The periprocedural myocardial infarction and probability of the developing of the contrast-induced acute kidneys injury in clinical practice. Case report

封面

如何引用文章

全文:

详细

Nowadays, taking into account the number of elderly patients with sеveral associated diseases requiring percutaneous transluminal balloon coronary angioplasty (PTCA), the risk of the development of unwanted complications is also growing. In this article we present the clinical case, where the PTCA had complications with myocardial infarction of the 4a type without contrast-induced acute kidney injury (contrast-induced nephropathy).

全文:

Введение

Транслюминальная баллонная коронарная ангиопластика (ТБКА) является стандартной процедурой у пациентов с заболеваниями коронарных артерий. На сегодняшний день перипроцедурное повреждение миокарда развивается у 5–30% больных после проведения данного вмешательства [1].

Согласно четвертому универсальному определению инфаркта миокарда (ИМ), ИМ следует определять как 4а тип при: превышении 99-го процентиля верхней границы нормы уровня сердечных тропонинов (сТн) более чем в 5 раз у больных с нормальным исходным уровнем сТн (у пациентов со стабильным повышенным уровнем сТн увеличение должно составлять >20%). Также необходимо наличие по крайней мере одного из следующих критериев: новых ишемических изменений на электрокардиограмме (ЭКГ), развития нового патологического зубца Q, признаков появления новой зоны нежизнеспособного миокарда или новой зоны нарушения локальной сократимости, характерных для ишемии, по данным визуализирующих методов, а также ангиографических признаков осложнений вмешательства в виде диссекции коронарной артерии, окклюзии крупной эпикардиальной артерии или окклюзии/тромбоза боковой ветви, нарушения дистального кровотока или дистальной эмболии [2].

Развитие ИМ 4а типа является достаточно частым осложнением ТБКА, особенно при наличии у пациента таких факторов риска, как: многососудистое поражение коронарных артерий, индекс массы тела >30 кг/м2, возраст >75 лет, скорость клубочковой фильтрации (CКФ) <60 мл/мин, стенокардия напряжения III–IV функционального класса (ФК) по классификации Нью-Йоркской кардиологической ассоциации (NYHA), сахарный диабет, артериальная гипертензия [1, 3].

Для расчета риска развития перипроцедурного повреждения миокарда предлагается использовать следующую формулу: 0,871×пол (мужской=0, женский=1)+0,516×ФК стенокардии+0,022×возраст (годы)-0,011×СКФ+0,27×количество пораженных сосудов. При значениях индекса более 2,731 риск развития ИМ 4а типа увеличивается [4].

Стандартная схема лечения пациентов с острым коронарным синдромом включает в себя применение антиагрегантной терапии, в которую входят ацетилсалициловая кислота и адреноблокатор P2Y12 рецептора (как правило, клопидогрел). Важно помнить о наличии ряда пациентов с наследственными нарушениями чувствительности к препарату предыдущего поколения адреноблокаторов P2Y12 клопидогрелу [5].

Также нельзя не отметить, что к осложнениям вмешательств с использованием контрастного вещества относится и острое повреждение почек, а именно контраст-индуцированное.

Данный термин определяется как повышение уровня сывороточного креатинина ≥0,5 мг/дл (≥44 мкмоль/л) или более чем на 25% от исходного уровня в течение 48 ч после введения контраста [6].

Патофизиологические аспекты возникновения контраст-индуцированного острого повреждения почек до конца не изучены, однако почки являются особенно уязвимыми для ишемического повреждения, так как подвергаются высокому метаболическому, осмотическому стрессу, а также поддерживаются разветвленной микрососудистой сетью, чувствительной к локальной и системной гипоперфузии [7].

Для оценки риска развития контраст-индуцированного острого повреждения почек принято использовать шкалу Mehran [8].

Общность факторов риска развития данных осложнений ТБКА/чрескожного коронарного вмешательства доказывает необходимость оценки вероятности их совместного развития в деятельности практического врача у коморбидных больных (особенно пожилого возраста).

Клиническое наблюдение

Больная К., 75 лет, поступила с жалобами на тяжесть, дискомфорт за грудиной в покое и при минимальной физической нагрузке, одышку при подъеме на 3-й этаж, ощущение перебоев в работе сердца, подъемы артериального давления (АД) максимально до 200/100 мм рт. ст. Обычное АД на уровне 140/80 мм рт. ст. Для купирования эпизодов принимала нитроглицерин, амлодипин с эффектом. Из анамнеза известно, что данные симптомы беспокоят более 10 лет. На момент обращения постоянно принимала периндоприл 5 мг, амлодипин 5 мг, ацетилсалициловую кислоту 100 мг, бисопролол 2,5 мг.

