Acute disseminated encephalomyelitis and myelitis associated with new coronavirus infection COVID-19. Case report
- 作者: Akhmedzhanova L.T.1, Voskresenskaia O.N.1, Isaikin A.I.1, Ermilova E.V.1, Nasonova T.I.1, Chernousov P.A.1, Rusin V.V.1
-
隶属关系:
- Sechenov First Moscow State Medical University (Sechenov University)
- 期: 卷 93, 编号 11 (2021)
- 页面: 1375-1380
- 栏目: Case reports
- ##submission.dateSubmitted##: 27.01.2022
- ##submission.dateAccepted##: 27.01.2022
- ##submission.datePublished##: 15.11.2021
- URL: https://ter-arkhiv.ru/0040-3660/article/view/99656
- DOI: https://doi.org/10.26442/00403660.2021.11.201168
- ID: 99656
如何引用文章
全文:
详细
Acute disseminated encephalomyelitis (AEM) and acute transverse myelitis (OPM) are autoimmune demyelinating diseases of the central nervous system. Two clinical observations of AEM and OPM developed after suffering acute coronavirus infection (SARS-CoV-2) are presented. Differential diagnosis was carried out with multiple sclerosis, encephalitis of an infectious nature, compressive myelopathy, and opticomyelitis. Both observations show an almost complete recovery of lost functions. The pathogenetic mechanisms of the development of AEM and OPM in patients with coronavirus infection are discussed. The onset of central nervous system dysimmune lesion in the context of coronavirus infection makes it necessary to monitor the clinical situation with the involvement of a neurologist for timely diagnosis and determination of therapeutic tactics that can reduce the degree of disability of patients.
全文:
Введение
С самого начала пандемии инфекции SARS-CoV-2 стали появляться публикации о поражении при данном заболевании центральной нервной системы (ЦНС) [1–3]. Неврологические проявления наблюдаются у 13–40% госпитализированных пациентов, в том числе острый рассеянный энцефаломиелит (ОРЭМ) и острый поперечный миелит (ОПМ) [4]. ОРЭМ – это острое аутоиммунное демиелинизирующее заболевание ЦНС, которое чаще встречается в детском возрасте после перенесенных вирусных инфекций. Латентный период между инфекцией и первыми неврологическими симптомами составляет от 4 до 12 дней [5]. В начале заболевания часто выявляются лихорадка, общемозговые симптомы (головные боли, спутанность сознания), эпилептические припадки с последующим развитием очаговых симптомов в зависимости от локализации поражения [5, 6]. Tак, Т. Parsons и соавт. описали случай ОРЭМ у женщины 51 года на фоне SARS-CoV-2, при этом в клинической картине наблюдались спутанность сознания, эпилептические приступы, по данным магнитно-резонансной томографии (МРТ) – множественные очаги демиелинизации в белом веществе полушарий головного мозга (ГМ), накапливающие контрастное вещество. Лечение проводилось пульс-терапией метилпреднизолоном по 1000 мг в течение 5 дней с положительным эффектом [7]. На сегодняшний день описано 13 случаев ОРЭМ на фоне инфекции SARS-CoV-2 [4, 7–15].
ОПМ представляет собой острое монофазное аутоиммунное заболевание спинного мозга. Этиология ОПМ включает системные, рецидивирующие аутоиммунные заболевания ЦНС и инфекционные причины [5]. Когда этиологический фактор не удается установить, ОПМ называют идиопатическим. Однако есть данные о том, что от 30 до 60% случаев идиопатического ОПМ являются следствием некоторых предыдущих респираторных, желудочно-кишечных или системных заболеваний. На сегодняшний день описано 43 случая ОПМ, возникшего на фоне инфекции SARS-CoV-2 [16, 17]. Неврологические симптомы развивались в период от 10 дней до 6 нед от начала инфекции. В большинстве случаев пациенты с ОПМ получали пульс-терапию метилпреднизолоном 1000 мг с положительным эффектом; в 2 случаях наблюдался летальный исход [16].
Приводим собственные клинические наблюдения пациентов с ОРЭМ и ОПМ, ассоциированными с СОVID-19.
