New coronavirus infection COVID-19 as a trigger for the development of symptoms of ankylosing spondylitis. Case report
- Authors: Rumiantceva D.G.1, Urumova M.M.1, Erdes S.F.1
-
Affiliations:
- Nasonova Research Institute of Rheumatology
- Issue: Vol 93, No 5 (2021)
- Pages: 609-612
- Section: Case reports
- Submitted: 12.06.2021
- Published: 15.05.2021
- URL: https://ter-arkhiv.ru/0040-3660/article/view/71517
- DOI: https://doi.org/10.26442/00403660.2021.05.200793
- ID: 71517
Cite item
Full Text
Abstract
The novel coronavirus infection COVID-19 (SARS-CoV-2) is now known to cause a variety of extrapulmonary complications, including cardiovascular, neurological and dermatological complications, many of which occur or last several weeks after infection. We present a clinical case of a patient who first developed symptoms of ankylosing spondylitis 2 weeks after recovering from COVID-19. The patient was prescribed therapy in accordance with international and Russian recommendations for the management of patients with ankylosing spondylitis with a positive effect in the form of absence arthritis, enthesitis and reducing the inflammatory back pain.
Full Text
Введение
Впервые новая коронавирусная инфекция COVID-19 (SARS-CoV-2 – severe acute respiratory syndrome coronavirus-2) зарегистрирована 31 декабря 2019 г. в г. Ухань, Китай [1]. SARS-CoV-2 представляет собой РНК-содержащий вирус из семейства коронавирусов, обладающий высокой контагиозностью среди людей и передающийся воздушно-капельным и контактным путем. С момента первого зарегистрированного случая заражения человека прошел практически год, но пандемия новой коронавирусной инфекции продолжается по всему миру. На 1 декабря 2020 г. в мире зарегистрировано более 62 млн случаев заражения COVID-19, в Российской Федерации – более 2 млн случаев [2].
Клинические проявления COVID-19 варьируют от легких до тяжелых, но в большинстве случаев инфицирование представляет собой легкую форму заболевания и, следовательно, не имеет серьезных клинических проявлений [3]. По данным разных исследований, наиболее распространенные клинические симптомы SARS-CoV-2, наблюдаемые у пациентов, – лихорадка (87,9%), кашель (67,7%) и усталость (38,1%), тогда как диарея (3,7%) и рвота (5,0%) встречались редко [4, 5]. В основном COVID-19 поражает дыхательную систему, вызывая пневмонию с развитием одышки и острый респираторный дистресс-синдром [6].
В настоящее время есть некоторые доказательства того, что COVID-19 может вызывать повреждение тканей и органов помимо респираторной системы. У некоторых пациентов с COVID-19 наблюдались аритмия, острое повреждение сердца, нарушение функции почек, печени [7], а также поражение глаз [8] и неврологические нарущения [9].
Что касается отдаленных последствий в виде развития тех или иных заболеваний, а также обострения хронических ревматических заболеваний у пациентов, перенесших COVID-19, пока они не известны.
Цель исследования – представление клинического наблюдения пациентки, у которой возникла манифестация клинической картины анкилозирующего спондилита (АС) спустя 2 нед после выздоровления от COVID-19.
Материалы и методы
Использование аналитического, монографического методов, результатов анамнеза и объективного осмотра пациента, методов лабораторной, функциональной и ультразвуковой (УЗ) диагностики.
Клиническое наблюдение
Пациентка К., 42 года, находилась на стационарном лечении во 2-м ревматологическом отделении ФГБНУ «НИИ ревматологии им. В.А. Насоновой» с 25.08.2020 по 03.09.2020 с диагнозом: АС, HLA-B27 позитивный, развернутая стадия, с внеаксиальными проявлениями (артрит, энтезит, коксит), высокой активности: Bath Ankylosing Spondylitis Disease Activity Index (BASDAI) 6,4, Ankylosing Spondylitis Disease Activity Score – С-реактивный белок (ASDAS–СРБ) 2,6. Функциональная недостаточность 2. Из анамнеза известно, что 10 мая 2020 г. появилась общая слабость, с 14 мая 2020 г. возникли сухой кашель, одышка при физической нагрузке, а по данным компьютерной томографии органов грудной клетки от 15.05.2020 выявлена двусторонняя полисегментарная интерстициальная пневмония, критерий оценки тяжести пневмонии – 3, объем поражения легких справа – около 45%, слева – около 65%, мазок методом полимеразной цепной реакции из зева на SARS-CoV-2 положительный, на основании чего установлен диагноз: «Коронавирусная инфекция, вызванная вирусом COVID-19». Проводилась антибактериальная терапия в течение 14 дней с положительным эффектом. После выздоровления через 2 нед появилась впервые боль воспалительного ритма в шейном отделе позвоночника, далее присоединение боли в области крестцово-подвздошных суставов (КПС). С июля 2020 г. боль в ахилловых сухожилиях и тазобедренных суставах; скорость оседания эритроцитов 75 мм/ч, СРБ 27 мг/л; HLA-B27+. Принимала различные нестероидные противовоспалительные препараты (нимесулид, эторикоксиб, диклофенак) без эффекта.