При осмотре установлено, что уровень АД 160/100 мм рт. ст., а частота сердечных сокращений достигала 70 уд/мин. При аускультации сердца: тоны ясные, шумов над магистральными артериями не выслушивается. Индекс массы тела составил 24,92 кг/м2.

По результатам проведенной ЭКГ: ритм синусовый, регулярный, частота сердечных сокращений 56 уд/мин. Замедление атриовентрикулярной проводимости. Отклонение электрической оси сердца влево. На эхокардиограмме (ЭхоКГ) зон нарушения локальной̆ сократимости не выявлено. Фракция выброса (ФВ) 60%. Результаты клинико-лабораторных анализов представлены в табл. 1.

 

Таблица 1. Результаты клинико-лабораторных анализов пациентки

Показатель

Результат

Нормы

Гемоглобин, г/дл

11,49

12,00–16,00

Гематокрит, %

34,2

37,0–47,0

Креатинин, мкмоль/л

93

60–100 (женщины)

СКФ (CKD-EPI), мл/мин/1,73 м2

51,79

90 и более

Холестерин, ммоль/л

6,56

3,50–5,20

Глюкоза, ммоль/л

4,40

3,50–5,80

 

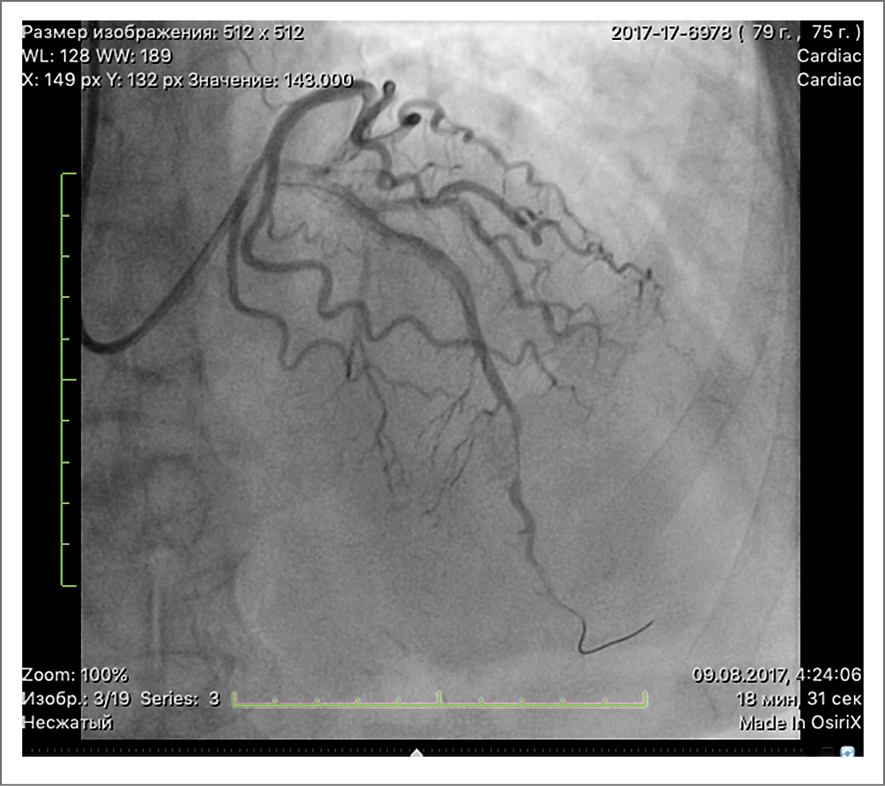
Учитывая наличие факторов риска, сохраняющиеся приступы стенокардии при минимальной физической нагрузке, на фоне оптимальной медикаментозной терапии, пациентке решено выполнить коронароангиографию (КАГ). При проведении исследования выявлено, что у пациентки сбалансированный тип кровоснабжения, а также многососудистое поражение крупных коронарных артерий. Передняя нисходящая артерия (ПНА) в проксимальном сегменте стенозирована на 90%, диагональная артерия (ДА) в устье стенозирована на 70%, огибающая артерия в проксимальной трети – на 30%. Правая коронарная артерия с неровными контурами. На рис. 1 представлено поражение ПНА в проксимальном сегменте, ДА, стенозированной в устье на 70%. Принято решение о проведении эндоваскулярного лечения: транслюминальной баллонной ангиопластики передней нисходящей артерии и ДА со стентированием.

