Fat cardiomyopathy in patients with severe degree of obesity. Case report
- Authors: Miklishanskaya S.V.1, Stukalova O.V.1,2, Solomasova L.V.1, Mazur N.A.1
-
Affiliations:
- Russian Medical Academy of Continuous Professional Education
- National Medical Research Center of Cardiology
- Issue: Vol 93, No 9 (2021)
- Pages: 1073-1077
- Section: Case reports
- Submitted: 09.10.2021
- Accepted: 09.10.2021
- Published: 15.09.2021
- URL: https://ter-arkhiv.ru/0040-3660/article/view/82975
- DOI: https://doi.org/10.26442/00403660.2021.09.201038
- ID: 82975
Cite item
Full Text
Abstract
Currently, the world is constantly increasing the number of people with obesity. As was shown by the Framingham study, obesity is a risk factor for many cardiovascular diseases. The effect of obesity on the structure and function of the heart is manifested in the form of cardiac remodeling, the effect on energy metabolism in the heart and infiltration of both myocardium with lipids, and an increase in the accumulation of adipose tissue in the pericardium, imbalance of adipokines and activation of inflammatory markers. Cardiac remodeling occurs primarily due to thickening of the left ventricle (LV) walls and an increase in the LV myocardium mass. Systolic dysfunction of the heart is less common in obese individuals compared with diastolic dysfunction. However, more modern methods (tissue Doppler, visualization of the deformation of the chambers of the heart – strain imaging) reveal a subclinical decrease in systolic function in people with obesity. It is not fully known whether obesity is associated with systolic dysfunction, regardless of other risk factors. In any case, it has been proven that heart failure in people with obesity can develop independently of other risk factors. As an illustration, we give an example when the presence of obesity and concomitant pathology (arterial hypertension, diabetes) led to the development of systolic dysfunction with a decrease in the LV ejection fraction to 35% (fat cardiopathy), which show the potential for the influence of both obesity itself and in combination with concomitant diseases to lead to severe systolic heart failure.
Full Text
Ожирение является одной из ведущих причин заболеваемости и смертности в мире.
В настоящее время показано, что ожирение оказывает прямое влияние на структуру, функцию левого желудочка (ЛЖ), что в конечном итоге может приводить к развитию сердечной недостаточности [1, 2].
По данным Фремингемского исследования, лица с ожирением, как определено по индексу массы тела (ИМТ) 30 кг/м2 и более, имели вдвое больший риск развития сердечной недостаточности в течение 14 лет наблюдения [3]. Данные эпидемиологических исследований показывают, что у пациентов с ожирением на 30% чаще развивается сердечная недостаточность, при этом каждый рост ИМТ на 1 кг/м2 увеличивает риск ее развития на 5% у мужчин и 7% у женщин [4].
Влияние ожирения на сердце проявляется в виде его ремоделирования, воздействия на энергетический метаболизм, а также в виде инфильтрации липидами миокарда, воспаления и увеличения накопления жировой ткани в околосердечной сумке [1, 5, 6].
Ремоделированию подвергаются все камеры сердца. В первую очередь ремоделирование сердца происходит за счет утолщения стенок ЛЖ и увеличения массы миокарда ЛЖ. Сопутствующие ожирению гиперинсулинемия, гиперлептинемия, активация ренин-ангиотензин-альдостероновой системы способствуют гипертрофии ЛЖ и фиброзу миокарда. Гемодинамические изменения сопровождаются увеличением объема крови и сердечного выброса.
При длительно существующем ожирении, чаще у женщин, к перечисленным нарушениям может присоединиться дилатация полости ЛЖ. Считается, что данные изменения обусловлены увеличением объема циркулирующей крови и сердечного выброса, что связано с необходимостью обеспечивать достаточное кровоснабжение увеличенному объему жировой ткани.
