Полиакриламидный маммарный синдром — специфика гистологической картины очага до и после воздушно-плазменной обработки
- Авторы: Османов Э.Г.1, Шулутко А.М.1, Крылов А.Ю.1, Гандыбина Е.Г.1, Малюгина А.Я.1
-
Учреждения:
- Первый Московский государственный медицинский университет имени И.М. Сеченова (Сеченовский университет)
- Выпуск: Том 27, № 3 (2021)
- Страницы: 247-255
- Раздел: Клиническая медицина
- Статья получена: 18.02.2022
- Статья одобрена: 18.02.2022
- Статья опубликована: 15.05.2021
- URL: https://medjrf.com/0869-2106/article/view/101089
- DOI: https://doi.org/10.17816/0869-2106-2021-27-3-247-255
- ID: 101089
Цитировать
Полный текст
Аннотация
Обоснование. В конце прошлого столетия широкую популярность получила контурная пластика молочных желез с помощью полиакриламидного геля. Негативные последствия порочной методики требуют совершенствования хирургического подхода.
Цель исследования — на основании анализа данных гистологического исследования оценить возможности воздушно-плазменной технологии в лечении отдаленных септических проявлений полиакриламидного маммарного синдрома, а также профилактике его рецидивов.
Материалы и методы. Исследованы биоптаты 8 женщин в возрасте от 38 до 59 лет, перенесших гелевую аугментацию молочных желез давностью от 6 до 20 лет. В комплексное лечение было включен воздушно-плазменный поток в режимах резки-коагуляции, терапия оксидом азота. Проведено морфологическое исследование до и после воздействия на очаг плазменным потоком.
Результаты. До лечения в 6 случаях выявлено хроническое гранулематозное воспаление, а также гелиомы; в 2 наблюдениях — острое флегмонозно-некротическое воспаление мягких тканей. На 5-е сутки после комбинированной некрэктомии визуализировались единичные локусы геля, основная масса которого подверглась вапоризации. Явления хронического воспаления были менее выражены, чем в исходных гистограммах. На фоне санации оксидом азота наблюдали раннее появление очагов фибробластической пролиферации и краевой эпителизации.
Выводы. Воздействие воздушно-плазменным потоком способствует эффективной санации гнойного очага и тотальной элиминации геля. Терапия оксидом азота (NO-терапия) ускоряет развитие грануляционной ткани.
Ключевые слова
Полный текст
АКТУАЛЬНОСТЬ
В конце прошлого столетия довольно широкое распространение получила контурная пластика молочных желез (МЖ) с помощью безоболочечного полиакриламидного геля (ПААГ) [1, 2]. Негативные последствия порочной методики в виде полиакриламидного маммарного синдрома (ПАМС), или «гелевой» болезни, до сих пор остаются большой проблемой [2]. Немалая часть женщин, перенесших инъекционную контурную коррекцию МЖ, спустя десятилетия экстренно поступает в хирургический стационар в связи с развитием поздних гнойно-воспалительных осложнений (гелевые свищи, инфильтраты, рецидивирующий гнойный мастит) [3–6].
В отличие от банальной флегмоны или абсцесса мягких тканей, где адекватно выполненная хирургическая обработка и рациональная антибиотикотерапия решают основные тактические задачи, конечный исход лечения пациенток с ПАМС во многом зависит от полноценности эвакуации инфицированного имплантата, иссечения гелеом, ликвидации всех гелевых затеков [7, 8]. Обзор литературы показал, что даже адекватно выполненное пособие не позволяет окончательно удалить весь введенный в организм безоболочечный имплантат [8–11]. Невозможность полноценной эвакуации ПААГ из очага неизбежно приводит к рецидиву болезни, вынуждая хирургов выполнять повторные, более травматичные операции. Многие исследователи, говоря о данной проблеме, отмечают, что в основе ее лежит хронический характер воспалительного процесса, конверсия ее в гнойную фазу с частыми обострениями, формированием так называемых гнойных свищей и затеков [12]. Все это в конечном итоге способствует выраженному рубцово-спаечному процессу и стойкой деформации пораженного органа (особенно МЖ), не говоря уже о более тяжелых осложнениях [13–18].
Цель исследования — на основании анализа данных гистологического исследования оценить возможности воздушно-плазменной технологии в лечении отдаленных септических проявлений ПАМС, а также профилактике его рецидивов.
МАТЕРИАЛЫ И МЕТОДЫ
Исследованы биоптаты МЖ у 8 женщин в возрасте от 38 до 59 лет (в среднем 47,5 лет), перенесших контурную маммопластику ПААГ от 6 до 20 лет назад. Все они были экстренно госпитализированы в Университетскую клиническую больницу № 4 в 2014–2018 годах. Жалобы и объективные данные в 100% наблюдений были идентичны симптомам острого гнойного мастита. Помимо этого, почти всех пациенток беспокоили эстетические нарушения, такие как деформация контуров МЖ, уплотнения и очаги пигментации, хронический болевой синдром. Диагностический алгоритм включал послойное ультразвуковое исследование зоны порочного вмешательства и мягких тканей сопредельных анатомических областей.
