Methotrexate-induced lung damage in a patient with rheumatoid arthritis
- Authors: Ponomareva L.A.1, Gurova D.V.1, Popova E.N.1, Chebotareva N.V.1, Bondarenko I.B.1, Moiseev S.V.1
-
Affiliations:
- Sechenov First Moscow State Medical University (Sechenov University)
- Issue: Vol 93, No 3 (2021)
- Pages: 295-299
- Section: Case reports
- Submitted: 08.04.2021
- Accepted: 08.04.2021
- Published: 15.03.2021
- URL: https://ter-arkhiv.ru/0040-3660/article/view/64973
- DOI: https://doi.org/10.26442/00403660.2021.03.200656
- ID: 64973
Cite item
Full Text
Abstract
We herein report a case of interstitial lung disease secondary to the use of methotrexate in a patient with rheumatoid arthritis. Differential diagnosis between pneumonitis caused by methotrexate in patients treated with basic methotrexate therapy and interstitial pulmonary disease associated with rheumatoid arthritis is based on the clinical examination and instrumental data. The main condition for favorable clinical outcome in all drug-induced lung disease is drug withdrawal, what was proven in our report.
Full Text
Осложнениями лекарственной терапии (лекарственно-ассоциированные, лекарственно-обусловленные заболевания, ятрогении) считаются новые побочные эффекты, возникающие при использовании лекарств в дозах, рекомендованных для профилактики и лечения заболеваний. К побочному действию лекарственных средств относят разнообразные состояния, отличающиеся по патогенезу и являющиеся неспецифическими (Международная классификация болезней 10-го пересмотра, 1995). Так, они могут быть обусловлены преимущественно предрасположенностью организма, различными последствиями собственно фармакологического действия лекарств, кумулирующими эффектами реакций повреждения, связанных как с особенностями патогенеза заболевания, так и со своеобразием реакций больного на используемый препарат [1]. В понятие лекарственной болезни не включают патологические процессы, возникающие по причине передозировки лекарственных препаратов, выдачи или приема по ошибке другого вещества [2–4].
Согласно рекомендациям по лечению ревматоидного артрита (РА) метотрексат (МТ) остается наиболее часто используемым лекарственным средством в терапии заболевания и относится к основным компонентам стратегии 1-й линии лечения [5]. Низкие дозы МТ (около 0,3 мг/кг), используемые в качестве монотерапии или в сочетании с другими лекарственными средствами, имеют хороший профиль эффективности, что доказано в плацебо-контролируемых исследованиях, сопоставимый с другими лекарственными средствами, включая терапию генно-инженерными биологическими препаратами [6]. В группе нежелательных последствий приема препарата МТ-индуцированное интерстициальное поражение легких лидирует по частоте [7] и отличается широким спектром клинических проявлений от малосимптомных форм до распространенного интерстициального фиброза с высоким риском развития жизнеугрожающих состояний, включая острое повреждение легких с некардиогенным отеком легких, организующуюся пневмонию и плевроперикардит. Наиболее распространенным явлением считается острый гиперчувствительный пневмонит [8–10]. Кроме того, МТ наряду с другими болезнь-модифицирующими средствами и биологическими агентами также ассоциируется с ускоренным узлообразованием и рецидивирующими пневмотораксами [8].
В представленном клиническом наблюдении обсуждается сложная проблема дифференциальной диагностики и лечения МТ-обусловленного поражения легких у больной впервые диагностированным РА.
