Familial left ventricular noncompaction: phenotypes and clinical course. Results of the multicenter registry
- 作者: Kulikova O.V.1, Myasnikov R.P.1, Mershina E.A.2, Pilus P.S.2, Koretskiy S.N.1, Meshkov A.N.1, Kiseleva A.V.1, Kharlap M.S.1, Sinitsyn V.E.2, Sdvigova N.A.3, Gandaeva L.A.3, Barskiy V.I.3, Derevnina Y.V.3, Zharova O.P.3, Basargina E.N.3, Boytsov S.A.4, Drapkina O.M.1
-
隶属关系:
- National Medical Research Center for Therapy and Preventive Medicine
- Lomonosov Moscow State University
- National Medical Research Center for Children’s Health
- National Medical Research Center of Cardiology
- 期: 卷 93, 编号 4 (2021)
- 页面: 381-388
- 栏目: Original articles
- ##submission.dateSubmitted##: 01.06.2021
- ##submission.dateAccepted##: 01.06.2021
- ##submission.datePublished##: 15.04.2021
- URL: https://ter-arkhiv.ru/0040-3660/article/view/71171
- DOI: https://doi.org/10.26442/00403660.2021.04.200677
- ID: 71171
如何引用文章
全文:
详细
Aim. To analyze and demonstrate various phenotypes in patients with familial left ventricular noncompaction (LVNC).
Materials and methods. In 2013 was created a multicenter registry of LVNC patients. On its basis 30 families with a familial LVNC were selected.
Results. 30 LVNC families were selected from the register. From a total of 115 people (probands and relatives) in 71 (61.7%) LVNC was diagnosed (30 probands and 41 relatives with non-compact myocardial criteria). The most common type of remodeling in patients was the dilated type (DT) (n=30), the isolated LVNC with preserved ejection fraction (EF) was slightly less common (n=23), and the hypertrophic type (GT) was detected in 8 patients. 4 patients were diagnosed with the isolated LVNC with a reduced EF. 3 patients were with a combination of non-compact myocardium with congenital heart disease and with a combination of DT and GT (DT+GT). During the analysis of cases a combination of different phenotypes in the same family was observed. The largest number of families was diagnosed with a combination of DT and the isolated LVNC with preserved EF. The development of cardiovascular complications was associated with DT.
Conclusion. Family cases of LVNC had different types of myocardial remodeling and variants of clinical course. In one family a combination of different types of left ventricular remodeling is possible. DT is associated with the most severe clinical manifestations. The clinical picture of the isolated LVNC with preserved EF, is the most favorable, but in rare cases, serious clinical manifestations were observed.
全文:
Введение
Некомпактный миокард левого желудочка (НМЛЖ) характеризуется двухслойной структурой миокарда, увеличением числа трабекул и межтрабекулярных пространств, сообщающихся с полостью левого желудочка (ЛЖ). Клиническая картина НМЛЖ крайне разнообразна: от бессимптомного течения до тяжелой сердечной недостаточности (СН), жизнеопасных нарушений ритма сердца (НРС), внезапной сердечной смерти (ВСС) и тромбоэмболических осложнений (ТЭО). Выделяют семейные и спорадические случаи НМЛЖ. При этом изучение семейных форм заболевания позволяет проследить различие клинических проявлений и варианты течения заболевания в нескольких поколениях, а также в некоторых случаях дает возможность предположить прогноз заболевания. Также при изучении семейных форм кардиомиопатии шанс найти генетический предиктор заболевания выше, чем у пациентов со спорадической формой. В настоящее время идентифицированы гены, кодирующие саркомерные или цитоскелетные белки, патогенные варианты в которых ассоциированы с развитием повышенной трабекулярности ЛЖ. Несмотря на прогресс в диагностике и лечении за последние 10 лет, понимание течения и прогноза заболевания требует уточнения. Встречаются различные варианты как течения, так и фенотипического проявления данной кардиомиопатии. Описаны различные фенотипы поражения миокарда при НМЛЖ в рамках одной семьи. Появляется все больше работ, направленных на оценку и определение исходов и стратификации рисков данной категории больных.
Цель исследования – проанализировать и продемонстрировать различные типы ремоделирования ЛЖ у пациентов с семейной формой НМЛЖ.
Материалы и методы
В данной статье представлены клинические данные 30 семей с диагнозом НМЛЖ из многоцентрового регистра пациентов с НМЛЖ. Включение пациентов с критериями НМЛЖ осуществлялось непрерывно с 01.03.2013 до 01.09.2019. В рамках исследования (рис. 1) проводились одномоментное клиническое обследование, ретроспективный анализ сердечно-сосудистых событий и проспективное наблюдение.
Рис. 1. Дизайн исследования
Вторым этапом проведено обследование родственников пробандов 1 и 2-й линий родства, направленное на выявление семейных случаев некомпактного миокарда (НМ). Совершеннолетние пациенты проходили обследование на базах ФГБУ НМИЦ ТПМ и МНОЦ ФГБОУ ВО МГУ, обследование несовершеннолетних пациентов проводилось на базе ФГАУ «НМИЦ здоровья детей». Всем пробандам и родственникам пробандов проведено комплексное клинико-инструментальное обследование, включающее в себя физикальное обследование, тест с 6-минутной ходьбой, электрокардиографическое исследование (ЭКГ) в 12 отведениях, суточное мониторирование ЭКГ по Холтеру (ХМ-ЭКГ), трансторакальное эхокардиографическое исследование (ЭхоКГ), лабораторное исследование.
