Some features of the diagnostics of thrombophilia. Case report
- Authors: Filev A.P.1, Portyannikova O.O.1
-
Affiliations:
- Chita State Medical Academy
- Issue: Vol 93, No 4 (2021)
- Pages: 478-481
- Section: Case reports
- Submitted: 03.06.2021
- Accepted: 03.06.2021
- Published: 15.04.2021
- URL: https://ter-arkhiv.ru/0040-3660/article/view/71259
- DOI: https://doi.org/10.26442/00403660.2021.04.200804
- ID: 71259
Cite item
Full Text
Abstract
Differential diagnosis of causes of the pulmonary embolism in patients can be associated with certain difficulties and requires the exclusion of a wide range of diseases. There is a description of a clinical case of pulmonary embolism caused by verified thrombophilia. Features of tactics of management and treatment of the patient according to modern views are given.
Full Text
В настоящее время венозный тромбоэмболизм в виде венозных тромбозов и легочной эмболии является не менее важной проблемой современной медицины, значение которой в практике врачей различных специальностей трудно переоценить. В Российской Федерации от легочной эмболии ежегодно погибают до 100 тыс. человек. Около 1/4 пациентов с тромбоэмболией легочной артерии (ТЭЛА) ожидает внезапная смерть [1].
Нередко встречаются случаи тромбозов у пациентов, причиной которых может быть тромбофилия, определяемая как предрасположенность к тромбозу вследствие генетических или приобретенных дефектов в противосвертывающей системе крови и/или в самом процессе коагуляции [2]. Систематический генетический поиск у пациентов с тромбозами глубоких вен выявляет те или иные генетически обусловленные нарушения факторов свертывающей системы крови в 25–50% случаев, но нужно понимать, что не все мутации и полиморфизмы четко приводят к венозным тромбоэмболическим осложениям [3]. Стойкие изменения генотипа (мутации) встречаются относительно редко, а широко распространенные варианты гена (полиморфизмы) не обязательно проявляются фенотипически, поэтому гетерозиготное носительство не дает в полной мере развиться фенотипическим проявлениям генотипа. В то же время спектр мутаций, вызывающий дефицит антитромбина, протеина С или S, достаточно разнообразен, поэтому в данном случае необходимо проводить функциональные исследования их активности, а не генетический анализ. Скрининговые исследования на тромбофилию не рекомендуются исследователями [3], так как нет высокого класса доказательности для данного метода диагностики. Большое число экспертов рекомендуют проводить генетические тесты на наследственную тромбофилию в отдельных группах больных по двум генетическим позициям (лейденовская мутация – FV Leiden, определяющая резистентность к активированному протеину C, и мутация в гене протромбина G20210A) совместно c исследованием уровней антитромбина III, протеина С и протеина S. Обоснованность такого порядка разработана Американской ассоциацией патологов и Американской ассоциацией медицинских генетиков. Данный анализ рекомендуется проводить следующим пациентам: имеющим в анамнезе повторные тромбозы и эмболии, при первом эпизоде тромбоза или эмболии лица в возрасте моложе 50 лет, пациентам с необычной анатомической локализацией тромбоза (вены верхних конечностей, селезеночная вена и др.), случаи, когда первый эпизод тромбоза или эмболии связан с беременностью, родами, приемом оральных контрацептивов, гормональной заместительной терапией; женщины с самопроизвольным прерыванием беременности во II или III триместре неясной этиологии.
Полиморфизмы генов ферментов фолатного цикла, фибриногена, ингибитора активатора плазминогена, тромбицитарных рецепторов и др. отнесены к слабым генетическим факторам, вносят свой вклад при ярких фенотипических проявлениях либо при сочетании со внешнесредовыми воздействиями, а также часто могут влиять на артериальное тромбообразование больше, чем на венозные тромбоэмболические осложнения.
При обнаружении дефицита естественных антикоагулянтов, особенно антитромбина, предполагается высокий риск повторных тромбоэмболических осложнений, тогда как мутации в гене протромбина G20210A и FV Leiden продолжают изучаться в данном разрезе. Выявление гетерозиготного носительства фактора II и FV Leiden предполагает принятие решения о пролонгировании антикоагулянтной терапии после первого тромбоэмболического эпизода в индивидуальном порядке и его пересмотр каждые 6 мес на фоне продолжающейся терапии. Гомозиготным носителям мутаций, а также при их сочетании антикоагулянтная терапия проводится неопределенно долго.