У лиц с ожирением чаще выявляется нарушение диастолической функции. В силу того, что у лиц с ожирением факторы, нарушающие наполнение ЛЖ (например, давление в левом предсердии – ЛП), имеют тенденцию доминировать над нарушениями релаксации ЛЖ, которые оценивают на основании скорости потока через митральный клапан, измеренный с помощью допплеровской пульсовой волны, результаты исследований по оценке диастолической функции могли быть различны и зачастую противоположны. Некоторые исследования выявили снижение ранней диастолической (Е-пик) скорости наполнения ЛЖ, в то время как, по другим данным, она не изменялась. Наконец, также расходятся данные по скорости позднего диастолического наполнения (А-пик): в ряде исследований отмечено, что она увеличилась, по другим данным, она остается неизменной. Удлинение времени изоволюмического расслабления, возможно, следует считать наиболее согласованным показателем диастолического нарушения функции, наблюдаемого при ожирении. Поскольку возраст предсказуемо ассоциируется со снижением скорости и времени раннего диастолического наполнения (Е-пик) и увеличением скорости позднего диастолического наполнения, поправка на возраст является обязательной при оценке параметров потока через митральный клапан. За счет развития эхокардиографической техники за последние 10 лет мы имеем возможность рассчитывать индексы диастолической функции, которые относительно не обусловлены наполнением ЛЖ. Надежным методом записи скорости и амплитуды движений миокарда с высокой степенью разрешения является тканевой допплер. С помощью тканевого допплера могут быть определены скорость напряжения и скорость деформации различных участков сердца. С помощью этих методов выявлено снижение ранней диастолической скорости наполнения и скорости деформации ЛЖ у лиц с ожирением в сравнении с теми, у кого нормальный ИМТ. Считается, что снижение этих параметров главным образом свидетельствует о замедлении скорости расслабления ЛЖ и как следствие – нарушении его диастолической функции [1, 7].
Данные о влиянии ожирения на систолическую функцию ЛЖ еще более неоднозначны. Разные авторы сообщают о сниженной [8, 9], нормальной [10, 11] или повышенной [12, 13] фракции выброса у этих больных. Крайне сложно отделить влияние ожирения от воздействия сопутствующих заболеваний, таких как артериальная гипертония, сахарный диабет (СД), сосудистые заболевания. Все перечисленные состояния могут быть причиной дисфункции ЛЖ. Исследования, в которых изучалось влияние ожирения на систолическую функцию ЛЖ, как правило, малочисленны. О нарушении систолической функции зачастую свидетельствует ухудшение продольной сократимости, что предшествует собственно снижению фракции выброса, которая дольше может сохранять нормальные значения [14, 15].
Тем не менее в недавно проведенном исследовании с участием 512 человек продемонстрировано нарушение систолической функции сердца у лиц с избыточной массой тела и ожирением: выявлено отчетливое снижение фракции выброса и глобального пикового продольного натяжения по данным эхокардиографии (ЭхоКГ). Фракция выброса у лиц с ожирением и СД снизилась на 8% и у лиц с ожирением без СД – на 4% при сравнении с лицами с нормальным ИМТ [16].
Результаты работ, показавших, что фракция выброса ЛЖ остается нормальной или даже повышенной у большинства больных с ожирением, следует интерпретировать с осторожностью, так как увеличение эндокардиального укорочения – частая находка при концентрическом ремоделировании ЛЖ из-за относительно улучшенного движения эндокарда в желудочке с утолщенными стенками. Таким образом, даже если фракция выброса – в пределах нормы, сократительная функция миокарда зачастую оказывается сниженной, если ее измерять более чувствительными методами, такими, как фракционное укорочение межжелудочковой перегородки, пиковая систолическая скорость, а также измеренная тканевым допплером систолическая скорость деформации миокарда. И действительно, лица с ожирением в большинстве случаев имеют субклинические нарушения сократимости, определяемые упомянутыми способами. Результаты инвазивных исследований также свидетельствуют, что сократительная функция миокарда снижена [1].
