Cardiovascular magnetic resonance in myocardial infarction with non-obstructive coronary arteries
- Authors: Pershina E.S.1, Shchekochikhin D.Y.1,2,3, Shaginyan G.M.1, Shilova A.S.1,3, Sherashov A.V.1, Poltavskaya M.G.2, Isaeva S.K.1,2, Gilyarov M.Y.1,2,3, Svet A.V.1,2, Sinitsyn V.E.4
-
Affiliations:
- Pirogov First City Clinical Hospital
- Sechenov First Moscow State Medical University (Sechenov University)
- Pirogov Russian National Research Medical University
- Lomonosov Moscow State University
- Issue: Vol 93, No 4 (2021)
- Pages: 376-380
- Section: Original articles
- Submitted: 01.06.2021
- Accepted: 01.06.2021
- Published: 15.04.2021
- URL: https://ter-arkhiv.ru/0040-3660/article/view/71160
- DOI: https://doi.org/10.26442/00403660.2021.04.200676
- ID: 71160
Cite item
Full Text
Abstract
Aim. To analyze diagnostic performance of cardiovascular magnetic resonance (CMR) in patients, presented with myocardial infarction with nonobstructed coronary arteries (MINOCA).
Materials ant methods. 46 consecutives patients presented with myocardial infarction without evidence of obstructive coronary disease on angiography between January, 1 2018 and October 1, 2019 were included in the study. All patients underwent CMR within 10 days after admission. MRI was performed on 1.5 T Magnetic Resonance Imaging (MRI) using comprehensive protocol (T2-images, Cine-CMR, late gadolinium enhancement (LGE)).
Results. CMR revealed myocardial infarction (MI) pattern in 14 patients (30.4%), myocarditis in 12 (26.1%), hypertrophic cardiomyopathy in 6 (13.1%). In 14 patients (30.4%) no LGE was observed. Notably in 2 patients without LGE features of takotsubo syndrome were noted. Mean age was significantly lower in patients with MI versus patient with non-ischemic causes of MINOCA (56.1±12.3 vs 64.6±12.8; p=0.04). ST elevation at admission frequency didn’t differ between MI and non-ischemic patients (35.7% vs 25.0%; p=0.76). However MI patients had significantly increased troponin level, 0.87 [0.22; 1.85] vs 0.22 [0.07; 0.38]; p=0.008. CMR allowed to establish the précised clinical diagnosis in 73.9% of the cases.
Conclusion. Clinical data doesn’t allow to differentiate ischemic or non-ischemic causes of MINOCA. However, CMR establish the correct diagnosis in most cases.
Full Text
Введение
Основой лечения инфаркта миокарда (ИМ) являются своевременная диагностика и последующая реваскуляризация пораженной артерии [1]. У 90% пациентов с ИМ с подъемом сегмента ST на электрокардиограмме (ЭКГ) и у большинства лиц с ИМ без подъема ST при инвазивной коронароангиографии (КАГ) выявляется гемодинамически значимый стеноз или окклюзия коронарной артерии [2]. В то же время у 3–15% пациентов, которые госпитализируются с ИМ, при КАГ не выявляется стеноз коронарных артерий более 50% или вообще не обнаруживается атеросклеротического поражения коронарных артерий [1–3]. При наличии критериев Четвертого универсального определения ИМ и при отсутствии обструктивного поражения коронарных артерий по данным КАГ может быть установлен предварительный диагноз ИМ без обструктивного поражения коронарных артерий – ИМБОКА (англ. myocardial infarction with nonobstructed coronary arteries – MINOCA) [4–6]. Согласно опубликованным данным ИМБОКА, как и ИМ с обструкцией коронарного русла, ассоциирован с развитием неблагоприятных исходов, в частности смерть или повторный ИМ развиваются у 5% пациентов в течение года наблюдения [1, 7, 8]. В случае предположительного диагноза ИМБОКА необходима тщательная идентификация его конкретной причины: спазм коронарной артерии, разрыв бляшки, диссекция коронарной артерии, миокардит, кардиомиопатия и так далее, так как различные нозологии требуют дифференцированного подхода к лечению. Магнитно-резонансная томография (МРТ) сердца позволяет различить ишемический и неишемический генез поражения и выявить точную причину в большинстве случаев ИМБОКА.