Основой тактики была радикальная обработка очага под общим обезболиванием, назначение антибиотиков и противовоспалительных препаратов. Послеоперационные раны вели открытым способом, проводили санацию антисептиками, накладывали перевязки с растворами йодофоров и мазями на водорастворимой основе. В программу комплексного лечения всех пациенток входила обработка гнойного очага воздушно-плазменным потоком (ВПП) (аппарат «Плазон» СКСВП/NO-01, Россия) в следующих режимах:
- диссекция и коагуляция — воздействие сверхтемпературным факелом на завершающем этапе радикальной обработки воспалительно-гнойного очага. Конечная цель — полное очищение раневой полости от девитализированных тканей и ПААГ, окончательный гемостаз, стерилизация и подавление гноеродной инфекции.
- терапия оксидом азота (NO-терапия) — ускорение регенеративных процессов в раневой зоне путем ежедневной обработки зоны вмешательства охлажденным ВПП.
Количество процедур NO-терапии варьировало от 5 до 14 за курс лечения (в среднем 7,5). Режимы высокоэнергетического воздействия соответствовали регламенту и методике, ранее полностью отработанным отечественными исследователями [19–21].
В соответствии с поставленными задачами в каждом случае проведена серия морфологических исследований по следующей методике. Биоптаты из краев и дна раневых дефектов последовательно фиксировали в 70º и 96º этиловом спирте, а потом заливали в парафин. Срезы толщиной 4–5 мкм перед просмотром окрашивали гематоксилином и эозином, пикрофуксином по ван Гизону, толуидиновым синим на кислые гликозаминогликаны; оценивали PAS-реакцией на гликоген и гликопротеины, а также реакцией Браше на РНК. Оценка морфологической картины шла в два этапа:
- после полной эвакуации скопления ПААГ непосредственно перед обработки ВПП в режимах резки-коагуляции.
- спустя 5–7 суток с момента начала комплексного лечения.
Всего выполнено 16 гистологических исследований совместно с сотрудниками Центрального патологоанатомического отделения Клинического центра ФГАОУ ВО Первый МГМУ им. И.М. Сеченова (к.м.н. В.П. Середин).
РЕЗУЛЬТАТЫ
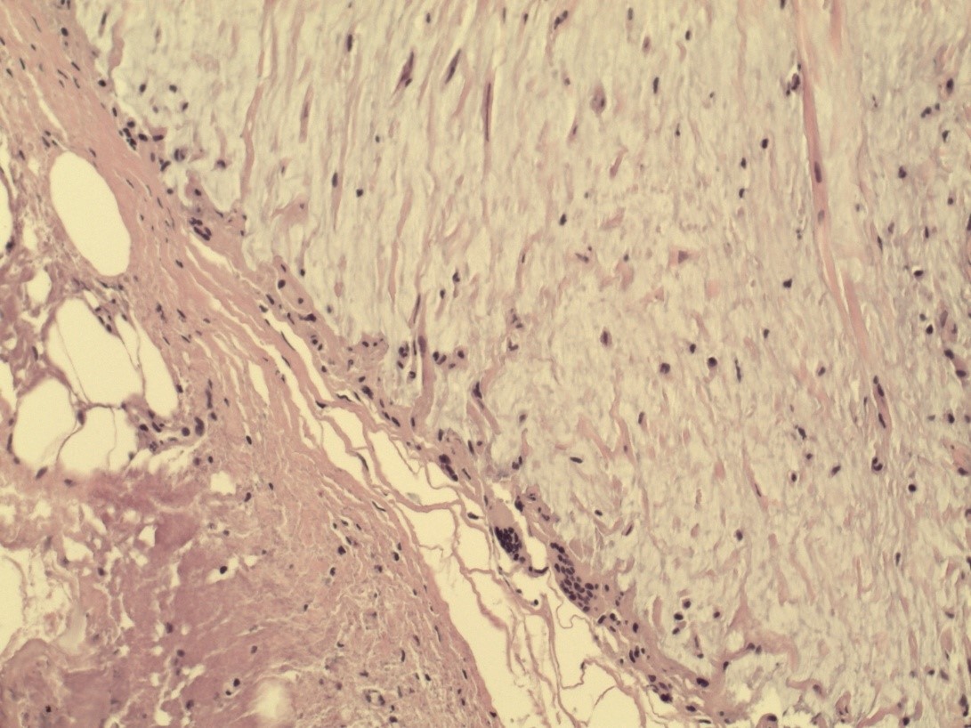
