Malignant course of invasive pulmonary aspergillosis in the new coronavirus infection COVID-19
- Authors: Avdeeva M.G.1, Mozgaleva N.V.2, Parkhomenko Y.G.2,3
-
Affiliations:
- Kuban State Medical University
- Clinical infectious diseases hospital No. 2
- Scientific Research Institute of Human Morphology named after academician A.P. Avtsyn
- Issue: Vol 26, No 2 (2021)
- Pages: 84-91
- Section: Case reports
- Submitted: 24.03.2022
- Accepted: 29.03.2022
- Published: 15.03.2021
- URL: https://rjeid.com/1560-9529/article/view/105289
- DOI: https://doi.org/10.17816/EID105289
- ID: 105289
Cite item
Abstract
Respiratory infections caused by fungal pathogens are the main cause of death in immunocompromised patients. During the COVID-19 pandemic, the registration of respiratory fungal pathology, especially pulmonary aspergillosis, has increased significantly.
We present a histopathologically confirmed case of fatal invasive pulmonary aspergillosis complicating COVID-19. A 65-year-old patient with long-term diabetes backgrounded with a severe course of COVID-19 (the virus was identified ICD-10 code U07.1) described. During the illness bilateral polysegmental pneumonia of fungal-bacterial (Klebsiella pneumoniae) etiology with necrosis and sequestration of the affected tissue the lower lobe of the right lung with the formation of a “fungal ball” and the development of a right-sided pneumothorax was developed. In other parts of both lungs, focal destruction of the interalveolar septa was determined with the formation of small cavities filled with detritus and accumulations of segmented neutrophils, with the proliferation of fungal mycelium, positively stained in the PAS reaction. Fungal hyphae and conidial heads were also found in the lumens of individual bronchi and vessels with invasion of their walls. Long-term (more than one month) course of the disease, clinical and radiological dynamics, and detection of a forming connective tissue capsule along the periphery of the necrosis zone during microscopy testifies in favor of the subacute nature of the infection.
The presented clinical case, as well as a review of current publications and meta-analyses on invasive pulmonary aspergillosis, point to diagnostic problems and poor outcomes of invasive pulmonary aspergillosis in patients with COVID-19.
Pulmonary aspergillosis associated with COVID-19 is a serious and potentially life ― threatening complication in patients with severe COVID-19 receiving immunosuppressive treatment. Early diagnosis of fungal infections is crucial to ensure the survival of such patients. Targeted biopsy examination with microscopy and/or seeding of a lung biopsy allows not only to establish the diagnosis of aspergillosis, but also to determine the presence of tissue invasion.
Further research should include approaches aimed at developing an effective diagnosis of fungal tissue invasion and respiratory tract damage, determining the patient’s immune status in order to conduct personalized immunotherapy.
Full Text
ВВЕДЕНИЕ
Респираторные инфекции, вызванные грибковыми патогенами, представляют угрозу жизни, стоят в ряду основных причин смерти пациентов с ослабленным иммунитетом и в целом являются глобальной проблемой систем здравоохранения многих стран мира. Особую актуальность эта проблема приобрела в период пандемии COVID-19, заставив по-новому взглянуть на значимость грибковой флоры в патологии дыхательных путей.
В микробном пейзаже нижних дыхательных путей у больных новой коронавирусной инфекцией COVID-19 более 1/4 культур составляет различная грибковая флора [1]. Особую опасность представляют аспергиллы (Aspergillus): сообщения о развитии лёгочного аспергиллёза на фоне COVID-19 поступают со всего мира [2].
Аспергиллёз, являясь оппортунистической инфекцией, манифестирует на фоне иммунодефицита различной природы. Вызывающие аспергиллёз грибы Aspergillus относятся к условно-патогенным организмам, которые широко присутствуют в окружающей среде в различных географических зонах. Аспергиллы обитают на органических субстратах почвы, растениях, передаются при вдыхании спор или попадании спор на наружные покровы и слизистые оболочки человека. Важное место занимает аутоинфекция в результате биологической активации аспергиллов, обитающих на покровах организма и в дыхательных путях. При благоприятных условиях споры Aspergillus прорастают, формируют септированный мицелий, для которого характерен обильный рост запутанных нитей (гифов) с экссудатом фибрина и небольшим количеством клеток воспаления. Процесс может быть локальным, например, в виде аспергилломы лёгких с образованием капсулы из волокнистой ткани (обычно в результате колонизации грибами уже имеющихся полостей), синовиальных пазухах, слуховом проходе, или приобретать инвазивный характер с разрушением слизистой оболочки, прорастанием в кровеносные сосуды, развитием геморрагического некроза и инфаркта [3, 4].
