COVID-19 and features of cardiovascular involvement
- Authors: Tsyganova E.V.1, Glukhoedova N.V.1, Zhilenkova A.S.1, Fedoseeva T.I.2, Iushchuk E.N.3, Smetneva N.S.3,4
-
Affiliations:
- Moscow City Center for the Prevention and Control of AIDS
- Family Polyclinic №1
- Yevdokimov Moscow State University of Medicine and Dentistry
- Medical University “Reaviz“
- Issue: Vol 93, No 9 (2021)
- Pages: 1091-1099
- Section: Reviews
- Submitted: 10.10.2021
- Accepted: 10.10.2021
- Published: 15.09.2021
- URL: https://ter-arkhiv.ru/0040-3660/article/view/82978
- DOI: https://doi.org/10.26442/00403660.2021.09.201036
- ID: 82978
Cite item
Full Text
Abstract
The article provides an overview of current information on the pathogenesis of COVID-19 and organ-specific lesions developing in this disease. The data on inflammation and its biochemical markers, on the features of coagulopathy, endothelial damage and microthrombosis are presented in detail. Particular attention is paid to the role of receptors for angiotensin converting enzyme type 2 and transmembrane serine protease type 2 in the development of organ-specific lesions in COVID-19. The pathogenesis of damage to the cardiovascular system is considered in detail with the presentation of data from foreign literature on changes in the myocardium and the author's results of transthoracic echocardiographic examination in patients who have undergone COVID-19.
Full Text
Пандемию COVID-19 без преувеличения можно будет впоследствии охарактеризовать как одно из наиболее резонансных событий XXI в. Беспрецедентными являются не только предпринимаемые меры противодействия со стороны медицинских и научно-исследовательских сообществ разных стран, но также социально-экономические и политические меры. События стремительно разворачиваются в современном информационном пространстве, формируя общественное мнение и отношение. Безусловно, оценить и дать исчерпывающую характеристику сейчас, «лицом к лицу», крайне затруднительно, и потребуется время для окончательного осмысления и выводов.
Как известно, новый коронавирус (SARS-CoV-2) в декабре 2019 г. стал этиологическим агентом вспышки пневмоний в китайском городе Ухань (Wuhan). Инфекция получила название «COVID-19», и в марте 2020 г. Всемирная организация здравоохранения объявила о глобальной пандемии. В большинстве случаев COVID-19 клинически проявляется как острая респираторная инфекция верхних дыхательных путей, в части случаев с такими дополнительными и характерными симптомами, как гипо-/аносмия, гипо-/агевзия. Также возможно вовлечение в процесс нижних дыхательных путей с развитием вирусной пневмонии, а при тяжелом течении – респираторного дистресс-синдрома (РДС) взрослых, вплоть до летального исхода на фоне полиорганной недостаточности, особенно у пациентов пожилого возраста и лиц с рядом сопутствующих заболеваний (сахарный диабет, ожирение, заболевания сердечно-сосудистой системы – ССС, онкологические заболевания и др.) [1, 2]. В рамках системного воспалительного ответа на фоне неконтролируемой гиперпродукции цитокинов – интерлейкин (ИЛ)-1ß, ИЛ-6, моноцитарный хемоаттрактантный протеин 1 и др. – в сочетании с подавлением функции ЕК-клеток [3] высок риск развития синдрома цитокинового шторма. Синдром цитокинового шторма, разворачивающийся в рамках инфицирования патогенами семейства человеческих коронавирусов, обладает рядом характеристик, напоминающих синдром активации макрофагов (MAS), также известный как вторичный гемофагоцитарный лимфогистиоцитоз (sHLH) [4, 5], – жизнеугрожающее состояние, характеризующееся бесконтрольной пролиферацией активированных лимфоцитов и макрофагов с массивным выделением провоспалительных цитокинов, которое в том числе ассоциировано с ревматическими заболеваниями, например системной красной волчанкой и ювенильным идиопатическим артритом с системным началом. Именно эта особенность послужила предпосылкой для применения антицитокиновых препаратов при тяжелой COVID-19-пневмонии, так же как и при других состояниях, сопровождающихся MAS [5, 6]. Интересно, что тяжелое течение COVID-19-пневмонии отличается от классического sHLH (или MAS), и более правильно говорить о MAS-подобной легочной иммунопатологии. Ключевыми чертами sHLH/MAS являются гемофагоцитоз и острая коагулопатия потребления с развитием диссеминированного внутрисосудистого свертывания (ДВС), сопровождаемые гиперцитокинемией и гиперферритинемией. Гемофагоцитоз описан у некоторых пациентов с тяжелым течением SARS (по COVID-19 окончательных данных пока не опубликовано), а ДВС-синдром может развиться у части пациентов с COVID-19-пневмонией, но обычно незадолго до терминального состояния [7, 8]. Гиперцитокинемия при MAS сопровождается экстремально высокими уровнями ферритина (≥10 000–100 000 нг/мл), тогда как при COVID-19 ферритин обычно колеблется в пределах 500–3000 нг/мл (в редких случаях выше). Также для COVID-19 относительно нетипично нарушение функции печени с вторичной коагулопатией. Считается, что массивная легочная инфильтрация макрофагами и другими иммуноцитами при тяжелом течении COVID-19-пневмонии ведет к диффузному воспалению, альвеолярному повреждению с вовлечением прилегающего микрососудистого русла [7, 9]. Нарушение проницаемости сосудистой стенки локально приводит к появлению микрогеморрагий, а активированные макрофаги могут демонстрировать явления гемофагоцитоза. Возникающая в этих условиях легочная внутрисосудистая коагулопатия отличается от ДВС-синдрома [9]. В табл. 1 собраны сходства и отличия этих состояний.
