., Müller-Quernheim J. Immunologic response of sarcoidosis. Semin Respir Crit Care Med. 2010;31(4):390-403. doi: 10.1055/s-0030-1262208
- Holmes J, Lazarus A. Sarcoidosis: extrathoracic manifestations. Dis Mon. 2009;55:675-92. doi: 10.1016/j.disamonth.2009.05.002
- Alempijević T, Sokić-Milutinović A, Toncev L, et al. Primary biliary cirrhosis and hepatic sarcoidosis – a case report. Vojnosanit Pregl. 2014;71(1):83-6. doi: 10.2298/vsp1401083a
- Karagiannidis A, Karavalaki M, Koulaouzidis A. Hepaticsarcoidosis. Ann Hepatol. 2006;5(4):251-6. doi: 10.1016/S1665-2681(19)31983-0
- Prince MI, Chetwynd A, Newman W, et al. Survival and symptom progression in a geographically based cohort of patients with primary biliary cirrhosis: follow-up for up to 28 years. Gastroenterology. 2002;123:1044-51. doi: 10.1053/gast.2002.36027
- Syed U, Alkhawam H, Bakhit M, et al. Hepatic sarcoidosis: pathogenesis, clinical context, and treatment options. Scand J Gastroenterol. 2016;51(9):1025-30. doi: 10.1080/00365521.2016.1177856
- Farouj NE, Cadranel JF D, Mofredj A, et al. Ductopenia related liver sarcoidosis. World J Hepatol. 2011;3(6):170-4. doi: 10.4254/wjh.v3.i6.170
- Younossi ZM, Bernstein D, Shiffman ML, et al. Diagnosis and Management of Primary Biliary Cholangitis. Am J Gastroenterol. 2019;114(1):48-63. doi: 10.1038/s41395-018-0390-3
- Ayyala U, Padilla M. Diagnosis and treatment of hepatic sarcoidosis. Curr Treat Options Gastroenterol. 2006;9(6):475-83. doi: 10.1007/s11938-006-0004-9
- Martusewicz-Boros MM, Boros PW, Wiatr E. Respiratory system involvement in chronic liver diseases. Pol Arch Med Wewn. 2013;123:635-42. doi: 10.20452/pamw.1980
- Koksal D, Koksal AS, Gurakar A. Pulmonary Manifestations among Patients with Primary Biliary Cirrhosis. J Clin Transl Hepatol. 2016;4:258-62. doi: 10.14218/JCTH.2016.00024
Дополнительные файлы