 

Рис. 1. Поражение ПНА в проксимальном сегменте, ДА, стенозированной в устье на 70%

 

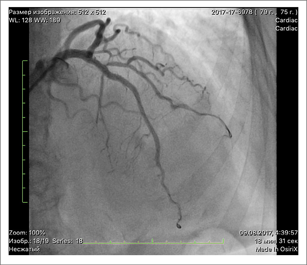
В месте стеноза ПНА установлен стент, однако попытки ввести баллонный катетер в ветвь крупной ДА безуспешны. На серии контрольных ангиографий кровоток в ПНА TIMI 3, в ДА TIMI 2 – в дистальной трети неокклюзирующая диссекция. Остаточный стеноз в месте установки стента в ПНА 0%. На рис. 2 представлена ПНА после ТБКА.

 

Рис. 2. ПНА после ТБКА

 

В качестве контрастного вещества использовался йоверсол 300 мл. Проведение вмешательства осложнилось жалобами пациентки на интенсивные боли за грудиной, а также появлением на ЭКГ подъема сегмента ST максимально до 1,5 мм (0,15 мВ) в отведениях V5–V6, интракоронарно вводился нитроглицерин, на фоне чего болевой синдром значительно уменьшился. По данным ЭхоКГ определялась новая зона акинеза верхушечно-бокового сегмента без значимого снижения ФВ. В анализах крови отмечалось повышение высокочувствительного тропонина до 36 767 пг/мл, креатинкиназы до 1700 Ед/л, тропонина I до 5,78 нг/мл. При контрольном контрастировании отмечено улучшение кровотока в ДА. Состояние расценено как ИМ 4а типа. В дальнейшем состояние пациентки стабилизировалось, проводилась двойная антиагрегантная терапия (клопидогрел 75 мг, ацетилсалициловая кислота 100 мг), антикоагулянтная терапия (эноксапарин натрия по 60 мг 2 раза в день). Однако через 4 сут пациентка повторно предъявила жалобы на давящие боли за грудиной. При осмотре: АД 190/80 мм рт. ст., на ЭКГ регистрировалась элевация сегмента ST в отведениях V1–V6, на ЭхоКГ, по сравнению с ранее проведенным исследованием, новых зон нарушений локальной сократимости не обнаружено. ФВ составляла 60%. Уровень высокочувствительного тропонина составлял вначале 18 880,3 пг/мл, а затем 16 877,3 пг/мл. Проведена экстренная КАГ, по данным которой выявлялась тромботическая окклюзия среднего сегмента ПНА, окклюзия ветви 2-го порядка ДА, ранее установленный стент в проксимальном сегменте проходим. Выполнена реканализация окклюзии ПНА с последующей установкой стента и дилатация в месте окклюзии ветви 2-го порядка ДА. Остаточный стеноз в месте установки стента в ПНА и баллонной дилатации ДА 0%, кровоток в ПНА TIMI 3. В анализах крови динамики маркеров некроза миокарда не зафиксировано. Ангинозные боли не рецидивировали. На ЭКГ динамики сегмента ST не выявлено. По данным ЭхоКГ появления новых зон нарушения локальной сократимости не определялось, глобальная сократимость ЛЖ удовлетворительная, ФВ составляла 60%. Таким образом, данных за рецидивирующий ИМ не получено. В последующем при проведении молекулярно-генетического исследования ДНК выявлена предрасположенность к генетически обусловленному нарушению чувствительности к клопидогрелу, что, вероятно, послужило причиной развития тромбоза коронарной артерии после эндоваскулярного вмешательства, несмотря на тройную антитромбоцитарную терапию (включающую ацетилсалициловую кислоту, клопидогрел, эноксапарин натрия). В связи с этим клопидогрел 75 мг заменен на тикагрелор 90 мг 2 раза в день, а также продолжена антикоагулянтная терапия эноксапарином натрия по 60 мг 2 раза в день с дальнейшей заменой на ривароксабан по 2,5 мг 2 раза в день в течение 1 мес. Впоследствии на фоне подобранной терапии состояние пациентки оставалось стабильным. АД находилось в пределах 130–140/70 мм рт. ст., ангинозные боли не рецидивировали.