Кроме того, существует группа тромбофилий, обусловленных гиперагрегацией тромбоцитов, когда мутации генов, кодирующих α- и β-цепи фибриногенового рецептора тромбоцитов, могут приводить к повышению его чувствительности к специфическим лигандам, что сопровождается повышенной агрегацией тромбоцита и, как следствие, увеличением риска тромбообразования [4].
Помимо наследственно обусловленных тромбофилий выделяют и приобретенные. Нередко провоцирующим моментом являются травма, интенсивная физическая нагрузка или, наоборот, длительная иммобилизация, хирургическое вмешательство, внутривенные манипуляции, беременность, роды, прием гормональных контрацептивов.
Представляем клиническое наблюдение, иллюстрирующее этапы диагностики тромбофилии как фактора риска тромбоэмболических осложнений.
Клиническое наблюдение
Пациентка Г. 50 лет госпитализирована в терапевтическое отделение ГУЗ ГКБ №1 22.09.2018 с жалобами на тупые боли в правом подреберье, правой подмышечной области, редкий непродуктивный кашель, повышение температуры тела до 37,7°С. В общем анализе крови – анемия легкой степени: гемоглобин 107 г/л, ускорение скорости оседания эритроцитов до 42 мм/ч. Выполнена рентгенография органов грудной клетки, на которой выявлены признаки инфильтрации легочной ткани в S9,S10 нижней доли справа, по ультразвуковому исследованию плевральных полостей справа обнаружен плевральный выпот около 200 мл. На основании полученных данных выставлен диагноз внебольничной, бактериологически неуточненной пневмонии нетяжелой степени, начата антибиотикотерапия препаратами групп цефалоспоринов и макролидов. На фоне проводимой терапии – состояние пациентки удовлетворительное, периодически отмечалась лихорадка до 37,2°С, преимущественно в вечернее время. Боли в грудной клетке уменьшились, в общем анализе крови снизилась скорость оседания эритроцитов. Объем жидкости в правой плевральной полости – 100 мл. Повторное ухудшение состояния с 29.09.2018, пациентка потеряла сознание, появился болевой синдром в задней половине грудной клетки слева, около лопатки, усиливался при движении, перемене положения тела. Вновь стала подниматься температура тела до 37,8°С, появилась тахикардия до 110 уд/мин, одышка при умеренной физической нагрузке. Заподозрена возможность развития ТЭЛА. При клинической оценке по Женевской шкале (табл. 1) общая сумма баллов – 5, что соответствует низкой вероятности развития ТЭЛА и предполагает исследование D-димера следующим шагом [5].
Таблица 1. Правила клинической оценки ТЭЛА
Пересмотренная шкала Geneva | Баллы |
Тромбоз глубоких вен или легочная эмболия в анамнезе | 3 |
ЧСС, уд/мин | |
75–94 | 3 |
≥95 | 5 |
Хирургия или перелом в течение 1 мес | 2 |
Кровохарканье | 2 |
Злокачественная опухоль в активной стадии | 2 |
Односторонняя боль в конечности | 3 |
Боль в ноге при пальпации или односторонний отек | 4 |
Возраст более 65 лет | 1 |
Клиническая вероятность | |
Легочная эмболия маловероятна | 0–5 |
Легочная эмболия вероятна | ≥6 |
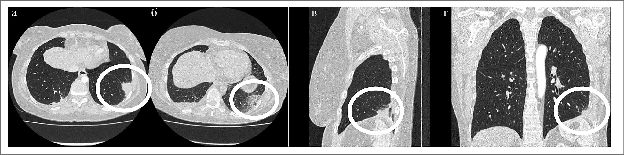
В коагулограмме: фибриноген 7,8 г/л, D-димер 1167 нг/мл (норма до 500 нг/мл), запланировано проведение компьютерной томографии (КТ). 30.09.2018 выполнена КТ органов грудной клетки (КТ ОГК) с контрастным усилением Омнипаком 50 мл с толщиной срезов 0,5–1,2 мм. В описании обращали на себя внимание единичные лимфоузлы средостения размерами 10×12 мм. В S9 нижней доли левого легкого описан субплеврально расположенный участок инфильтрации легочной ткани треугольной формы размером около 30×25×25 мм с фиброзным компонентом (рис. 1), плевропульмональными спайками. В кардиодиафрагмальных синусах – торакоабдоминальные липомы.
