A case report of familial dyskeratosis congenital. Case report
- Authors: Luchkin A.V.1, Mikhailova E.A.1, Fidarova Z.T.1, Troitskaya V.V.1, Galtseva I.V.1, Kovrigina A.M.1, Glinkina S.A.1, Dvirnyk V.N.1, Raykina E.V.2, Pavlova A.V.2, Demina I.A.2, Parovichnikova E.N.1
-
Affiliations:
- National Research Center for Hematology
- Dmitry Rogachev National Medical Research Center of Pediatric Hematology, Oncology and Immunology
- Issue: Vol 93, No 7 (2021)
- Pages: 818-825
- Section: Case reports
- Submitted: 21.07.2021
- Accepted: 21.07.2021
- Published: 23.07.2021
- URL: https://ter-arkhiv.ru/0040-3660/article/view/76357
- DOI: https://doi.org/10.26442/00403660.2021.07.200955
- ID: 76357
Cite item
Full Text
Abstract
Dyskeratosis congenita (DC) is a hereditary syndrome of bone marrow failure, which develops because of telomeres’ defects and combines with cancer predisposition. Its classical clinical features are skin pigmentation, nail dystrophy, oral leukoplakia (“skin-mucosa triad”). The goal is to describe the algorithm of diagnosis, clinical specificities of DC and specific treatment for cases of DC in one family. The present report includes descriptions of diagnosis and treatment of family members diagnosed for the first time as having a DC. The report shows an importance of all diagnostic stages: from a medical history and clinical picture to an application of modern high-tech diagnostic methods (flow-FISH, NGS). The report underlines an importance of diagnosis of all family members for excluding an asymptomatic form after a case of DC has been already detected in that family. A high frequency of a toxicity and secondary neoplasia makes it necessary to realize an individual approach at treatment of each patient with DC (the earliest start of androgen treatment, prompt decision of implementation of allogenic hematopoietic stem cell transplantation). The knowledge of pathogenesis, clinical features and principles of diagnosis and therapy of this disease is relevant to pediatricians and hematologists.
Full Text
Введение
В основе патогенеза врожденного дискератоза (ВД) лежат нарушения биологии теломер. Фермент теломераза, а также другие белковые структуры, такие как шелтериновый комплекс, CST-комплекс, белки TCAB1 и RTEL1, обеспечивают поддержание нормальной длины теломер. Соматические мутации в генах перечисленных белковых структур ведут к развитию редкого заболевания – ВД [1].
ВД – наследственный синдром недостаточности костномозгового кроветворения, развивающийся вследствие нарушения биологии теломер и сочетающийся с предрасположенностью к опухолевым заболеваниям. В отличие от других конституциональных анемий, таких как анемия Фанкони, анемия Даймонда–Блекфана, синдром Швахмана–Даймонда, диагноз ВД часто устанавливается в юношеском и зрелом возрасте [2, 3].
Чаще болезнь встречается у мужчин. Истинная заболеваемость неизвестна и составляет приблизительно 1:1 млн в год [4]. В Российской Федерации отсутствует регистр ВД, и в отечественной литературе описаны лишь единичные наблюдения за течением болезни [5–7].
Классическими клиническими признаками болезни, или «кожно-слизистой триадой», являются: ретикулярная пигментация кожи, дистрофические изменения ногтевых пластин, лейкоплакия слизистой оболочки полости рта. Дополнительно встречаются аномалии развития глаз, слезотечение, раннее поседение, выпадение волос, гипергидроз, низкорослость, аномалии развития центральной нервной системы (церебральная гипоплазия, гипоплазия мозжечка, микроцефалия), задержка внутриутробного развития, отставание в умственном развитии, патология желудочно-кишечного тракта (зубов, стриктуры пищевода, язвы, мальабсорбция), мочевыделительной системы (стриктуры мочеточника, фимоз) [8–10]. Больные с ВД имеют высокий риск развития фиброза легких и печени, что является одной из ведущих причин инвалидизации и смертности (до 20%) [11–13].
Отдельно выделяют такие формы болезни, как синдром Хойераала–Хрейдассона, Revesz-синдром, Coats-plus-синдром. В отличие от «классического» ВД перечисленные варианты ВД характеризуются ранним появлением симптоматики, чаще с первых лет жизни, прогрессирующим течением костномозговой недостаточности и частыми врожденными аномалиями развития систем органов [14–16].
Семейные случаи течения ВД выявляются редко в связи с различными вариантами манифестации болезни и различной степенью выраженности симптоматики (длительное субклинические течение) у разных членов семьи. Частота встречаемости семейного ВД на сегодняшний день не установлена.
Лабораторная диагностика
Ключевой задачей дифференциальной диагностики ВД с другими заболеваниями, протекающими с костномозговой недостаточностью (идиопатическая апластическая анемия – АА, миелодиспластические синдромы – МДС, тяжелая врожденная нейтропения, другие формы конституциональных АА), является определение длины теломер и проведение молекулярно-генетического исследования с целью выявления специфических мутаций.