Обсуждение

Проведение всего объема диагностических мероприятий, в том числе КАГ, позволило выявить многососудистое поражение коронарных артерий у пациентки. Согласно клиническим рекомендациям по лечению пациентов с хронической ишемической болезнью сердца наличие стенокардии напряжения с недостаточным эффектом от максимально возможной медикаментозной терапии, ангиографически верифицированного стенозирующего атеросклероза коронарных артерий, а также гемодинамически значимых стенозов 1–2 коронарных артерий, является поводом для проведения чрежкожного коронарного вмешательства, а именно ТБКА. Более 30 лет ТБКА является одним из самых проводимых вмешательств у пациентов с сердечно-сосудистыми заболеваниями, которое зарекомендовало себя как эффективное и относительно безопасное [9, 10]. Факторами риска развития перипроцедурного повреждения миокарда у данной пациентки стали: возраст более 65 лет, многососудистое поражение, дисфункция левого желудочка, стенокардия напряжения высокого ФК [11]. Согласно формуле оценки риска развития перипроцедурного ИМ сумма составила 3,602, что больше 2,731. В данном случае к причинам возникновения ИМ 4а типа можно отнести развитие транзиторной ишемии при раздувании баллона во время проведения вмешательства, что сопровождается жалобами пациента на загрудинную боль и динамикой изменения сегмента ST на ЭКГ. Однако такие осложнения, как диссекция коронарной артерии, окклюзия крупной или боковой ветви, дистальная эмболизация и капиллярная обструкция, компрометация коллатерального кровотока по типу феномена slow-no-reflow, также ведут к развитию периоперационного повреждения миокарда [9, 12].

В связи с использованием при проведении ТБКА контрастного вещества следует учитывать риск развития острого повреждения почек. В качестве компонентов патогенеза данного осложнения следует рассматривать: вазоконстрикцию, прямой токсический эффект на почечные канальцы и увеличение оксидативного стресса [13].

Согласно шкале оценки риска возникновения контраст-индуцированной нефропатии у данной пациентки сумма баллов 12, что включает возраст 75 лет, анемию (гемоглобин 11,49 г/дл и дальнейшее снижение его уровня минимально до 10,28 г/дл), введение контрастного вещества в объеме 300 мл, а также уровень СКФ (CKD-EPI) 45,24 мл/мин/1,73 м2. Кроме того, необходимо учитывать повторные вмешательства с использованием контрастного вещества в течение 72 ч, что также увеличивает вероятность развития данного осложнения и необходимость проведения заместительной почечной терапии [7, 8].

В оценке состояния пациента решающую роль имеет проведение клинико-лабораторных исследований, а именно оценка уровня содержания в крови таких показателей, как гемоглобин, гематокрит, креатинин (до вмешательства и 48–72 ч после), высокочувствительный тропонин [8].

Среди инструментальных методов исследования в качестве оценки сократительной способности миокарда особое значение имеет проведение ЭхоКГ. Данный метод исследования позволяет выявить признаки появления новой зоны нежизнеспособного миокарда или новой зоны нарушения локальной сократимости [2].

Также известно, что пациентки женского пола достоверно реже получают своевременное лечение с использованием высокотехнологичных методов исходя из того, что женщины часто склонны к неправильной интерпретации симптомов, отсроченному обращению за помощью ввиду нежелания беспокоить семью или откладывать собственные заботы. При этом стоит учитывать психологические особенности женского организма, заключающиеся в более высоком уровне стрессовых факторов [14, 15].

Совокупность всех проведенных исследований позволила подтвердить у нашей пациентки развитие ИМ 4а типа.

В качестве превентивных мер данных осложнений принято использовать: тщательную оценку факторов риска, адекватную терапию сопутствующих заболеваний, проведение инфузионной терапии, индивидуальный подбор вида, объема и пути введения контрастного вещества, подготовку к проведению вмешательства [6, 9].

Таким образом, у пациентки с развившимся ИМ 4а типа, отсутствием острого контраст-индуцированного поражения почек, а также риском кровотечений по HAS-BLED 2 балла поводом для назначения тройной антиагрегантной терапии послужило наличие факторов риска ишемических событий, а именно: диффузное многососудистое поражение, наличие двух установленных стентов, предшествующая ТБКА, перипроцедурное повреждение миокарда в анамнезе, генетически обусловленное нарушение чувствительности к клопидогрелу [16].