Рис. 1. КТ ОГК – субплевральная инфильтрация слева
Учитывая клиническую картину без явлений шока и гипотонии, а также лабораторные изменения и данные КТ ОГК, выставлен диагноз рецидивирующей ТЭЛА мелких ветвей с низким риском летального исхода. Оценка тяжести легочной эмболии производилась по упрощенной шкале PESI (pulmonary embolism severity index; табл. 2), общая сумма – 1 балл [5].
Таблица 2. Упрощенный индекс тяжести ТЭЛА (PESI)
Показатели | Баллы |
Возраст более 80 лет | 1 |
Рак | 1 |
Хроническая сердечная недостаточность | 1 |
Хронические заболевания легких | |
ЧСС≥110 уд/мин | 1 |
Систолическое артериальное давление менее 110 мм рт. ст. | 1 |
Насыщение оксигемоглобином крови менее 90% | 1 |
Стратификация риска смерти от любых причин в течение 30 дней | |
0 баллов | 1% |
≥1 балла | 10,9% |
Данный показатель предполагает дальнейшее эхокардиографическое исследование функции правого желудочка, а также тропонинов либо натрийуретических пептидов для более полной стратификации риска и определения тактики лечения. По данным эхокардиографии от 01.10.2018: фракция выброса 71% по Teicholz, правые отделы сердца не гипертрофированы/не дилатированы, нет признаков легочной гипертензии; тропонины и натрийуретические пептиды не исследовались. Для дальнейшего лечения пациентке назначен эноксапарин в суточной дозировке 1 мг/кг массы тела 2 раза в день с последующим переводом на дабигатрана этексилат в дозировке 150 мг 2 раза в день.
Из анамнеза выяснено, что в течение 9 лет по назначению гинеколога принимала комбинированные оральные контрацептивы, что является обратимым фактором риска для спровоцированной ТЭЛА.
Состояние больной с положительной динамикой, частота сердечных сокращений (ЧСС) снизилась до 92 уд/мин, D-димер в биохимическом анализе от 08.10.2018 не обнаруживался, сохранялась одышка при умеренной физической нагрузке. Параллельно проводился поиск причин, приведших к ТЭЛА. По результатам дуплексного сканирования вен нижних конечностей от 10.10.2018 у пациентки с ретикулярным варикозом доступные локации глубокие и крупные подкожные вены проходимы без признаков тромбообразования. После курса лечения выписана на амбулаторное дообследование.
Осуществлялся онкопоиск, по данным маммографии от 22.11.2018 в правом верхнем квадранте правой молочной железы определялось дополнительное неоднородное интенсивное образование с неровным контуром до 3 см в диаметре, подтвержденное в дальнейшем данными ультразвукового исследования молочных желез. Генетическое исследование на мутацию генов BRCA от 14.12.2018 отрицательно. При проведении магнитно-резонансной томографии молочных желез больше данных за фиброзно-кистозную мастопатию.
Также проводилась дифференциальная диагностика с системными заболеваниями соединительной ткани. Уровень антител к β2-гликопротеину I (суммарное количество иммуноглобулина – IgA, IgM, IgG) от 14.01.2019 8,50 U/мл при норме менее 10 U/мл. Антитела к фосфолипидам класса М 5,11 U/мл – отрицательно, класса G 2,90 U/мл – отрицательно. Уровень фолата, цистеина и гомоцистеина в норме. Антитела к двуспиральной нативной ДНК и С3, С4 компоненты комплемента отрицательные.
В соответствии с рекомендациями по диагностике, лечению и профилактике венозных тромбоэмболических осложнений от 2015 г. при тромбозе, спровоцированном незначимыми факторами (прием контрацептивов), пациент должен быть обследован на наличие тромбофилии [6]. Уровни протеинов С и S – в норме. Гиперагрегации тромбоцитов не выявлено. При исследовании полиморфизмов генов, контролирующих систему свертывания крови, выявлены следующие изменения: PAI-1*675/5G/4G, FGB*455GA, FXIII*103GT. Заключение: имеется предрасположенность к повышенной концентрации фибриногена (носительство FGB*455GA), снижению активности фибринолиза за счет носительства PAI-1*675/5G/4G. Данные полиморфизмы не относятся к факторам, безусловно подтверждающим генез тромботических осложнений.
При исследовании уровня антитромбина III в двух последовательных анализах от 10.04.2019 и 17.04.2019 обнаружено снижение показателя 62,3 и 71,6% при норме от 75 до 125%. На момент исследования гепаринопрофилактика не проводилась. Дефицит антитромбина III по классификации, предложенной в 2013 г. J. Heist в руководстве Consultative Hemostatsisand Thrombosis, относится к безусловно подтвержденным признакам, ассоциированным с тромбофилией, наряду с дефицитом протеинов С и S, мутацией FV Leiden и т.д.