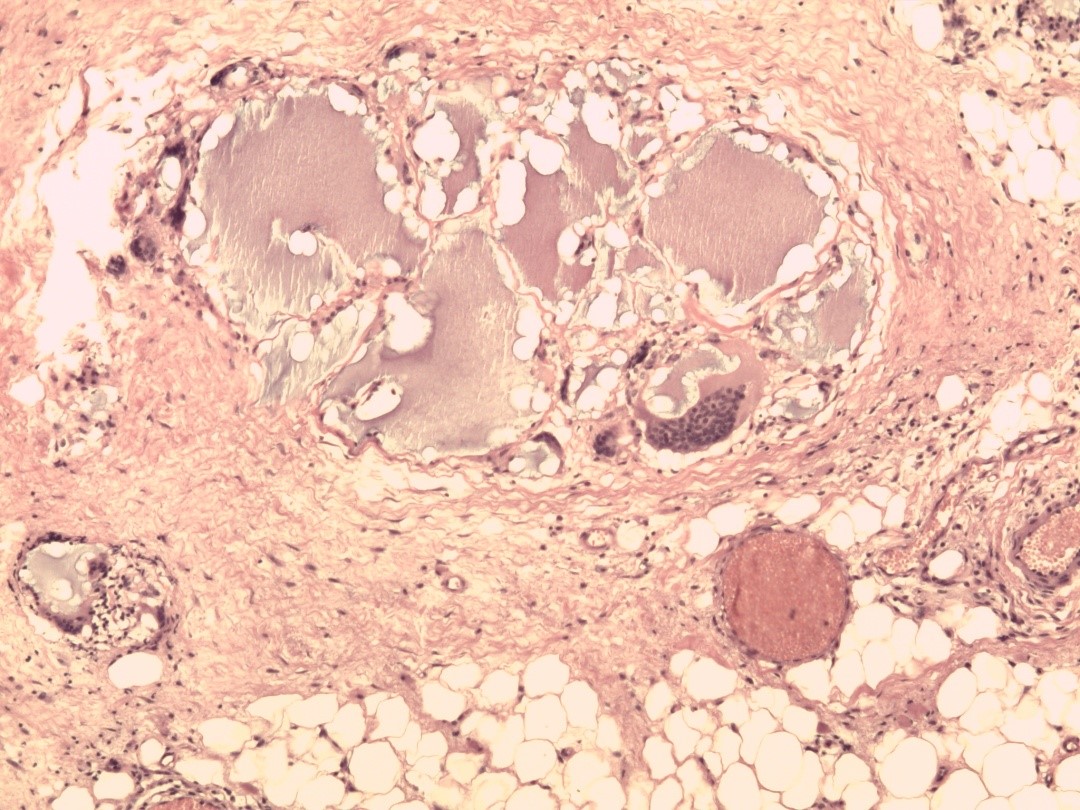
Гистологическая картина ПАМС до начала комплексного лечения была типичной и совпадала с описаниями других исследователей [22–26]. По всем полям визуализировали скопления гомогенных инородных тел (ПААГ), характер которых зависел от количества введенного геля, глубины и давности его залегания в мягких тканях, а также интенсивности его межтканевой миграции (рис. 1). Вокруг больших массивов безоболочечного имплантата, в основном сохранившего свою гомогенную базофильную структуру, прослеживалась тонкая соединительнотканная капсула толщина 50–120 мкм. Она состояла из нескольких слоев коллагеновых волокон и фибробластов (рис. 2). Толщина капсулы была неодинаковой на всем протяжении. На некоторых участках заметно выраженное ее истончение, разволокнение, дегенеративные изменения вплоть до полного перерыва (рис. 3). Последнее было особенно заметно у пациенток с длительным, свыше 10 лет, анамнезом «гелевой» болезни, а также при миграции ПААГ в соседние области.
Рис. 1. Биоптат ткани молочной железы: визуализируются скопления полиакриламидного геля диффузного и очагового характера. Окраска гематоксилином и эозином (×200).
Рис. 2. Биоптат ткани молочной железы: соединительнотканная капсула вокруг крупных очагов полиакриламидного геля. Окраска гематоксилином и эозином (×40).
Рис. 3. Биоптат ткани молочной железы: определяется зона дезорганизации капсулы вокруг гелевых масс. Окраска гематоксилином и эозином (×200).
В фиброзной капсуле были заметны скопления крупных макрофагов с пенистой поверхностью. По сути, это клетки, фагоцитирующие гель, который далее остается в клеточной цитоплазме в виде вакуолей. Вблизи капсулы отмечалось неглубокое прорастание в гель тонких тяжей, состоящих из макрофагов, фибробластов и незрелых коллагеновых волокон. Последние разделяли ПААГ в прикапсулярной зоне на фрагменты. В одних из них гелевый материал сохранял свою гомогенность, в других приобретал мелкоячеистость, фибриллярную структуру. У пациенток с ПАМС местами определялись участки прорыва ПААГ в грудные мышцы с образованием гелевых «озер».