Диагноз НМЛЖ устанавливался на основании наличия ЭхоКГ-критерия НМЛЖ (Jenni) [1]. Критерий Jenni: наличие двухслойной структуры сердца, трабекул и кровотока между ними, соотношение толщины некомпактного слоя к толщине компактного >2,0.
В качестве «золотого стандарта» диагностики НМЛЖ всем пациентам с ЭхоКГ-критериями НМЛЖ и повышенной степенью трабекулярности миокарда с целью подтверждения/исключения НМЛЖ и оценки степени фиброза миокарда проводилась магнитно-резонансная томография (МРТ) сердца с контрастным усилением. Для верификации диагноза НМЛЖ мы использовали критерий Petersen (соотношение некомпактного к компактному слою >2,3).
По результатам МРТ сердца отобраны 30 семей с подтвержденным НМЛЖ как минимум у двух членов одной семьи. Также ретроспективно в данном исследовании использованы более специфичные МРТ-критерии Grothoff [2]: индексированная масса НМ к поверхности тела более 15 г/м²; процентное соотношение массы НМ>25%; соотношение некомпактного слоя к компактному ≥3:1 в одном из сегментов (1–3, 7–16), исключая верхушечный сегмент (17), и наличие трабекулярности в сегментах 4–6≥2:1 (некомпактный/компактный слой).
Результаты
В данном регистре пациентов с НМЛЖ к настоящему времени обследованы 180 пробандов с МРТ-критериями НМЛЖ, при этом у 30 подтверждена семейная форма заболевания. У остальных пробандов – спорадический вариант заболевания либо не все родственники пробандов обследованы.
Представляем данные 30 семей с НМЛЖ: всего обследованы 30 пробандов и 85 родственников пациентов: 52 мужчины и 63 женщины, средний возраст составил 33,8 (±18,5). В итоге из 115 человек у 71 (61,7%) диагностирован НМЛЖ. Из 71 пациента с НМЛЖ 16 пациентов – в возрасте менее 14 лет. Согласно ранее опубликованным работам единого представления о классификации и определении фенотипов в настоящее время нет. В исследовании J. Towbin и соавт. выделены следующие формы НМЛЖ: изолированный НМ, аритмическая форма НМ, дилатационный тип (ДТ), гипертрофический тип (ГТ), сочетание ДТ и ГТ (ДТ+ГТ), сочетание с врожденными пороками сердца (ВПС), бивентрикулярный тип поражения [1]. В недавнем исследовании J. Waning и соавт. пациенты с НМЛЖ разделены на группы с изолированным НМ, с ДТ и ГТ [3]. Учитывая отсутствие единой классификации, мы решили разделить пациентов на следующие фенотипы согласно данным ЭхоКГ и МРТ сердца:
- изолированный НМ без снижения сократительной способности миокарда (ИНМсФВ);
- изолированный НМ со снижением сократительной способности миокарда, но с сохранными размерами камер сердца (ИНМнФВ);
- ГТ (при толщине межжелудочковой перегородки – ТМЖП более 1,3 см);
- ДТ (при увеличении конечного диастолического размера – КДР (более 5,6 см, снижение фракции выброса – ФВ);
- сочетание ГТ и ДТ;
- сочетание с ВПС.
Использовав данную классификацию, мы получили следующие результаты (рис. 2).
Рис. 2. Распределение типов ремоделирования миокарда при НМЛЖ
Наиболее распространенным у наших пациентов оказался ДТ (n=30), у 23 пациентов диагностирован ИНМсФВ, у 8 пациентов выявлен ГТ. Значительно меньше пациентов с ИНМнФВ, но с сохранными размерами камер сердца (n=4), а также сочетанием ДТ+ГТ (n=3) и c сочетанием с ВПС (n=3).
При детальном анализе типов ремоделирования в семьях верифицированы различные сочетания фенотипов в каждой семье (рис. 3).
Рис. 3. Сочетание типов ремоделирования миокарда по семьям
Наибольшее число семей представлено сочетанием ДТ и ИНМсФВ. В 2 семьях отмечалось сочетание ДТ и ИНМнФВ. Также в 7 семьях встречался только ДТ ремоделирования. В 1 семье представлено 3 типа ремоделирования миокарда: у мамы пациентки отмечается ГТ НМ, у пробанда – ИНМнФВ, а у дочери пробанда – ранний дебют заболевания с ДТ. Все остальные сочетания представлены в единичном варианте.
Клинические проявления заболевания крайне разнообразны даже у пациентов с одним фенотипом. Встречаются как малосимптомные пациенты с ДТ, так и симптомные пациенты с ИНМсФВ. Однако при сравнении всех пациентов с различными фенотипами наиболее тяжелое клиническое течение наблюдается у пациентов с ДТ и сочетанием ДТ+ГТ и НМЛЖ (табл. 1).