Таблица 1. ДВС-синдром при гемофагоцитарном лимфогистиоцитозе и легочная внутрисосудистая коагулопатия при COVID-19 (адаптировано [7])
Table 1. Disseminated intravascular coagulation syndrome in hemophagocytic lymphohistiocytosis and pulmonary intravascular coagulopathy in COVID-19 (adapted [7])
ДВС при HLH/MAS | Легочная внутрисосудистая коагулопатия при COVID-19 | |
Клинические особенности | ||
Начало | Острое | Подострое |
Гепатоспленомегалия | +++ | Нет убедительных данных |
Лимфаденопатия | ++ | Нет убедительных данных |
Поражение легких | 50% | 100% |
Тромбозы | Полиорганные | Чаще в легких, возможны и других локаций |
Геморрагический синдром | Генерализованный | Внутрилегочные микрогеморрагии |
Лабораторные изменения | ||
Функция печени | Снижена синтетическая функция, включая фибриноген и факторы свертывания; синдром цитолиза +++ | Функция сохранна, цитолиз +/- |
Анемия | +++ | - |
Тромбоцитопения | +++ | Возможна или норма |
КФК | + (мышцы, миокард) | + (хуже прогностически) |
Тропонин Т | + | ++ чем выше, тем хуже прогноз |
Гемофагоцитоз | Генерализованный (костный мозг, печень и др., определяется в 80% случаев) | Описаны примеры внутрилегочного гемофагоцитоза (вторичен) и гемофагоцитоз в регионарных лимфоузлах |
Прогрессия | ДВС вторичен по отношению к MAS | Может наблюдаться без MAS; возможна прогрессия в ДВС |
Отдельные маркеры | ||
Удлинение ПВ или АЧТВ | +++/+++ | + или норма |
Фибриноген | Понижен | Норма или немного повышен |
ПДФ или D-димер | Повышены | Повышены |
СРБ | Повышен | Повышен |
Ферритин | Повышен | Повышен |
Повышение уровней цитокинов | +++ | ++ |
Примечание. «+» – признак присутствует, «++» – обычно присутствует, «+++» – часто отмечается, «-» – отсутствует; КФК – креатинфосфокиназа, ПВ – протромбиновое время, АЧТВ – активированное частичное тромбопластиновое время, ПДФ – продукты деградации фибрина, СРБ – С-реактивный белок.
По мере накопления информации относительно клинического течения и спектра органной патологии при новой коронавирусной инфекции оказалось, что респираторный тракт и легкие не являются единственной мишенью для вируса, и на сегодняшний день описаны возможности вовлечения в патологический процесс целого ряда систем и органов (рис. 1) [10].
Рис. 1. Структура органоспецифических поражений при COVID-19.
Fig. 1. The structure of organ-specific lesions in COVID-19.
Широкий спектр органной патологии отражает распределение рецепторов для SARS-CoV-2 в различных органах и тканях. Рецептор ангиотензинпревращающего фермента 2-го типа (АПФ-2/ACE2) считается основным рецептором вирусного проникновения в клетку. Трансмембранная сериновая протеаза 2-го типа (TMPRSS2) обладает способностью расщеплять spike-белок вируса (S-белок), что потенцирует слияние оболочки SARS-CoV-2 с мембраной клетки-мишени. Экспрессия мРНК как АПФ-2, так и TMPRSS2 обнаружена не только в легких, но и в миокарде, эндотелии сосудов, эпителии желудочно-кишечного тракта, печени, почках и других органах [11–14]. Уровень экспрессии этих рецепторов не всегда одинаков в разных тканях (рис. 2). АПФ-2 и TMPRSS2 примерно одинаково экспрессируются в коре головного мозга, но при этом АПФ-2 относительно хорошо представлен в таких зонах, как черное вещество (substantia nigra), желудочки мозга, а гиперэкспрессия данного рецептора характерна для пириформной коры (часть обонятельной коры лимбической системы) [11]. Оба рецептора экспрессируются также в миокарде, причем при наличии патологии сердца плотность АПФ-2 выше в сравнении с интактным миокардом [15, 16]. АПФ-2 и TMPRSS2 примерно в равной степени представлены в тканях почек и желудочно-кишечного тракта. Гепатоциты отличает относительно низкий уровень экспрессии АПФ-2, данный рецептор в большей мере представлен на холангиоцитах, тогда как TMPRSS2 экспрессируется на обоих типах клеток печени [15, 17]. Таким образом, очевидно, что SARS-CoV-2 потенциально тропен ко многим системам органов, а способность приводить к эндотелиальной дисфункции и выступать триггером цитокинового шторма позволяет характеризовать COVID-19 как мультисистемное заболевание как с легочными, так и внелегочными проявлениями.