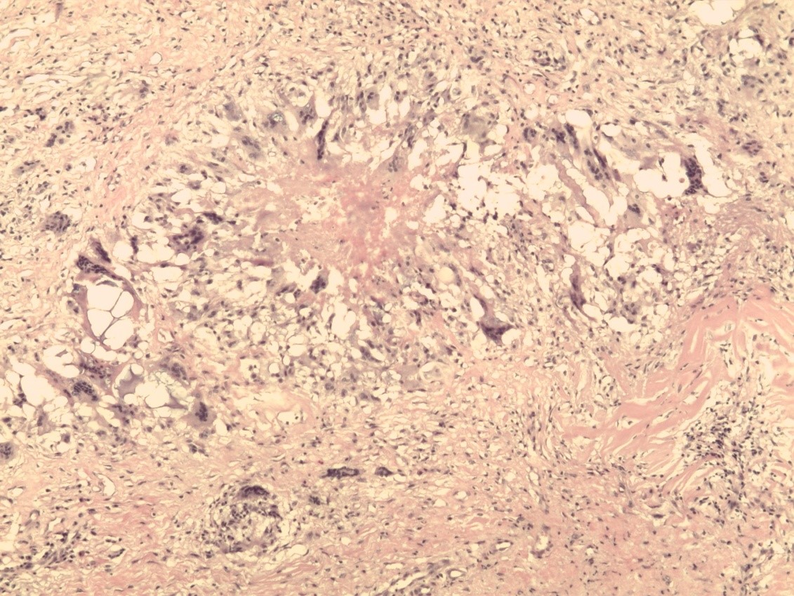
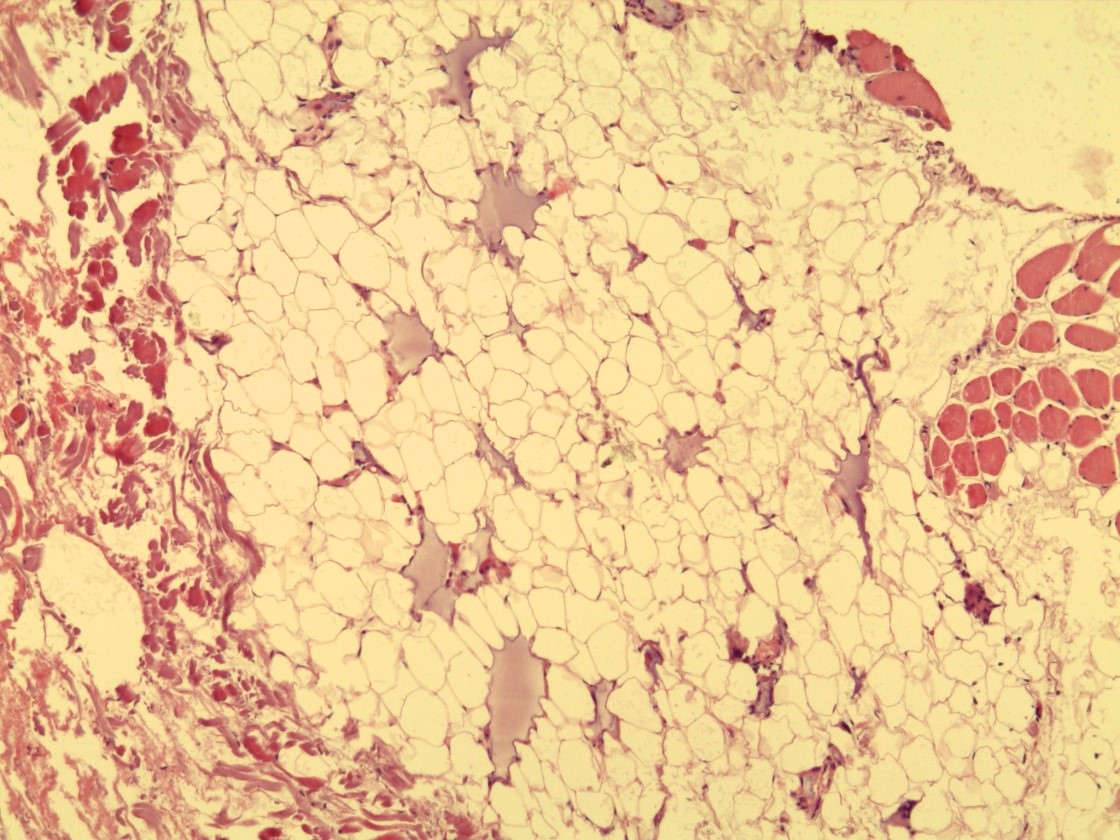
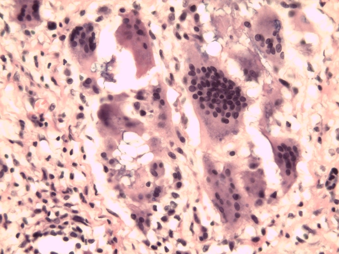
В подавляющем большинстве наблюдений поздних осложнений «гелевой» болезни (6 пациенток) гистограмма расценена как хроническое продуктивное воспаление различной степени выраженности, несмотря на клиническую картину острого воспалительного поражения. Оно проявлялось присутствием эпителиоидных и гигантских многоядерных клеток инородных тел с овальными гиперхромными ядрами, лимфоцитов и плазматических клеток практически по всей зоне гелевой аугментации (рис. 4). Самое большое количество гигантских клеток визуализировали в паренхиме МЖ на границе с гелем. Встречались даже единичные клетки Пирогова–Лангханса, характеризующиеся периферическим расположением овальных ядер. Наличие микроабсцессов в 2 наблюдениях говорило о деструкции соединительной ткани, обусловленной в том числе токсическим влиянием ПААГ. Как в первичном очаге, так и в зонах миграции обнаруживали гелеомы в виде межклеточных скоплений ПААГ, окруженные плотной капсулой из коллагена, фибробластов и гигантских многоядерных клеток. Размеры данных образований могли существенно отличаться друг от друга даже в пределах одной зоны (рис. 5). Железистая ткань МЖ в отдаленном периоде после порочной пластической операции у 100% больных была с выраженным склерозом, дистрофией и атрофией долькового аппарата; очевидно замещение последнего клетками жировой ткани. Следует отметить, что при длительном сроке залегания геля инволютивные изменения железистого аппарата (фиброз и облитерация паренхимы) у лиц старше 50 лет носили более выраженный характер, чем ожидаемые в данной возрастной категории.