Клинический случай 1
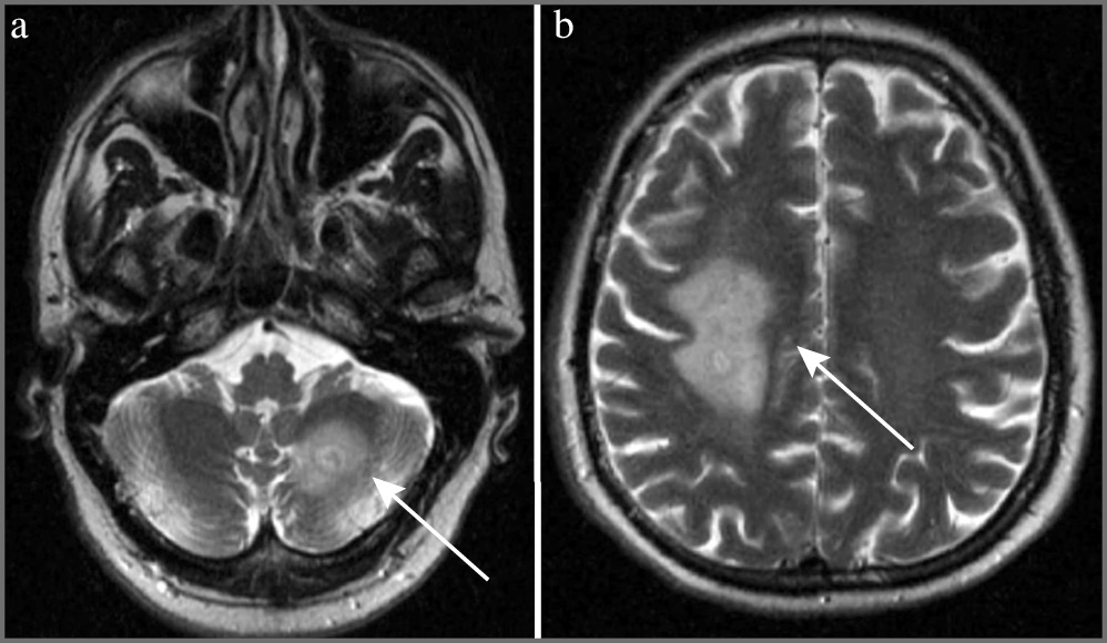
Пациент А. 52 лет поступил в Клинику нервных болезней (КНБ) Сеченовского Университета 03.03.2021 с жалобами на эпизоды системного головокружения, неустойчивость при ходьбе, снижение зрения и слуха на левое ухо. Считает себя больным с 12 ноября 2020 г., когда после переохлаждения отметил повышение температуры тела до 39–40ºС, сухой кашель, снижение слуха на левое ухо. Через 10 дней после самостоятельного лечения дома в связи с сохраняющейся гипертермией пациент госпитализирован в стационар, где подтвержден диагноз коронавирусной инфекции. После выписки из стационара 30.11.2020 пациент самостоятельно прекратил прием всех рекомендованных препаратов, включающих дексаметазон, и через 3 дня возникло ухудшение состояния в виде возбужденности, неадекватного поведения, нарушения сна и развития генерализованного судорожного приступа. Пациент повторно госпитализирован с подозрением на инсульт. По данным проведенной компьютерной томографии (КТ) ГМ от 08.12.2020 патологических изменений не выявлено. Через 4 дня после выписки из стационара пациент отметил слабость в ногах, эпизод системного головокружения, выраженную неустойчивость при стоянии и ходьбе, а также снижение зрения. Указанная симптоматика в течение 1 мес постепенно нарастала, после чего самостоятельно начала регрессировать. МРТ ГМ (без контрастирования) от 28.01.2021: признаки патологических изменений слева в полушарии мозжечка, в перивентрикулярной области правого полушария ГМ и семиовальных центрах с явлениями отека, слева у переднего рога (рис. 1).
Рис. 1. МРТ головного мозга в Т2-взвешенном изображении пациента А. от 18.01.2021.
Очаговые изменения в левом полушарии мозжечка (см. рис. 1, а) и правой перивентрикулярной области (см. рис. 1, b). Анамнез жизни: работник культуры, женат, детей нет. Хронические и перенесенные заболевания: детские инфекции. Вредных привычек нет. Наследственный анамнез по неврологическим заболеваниям не отягощен. В соматическом статусе изменений не выявлено, артериальное давление – 120/80 мм рт. ст., пульс удовлетворительного наполнения, 68 в минуту. Дизурии нет, стул в норме.
В неврологическом статусе: мелкоамплитудный горизонтальный нистагм при отведении взгляда влево; снижение слуха на левое ухо; положительные рефлексы орального автоматизма, повышение сухожильных рефлексов с конечностей с акцентом слева, положительный рефлекс Бабинского с двух сторон, рефлекс Тремнера слева. Интенционный тремор при выполнении левой пальценосовой пробы. В пробе Ромберга отклоняется влево. Инвалидизация по шкале Expanded Disability Status Scale (EDSS) – 3 балла.