Развивающийся при COVID-19 дистресс-синдром ведёт к истощению иммунной системы и предрасполагает отдельных пациентов к воздушно-капельным грибковым инфекциям. В настоящее время хорошо известно, что пациенты с инфекцией SARS-CoV-2, госпитализированные в отделения интенсивной терапии и находящиеся на искусственной вентиляции лёгких, имеют более высокую вероятность развития инвазивных микозов, таких как аспергиллёз, кандидоз, мукормикоз и криптококкоз [5–7]. Инвазивный лёгочный аспергиллёз развивается как осложнение вирусного пневмонита при гриппе и COVID-19 и является одной из причин смертности не только среди лиц с ослабленным иммунитетом [8, 9], но и у ранее иммунокомпетентных людей. Среди известных факторов, предрасполагающих к развитию грибковой коинфекции, отмечают состояние иммунного ответа хозяина и особенности патогена [10, 11].
Из разных регионов мира приходит всё больше сообщений о развитии инвазивного лёгочного аспергиллёза у пациентов с COVID-19, при этом выделенные культуры обладают резистентностью к ряду противогрибковых препаратов [12]. Присоединение лёгочного аспергиллёза к тяжёлому течению COVID-19 в отделениях интенсивной терапии, по данным систематических обзоров, наблюдается в 10,2% случаев [95% доверительный интервал (ДИ) 8,0–12,5; индекс гетерогенности (I2) 82,0%], при этом смертность достигает 54,9% (95% ДИ 45,6–64,2; I2=62,7%) [13, 14]. Пациенты с инвазивным лёгочным аспергиллёзом при COVID-19 имеют наибольшую выраженность болезни по шкале органной недостаточности (Sequential Organ Failure Assessment, SOFA) с более высоким баллом госпитальной смертности от всех причин (42,6 против 26,5%; отношение шансов 3,39; p <0,001) [2, 15].
Симптоматика инвазивного лёгочного аспергиллёза часто нетипична, особенно у пациентов, находящихся на искусственной вентиляции лёгких. Начальные проявления инвазивного лёгочного аспергиллёза и вирусное поражение лёгких SARS-CoV-2 трудно различимы даже рентгенологическими методами [16].
Для иллюстрации сложности диагностики инвазивного лёгочного аспергиллёза приводим следующее клиническое наблюдение.
ОПИСАНИЕ СЛУЧАЯ
На вскрытие в патологоанатомическое отделение ГБУЗ «Инфекционная клиническая больница № 2 Департамента здравоохранения города Москвы» поступило тело умершей женщины 65 лет.
Из медицинской документации: 12.09.2021 пациентка N, 65 лет, госпитализирована с жалобами на слабость, кашель со скудной мокротой, повышение температуры до 37,5 °С в течение трёх дней. К врачу не обращалась, самостоятельно принимала арбидол, бромгексин, ибупрофен. За пределы Москвы не выезжала, контакт с инфекционными больными отрицает. В анамнезе мочекаменная болезнь, сахарный диабет 2-го типа более 20 лет (постоянно принимает метформин), избыточная масса тела (индекс массы тела 25,2 кг/м2). От новой коронавирусной инфекции не привита.
Результаты физикального, лабораторного и инструментального исследований
Состояние при поступлении средней тяжести; число дыхательных движений 20 в мин, дыхание жёсткое, хрипов нет; уровень насыщения крови кислородом (SpO2) на атмосферном воздухе 96%. При компьютерной томографии (КТ) органов грудной полости картина двусторонней полисегментарной пневмонии (в том числе COVID-19), КТ-1 (лёгкая). Минимальный гидроперикард. Артериальное давление 130/80 мм рт.ст., частота сердечных сокращений 80 в мин. Мазок из носоглотки на SARS-CoV-2 методом полимеразной цепной реакции положительный.