Таблица 1. Клиническая характеристика и показатели ремоделирования миокарда взрослых пациентов с НМЛЖ
ДТ (n=22) | ГТ (n=7) | ДТ+ГТ (n=3) | ВПС+НМ (n=3) | ИНМсФВ (n=17) | ИНМнФВ (n=3) | |
Пол, м/ж | 9/13 | 4/3 | 2/1 | 3/0 | 7/10 | 2/1 |
Возраст, лет | 37,2 (±14,2) | 46,2 (±9,4) | 35 (±2,6) | 24,6 (±8,1) | 34,2 (±10,2) | 26,6 (±5,1) |
КДР, см | 6,2 (±0,7) | 4,9 (±1,4) | 6,2 (±0,1) | 5,6 (±0,9) | 4,8 (±1,1) | 5,2 (±1) |
КДО, инд | 95,2 (33,09) | 93,9 (±32,5) | 105,5 (±0,7) | 108 (±60,8) | 69 (±9,7) | 77,3 (±8,1) |
ФВ, % (Simpson) | 34,9 (±10,4) | 55,6 (±11,3) | 39 (±9,5) | 59,3 (±4,1) | 61,9 (±6,5) | 43 (±2) |
ТМЖП, мм | 8,8 (±1,5) | 18,7 (±5,4) | 18,3 (±4,9) | 9,3 (±3,05) | 8,7 (±1,5) | 7,5 (±0,5) |
NCM mass/BSA | 23,4 (±7,5) | 20 (±5,6) | 27,75 (±17,3) | 16,5 (±4,9) | 10,4 (±2,2) | 18,8 (±9,2) |
% NCM/TM Grothoff | 24,08 (±5,8) | 18,5 (±2,5) | 23 (±4,2) | 19,5 (±0,5) | 16,7 (±6,1) | 25,3 (±9,7) |
NYHA I ФК | 4 | 2 | 1 | 2 | 3 | 1 |
NYHA II ФК | 13 | 3 | 0 | 0 | 0 | 0 |
NYHA III ФК | 5 | 2 | 2 | 1 | 0 | 0 |
NYHA IV ФК | 0 | 0 | 0 | 0 | 0 | 0 |
ТЭО | 6 | 0 | 2 | 0 | 0 | 0 |
ФП | 6 | 0 | 0 | 1 | 3 | 0 |
ЖТ | 10 | 2 | 2 | 1 | 2 | 2 |
АВ-блокада | 6 | 2 | 0 | 1 | 3 | 1 |
ПБЛНПГ | 6 | 0 | 1 | 0 | 0 | 0 |
Нейромышечные заболевания | 4 | 0 | 0 | 0 | 0 | 0 |
СРТ-Д | 5 | 0 | 1 | 0 | 0 | 0 |
ИКД | 3 | 2 | 0 | 1 | 0 | 0 |
ЭКС | 0 | 0 | 0 | 0 | 1 | 0 |
Трансплантация сердца | 2 | 0 | 0 | 0 | 0 | 0 |
ВСС (успешная реанимация) | 1 | 0 | 0 | 1 | 0 | 0 |
ВСС | 1 | 0 | 0 | 0 | 0 | 0 |
Смерть (СН) | 2 | 0 | 0 | 0 | 0 | 0 |
Смерть | 0 | 1 | 0 | 0 | 0 | 0 |
Примечание. ВПС+НМ – сочетание НМ с ВПС, NCM mass/BSA – индексированная масса НМ, % NCM/TM Grothoff – соотношение массы НМ к индексированной массе.
Учитывая необходимость использования относительных величин (Z-score) для оценки размеров камер сердца с учетом массо-ростовых показателей в педиатрической практике, а также особенности клинического течения заболевания у детей, клинические данные пациентов младше 14 лет приводим в отдельной таблице (табл. 2). Предлагаем подробный анализ клинических данных каждого из типов ремоделирования.
Таблица 2. Клиническая характеристика и показатели ремоделирования миокарда у детей с НМЛЖ
1 | 2 | 3 | 4 | 5 | 6 | 7 | 8 | 9 | 10 | 11 | 12 | 13 | 14 | 15 | 16 | |
Пол | ж | ж | ж | ж | ж | ж | ж | ж | м | м | м | м | м | м | м | ж |
Возраст | 3 мес/1 год | 1 год/5 лет | 5 мес/3 года | 5 лет/10 лет | 5 лет/10 лет | 1 год/5 лет | 1 год/5 лет | 2 года/7 лет | 1 год/3 года | 3 мес/1 год | 6 мес/2 года | 12 лет/16 лет | 10 лет | 13 лет | 6 лет | 10 лет |
Тип ремоделирования миокарда | ДТ | ДТ | ДТ | ДТ | ИНМсФВ | ИНМсФВ | ИНМсФВ | ДТ | ДТ | ИНМсФВ | ДТ | ДТ | ГТ | ИИНМнФВ | ИНМсФВ | ИНМсФВ |
Z=score КДР/Z-score КДП в динамике | 5,7/2,7 | 5/0,5 | 5,4/1,7 | 2,04/1,1 | -0,12/0,1 | 1,8/-0,3 | 1,6/-0,4 | 3,8/2,6 | 7,5/3,6 | 1,3/0,2 | 2,8/3,2 | 3,2/2,9 | 0,4 | 1,2 | 0,7 | 0,8 |
КДО инд/КДО инд в динамике, мл/м2 | 166/82,5 | 176/55 | 184/61 | 100/74 | 42/51 | 98/69 | 83/59 | 192/131 | 183/116 | 73/74 | 122/130 | 127/106 | 40 | 86 | 60 | 62 |
ФВ (Simpson), % | 21/32 | 31/46/56 | 36/44/62 | 42/49 | 61/53 | 50/50 | 52/53 | 33/32 | 21/33 | 54/70 | 8/27 | 38/26 | 78 | 49 | 76 | 55 |
ТМЖП, мм | 4,9/6,2 | 5/5/5,5 | 4/5/4,5 | 5/6 | 7/6 | 5/6 | 5/6 | 5/5 | 4/4 | 4/4 | 4/4 | 7/8 | 17 | 7 | 6 | 6 |
Класс СН по ROSS | III/II | III/I | III/I | - | - | II/II | II/I | III/II | III/III | I/I | III–IV/II | - | - | - | - | - |
Класс СН по NYHA | - | - | - | II/I | I/II | - | - | - | - | - | - | II/II | II | I | I | I |
НРС | ЖЭС | - | - | - | - | - | - | НЖТ | - | - | - | ЖЭС | Предсердная тахикардия | Феномен укороченного интервала PQ | Феномен укороченного интервала PQ | - |
ДТ ремоделирования
Наиболее распространенным типом ремоделирования НМЛЖ среди представленных пациентов является ДТ: у 30 (42,2%) из 71 пациента; при этом 22 пациента – взрослые, а у детей данный тип ремоделирования – подавляющий (8 из 16).