Госпитализирована во 2-е ревматологическое отделение ФГБНУ «НИИ ревматологии им. В.А. Насоновой» в сентябре 2020 г. в связи с высокой активностью заболевания. Объективно при поступлении: состояние удовлетворительное, по органам и системам без отрицательной динамики. Перкуссия остистых отростков в шейном и поясничном отделах позвоночника болезненна, трохантерит с двух сторон, энтезиты I, VII грудино-реберных сочленений, боль при пальпации ахилловых сухожилий, индекс подсчета болезненных энтезитов MASES (Maastricht Ankylosing Spondylitis Enthesitis Score) – 7. Позвоночные индексы: боковое сгибание в поясничном отделе позвоночника 6 см в обе стороны, расстояние от козелка до стены – 13 см, сгибание в поясничном отделе позвоночника (модифицированный тест Шобера) – 3 см, расстояние между лодыжками – 78 см, ротация в шейном отделе позвоночника – 60° с двух сторон, экскурсия грудной клетки – 3 см. Для определения активности заболевания использовали индексы BASDAI – 6,4, ASDAS–СРБ – 2,6. Функциональный статус оценивался по индексу BASFI (Bath Ankylosing Spondylitis Functional Index) – 4,4. В анализах крови: скорость оседания эритроцитов 14 мм/ч, СРБ 2,5 мг/л.
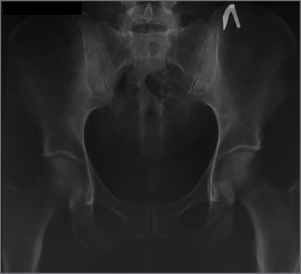
По данным рентгенографии костей таза выявлен двусторонний сакроилиит 2-й степени по Келлгрену (рис. 1).
Рис. 1. Рентгенография костей таза.
Fig. 1. X-ray of pelvic bones.
По данным магнитно-резонансной томографии (МРТ) КПС в режиме STIR в передне-среднем отделе левого КПС, со стороны подвздошной кости определяется локальный участок усиления магнитно-резонансного сигнала – активный сакроилиит слева (остеит); рис. 2.
Рис. 2. МРТ КПС в режиме STIR и T1 (аксиальный срез). Стрелкой указан отек костной ткани.
Fig. 2. SIJ MRI in STIR and T1 mode (axial slice). The arrow indicates bone tissue edema.
По данным УЗ-исследования тазобедренных суставов: УЗ-признаки минимальных кокситов (шеечно-капсулярное пространство слева – 7,3 мм, справа – 7,1 мм), периартикулярных изменений. По данным УЗ-исследования пяток: признаки выраженного ахиллоденита с двух сторон (справа: выраженный отек и утолщение ахиллова сухожилия до 9,8 мм с признаками усиления васкуляризации, слева: утолщение ахиллова сухожилия до 5,5 мм), периартикулярных изменений больше справа.
Диагноз АС не вызывает сомнений, учитывая двусторонний сакроилиит 2-й степени по Келлгрену согласно рентгенографии костей таза и ограничению подвижности поясничного, грудного отделов позвоночника. В связи с высокой активностью заболевания (активный сакроилиит слева по данным МРТ КПС; поражение ахиллова сухожилия с двух сторон: ахиллоденит, ахиллобурсит) проведено внутривенное введение метилпреднизолона суммарно 625 мг, начат прием сульфасалазина по схеме до 2000 мг/сут (минимальные кокситы, ахиллобурсит, ахиллоденит), продолжен прием нестероидных противовоспалительных препаратов: мелоксикам 15 мг/сут. Переносимость препаратов удовлетворительная, нежелательных явлений не наблюдалось. На фоне проведенной терапии отмечается положительная динамика в виде уменьшения болей в шейном, поясничном отделах позвоночника, уменьшение выраженности энтезитов, снижение BASDAI до 2,8.