Лабораторно: повышение глюкозы крови до 12,1 ммоль/л, С-реактивного белка ― до 25,07 мг/л; лимфопения 0,3×109/л.
Диагноз
Основной диагноз: U07.1 Коронавирусная инфекция, вызванная вирусом COVID-19, вирус идентифицирован (подтвержден лабораторным тестированием независимо от тяжести клинических признаков или симптомов).
Осложнения основного заболевания: J12.8 Внебольничная двухсторонняя полисегментарная пневмония, КТ-1.
Сопутствующие заболевания: E11.9 Сахарный диабет 2-го типа.
Диагноз поставлен на основании анаместических данных, результатов физикального осмотра, клинико-инструментального и лабораторного исследований.
Лечение
Проводилась противовирусная терапия: фавипиравир (с 12.09 по 16.09.2021), левилимаб (13.09.2021 однократно), сахароснижающая терапия (инсулин).
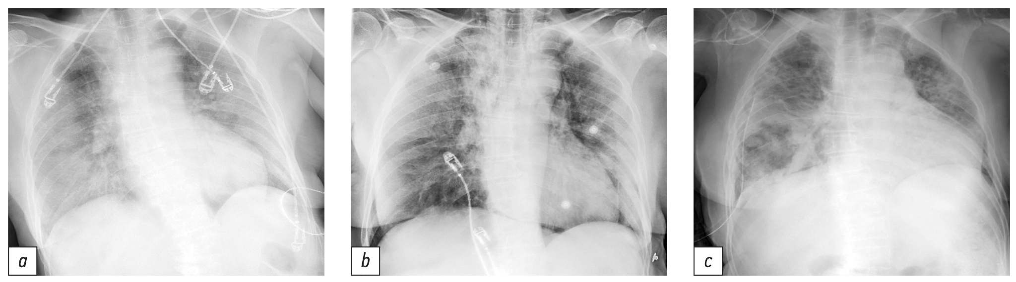
На третий день госпитализации в связи с появлением гнойной мокроты, нарастанием одышки, увеличением площади инфильтрации лёгочной ткани при рентгенографии (рис. 1, а), снижением SpO2 до 90% к лечению добавлены цефтриаксон (с 15.09 по 20.09.2021) с последующей заменой на линезолид и меропенем (с 28.09 по 07.10.2021), ремдесивир (с 17.09 по 26.09.2021), олокизумаб и левилимаб (16.09.2012 однократно), высокопоточная оксигенация, противогрибковая терапия (флуконазол с 30.09 по 12.10.2021).
Рис. 1. Рентгенография лёгких (цифровая, прямая задняя проекция): а ― 9-е сут болезни (обширные субплевральные участки снижения пневматизации обоих лёгких с нечёткими контурами, средней и низкой плотности ― двусторонняя интерстициальная пневмония); b ― 15-е сут болезни (положительная динамика в виде уменьшения интенсивности инфильтрации лёгочной ткани над обоими лёгочными полями); с ― 27-е сут болезни (справа в нижних отделах визуализируется негомогенный участок просветления 60×74 мм с толстыми стенками).
На фоне лечения состояние оставалось тяжёлым: сохранялись проявления дыхательной недостаточности, постепенно нарастал нейтрофильный лейкоцитоз (до 24,7×109/л), отмечались гипергликемия (до 23,24 ммоль/л), а также повышение концентрации ферритина (до 602,6 нг/мл), D-димера (до 2649 нг/мл), фибриногена (9,23 г/л).
05.10.2021 после кратковременной положительной динамики в виде уменьшения инфильтрации лёгочной ткани по результатам рентгенографии (см. рис. 1, b) и субъективного улучшения самочувствия вновь отмечались ухудшение состояния, нарастание одышки, появление упорного кашля с обильной гнойной мокротой, снижение сатурации до 94% на фоне оксигенотерапии, аускультативно сопровождающееся влажными хрипами над всей поверхностью лёгких. КТ-картина (от 05.10.2021) двусторонней полисегментарной пневмонии смешанной этологии ― вирусной (COVID-19, КТ-4) и бактериальной, с признаками деструкции в нижней доле правого лёгкого, правостороннего гидропневмоторакса, пневмомедиастинума, подкожной и межмышечной эмфиземы шеи.