Общие анализы крови, мочи – в пределах нормы. Биохимический анализ крови: повышение уровня холестерина (6,06 ммоль/л) и триглициридов (2,63 ммоль/л), анализы крови на ВИЧ, сифилис, гепатиты B, C отрицательные. Исследование цереброспинальной жидкости (ЦСЖ): белок – 0,36%, глюкоза – 48 мг%, цитоз – (62/3) 21 клетка в 1 мм³, микроскопия: лимфоциты – 57, нейтрофилы – 5, атипичные клетки не обнаружены. Выявлены олигоклональные антитела, 2-й тип синтеза. Анализ полимеразной цепной реакции (ПЦР) на определение ДНК в ЦСЖ: герпес-вирус человека 1, 2 и 6-го типов, вирус Эпштейна–Барр, цитомегаловирус, микобактерии туберкулеза, боррелиоз, токсоплазма, хламидии, листерии – не обнаружено.
МРТ ГМ от 10.03.2021 с контрастным усилением: на полученных изображениях определяются очаги слева в полушарии мозжечка, справа в перивентрикулярной области и семиовальных центрах с признаками отека, слева у переднего рога. После введения контрастного вещества определяется патологическое накопление в очаге левой гемисферы мозжечка, справа в перивентрикулярной области (рис. 2).
Рис. 2. МРТ в Т1-взвешенном изображении пациента А от 10.03.2021. Патологическое накопление контрастного вещества в левой гемисфере мозжечка (а) и в перивентрикулярной области справа (b).
Консультация офтальмолога: Vis OD=1,0; Vis OS=1,0; поля зрения: ОU-границы в пределах нормы. Движения глазных яблок в полном объеме, горизонтальный нистагм при взгляде влево. Глазное дно: OU диски зрительных нервов, бледно-розовый, границы четкие. OD – периферическая дегенерация сетчатки.
Вызванные потенциалы (ВП): зрительные ВП – в пределах нормы. Слуховые ВП: с левого уха – изменения по периферическому типу значительной степени; с правого уха – все показатели на верхней границе нормы.
Электроэнцефалография: диффузные легкие изменения электрической активности ГМ. Очагов эпилептической активности не выявлено.
Нейропсихологическое обследование: познавательная деятельность протекает в замедленном темпе, наблюдаются флуктуации внимания. Восприятие, праксис, речь, счет, память – без видимых отклонений. Умеренная недостаточность когнитивного контроля (импульсивность). Заключение: синдром легких нейрокогнитивных нарушений по подкорковому типу.
Принимая во внимание острое начало заболевания, предшествующую вирусную инфекцию, дебют с изменения поведения, генерализованный судорожный приступ, появление очаговой неврологической симптоматики с последующим самостоятельным частичным регрессом, данные МРТ ГМ в динамике, результаты исследования ЦСЖ с наличием 2-го типа синтеза олигоклональных антител, поставлен следующий диагноз: монофазный ОРЭМ. Пациенту назначена пульс-терапия с внутривенным введением метилпреднизолона по 1000 мг в течение 5 дней. По окончании курса лечения неврологическая симптоматика практически полностью регрессировала, на момент выписки сохранялась лишь небольшая неустойчивость при ходьбе, по шкале EDSS – 1 балл.
Клинический случай 2
Пациент Г. 63 лет поступил в КНБ с жалобами на неустойчивость при ходьбе, ощущение скованности в мышцах ног, умеренную мышечную слабость в ногах, императивные позывы на мочеиспускание, онемение тела от уровня сосковой линии и ниже.
Из анамнеза известно, что в апреле 2020 г. появились жалобы на повышение температуры тела, озноб, сухой кашель с трудноотделяемой мокротой. Обратился в поликлинику по месту жительства, лечился амбулаторно без эффекта. Появилась небольшая мышечная слабость в ногах, пациенту стало тяжело подниматься по лестнице. Выполнена КТ органов грудной клетки 15.04.2020: вирусная пневмония КТ-2. Мазок на COVID-19 от 16.04.2020 положительный.