Результаты ранних работ, сообщавшие о расширении камер сердца и систолической дисфункции, привели к появлению понятия «жировая кардиопатия» [17–19]. A. Alpert и соавт. полагают, что длительность ожирения является ключевым фактором, определяющим вероятность развития систолической дисфункции и сердечной недостаточности [20]. Но, несмотря на привлекательность этой гипотезы, исследований для ее подтверждения не проведено. Более того, отсутствуют длительные исследования, в которых стало бы возможно определить естественное развитие нарушений сократительных свойств миокарда у лиц с ожирением [1, 21]. И.И. Дедов и соавт. описывают механизм развития сердечной недостаточности следующим образом: увеличение толщины миокарда снижает чрезмерное напряжение его волокон, что позволяет сохранить нормальную сократительную способность ЛЖ, хотя и создает предпосылки для развития диастолической дисфункции ЛЖ. В ее основе лежат относительное уменьшение количества капилляров на единицу объема мышечной ткани и ухудшение условий диффузии кислорода в гипертрофированных мышечных волокнах. Если утолщение стенки неадекватно мало по сравнению с нарастанием дилатации полости ЛЖ, то напряжение стенки ЛЖ длительное время остается повышенным. Это ведет к развитию систолической дисфункции и появлению признаков застойной сердечной недостаточности. Таким образом, один из механизмов, ведущих к развитию сердечно-сосудистых осложнений при ожирении, связан с истощением компенсаторных механизмов миокарда, обусловленных увеличением объема циркулирующей крови [22].
В отдельных сообщениях высказаны предположения, что ожирение может стать причиной появления нарушений проводимости [23]. Более того, имеется взаимосвязь между ожирением с увеличением эпикардиальной жировой ткани и наличием асинхронного сокращения камер сердца, что является маркером прогрессирования сердечной недостаточности. При обследовании молодых лиц с избыточной массой тела и ожирением выявлена взаимосвязь между асинхронностью сокращений обоих желудочков и повышенной массой тела, а также линейная взаимосвязь между асинхронностью сокращений желудочков и количеством эпикардиальной жировой ткани, толщина которой в большинстве случаев не превышала 7 мм, т.е. соответствовала значениям, которые в настоящее время рассматриваются как нормальные [24].
Учитывая имеющиеся в настоящее время расхождения в представлениях о наличии жировой кардиопатии как отдельной формы патологии сердца, мы представляем наше клиническое наблюдение.
Больная, представительница европеоидной расы, 64 года, поступила в октябре 2018 г. в клинику ФГБУ «НМИЦ кардиологии» с жалобами на одышку при минимальной физической нагрузке: при подъеме на 2-й этаж вынуждена останавливаться 3–4 раза. В состоянии покоя одышка не беспокоила. Из анамнеза известно, что больная в течение 10 лет страдает артериальной гипертонией с максимальным подъемом артериального давления (АД) до 160/100 мм рт. ст., регулярной гипотензивной терапии не получала. Отмечает, что однократно имел место эпизод повышения АД до 200/110 мм рт. ст. При обследовании на фоне медикаментозной терапии АД определялось на уровне 120–130/70–80 мм рт. ст. Также в течение 10 лет больная страдает СД 2-го типа, в связи с чем принимает метформин 2000 мг/сут, глибенкламид 7 мг/сут. Уровень глюкозы при самоконтроле составил 7,8–8,2 ммоль/л. Однако эпизодически имело место повышение до 11–12 ммоль/л, что указывает на недостаточный контроль уровня глюкозы в крови. Одышка при физических нагрузках беспокоит с 2014 г., что заставило больную обратиться к кардиологу по месту жительства. На электрокардиограмме впервые зарегистрирована блокада левой ножки пучка Гиса (БЛНПГ). Пациентка экстренно госпитализирована в ГБУЗ «НИИ СП им. Н.В. Склифосовского». При рентгенографии органов грудной клетки обнаружен венозный застой. По данным ЭхоКГ фракция выброса – 50% (метод Simpsona) с преобладанием гипоакинеза и асинергичным движением перегородочных сегментов на базальном и среднем уровнях, митральная регургитация 2-й степени, увеличение ЛП (переднезадний размер – ПЗР 4,7 см, объем – 83 мл). Учитывая жалобы больной и данные инструментальных методов обследования, проведена коронароангиография, которая не выявила гемодинамически значимых стенозов. После выписки на фоне медикаментозной терапии Кардиомагнилом 75 мг/сут, Конкором 10 мг/сут, комбинацией фозиноприла с гидрохлоротиазидом (20+25 мг соответственно) отметила некоторое улучшение, однако одышка сохранялась. Впоследствии при повторных эхокардиографических исследованиях отмечались колебание фракции выброса ЛЖ на уровне от 38 до 47%, появление выпота в полости перикарда. В октябре 2018 г. в связи с сохранением жалоб на одышку больная госпитализирована в клинику ФГБУ «НМИЦ кардиологии». На момент поступления находилась на терапии эналаприлом 40 мг/сут, бисопрололом 10 мг/сут, спиронолактоном 50 мг/сут, аторвастатином 20 мг/сут, торасемидом 5 мг через день и сахароснижающими препаратами, которые перечислены выше.