Клиническое наблюдение
Пациентка, 52 года, поступила в клинику с жалобами на одышку, кашель, боли в грудной клетке, суставах. Из анамнеза: в январе 2019 г. установлен диагноз РА, серопозитивный (ревматоидный фактор +, антитела к циклическому цитруллиновому пептиду -), развернутая стадия, неэрозивный, рентгенологическая стадия II, с системными проявлениями: синдром Шегрена (паренхиматозный сиалоаденит, антинуклеарный фактор – АНФ – 1/640, анти-Ro 200), активность 3 (DAS 28=5,7), функциональный класс II (ФК II). Первоначальная терапия сульфасалазином и преднизолоном по причине недостаточной эффективности модифицирована в марте 2019 г.: сульфасалазин заменен на МТ, после чего отмечено снижение клинической активности РА. В июле 2019 г. госпитализирована с жалобами на одышку, возникшую внезапно при незначительной физической нагрузке, сухой приступообразный кашель, повышение температуры тела до 38,5ºС. Перечисленные симптомы появились за 3 дня до госпитализации, расценены как респираторная инфекция, в течение этого времени пациентка принимала нестероидные противовоспалительные препараты, антибактериальные препараты – без эффекта. При осмотре: состояние средней тяжести, температура тела – 39ºС, рост – 168 см, масса тела – 79 кг, индекс массы тела – 28 кг/м2. Артериальное давление – 120/70 мм рт. ст., частота сердечных сокращений – 90 уд/мин, в нижних отделах обоих легких выслушивается крепитация, частота дыхательных движений – 26 раз в минуту. По результатам пульсоксиметрии насыщение крови кислородом составило 82%. Данные лабораторно-инструментальных исследований: общий анализ крови, общий анализ мочи, биохимический анализ крови – показатели в пределах норм. Ревматоидный фактор – 54,3 МЕ/мл, С-реактивный белок – 32,1 мг/л.
Электрокардиография: синусовый ритм, частота сердечных сокращений – 82 уд/мин. Гипертрофия левого желудочка. При исследовании функции внешнего дыхания: FVC 62, FEV1 60, FEV1/VC 104, FEF50 63, FEF25 88, FEF75 45.
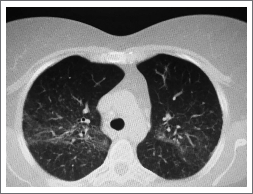
Первоначально при рентгенологическом исследовании изменения в легких расценены как двусторонняя полисегментарная пневмония, вновь назначены антибактериальные препараты, по-прежнему с незначительным эффектом. При мультиспиральной компьютерной томографии (КТ) органов грудной клетки (см. рисунок) обнаружена неравномерная пневматизация легочной паренхимы за счет дольковых просветлений и затемнений, формирующих картину «мозаичной перфузии». Отмечено выраженное неравномерное утолщение междольковых перегородок с деформацией легочного рисунка и нарушением архитектоники, кистозными изменениями (максимальным размером до 11 мм). Более выражены изменения в базальных отделах легких. Очаговых изменений в паренхиме легких не выявлено. Трахея и крупные бронхи прослеживаются на всем протяжении, не изменены. Выпота в плевральных полостях не визуализируется. Диафрагма не изменена. Средостение не смещено, структуры его дифференцированы. Сердце и магистральные сосуды без видимых изменений. Лимфатические узлы не увеличены. Костные структуры и мягкие ткани грудной клетки – без патологических изменений. КТ-картина соответствовала неспецифической интерстициальной пневмонии (НСИП) или гиперчувствительному пневмониту.
Так как при мультиспиральной КТ признаки гиперчувствительного пневмонита впервые зарегистрированы в период приема МТ, препарат отменен, продолжено лечение глюкокортикостероидами (ГКС). Отмечены положительная клинико-компьютерно-томографическая динамика, снижение выраженности одышки и кашля, нормализация температуры тела, убедительная тенденция к разрешению внутригрудных изменений.
При попытке назначения в качестве базисной терапии препаратов аминохинолинового ряда появилась зудящая сыпь, распространившаяся по всему телу, установлена токсическая эритема на гидроксихлорохин. Госпитализирована в январе 2020 г. в связи с жалобами на усиление суставного синдрома, нарастание лабораторных маркеров активности системного заболевания. При назначении ингибиторов фактора некроза опухоли – ФНО α (ритуксимаб) состояние улучшилось, продолжено наблюдение. Клинико-рентгенологические, функциональные показатели со стороны органов дыхания сохранялись стабильными. Отмечает умеренно выраженный суставной синдром, контролируемый проводимым лечением.
Изменения в легких у больной РА при приеме МТ: симптом «матового стекла», интерстициальный фиброз в базальных отделах
Учитывая исчезновение клинических симптомов поражения легких и положительную динамику при сравнении изображений КТ высокого разрешения (КТВР), можно диагностировать развитие у больной пневмотоксической реакции по типу острого пневмонита в результате приема МТ.