Касательно индексированных показателей степени выраженности некомпактного слоя, в данной группе они также наиболее выражены, что подтверждают данные расчетов по критериям Grothoff. Среднее значение индексированной массы НМ к поверхности тела у взрослых пациентов составляет 23,4 (±7,5) г/м² при пограничном значении 15 г/м². В подавляющем числе случаев процентное соотношение массы НМ к общей массе миокарда более 25%, при этом средний показатель 24,08 (±5,8).
Значимая степень выраженности и распространенности некомпактного слоя миокарда в ЛЖ обусловливает серьезные нарушения архитектоники и функционирования сердечной мышцы, что в итоге привело к большому количеству сердечно-сосудистых осложнений и тяжелому клиническому течению в данной группе больных. Именно в группе ДТ ремоделирования большее количество ТЭО, тяжелой СН, трансплантаций сердца, ВСС, смертей от декомпенсаций СН.
Также стоит отметить наличие 4 пациентов с нейромышечными заболеваниями (2 семьи с десмин-зависимой миофибриллярной миопатией [4], 2 пробанда – носители патогенных вариантов в гене DMD).
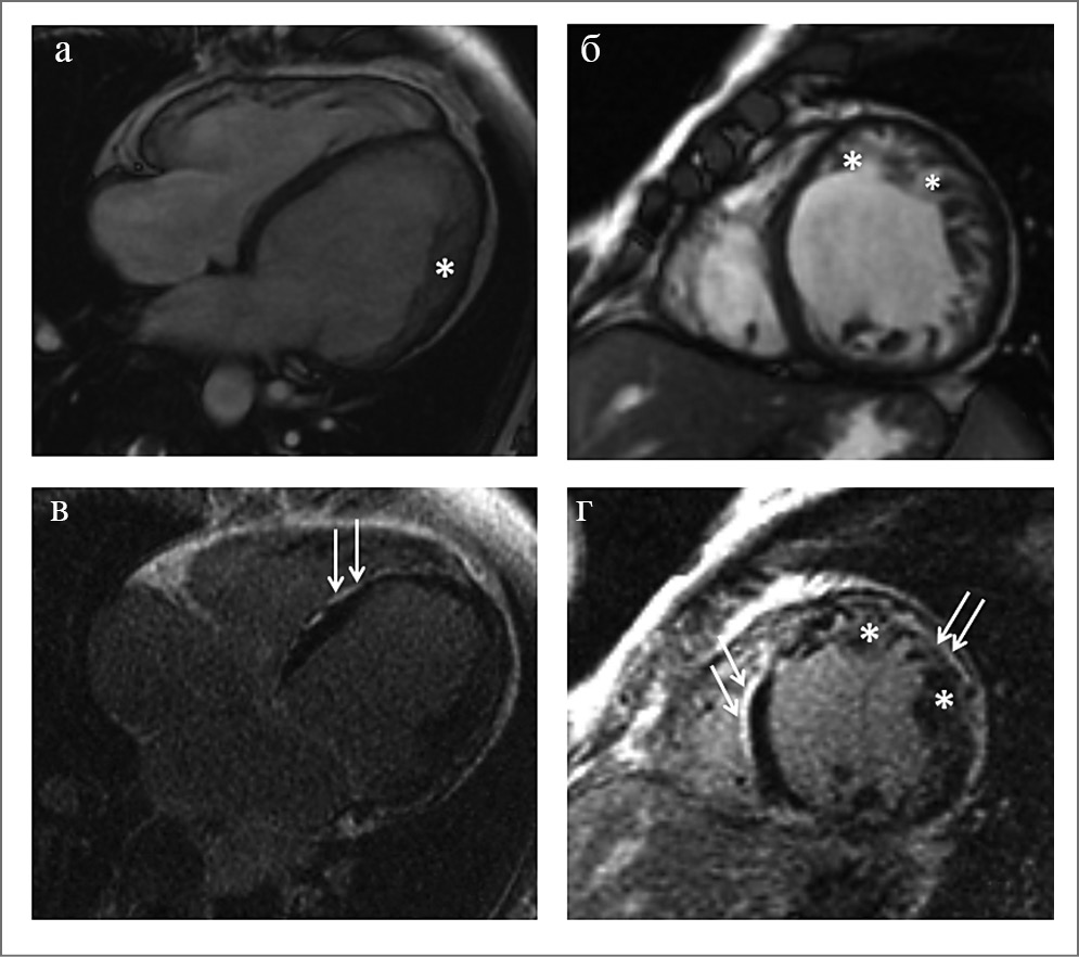
В качестве демонстрации случая ДТ приводим клинический пример пациентки 38 лет. По данным МРТ сердца с гадолинием (рис. 4) отмечается двухслойное строение миокарда ЛЖ в области нижних, передних, переднебоковых, нижнебоковых сегментов, соответствующее критериям некомпактной кардиомиопатии (более чем в 6 сегментах).