При поступлении состояние пациентки расценено как средней степени тяжести. При осмотре кожные покровы обычной окраски. Масса тела увеличена, ИМТ 44 кг/м2, что соответствует 3-й степени ожирения. Рост – 155 см, масса тела – 105 кг. Окружность талии – 130 см при максимальной норме у женщин до 88 см, по данным рекомендаций, принятых в США. Cоотношение окружности талии к окружности бедер составило 1,08 при норме <0,85 [25]. Периферических отеков голеней и стоп нет. Дыхание жесткое, проводится во все отделы обоих легких. Хрипов нет. Перкуторный звук над легочными полями ясный, легочный. Тоны сердца ясные, ритмичные. Шумы над магистральными артериями не выслушиваются. Частота сердечных сокращений 72 уд/мин, АД на правой и левой руке 150/80 мм рт. ст. Живот при пальпации мягкий, безболезненный во всех отделах, печень не пальпируется ввиду конституциональных особенностей.
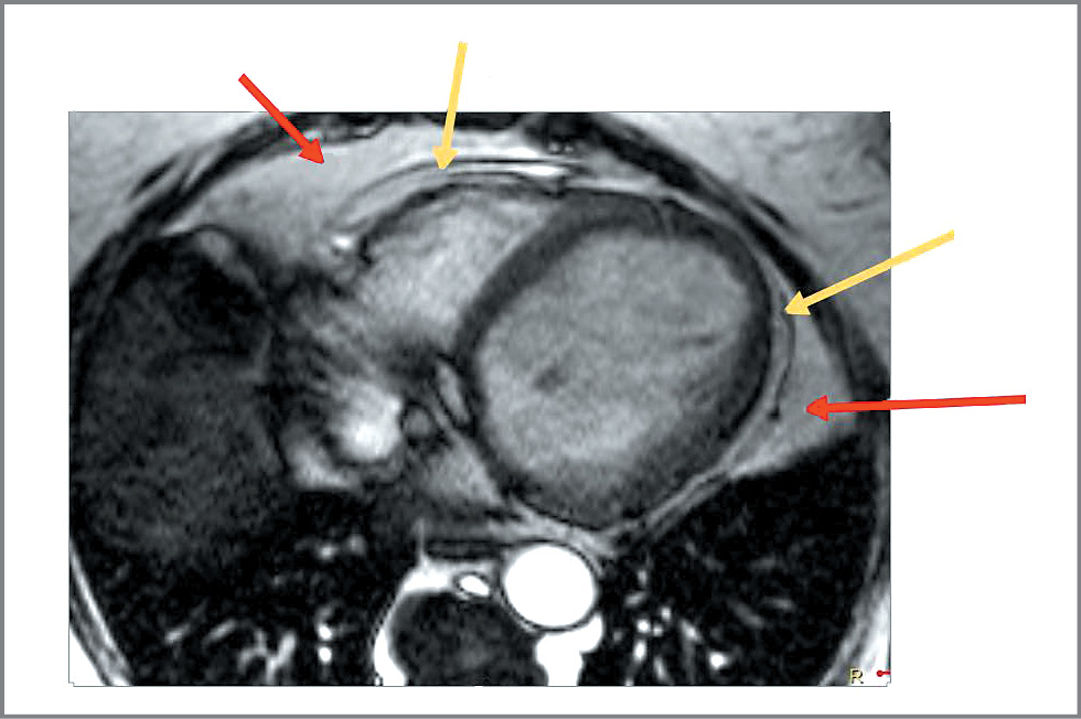
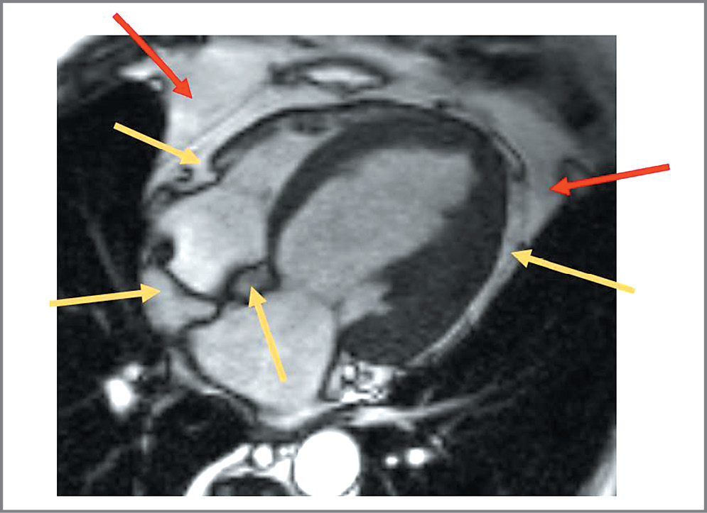
По данным лабораторных исследований обращает на себя внимание неадекватный контроль глюкозы: глюкоза крови 10,22 ммоль/л (при принятой в лаборатории норме 5,80 ммоль/л). Показатели липидного профиля на терапии аторвастатином 20 мг: общий холестерин – 4,5 ммоль/л, триглицериды – 3,48 ммоль/л, холестерин липопротеинов низкой плотности – 1,91 ммоль/л, холестерин липопротеинов высокой плотности – 1,01 ммоль/л. Уровень содержания трансаминаз в крови в пределах нормы, аспартатаминотрансфераза – 17,0 Ед/л; аланинаминотрансфераза – 20,0 Ед/л (при норме, принятой в лаборатории, 29 Ед/л). Нормальные показатели в крови уровня гормонов щитовидной железы исключили гипотиреоз как причину увеличения массы тела. На электрокардиограмме зарегистрирован синусовый ритм с частотой сердечных сокращений – 70 уд/мин, полная БЛНПГ. Эхокардиографическое исследование проведено на ультразвуковой системе экспертного класса VividE 9 с использованием фазированного датчика М5Sc-D и матричного датчика 4V-D (трехмерный режим); выполнена тканевая допплерография сердца для комплексной оценки диастолической функции желудочков (включая показатели Е/А, Е/Е`, Eml, Ems, Et). Фракция выброса и объемы ЛЖ рассчитывали биплановым методом дисков (модифицированный метод Симпсона в В-режиме). Размеры и объемы полостей сердца индексировали на площадь поверхности