К антибактериальной терапии добавлены цефепим + сульбактам, телаванцин (с 05.10 по 18.10.2021), ингаляции тиамфеникола глицината ацетилцистеината (с 11.10 по 18.10.2021), полимиксин В (с 13.10 по 20.10.2021), микафунгин (с 13.10.2021). На фоне консервативной терапии состояние без существенной динамики.
15.10.2021 при бактериологическом посеве мокроты выделена полирезистентная Klebsiella pneumoniae. К терапии добавлен тигециклин.
16.10.2021 по результатам КТ и рентгенографии сохранялись признаки правостороннего гидропневмоторакса, деструкции в нижней доле правого лёгкого (см. рис. 1, с). Выполнено дренирование правой плевральной полости (16.10.2021).
На фоне проводимого лечения состояние больной прогрессивно ухудшалось, 20.10.2021 констатирована смерть.
Заключительный клинический диагноз
Коронавирусная инфекция, вызванная вирусом COVID-19, вирус идентифицирован.
Осложнения: внебольничная двусторонняя полисегментарная пневмония смешанной этиологии (COVID-19 + K. pneumoniae), КТ-4; дыхательная недостаточность II степени; правосторонний пневмогидроторакс.
Сопутствующие заболевания: сахарный диабет 2-го типа.
Патологоанатомическое исследование
При патологоанатомическом вскрытии слизистая оболочка трахеи и бронхов гиперемирована, в просвете ― слизисто-гнойное содержимое с геморрагическим оттенком.
В правой плевральной полости дренаж; обнаружены массивные спайки. Лёгкие общей массой 1890 г, воздушность диффузно снижена; при водной пробе кусочки лёгкого тонут в воде. Плевральные листки тусклые, поверхность шероховатая, с кровоизлияниями и надрывами в местах разделения спаек в нижней доле правого лёгкого. На разрезе ткань лёгких серо-красная, неравномерно полнокровная, зернистого вида; с поверхности разреза свободно стекает малопенящаяся жидкость геморрагического характера.
В нижней доле правого лёгкого субплеврально обнаружено опухолеподобное образование, представленное обширной полостью деструкции неправильной округлой формы диаметром до 8 см с плотными, неровными, фестончатыми краями чёрно-серого цвета (рис. 2). Полость заполнена сухими серо-чёрными массами губчатого вида, покрытыми плёнкой из переплетающихся тонких филаментов, различимых невооружённым глазом; перифокально-сероватые зернистые очаги без чётких границ диаметром до 1 см, определяемые также в левом лёгком.
Рис. 2. Опухолеподобное образование в нижней доле правого лёгкого. Макропрепарат: стрелками указана полость, заполненная сухими серо-чёрными массами губчатого вида.