Основными методами, применяемыми для измерения длины теломер, являются: анализ терминальных рестрикционных фрагментов Саузерн-блотом (TЕRF), комбинация флуоресцентной in situ гибридизации и проточной цитофлуо- риметрии (flow-FISH) и варианты количественной полимеразной цепной реакции – ПЦР (qPCR). Наиболее точным и воспроизводимым методом в диагностике ВД является flow-FISH, чувствительность и специфичность которого превышают 90% [17–19].
Другую важную роль в диагностике ВД играет проведение молекулярно-генетического исследования с применением как секвенирования по Сэнгеру (для обнаружения мутаций в наиболее часто вовлеченных генах), так и с использованием современной технологии Next Generation Sequencing, NGS. На сегодняшний день описаны мутации 13 генов, участвующих в развитии болезни. Наиболее часто встречаются мутации генов: DKC1 – в 25%, TNF2 – в 12%, TERC – в 5%, TERT – в 5%, USB1 – в 2%, RTEL – в 2%. Мутации остальных генов (CTC1, NOLA2, NOLA3, WRAP 53, TPP1) встречаются не более чем в 1% случаев ВД [17]. Наследование может быть аутосомно-доминантным, аутосомно-рецессивным или X-сцепленным. У значительной части больных мутации возникают de novo. Установлено, что мутации de novo генов DKC1 и TINF2 обусловливают яркую клиническую манифестацию ВД, тогда как мутации гена TERT редко вызывают развитие болезни в I поколении. Спонтанные мутации гена TERC при заболевании в I поколении не описаны [20].
Целесообразно использовать комплексный подход в диагностике заболевания. В первую очередь, диагноз устанавливают на основании характерной клинико-лабораторной картины после исключения других заболеваний, протекающих с костномозговой недостаточностью. Так, мутации генов TERC и TERT встречаются в ряде случаев идиопатической АА и МДС, часто выявляются при идиопатическом фиброзе легких и печени [21–24].
Клональная эволюция и развитие вторичных опухолей
Значительное укорочение теломер неизбежно ведет к нестабильности генетического материала и, как следствие, к быстрому накоплению множества мутаций в клетках кроветворной системы, эпителиальных тканей и др. В условиях недостаточной проапоптотической активности возникает высокий риск развития опухолевых клонов и вторичных неоплазий, частота которых закономерно увеличивается с возрастом, длительностью заболевания, а также после выполнения трансплантации аллогенных гемопоэтических стволовых клеток крови (аллоТГСК) [3, 25]. В исследовании NCI совокупная заболеваемость раком составила 53% к 44 годам. При анализе литературы более 500 случаев ВД получены аналогичные результаты: 38% больных развили вторичные неоплазии к 50 годам, 65% – к 68 годам [25]. В структуре солидных опухолей преобладает плоскоклеточный рак головы и шеи, составляющий до 40% всех форм злокачественных новообразований у больных с ВД. В 2 раза реже диагностируются аноректальный рак, рак желудка, языка, легких. Частым событием является развитие опухолевых заболеваний кожи [3, 25].
Основным гематологическим клональным процессом является развитие МДС, на долю которого приходится до 40% всех вторичных неоплазий. В более продолжительных исследованиях растет и частота развития острого миелоидного лейкоза – ОМЛ (до 18%). Этот факт отражает эволюцию заболевания: ВД→МДС→ОМЛ. Из других гематологических опухолей преобладают лимфома Ходжкина, различные типы неходжкинских лимфом [3, 25].
Лечение
Нетрансплантационные подходы к терапии ВД направлены на стабилизацию состояния, замедление темпов прогрессирования болезни, контроль возможного развития клональных осложнений.
В исследовании Национального института здоровья США в 2009 г. in vitro показана возможность влияния андрогенов на увеличение активности теломеразы за счет усиления экспрессии TERT в лимфоцитах периферической крови. Также в лабораторной модели увеличивалась ферментативная теломеразная активность в CD34+ клетках костного мозга. Интересен факт восстановления активности теломеразы до нормальных значений при применении андрогенов в клетках как без мутаций, так и с гетерозиготными мутациями генов теломеразного комплекса (TERT) [26]. В крупном исследовании D. Townsley и соавт. показано успешное применение даназола (800 мг/сут в течение 2 лет) в группе из 27 взрослых больных с ВД (медиана возраста 41 год [17–66]). Гематологический ответ имели 79% исследуемых, по крайней мере по одному ростку кроветворения уже к 3-му месяцу терапии, к 24-му месяцу – 83%. У 3 больных, несмотря на лечение, отмечалась прогрессия заболевания (аплазия костного мозга, легочный фиброз, портальная гипертензия), у 2 – клональная эволюция [27]. На группе молодых больных (медиана возраста 16 лет [1, 5–69]) показано успешное применение оксиметолона, флюоксиместерона и нандролона с ответом в 70% случаев, в большинстве – с полной независимостью от трансфузий компонентов крови [28]. Все больные, получающие андрогены, должны тщательно контролироваться на предмет развития нарушения холестеринового и триглицеридового обмена, сохранности функции печени.