Заключение

На сегодняшний день, учитывая увеличение числа пожилых больных с несколькими сопутствующими заболеваниями и нуждающимися в проведении ТБКА, находящихся в группе риска развития ИМ 4а типа и контраст-индуцированной нефропатии после проведения ТБКА, необходимо освещение данной проблемы в медицинских источниках и повышение осведомленности широкого круга практикующих врачей.

Авторы заявляют об отсутствии конфликта интересов.

Список сокращений

АД – артериальное давление

ДА – диагональная артерия

ИМ – инфаркт миокарда

КАГ – коронароангиография

ПНА – передняя нисходящая артерия

СКФ – скорость клубочковой фильтрации

сТн – сердечные тропонины

ТБКА – транслюминальная баллонная коронарная ангиопластика

ФВ – фракция выброса

ФК – функциональный класс

ЭКГ – электрокардиограмма

ЭхоКГ – эхокардиограмма

×

作者简介

Olga Dmitrieva

Sechenov First Moscow State Medical University (Sechenov University)

编辑信件的主要联系方式.
Email: olga.dm.ru@mail.ru

клин. ординатор каф. факультетской терапии №1 Института клинической медицины им. Н.В. Склифосовского

俄罗斯联邦, Moscow

Olga Mironova

Sechenov First Moscow State Medical University (Sechenov University)

Email: olga.dm.ru@mail.ru
ORCID iD: 0000-0002-5820-1759

к.м.н., доц. каф. факультетской терапии №1 Института клинической медицины им. Н.В. Склифосовского

俄罗斯联邦, Moscow

Olga Sivakova

National Medical Research Center of Cardiology

Email: olga.dm.ru@mail.ru
ORCID iD: 0000-0002-0060-095X

к.м.н., зав. отд-нием артериальной гипертонии

俄罗斯联邦, Moscow

Anastasiia Denisova

National Medical Research Center of Cardiology

Email: olga.dm.ru@mail.ru
ORCID iD: 0000-0003-2686-3026

врач-кардиолог пятого кардиологического отд-ния НИИ кардиологии им. А.Л. Мясникова

俄罗斯联邦, Moscow

Tatiana Solnceva

National Medical Research Center of Cardiology

Email: olga.dm.ru@mail.ru
ORCID iD: 0000-0002-7381-7818

клин. ординатор пятого кардиологического отд-ния НИИ кардиологии им. А.Л. Мясникова

俄罗斯联邦, Moscow

Victor Fomin

Sechenov First Moscow State Medical University (Sechenov University)

Email: olga.dm.ru@mail.ru
ORCID iD: 0000-0002-2682-4417

чл.-кор. РАН, д.м.н., проф., проректор по клинической работе и дополнительному профессиональному образованию, зав. каф. факультетской терапии №1 Института клинической медицины им. Н.В. Склифосовского