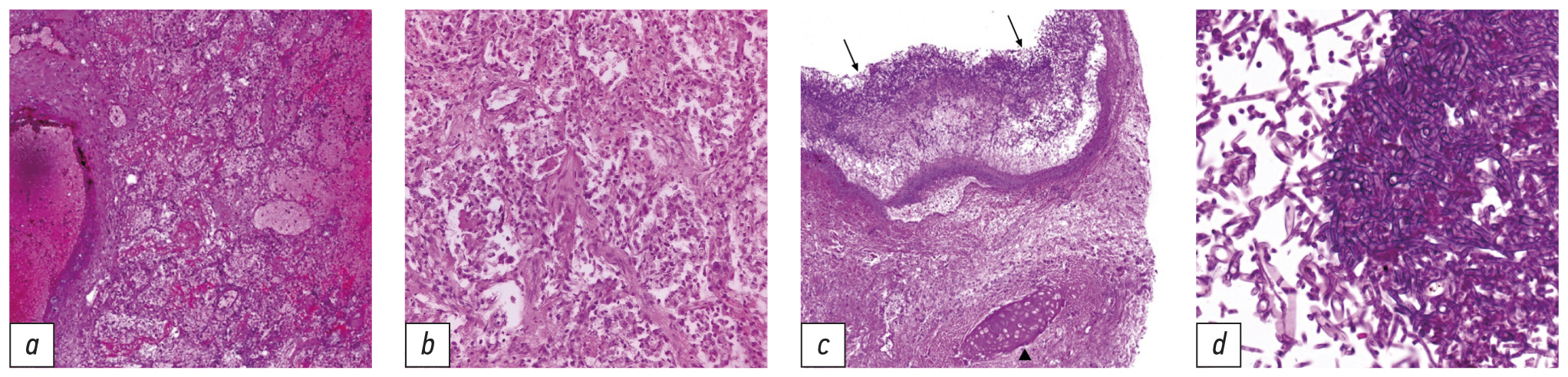
При микроскопическом исследовании в лёгких картина полнокровия, кровоизлияния с формированием геморрагических инфарктов, внутриальвеолярный отёк (рис. 3, а); признаки диффузного альвеолярного повреждения: выраженная пролиферация и десквамация альвеолярного эпителия с участками очаговой плоскоклеточной метаплазии, грануляционная ткань и организующийся фибрин в просветах альвеол (см. рис. 3, b). Стенка опухолевидного образования в нижней доле правого лёгкого представлена детритом с массивными наложениями септированного мицелия грибов с дихотомическим ветвлением под углом 45° и множественными конидиальными головками, морфологически соответствующих роду Aspergillus (рис. 3, c, d). По периферии образование окружено тонкой капсулой из рыхлой волокнистой соединительной ткани, что свидетельствует о длительности течения процесса. Наряду с этим в других отделах обоих лёгких определяется очаговая деструкция межальвеолярных перегородок с образованием мелких полостей, заполненных детритом и скоплениями сегментоядерных нейтрофилов, с пролиферацией мицелия грибов, положительно окрашиваемого при ШИК-реакции. В просветах отдельных бронхов и сосудов также обнаружены грибковые гифы и конидиальные головки с инвазией их стенок.
Рис. 3. Микроскопические изменения в лёгких (окраска гематоксилином и эозином): а ― внутриальвеолярный отёк, кровоизлияния, геморрагические инфаркты, ×50; b ― утолщение межальвеолярных перегородок, пролиферация и десквамация альвеолярного эпителия, организующийся фибрин в просветах альвеол, ×200; с ― на поверхности стенки абсцесса, содержащей хрящевую ткань бронха (), мицелий гриба (стрелки), ×50; d ― деталь предыдущего, фрагменты мицелия гриба, ×400.
При аутопсийном исследовании тканей лёгкого, трахеи, селезёнки методом полимеразной цепной реакции на SARS-CoV-2 получен отрицательный результат. Бактериологический посев лёгкого выявил рост полирезистентной K. pneumoniae.
Таким образом, у больной, длительно страдавшей сахарным диабетом 2-го типа, в качестве основного заболевания имела место коронавирусная инфекция, вызванная вирусом COVID-19 (вирус идентифицирован; код по МКБ-10 U07.1). Течение заболевания осложнилось развитием двусторонней полисегментарной пневмонии грибково-бактериальной этиологии с некрозом и секвестрацией поражённой ткани нижней доли правого лёгкого с формированием «грибкового шара» и развитием правостороннего пневмоторакса.
ОБСУЖДЕНИЕ
Приведённый клинический случай демонстрирует сложности диагностики поражения лёгочной ткани, вызванного ассоциацией возбудителей различных групп ― вирусной, бактериальной и грибковой. Данные макроскопической и гистологической картины поражения дыхательной системы позволяют сделать вывод, что окончательную точку в неблагоприятном исходе патологического процесса поставил инвазивный аспергиллёз с двусторонним поражением лёгких, в том числе деструктивного характера, ставший источником развития пневмоторакса.