В связи с изложенным пациентке выставлен следующий диагноз: наследственная мультифакториальная тромбофилия, связанная с дефицитом антитромбина III. Носительство PAI-1*675/5G/4G, FGB*455GA, FXIII*103GT. Рецидивирующая ТЭЛА с низким риском летального исхода от 22.09.2019, 29.09.2019. Данный диагноз является фактором, предрасполагающим к длительной антикоагулянтной терапии.
На данный момент воззрения на вторичную профилактику тромбообразования неоднозначны.
Длительное время препаратом выбора в данной ситуации служил варфарин, несмотря на умеренный объем доказательной базы. К недостаткам применения данного препарата можно отнести необходимость регулярного лабораторного исследования международного нормализованного отношения, что существенно снижает приверженность пациентов к лечению и приводит к бесконтрольному приему, повышающему риск кровотечений либо риск тромботических осложнений. Варфарин противопоказан при дефиците физиологических антикоагулянтов – протеинов С и S. Также у части больных отмечается генетически обусловленная резистентность к кумаринам [7].
Применение парентеральных антикоагулянтов, в частности низкомолекулярных и нефракционированных гепаринов, строго показано при профилактике тромботических осложнений во время беременности [4], а также при неотложной терапии острого тромботического эпизода. Для вторичной профилактики тромбообразования применение данной группы препаратов затруднительно ввиду необходимости жесткого лабораторного контроля в большинстве случаев. Кроме того, возможность только парентерального введения препарата резко снижает приверженность пациентов лечению.
Новые оральные антикоагулянты: прямой ингибитор тромбина дабигатран и прямые ингибиторы Xа фактора ривароксабан и апиксабан – не фигурировали в крупных исследованиях по вторичной профилактике тромбоэмболических осложнений у пациентов с наследственной гематогенной тромбофилией и также не имеют высокого уровня рекомендаций. Последние субанализы многоцентровых исследований показали нецелесообразность приема ривароксабана и апиксабана у пациентов с антифосфолипидным синдромом, что четко прописано в инструкции по применению данных препаратов. Тем не менее с учетом отсутствия необходимости лабораторного контроля и достаточно безопасного профиля в плане геморрагических осложнений данные препараты продолжают применяться при наличии резистентности к кумаринам или патогенетической обоснованности их использования [8–10].
На данный момент не существует достаточной доказательной базы и четких рекомендаций, регламентирующих применение оральных антикоагулянтов у пациентов с верифицированной тромбофилией [11]. Учитывая полученные данные, изначальный отказ пациентки от применения варфарина, ввиду необходимости частого лабораторного контроля, отсутствия признаков гиперагрегации тромбоцитов, пациентке рекомендовано продолжить лечение дабигатраном, так как данный препарат является прямым ингибитором тромбина.
Заключение
Многие клиницисты отрицают значимость генетической предрасположенности в развитии тромбоза, что аргументируется не всегда видимой связью между этими явлениями. Кроме того, достаточно часто происходит замена понятий «фактор тромбогенного риска» или «гиперкоагуляционное состояние» на понятие «тромбофилия». В то же время носительство различных факторов тромбогенного риска без их реализации в виде тромбозов и/или синдрома потери плода не может быть отнесено к тромбофилии.
Таким образом, возможность развития тромбоза ввиду наличия факторов тромбогенного риска не всегда требует специальной профилактики и лечения, но предполагает коррекцию управляемых факторов риска развития тромбоза. Например, замещение дефицита физиологических антикоагулянтов, гепаринопрофилактика, назначение фолатно-витаминного комплекса при избыточном содержании в крови гомоцистеина и другие виды патогенетической терапии позволяют модифицировать предрасположенность к тромбозу, снижая вероятность его клинической манифестации.
Авторы заявляют об отсутствии конфликта интересов.
Список сокращений
КТ ОГК – компьютерная томография органов грудной клетки ТЭЛА – тромбоэмболия легочной артерии | ЧСС – частота сердечных сокращений Ig – иммуноглобулин |
About the authors
Andrei P. Filev
Chita State Medical Academy
Email: Olesya13@bk.ru
ORCID iD: 0000-0002-3445-7119
д.м.н., проф. каф. факультетской терапии
Russian Federation, ChitaOlesia O. Portyannikova
Chita State Medical Academy
Author for correspondence.