Рис. 4, а–б – МРТ сердца в кино-режиме, SSFP-последовательность: а – длинная ось, четрырехкамерная проекция; б – короткая ось; *слой НМ толщиной до 18 мм; в–г – отсроченное контрастирование, IR-последовательность с подавлением сигнала от миокарда. Стрелки указывают на протяженные участки субэпикардиального контрастирования (некоронарогенной природы) в перегородочных и переднебоковых сегментах.
Толщина компактного слоя в этих сегментах составляет 1,8–3,4 мм, некомпактного – 10–17 мм. Некомпактный слой представлен губчатым миокардом. Индексированная масса НМ составляет 41 г/м2 (при норме до 15 г/м2), что составляет 37,7% от массы миокарда ЛЖ (при норме до 25%), ФВ 31%.
ГТ ремоделирования
Несмотря на то, что пациентов с гипертрофическим вариантом ремоделирования НМ меньше в нашей группе семейных случаев НМЛЖ, данные пациенты не менее интересны как с точки зрения морфологии, так и со стороны клинических проявлений. В эту группу вошли пациенты с признаками гипертрофии миокарда межжелудочковой перегородки (МЖП) или одной из стенок ЛЖ в сочетании с НМЛЖ. У подавляющего большинства пациентов изначально по данным ЭхоКГ выявлены признаки гипертрофии миокарда, на ЭКГ регистрировались амплитудные признаки гипертрофии ЛЖ, и эти пациенты долгое время наблюдались как лица с гипертрофической кардиомиопатией (ГКМП). Проведение МРТ сердца позволило дифференцировать данных пациентов от группы пациентов с повышенной трабекулярностью.
Среднее значение индексированной массы НМ к поверхности тела у взрослых пациентов с ГТ составило 20 (±5,6) г/м² при пограничном значении 15 г/м². Количество сегментов с НМЛЖ удовлетворяло критериям Grothoff у всех пациентов. Процентное соотношение массы НМ к общей массе миокарда в данной группе 18,5% (±2,5), что несколько меньше порогового значения (более 25%). Такая ситуация объясняется как раз тем, что у пациентов имелась значимая гипертрофия миокарда ЛЖ: ТМЖП 18,7 (±5,4) мм.
При общей схожести МРТ-картины миокарда клинические проявления у пациентов разнились: от бессимптомного течения до тяжелой СН и желудочковых НРС.
Сочетание дилатации и гипертрофии миокарда
Данный тип ремоделирования миокарда также ассоциирован с неблагоприятным прогнозом заболевания [1] и у наших пациентов приводил к развитию всех возможных осложнений. В данную группу вошли 3 пациента: 2 мужчин и 1 женщина. Если у одного пациента отмечалось лишь наличие незначительного снижения ФВ, отсутствие нарушений ритма и проводимости сердца, а также жизнеугрожающих НРС, то у двух других пациентов в клинической картине преобладали явления выраженной СН, выявлены тромботические осложнения, а также жизнеугрожающие НРС. Кроме того, данные пациенты длительное время велись как больные с ГКМП, однако в дальнейшем стала отмечаться прогрессирующая дилатация полости ЛЖ со снижением сократительной способности миокарда, а по данным МРТ сердца зарегистрированы признаки выраженного интрамиокардиального фиброза.
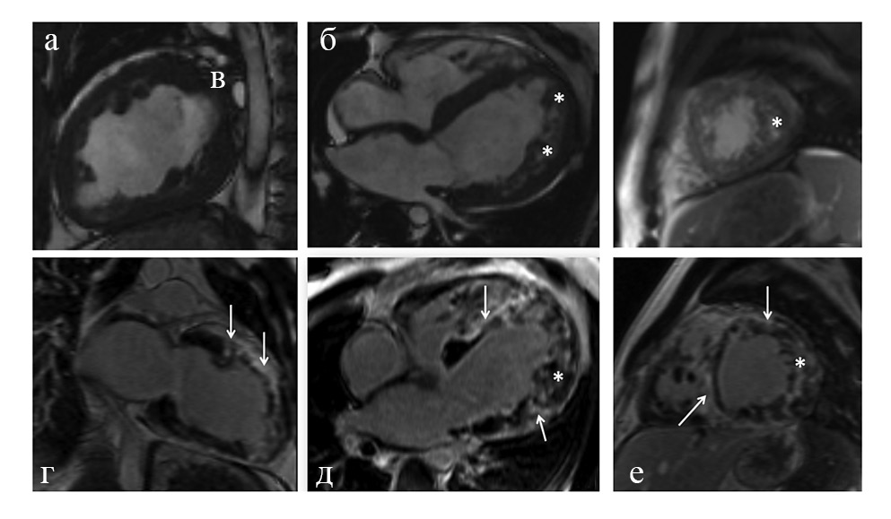
В качестве клинического примера мы представляем пациента 36 лет с тяжелым течением заболевания. По данным МРТ сердца с контрастированием: отмечаются выраженная дилатация левых отделов сердца, двухслойное строение миокарда ЛЖ в верхушке, апикальных сегментах, среднем сегменте боковой стенки, соответствующие критериям некомпактной кардиомиопатии (более чем в 6 сегментах). Толщина компактного слоя в этих сегментах составляет 3–7 мм, некомпактного – 18–22 мм. Некомпактный слой представлен губчатым миокардом. Индексированная масса НМ 40 г/м2, что составляет 26,8% от массы миокарда ЛЖ (при норме до 25%), ФВ 27%. Повышена трабекулярность ПЖ. В области МЖП отмечается гипертрофия миокарда до 15 мм. Также отмечается выраженные фиброзные изменения в миокарде ЛЖ (рис. 5).