тела и соотносили с нормативными значениями. По данным ЭхоКГ, на фоне полной БЛНПГ определялось расширение ЛП и ЛЖ: ПЗР ЛП – 4,6 см (норма 2,7–3,8 см), апикально 5,4×4,7 см (норма 5,3×4,0 см); объем ЛП – 80 мл (норма до 52 мл); индекс объема ЛП 37,6 мл/м2 (норма до 34 мл/м2); конечно-диастолический размер ЛЖ в базальных отделах – 6,3 см (норма 3,8–5,2 см), в средних отделах – 7,9 см; конечно-систолический размер ЛЖ – 6,7 см (норма 2,2–3,5 см). Правое предсердие визуально не расширено, правый желудочек не расширен: ПЗР 2,7 см (норма до 2,9 см). Сократительная функция миокарда ЛЖ снижена: фракция выброса – 35%. Стенки ЛЖ умеренно утолщены: толщина межжелудочковой перегородки – 1,1 см; толщина задней стенки ЛЖ – 1,1 см (норма 0,6–0,9 см). Масса миокарда ЛЖ увеличена – 477,7 г (норма до 162 г); индекс массы миокарда ЛЖ увеличен – 224,3 г/м2 (норма до 95 г/м2). Умеренное повышение систолического давления в легочной артерии до 35 мм рт. ст. (норма до 30 мм рт. ст.). Скорость и время трансмитрального потока свидетельствуют о замедленной релаксации. Асинхронно движется переднеперегородочная область, очевидно, из-за наличия БЛНПГ. На фоне БЛНПГ не удается выявить четкую зону нарушения сократимости миокарда ЛЖ. Общая сократимость миокарда ЛЖ снижена. Нарушена диастолическая функция миокарда ЛЖ. По данным магнитно-резонансной томографии (МРТ) с контрастным усилением, на фоне внутривенного введения гадолиния выявлено расширение камер ЛЖ (конечно-диастолический размер ЛЖ составил 6,1–6,3 см), асинхронное сокращение миокарда межжелудочковой перегородки, по-видимому, за счет БЛНПГ. Нарушений сегментарной сократимости миокарда ЛЖ не выявлено. Очагового поражения миокарда желудочков ишемического или воспалительного генеза не выявлено. ПЗР ЛП составил – 4,1 см, толщина межжелудочковой перегородки – 1,1 см, толщина задней стенки ЛЖ – 0,9 см. Также выявлены липоматоз межпредсердной перегородки (МПП), скопление избыточного количества жировой ткани в полости перикарда вдоль свободной стенки правого желудочка, верхушки сердца и правой атриовентрикулярной борозды толщиной до 12 мм. Объем перикардиального жира составил 187 см3, в том числе в области МПП – 30,1 см3 (рис. 1, 2).
Рис. 1. МРТ сердца: Т1-взвешенные изображения, поперечная плоскость на уровне желудочков сердца. Красная стрелка указывает на паракардиальный жир (внутригрудной), желтая – эпикардиальный жир.