Email: Olesya13@bk.ru
ORCID iD: 0000-0002-2565-3839
ассистент каф. поликлинической терапии с курсом медицинской реабилитации
Russian Federation, ChitaReferences
- Момот А.П. Проблема тромбофилии в клинической практике. Рос. журн. детской гематологии и онкологии. Избранные лекции. 2015;2(1):36-48 [Momot AP. Problema trombofilii v klinicheskoi praktike.Ros. zhurn. detskoy gematologii i onkologii. Izbrannye lektsii. 2015;2(1):36-48 (In Russ.)]. doi: 10.17650/2311-1267-2015-1-36-482
- Болдуева С.А., Самохвалова М.В., Тростянецкая Н.А. Клинический случай тромбофилии у молодой женщины, проявляющийся илеофеморальным тромбозом и рецидивирубщими тромбоэмболиями легочной артерии. Проблемы женского здоровья. 2009;4:81-5 [Boldueva SA, Samokhvalova MV, Trostyanetskaya NA. A clinical case of thrombophilia in a young woman, manifested by ileofemoral thrombosis and recurrent pulmonary embolism. Problemy zhenskogo zdorov’ya. 2009;4:81-5 (In Russ.)]
- Вавилова Т.В., Сироткина О.В. Генетический анализ на тромбофилию в клинической практике. Лаборатория. 2012;4:8-10 [Vavilova TV, Sirotkina OV. Genetic analysis on trombophylia in clinical practice. Laboratoriya. 2012;4:8-10 (In Russ.)]
- Галайко М.В., Рыбина О.В., Литвиненко М.С., и др. Тромбофилия и беременность. Клин. онкогематология. 2017;10(3):409-22 [Galayko MV, Rybina OV, Litvinenko MS, et al. Trombophylia and pregnancy. Klin. onkogematologiya. 2017;10(3):409-22 (In Russ.)]. doi: 10.21320/2500-2139-2017-10-3-409-422
- Konstantinides S, Torbicki A. ESC pocket guidelines. Eur Heart J. 2014;35:3033-73. doi: 10.1093/eurheartj/ehu283
- Бокерия Л.А., Затевахин И.И., Кириенко А.И. Российские клинические рекомендации по диагностике, лечению и профилактике венозных тромбоэмболических осложнений. Флебология. 2015;2(9):6-7 [Bokeriya LA, Zatevahin II, Kirienko AI. Russian clinical recommendation by diagnostic, treatment and prevention of venous thromboembolism. Flebologiya. 2015;2(9):6-7 (In Russ.)]
- Войцеховский В.В. Применения дабигатрана и ривароксабана при наследственной гематогенной тромбофилии. Тихоокеанский мед. журн. 2017;3:58-61 [Voytsekhovskiy VV. The use of dabigatran and rivaroxaban in hereditary hematogenous thrombophilia. Tikhookeanskiy med. zhurn. 2017;3:58-61 (In Russ.)]. doi: 10.17238/PmJ1609-1175.2017.3.58-61
- Петриков А.С., Шойхет Я.Н., Вяткин Д.А., и др. Применение дабигатрана этексилата для лечения тромбоза глубоких вен и тромбоэмболии легочной артерии. Ангиология и сосудистая хирургия. 2015;21(2):27-37 [Petrikov AS, Shoykhet YaN, Vyatkin DA, et al. Usage of dabigatran etexilate for the treatment of deep vein thrombosis and pulmonary embolism. Angiologiya i sosudistaya khirurgiya. 2015;21(2):27-37 (In Russ.)]
- Schulman S, Eriksson H, Samuel Z, et al. Influence of thrombophilia on the efficacy of dabigatran versus warfarin for the extended treatment of acute venosus thromboembolism in RE-MEDY. Blood. 2014;124(121):1544. doi: 10.1182/blood.V124.21.1544.1544
- Abdelwahab M, El-Dib A, Hantera M, et al. Role of new oral antitrombin in management of thrombophilia presented with multiple infarctions (cerebral, myocardial and pulmonary embolism). Egypt J Chest Dis Tuberc. 2015;64(1):255-59. doi: 10.1016/j.ejcdt.2014.11.010
- ESC Guidelines for the diagnosis and management of acute pulmonary embolism developed in collaboration with the European Respiratory Society (ERS), 2019. Eur Heart J. 2020;41:543-603. doi: 10.1093/eurheartj/ehz405
Supplementary files