Рис. 2. Распределение рецепторов АПФ-2 и TMPRSS2 в различных системах органов человека. Интенсивность цвета отражает уровень экспрессии генов данных рецепторов (адаптировано [11]).
Fig. 2. Distribution of ACE2 and TMPRSS2 receptors in various human organ systems. The color intensity reflects the level of gene expression of these receptors (adapted [11]).
При тяжелом течении инфекции отмечено развитие эндотелиального повреждения, сопровождаемое обнаружением вируса в эндотелиоцитах с нарушением целостности клеточных мембран [18], данные изменения касались микрососудистого русла ряда органов и тканей. Вызываемая напрямую вирусом и воспалительным процессом эндотелиальная дисфункция может усугублять тканевой отек и способствовать формированию и эскалации протромботического состояния [19]. Подобные наблюдения коррелируют с клиническими данными о более тяжелом течении COVID-19 и худшем прогнозе при наличии хронических заболеваний, исходно сопровождающихся эндотелиальной дисфункцией (сахарный диабет, заболевания ССС, ожирение, хронические болезни почек). На аутопсийном материале исследователями продемонстрированы микроциркуляторные нарушения и микротромбозы сосудистого русла многих систем органов при COVID-19 [18, 20]. Наличие мультисистемных микрососудистых тромбозов в сочетании с повышенным уровнем лактатдегидрогеназы, ферритина, билирубина, снижением гаптоглобина, анемией, появлением шизоцитов в периферической крови и признаками поражения почек и миокарда характерно для тромботической микроангиопатии (ТМА); отдельные черты данной патологии могут прослеживаться и при тяжелом течении COVID-19 с коагулопатией [20, 21]. На сегодняшний день считается, что коагулопатия при новой коронавирусной инфекции – это отдельное состояние, клинические и лабораторные черты которого пересекаются с коагулопатией при сепсисе/ДВС-синдроме, гемофагоцитарном лимфогистиоцитозе (HLH), антифосфолипидном синдроме (АФС) и ТМА, однако в точности не воспроизводят ни одну из перечисленных патологий [22]. В табл. 2 представлена сравнительная характеристика коагулопатий при различных состояниях.
Таблица 2. Сходства и отличия коагулопатий при различных заболеваниях/состояниях (адаптировано [7, 22])
Table 2. Similarities and differences of coagulopathies in various diseases/conditions (adapted [7, 22])
Первопричина и мишень | ТЭ | Тромбоциты | D-димер | ПВ/АЧТВ | Фибриноген | АТ | Акт. СК/WF | АФС-АТ | |
COVID-19 | Макрофаги/ эндотелиоциты | Микротромбозы/венозные тромбозы | ↓ ↑ | ↑ | → ↑ | ↑ | → | + | + |
ДВС, коагулопатия при сепсисе | Макрофаги/ эндотелиоциты | Микротромбозы | ↓ | ↑ | ↑ | → ↓ | ↓ | - | - |
HLH | Провоспалительные цитокины | Микротромбозы/венозные тромбозы | ↓ | → ↑ | ↑ | → ↓ | → | - | - |
АФС | АФЛ-антитела | Артериальные/венозные тромбозы | ↓ | → | ПВ→АЧТВ↑ | → | → | - | + |
ТМА (aHUS, TTP) | СК/ADAMTS13 | Микротромбозы/артериальные/венозные тромбозы | ↓ | → ↑ | → | → | → | aHUS +/- TTP -/+ | - |
Примечание. Показатель обычно в пределах нормальных значений; aHUS – атипичный гемолитико-уремический синдром, ТТР – тромботическая тромбоцитопеническая пурпура, ТЭ – тромбоэмболические события, АТ – антитромбин, WF – фактор Виллебранда, СК – система комплемента, АФС-АТ – антифосфолипидные антитела.
По мере накопления данных по течению COVID-19 оказалось, что поражения ССС (миокард) могут регистрироваться вплоть до 20–25% от общей когорты пациентов [23, 24]. Описаны отдельные случаи тяжелого и даже фульминантного миокардита с кардиогенным шоком [25–27]. С клинической точки зрения спектр кардиологической патологии может охватывать широкий круг состояний, начиная от субклинического миокардиального повреждения и заканчивая тяжелым миокардитом с кардиогенным шоком, и возникать практически в любую фазу SARS-CoV-2-инфекции (рис. 3). Условно можно выделить следующие группы клинических сценариев:
1) первичное кардиальное повреждение, обусловленное непосредственным влиянием вируса;
2) вторичное повреждение;
3) отягощение состояния/возникновение осложнений на фоне существующей кардиологической патологии [28].
Рис. 3. Патофизиология и клиническая прогрессия COVID-19 (адаптировано [28]).
Fig. 3. Pathophysiology and clinical progression of COVID-19 (adapted from [28]).