Fig. 1. Cardiac magnetic resonance imaging (MRI): T1-weighted images, transverse plane at the level of heart ventricles. The red arrow indicates paracardial fat (intrathoracic), the yellow arrow indicates epicardial fat.
Рис. 2. МРТ сердца: кино-МРТ, 4-камерная длинная ось ЛЖ. Красная стрелка указывает на паракардиальный жир (внутригрудной), желтая – эпикардиальный жир, в том числе в проекции правой атриовентрикулярной борозды, МПП, задней стенки правого предсердия.
Fig. 2. Cardiac MRI: Cine- MRI, 4-chamber long axis of the left ventricle. The red arrow indicates paracardial fat (intrathoracic), the yellow arrow indicates epicardial fat, including in the projection of the right atrioventricular sulcus, intraatrial septum, and the right atrium posterior wall.
Исключение миокардита проведено на основании данных МРТ согласно Lake Louise Criteria [26, 27].
При повторной коронароангиографии, выполненной в ходе госпитализации, выявлены лишь начальные признаки атеросклеротического поражения коронарных артерий.
Больной подобрана терапия эналаприлом 40 мг/сут, бисопрололом 10 мг/сут, спиронолактоном 50 мг/сут и торасемидом 5 мг/сут, аторвастатином 40 мг/сут. Учитывая наличие симптомов сердечной недостаточности, низкую фракцию выброса ЛЖ (35%) и БЛНПГ, предложена имплантация электрокардиостимулятора с функцией ресинхронизатора, от которой больная отказалась. На фоне проводимой медикаментозной терапии больная отмечает улучшение самочувствия в виде повышения толерантности к физическим нагрузкам, в настоящее время способна подняться на 2-й этаж без остановки.
Заключение
Имеющиеся сегодня данные позволяют полагать, что у лиц с ожирением нарушение систолической функции сердца реже наблюдается по сравнению с диастолической дисфункцией. Более частым и распространенным последствием ожирения является диастолическая дисфункция ЛЖ. Последние исследования, как с использованием более точных методов диагностики, так и на основании классического определения фракции выброса ЛЖ, демонстрируют, что ожирение может приводить и к нарушению систолической функции.
Конфликт интересов. Авторы заявляют об отсутствии конфликта интересов.
Conflict of interests. The authors declare no conflict of interest.