Рис. 4. Биоптат ткани молочной железы: гигантские клетки инородных тел. Окраска гематоксилином и эозином (×400).
Рис. 5. Множественные гелеомы. Окраска гематоксилином и эозином (×200).
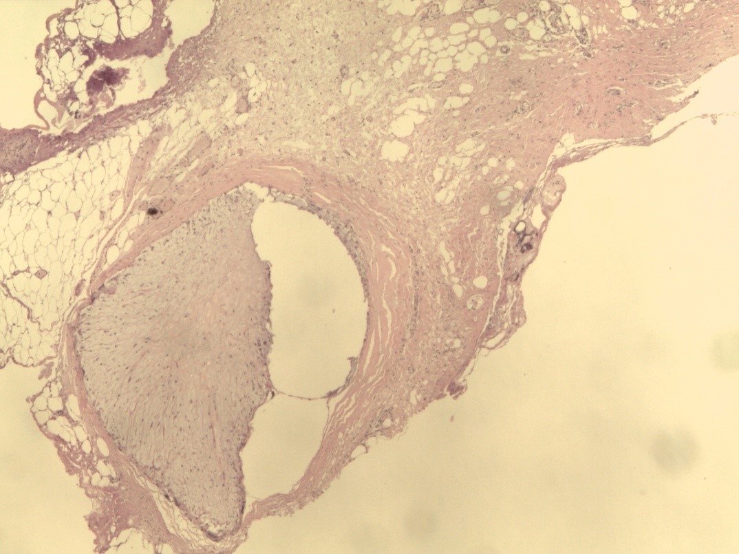
Лишь в 2 случаях микроскопическая картина была расценена морфологами как истинно острое флегмонозно-некротическое воспаление. Оно развивалось также на фоне хронического гранулематозного воспаления и характеризовалось наличием некрозов вокруг инородного материала (геля) с участками гнойного расплавления, обилием кокковой микрофлоры, инфильтрацией ПААГ макрофагами, эпителиоидными клетками и полиморфно-ядерными лейкоцитами. В данной подгруппе на фоне нейтрофильной инфильтрации сосуды жировой клетчатки имели признаки фибриноидного некроза стенок, тромбоза просвета, сладжа и стаза эритроцитов. Соединительнотканные структуры межклеточного пространства были заполнены экссудатом. Все это, несомненно, свидетельствует о выраженных микроциркуляторных нарушениях в очаге длительного залегания безоболочечного имплантата.
При гистологическом анализе тканевых блоков, взятых на 5–6-е сутки после комбинированного вмешательства, отмечены типичные для плазменно-физической диссекции очаги, толщина которых закономерно уменьшалась в результате аутолиза.
Ни в одном из наблюдений после вмешательства с применением ВПП в различных режимах не выявлено морфологических признаков острого воспаления. В поле зрения были отмечены лишь единичные микроскопические локусы ПААГ, основная масса которого, вероятно, подверглась высокоэнергетической вапоризации (рис. 6). Их размеры были сопоставимы с размерами самых крупных адипоцитов.
Рис. 6. Гистограмма биоптата молочной железы после плазменно-физической обработки на 5-е сутки. Окраска гематоксилином и эозином (×40).
К 5-м суткам явления хронического продуктивного воспаления с лимфоидной и плазмоцитарной инфильтрацией хотя и наблюдались, но были менее выражены, чем в исходных гистограммах. Количество гигантских многоядерных клеток уменьшилось на несколько порядков. Сохранялись микроциркуляторные расстройства, однако признаки дезорганизации соединительной ткани были незначительными и носили уже очаговый характер (рис. 7). На фоне регулярной плазмадинамической санации (NO-терапия) замечено раннее появление очагов фибробластической пролиферации и краевой эпителизации. Постепенно формировалась полноценная грануляционная ткань и кровеносные сосуды, хотя местами еще отмечались признаки умеренных микроциркуляторных расстройств.