Пациент госпитализирован в инфекционное отделение. Нарастала мышечная слабость в ногах, появились онемение тела от уровня сосковой линии и ниже, нарушение функции тазовых органов по типу острой задержки мочи. МРТ ГМ с внутривенным контрастированием от 27.04.2020: МР-картина очаговых изменений вещества ГМ сосудистого характера. МРТ шейного отдела позвоночника с внутривенным контрастированием от 04.05.2020: МР-картина шейной миелопатии на уровне СII–СIII. По данным медицинской документации, через 15 дней от начала заболевания отмечалась отрицательная динамика в виде нарастания дыхательной недостаточности, парезов в ногах, острой задержки мочеиспускания. В соматическом статусе: артериальное давление – 130/80 мм рт. ст., пульс удовлетворительного наполнения, 70 в минуту. В неврологическом статусе: тетрапарез, более выраженный в ногах. Повышение мышечного тонуса и рефлексов, положительные рефлексы Тремнера слева и Бабинского с двух сторон. Спинально-проводниковый тип чувствительных расстройств с уровня грудины. Тазовые нарушения в виде задержки мочеиспускания, по поводу чего установлена цистостома, оценка по шкале EDSS – 6,0 балла.
КТ органов грудной клетки от 07.05.2020: вирусная пневмония КТ-4. МРТ шейного и грудного отделов позвоночника с внутривенным контрастированием от 08.05.2020: МР-картина поражения спинного мозга на шейном (СII–СIII) и грудном (ThIII–ThV) уровнях в виде очагов демиелинизирующего характера (рис. 3).
Рис. 3. МРТ шейного отдела спинного мозга в Т2-взвешенном изображении пациента Г. от 08.05.2021. Очаговые изменения МР-сигнала в СII–СIII сегментах: а – сагиттальный срез; b – аксиальный срез.
Общие анализы крови, мочи, биохимия крови – в пределах нормы, анализы крови на ВИЧ, сифилис, гепатиты B, C отрицательные. Анализ ЦСЖ от 06.05.2020: белок – 0,46 г/л (0,22–0,33), глюкоза – 3,75 ммоль/л (2,8–3,9), цитоз – 2 клетки (0–5).
После проведения пульс-терапии глюкокортикостероидами – ГКС (Солу-Медрол 1,0 г в течение 5 дней) отмечалась положительная динамика в виде увеличения силы в конечностях. Лечение продолжено внутривенным введением иммуноглобулина G – IgG (Октагам в курсовой дозе 160 г), на фоне которого отмечалась выраженная положительная динамика в виде полного восстановления поверхностной чувствительности, мышечной силы, нормализации функции тазовых органов.
Учитывая острое развитие заболевания у пациента на фоне инфекции СOVID-19, наличие клинической симптоматики в виде спастического тетрапареза, более выраженного в ногах, спинально-проводниковый тип чувствительных расстройств, нарушение функции тазовых органов, положительный ответ на терапию ГКС и внутривенный Ig, установлен диагноз: ОПМ на фоне инфекции COVID-19. Пациент выписан из стационара с положительной динамикой.
В связи с сохраняющейся неустойчивостью при ходьбе, скованностью мышц нижних конечностей пациент в мае 2021 г. обратился в КНБ. В неврологическом статусе сохранялись повышение мышечного тонуса по спастическому типу в нижних конечностях, оживление сухожильных рефлексов, положительные симптомы Тремнера и Бабинского с двух сторон, умеренные проявления сенситивной атаксии, периодические императивные позывы к мочеиспусканию, EDSS – 3 балла. По результатам МРТ шейного и грудного отделов позвоночника с контрастным усилением патологических изменений не выявлено. Пациенту проведен курс симптоматической и реабилитационной терапии.
Обсуждение
Приведенные клинические случаи демонстрируют варианты аутоиммунного поражения ЦНС в виде ОРЭМ и ОПМ у пациентов, инфицированных SARS-CoV-2. Неврологические осложнения SARS-CoV-2 имеют сходство с теми, которые описаны во время других эпидемий коронавируса, в частности при тяжелом остром респираторном синдроме в 2003 г. и ближневосточном остром респираторном синдроме в 2012 г. [2, 18, 19].