Список сокращений
АД – артериальное давление
БЛНПГ – блокада левой ножки пучка Гиса
ИМТ – индекс массы тела
ЛЖ – левый желудочек
ЛП – левое предсердие
МПП – межпредсердная перегородка
МРТ – магнитно-резонансная томография
ПЗР – переднезадний размер
СД – сахарный диабет
ЭхоКГ – эхокардиография
About the authors
Sofia V. Miklishanskaya
Russian Medical Academy of Continuous Professional Education
Author for correspondence.
Email: kvant83@list.ru
ORCID iD: 0000-0002-1009-099X
канд. мед. наук, доцент каф. кардиологии ФГБОУ ДПО РМАНПО
Russian Federation, MoscowOlga V. Stukalova
Russian Medical Academy of Continuous Professional Education; National Medical Research Center of Cardiology
Email: kvant83@list.ru
ORCID iD: 0000-0001-8377-2388
канд. мед. наук, доц. каф. кардиологии ФГБОУ ДПО РМАНПО, ст. науч. сотр. отд. томографии ФГБУ «НМИЦ кардиологии»
Russian Federation, Moscow; MoscowLilia V. Solomasova
Russian Medical Academy of Continuous Professional Education
Email: kvant83@list.ru
ORCID iD: 0000-0001-8362-6946
ст. лаборант каф. кардиологии ФГБОУ ДПО РМАНПО
Russian Federation, MoscowNikolai A. Mazur
Russian Medical Academy of Continuous Professional Education
Email: kvant83@list.ru
ORCID iD: 0000-0003-0984-1562
д-р мед. наук, проф., почетный зав. каф. кардиологии ФГБОУ ДПО РМАНПО
Russian Federation, MoscowReferences
- Abel ED, Litwin SE, Sweeney G. Cardiac remodeling in obesity. Physiol Rev. 2008;88:389-419. doi: 10.1152/physrev.00017.2007
- Lavie CJ, Alpert MA, Arena R, et al. Impact of obesity and the obesity paradox on prevalence and prognosis in heart failure. JACC Heart Fail. 2013;1:93-102. doi: 10.1016/j.jchf.2013.01.006
- Kenchaiah S, Evans JC, Levy D, et al. Obesity and the risk of heart failure. New Engl J Med. 2002;347:305-13. doi: 10.1056/NEJMoa020245
- Ashrafian H, Athanasiou T, le Roux CW. Heart remodelling and obesity: the complexities and variation of cardiac geometry. Heart. 2011;97(3):171-2. doi: 10.1136/hrt.2010.207092
- Sletten AC, Peterson LR, Schaffer JE. Manifestations and mechanisms of myocardial lipotoxicity in obesity. J Intern Med. 2018;284:478-91. doi: 10.1111/joim.12728
- Миклишанская С.В., Соломасова Л.В., Мазур Н.А. Ожирение и механизм его отрицательного влияния на структуру и функцию сердца. Рацион. фармакотерапия в кардиологии. 2020;16:108-17 [Miklishanskaya SV, Solomasova LV, Mazur NA. Obesity and the mechanism of its negative impact on the structure and function of the heart. Rational pharmacotherapy in cardiology. 2020;16:108-17 (in Russian)]. doi: 10.20996/1819-6446-2020-02-09
- Rider OJ, Lewis AJ, Neubauer S. Structural and metabolic effects of obesity on the myocardium and the aorta. Obes Facts. 2014;7(5):329-38. doi: 10.1159/000368429
- De la Maza MP, Estevez A, Bunout D, et al. Ventricular mass in hypertensive and normotensive obese subjects. Int J Obes Relat Metab Disord. 1994;18:193-7.
- Alpert MA, Lambert CR, Terry BE, et al. Interrelationship of left ventricular mass, systolic function and diastolic filling in normotensive morbidly obese patients. Int J Obes Relat Metab Disord. 1995;19:550-7.