Рис. 7. Гистограмма биоптата молочной железы на фоне плазмадинамической санации (5-е сутки). Окраска гематоксилином и эозином.
ОБСУЖДЕНИЕ
Рецидивное воспаление в области контурной пластики может возникнуть в различные сроки: от 1–2 мес до 3–5 лет и более [23, 27, 28]. Хирургическая тактика при повторных пособиях не имеет принципиальных отличий от первичного хирургического вмешательства. Многолетнее залегание ПААГ с необратимыми изменениями окружающих тканей, а также непредсказуемая разнонаправленная миграция безоболочечного имплантата в соседние анатомические области создают известные трудности в ходе повторных санирующих вмешательств [4, 13]. О.И. Старцева (2007), анализируя большой клинический материал (более 60 наблюдений), подчеркивает невозможность полного выведения имплантата из тела даже во время повторных санирующих вмешательств [8]. По всей видимости, автор имеет в виду классическую хирургическую обработку, выполняемую с помощью обычных хирургических инструментов. По данным Н.О. Миланова и соавт. (2008), у 10 (32,2%) пациенток из 31 повторно удаляли гель из нижних конечностей после порочной методики аугментации; из них у 3(9,6%) операция проводилась более двух раз [4]. В сообщении G. Patlazhan et al. (2013) частота повторных вмешательств на МЖ у лиц данной клинической категории составила 42% [9]. А. Manafi et al. (2010) также сообщают, что возможно повторное скопление ПААГ в тканях МЖ даже после радикальной хирургической обработки гнойного очага [29]. При этом выполнение основных этапов вмешательства нередко сопряжено с техническими трудностями: иранскими исследователями описаны случаи развития обширных гематом и кровотечений в раннем послеоперационном периоде.
Воздушно-плазменная технология позволяет в ходе подобных вмешательств не только эффективно рассекать ткани и коагулировать мелкие сосуды, но и осуществлять одновременно высокоэнергетическую вапоризацию некрозов, раневого детрита, а также инородных тел (ПААГ) [30]. За счет этого минимизируется число повторных операций (этапных некрэктомий) и вероятность рецидивов «гелевой» болезни [21, 28]. Биостимулирующее, противовоспалительное и антимикробное свойства методики в режиме NO-терапии обусловлены еще и каскадом физиотерапевтических эффектов (мощное световое и инфракрасное излучение, газодинамическая турбулентность ионизированного потока, синтез большого количества химически активных ионов и молекул). Об этом ранее сообщали и другие авторы [19, 20, 28].
Динамическое наблюдение с использованием послойной ультразвуковой томографии зоны комбинированного вмешательства и сопредельных областей в течение последующих 2–3 лет не выявило значимых скоплений остатков ПААГ ни у одной из пациенток данной группы. Это является надежной гарантией от возможных рецидивов ПАМС.
ВЫВОДЫ
Таким образом, в подавляющем большинстве наблюдений поздних воспалительно-гнойных осложнений контурной пластики тела с применением ПААГ в гистологических препаратах удаленных тканей выявлялись признаки хронического неспецифического продуктивного воспаления различной степени выраженности.
Скопления безоболочечного гелевого имплантата носили диффузный или преимущественно очаговый (инкапсулированный) характер, в том числе в виде гелеом. Только в четверти наблюдений микроскопическая картина расценена как острое гнойное (флегмонозно-некротическое) воспаление в сочетании с хроническим гранулематозным воспалением.
Обработка ВПП в режимах резки-коагуляции содействовала качественной санации патологического очага, тотальной элиминации геля из зоны контурной пластики. Последующая плазмадинамическая санация ускоряла развитие грануляционной ткани, при этом происходило постепенное разрешение многолетнего хронического продуктивного воспалительного процесса.
ДОПОЛНИТЕЛЬНАЯ ИНФОРМАЦИЯ / ADDITIONAL INFO
Источник финансирования. Авторы заявляют об отсутствии внешнего финансирования при проведении исследования.
Funding source. This study was not supported by any external sources of funding.
Конфликт интересов. Авторы декларируют отсутствие явных и потенциальных конфликтов интересов, связанных с публикацией настоящей статьи.
Competing interests. The authors declare that they have no competing interests.
Вклад авторов. Все авторы внесли существенный вклад в разработку концепции, проведение исследования и подготовку статьи, прочли и одобрили финальную версию перед публикацией. Наибольший вклад распределен следующим образом: Э.Г. Османов — написание текста статьи; А.М. Шулутко — формирование стратегии и дизайна научной работы; А.Ю. Крылов — поиск литературных источников по тематике работы, их перевод с английского языка; Е.Г. Гандыбина — лечение пациенток и сбор клинического материала; А.Я. Малюгина — формирование электронной базы данных.