Анализ описанных случаев ОРЭМ на фоне SARS-CoV-2 и представленное наблюдение 1 позволяют выделить общие клинические симптомы заболевания: острое начало, спутанность сознания, судорожный приступ в дебюте, развитие очаговой неврологической симптоматики, свидетельствующей о вовлечении в патологический процесс различных отделов ЦНС. Нарушения сознания от спутанности и делирия до комы наблюдались практически во всех случаях [7, 11, 13]. В представленном нами клиническом случае доминировала мозжечковая атаксия, у других пациентов с ОРЭМ на фоне SARS-CoV-2 описаны зрительные нарушения, а при поражении спинного мозга – проводниковые двигательные и чувствительные расстройства, нарушения мочеиспускания. Особенностью нашего случая является отсутствие поражения у пациента спинного мозга, что может наблюдаться при этом заболевании. Основанием для постановки диагноза служит характерная МР-картина ГМ: множественные крупные сливные асимметричные очаги, вовлекающие субкортикальное и центральное белое вещество, полушария мозжечка, а также ствол мозга и спинной мозг. Мозолистое тело, в отличие от рассеянного склероза (РС), не вовлекается [5]. Важным отличием ОРЭМ от РС также является полное или почти полное разрешение очагов на фоне иммуносупрессивной терапии. Все описанные пациенты получали пульс-терапию ГКС, отдельные пациенты – с последующим введением IgG внутривенно. В большинстве случаев отмечен несомненный положительный эффект; однако в 2 случаях эффект был минимальный [7–14]. Классический вариант ОРЭМ имеет монофазное течение, в то же время в 10–31% случаев возможны рецидивы заболевания [6]. В таком случае требуется проведение дифференциального диагноза с РС.
Наиболее вероятным механизмом поражения нервной системы при ОРЭМ на фоне SARS-CoV-2 является цитокиновый шторм – каскад аутоиммунных реакций, в результате которых в кровь поступает большое количество провоспалительных цитокинов – интерлейкина (ИЛ)-6, ИЛ-10, фактора некроза опухоли α, разрушающих гематоэнцефалический барьер. В генезе развития судорожных приступов также большая роль отводится индукции цитокинов, нейротоксичности, активации рецепторов глутаматергической трансмиссии, гипокальциемии, гипоксемии. Участие аутоиммунных механизмов в демиелинизации белого вещества ГМ предполагается и при воздействии коронавируса на нейроглию. Главным образом это касается случаев отсутствия плеоцитоза в ЦСЖ. Апоптоз, гибель олигодендроцитов, активация провоспалительных цитокинов (интерферона γ, ИЛ-1, 6, 12, трансформирующего фактора роста β) способствуют развитию иммуноопосредованного поражения определенных, наиболее подверженных эксайтотоксичности церебральных структур, что морфологически проявляется в виде лейкоэнцефалита [20, 21].
Во всех описанных случаях ОПМ, как и у нашего пациента, клиническая картина представлена спастическим тетрапарезом или нижним парапарезом, нарушением чувствительности по проводниковому типу, синдромом сенситивной атаксии, нарушением функции тазовых органов [22–29]. Время от момента положительной ПЦР-диагностики SARS-CoV-2 до возникновения очаговых неврологических симптомов, подозрительных на ОПМ, составило в среднем 7–10 дней, что наблюдалось и в нашем случае. D. Sarma и соавт. описали случай ОПМ у пациентки 28 лет на фоне инфекции SARS-CoV-2, который дебютировал с острой люмбоишалгии с последующим присоединением в течение 4–5 дней типичного симптомокомплекса OПМ [22]. Во всех случаях диагноз подтвержден МРТ спинного мозга; в 30% случаев отмечалось поражение менее 3 сегментов спинного мозга, а в 70% случаев – картина продольно-распространенного миелита с поражением 4 и более сегментов спинного мозга [16]. В нашем случае отмечалось множественное поражение спинного мозга на шейном и грудном уровнях с вовлечением 2–3 сегментов спинного мозга. Диагноз ОПМ после исключения вторичных причин требует незамедлительного назначения иммуномодулирующей терапии: пульс-терапии метилпреднизолоном в дозе 1000 мг в течение 5–7 дней. При недостаточном эффекте показано введение IgG внутривенно в дозе 2 г/кг массы тела, что проведено у нашего пациента с положительным эффектом. В отличие от ОРЭМ, при ОПМ положительный эффект на фоне ГКС отмечается в меньшем числе случаев, и у пациентов может сохраняться стойкий резидуальный дефект. H. Valiuddin и соавт. описали случай ОПМ, в котором не наблюдалось положительного эффекта на фоне иммуносупрессивной терапии, что, возможно, было связано с сопутствующей аксональной полиневропатией [24].
Описанные случаи ОПМ после перенесенной коронавирусной инфекции демонстрируют возможность SARS-CoV-2 играть инициирующую роль в возникновении дизиммунного поражения спинного мозга. Однако описаны пациенты с латентным периодом от 15 ч до 5 дней, что указывает на вероятное прямое нейротропное действие вируса на спинной мозг. В литературе продемонстрированы 2 случая с положительным ПЦР-тестом в ЦСЖ у пациентов с неврологической симптоматикой [30]. Для полного понимания данного механизма необходимы масштабные исследования по обнаружению РНК вируса SARS-CoV-2 в ЦСЖ, убедительно доказывающие, что вирус может непосредственно проникать в нервную систему и вызывать повреждение. Поэтому патогенез развития ОПМ, ассоциированного с SARS-CoV-2 (прямая инвазия вируса в ЦНС или аутоиммунный ответ) требует дальнейшего изучения. Нами описаны случаи понтинного миелинолиза, развившегося на фоне гипонатриемии и гипокалиемии в период заболевания острой коронавирусной инфекцией (SARS-CoV-2) [31].