Первичное кардиальное повреждение, по мнению исследователей, обусловливается вирусным тропизмом к эндотелию и миокарду, что отражает распределение рецептора АПФ-2. На сегодняшний день задокументированных случаев обнаружения РНК SARS-CoV-2 в кардиомиоцитах не описано, тем не менее по данным морфологических исследований при SARS-CoV-инфекции РНК вируса обнаруживалась в 35% образцов миокарда наряду с макрофагальной инфильтрацией и признаками повреждения кардиомиоцитов [29]. Однако описаны серия случаев тяжелого миокардита с левожелудочковой недостаточностью при подтвержденной COVID-19 [25, 26, 30–32] и случай миоперикардита с жизнеугрожающей тампонадой [32], также без выявления в перикардиальной жидкости РНК вируса.
В рамках COVID-19 возможно также вторичное повреждение миокарда, не обусловленное непосредственным действием вируса, а являющееся следствием иных патофизиологических процессов. Так, при аутопсийном исследовании образцов от умерших взрослых пациентов с РДС в миокарде обнаруживали интерстициальную инфильтрацию мононуклеарами без структурных повреждений кардиомиоцитов [33]. Провоспалительные цитокины, обусловливающие развитие синдрома цитокинового шторма, способны повреждать кардиомиоциты и участвовать в патологическом ремоделировании полостей сердца, а также негативно влиять на инотропную функцию и метаболизм миокарда [28, 34], а ИЛ-1, в свою очередь, может участвовать в атеротромботических событиях. В условиях дестабилизации атеросклеротических бляшек на фоне прокоагулянтного состояния увеличивается риск тромботических событий, включая инфаркт миокарда 1-го типа и тромбоэмболию легочной артерии [28]. Гипоксия способна также индуцировать повреждение миокарда и приводить к инфаркту 2-го типа [35]. Отдельным повреждающим кардиомиоциты фактором может быть и нарушенная легочная гемодинамика. При тяжелом течении COVID-19-пневмонии и применении методик вентиляции постоянного положительного давления в конце выдоха возможно повышение постнагрузки на правый желудочек из-за повышенного давления в легочной артерии и роста сопротивления сосудов легких. Данные эффекты могут усугубляться при реализации рефлекса легочной гипоксической вазоконстрикции на фоне тромбоэмболий.
Достаточно часты наблюдения по утяжелению течения и декомпенсации предсуществующих болезней ССС у пациентов с COVID-19. Данное обстоятельство послужило причиной выделения таких пациентов в отдельную группу риска тяжелого течения инфекции. Считается, что в развитии подобного сценария участвуют многие факторы, включая гипоксию, системное воспаление с повреждающим действием цитокинов, побочные эффекты применяемых препаратов (гидроксихлорохин и азитромицин) [36]. В табл. 3 обобщены варианты кардиального повреждения и их возможные механизмы.
Таблица 3. Кардиологические осложнения COVID-19
Table 3. Cardiac complications of COVID-19
Патогенетический механизм | Клинические проявления |
Первичное поражение | |
Прямое вирусное повреждение (гипотеза) | Миокардит |
Вторичное поражение | |
Цитокиновый шторм | Миокардит |
Кислородный дисбаланс | Инфаркт миокарда 2-го типа |
Гиперкоагуляция Нестабильность атеросклеротической бляшки | Инфаркт миокарда 1-го типа |
Гиперкоагуляция | Тромбоэмболии |
Воспаление легочной ткани Гипоксическая вазоконстрикция Режимы вентиляции с положительным давлением в конце выдоха Легочные тромбоэмболии | Повышение постнагрузки на правые отделы сердца |
Декомпенсация существующей патологии ССС | |
Метаболическая потребность при инфекции Цитокиновый шторм | Декомпенсация ХСН |
Гипоксия Цитокиновый шторм Побочные эффекты препаратов (удлинение QT) | Аритмии |
Примечание. ХСН – хроническая сердечная недостаточность.
Наряду с перечисленными ситуациями, когда кардиологическая патология может как проявляться в клинической картине SARS-CoV-2-инфекции параллельно с поражением легких, так и выступать на передний план, в литературе упоминаются отдельные описания изменений миокарда, выявляемые при помощи дополнительных методов обследования уже после выздоровления от COVID-19. Данное обстоятельство указывает на более частое вовлечение ССС в патологический процесс и лишний раз свидетельствует о мультисистемности новой коронавирусной инфекции.
В одном из исследований на примере немецкой когорты из 100 пациентов, недавно излечившихся от COVID-19, при помощи магнитно-резонансной томографии (МРТ) продемонстрировано, что миокард и перикард вовлекался в патологический процесс у 78 (78%) пациентов, а признаки продолжающегося миокардита регистрировались у 60% пациентов. Данные состояния не зависели от наличия предсуществующей патологии сердца, тяжести и особенностей течения COVID-19 у этих пациентов, а также времени от момента постановки диагноза [37]. Медиана времени от момента постановки диагноза COVID-19 до МРТ составила 71 день (64–92 дня). В сравнении с группой здоровых и лицами с идентичными факторами риска сердечно-сосудистых заболеваний у пациентов, перенесших COVID-19, отмечалось снижение фракции выброса левого желудочка (ЛЖ), большие объемы ЛЖ, усиление нативного МР-сигнала в Т1- и Т2-режимах и периэпикардиальное увеличение LGE при МРТ с контрастом. Считается, что усиление сигнала в Т1-режиме отражает диффузный фиброз и/или отек миокарда, тогда как аналогичные отклонения в Т2 специфичны для отека, а повышенное накопление контраста с LGE свидетельствует в пользу повреждения и воспаления кардиомиоцитов [38]. Пациентам с наиболее выраженными изменениями по МРТ проведена эндомиокардиальная биопсия, по данным которой обнаружено активное лимфоцитарное воспаление [37]. Результаты данного исследования подчеркивают необходимость изучения отдаленных кардиоваскулярных последствий у всех пациентов, перенесших COVID-19, и важность разработки эффективной профилактической вакцины.