Author contribution. All authors made a substantial contribution to the conception of the work, acquisition, analysis, interpretation of data for the work, drafting and revising the work, final approval of the version to be published and agree to be accountable for all aspects of the work. Author contributions: E.G. Osmanov, wrote the text of the article; A.M. Shulutko, created the strategy and design of scientific work; A.Yu. Krylov, searched for literary sources on the subject of the work, and translated them from the English language; E.G. Gandybina, treated patients and collected the clinical material; A.Ya. Malyugina, formed an electronic database.
Об авторах
Эльхан Гаджихан оглы Османов
Первый Московский государственный медицинский университет имени И.М. Сеченова (Сеченовский университет)
Автор, ответственный за переписку.
Email: mma-os@yandex.ru
ORCID iD: 0000-0003-1451-1015
д.м.н., профессор
Россия, МоскваАлександр Михайлович Шулутко
Первый Московский государственный медицинский университет имени И.М. Сеченова (Сеченовский университет)
Email: shulutko@mail.ru
д.м.н., профессор
Россия, МоскваАлексей Юрьевич Крылов
Первый Московский государственный медицинский университет имени И.М. Сеченова (Сеченовский университет)
Email: doctorwing@mail.ru
ORCID iD: 0000-0003-0328-0223
д.м.н., профессор
Россия, МоскваЕлена Геннадьевна Гандыбина
Первый Московский государственный медицинский университет имени И.М. Сеченова (Сеченовский университет)
Email: alzas2007@rambler.ru
ORCID iD: 0000-0002-6765-5154
к.м.н.
Россия, МоскваАнастасия Ярославовна Малюгина
Первый Московский государственный медицинский университет имени И.М. Сеченова (Сеченовский университет)
Email: nastyona.maliugina@yandex.ru
ORCID iD: 0000-0002-8204-2276
Россия, Москва
Список литературы
- Xie P.B., Shi A.P. Application of polyacrylamide hydrogel in augmentation mammoplasty // Di Yi Jun Yi Da Xue Xue Bao. 2002. Vol. 22, N 7. P. 648–649.
- Адамян A.A., Светухин А.М., Скуба Н.Д. Полиакриламидный маммарный синдром: клиника, диагностика, лечение // Анналы пластической, реконструктивной и эстетической хирургии. 2001. № 4. С. 20–32.
- Ono S., Ogawa R., Hyakusoku H. Complications after polyacrylamide hydrogel injection for soft-tissue augmentation // Plast Reconstr Surg. 2010. Vol. 126, N 4. P. 1349–1357. doi: 10.1097/PRS.0b013e3181ead12
- Миланов Н.О. Старцева О.И., Келехсаева М.В. Лечение негативных последствий увеличивающей пластики молочных желез полиакриламидным гелем // Анналы хирургии. 2008. № 4. С. 25–30.
- Липатов К.В., Комарова Е.А., Насибов Б.Ш., Бородин А.В. К вопросу о диагностике и лечении поздних гнойных осложнений после увеличивающей маммопластики // Анналы пластической, реконструктивной и эстетической хирургии. 2016. № 2. С. 62–69. doi: 10.18484/2305-0047.2016.4.401
- Цветков В.О., Куликова Н.В., Молчанова В.В., Жданова А.Б. Распространенный некротизирующий целлюлит как осложнение маммопластики полиакриламидным гелем // Хирургия. Журн. им. Н.И. Пирогова. 2007. № 10. С. 37–43.
- Unukovych D., Khrapach V., Wickman M., et al. Polyacrylamide gel injections for breast augmentation: management of complications in 106 patients, a multicenter study // World J Surg. 2012. Vol. 36, N 4. P. 695–701. doi: 10.1007/s00268-011-1273-6
- Старцева О.И. Повторные операции в пластической эстетической хирургии: дис. ... докт. мед. наук. Москва, 2007.
- Patlazhan G., Unukovych D., Pshenisnov K. Breast reconstruction and treatment algorithm for patients with complications after polyacrylamide gel injections: a 10-year experience // Aesthetic Plast Surg. 2013. Vol. 37, N 2. P. 312–320. doi: 10.1007/s00266-012-0045-5
- Jin R., Luo X., Wang X., et al. Complications and Treatment Strategy After Breast Augmentation by Polyacrylamide Hydrogel Injection: Summary of 10-Year Clinical Experience // Aesthetic Plast Surg. 2018. Vol. 42, N 2. P. 402–409. doi: 10.1007/s00266-017-1006-9
- Qian B., Xiong L., Guo K., et al. Comprehensive management of breast augmentation with polyacrylamide hydrogel injection based on 15 years of experience: a report on 325 cases // Ann Transl Med. 2020. Vol. 8, N 7. P. 475. doi: 10.21037/atm.2020.03.68
- Peters W., Fornasier V. Complications from injectable materials used for breast augmentation // Can J Plast Surg. 2009. Vol. 17, N 3. P. 89–96. doi: 10.1177/229255030901700305.