Заключение
С учетом продолжающейся пандемии описанный в литературе широкий спектр неврологических расстройств при коронавирусной инфекции, по-видимому, будет пополняться новыми клиническими формами поражения как ЦНС, так и периферической нервной системы. На сегодняшний день понятно, что у пациентов, инфицированных SARS-CoV-2, особенно с тяжелым течением заболевания, возможно развитие аутоиммунных неврологических осложнений. Настороженность в данном отношении всего медицинского персонала приведет к их ранней диагностике, позволит в короткие сроки провести необходимое обследование и начать патогенетическое лечение, что в свою очередь приведет к снижению инвалидизации и более быстрому возвращению пациентов к привычному образу жизни.
Конфликт интересов. Авторы заявляют об отсутствии конфликта интересов.
Conflict of interest. The authors declare that no conflict of interest exists.
Финансирование. Исследование не имело спонсорской поддержки
Funding source. The investigation has not been sponsored.
Участие авторов. Все авторы принимали участие в написании рукописи. Окончательная версия рукописи была одобрена всеми авторами.
Author contribution. All the authors participated in writing the manuscript. The final version of manuscript has been approved by all the authors.
Список сокращений
ВП – вызванный потенциал
ГКС – глюкокортикостероиды
ГМ – головной мозг
ИЛ – интерлейкин
КНБ – Клиника нервных болезней
КТ – компьютерная томография
МРТ – магнитно-резонансная томография
ОПМ – острый поперечный миелит
ОРЭМ – острый рассеянный энцефаломиелит
ПЦР – полимеразная цепная реакция
РС – рассеянный склероз
ЦНС – центральная нервная система
ЦСЖ – цереброспинальная жидкость
EDSS – EDSS (Expanded Disability Status Scale) – расширенная шкала оценки степени инвалидизации
IgG – иммуноглобулин G
作者简介
Luiza Akhmedzhanova
Sechenov First Moscow State Medical University (Sechenov University)
编辑信件的主要联系方式.
Email: luiziana78@mail.ru
ORCID iD: 0000-0002-7384-6715
канд. мед. наук, доц. каф. нервных болезней и нейрохирургии Института клинической медицины им. Н.В. Склифосовского
俄罗斯联邦, MoscowOlga Voskresenskaia
Sechenov First Moscow State Medical University (Sechenov University)
Email: luiziana78@mail.ru
ORCID iD: 0000-0002-7330-633X
д-р мед. наук, проф. каф. нервных болезней и нейрохирургии Института клинической медицины им. Н.В. Склифосовского
俄罗斯联邦, MoscowAleksei Isaikin
Sechenov First Moscow State Medical University (Sechenov University)
Email: luiziana78@mail.ru
ORCID iD: 0000-0003-4950-144X
канд. мед. наук, доц. каф. нервных болезней и нейрохирургии Института клинической медицины им. Н.В. Склифосовского
俄罗斯联邦, MoscowElizaveta Ermilova
Sechenov First Moscow State Medical University (Sechenov University)
Email: luiziana78@mail.ru
ORCID iD: 0000-0001-5008-1265
соискатель ученой степени кандидата медицинский наук на каф. нервных болезней и нейрохирургии Института клинической медицины им. Н.В. Склифосовского
俄罗斯联邦, MoscowTatiana Nasonova
Sechenov First Moscow State Medical University (Sechenov University)
Email: luiziana78@mail.ru
ORCID iD: 0000-0003-4971-9254
аспирант каф. нервных болезней и нейрохирургии Института клинической медицины им. Н.В.Склифосовского, врач-невролог 3-го неврологического отд-ния Клиники нервных болезней им. А.Я. Кожевникова
俄罗斯联邦, MoscowPavel Chernousov
Sechenov First Moscow State Medical University (Sechenov University)
Email: luiziana78@mail.ru
ORCID iD: 0000-0003-2143-1806
клинический ординатор каф. нервных болезней и нейрохирургии Института клинической медицины им. Н.В. Склифосовского