- Otto ME, Belohlavek M, Khandheria B, et al. Comparison of right and left ventricular function in obese and nonobese men. Am J Cardiol. 2004;93:1569-72. doi: 10.1016/j.amjcard.2004.02.073
- Morricone L, Malavazos AE, Coman C, et al. Echocardiographic abnormalities in normotensive obese patients: relationship with visceral fat. Obes Res. 2002;10:489-98. doi: 10.1038/oby.2002.67
- Iacobellis G, Ribaudo MC, Leto G, et al. Influence of excess fat on cardiac morphology and function: study in uncomplicated obesity. Obes Res. 2002;10:767-73. doi: 10.1038/oby.2002.104
- Pascual M, Pascual DA, Soria F, et al. Effects of isolated obesity on systolic and diastolic left ventricular function. Heart. 2003;89:1152-6. doi: 10.1136/heart.89.10.1152
- Crendal E, Walther G, Vinet A, et al. Myocardial deformation and twist mechanics in adults with metabolic syndrome: impact of cumulative metabolic burden. Obesity. 2013;21(12):E679-86. doi: 10.1002/oby.20537
- Lee HJ, Kim HL, Lim WH, et al. Subclinical alterations in left ventricular structure and function according to obesity and metabolic health status. PLoS One. 2019;14(9):e0222118. doi: 10.1371/journal.pone.0222118
- Blomstrand P, Sjöblom P, Nilsson M, et al. Overweight and obesity impair left ventricular systolic function as measured by left ventricular ejection fraction and global longitudinal strain. Cardiovasc Diabetol. 2018;17:113-25. doi: 10.1186/s12933-018-0756-2
- Wong C, Marwick T. Obesity cardiomyopathy: diagnosis and therapeutic implications. Nat Clin Pract Cardiovasc Med. 2007;4:480-90. doi: 10.1038/ncpcardio0964
- Alexander JK. The cardiomyopathy of obesity. Prog Cardiovasc Dis. 1985;27:325-34. doi: 10.1016/s0033-0620(85)80002-5
- Glenn DJ, Wang F, Nishimoto M, et al. A Murine Model of Isolated Cardiac Steatosis Leads to Cardiomyopathy. Hypertension. 2011;57:216-22. doi: 10.1161/HYPERTENSIONAHA.110.160655;13
- Alpert A, Lambert CR, Panayiotou H, et al. Relation of duration of morbid obesity to left ventricular mass, systolic function, and diastolic filling, and effect of weight loss. Am J Cardiol. 1995;76:1194-7. doi: 10.1016/S0002-9149(99)80338-5
- Khan MF, Movahed MR. Obesity cardiomyopathy and systolic function: Obesity is not independently associated with dilated cardiomyopathy. Heart Fail Rev. 2013;18:207-17. doi: 10.1007/s10741-012-9320-4
- Дедов И.И., Александров А.А., Кухаренко С.С. Сердце и ожирение. Ожирение и метаболизм. 2006;1:14-20 [Dedov II, Aleksandrov AA, Kyharenko SS. Heart and obesity. Obesity and metabolism. 2006;1:14-20 (in Russian)]. doi: 10.14341/2071-8713-4938
- Ebong IA, Goff DC, Rodriguez CJ, et al. Mechanisms of Heart Failure in Obesity. Obes Res Clin Pract. 2014;8:e540-8. doi: 10.1016/j.orcp.2013.12.005
- Ávila-Vanzzini N, Leyva C, Castellanos L, et al. Excessive Weight and Obesity Are Associated to Intra-Ventricular Asynchrony: Pilot Study. J Cardiovasc Ultrasound. 2015;23(2):86-90. doi: 10.4250/jcu.2015.23.2.86
- Grundy SM, Cleeman JI, Daniels SR, et al. Diagnosis and management of the metabolic syndrome: an American Heart Association/National Heart, Lung, and Blood Institute Scientific Statement. Circulation. 2005;112:2735-52. doi: 10.1161/CIRCULATIONAHA.105.169404
- Friedrich MG, Sechtem U, Schulz-Menger J, et al. Cardiovascular magnetic resonance in myocarditis: a JACC White Paper. J Am Coll Cardiol. 2009;53(17):1475-87. doi: 10.1016/j.jacc.2009.02.007
- Caforio AL, Pankuweit S, Arbustini E, et al. Current state of knowledge on aetiology, diagnosis, management, and therapy of myocarditis: a position statement of the European Society of Cardiology Working Group on Myocardial and Pericardial Diseases. Eur Heart J. 2013;34(33):2636-48. doi: 10.1093/eurheartj/eht210
Supplementary files