В заключение мы хотели бы привести результаты собственного наблюдения за случайной группой пациентов, которые перенесли в анамнезе COVID-19 и затем обратились в частную поликлинику для проведения эхокардиографического обследования как в связи с наличием малодифференцированных жалоб в виде слабости, периодического чувства «нехватки воздуха», сердцебиений, колебаний артериального давления, так и по рекомендации кардиолога, в качестве планового обследования. Эхокардиографическое исследование проводилось на ультразвуковом аппарате ALOKA ProSound F75. Группа состояла из 31 пациента: 26 (83,9%) женщин и 5 (16,1%) мужчин. Медиана возраста в группе в целом составила 53 года (17–78 лет), среди женщин – 56 лет (35–78 лет), среди мужчин – 43 года (17–50 лет). Медиана времени от момента заболевания до проведения эхокардиографии (ЭхоКГ) составила 3,5 мес (разброс 1–7 мес). Только у 6 (19,4%) пациентов из группы – кардиологический анамнез в виде диагностированной ранее артериальной гипертензии. У 22 (71%) пациентов диагноз COVID-19 подтвержден на основании типичных изменений по данным компьютерной томографии (КТ) органов грудной клетки, положительных результатов на РНК SARS-CoV-2 методом полимеразной цепной реакции из носо-/ротоглотки в группе обследованных не зарегистрировано. Относительно объема поражения легочной ткани пациенты распределились следующим образом: КТ-1 (до 25% легочной ткани) – у 16 (72,7%) человек; КТ-2 (25–50%) – у 4 (18,2%) человек; КТ-3 (50–75%) – у 2 (9,1%) человек. Из общей группы 9 (29%) пациентов находились на стационарном лечении, из них 1 пациентка – в реанимационном отделении (искусственная вентиляция легких не проводилась). Медикаментозное лечение COVID-19 осуществлялось согласно временным клиническим рекомендациям с применением симптоматических средств, антибактериальных препаратов, антикоагулянтов и кортикостероидов.
По результатам проведенного ЭхоКГ какие-либо изменения, которые условно можно отнести к последствиям перенесенной COVID-19, регистрировались у 20 (64,5%) обследованных. К сожалению, только 9 пациентам из этих 20 ранее проводили эхокардиографическое исследование, и во всех 9 случаях изменений не отмечено. Недостаточность данных не позволяет однозначно ассоциировать факт наличия изменений и перенесенной инфекции, но, безусловно, заставляет задуматься. Среди изменений регистрировались следующие: наличие гиперэхогенных включений в миокарде, диастолическая дисфункция 1-го типа и сочетания изменений. Сочетания включали диастолическую дисфункцию 1-го типа и наличие включений в миокарде; диастолическую дисфункцию 1-го типа и невыраженный гидроперикард (до 100–150 мл); наличие включений в миокарде и невыраженный гидроперикард и все перечисленное вместе. Структура выявленных изменений представлена в табл. 4.
Таблица 4. Структура изменений пери/миокарда по данным ЭхоКГ в обследованной группе
Table 4. The structure of peri/myocardial changes according to EchoCG in the examined group
Общая группа, обследованные пациенты | Изменения по данным ЭхоКГ | Характер изменений по ЭхоКГ | Дополнительно |
31 | 20 (64,5%) | 2 (10%) человека – включения в миокарде | |
4 (20%) человека – диастолическая дисфункция 1-го типа | |||
14 (70%) человек – сочетания изменений | 9 (64,3%) человек – диастолическая дисфункция 1-го типа и включения в миокарде | ||
3 (21,4%) человека – диастолическая дисфункция 1-го типа и гидроперикард | |||
1 (7,1%) человек – включения в миокарде и гидроперикард | |||
1 (7,1%) человек – все перечисленное |
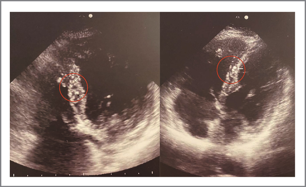
Изменения в миокарде представлены в виде округлых гиперэхогенных, единичных или немногочисленных диффузно расположенных включений от 1,5 до 3,2 мм в диаметре, локализующихся в основном в межжелудочковой перегородке или в толще задней стенки ЛЖ (рис. 4). Эти включения визуально отличались от обычно выявляемых участков мелкоочагового фиброза, например после перенесенного миокардита или при ишемической болезни сердца и кардиосклерозе, когда очаги носят преимущественно линейный характер (рис. 5). Относительно диастолической дисфункции достаточно сложно сделать однозначный вывод, так как к данному состоянию могут приводить различные факторы. Однако наличие включений в миокарде, которые гипотетически могут быть последствиями специфического миокардита или изменениями на фоне перенесенного ТМА-подобного состояния при COVID-19, и гидроперикарда соотносятся с результатами немецкой когорты пациентов [37]. Важно отметить, что обнаружение описанных изменений требует от специалиста ультразвуковой диагностики высокой квалификации и достаточного уровня насмотренности. В течение периода набора данных в поле зрения также попал пациент 21 года, не болевший COVID-19, но у которого по данным ЭхоКГ в миокарде обнаружена группа мелкоочаговых округлых гиперэхогенных включений до 2,5 мм с сохранной диастолической и систолической функцией (рис. 6).