Цель исследования – оценить возможности МРТ сердца в установлении диагноза у пациентов, госпитализированных с подозрением на ИМБОКА.
Материалы и методы
В исследование последовательно включены пациенты старше 18 лет, госпитализированные в период с 01.01.2018 по 01.10. 2019 с диагнозом «острый коронарный синдром» в многопрофильный стационар и соответствующие критериям ИМБОКА: наличие ангинозных болей, ишемических изменений ЭКГ, выявление зон нарушения локальной сократимости по данным эхокардиографии, повышение уровня тропонина крови свыше 99-го перцентиля нормального значения в сочетании с отсутствием атеросклеротического поражения коронарных артерий более 50% по данным инвазивной КАГ. Критериями исключения считалось обнаружение других явных причин повышения маркеров поражения миокарда по данным стандартного обследования (тромбоэмболия легочной артерии, диссекция аорты, сепсис, выраженная почечная недостаточность, типичный паттерн синдрома такоцубо при эхокардиографии). Следует отметить, что до выхода Четвертого универсального определения ИМ к ИМБОКА относили синдром такоцубо, в дальнейшем исключенный из понятия ИМБОКА.
Всем включенным пациентам выполнена МРТ сердца с внутривенным контрастированием в течение 1-й недели госпитализации. Исследование проводилось на магнитно-резонансном томографе 1,5 Тесла с использованием стандартного протокола, включающего Т2-взвешенные изображения, кино-последовательности и отсроченное контрастирование. Согласно данным МРТ все пациенты разделены на 4 группы (рис. 1): ИМ, миокардит, гипертрофическая кардиомиопатия (ГКМП), нормальный миокард. Исследование одобрено локальным этическим комитетом.
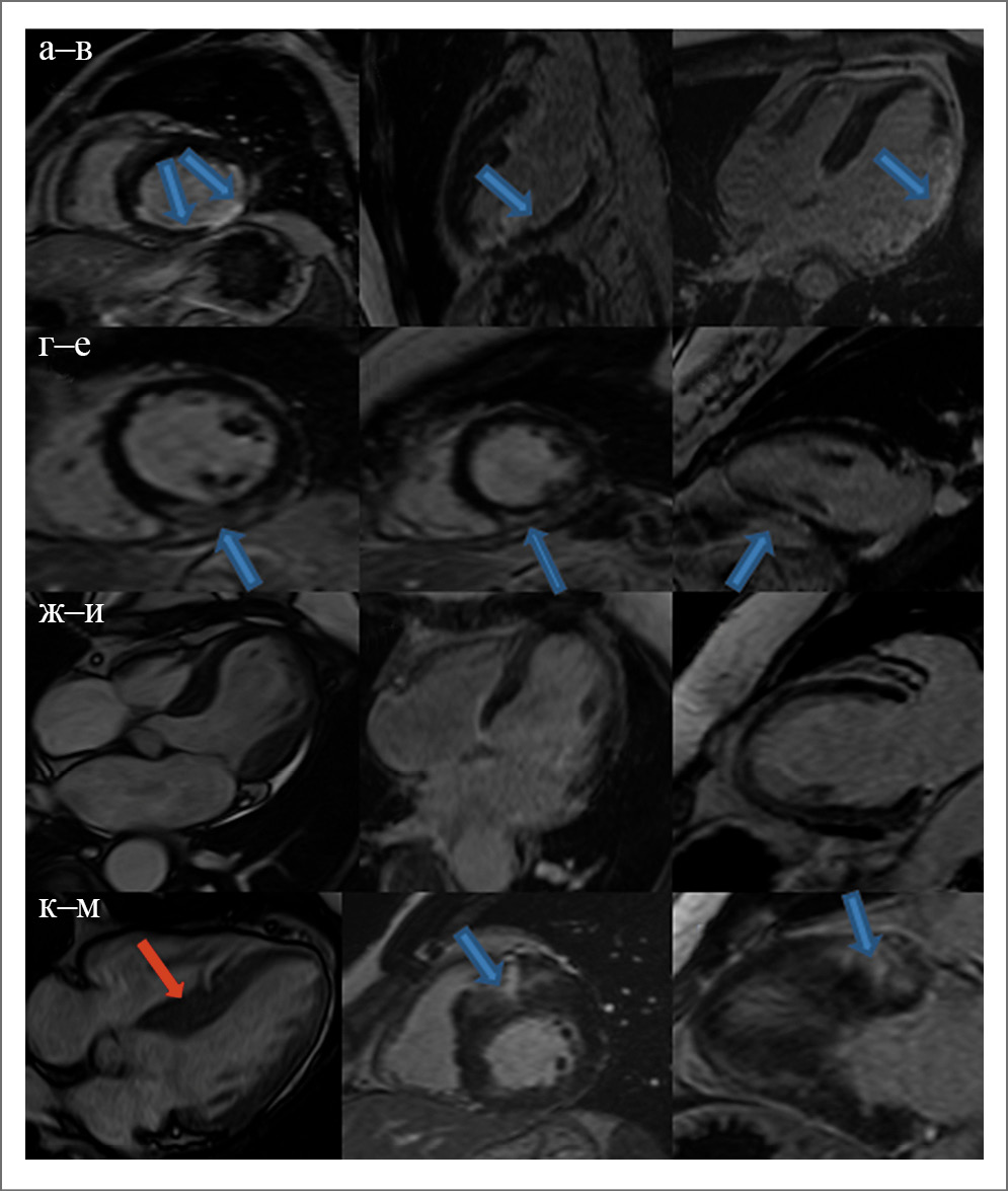