俄罗斯联邦, MoscowVladimir Rusin
Sechenov First Moscow State Medical University (Sechenov University)
Email: luiziana78@mail.ru
ORCID iD: 0000-0001-9731-2622
врач-невролог 1-го неврологического отд-ния Клиники нервных болезней им. А.Я. Кожевникова
俄罗斯联邦, Moscow参考
- Divani AA, Andalib S, Biller J, at al. Central Nervous System Manifestations Associated with COVID-19. Curr Neurol Neurosci Rep. 2020;20(12):1-20. doi: 10.1007/s11910-020-01079-7
- Paterson RW, Brown RL, Benjamin L, et al. The emerging spectrum of COVID-19 neurology: clinical, radiological and laboratory findings. Brain. 2020;143:3104-20. doi: 10.1093/brain/awaa240
- Varatharaj A, Thomas N, Ellul MA, et al. Neurological and neuropsychiatric complications of COVID-19 in 153 patients: a UK-wide surveillance study. Lancet Psychiatry. 2020;7:875-82. doi: 10.1016/S2215-0366(20)30287-X
- Maury A, Lyoubi A, Peiffer-Smadja N, et al. Neurological manifestations associated with SARS-CoV-2 and other coronaviruses: A narrative review for clinicians. Rev Neurol (Paris). 2021;177(1-2):51-64. doi: 10.1016/j.neurol.2020.10.001
- Неврология (национальное руководство). Под ред. Е.И. Гусева, А.Н. Коновалова, В.И. Скворцовой. 2018. М.: ГЭОТАР-Медиа. Т. 1. С. 478-83, 489-95. [Neurology (national guide). Ed. EI Gusev, AN Konovalov, VI Skvortsova. 2018. Moscow: GEOTAR-Media. Vol. 1. P. 478-83, 489-95 (in Russian)].
- Koelman DLH, Chahin S, Mar SS, et al. Acute disseminated encephalomyelitis in 228 patients: a retrospective, multicenter US study. Neurology. 2016;86(22):2085-93. doi: 10.1212/WNL.0000000000002723
- Parsons T, Banks S, Bae C, et al. COVID-19-associated acute disseminated encephalomyelitis (ADEM). J Neurol. 2020. doi: 10.1007/s00415-020-09951-9
- Lopes CCB, Brucki SMD, Passos Neto CEB, et al. Acute Disseminated Encephalomyelitis in COVID-19: presentation of two cases and review of the literature. Arq Neuropsiquiatr. 2020;78(12):805-10. doi: 10.1590/0004-282X20200186
- McCuddy M, Kelkar P, Zhao Y, Wicklund D. Acute Demyelinating Encephalomyelitis (ADEM) in COVID-19 Infection: A Case Series. Neurol India. 2020;68(5):1192-5. doi: 10.4103/0028-3886.299174
- Otluoglu GD, Yener U, Demir MK, Yilmaz B. Encephalomyelitis associated with COVID-19 infection: Case report. Br J Neurosurg. 2020;1–3. doi: 10.1080/02688697.2020.1787342
- Novi G, Rossi T, Pedemonte E, et al. Acute disseminated encephalomyelitis after SARS-CoV-2 infection. Neurol Neuroimmunol Neuroinflamm. 2020;7(5):e797. doi: 10.1212/NXI.0000000000000797
- Utukuri PS, Bautista A, Lignelli A, Moonis G. Possible acute disseminated encephalomyelitis related to severe acute respiratory syndrome coronavirus 2 infection. AJNR Am J Neuroradiol. 2020;41(9):E82-3. doi: 10.3174/ajnr.A6714
- Langley L, Zeicu C, Whitton L, Pauls M. Acute disseminated encephalomyelitis (ADEM) associated with COVID-19. BMJ Case Rep. 2020;13(12):e239597. doi: 10.1136/bcr-2020-239597
- Hussein O, Abd Elazim A, Torbey MT. COVID-19 systemic infection exacerbates pre-existing acute disseminated encephalomyelitis (ADEM). J Neuroimmunol. 2020;349:577405. doi: 10.1016/j.jneuroim.2020.577405
- Reichard RR, Kashani KB, Boire NA, et al. Neuropathology of COVID-19: a spectrum of vascular and acute disseminated encephalomyelitis (ADEM) like pathology. Acta Neuropathologica. 2020;140:1-6. doi: 10.1007/s00401-020-02166
- Román GS, Gracia F, Torres A, et al. Acute Transverse Myelitis (ATM): Clinical Review of 43 Patients With COVID-19-Associated ATM and 3 Post-Vaccination ATM Serious Adverse Events With the ChAdOx1 nCoV-19 Vaccine (AZD1222). Front Immunol. 2021;12:653786. doi: 10.3389/fimmu.2021.653786