Рис. 5, а–в – МРТ сердца в кино-режиме, SSFP-последовательность: а – длинная ось, двухкамерная проекция; б – длинная ось, четырехкамерная проекция; в – короткая ось; *слой НМ толщиной до 20–22 мм; г–е – отсроченное контрастирование, IR-последовательность с подавлением сигнала от миокарда. Стрелки указывают на обширные зоны контрастирования некоронарогенной природы, расположенные субэпикардиально в миокарде передней и боковой стенок ЛЖ, в МЖП со стороны правого желудочка, а также затеки контрастного препарата между трабекулами НМ.
Изолированный НМ с сохранной ФВ
Около 1/3 всех пациентов (n=23; 32,3%) – с данным фенотипом заболевания. Клиническая картина у взрослых в своем большинстве (n=14) представлена бессимптомным течением, только у 3 больных имелись клинические проявления (2 с НРС и проводимости и 1 пациентка с хронической СН). При этом 15 взрослых и 2 детей с ИНМсФВ – родственники пробандов, у которых в свою очередь наблюдалось тяжелое клиническое течение, а также ДТ, ГТ НМЛЖ. Важно отметить, что среди пациентов с ИНМсФВ, характеризующимся в целом доброкачественным течением, встречаются случаи с прогрессирующим течением и клинически значимыми событиями. Кроме того, как сказано выше, большинство пациентов с ИНМсФВ – родственники пробандов с ДТ, ГТ и тяжелыми клиническими проявлениями. Все это делает необходимым проведение обязательного ежегодного обследования данной группы пациентов.
Изолированный НМ со сниженной ФВ
Данная группа пациентов (n=4; 6%) вынесена в отдельную подгруппу, так как эти больные находятся в «серой зоне» и требуют детального обследования и подбора медикаментозной терапии с последующим динамическим наблюдением.
Сочетание с ВПС
Данная группа пациентов немногочисленная (n=3), у 2 пациентов НМЛЖ сочетался с дефектом МЖП, у 1 – с двухстворчатым аортальным клапаном. Интерес к пациентам данной группы в первую очередь – со стороны молекулярно-генетических исследований (МГИ).
Обсуждение
Генетическая и фенотипическая гетерогенность НМЛЖ, развитие повышенной трабекулярности у беременных, атлетов, при гемохроматозе и хронических анемиях [5–7], дискутабельность относительно генеза кардиомиопатии делают актуальными исследования, посвященные изучению НМЛЖ. В то же время совершенствование визуализирующих методик, позволяющих оценивать морфологическую структуру миокарда, появление жестких диагностических критериев НМ [2] помогают нам провести дифференциацию кардиомиопатии от физиологичной гипертрабекулярности и более подробно разграничить различные типы ремоделирования миокарда. Однако исследований семейных случаев НМ, где бы освещалась тема различных фенотипов и клинических проявлений, описано не так много.
Так, в исследовании C. Stöllberger и соавт. изучены спорадические случаи и диагноз НМЛЖ поставлен 273 больным. У 46% выявлен ДТ, ГТ – у 8%, промежуточный – у 17% и изолированный НМ – у 29% пациентов. За период в 7,4 года (±5,7) умерли 84 пациента, а 6 – проведена трансплантация сердца. Самый высокий уровень смертности наблюдался в группах с ДТ и самый низкий – в группах с ГТ [8].
В исследование J. Waning и соавт. включены 143 пробанда и помимо распределения по фенотипам также проведен семейный скрининг, который выявил 73 родственников с изолированным НМ и 34 – дилатационной кардиомиопатией или ГКМП без НМЛЖ. Интересно, что НМЛЖ с ДТ ассоциировался с систолической дисфункцией ЛЖ, повышенным риском серьезных неблагоприятных сердечных событий, а также с наличием ДТ у родственников. Выявление изолированного НМЛЖ у пробандов связано с более мягким клиническим течением и наличием изолированного НМЛЖ у родственников. Исследователи пришли к выводу, что фенотипы НМЛЖ связаны с исходом заболевания, а также что фенотип родственников может быть предсказан фенотипом НМЛЖ и мутацией пробандов. Это подчеркивает важность обследования родственников для оценки фенотипа и проведения стратификации рисков.
При оценке полученных нами результатов наиболее тяжелое клиническое течение также выявлено в группе с ДТ. Однако в отличие от коллег предсказать фенотип на основании фенотипа пробанда по нашим данным сложнее, поскольку мы получили различные сочетания фенотипов в семьях. В любом случае проведение семейного скрининга является неотъемлемой частью обследования пациентов с НМЛЖ. При выявлении родственника с любым фенотипом заболевания, даже с изолированным НМ, рекомендовано динамическое наблюдение, поскольку прогрессирование заболевания или появление новых клинических симптомов может возникать с течением времени, что представлено в клинических примерах.