Рис. 4. ЭхоКГ, апикальная 4-камерная позиция, примеры включений в толще межжелудочковой перегородки.
Fig. 4. EchoCG, apical 4-chamber position, examples of inclusions in the thickness of the interventricular septum.
Рис. 5. ЭхоКГ, парастернальная позиция, длинная ось ЛЖ, примеры линейных участков фиброза в межжелудочковой перегородке.
Fig. 5. EchoCG, parasternal position, left ventricle long axis, examples of linear areas of fibrosis in the interventricular septum.
Рис. 6. Пример включений в межжелудочковой перегородке у пациента 21 года, не переносившего COVID-19.
Fig. 6. An example of inclusions in the interventricular septum in a 21-year-old patient who didn’t have COVID-19.
Однозначное объяснение этому привести сложно, но, возможно, пациент мог перенести в анамнезе респираторную инфекцию с вовлечением миокарда, этиологическим фактором которой являлся другой представитель группы коронавирусов.
При анализе данных, полученных при ЭхоКГ в группе перенесших COVID-19, оказалось, что выявленные изменения пери/миокарда не зависели от давности начала заболевания, как показано на рис. 7.
Рис. 7. Сравнение результатов ЭхоКГ у пациентов, перенесших COVID-19, и времени от начала заболевания.
Fig. 7. Comparison of EchoCG results in COVID-19 survivors and time from disease onset.
Также возникновение описанных ЭхоКГ-изменений у обследованных не зависело от факта госпитализации и пребывания в стационаре (отношение шансов 1,143, 95% доверительный интервал 0,223–5,866) и стадии поражения легких по КТ (отношение шансов 0,60, 95% доверительный интервал 0,066–5,447).
Таким образом, на сегодняшний день накоплено достаточно много информации относительно вариаций течения COVID-19, зачастую изменения затрагивают не только легкие и респираторный тракт, а особенности патогенеза позволяют в ряде случаев сделать заключение о мультисистемности патологии. Вовлечение ССС возможно и при нетяжелом течении инфекции независимо от выраженности симптоматики, что требует дальнейшего детального изучения. По всей видимости, целесообразно рекомендовать всем пациентам, перенесшим новую коронавирусную инфекцию, проведение ЭхоКГ и дальнейшее наблюдение при обнаружении изменений.
Конфликт интересов. Авторы заявляют об отсутствии конфликта интересов.
Conflict of interests. The authors declare no conflict of interest.
Список сокращений
АПФ-2 – ангиотензинпревращающий фермент 2-го типа
АФС – антифосфолипидный синдром
АЧТВ – активированное частичное тромбопластиновое время
ДВС – диссеминированное внутрисосудистое свертывание
ИЛ – интерлейкин
КТ – компьютерная томография
ЛЖ – левый желудочек
МРТ – магнитно-резонансная томография
РДС – респираторный дистресс-синдром
ССС – сердечно-сосудистая система
ТМА – тромботическая микроангиопатия
ЭхоКГ – эхокардиография
HLH – гемофагоцитарный лимфогистиоцитоз
MAS – синдром активации макрофагов
sHLH – вторичный гемофагоцитарный лимфогистиоцитоз
TMPRSS2 – трансмембранная сериновая протеаза 2-го типа
About the authors
Elena V. Tsyganova
Moscow City Center for the Prevention and Control of AIDS
Email: ndlena@mail.ru
ORCID iD: 0000-0002-3410-2510
канд. мед. наук, врач-инфекционист, зав. научно-клиническим отд. МГЦ СПИД
Russian Federation, MoscowNataliia V. Glukhoedova
Moscow City Center for the Prevention and Control of AIDS
Email: ndlena@mail.ru
ORCID iD: 0000-0003-2414-6103
канд. мед. наук, врач-инфекционист научно-клинического отд. МГЦ СПИД
Russian Federation, MoscowAleksandra S. Zhilenkova
Moscow City Center for the Prevention and Control of AIDS
Email: ndlena@mail.ru
ORCID iD: 0000-0001-8139-4061
врач-инфекционист научно-клинического отд. МГЦ СПИД
Russian Federation, MoscowTatiana I. Fedoseeva
Family Polyclinic №1
Email: ndlena@mail.ru
ORCID iD: 0000-0003-2888-3995
врач ультразвуковой диагностики ООО СП №1
Russian Federation, Sergiev PosadElena N. Iushchuk
Yevdokimov Moscow State University of Medicine and Dentistry
Author for correspondence.