Применение протоколов лечения, используемых в терапии идиопатической АА (иммуносупрессивная терапия – антитимоцитарный глобулин, циклоспорин; агонисты тромбопоэтиновых рецепторов), а также глюкокортикостероидов и ростовых факторов не показало эффективности у больных с ВД [29–32]. Нецелевое назначение указанных препаратов ведет к потере времени в лечении больных, а также может усугублять течение осложнений и сопутствующей патологии (инфекционные процессы, в том числе инвазивные микозы; сахарный диабет; артериальная гипертензия и пр.).
АллоТГСК – единственный метод лечения, способный полностью восстановить нормальное кроветворение при ВД. При анализе результатов аллоТГСК у больных с ВД (медиана возраста 5,8 года [0–33]) исследовательские группы EBMT и EWOG показали 5-летнюю общую выживаемость 59%. К 10-летнему периоду наблюдения после ТГСК выживают около 30% больных [33]. Высокая органная токсичность (прогрессия фиброза легких, цирроз печени, веноокклюзионная болезнь), с одной стороны, и высокий риск осложнений в процессе выполнения трансплантации (несостоятельность трансплантата, реакция «трансплантат против хозяина», инфекционные процессы), с другой, заставляют тщательно подходить к отбору кандидатов на выполнение аллоТГСК и диктуют необходимость дальнейшей оптимизации режимов предтрансплантационного кондиционирования. Так, возраст младше 20 лет и наличие полностью совместимого донора существенно повышают шансы на успешное выполнение процедуры. Важно раннее принятие решения о выполнении аллоТГСК, т.е. до прогрессии органной недостаточности (легочный фиброз, фиброз печени) и развития вторичных опухолей. Схемы предтрансплантационной химиотерапии с использованием протоколов пониженной интенсивности с включением флударабина позволяют добиться значительно лучших результатов за счет снижения органной токсичности. Еще одной проблемой, затрагивающей группу больных после ТГСК, является резкое увеличение вероятности развития вторичных опухолей. Таким больным необходим пожизненный мониторинг как состояния функции внутренних органов, так и возможного развития новых неоплазий [3, 33, 34].
В связи с редкостью этой патологии и сложностями в диагностике и выборе терапевтической тактики приводим клинический разбор семейного случая ВД.
Клиническое наблюдение
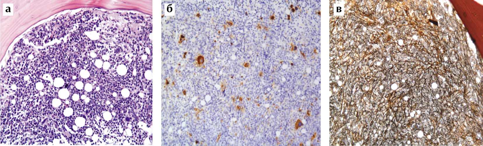
Мужчина 52 лет, отец семьи, больной 1 (Б-1) – пробанд, обратился в ФГБУ «НМИЦ гематологии» летом 2020 г. с жалобами на общую слабость, шум в ушах, одышку и кожно-слизистую кровоточивость по петехиальному типу. При изучении анамнеза болезни выяснилось, что в 2013 г. ему установлен диагноз «Апластический синдром, развившийся на фоне приема тиреостатиков – тиамазола». После отмены тиамазола и выполнения тиреоидэктомии с 2014 по 2020 г. в анализах крови отмечалась стабилизация показателей: концентрация гемоглобина (Hb) – 100–120 г/л, количество тромбоцитов (PLT) – 80–100×109/л, лейкоцитов (WBC) – 3,5–4,0×109/л), полная независимость от трансфузий компонентов донорской крови. К лету 2020 г. у пациента отмечена резкая прогрессия цитопенического синдрома с трансфузионной зависимостью. При осмотре обращала на себя внимание ретикулярная пигментация кожи нижних и верхних конечностей, поперечная исчерченность ногтевых пластин на пальцах рук (рис. 1). В анализе крови выявлена панцитопения: Hb – 86 г/л, PLT – 10×109/л, WBC – 1,3×109/л, абсолютное количество нейтрофилов (АКН) – 0,24×109/л, абсолютное количество лимфоцитов (АКЛ) – 0,9×109/л, ретикулоциты – 0,3%. В аспирате костного мозга – 0,4% бластных клеток, относительный лимфоцитоз (лимфоциты – 44%), отсутствие мегакариоцитов, признаки дизэритропоэза. При сравнении двух гистологических образцов трепанобиоптата (2013 и 2020 г.) отмечался переход от аплазии костного мозга к формированию субстрата МДС: гиперклеточный костный мозг, признаки дизэритропоэза и дисмегакариоцитопоэза. Выявлен выраженный фиброз стромы при окраске по Гомори. При проведении иммуногистохимического исследования обнаружены единичные позитивные клетки CD34+; мелкие мегакариоциты CD45b+ с монолобулярным ядром, микроформы, что также относится к признакам дисмегакариоцитопоэза (рис. 2). Методом flow-FISH определялось снижение относительной длины теломер до 6,2 (референсные значения 8,0–12,6 для пациентов старше 21 года). При проведении молекулярно-генетического исследования обнаружена точечная гетерозиготная мутация гена TERC (n.99T>C). По данным компьютерной томографии (КТ) органов грудной клетки выявлен двухсторонний легочный фиброз. Дополнительные результаты диагностики больного Б-1 приведены в табл. 1. На основании обследования установлен диагноз: ВД, трансформация в МДС, протекающий с фиброзом стромы; легочный фиброз. Начата терапия даназолом в суточной дозе 800 мг. К 7-му месяцу от установки диагноза констатирована прогрессия болезни в МДС с избытком бластов-2 (бластные клетки 14,5%). Спустя 2 мес больной скончался в результате прогрессии болезни и тяжелых инфекционных осложнений.