Рис. 1. МРТ пациентов из 4 представленных групп: а–в – ИМ, субэндокардиальное накопление контрастного препарата в нижней и латеральной стенке (стрелка); г–е – миокардит, субэпикардиальное накопление контрастного препарата в нижней стенке (стрелка); ж–и – синдром такоцубо, баллонирование верхушки на кино-изображениях (левое изображение) и отсутствие отсроченного контрастирования миокарда (центральное и правое изображения); к–м – ГКМП, асимметричное утолщение межжелудочковой перегородки (красная стрелка), фокальное интрамиокардиальное накопление контрастного препарата в наиболее гипертрофированном базальном переднеперегородочном сегменте миокарда ЛЖ.
Описательные статистики представлены в виде среднего и стандартного отклонения, медианы и 25 и 75-го процентилей для количественных переменных, а также частот встречаемости и долей в выборке для качественных переменных. Проверка распределения на нормальность проводилась с использованием теста Колмогорова–Смирнова. В случаях малых выборок (n<30) проверка распределения на нормальность не осуществлялась, при статистической обработке использовались непараметрические критерии. Для сравнения количественных данных в двух несвязанных между собой выборках применялся Т-критерий Стьюдента для параметров, распределенных нормально, и U-критерий Манна–Уитни для параметров, распределение которых отличалось от нормального, а также для параметров, относящихся к порядковой шкале. Для сравнения номинальных переменных в двух несвязанных совокупностях использовался критерий χ2, а при наличии ограничений для его использования – точный критерий Фишера. Уровень значимости (p) принимали равным 0,05 во всех описанных сравнениях.