俄罗斯联邦, Moscow

参考

  1. Zeitouni M, Silvain J, Guedeney P, et al. Periprocedural myocardial infarction and injury in elective coronary stenting. Eur Heart J. 2018;39(13):1100-9. doi: 10.1093/eurheartj/ehx799
  2. Thygesen K, Alpert JS, Jaffe AS, et al. Fourth Universal Definition of Myocardial Infarction Circulation. Circulation. 2018;138(20):e618-51. doi: 10.1161/CIR.0000000000000617
  3. Maioli M, Toso A, Gallopin M, et al. Preprocedural score for risk of contrast-induced nephropathy in elective coronary angiography and intervention. J Cardiovasc Med. 2010;11(6):444-9. doi: 10.2459/JCM.0b013e328335227c
  4. Mironova O, Ruda MYA. Myocardial infarction type 4a: Prevalence, risk factors and 1-year prognosis. Eur Heart J Acute Cardiovasc Care. 2015; 4 (Suppl. 1): 243. doi: 10.1177/2048872615599730
  5. Mirzaev KB, Sychev DA, Andreev DA. Genetics of clopidogrel resistance: Recent data. Russian Journal of Cardiology. 2015;126:92-8. doi: 10.15829/1560-4071-2015-10-92-98
  6. KDIGO. KDIGO 2012 Clinical Practice Guideline for Acute Kidney Injury. Kidney Int Suppl. 2012;2:1-138. doi: 10.1038/kisup.2012.1
  7. Rear R, Bell RM, Hausenloy DJ. Contrast-induced nephropathy following angiography and cardiac interventions. Heart. 2016;102(8):638-48. doi: 10.1136/heartjnl-2014-306962
  8. Mehran R, Aymong ED, Nikolsky E, et al. A simple risk score for prediction of contrast-induced nephropathy after percutaneous coronary intervention. J Am Coll Cardiol. 2004;44:1393-9. doi: 10.1016/j.jacc.2004.06.068
  9. Правдюк Н.Г., Новикова А.В., Королева Е.А. Инфаркт миокарда 4-го типа: особенности течения, профилактика и ведение больных после чрескожных коронарных вмешательств. Клиницист. 2016;10(2):43-9 [Pravdiuk NG, Novikova AV, Koroleva EA. Infarkt miokarda 4-go tipa: osobennosti techeniia, profilaktika i vedenie bol’nykh posle chreskozhnykh koronarnykh vmeshatel’stv. Klinitsist. 2016;10(2):43-9 (In Russ.)]. doi: 10.17650/1818-8338-2016-10-2-43-49
  10. Бузиашвили Ю.И., Кокшенева И.В., Инаури И.А., и др. Генетические факторы риска неблагоприятных результатов реваскуляризации миокарда. Бюл. НЦССХ им. А.Н. Бакулева РАМН. 2019;20(11-12):1010-34 [Buziashvili II, Koksheniova IV, Inauri IA, et al. Генетические факторы риска неблагоприятных результатов реваскуляризации миокарда. Bull Bakoulev Cent Cardiovascular Dis. 2019;20(11-12):1010-34 (In Russ.)]. doi: 10.24022/1810-0694-2019-20-11-12-1010-1034
  11. Prasad A, Herrmann J. Myocardial infarction due to percutaneous coronary intervention. New Engl J Med. 2011;364:453-64. doi: 10.1056/NEJMra0912134
  12. Vorobyova AV, Bondarenko BB, Bart VA, et al. Risk Assessment of Cardiac Events in Patients with Stable Ischemic Heart Disease After Percutaneous Coronary Intervention, Accompanied by Myocardial Damage. Transl Med. 2019;6:15-24. doi: 10.18705/2311-4495-2019-6-3-15-24
  13. Вершинина Е.О., Репин А.Н. Контраст-индуцированная нефропатия при плановых эндоваскулярных вмешательствах на коронарных артериях. Сиб. мед. журн;31(3):61-7 [Vershinina EO, Repin AN. Kontrast-indutsirovannaia nefropatiia pri planovykh endovaskuliarnykh vmeshatel’stvakh na koronarnykh arteriiakh. Sib. med. zhurn;31(3):61-7 (In Russ.)]. doi: 10.29001/2073-8552-2016-31-3-61-67
  14. Mehilli J, Presbitero P. Coronary artery disease and acute coronary syndrome in women. Heart. 2020;106:487-92. doi: 10.1136/heartjnl-2019-315555
  15. Haider A, Bengs S, Luu J, et al. Sex and gender in cardiovascular medicine: Presentation and outcomes of acute coronary syndrome. Eur Heart J. 2020;41:1328-36. doi: 10.1093/eurheartj/ehz898
  16. Neumann FJ, Sousa-Uva M, Ahlsson A, et al. 2018 ESC/EACTS Guidelines on myocardial revascularization. Eur Heart J. 2019;40:87-165. doi: 10.1093/eurheartj/ehy394

补充文件

附件文件
动作
1. JATS XML
2. Fig. 1. The defeat of the PNA in the proximal segment, DA, stenotic in the orifice by 70%

下载 (165KB)
3. Fig. 2. PNA after TBCA

下载 (155KB)

版权所有 © Consilium Medicum, 2021

Creative Commons License
此作品已接受知识共享署名-非商业性使用-相同方式共享 4.0国际许可协议的许可。
 

Address of the Editorial Office:

  • Alabyan Street, 13/1, Moscow, 127055, Russian Federation

Correspondence address:

  • Alabyan Street, 13/1, Moscow, 127055, Russian Federation

Managing Editor:

  • Tel.: +7 (926) 905-41-26
  • E-mail: e.gorbacheva@ter-arkhiv.ru

 

© 2018-2021 "Consilium Medicum" Publishing house