Рис. 1. Ретикулярная пигментация кожи нижних конечностей у Б-1. / Fig. 1. Reticular pigmentation on P-1’s skin of lower extremities.
Рис. 2. Гистологическое, иммуногистохимическое и гистохимическое исследования трепанобиоптата костного мозга Б-1: а – трепанобиоптат костного мозга; в широких костномозговых полостях – гиперклеточный костный мозг с расширением эритроидного ростка с дизэритропоэзом, омоложением гранулоцитарного ростка. Окраска гематоксилином и эозином; ув. 200; б – реакция с антителами к CD42b. Увеличено количество небольших мегакариоцитов с монолобулярными ядрами, микроформ = признаки дисмегакариоцитопоэза. Иммуноферментный метод; ув. 200; в – степень фиброза стромы костного мозга составляет MF 2 с участками MF-3. Окраска по Гомори; ув. 200. / Fig. 2. Histochemistry, immunohistochemistry and histochemistry of P-1’s bone marrow trephine biopsy: а – bone marrow trephine biopsy. In wide bone marrow cavities is a hypercellular bone marrow, the growth of erythroid lineage with dyserythropoiesis, a rejuvenation of granulocyte lineage cells. Hematoxylin and eosin stain; ×200; b – reaction with anti-CD42b antibodies. An increased number of small megakaryocytes with monolobular nuclei, microforms = the features of dysmegakaryocytopoesis. enzyme-linked immunosorbent assay; ×200; c – the decree of fibrosis of stroma is MF 2 with sites of MF-3 according to the European Consensus on grading. Gomori's stain; ×200.
Таблица 1. Данные лабораторных и инструментальных исследований Б-1, Б-2, Б-3 и матери Б-2 и Б-3 / Table 1. Laboratory and instrumental data of patients’ investigations (P-1, P-2, P-3 and female patients’ mother – P-2 and P-3)
Показатель | Б-1, 52 года | Б-2, 23 года | Б-3, 25 лет | Здорова, 48 лет | Референсные значения |
Гемограмма | |||||
Hb, г/л | 86 | 73 | 118 | 128 | 130–160 |
PLT, ×109/д | 10 | 29 | 68 | 256 | 180–320 |
WBC, ×109/л | 1,3 | 2,2 | 2,2 | 5,4 | 4–10 |
АКН, ×109/л | 0,2 | 0,7 | 0,9 | 2,7 | 2,0–5,5 |
АКЛ, ×109/л | 0,9 | 1,3 | 1,1 | 2,3 | 1,2–3,0 |
Ретикулоциты, % | 0,3 | 1,8 | 1,4 | – | 0,2–1,2 |
Миелограмма | |||||
Бластные клетки, % | 0,4 | 1,2 | 0,8 | – | 0,2–1,7 |
Лимфоциты, % | 44 | 41 | 10 | – | 4,3–13,7 |
Гранулоциты, % | 33 | 33 | 51 | – | 52,8–68,8 |
Мегакариоциты | Не обнаружены | Не обнаружены | Снижены | – | Нормальное кол-во |
Эритрокариоциты, % | 15 | 42 | 33 | – | 14,6–26,6 |
Признаки дизэритропоэза | Есть | Есть | Нет | – | Нет |
Стандартная цитогенетика | Нет митозов | 46,ХХ[30] | 46,ХХ[20] | – | 46,XX/XY[20] |
FISH -7, +8, EVI, del5q | Не выявлено | Не выявлено | Не выявлено | – | Нет |
ДЭБ-тест | Отрицательный | Отрицательный | Отрицательный | – | Отрицательный |
Т-/В-клеточная клональность в костном мозге | Не выявлена | Не выявлена | Не выявлена | – | Не выявлена |
ПНГ-клон | Не выявлен | Не выявлен | Не выявлен | – | Не выявлен |
Трепанобиопсия | Дисплазия, фиброз стромы | Аплазия | Гипоплазия | – | Нормоклеточный костный мозг |
Относительная длина теломер (flow-FISH) | 6,2 | 5,5 | 7,3 | 5,1 | 8,0–12,6 |
Генотип | TERC: ncEx 1, n.99T>C, гетерозигота | TERT: Ex 11, c.2773C>G p.(His925Asp), гетерозигота TERC: ncEx 1, n.99T>C, гетерозигота | TERC: ncEx 1, n.99T>C, гетерозигота | TERT: Ex 11, c.2773C>G p.(His925Asp), гетерозигота | - |
Ультразвуковое исследование органов брюшной полости | Диффузные изменения паренхимы печени | Норма | Норма | – | Норма |
КТ органов грудной клетки | Двусторонний фиброз легких | Норма | Норма | – | Норма |
Примечание. ДЭБ – диэпоксибутан, ПНГ – пароксизмальная ночная гемоглобинурия.