Обсуждение
По данным разных авторов, включая клинические исследования по РА, частота МТ-пневмонита не является высокой и колеблется в широких пределах от 0,3 до 11,6%, это поражение легких упоминается прежде всего в виде отдельных клинических наблюдений [11–13]. МТ-пневмонит обычно имеет острое или подострое течение и встречается в течение первого года лечения, однако описаны случаи более позднего проявления [14, 15]. Среди заболевших преобладают мужчины старше 60 лет, актуальные курильщики. МТ-обусловленная интерстициальная болезнь легких (ИБЛ) чаще диагностируется в группах больных сахарным диабетом, хронической болезнью почек, гипоальбуминемией [10, 11, 16]. Риск лекарственных реакций связан с генетической предрасположенностью (HLA-A31:01), не зависит от тяжести основного заболевания и повышается при использовании болезнь-модифицирующих препаратов [9, 17, 18]. Так, побочные эффекты МТ наблюдались в том числе и в группах с более высокими показателями по опроснику состояния здоровья (HAQ) и снижением оценки боли по визуальной аналоговой шкале [13, 16].
В патогенезе MT-индуцированного пневмонита рассматриваются реакции гиперчувствительности, прямая токсичность МТ в отношении легочной ткани и иммуносупрессия, приводящая к рецидивирующим вирусным или бактериальным инфекциям [19]. При изучении изменений в легких у животных выявлено, что, кроме воспалительной реакции, МТ стимулирует процессы фиброза, сопровождающиеся экспрессией иммунореактивного белка a-SMA, коллагенообразованием в межальвеолярных перегородках, дисрегенерацией в этих зонах клеток эпителия и пролиферацией фибробластов [20].
У большинства пациентов (более чем у 60%) клиническая картина МТ-индуцированного поражения легких представлена сухим кашлем и одышкой, повышением температуры тела, изменениями в периферической крови (у 25–40% пациентов с подострой формой МТ-пневмонита) в виде эозинофилии и лимфопении [21]. При ИБЛ в рамках РА-ассоциированных иммунных нарушений клинические проявления более скудные, дыхательная недостаточность выражена в меньшей степени, но при этом аускультативный феномен крепитации сохраняется длительное время [7, 16].
Важное значение имеют сроки проведения КТВР-исследований легких у больных, получающих антиревматические препараты, с целью дифференциальной диагностики предполагаемой лекарственной пневмопатии с РА-ИБЛ и инфекционными осложнениями. Риск бронхолегочной инфекции, включая бактериальную пневмонию, определяется иммуносупрессией вследствие основного лечения. В нашем наблюдении по результатам бактериоскопического исследования мокроты этиологически значимые возбудители не обнаружены.
Диагноз MТ-пневмонита основывается на клинических и рентгенологических данных. Обсуждается диагностическая и прогностическая ценность функциональных легочных тестов, диффузионной способности легких при МТ-индуцированном поражении легких [16, 19, 21]. У нашей больной снижение диффузионной способности легких опережало по темпам показатели спирограммы. С другой стороны, при отмене препарата функции легких одновременно вернулись к должным величинам.
Исследование жидкости бронхоальвеолярного лаважа выявляет лимфоцитоз, однако данная особенность не является специфичной для МТ-пневмонита, поскольку также наблюдается при РА-ИБЛ и у пациентов с РА, получающих МТ, без респираторных симптомов [21–23]. Показано, что при приеме МТ лимфоцитоз присутствует в большинстве (89%) образцов бронхоальвеолярных смывов, а в 17% наблюдается высокий уровень нейтрофилов [22].
В большинстве случаев при КТВР на ранних стадиях можно выделить паттерн НСИП, представленный «матовым стеклом», нечеткими узловыми затемнениями, центрилобулярными узелками, бронхиолитом («дерево в почках») в ряде случаев с формированием фиброзно-кистозной деформации или бронхоэктазов [8, 9, 21].