В отличие от классической аспергилломы, которая характеризуется поверхностным ростом гриба в предсуществующей полости, в описанном случае содержимое полости в правом лёгком представляет собой некротизированную инфицированную лёгочную ткань, что характерно для подострого инвазивного аспергиллёза [17]. Длительное (более одного месяца) течение заболевания, клинико-рентгенологическая динамика и обнаружение при микроскопии формирующейся соединительнотканной капсулы по периферии зоны некроза также свидетельствуют в пользу подострого характера инфекции. Тяжёлое течение коронавирусной инфекции, возраст и коморбидная патология, имеющаяся у больной, явились предикторами неблагоприятного исхода заболевания, что подтверждается данными аналитических обзоров.
Путём метаанализа восьми когортных исследований с участием 729 пациентов с тяжёлым течением COVID-19 представлена оценка клинических характеристик и исходов у больных, имеющих осложнения в виде лёгочного аспергиллёза, в сравнении с пациентами без аспергиллёза [15]. Показано, что пациенты с развившимся аспергиллёзом были старше (средний возраст 66,58 против 59,25 лет) и имели в основе хроническую обструктивную лёгочную недостаточность (13,7 против 6,1%; ОR 2,75; p=0,05). Гендерных различий не было, чаще наблюдались повышенный индекс массы тела и сопутствующие заболевания в виде диабета и рака. Пациенты с COVID-19, осложнённым лёгочным аспергиллёзом, чаще получали длительное лечение кортикостероидами (15,0 против 5,3%; ОR 3,53; p=0,03) и нуждались в более ранней госпитализации в отделение интенсивной терапии с начала заболевания (в среднем 11,00 против 12,00 дней; p=0,003). Длительность пребывания в отделении интенсивной терапии, продолжительность инвазивной механической вентиляции, потребность в инотропной поддержке и заместительной почечной терапии были сопоставимы между двумя группами.
Пациенты с COVID-19, получающие иммуносупрессивную терапию по поводу сопутствующей патологии, имеют высокий риск развития инвазивного лёгочного аспергиллёза. В литературе описан случай реципиента почечного трансплантата с тяжёлой формой COVID-19, у которого был впоследствии диагностирован вероятный инвазивный лёгочный аспергиллёз на основании повторного выделения Aspergillus fumigatus в посевах мокроты, многократно повышенного сывороточного уровня β-D-глюкана и полостных узлов на КТ. Введение комбинированной терапии изавуконазолом и липосомальным амфотерицином В, а также отмена иммуносупрессивной терапии способствовали благоприятной эволюции процесса [18].
Аспергиллёз лёгких в качестве осложнения COVID-19 может протекать в виде альвеолярного поражения или инвазивного трахеобронхита, возможно комбинированное поражение. Описан инвазивный аспергиллёзный трахеобронхит у пациентов с тяжёлой формой COVID-19 в виде язвы трахеи с инвазией тканей гифами Aspergillus, но без поражения сосудов, что отличает больных тяжёлым гриппом, для которых характерна ангиоинвазия [19].
Эффективной ранней диагностики аспергиллёза трудно достичь современными культуральными методами. Достижения в области геномики грибков позволили предложить методы молекулярной диагностики в качестве альтернативы для идентификации возбудителей респираторных грибков и выявления их резистентности к противогрибковым препаратам [6], при этом нельзя недооценивать значимость присутствия Aspergillus (культура и галактоманнановый антиген) в образцах из дыхательных путей.
Ранняя диагностика инвазивных грибковых инфекций у пациентов с COVID-19 позволяет своевременно провести специфическое противогрибковое лечение, что может оптимизировать ведение пациентов с COVID-19. Консенсус специалистов по выявлению и лечению лёгочного аспергиллёза, связанного с COVID-19, рекомендует в качестве терапии первой линии вориконазол или изавуконазол. При азолустойчивых штаммах аспергилл предпочтительным препаратом является липосомальный амфотерицин B [20].
ЗАКЛЮЧЕНИЕ
Лёгочный аспергиллёз, связанный с COVID-19, следует рассматривать как серьёзное и потенциально опасное для жизни осложнение у пациентов с тяжёлым COVID-19, получающих иммуносупрессивное лечение. Ранняя диагностика грибковых инфекций имеет решающее значение для обеспечения выживания таких больных. Прицельное биопсийное исследование с микроскопией и (или) посевом биоптата лёгкого позволяет не только установить диагноз аспергиллёза, но и определить наличие тканевой инвазии.