В июне 2020 г. в ФГБУ «НМИЦ гематологии» обратилась больная – 2 (Б-2) 23 лет – дочь Б-1, которая проходила обследование по поводу длительно сохраняющейся глубокой трехростковой цитопении. С 2018 г. больной проводился дифференциальный диагноз между идиопатической АА и МДС. Симптоматически выполняли трансфузии компонентов крови. При осмотре больной обращали на себя внимание ретикулярная пигментация кожи шеи и передней стенки грудной клетки, очаговая аллопеция, раннее поседение волос. При осмотре слизистой оболочки полости рта обнаружены очаги лейкоплакии и длительно незаживающие язвенные дефекты (рис. 3). В гемограмме определялась анемия (Hb – 73 г/л, ретикулоциты – 1,8%), тромбоцитопения (PLT – 29×109/л), лейкоцитопения/нейтропения (WBC – 2,25×109/л, АКН – 0,68×109/л, АКЛ – 1,3×109/л). При изучении аспирата и трепанобиоптата костного мозга – морфологическая картина характеризует аплазию кроветворной ткани. Методом flow-FISH показано укорочение длины теломер (относительная длина составила 5,5). При проведении молекулярно-генетического исследования выявлены две гетерозиготные точечные мутации гена TERC (n.99T>C; наследование от отца) и TERT (c.2773C>G; наследование от матери, что доказано впоследствии). Дополнительные данные обследования Б-2 приведены в табл. 1. Установлен диагноз ВД. Больной предложено два варианта терапии: выполнение аллоТГСК и прием даназола. От проведения обоих вариантов лечения она отказалась.
Рис. 3. Ретикулярная пигментация кожи шеи и лейкоплакия полости рта у Б-2. / Fig. 3. Reticular pigmentation on P-2’s skin of neck and oral leukoplakia.
Проведено обследование остальных членов семьи. Известно, что вторая дочь (Б-3), 25 лет, при отсутствии клинической картины ВД имеет умеренную цитопению в течение последних 2 лет (Hb – 118 г/л, PLT – 68×109/л, WBC – 2,2×109/л). При гистологическом исследовании ее трепанобиоптата выявлена гипоплазия костного мозга. Исследование у нее относительной длины теломер выявило укорочение до 7,3, при молекулярно-генетическом исследовании обнаружена гетерозиготная мутация гена TERC (n.99T>C), которую наблюдаемая унаследовала от отца (Б-1). Б-3 также установлен диагноз ВД. От прохождения дальнейшего обследования и лечения больная также отказалась.
Супруга Б-1, мать Б-2 и Б-3, 48 лет, клинически здорова. Отклонений в анализах крови нет. При проведении расширенного обследования обнаружено укорочение относительной длины теломер до 5,1, выявлена гетерозиготная мутации гена TERT (c.2773C>G), которую унаследовала младшая дочь (Б-2).
В изложенном клиническом наблюдении продемонстрирована сложность диагностики и выбора методов лечения семейного случая ВД. В одной семье могут выявляться несколько мутаций, характерных для развития болезни, а также их сочетание (рис. 4). Обнаружение определенной мутации (Б-1, Б-3) или их сочетание (Б-2) определяет тяжесть течения болезни (степень цитопении, скорость прогрессирования).
Рис. 4. Выявленные мутации генов, отвечающих за развитие ВД у членов семьи. / Fig. 4. The identified mutations in members of the family, which are responsible for occurrence of dyskeratosis congenita (DC).
Обсуждение
Следует отметить, что ВД не является изолированной проблемой педиатров. Все больше случаев конституциональных форм АА идентифицируется в юношеском и зрелом возрасте в силу развития новых методов исследования, внедряемых в диагностику синдромов, протекающих с костномозговой недостаточностью. Вместе с внедрением новых программ лечения увеличивается и продолжительность жизни молодых пациентов, которые могут быть переданы во взрослую практику на одном из этапов терапии.
На рис. 5 представлен алгоритм диагностики обследования больных с целью исключения/подтверждения наличия врожденной формы костно-мозговой недостаточности, в частности ВД.