Результаты
В исследование включены 46 пациентов (43,5% мужчины, средний возраст 62,0±13,1 года), что составило 3,77% от всех больных с ИМ, госпитализированных с 01.01.2018 по 01.10. 2019 пациентов (28,2%). Медиана максимального повышения уровня тропонина крови составила 0,28 нг/мл [0, 09; 0, 69]. Сроки выполнения МРТ составили 8±1,4 дня после госпитализации. Отек миокарда выявлен в 36% всех случаев. Отек миокарда не выявлялся в группе пациентов, у которых МРТ сердца соответствовала норме. По данным МРТ сердца с отсроченным контрастированием ишемическое поражение зафиксировано у 14 (30,4%) пациентов, неишемическое поражение, характерное для миокардита (рис. 2), – у 12 (26,1%), ГКМП – у 6 (13,0%). У 14 (30,4%) пациентов отсроченное контрастирование при МРТ не определялось, при этом у 2 (4,3%) из последней группы лиц на момент проведения МРТ выявлены типичные признаки (баллонирования верхушки левого желудочка – ЛЖ и отсутствия контрастного усиления в отсроченную фазу контрастирования) синдрома такоцубо. У 12 (26,1%) пациентов из последней группы МРТ соответствовала норме (отсутствие дилатации полостей сердца, нарушения локальной и глобальной сократимости, отека и отсроченного контрастирования миокарда). Для дальнейшего анализа дополнительно пациенты разделены на группу ишемического поражения (ИМ) и неишемичсекого (миокардит, ГКМП, пациенты с отсутствием отсроченного контрастирования при МРТ).
Рис. 2. МРТ пациента с острым миокардитом: а – изображения в режиме Т2 с жироподавлением, повышение МР-сигнала, соответствующее отеку (стрелка), в среднем нижнем сегменте миокарда ЛЖ; б – расчет соотношения интенсивности МР-сигнала от миокарда к интенсивности сигнала от скелетной мышцы (соотношение более 2 является критерием отека миокарда, Lake Louise); в – серия отсроченного контрастирования, интрамиокардиальное накопление контрастного препарата в среднем нижнем сегменте миокарда ЛЖ.
Средний возраст пациентов не различался между 4 группами (p=0,15); табл. 1. Однако средний возраст пациентов с ишемическим генезом поражения миокарда был значимо меньше, чем у пациентов с неишемическим генезом (56,1±12,3 года против 64,6±12,8 года; p=0,04). Достоверно большее число мужчин отмечено в группе ишемического поражения (71,4% против неишемического 31,3%; p=0,01) при отсутствии значимого различия по 4 группам (p=0,09).
Таблица 1. Характеристика пациентов с предварительным диагнозом MINOCA в зависимости от изменений, выявленных при МРТ сердца (n=46)
ИМ, n=14 (30,4%) | Неишемическое поражение*, n=32 (69,6%) | Миокардит, n=12 (26,1%) | ГКМП, n=6 (13,1%) | Отсутствие изменений при МРТ, n=14 (30,4%) | |
Средний возраст, лет | 56,1 | 64,6 | 61,8 | 64,2 | 67,2 |
Мужской пол, % | 71,4 | 31,3 | 33,3 | 33,3 | 28,6 |
Частота элевации сегмента ST на ЭКГ при поступлении, % | 35,7 | 25,0 | 8,3 | 50,0 | 28,6 |
Среднее значение тропонина при поступлении Т, нг/мл | 1,45 | 0,35 | 0,44 | 0,38 | 0,25 |
*Объединенная группа: миокардит, ГКМП, отсутствие изменений при МРТ сердца.
Подъем сегмента ST на ЭКГ выявлялся с одинаковой частотой у пациентов с ишемическим и неишемическим поражением миокарда (35,7% против 25,0%; p=0,76). При ишемическом поражении медиана уровня повышения тропонина составила 0,87 нг/мл [0, 22; 1, 85], при неишемическом поражении – 0,22 нг/мл [0, 07; 0, 38]; p=0,008. Конкретный диагноз установлен у 34 (73,9%) пациентов.
