Human dirofilariosis (D.repens) in the subcutaneous tissues of the head: Clinical case in the department of neurosurgery of the Interregional Clinical and Diagnostic Center of Kazan
- Authors: Pichugin A.A.1,2, Karimova E.R.1, Filimonova O.A.1, Koviazina R.R.3, Abdulkhaev F.A.1, Sharafutdinova V.I.1, Alekseev A.G.1,2, Khayrullin R.N.1
 - 
							Affiliations: 
							
- Interregional Clinical Diagnostic Center
 - Kazan State Medical University
 - Duke Kunshan University
 
 - Issue: Vol 27, No 2 (2022)
 - Pages: 136-143
 - Section: Case reports
 - Submitted: 09.09.2022
 - Accepted: 28.09.2022
 - Published: 27.10.2022
 - URL: https://rjeid.com/1560-9529/article/view/110862
 - DOI: https://doi.org/10.17816/EID110862
 - ID: 110862
 
Cite item
Abstract
Human dirofilariasis is a zoonosis caused by thin nematodes of Dirofilaria species (D. repens, D. immitis, D. tenuis and D. ursi) that belong to the Onchocercidae family. Larval stages of Dirofilaria usually occur in their primary hosts, such as cats and dogs, and rarely invade incidental hosts — human. The study described a clinical case of a patient with skull base meningioma who was admitted to the neurosurgical department for elective surgical treatment. The dense nodule was palpated in the subcutaneous tissue of the frontal area of the head. During the removal of the subcutaneous node, a thin white alive worm was evacuated during the surgery. The microscopical examination verified D. repens. Human dirofilariasis is a rare disease in the Republic of Tatarstan, Russia. However, the number of dirofilariasis cases is increasing in the recent years. Thirty-seven patients with dirofilariasis were diagnosed in the Republic of Tatarstan from 2010 to 2022.
Full Text
АКТУАЛЬНОСТЬ
Дирофиляриоз — это паразитарное заболевание, вызываемое нематодами семейства Filariide рода Dirofilaria, среди которых наиболее широко распространены D. repens и D. immitis [1]. В естественных условиях все они являются паразитами животных, однако в отдельных случаях могут паразитировать в организме человека. Окончательными хозяевами дирофилярий являются животные семейства псовых и кошачьих, заражение которых, как и человека, происходит только при реализации трансмиссивного механизма передачи возбудителя — укус инвазированных комаров рода Aedes, Culex и Anopheles. Более интенсивно заражаются комары первых двух родов [1].
В мальпигиевых сосудах комара микрофилярии созревают до инвазивной стадии за 10–15 дней при температуре выше 14°С, после сосредоточиваются в ротовом аппарате насекомого и при укусе попадают в кожу животного или человека. В организме человека большинство личинок гибнет, но могут оставаться жизнеспособные единицы, которые начинают развиваться после инкубационного периода, длящегося от 30 дней до нескольких лет — в зависимости от активности иммунной системы, и развиваются до взрослых особей за период от нескольких месяцев до одного года. Считается, что человек является тупиковой ветвью в жизненном цикле дирофилярий, и заражение переносчика от него невозможно [2].
- repens обычно паразитирует под кожей и в глазном яблоке, в среднем достигая длины 10–17 см, тогда как D. immitis — в лёгких, полых венах, сердце, лимфатических сосудах и узлах и имеют длину 25–30 см. Взрослые особи этих гельминтов имеют нитевидную форму тела, заострённую по обоим концам. Тело покрыто тонкой исчерченной кутикулой молочного, сероватого или светло-жёлтого цвета. Половозрелые самки D. repens длиной 130–150 мм, диаметром до 0,5 мм, D. immitis — 180–300 мм, диаметром также до 0,5 мм, самцы обоих видов длиной 100–110 мм, диаметром до 0,4 мм. Средняя продолжительность жизни взрослых дирофилярий в организме основного хозяина составляет до 7 лет [1–3].