Дальнейшие исследования должны включать подходы, направленные на разработку эффективной диагностики грибковой инвазии тканей и поражения дыхательных путей, определения иммунного статуса пациента с целью проведения персонализированной иммунотерапии.
ДОПОЛНИТЕЛЬНО
Источник финансирования. Исследование не имело спонсорской поддержки.
Конфликт интересов. Авторы заявляют об отсутствии конфликтов интересов.
Вклад авторов. Все авторы подтверждают соответствие своего авторства международным критериям ICMJE (все авторы внесли существенный вклад в проведение поисково-аналитической работы и подготовку статьи, прочли и одобрили финальную версию до публикации). Наибольший вклад распределён следующим образом: М.Г. Авдеева ― концепция и дизайн работы, анализ и обобщение данных литературы, написание текста статьи; Н.В. Мозгалёва ― проведение и фотодокументация макро- и микроскопического исследований, написание текста статьи; Ю.Г. Пархоменко ― редактирование текста статьи.
ADDITIONAL INFORMATION
Funding source. This article was not supported by any external sources of funding.
Competing interests. The authors declare that they have no competing interests.
Authors’ contribution. All authors made a substantial contribution to the conception of the work, acquisition, analysis, interpretation of data for the work, drafting and revising the work, final approval of the version to be published and agree to be accountable for all aspects of the work. M.G. Avdeeva ― the concept and design of the work, analysis and generalization of literature data, writing the text of the article; N.V. Mozgaleva ― conducting and photo documentation of macro- and microscopic studies, writing the text of the article; Yu.G. Parkhomenko ― editing the article.
About the authors
Marina G. Avdeeva
Kuban State Medical University
Author for correspondence.
Email: avdeevam@mail.ru
ORCID iD: 0000-0002-4979-8768
SPIN-code: 2066-2690
MD, Dr. Sci. (Med.), Professor
Russian Federation, KrasnodarNatalia V. Mozgaleva
Clinical infectious diseases hospital No. 2
Email: mozgalevanv@ikb2.ru
ORCID iD: 0000-0002-4416-6884
SPIN-code: 5869-2066
MD, Cand. Sci. (Med.)
Russian Federation, MoscowYury G. Parkhomenko
Clinical infectious diseases hospital No. 2; Scientific Research Institute of Human Morphology named after academician A.P. Avtsyn
Email: parhomenkoyg@ikb2.ru
ORCID iD: 0000-0001-9857-3402
SPIN-code: 8054-5634
MD, Dr. Sci. (Med.), Professor
Russian Federation, Moscow; MoscowReferences
- Avdeeva MG, Kulbuzheva MI, Zotov SV, et al. Microbial landscape in hospital patients with a new coronavirus infection COVID-19, comparative antibiotic resistance with a “docovid” period: a prospective study. Kuban Sci Med Bulletin. 2021;28(5):14–28. (In Russ). doi: 10.25207/1608-6228-2021-28-5-14-28
- Singh S, Verma N, Kanaujia R, et al. Mortality in critically ill patients with coronavirus disease 2019-associated pulmonary aspergillosis: A systematic review and meta-analysis. Mycoses. 2021; 64(9):1015–1027. doi: 10.1111/myc.13328
- Ledoux MP, Guffroy B, Nivoix Y, et al. Invasive pulmonary aspergillosis. Semin Respir Crit Care Med. 2020;41(1):80–98. doi: 10.1055/s-0039-3401990
- Ullmann AJ, Aguado JM, Arikan-Akdagli S, et al. Diagnosis and management of Aspergillus diseases: executive summary of the 2017 ESCMID-ECMM-ERS guideline. Clin Microbiol Infect. 2018; 24(Suppl. 1):e1–e38. doi: 10.1016/j.cmi.2018.01.002