Email: ndlena@mail.ru
ORCID iD: 0000-0003-0065-5624
д-р мед. наук, проф., зав. каф. клинической функциональной диагностики лечебного фак-та ФГБОУ ВО «МГМСУ им. А.И. Евдокимова»
Russian Federation, MoscowNatalia S. Smetneva
Yevdokimov Moscow State University of Medicine and Dentistry; Medical University “Reaviz“
Email: ndlena@mail.ru
ORCID iD: 0000-0002-2131-387X
канд. мед. наук, ассистент каф. факультетской терапии и профболезней ФГБОУ ВО «МГМСУ им. А.И. Евдокимова»; доц. каф. клинической медицины ЧУОО ВО «Медицинский университет “Реавиз”»
Russian Federation, Moscow; MoscowReferences
- Guan W, Ni ZY, Yu Hu, et al. Clinical Characteristics of Coronavirus Disease 2019 in China. N Engl J Med. 2020;382(18):1708-20. doi: 10.1056/NEJMoa2002032
- Fang L, Karakiulakis G, Roth M. Are patients with hypertension and diabetes mellitus at increased risk for COVID-19 infection? Lancet Respir Med. 2020;8(4):e21. doi: 10.1016/s2213-2600(20)30116-8
- Misra D, Agarwal V, Gasparyan AOZ. Rheumatologists’ perspective on coronavirus disease 19 (COVID-19) and potential therapeutic targets. Clin Rheumatol. 2020;39(7):2055-62. doi: 10.1007/s10067-020-05073-9
- Huang C, Wang Y, Li X, et al. Clinical features of patients infected with 2019 novel coronavirus in Wuhan, China. Lancet. 2020;395(10223):497-506. doi: 10.1016/S0140-6736(20)30183-5
- Mehta P, McAuley DF, Brown M, et al. COVID-19: consider cytokine storm syndromes and immunosuppression. Lancet. 2020;395(10229):1033-4. doi: 10.1016/S0140-6736(20)30628-0
- Xu X, Han M, Li T, et al. Effective treatment of severe COVID-19 patients with tocilizumab. Proc Natl Acad Sci. 2020;117(20):10970-5. doi: 10.1073/pnas.2005615117
- McGonagle D, O`Donnell JS, Sharif K, et al. Immune mechanisms of pulmonary intravascular coagulopathy in COVID-19 pneumonia. Lancet Rheumatol. 2020;2(7):e437-45. doi: 10.1016/S2665-9913(20)30121-1
- Tang N, Li D, Wang X, et al. Abnormal coagulation parameters are associated with poor prognosis in patients with novel coronavirus pneumonia. J Thromb Haemost. 2020;18(4):844-7. doi: 10.1111/jth.14768
- McGonagle D, Sharif K, O'Regan A, et al. The Role of Cytokines including Interleukin-6 in COVID-19 induced Pneumonia and Macrophage Activation Syndrome-Like Disease. Autoimmun Rev. 2020;19):1-7. doi: 10.1016/j.autrev.2020.102537
- Behzad S, Aghaghazvini L, Radmard AR, Gholamrezanezhad A. Extrapulmonary manifestations of COVID-19: Radiologic and clinical overview. Clin Imaging. 2020;66:35-41. doi: 10.1016/j.clinimag.2020.05.013
- Dong M, Zhang J, Ma X, et al. ACE2, TMPRSS2 distribution and extrapulmonary organ injury in patients with COVID-19. Biomed Pharmacother. 2020;131. doi: 10.1016/j.biopha.2020.110678
- Zou X, Chen K, Zou J, et al. Single-cell RNA-seq data analysis on the receptor ACE2 expression reveals the potential risk of different human organs vulnerable to 2019-nCoV infection. Front Med. 2020;14(2):185-92. doi: 10.1007/s11684-020-0754-0
- Pan XW, Xu D, Zhang H, et al. Identification of a potential mechanism of acute kidney injury during the COVID-19 outbreak: a study based on single-cell transcriptome analysis. Int Care Med. 2020;46(6):1114-6. doi: 10.1007/s00134-020-06026-1
- Zhang H, Kang Z, Gong H, et al. The digestive system is a potential route of 2019-nCov infection: A bioinformatics analysis based on single-cell transcriptomes. BioRxiv. 2020:2020.01.30.927806. doi: 10.1101/2020.01.30.927806
- Guo AX, Cui JJ, OuYang QY, et al. The clinical characteristics and mortal causes analysis of COVID-19 death patients. MedRxiv. 2020. doi: 10.1101/2020.04.12.20062380
- Chen L, Li X, Chen M, et al. The ACE2 expression in human heart indicates new potential mechanism of heart injury among patients infected with SARS-CoV-2. Cardiovasc Res. 2020;116(6):1097-100. doi: 10.1093/cvr/cvaa078
- Seow J, Pai R, Mishra A. ScRNA-seq reveals ACE2 and TMPRSS2 expression in TROP2+ Liver Progenitor Cells: Implications in COVID-19 associated Liver Dysfunction. BioRxiv. 2020. doi: 10.1101/2020.03.23.002832
- Ackermann M, Verleden SE, Kuehnel M, et al. Pulmonary Vascular Endothelialitis, Thrombosis, and Angiogenesis in Covid-19. N Engl J Med. 2020;383:120-8. doi: 10.1056/NEJMoa2015432