- Margolis N.E., Bassiri-Tehrani B., Chhor C., et al. Polyacrylamide gel breast augmentation: report of two cases and review of the literature // Clin Imaging. 2015. Vol. 39, N 3. P. 339–343. doi: 10.1016/j.clinimag.2014.12.008
- Dusunceli Atman E., Kul M., Arslan M.F., et al. Polyacrylamide gel augmentation mammoplasty: Breast Images // Breast J. 2018. Vol. 24, N 3. P. 420–421. doi: 10.1111/tbj.12918
- Xu C., Cao M., Bao B., et al. Tissue degeneration 7 years after breast augmentation with injected polyacrylamide hydrogel (PAAG) // Aesthetic Plast. Surg. 2012. Vol. 36, N 1. P. 160–162. doi: 10.1007/s00266-011-9779-8
- Wozniak-Roszkowska E., Maslinska M., Gierej P., Noszczyk B. Autoimmune syndrome induced by adjuvants after breast enhancement with polyacrylamide hydrogel: a study in Poland // Rheumatol Int. 2020. Vol. 40, N 11. P. 1851–1856. doi: 10.1007/s00296-020-04605-5
- Chen G., Wang Y., Huang J.L. Breast cancer following polyacrylamide hydrogel injection for breast augmentation: A case report // Mol Clin Oncol. 2016. Vol. 4, N 3. P. 433–435. doi: 10.3892/mco.2016.731
- Luo S., Chen G., Sun Z., Cheng N. Our strategy in complication management of augmentation mammaplasty with polyacrylamide hydrogel injection in 235 patients // J. Plast. Reconstr. Aesthet. Surg. 2011. Vol. 64, N 6. P. 731–737. doi: 10.1016/j.bjps.2010.10.004
- Ефименко Н.А., Хрупкин В.И., Марахонич Л.А. Воздушно-плазменные потоки и NO-терапия — новая технология в клинической практике военных лечебно-профилактических учреждений // Военно-медицинский журнал. 2005. № 5. С. 51–54.
- Шулутко А.М., Османов Э.Г., Гогохия Т.Р., Лаженицын А.И. Стратегия применения плазменно-дугового оборудования в гнойной хирургии // Московский хирургический журнал. 2011. № 5. С. 34–38.
- Шулутко А.М., Османов Э.Г., Середин В.П., Мачарадзе А.Д. Пути коррекции отдаленных воспалительно-гнойных осложнений контурной маммопластики полиакриламидным гелем // Анналы пластической, реконструктивной и эстетической хирургии. 2017. № 3. С. 33–39.
- Миланов Н.О., Сидоренков Д.А., Чаушева С.И. Особенности хирургической тактики лечения осложнений после контурной пластики нижних конечностей полиакриламидным гелем // Анналы пластической, реконструктивной и эстетической хирургии. 2008. № 4. С. 52–60.
- Даненков А.С., Николаев Е.В., Бояринцев Н.И. Поздние осложнения после аугментационной пластики молочных желез полиакриламидным гелем // Дальневосточный медицинский журнал. 2011. № 1. С. 24–26.
- Shen H., Lv Y., Xu J.H., et al. Complications after polyacrylamide hydrogel injection for facial soft-tissue augmentation in China: twenty-four cases and their surgical management // Plast Reconstr Surg. 2012. Vol. 130, N 2. P. 340e–348e. doi: 10.1097/PRS.0b013e3182589b7d
- Yu L., Wang J., Zhang B., et al. Treatment of breast injection with polyacrylamide hydrogel with infiltrated fascia capsule removal: report on 104 cases // Aesthetic Plast Surg. 2012. Vol. 36, N 5. P. 1120–1127. doi: 10.1007/s00266-012-9928-8
- Zarini E., Supino R., Pratesi G., et al. Biocompatibility and tissue interactions of a new filler material for medical use // Plast Reconstr Surg. 2004. N 114. P. 934–942. doi: 10.1097/01.prs.0000133425.22598.d0
- El-Shafey el S.I. Complications from repeated injection or puncture of old polyacrylamide gel implant sites: case reports // Aesthetic Plast Surg. 2008. Vol. 32, N 1. P. 162–165. doi: 10.1007/s00266-007-9024-7
- Шулутко А.М., Османов Э.Г., Новикова И.В., и др. Плазменная обработка при лечении поздних воспалительно-гнойных осложнений инъекционной контурной пластики полиакриламидным гелем // Хирургия. Журнал им. Н.И. Пирогова. 2017. № 9. С. 59–63. doi: 10.17116/hirurgia2017959-6
- Manafi A., Emami A.H., Pooli A.H., et al. Unacceptable results with an accepted soft tissue filler: polyacrylamide hydrogel // Aesthetic Plast Surg. 2010. Vol. 34, N 4. P. 413–422. doi: 10.1007/s00266-009-9359-3
- Брюсов П.Г. Плазменная хирургия. М., Медицина, 1995.
Дополнительные файлы