При подозрении на МТ-пневмонит целесообразно немедленно прекратить прием МТ, при этом лечение ГКС может и не потребоваться. Прогноз МТ-пневмонита в целом благоприятный, большинство пациентов полностью выздоравливают, при этом в некоторых исследованиях сообщается, что смертность высока и составляет 17,6%. Предполагается, что данные различия обусловлены особенностями гистопатологической картины, характером цитоморфологических изменений, длительностью приема МТ [19, 21]. Так, в своем исследовании B. Chikura и соавт. сообщают о том, что смертность выше у пациентов, у которых развился пневмонит после лечения МТ в течение менее 6 мес, по сравнению с пациентами, принимавшими МТ более длительно [23]. Временная зависимость между появлением клинических симптомов и лечением МТ в нашем наблюдении составила 5 мес. После отмены терапии и назначения ГКС состояние улучшилось. В настоящее время пациентка получает генно-инженерные биологические препараты как монотерапию, переносит удовлетворительно, течение РА удается контролировать. Больная также информирована о необходимости предупреждения лекарственной непереносимости у родственников, возможных побочных эффектах терапии основного заболевания и способах первой помощи при появлении аллергических реакций на применяемые в данный момент препараты.
Терапевтический подход при лекарственном поражении легких зависит от клинической формы и варианта заболевания (см. таблицу). В целом необходимо избегать приема новых препаратов, биодобавок, особенно больным с аллергической предрасположенностью [24]. Также используются препараты, направленные на снижение интенсивности свободнорадикальных реакций, улучшение дренажной функции бронхов, профилактику бронхолегочных инфекций [25].
Заключение
Дифференциальная диагностика МТ-индуцированного пневмонита и РА-ИБЛ [по G. Fragoulis и соавт. (2019 г.) с изменениями]
Параметры | МТ-пневмонит | РА-ИБЛ |
Частота встречаемости при РА | 0,3–11,6% | 3–10% (клинически выраженное течение ИБЛ) |
19–67% (по данным КТВР) | ||
Характер течения заболевания | Обычно острое или подострое, манифестация в течение первого года лечения МТ | Хроническое, в большинстве случаев субклиническое |
Клиническая картина | Лихорадка, сухой кашель, одышка | Лихорадка, сухой кашель, одышка |
КТВР-изображение | Преобладает паттерн НСИП | Паттерн ОИП встречается чаще, чем НСИП |
• без определенной локализации | • локализация в базальных и/или субплевральных отделах | |
• вновь возникающие или развивающиеся диффузные интерстициальные или смешанные интерстициальные и альвеолярные инфильтраты, диффузное или очаговое двустороннее «матовое стекло» с ретикуляцией или без нее | • кистозные изменения («сотовое легкое», ретикулярные затемнения, бронхиолоэктазы) | |
• клеточные интерстициальные инфильтраты, гранулемы | • постепенное уменьшение объема легочной ткани, преимущественно за счет фиброзных изменений в базальных отделах | |
• возможна картина бронхиолита и диффузного альвеолярного повреждения | ||
Клеточный состав жидкости бронхоальвеолярного лаважа | В большинстве случаев наблюдается лимфоцитоз, но встречается и нейтрофилия | Нейтрофилия или лимфоцитоз |
Гистологическая картина | Интерстициальные инфильтраты, представленные лимфоцитами, гистиоцитами и эозинофилами, иногда встречаются неказеозные гранулемы | Согласуется с формой ИБЛ при РА (паттерн ОИП/НСИП) |
Тактика лечения | Отмена приема MT | ГКС – препараты 1-й линии |
ГКС | МТ, лефлуномид – возможен положительный ответ | |
Возможно использование циклофосфамида, тоцилизумаба | Анти-ФНО, тоцилизумаб, абатацепт – неубедительные данные об эффективности | |
Ритуксимаб – возможен положительный ответ | ||
Прогноз | Благоприятный, большинство пациентов полностью выздоравливают | В целом неблагоприятный, медиана выживаемости после постановки диагноза РА-ИБЛ составляет 3 года |
Зависит от паттерна ИБЛ, риск смерти при ОИП в 3 раза выше, чем при НСИП |
У больных РА с поражением легких необходимо проводить дифференциальную диагностику между лекарственной реакцией и РА-ИБЛ. Среди особенностей наблюдения следует отметить раннее начало лекарственной реакции на МТ у некурящей больной, тогда как чаще МТ-индуцированные реакции описывают у пожилых лиц мужского пола, и курение отнесено к ведущим факторам риска поражения легких при лечении антиревматическими препаратами. Изменения в легких представлены не только признаками гиперчувствительного пневмонита, но и НСИП, что следует расценивать как вклад РА-ассоциированных иммуновоспалительных реакций с повреждением аэрогематического барьера. С учетом остроты респираторных нарушений в дебюте заболевания ГКС использованы коротким курсом, хотя данная рекомендация и не является общепринятой. Наиболее действенным способом в нашем наблюдении стала своевременная элиминация этиологического фактора, что и считается основным условием лечения при всех вариантах лекарственных поражений легких.