 
Характерным симптомом дирофиляриоза является миграция возбудителя, что наиболее часто проявляется изменением локализации подкожного уплотнения. Обычно это отмечают 10–40% инвазированных. Расстояние, на которое перемещается дирофилярия, составляет несколько десятков сантиметров, скорость перемещения — до 30 см за 1–2 суток [4]. При миграции паразита в подкожной клетчатке после каждого его перемещения на новом месте появляется новое уплотнение, а на старом месте его пребывания никаких следов не остаётся.
КЛИНИЧЕСКОЕ НАБЛЮДЕНИЕ
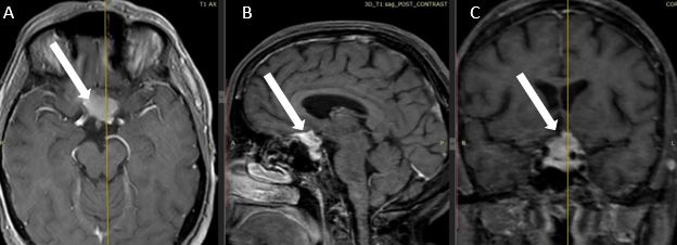
В нейрохирургическую клинику ГАУЗ «Межрегиональный клинико-диагностический центр» г. Казани обратилась женщина 63 лет с жалобами на ухудшающееся зрение. При выполнении нейровизуализации выявлена менингиома бугорка основной кости (рис. 1).
Рисунок 1. – МР-томограммы с контрастным усилением пациентки с менингиомой бугорка основной кости, белой стрелкой указана менингиома. А – аксиальная проекция, B – сагиттальная проекция, С – коронарная проекция
Fig. 1. Contrast-enhanced MRI scans of the patient with meningioma of the tuberclum sellae: a — axial view; b — sagittal view; c — coronal view; the white arrow indicates the meningioma.
Пациентка была в плановом порядке направлена на хирургическое лечение. При осмотре кожи лба пациентки выявлен подкожный узел диаметром 1 см, выступающий над поверхностью кожи примерно на 4–5 мм. Кожа в области узла не изменена, не гиперемирована и безболезненна. Плотность узла умеренная, при надавливании несколько уплощается. По данным компьютерной и магнитно-резонансной томограмм пациентки гельминт в подкожном узле не идентифицировался (рис. 2). Со слов пациентки, этот узел образовался 2 года назад, а ранее подобные узлы появлялись и исчезали в разных участках волосистой части головы. При внешнем осмотре новых узлов на теле и голове не было обнаружено. В анамнезе у пациентки артериальная гипертензия и бронхиальная астма тяжёлого течения.
Рисунок 2. – Магнитно-резонансная (B,D) и компьютерная (А,С) томограммы пациентки. Крансая стрелка указывает на локализацию гельминта D.repens. А – компьютерная томография в аксиальной проекции; B – магнитно-резонансная томограмма в режиме T1 в сагиттальной проекции; С – трехмерная реконструкция компьютерной томографии головы; D - магнитно-резонансная томограмма в режиме T2 в аксиальной проекции.
Fig. 2. Computer (a, c) and magnetic resonance (b, d) tomograms of the patient: a — computed tomography in the axial view; b — magnetic resonance imaging in T1 mode in the sagittal view; c — 3-dimensional reconstruction of computed tomography of the head; d — magnetic resonance imaging in T2 mode in the axial view; the red arrow indicates the localization of the helminth D. repens.
Пациентка — житель города Казани, Республики Татарстан, неработающий пенсионер. Зимой живёт с дочерью и внуком в квартире, летом — на даче на берегу реки Волги. Домашних животных не имеет, в последние 10 лет за пределы Республики Татарстан не выезжала, c дикими и домашними животными, инфекционными больными не контактировала, укусы клещей и животных отрицает.