Хочется отметить, что, использовав более специфичные критерии НМЛЖ, мы попытались разделить пациентов с благоприятным течением заболевания и потенциально с неблагоприятным прогнозом. К сожалению, в настоящий момент трудно оценить достоверность полученных данных, учитывая небольшую выборку пациентов. Это, в свою очередь, может быть перспективой дальнейшего развития нашего исследования.
Заключение
Семейные формы НМЛЖ имеют разные типы ремоделирования миокарда и варианты клинического течения. В одной семье возможно сочетание различных типов ремоделирования ЛЖ. ДТ ассоциирован с наиболее тяжелыми клиническими проявлениями. При ИНМсФВ клиническая картина наиболее благоприятна, однако в редких случаях наблюдаются серьезные клинические проявления.
Авторы заявляют об отсутствии конфликта интересов.
Вклад авторов. О.В. Куликова: анализ и интерпретация данных, обоснование рукописи и проверка критически важного интеллектуального содержания; Р.П. Мясников: разработка концепции и дизайна, анализ и интерпретация данных, обоснование рукописи и проверка критически важного интеллектуального содержания; Е.А. Мершина: обоснование рукописи и проверка критически важного интеллектуального содержания; П.С. Пилюс: сбор, анализ и интерпретация данных; С.Н. Корецкий: проверка критически важного интеллектуального содержания, А.Н. Мешков: анализ и интерпретация данных; обоснование рукописи или проверка критически важного интеллектуального содержания, окончательное утверждение для публикации рукописи; А.В. Киселева: анализ и интерпретация данных; М.С. Харлап: проверка критически важного интеллектуального содержания; В.Е. Синицын: обоснование рукописи и проверка критически важного интеллектуального содержания; Н.А. Сдвигова: анализ и интерпретация данных; Л.А. Гандаева: анализ и интерпретация данных; В.И. Барский: анализ и интерпретация данных; Ю.В. Деревнина: анализ и интерпретация данных; О.П. Жарова: анализ и интерпретация данных; Е.Н. Басаргина: анализ и интерпретация данных; С.А. Бойцов: проверка критически важного интеллектуального содержания; О.М. Драпкина: проверка критически важного интеллектуального содержания.
Исследование выполнено в соответствии со стандартами надлежащей клинической практики (Good Clinical Practice) и принципами Хельсинкской декларации. Протокол исследования одобрен этическими комитетами всех участвующих клинических центров.
Список сокращений
ВПС – врожденный порок сердца ВСС – внезапная сердечная смерть ГКМП – гипертрофическая кардиомиопатия ГТ – гипертрофический тип ДТ – дилатационный тип ДТ+ГТ – сочетание дилатационного и гипертрофического типа ЖТ – желудочковая тахикардия ЖЭС – желудочковая экстрасистолия ИКД – имплантируемый кардиовертер-дефибриллятор ИНМнФВ – изолированный некомпактный миокард со сниженной фракцией выброса ИНМсФВ – изолированный некомпактный миокард с сохранной фракцией выброса КДО – конечный диастолический объем КДР – конечный диастолический размер ЛЖ – левый желудочек МГИ – молекулярно-генетические исследования | МЖП – межжелудочковая перегородка МРТ – магнитно-резонансная томография НЖТ – наджелудочковая тахикардия НМ – некомпактный миокард НМЛЖ – некомпактный миокард левого желудочка НРС – нарушения ритма сердца ПБЛНПГ – полная блокада левой ножки пучка Гиса СН – сердечная недостаточность СРТ-Д – сердечная ресинхронизирующая терапия-дефибриллятор ТМЖП – толщина межжелудочковой перегородки ТЭО – тромбоэмболические осложнения ФВ – фракция выброса ФК – функциональный класс ХМ-ЭКГ – суточное мониторирование ЭКГ по Холтеру ЭКГ – электрокардиография ЭхоКГ – эхокардиография |
作者简介
Olga Kulikova
National Medical Research Center for Therapy and Preventive Medicine
编辑信件的主要联系方式.
Email: olgakulikova2014@mail.ru
ORCID iD: 0000-0002-3138-054X
мл. науч. сотр. отд. клинической кардиологии
俄罗斯联邦, MoscowRoman Myasnikov
National Medical Research Center for Therapy and Preventive Medicine
Email: olgakulikova2014@mail.ru
ORCID iD: 0000-0002-9024-5364
к.м.н., ст. науч. сотр. отд. клинической кардиологии
俄罗斯联邦, MoscowElena Mershina
Lomonosov Moscow State University
Email: olgakulikova2014@mail.ru
ORCID iD: 0000-0002-1266-4926
к.м.н., зав. отд-нием рентгенодиагностики
俄罗斯联邦, MoscowPolina Pilus
Lomonosov Moscow State University
Email: olgakulikova2014@mail.ru
ORCID iD: 0000-0001-7802-2734
врач-рентгенолог отд-ния рентгенодиагностики
俄罗斯联邦, MoscowSergei Koretskiy
National Medical Research Center for Therapy and Preventive Medicine
Email: olgakulikova2014@mail.ru
ORCID iD: 0000-0001-6009-5775
к.м.н., ст. науч. сотр. отд. фундаментальных и прикладных аспектов ожирения
俄罗斯联邦, MoscowAleksei Meshkov
National Medical Research Center for Therapy and Preventive Medicine
Email: olgakulikova2014@mail.ru
ORCID iD: 0000-0001-5989-6233
к.м.н., рук. лаб. молекулярной генетики
俄罗斯联邦, MoscowAnna Kiseleva
National Medical Research Center for Therapy and Preventive Medicine
Email: olgakulikova2014@mail.ru
ORCID iD: 0000-0003-4765-8021
к.б.н., ст. науч. сотр. лаб. молекулярной генетики
俄罗斯联邦, MoscowMariia Kharlap
National Medical Research Center for Therapy and Preventive Medicine
Email: olgakulikova2014@mail.ru
ORCID iD: 0000-0002-6855-4857
к.м.н., ст. науч. сотр. отд. нарушений сердечного ритма и проводимости сердца
俄罗斯联邦, MoscowValentin Sinitsyn
Lomonosov Moscow State University
Email: olgakulikova2014@mail.ru
ORCID iD: 0000-0002-5649-2193
д.м.н., проф.