Обсуждение
Одной из ключевых задач в определении тактики ведения таких пациентов остается выявление непосредственной причины заболевания. В представленной серии наблюдений из 46 пациентов МРТ сердца, проведенная через 7–10 дней после госпитализации, позволила поставить точный диагноз у 73,9% пациентов. Согласно опубликованным исследованиям на небольшой выборке пациентов МРТ дала возможность определить причину заболевания от 30 до 90% случаев [9, 10]. Причиной такого значительного разброса, вероятно, являются временной интервал между госпитализацией и проведением МРТ и разрешение обратимого острого процесса к моменту исследования. В исследовании с включением 388 пациентов и интервалом между госпитализацией и МРТ 28 дней в 74% случаев диагноз поставлен с помощью МРТ, что соответствует нашим данным [11]. В нашем исследовании наиболее частой нозологией при подозрении на ИМБОКА являлся ИМ (30,4%), миокардит определялся в 26,1%, ГКМП – в 13,0%. В ряде исследований ведущей причиной ИМБОКА считался миокардит [10, 12]. Однако в исследовании A. Dastidar и соавт. на крупной выборке пациентов продемонстрирована большая частота встречаемости ИМ. У 30,4% пациентов отсроченное контрастирование при МРТ не определялось. У 2 из этих пациентов к моменту проведения исследования выявлены (баллонирование верхушки ЛЖ и отсутствие контрастного усиления в отсроченную фазу контрастирования) признаки синдрома такоцубо. Мы предполагаем, что в случае проведения МРТ сердца в более ранние сроки встречаемость типичных для синдрома такоцубо изменений может увеличиться.
Отдельного внимания заслуживает феномен повышения уровня тропонина в группе с верифицированной ГКМП. Как известно, у пациентов с выраженной гипертрофией миокарда могут отмечаться эпизоды ангинозных болей и ишемическая динамика ЭКГ, что позволяет данной патологии мимикрировать под ИМ. По данным ряда авторов, до 54% пациентов с ГКМП могут иметь повышение уровня тропонина Т. Среди возможных механизмов увеличения уровня тропонина Т: повреждение кардиомиоцитов на фоне гипоперфузии миокарда вследствие несоответствия между потребностью гипертрофированного миокарда и возможностей кровоснабжения; микрососудистая дисфункция. Повышение уровня тропонина у пациентов с ГКМП является независимым предиктором возможных неблагоприятных исходов [13].
При анализе клинико-демографических параметров оказалось, что между 4 группами, выделяемыми по паттерну отсроченного контрастирования при МРТ, различий по полу, возрасту, уровню тропонина и встречаемости элевации сегмента ST на ЭКГ не определялось. Однако достоверно большие значения тропонина выявлены в группе ИМ в сравнении с группой неишемического генеза.
Таким образом, МРТ сердца является практически единственным способом, позволяющим прижизненно определить причину ИМБОКА у большинства пациентов.
Ограничением нашего исследования считаются относительно небольшая выборка пациентов, а также временной интервал между госпитализацией и проведением МРТ в случае синдрома такоцубо.
Заключение
Пациенты, госпитализированные с диагнозом ИМ при отсутствии значимого поражения коронарного русла, представляют гетерогенную группу патологий, требующих различной терапии. Рутинные клинико-лабораторные методы исследования не позволяют поставить достоверный диагноз у большинства пациентов с ИМБОКА. В представленной серии наблюдений МРТ сердца, выполненное в течение госпитализации, позволило выявить причину развития ИМБОКА в 73,9% случаев.
Авторы заявляют об отсутствии конфликта интересов.
Исследование выполнено при поддержке гранта Российского фонда фундаментальных исследований 19-315-70043.