Обсуждение
В настоящее время известно, что SARS-CoV-2 вызывает множество внелегочных осложнений, включая сердечно-сосудистые, неврологические и дерматологические последствия, многие из которых возникают или длятся несколько недель после заражения инфекцией [10].
В настоящее время в литературе описан только один случай возникновения реактивного артрита у пациента после заражения COVID-19, что касается АС, то таких данных не представлено.
Исследователями из Японии опубликовано наблюдение возникновения у мужчины 50 лет после перенесенного тяжелого респираторного синдрома на 21-й день от заражения SARS-CoV-2 выраженных артритов коленных суставов и энтезита в области правого ахиллового сухожилия, который расценен как реактивный артрит [11]. Как мы знаем, реактивный артрит входит в группу заболеваний – спондилоартритов, при которых могут развиваться схожие клинические проявления, такие как несимметричный олигоартрит, преимущественно нижних конечностей, энтезиты (часто поражение ахиллового сухожилия и плантарный фасциит), воспалительная боль в спине и ассоциация с HLA-B27 геном. Однако в описанном наблюдении у пациента HLA-B27 отрицательный.
АС – хроническое воспалительное заболевание из группы спондилоартритов, характеризующееся обязательным поражением КПС и/или позвоночника с потенциальным исходом в анкилоз, с частым вовлечением в патологический процесс энтезисов и периферических суставов [12]. Развивается в среднем у молодых пациентов в возрасте от 20 до 40 лет.
В описанном нами клиническом случае больной 42 года, однако болей воспалительного ритма в позвоночнике и/или суставах до июня 2020 г. не отмечала. Учитывая, что у пациентки выявлены рентгенологические признаки достоверного сакроилиита 2-й степени по Келлгрену (субхондральный остеосклероз вдоль КПС с двух сторон, сужение и местами расширение суставных щелей) и наличие HLA-B27 гена, АС развивался уже в течение некоторого времени до клинической манифестации, так как остеосклероз КПС формируется обычно в течение нескольких лет. При отсутствии жалоб и объективных симптомов у пациентки со стороны опорно-двигательной системы до 2020 г. новая коронавирусная инфекция COVID-19 могла быть триггером развития классической клинической картины АС.
Как уже описано, при COVID-19 у пациентов развивается грозное осложнение – синдром цитокинового шторма, при котором наблюдались более высокие уровни интерлейкина (ИЛ)-6 и 10 и более низкие уровни CD4+T и CD8+T, что коррелировало с тяжестью заболевания [13]. Кроме того, в основе данного синдрома лежит дисрегуляция синтеза широкого спектра цитокинов и хемокинов, к которым относятся ИЛ-1, 2, 6, 7, 8, 9, 10, 12, 17, 18 гранулоцитарный колониестимулирующий фактор, гранулоцитарно-макрофагальный колониестимулирующий фактор, фактор некроза опухоли α, интерферон (ИФН)-γ-индуцируемый белок 10, ИФН-α и ИФН-β, моноцитарный хемоаттрактантный белок 1, макрофагальный воспалительный белок 1α, хемокины (CCL1, CCL3, CCL5, CXCL8, CXCL9, CXCL10 и др.) [14–16].
Заключение
Таким образом, исходя из представленного клинического наблюдения, дисбаланс провоспалительных цитокинов и хемокинов, вызываемый новой коронавирусной инфекцией COVID-19, может являться триггером развития или прогрессировании аутовоспалительных заболеваний, в том числе АС.
Конфликт интересов. Авторы заявляют об отсутствии конфликта интересов.
Conflict of interests. The authors declare no conflict of interest.
Все авторы принимали участие в разработке концепции статьи и в написании рукописи. Окончательная версия рукописи одобрена всеми авторами. Авторы не получали гонорар за статью.
All authors were involved into conducting of the research and preparing of the manuscript. All authors accepted the final version of the manuscript. The authors received no fees.
Список сокращений
About the authors
Daria G. Rumiantceva
Nasonova Research Institute of Rheumatology
Author for correspondence.