Список сокращений
ГКС – глюкокортикостероиды
ИБЛ – интерстициальная болезнь легких
КТ – компьютерная томография
НСИП – неспецифическая интерстициальная пневмония
РА – ревматоидный артрит
РА-ИБЛ – интерстициальная болезнь легких, ассоциированная с ревматоидным артритом
About the authors
Liubov A. Ponomareva
Sechenov First Moscow State Medical University (Sechenov University)
Email: ela12@yandex.ru
ORCID iD: 0000-0002-3179-470X
студентка Международной школы «Медицина будущего»
Russian Federation, MoscowDaria V. Gurova
Sechenov First Moscow State Medical University (Sechenov University)
Email: ela12@yandex.ru
ORCID iD: 0000-0001-8232-3679
студентка Института клинической медицины им. Н.В. Склифосовского
Russian Federation, MoscowElena N. Popova
Sechenov First Moscow State Medical University (Sechenov University)
Email: ela12@yandex.ru
ORCID iD: 0000-0001-5164-4621
д.м.н., проф. каф. внутренних, профессиональных болезней и ревматологии Института клинической медицины им. Н.В. Склифосовского
Russian Federation, MoscowNatalia V. Chebotareva
Sechenov First Moscow State Medical University (Sechenov University)
Author for correspondence.
Email: ela12@yandex.ru
д.м.н., проф. каф. внутренних, профессиональных болезней и ревматологии Института клинической медицины им. Н.В. Склифосовского
Russian Federation, MoscowInna B. Bondarenko
Sechenov First Moscow State Medical University (Sechenov University)
Email: ela12@yandex.ru
ORCID iD: 0000-0002-4111-1175
к.м.н., ассистент каф. внутренних, профессиональных болезней и ревматологии Института клинической медицины им. Н.В. Склифосовского
Russian Federation, MoscowSergey V. Moiseev
Sechenov First Moscow State Medical University (Sechenov University)
Email: ela12@yandex.ru
ORCID iD: 0000-0002-7232-4640
д.м.н., проф., зав. каф. внутренних, профессиональных болезней и ревматологии Института клинической медицины им. Н.В. Склифосовского
Russian Federation, MoscowReferences
- Marcellino K, Kelly WN. Potential risks and prevention. Part 3: Drug-induced threats to life. Am J Health Syst Pharm. 2001;58(15):1399-405. doi: 10.1093/ajhp/58.15.1399
- Thickett DR, Millar AB. Drug-induced antisynthetase syndrome. Postgrad Med J. 1997;73(857):165-6. doi: 10.1136/pgmj.73.857.165
- Lengyel C, Boros I, Várkonyi T, et al. Amiodarone-induced pulmonary fibrosis. Orv Hetil. 1996;137(32):1759-62.
- Fauroux B, Clément A, Tournier G. Pulmonary toxicity of drugs and thoracic irradiation in children. Rev Mal Respir. 1996;13(3):235-42.
- Smolen JS, Landewé RBM, Bijlsma JWJ, et al. EULAR recommendations for the management of rheumatoid arthritis with synthetic and biological disease-modifying antirheumatic drugs: 2019 update [published online ahead of print, 2020 Jan 22]. Ann Rheum Dis. 2020; annrheumdis-2019-216655. doi: 10.1136/annrheumdis-2019-216655
- Weinblatt ME. Methotrexate in rheumatoid arthritis: a quarter century of development. Trans Am Clin Climatol Assoc. 2013;124:16-25.