Список сокращений
ГКМП – гипертрофическая кардиомипатия ИМ – инфаркт миокарда ИМБОКА – инфаркт миокарда без обструктивного поражения коронарных артерий КАГ– коронароангиография ЛЖ – левый желудочек | МРТ – магнитно-резонансная томография ЭКГ– электрокардиография CMR – Cardiovascular magnetic resonance LGE – late gadolinium enhancement MINOCA – myocardial infarction with nonobstructed coronary arteries |
About the authors
Ekaterina S. Pershina
Pirogov First City Clinical Hospital
Email: isaevasaida88@mail.ru
ORCID iD: 0000-0002-3952-6865
к.м.н., рук. центра лучевой диагностики
Russian Federation, MoscowDmitry Yu. Shchekochikhin
Pirogov First City Clinical Hospital; Sechenov First Moscow State Medical University (Sechenov University); Pirogov Russian National Research Medical University
Email: isaevasaida88@mail.ru
ORCID iD: 0000-0002-8209-2791
к.м.н., врач-кардиолог ГБУЗ «ГКБ №1 им Н.И. Пирогова», доц. каф. профилактической и неотложной кардиологии лечебного фак-та, рук. научно-исследовательского отд. кардиологии ФГАОУ ВО «Первый МГМУ им. И.М. Сеченова» (Сеченовский Университет), доц. каф. интервенционной кардиологии и кардиореабилитации ФДПО ФГАОУ ВО «РНИМУ им. Н.И. Пирогова»
Russian Federation, MoscowGeorgii M. Shaginyan
Pirogov First City Clinical Hospital
Email: isaevasaida88@mail.ru
ORCID iD: 0000-0001-9289-6104
врач-рентгенолог отд. лучевой диагностики
Russian Federation, MoscowAlexandra S. Shilova
Pirogov First City Clinical Hospital; Pirogov Russian National Research Medical University
Email: isaevasaida88@mail.ru
ORCID iD: 0000-0002-4092-5222
к.м.н., зав. 15-м отд-нием реанимации и интенсивной терапии ГБУЗ «ГКБ №1 им Н.И. Пирогова», доц. каф. интервенционной кардиологии и кардиореабилитации ФДПО ФГАОУ ВО «РНИМУ им. Н.И. Пирогова»
Russian Federation, MoscowAndrei V. Sherashov
Pirogov First City Clinical Hospital
Email: isaevasaida88@mail.ru
ORCID iD: 0000-0003-2220-5990
врач-кардиолог 15-го отд-ния реанимации и интенсивной терапии
Russian Federation, MoscowMaria G. Poltavskaya
Sechenov First Moscow State Medical University (Sechenov University)
Email: isaevasaida88@mail.ru
ORCID iD: 0000-0003-4463-2897
д.м.н., проф. каф. кардиологии, функциональной и ультразвуковой диагностики
Russian Federation, MoscowSaida Kh. Isaeva
Pirogov First City Clinical Hospital; Sechenov First Moscow State Medical University (Sechenov University)
Author for correspondence.
Email: isaevasaida88@mail.ru
ORCID iD: 0000-0001-5861-904X
аспирант каф. кардиологии, функциональной и ультразвуковой диагностики ФГАОУ ВО «Первый МГМУ им. И.М. Сеченова» (Сеченовский Университет), врач функциональной диагностики отд. функциональной диагностики ГБУЗ «ГКБ №1 им Н.И. Пирогова»
Russian Federation, MoscowMihail Yu. Gilyarov
Pirogov First City Clinical Hospital; Sechenov First Moscow State Medical University (Sechenov University); Pirogov Russian National Research Medical University
Email: isaevasaida88@mail.ru
ORCID iD: 0000-0002-2870-3301
д.м.н., проф. каф. кардиологии, функциональной и ультразвуковой диагностики ФГАОУ ВО «Первый МГМУ им. И.М. Сеченова» (Сеченовский Университет). зав. каф. интервенционной кардиологии и кардиореабилитации ФДПО ФГАОУ ВО «РНИМУ им. Н.И. Пирогова», зам. глав. врача по терапевтической помощи, рук. регионального сосудистого центра ГБУЗ «ГКБ №1 им Н.И. Пирогова»
Russian Federation, MoscowAlexey V. Svet
Pirogov First City Clinical Hospital; Sechenov First Moscow State Medical University (Sechenov University)
Email: isaevasaida88@mail.ru
ORCID iD: 0000-0002-2278-7292
к.м.н., глав. врач ГБУЗ «ГКБ №1 им Н.И. Пирогова», доц. каф. кардиологии, функциональной и ультразвуковой диагностики
Russian Federation, MoscowValentin E. Sinitsyn