Рис. 5. Алгоритм диагностики больных с подозрением на ВД. / Fig. 5. The algorithm of patient’s examination with a possible DC.
Сбор анамнеза (болезни и семейного) и уточнение особенностей клинической картины по сей день остаются основными инструментами врача-гематолога, позволяющими заподозрить наличие конституциональной АА, в том числе ВД. В комплексной диагностике необходимо использовать современные цитофлуориметрические (flow-FISH) и молекулярные (секвенирование) методы. Необходим пожизненный мониторинг за возможным развитием вторичных неоплазий, клональной эволюции заболевания и органной недостаточности у таких пациентов.
После диагностирования ВД у больного показано обследование членов семьи с целью выявления как скрытого течения заболевания, так и обнаружения мутаций в генах шелтерин-теломеразного комплекса у здоровых родственников, что в дальнейшем позволит проводить медико-генетическое консультирование.
Заключение
Выполнение аллоТГСК позволяет достичь ремиссии заболевания у определенной группы больных. В то же время этот метод лечения сопряжен со значительными рисками развития органной токсичности, осложнений процедуры и вторичных опухолей. Вопрос о проведении ТГСК должен рассматриваться с учетом возраста пациента, коморбидности, наличия HLA-идентичных доноров. Альтернативным методом лечения является назначение андрогенов, что позволяет достичь гематологического ответа более чем в 70% случаев.
Конфликт интересов. Авторы заявляют об отсутствии конфликта интересов.
Conflict of interests. The authors declare no conflict of interest.
Список сокращений
АА – апластическая анемия
АКЛ – абсолютное число лимфоцитов
АКН – абсолютное число нейтрофилов
АллоТГСК – трансплантация аллогенных гемопоэтических стволовых клеток
Б – больной
ВД – врожденный дискератоз
МДС – миелодисплатический синдром
Hb – гемоглобин
PLT – тромбоциты
WBC – лейкоциты
About the authors
Anton V. Luchkin
National Research Center for Hematology
Author for correspondence.
Email: a_luchkin@rambler.ru
ORCID iD: 0000-0002-4400-4711
врач-гематолог отд-ния интенсивной высокодозной химиотерапии гемобластозов и депрессий кроветворения
Russian Federation, MoscowElena A. Mikhailova
National Research Center for Hematology
Email: a_luchkin@rambler.ru
ORCID iD: 0000-0002-2449-2682
д-р мед. наук, проф., вед. науч. сотр. отд-ния интенсивной высокодозной химиотерапии гемобластозов и депрессий кроветворения
Russian Federation, MoscowZalina T. Fidarova
National Research Center for Hematology
Email: a_luchkin@rambler.ru
ORCID iD: 0000-0003-0934-6094
канд. мед. наук, зав. отд-нием химиотерапии гемобластозов и депрессий кроветворения с дневным стационаром
Russian Federation, MoscowVera V. Troitskaya
National Research Center for Hematology
Email: a_luchkin@rambler.ru
ORCID iD: 0000-0002-4827-8947
канд. мед. наук, зам. дир. по лечебной работе, зав. отд-нием высокодозной химиотерапии гемобластозов и депрессий кроветворения
Russian Federation, MoscowIrina V. Galtseva
National Research Center for Hematology
Email: a_luchkin@rambler.ru
ORCID iD: 0000-0002-8490-6066
канд. мед. наук, зав. лаб. иммунофенотипирования клеток крови и костного мозга
Russian Federation, MoscowAlla M. Kovrigina
National Research Center for Hematology
Email: a_luchkin@rambler.ru
ORCID iD: 0000-0002-1082-8659
д-р биол. наук, зав. патологоанатомическим отд-нием
Russian Federation, MoscowSvetlana A. Glinkina
National Research Center for Hematology
Email: a_luchkin@rambler.ru
ORCID iD: 0000-0002-7321-1728
врач-патологоанатом патологоанатомического отделения
Russian Federation, MoscowValentina N. Dvirnyk
National Research Center for Hematology
Email: a_luchkin@rambler.ru
ORCID iD: 0000-0002-9877-0796
канд. мед. наук, зав. централизованной клинико-диагностической лаб.