- Doyle TJ, Dellaripa PF. Lung Manifestations in the Rheumatic Diseases. Chest. 2017;152(6):1283-95. doi: 10.1016/j.chest.2017.05.015
- Chansakul T, Dellaripa PF, Doyle TJ, Madan R. Intra-thoracic rheumatoid arthritis: Imaging spectrum of typical findings and treatment related complications. Eur J Radiol. 2015;84(10):1981-91. doi: 10.1016/j.ejrad.2015.07.008
- Roubille C, Haraoui B. Interstitial lung diseases induced or exacerbated by DMARDS and biologic agents in rheumatoid arthritis: a systematic literature review. Semin Arthritis Rheum. 2014;43(5):613-26.doi: 10.1016/j.semarthrit.2013.09.005
- Alarcón GS, Kremer JM, Macaluso M, et al. Risk factors for methotrexate-induced lung injury in patients with rheumatoid arthritis. A multicenter, case-control study. Methotrexate-Lung Study Group. Ann Intern Med. 1997;127(5): 356-64.doi: 10.7326/0003-4819-127-5-199709010-00003
- Atzeni F, Boiardi L, Sallì S, et al. Lung involvement and drug-induced lung disease in patients with rheumatoid arthritis. Expert Rev Clin Immunol. 2013;9(7):649-57. doi: 10.1586/1744666X.2013.811173
- Pavy S, Constantin A, Pham T, et al. Methotrexate therapy for rheumatoid arthritis: clinical practice guidelines based on published evidence and expert opinion. Joint Bone Spine. 2006;73(4):388-95. doi: 10.1016/j.jbspin.2006.01.007
- Conway R, Low C, Coughlan RJ, et al. Methotrexate and lung disease in rheumatoid arthritis: a meta-analysis of randomized controlled trials. Arthritis Rheumatol. 2014;66(4):803-12. doi: 10.1002/art.38322
- Salehi M, Miller R, Khaing M. Methotrexate-induced Hypersensitivity Pneumonitis appearing after 30 years of use: a case report. J Med Case Rep. 2017;11(1):174. doi: 10.1186/s13256-017-1333-0
- Yamakawa H, Yoshida M, Takagi M, Kuwano K. Late-onset methotrexate-induced pneumonitis with neutrophilia in bronchoalveolar lavage fluid. BMJ Case Rep. 2014;2014:bcr2014206123.doi: 10.1136/bcr-2014-206123
- Dong H, Julien PJ, Demoruelle MK, et al. Interstitial lung abnormalities in patients with early rheumatoid arthritis: A pilot study evaluating prevalence and progression. Eur J Rheumatol. 2018;6(4):193-8. doi: 10.5152/eurjrheum.2019.19044
- Furukawa H, Oka S, Shimada K; Rheumatoid Arthritis-Interstitial Lung Disease Study Consortium, Tsuchiya N, Tohma S. HLA-A*31:01 and methotrexate-induced interstitial lung disease in Japanese rheumatoid arthritis patients: a multidrug hypersensitivity marker? Ann Rheum Dis. 2013;72(1):153-5. doi: 10.1136/annrheumdis-2012-201944
- Bluett J, Owen SA, Massey J, et al. HLA-A 31:01 is not associated with the development of methotrexate pneumonitis in the UK population: results from a genome-wide association study. Ann Rheum Dis. 2017;76(12):e51. doi: 10.1136/annrheumdis-2017-211512
- Jakubovic BD, Donovan A, Webster PM, Shear NH. Methotrexate-induced pulmonary toxicity. Can Respir J. 2013;20(3):153-5. doi: 10.1155/2013/527912
- Ohbayashi M, Suzuki M, Yashiro Y, et al. Induction of pulmonary fibrosis by methotrexate treatment in mice lung in vivo and in vitro. J Toxicol Sci. 2010;35(5):653-61. doi: 10.2131/jts.35.653
- Fragoulis GE, Nikiphorou E, Larsen J, et al. Methotrexate-Associated Pneumonitis and Rheumatoid Arthritis-Interstitial Lung Disease: Current Concepts for the Diagnosis and Treatment. Front Med (Lausanne). 2019;6:238. doi: 10.3389/fmed.2019.00238
- D’Elia T. Methotrexate-induced pneumonitis: heterogeneity of bronchoalveolar lavage and differences between cancer and rheumatoid arthritis. Inflamm Allergy Drug Targets. 2014;13(1):25-33. doi: 10.2174/1871528112666131230013059
Supplementary files