- Águila-Gordo D, Manuel Flores-Barragán J, Ferragut-Lloret F, et al. Acute myelitis and SARS-CoV-2 infection. A new etiology of myelitis? J Clin Neurosci. 2020;80:280-1. doi: 10.1016/j.jocn.2020.07.074
- Zubair AS, McAlpine LS, Gardin T, et al. Neuropathogenesis and neurologic manifestations of the coronaviruses in the age of coronavirus disease 2019: A review. JAMA Neurol. 2020;77:1018-27. doi: 10.1001/jamaneurol.2020.2965
- Ng Kee Kwong KC, Mehta PR, Shukla G, Mehta AR. COVID-19, SARS and MERS: A neurological perspective. J Clin Neurosci. 2020;7:13-6. doi: 10.1016/j.jocn.2020.04.124
- Бойко А.Н., Сиверцева С.А., Спирин Н.Н. Поражение нервной системы при инфекции COVID-19 с акцентом на ведение пациентов с рассеянным склерозом. Неврология, нейропсихиатрия, психосоматика. 2020;12 (Прил. 1):44-7 [Boyko AN, Sivertseva SA, Spirin NN. Nervous system damage in COVID-19 with an emphasis on the management of patients with multiple sclerosis. Neurology, Neuropsychiatry, Psychosomatics. 2020;12(Suppl. 1):44-7 (in Russian)]. doi: 10.14412/2074-2711-2020-1S-44-47
- Белопасов В.В., Яшу Я., Самойлова Е.М., Баклаушев В.П. Поражение нервной системы при СOVID-19. Клиническая практика. 2020;11(2):60-80 [Belopasov VV, Yachou Y, Samoilova EM, Baklaushev VP. The Nervous System Damage in COVID-19. Journal of Clinical Practice. 2020;11(2):60-80 (in Russian)]. doi: 10.17816/clinpract34851
- Sarma D, Bilello LA. A case report of acute transverse myelitis following novel coronavirus infection. Clin Pract Cases Emerg Med. 2020;4:321-3. doi: 10.5811/cpcem.2020.5.47937
- Advani S, Zali A, Ommi D, et al. Transverse myelitis in COVID-19 patients: Report of two cases. Res Square. 2020. Preprint. doi: 10.21203/rs.3.rs-107744/v1
- Valiuddin H, Skwirsk B, Paz-Arabo P. Acute transverse myelitis associated with SARS-CoV-2: A case report. Brain Behav Immun Health. 2020;5:100091. doi: 10.1016/j.bbih.2020.100091
- Zachariadis A, Tulbu A, Strambo D, et al. Transverse myelitis related to COVID-19 infection. J Neurol. 2020;267:3459-61. doi: 10.1007/s00415-020-09997-9
- Garg RK, Paliwal VK, Gupta A. Spinal cord involvement in COVID-19: A review. J Spinal Cord Med. 2021:1-15. doi: 10.1080/10790268.2021.1888022
- AlKetbi R, AlNuaimi D, AlMulla M, et al. Acute myelitis as a neurological complication of COVID-19: A case report and MRI findings. Radiol Case Rep. 2020;15:1591-5. doi: 10.1016/j.radcr.2020.06.001
- Chakraborty U, Chandra A, Ray AK, Biswas P. COVID-19-associated acute transverse myelitis: A rare entity. BMJ Case Rep. 2020;13:e238668. doi: 10.1136/bcr-2020-238668
- Munz M, Wessendorf S, Koretsis G, et al. Acute transverse myelitis after COVID-19 pneumonia. J Neurol. 2020;267(8):2196-7. doi: 10.1007/s00415-020-09934-w
- Luis MB, Liguori NF, López PA, Alonso R. SARS-CoV-2 RNA detection in cerebrospinal fluid: Presentation of two cases and review of literature. Brain Behav Immun Health. 2021;15:100282. doi: 10.1016/j.bbih.2021.100282
- Воскресенская О.Н., Коваленко А.А., Надбитова Е.Б., и др. Центральный понтинный миелинолиз на фоне инфекции SARS-CoV-2 (клинические наблюдения). Неврология, нейропсихиатрия, психосоматика. 2021;13(2):91-6 [Voskresenskaya ON, Kovalenko АА, Nadbitova ЕB, et al. Central pontine myelinolysis in the presence of SARS-CoV-2 infection (clinical observations). Neurology, Neuropsychiatry, Psychosomatics. 2021;13(2):91-6 (in Russian)]. doi: 10.14412/2074-2711-2021-2-91-96
补充文件