- Bonetti PO, Lerman LO, Lerman A. Endothelial dysfunction: A marker of atherosclerotic risk. Arteriosclerosis, Thrombosis, and Vascular Biology. Arterioscler Thromb Vasc Biol. 2003;23(2):168-75. doi: 10.1161/01.ATV.0000051384.43104.FC
- Campbell CM, Kahwash R. Will Complement Inhibition Be the New Target in Treating COVID-19-Related Systemic Thrombosis? Circulation. 2020;141(22):1739-41. doi: 10.1161/CIRCULATIONAHA.120.047419
- Wang X, Sahu KK, Cerny J. Coagulopathy, endothelial dysfunction, thrombotic microangiopathy and complement activation: potential role of complement system inhibition in COVID-19. J Thromb. 2020:1-6. doi: 10.1007/s11239-020-02297-z
- Iba T, Levy JH, Connors JM, et al. The unique characteristics of COVID-19 coagulopathy. Crit Care. 2020;24(1). doi: 10.1186/s13054-020-03077-0
- Driggin E, Madhavan MV, Bikdeli B, et al. Cardiovascular Considerations for Patients, Health Care Workers, and Health Systems During the COVID-19 Pandemic. J Am Col Cardiol. 2020;75(18):2352-71. doi: 10.1016/j.jacc.2020.03.031
- Clerkin KJ, Fried JA, Raikhelkar J, et al. COVID-19 and Cardiovascular Disease. Circulation. 2020;141:1648-55. doi: 10.1161/CIRCULATIONAHA.120.046941
- Hu H, Ma F, Wei X, Fang Y. Coronavirus fulminant myocarditis saved with glucocorticoid and human immunoglobulin. Eur Heart J. 2021;42(2):206. doi: 10.1093/eurheartj/ehaa190
- Inciardi RM, Lupi L, Zaccone G, et al. Cardiac Involvement in a Patient with Coronavirus Disease 2019 (COVID-19). JAMA Cardiol. 2020;5(7):819-24. doi: 10.1001/jamacardio.2020.1096
- Wei X, Fang Y, Hu H. Glucocorticoid and immunoglobulin to treat viral fulminant myocarditis. Eur Heart J. 2020;41(22):2122. doi: 10.1093/eurheartj/ehaa357
- Agricola E, Beneduce A, Esposito A, et al. Heart and Lung Multimodality Imaging in COVID-19. JACC Cardiovasc Imaging. 2020;13(8):1792-808. doi: 10.1016/j.jcmg.2020.05.017
- Oudit GY, Kassiri Z, Jiang C, et al. SARS-coronavirus modulation of myocardial ACE2 expression and inflammation in patients with SARS. Eur J Clin Invest. 2009;39(7):618-25. doi: 10.1111/j.1365-2362.2009.02153.x
- Sala S, Peretto G, Gramegna M, et al. Acute myocarditis presenting as a reverse Tako-Tsubo syndrome in a patient with SARS-CoV-2 respiratory infection. Eur Heart J. 2020;41(19):1861-2. doi: 10.1093/eurheartj/ehaa286
- Doyen D, Moceri P, Ducreux D, Dellamonica J. Myocarditis in a patient with COVID-19: a cause of raised troponin and ECG changes. Lancet. 2020;395(10235):1516. doi: 10.1016/S0140-6736(20)30912-0
- Hua A, O'Gallagher K, Sado D, Byrne J. Life-threatening cardiac tamponade complicating myo-pericarditis in COVID-19. Eur Heart J. 2020;41(22):2130. doi: 10.1093/eurheartj/ehaa253
- Xu Z, Shi L, Wang Y, et al. Case Report Pathological findings of COVID-19 associated with acute respiratory distress syndrome. Lancet Respir Med. 2020;8(4):420-2. doi: 10.1016/S2213-2600(20)30076-X
- Frangogiannis NG. The inflammatory response in myocardial injury, repair and remodeling. Nat Rev Cardiol. 2014;11(5):255-65. doi: 10.1038/nrcardio.2014.28
- Agewall S, Beltrame JF, Reynolds HR, et al. ESC working group position paper on myocardial infarction with non-obstructive coronary arteries. Eur Heart J. 2017;38(3):143-53. doi: 10.1093/eurheartj/ehw149
- Aghagoli G, Gallo Marin B, Soliman LB, Sellke FW. Cardiac involvement in COVID-19 patients: Risk factors, predictors, and complications: A review. J Card Surg. 2020;35(6):1302-5. doi: 10.1111/jocs.14538
- Puntmann VO, Carerj ML, Wieters I, et al. Outcomes of Cardiovascular Magnetic Resonance Imaging in Patients Recently Recovered From Coronavirus Disease 2019 (COVID-19) Editorial Supplemental content. JAMA Cardiol. 2020;5(11):1265-73. doi: 10.1001/jamacardio.2020.3557
- Puntmann VO, Valbuena S, Hinojar R, et al. Society for Cardiovascular Magnetic Resonance (SCMR) expert consensus for CMR imaging endpoints in clinical research: Part I – Analytical validation and clinical qualification. J Cardiovas Magn Reson. 2018;20(1). doi: 10.1186/s12968-018-0484-5
Supplementary files