Email: rumiantceva01@gmail.com
ORCID iD: 0000-0002-1684-1213
канд. мед. наук, мл. науч. сотр. лаб. спондилоартритов и псориатического артрита
Russian Federation, MoscowMargarita M. Urumova
Nasonova Research Institute of Rheumatology
Email: rumiantceva01@gmail.com
ORCID iD: 0000-0002-9755-5760
канд. мед. наук, зав. 2-м ревматологическим отд-нием
Russian Federation, MoscowShandor F. Erdes
Nasonova Research Institute of Rheumatology
Email: rumiantceva01@gmail.com
ORCID iD: 0000-0003-3195-5187
д-р мед. наук, проф., вед. науч. сотр. лаб. спондилоартритов и псориатического артрита
Russian Federation, MoscowReferences
- Wang H, Li X, Li T, et al. The genetic sequence, origin, and diagnosis of SARS-CoV-2. Eur J Clin Microbiol Infect Dis. 2020;39(9):1629-35. doi: 10.1007/s10096-020-03899-4
- WHO Coronavirus (COVID-19) Dashboard. Available: https://covid19.who.int. Accessed: 05.05.2021.
- Wang Y, Wang Y, Chen Y, Qin Q. Unique epidemiological and clinical features of the emerging 2019 novel coronavirus pneumonia (COVID-19) implicate special control measures. J Med Virol. 2020;92(6):568-76. doi: 10.1002/jmv.25748
- Guan WJ, Zhong NS. Clinical characteristics of Covid-19 in China. N Engl J Med. 2020;382(19):1861–2. doi: 10.1056/nejmc2005203
- Yang W, Cao Q, Qin L, et al. Clinical characteristics and imaging manifestations of the 2019 novel coronavirus disease (COVID-19):a multi-center study in Wenzhou city, Zhejiang, China. J Infect. 2020;80:388-93. doi: 10.1016/j.jinf.2020.02.016
- Chen N, Zhou M, Dong X, et al. Epidemiological and clinical characteristics of 99 cases of 2019 novel coronavirus pneumonia in Wuhan, China: a descriptive study. Lancet. 2020;395:507-13. doi: 10.1016/s0140-6736(20)30211-7
- Wang D, Hu B, Hu C, et al. Clinical characteristics of 138 hospitalized patients with 2019 novel coronavirus-Infected pneumonia in Wuhan, China. JAMA. 2020;323:1061-9. doi: 10.1001/jama.2020.1585
- Xie HT, Jiang SY, Xu KK, et al. SARS-CoV-2 in the ocular surface of COVID-19 patients. Eye Vis (Lond). 2020;7:23. doi: 10.1186/s40662-020-00189-0
- Mao L, Jin H, Wang M, et al. Neurologic manifestations of hospitalized patients with coronavirus disease 2019 in Wuhan, China. JAMA Neurol. 2020;77(6):1-9. doi: 10.1001/jamaneurol.2020.1127
- Wang L, Wang Y, Ye D, et al. Review of the 2019 novel coronavirus (SARS-CoV-2) based on current evidence. Int J Antimicrob Agents. 2020;55:105948. doi: 10.1016/j.ijantimicag.2020.105948 11. Ono K, Kishimoto M, Shimasaki T, et al. Reactive arthritis after COVID-19 infection. RMD Open. 2020;6:e001350. doi: 10.1136/rmdopen-2020-001350
- Эрдес Ш.Ф., Бадокин В.В., Бочкова А.Г., и др. О терминологии спондилоартритов. Научно-практическая ревматология. 2015;53(6):657-60 [Erdes SF, Badokin VV, Bochkova AG, et al. On the terminology of spondyloarthritis. Rheumatology Science and Practice. 2015;53(6):657-60 (in Russian)]. doi: 10.14412/1995-4484-2015-657-660
- Wan S, Yi Q, Fan S, et al. Characteristics of lymphocyte subsets and cytokines in peripheral blood of 123 hospitalized patients with 2019 novel coronavirus pneumonia (NCP). MedRxiv. 2020. doi: 10.1101/2020.02.10.20021832
- Насонов Е.Л. Иммунопатология и иммунофармакотерапия коронавирусной болезни 2019 (COVID-19): фокус на интерлейкин 6. Научно- практическая ревматология. 2020;58(3):245-61 [Nasonov EL. Immunopathology and immunopharmacotherapy of coronavirus disease 2019 (COVID-19): focus on interleukin 6. Rheumatology Science and Practice. 2020;58(3):245-61 (in Russian)]. doi: 10.14412/1995-4484-2020-245-261
- Liu Y, Zhang C, Huang F, et al. Elevated plasma level of selective cytokines in COVID-19 patients reflect viral load and lung injury. Nat Sci Rev. 2020:nwaa037. doi: 10.1093/nsr/nwaa037
- Liu J, Li S, Liu J, et al. Longitudinal characteristics of lymphocyte responses and cytokine profiles in the peripheral blood of SARS-CoV-2 infected patients. EBioMedicine. 2020;55:102763. doi: 10.1016/j.ebiom.2020.102763.