- Song G, Liang G, Liu W. Fungal co-infections associated with global COVID-19 pandemic: a clinical and diagnostic perspective from China. Mycopathologia. 2020;185(4):599–606. doi: 10.1007/s11046-020-00462-9
- Brackin AP, Hemmings SJ, Fisher MC, Rhodes J. Fungal genomics in respiratory medicine: what, how and when? Mycopathologia. 2021; 186(5):589–608. doi: 10.1007/s11046-021-00573-x
- Pasquier G, Bounhiol A, Gangneux RF, et al. A review of significance of Aspergillus detection in airways of ICU COVID-19 patients. Mycoses. 2021;64(9):980–988. doi: 10.1111/myc.13341
- Cadena J, Thompson GR, Patterson TF. Aspergillosis: epidemiology, diagnosis, and treatment. Infect Dis Clin North Am. 2021;35(2):415–434. doi: 10.1016/j.idc.2021.03.008
- Salehi M, Khajavirad N, Seifi A, et al. Proven Aspergillus flavus pulmonary aspergillosis in a COVID-19 patient. A case report and review of the literature. Mycoses. 2021;64(8):809–816. doi: 10.1111/myc.13255
- Dewi IM, Janssen NA, Rosati D, et al. Invasive pulmonary Aspergillosis associated with viral pneumonitis. Curr Opin Microbiol. 2021;62:21–27. doi: 10.1016/j.mib.2021.04.006
- Salazar F, Bignell E, Brown GD, et al. Pathogenesis of respiratory viral and fungal coinfections. Clin Microbiol Rev. 2022;35(1):e0009421. doi: 10.1128/CMR.00094-21
- Mohamed A, Rogers TR, Talento AF. COVID-19 Associated invasive pulmonary Aspergillosis: diagnostic and therapeutic challenges. J Fungi (Basel). 2020;6(3):115. doi: 10.3390/jof6030115
- Machado M, Valerio M, Álvarez-Uría A, et al.; COVID-19 Study Group. Invasive pulmonary Aspergillosis in the COVID-19 era: an expected new entity. Mycoses. 2021;64(2):132–143. doi: 10.1111/myc.13213
- Mitaka H, Kuno T, Takagi H, Patrawalla P. Incidence and mortality of COVID-19-associated pulmonary aspergillosis: a systematic review and meta-analysis. Mycoses. 2021;64(9):993–1001. doi: 10.1111/myc.13292
- Chong WH, Saha BK, Neu KP. Comparing the clinical characteristics and outcomes of COVID-19-associate pulmonary Aspergillosis (CAPA): a systematic review and meta-analysis. Infection. 2022;50(1):43–56. doi: 10.1007/s15010-021-01701-x
- Eibschutz LS, Rabiee B, Asadollahi S, et al. FDG-PET/CT of COVID-19 and other lung infections. Semin Nucl Med. 2022;52(1): 61–70. doi: 10.1053/j.semnuclmed.2021.06.017
- Denning DW, Cadranel J, Beigelman-Aubry C, et al.; European Society for Clinical Microbiology and Infectious Diseases and European Respiratory Society. Chronic pulmonary Aspergillosis: rationale and clinical guidelines for diagnosis and management. Eur Respir J. 2016;47(1):45–68. doi: 10.1183/13993003.00583-2015
- Trujillo H, Fernández-Ruiz M, Gutiérrez E, et al. Invasive pulmonary aspergillosis associated with COVID-19 in a kidney transplant recipient. Transpl Infect Dis. 2021;23(2):e13501. doi: 10.1111/tid.13501
- Van de Veerdonk FL, Brüggemann RJ, Vos S, et al. COVID-19-associated Aspergillus tracheobronchitis: the interplay between viral tropism, host defence, and fungal invasion. Lancet Respir Med. 2021;9(7):795–802. doi: 10.1016/S2213-2600(21)00138-7
- Koehler P, Bassetti M, Chakrabarti A, et al. Defining and managing COVID-19-associated pulmonary aspergillosis: the 2020 ECMM/ISHAM consensus criteria for research and clinical guidance. Lancet Infect Dis. 2020;21(6):e149–e162. doi: 10.1016/S1473-3099(20)30847-1
Supplementary files