Russian Federation, MoscowElena V. Raykina
Dmitry Rogachev National Medical Research Center of Pediatric Hematology, Oncology and Immunology
Email: a_luchkin@rambler.ru
ORCID iD: 0000-0002-7634-2053
канд. мед. наук, зав. лаб. молекулярной биологии
Russian Federation, MoscowAnna V. Pavlova
Dmitry Rogachev National Medical Research Center of Pediatric Hematology, Oncology and Immunology
Email: a_luchkin@rambler.ru
ORCID iD: 0000-0002-3974-5662
мл. науч. сотр. лаб. молекулярной биологии
Russian Federation, MoscowIrina A. Demina
Dmitry Rogachev National Medical Research Center of Pediatric Hematology, Oncology and Immunology
Email: a_luchkin@rambler.ru
ORCID iD: 0000-0002-4317-2094
канд. биол. наук, врач клинической лабораторной диагностики лаб. клеточной иммунологии и иммуногенеза
Russian Federation, MoscowElena N. Parovichnikova
National Research Center for Hematology
Email: a_luchkin@rambler.ru
ORCID iD: 0000-0001-6177-3566
д-р мед. наук, зав. отд-нием химиотерапии гемобластозов, депрессий кроветворения и ТКМ
Russian Federation, MoscowReferences
- Карпова Н.С., Абдулкадыров K.M., Селиванов Е.А., Балашова В.A. Современные представления о роли теломер и теломеразы в патогенезе гематологических и онкологических заболеваний. Рос. биомед. журн. 2012;13(1):38-57 [Karpova NS, Abdulkadyrov KM, Selivanov EA, Balashova VA. The modern conception of the proper role of telomeres and telomerase in pathogenesis of hematologic and oncology diseases. Russian biomedical journal. 2012;13(1):38-57 (in Russian)].
- Hashmi SK, Allen C, Klaassen R, et al. Comparative analysis of Shwachman-Diamond syndrome to other inherited bone marrow failure syndromes and genotype–phenotype correlation. Clinical genetics. 2011;79(5):448-58. doi: 10.1111/j.1399-0004.2010.01468.x
- Alter BP, Giri N, Savage SA, Rosenberg PS. Cancer in the National Cancer Institute inherited bone marrow failure syndrome cohort after fifteen years of follow-up. Haematologica. 2018;103(1):30. doi: 10.3324/haematol.2017.178111
- Dokal I. Dyskeratosis congenita in all its forms. Br J Haematol. 2000;110(4):768-79. doi: 10.1046/j.1365-2141.2000.02109.x
- Ершов Н.М., Овсянникова Г.С., Хачатрян Л.А., и др. Врожденный дискератоз: анализ клинических случаев. Педиатрия. Журн. им. Г.Н. Сперанского. 2014;93(6):90-5 [Ershov NM, Ovsyannikova GS, Khachatryan LA, et al. Congenital dyskeratosis: analysis of clinical cases. Pediatriya. Zhurnal im. GN Speranskogo. 2014;93(6):90-5 (in Russian)].
- Емельянова Т.А., Хмелевская И.Г., Миненкова Т.А., и др. Врожденный дискератоз: клиническое наблюдение. Курский науч.-практ. вестн. «Человек и его здоровье». 2018;(2):44-8 [Emelianova TA, Khmelevskaya IG, Minenkova TA, et al. Congenital dysceratosis: clinical observation. Kursk Scientific and Practical Bulletin “Man and His Health”. 2018;(2):44-8 (in Russian)]. doi: 10.21626/vestnik/2018-2/07
- Нечаевских В.И., Зинина Е.Е., Попова Н.Б. Врожденный дискератоз: клиническое наблюдение. Здравоохранение Югры: опыт и инновации. 2018;4 [Nechaevsky VI, Zinina EE, Popova NB. Congenital dyskeratosis: a clinical case. Ugra health care: experience and innovations. 2018;4 (in Russian)].
- Savage SA, Alter BP. Dyskeratosis congenital. Hematol Oncol Clin North Am. 2009;23(2):215-31. doi: 10.1016/j.hoc.2009.01.003
- Armanios MY, Chen JJL, Cogan JD, et al. Telomerase mutations in families with idiopathic pulmonary fibrosis. New Engl J Med. 2007;356(13):1317-26. doi: 10.1056/NEJMoa066157
- Nishio N, Kojima S. Recent progress in dyskeratosis congenital. Int J Hematol. 2010;92(3):419-24. doi: 10.1007/s12185-010-0695-5
- Kim HJ, Kim KJ, Lee KH, et al. Interstitial lung disease in a patient with dyskeratosis congenita. Tuberc Respir Dis. 2013;74(2):70. doi: 10.4046/trd.2013.74.2.70
- Dvorak LA, Vassallo R, Kirmani S, et al. Pulmonary fibrosis in dyskeratosis congenita: report of 2 cases. Hum Pathol. 2015;46(1):147-52. doi: 10.1016/j.humpath.2014.10.003
- Parry EM, Alder JK, Qi X, et al. Syndrome complex of bone marrow failure and pulmonary fibrosis predicts germline defects in telomerase. Blood. 2011;117(21):5607-11. doi: 10.1182/blood-2010-11-322149