俄罗斯联邦, MoscowNataliia Sdvigova
National Medical Research Center for Children’s Health
Email: olgakulikova2014@mail.ru
ORCID iD: 0000-0002-5313-1237
врач-педиатр отд-ния кардиологии
俄罗斯联邦, MoscowLeila Gandaeva
National Medical Research Center for Children’s Health
Email: olgakulikova2014@mail.ru
ORCID iD: 0000-0003-0890-7849
к.м.н., ст. науч. сотр., врач – детский кардиолог
俄罗斯联邦, MoscowVladimir Barskiy
National Medical Research Center for Children’s Health
Email: olgakulikova2014@mail.ru
ORCID iD: 0000-0003-1267-1517
к.м.н., ст. науч. сотр. врач-рентгенолог
俄罗斯联邦, MoscowYuliia Derevnina
National Medical Research Center for Children’s Health
Email: olgakulikova2014@mail.ru
ORCID iD: 0000-0002-6394-4020
мл. науч. сотр., врач – детский кардиолог
俄罗斯联邦, MoscowOlga Zharova
National Medical Research Center for Children’s Health
Email: olgakulikova2014@mail.ru
ORCID iD: 0000-0003-4221-8406
науч. сотр., врач кардиологического отд-ния
俄罗斯联邦, MoscowElena Basargina
National Medical Research Center for Children’s Health
Email: olgakulikova2014@mail.ru
ORCID iD: 0000-0002-0144-2885
д.м.н., проф., гл. науч. сотр., зав. отд-нием кардиологии
俄罗斯联邦, MoscowSergey Boytsov
National Medical Research Center of Cardiology
Email: olgakulikova2014@mail.ru
ORCID iD: 0000-0001-6998-8406
акад. РАН, д.м.н., проф., ген. дир.
俄罗斯联邦, MoscowOksana Drapkina
National Medical Research Center for Therapy and Preventive Medicine
Email: olgakulikova2014@mail.ru
ORCID iD: 0000-0002-4453-8430
чл.-кор. РАН, д.м.н., проф., дир.
俄罗斯联邦, Moscow参考
- Towbin JA, Lorts A, Jefferies JL. Left ventricular non-compaction cardiomyopathy. Lancet. 2015;386(9995):813-25. doi: 10.1016/S0140-6736(14)61282-4
- Grothoff M, Pachowsky M, Hoffmann J, et al. Value of cardiovascular MR in diagnosing left ventricular non-compaction cardiomyopathy and in discriminating between other cardiomyopathies. Eur Radiol. 2012;22(12):2699-709. doi: 10.1007/s00330-012-2554-7
- van Waning JI, Moesker J, Heijsman D, et al. Systematic Review of Genotype-Phenotype Correlations in Noncompaction Cardiomyopathy. J Am Heart Assoc. 2019;8(23):e012993. doi: 10.1161/JAHA.119.012993
- Мясников Р.П., Щербакова Н.В., Куликова О.В., и др. Мутация гена DES в семье пробанда с миофибриллярной миопатией и развитием некомпактной кардиомиопатии, приведшей к трансплантации сердца. Рос. кардиол. журн. 2017;10:9-16 [Myasnikov RP, Shcherbakova NV, Kulikova ОV, et al. Des gene mutation in a family of proband with myofibrillary myopathy and non-compaction cardiomyopathy, resulted in cardiac transplantation. Russian Journal of Cardiology. 2017;10:9-16 (In Russ.)]. doi: 10.15829/1560-4071-2017-10-9-16
- Gati S, Papadakis M, Papamichael ND, et al. Reversible De Novo Left Ventricular Trabeculations in Pregnant Women. Circulation. 2014;130(6):475-83. doi: 10.1161/CIRCULATIONAHA.114.008554
- Gati S, Papadakis M, Van Niekerk N, et al. Increased left ventricular trabeculation in individuals with sickle cell anaemia: Physiology or pathology? Int J Cardiol. 2013;168(2):1658-60. doi: 10.1016/j.ijcard.2013.03.039
- Gati S, Chandra N, Bennett RL, et al. Increased left ventricular trabeculation in highly trained athletes: do we need more stringent criteria for the diagnosis of left ventricular non-compaction in athletes? Heart. 2013;99(6):401-8. doi: 10.1136/heartjnl-2012-303418
- Stöllberger C, Wegner C, Finsterer J. Left ventricular hypertrabeculation/noncompaction, cardiac phenotype, and neuromuscular disorders. Herz. 2019;44(7):659-65. doi: 10.1007/s00059-018-4695-1
补充文件