Lomonosov Moscow State University
Email: isaevasaida88@mail.ru
ORCID iD: 0000-0002-5649-2193
д.м.н., проф., зав. каф. лучевой диагностики и терапии фак-та фундаментальной медицины, зав. отд. лучевой диагностики Медицинского научно-образовательного центра ФГБОУ ВО «МГУ им. М.В. Ломоносова», президент Российского общества рентгенологов и радиологов
Russian Federation, MoscowReferences
- Ibanez B, James S, Agewall S, et al. 2017 ESC Guidelines for the management of acute myocardial infarction in patients presenting with ST-segment elevation: The Task Force for the management of acute myocardial infarction in patients presenting with ST-segment elevation of the European Society of Cardiology (ESC). Eur Heart J. 2018;39:119-77. doi: 10.1093/eurheartj/ehx393
- DeWood MA, Spores J, Notske R, et al. Prevalence of total coronary occlusion during the early hours of transmural myocardial infarction. N Engl J Med. 1980;303:897-902. doi: 10.1056/NEJM198010163031601
- Smilowitz NR, Mahajan AM, Roe MT, et al. Mortality of Myocardial Infarction by Sex, Age, and Obstructive Coronary Artery Disease Status in the ACTION Registry-GWTG (Acute Coronary Treatment and Intervention Outcomes Network Registry-Get With the Guidelines). Circ Cardiovasc Qual Outcomes. 2017;10(12):e003443. doi: 10.1161/CIRCOUTCOMES.116.003443
- Thygesen K, Alpert JS, Jaffe AS, et al. Group ESCSD: Fourth universal definition of myocardial infarction (2018). Eur Heart J. 2018. doi: 10.1093/eurheartj/ehy462
- Reynolds HR, Srichai MB, Iqbal SN, et al: Mechanisms of myocardial infarction in women without angiographically obstructive coronary artery disease. Circulation. 2011;124(13):1414-25. doi: 10.1161/CIRCULATIONAHA.111.026542
- Agewall S, Beltrame JF, Reynolds HR, et al. ESC working group position paper on myocardial infarction with non-obstructive coronary arteries. Eur Heart J. 2017;38(3):143-53. doi: 10.1093/eurheartj/ehw149
- Bainey KR, Welsh RC, Alemayehu W, et al. Population-level incidence and outcomes of myocardial infarction with non-obstructive coronary arteries (MINOCA): Insights from the Alberta contemporary acute coronary syndrome patients invasive treatment strategies (COAPT) study. Int J Cardiol. 2018;264:12-7. doi: 10.1016/j.ijcard.2018.04.004
- Nordenskjold AM, Baron T, Eggers KM, et al. Predictors of adverse outcome in patients with myocardial infarction with non-obstructive coronary artery (MINOCA) disease. Int J Cardiol. 2018;261:18-23. doi: 10.1016/j.ijcard.2018.03.056
- Collste O, Sörensson P, Frick M, et al. Myocardial infarction with normal coronary arteries is common and associated with normal findings on cardiovascular magnetic resonance imaging: results from the Stockholm Myocardial Infarction with Normal Coronaries study. J Intern Med. 2013;273:189-96. doi: 10.1111/j.1365-2796.2012.02567.x
- Mahmoudi M, Harden S, Abid N, et al. Troponin-positive chest pain with unobstructed coronary arteries: definitive differential diagnosis using cardiac MRI. Br J Radiol. 2012;85:e461-6.
- Dastidar AG, Baritussio A, De Garate E, et al. Prognostic Role of CMR and Conventional Risk Factors in Myocardial Infarction With Nonobstructed Coronary Arteries. JACC Cardiovasc Imaging. 2019;12(10):1973-82. doi: 10.1016/j.jcmg.2018.12.023
- Monney PA, Sekhri N, Burchell T, et al. Acute myocarditis presenting as acute coronary syndrome: role of early cardiac magnetic resonance in its diagnosis. Heart. 2011;97:1312-8. doi: 10.1136/hrt.2010.204818
- Jenab Y, Pourjafari M, Darabi F, et al. Prevalence and determinants of elevated high-sensitivity cardiac troponin T in hypertrophic cardiomyopathy. J Cardiol. 2014;63:140-4. doi: 10.1016/j.jjcc.2013.07.008
Supplementary files