- Glousker G, Touzot F, Revy P, et al. Unraveling the pathogenesis of Hoyeraal–Hreidarsson syndrome, a complex telomere biology disorder. Br J Haematol. 2015;170(4):457-71. doi: 10.1111/bjh.13442
- Karremann M, Neumaier-Probst E, Schlichtenbrede F, et al. Revesz syndrome revisited. Orphanet J Rare Dis. 2020;15(1):1-13. doi: 10.1186/s13023-020-01553-y
- Duprey PA, Steger JW. An unusual case of dyskeratosis congenita with intracranial calcifications. J Am Acad Dermatol. 1988;19(4):760-2. doi: 10.1016/s0190-9622(88)80357-8
- Alter BP, Baerlocher GM, Savage SA, et al. Very short telomere length by flow fluorescence in situ hybridization identifies patients with dyskeratosis congenita. Blood. 2007;110(5):1439-47. doi: 10.1182/blood-2007-02-075598
- Gutierrez-Rodrigues F, Santana-Lemos BA, Scheucher PS, et al. Direct comparison of flow-FISH and qPCR as diagnostic tests for telomere length measurement in humans. PloS one. 2014;9(11):e113747. doi: 10.1371/journal.pone.0113747
- Демина И.А., Семченкова А.А., Кагирова З.Р., Попов А.М. Измерение абсолютной длины теломер методом проточной цитометрии. Вопр. гематологии/онкологии и иммунопатологии в педиатрии. 2019;17(4):68-74 [Demina IA, Semchenkova AA, Kagirova ZR, Popov AM. Flow cytometric measurement of absolute telomere length. Pediatric Hematology/Oncology and Immunopathology. 2019;17(4):68-74 (in Russian)]. doi: 10.24287/1726-1708-0-0-0-1-7
- Bessler M, Du HY, Gu B, Mason PJ. Dysfunctional telomeres and dyskeratosis congenita. Haematologica. 2007;92(8):1009-12. doi: 10.3324/haematol.11221
- Yamaguchi H, Baerlocher, GM, Lansdorp, et al. Mutations of the human telomerase RNA gene (TERC) in aplastic anemia and myelodysplastic syndrome. Blood. 2003;102(3):916-8. doi: 10.1182/blood-2003-01-0335
- Yamaguchi H, Calado RT, Ly H, et al. Mutations in TERT, the gene for telomerase reverse transcriptase, in aplastic anemia. New Engl J Med. 2005;352(14):1413-24. doi: 10.1056/NEJMoa042980
- Sousa SR, Mota PC, Melo N, et al. Heterozygous TERT gene mutation associated with familial idiopathic pulmonary fibrosis. Respir Med Case Rep. 2019;26:118-22. doi: 10.1016/j.rmcr.2018.12.005
- Hartmann D, Srivastava U, Thaler M, et al. Telomerase gene mutations are associated with cirrhosis formation. Hepatology. 2011;53(5):1608-17. doi: 10.1002/hep.24217
- Alter BP, Giri N, Savage SA, Rosenberg PS. Cancer in dyskeratosis congenita. Blood. 2009;113(26):6549-57. doi: 10.1182/blood-2008-12-192880
- Calado RT, Yewdell WT, Wilkerson KL, et al. Sex hormones, acting on the TERT gene, increase telomerase activity in human primary hematopoietic cells. Blood. 2009;114(11):2236-43. doi: 10.1182/blood-2008-09-178871
- Townsley DM, Dumitriu B, Liu D, et al. Danazol treatment for telomere diseases. New Engl J Med. 2016;374(20):1922-31. doi: 10.1056/NEJMoa1515319
- Khincha PP, Wentzensen IM, Giri N, et al. Response to androgen therapy in patients with dyskeratosis congenita. Br J Haematol. 2014;165(3):349-57. doi: 10.1111/bjh.12748
- Al-Rahawan MM, Giri N, Alter BP. Intensive immunosuppression therapy for aplastic anemia associated with dyskeratosis congenital. Int J Hematol. 2006;83(3);275. doi: 10.1532/ijh97.06030
- García MSF, Teruya-Feldstein J. The diagnosis and treatment of dyskeratosis congenita: a review. J Blood Med. 2014;5:157. doi: 10.2147/JBM.S47437
- Trautmann K, Jakob C, von Grunhagen U, et al. Eltrombopag fails to improve severe thrombocytopenia in late-stage dyskeratosis congenita and diamond-blackfan-anaemia. Thromb Haemost. 2012;108(08):397-8. doi: 10.1160/TH12-02-0121
- Демина И.А., Овсянникова Г.С., Калинина И.И., и др. Значение длины теломер для индивидуализации терапии апластической анемии. Педиатрия. Журн. им. ГН Сперанского. 2017;96(5):97-103 [Demina IA, Ovsyannikova GS, Kalinina II, et al. Telomere length value for individualization of aplastic anemia therapy. Pediatriya named after GN Speransky.2017;96(5):97-103 (in Russian)]. doi: 10.24110/0031-403X-2017-95-5-97-103
- Fioredda F, Iacobelli S, Korthof ET, et al. Outcome of haematopoietic stem cell transplantation in dyskeratosis congenita. Br J Haematol. 2018;183(1):110-8. doi: 10.1111/bjh.15495
- Dokal I. Dyskeratosis congenital. Hematology Am Soc Hematol Educ Program. 2011;1:480-6. doi: 10.1182/asheducation-2011.1.480
Supplementary files