При планировании операции по удалению менингиомы бугорка основной кости первым этапом было решено удалить подкожный узел из мягких тканей левой лобной области с последующим выполнением птериональной краниотомии и удалением менингиомы. После выполнения типичного разреза в левой лобно-височной области и отведения мягких тканей пальпаторно выявлен подкожный узел, не имеющий никаких отличительных внешних признаков от окружающих мягких тканей. Выполнено вскрытие узла, из которого выделилось белое содержимое. При внешнем осмотре выявлен подвижный тонкий цилиндрический белый червь толщиной 0,5 мм и длиной около 120 мм (рис. 3). Было принято решение операцию завершить до морфологической верификации паразита.
Рисунок 3. – Гельминт Dirofilaria repens, удаленный из подкожной клетчатки головы пациентки. A – макроскопический вид; В – микроскопический вид (микроскопия нативного препарата, световой микроскоп Nicon E 400, объектив 10 х окуляр 10, оптическое увеличение в 100 раз).
Fig. 3. Dirofilaria repens removed from the subcutaneous tissue of the patient’s head: a — macroscopic view; b — microscopic view (magnified 1 : 100).
Червь был направлен на исследование в клиническую лабораторию, где идентифицирован как Dirofilaria repens. В ФБУЗ «Центр гигиены и эпидемиологии в Республике Татарстан», куда был направлен паразит на дальнейшее исследование, было установлено, что гельминт соответствует живой зрелой неоплодотворённой самке Dirofilaria repens. Капсула, в которой находился червь, иссечена. Морфологический анализ капсулы выявил гранулематозную ткань. На следующий день пациентке выполнена операция по удалению менингиомы бугорка основной кости. На 12-е сутки пациентка была выписана из клиники в удовлетворительном состоянии.
ОБСУЖДЕНИЕ
Первые десятилетия XXI в. были отмечены не только научно-техническими открытиями и достижениями, но и появлением новых болезней и расширением распространения редко встречающихся заболеваний. К числу последних относится, например, дирофиляриоз.
Дирофиляриоз — это трансмиссивный антропозоонозный тканевый биогельминтоз, который является единственным в умеренных широтах трансмиссивным гельминтозом и характеризуется медленным развитием и длительным хроническим течением [5].
Впервые это заболевание было описано в 1566 г. [6]. Долгое время фиксировались единичные случаи дирофиляриоза, однако к настоящему времени число наблюдений возросло, а ареал распространения заболевания расширился. Так, на территории Российской Федерации и стран СНГ количество заболевших дирофиляриозом в период с 1915 по 2018 г. увеличилось c 9 до 780, а некоторые источники утверждают, что в период с 1997 по 2013 г. количество случаев заболеваемости данным гельминтозом возросло на 1272 [7–9]. С 1999 по 2011 г. количество случаев дирофиляриоза в Италии возросло с 3 до 323, во Франции — с 2 до 87, в Греции — с 3 до 35 [10]. Ситуация в азиатских странах с количеством случаев дирофиляриоза имела ту же тенденцию, что и в европейских. К примеру, в Японии с 1964 по 2002 г. дирофиляриоз был диагностирован почти у 300 людей, причем количество заболевших увеличивалось с каждым годом, и пик заболеваемости пришёлся на 2002 г. [11]. В Шри-Ланке с 1962 по 2020 г. было выявлено 173 случая дирофиляриоза, и рост заболеваемости достигал точки максимума в 2010–2012 гг. [12].
На территории России дирофиляриоз регистрировали в основном в южных регионах [13]. Но в последние годы случаи болезни были выявлены и в областях с умеренным климатом (Московская, Рязанская, Липецкая области, регионы Урала, Сибири и т.д.) [7]. Специалисты связывают расширение ареала данной инвазии с глобальным потеплением, а также перемещением людей и животных, что способствует заносу болезней из других стран [3, 8, 14]. Также увеличение количества случаев среди людей некоторые авторы связывают со снижением иммунного статуса населения [15, 16].
Статистические данные свидетельствуют о том, что в Российской Федерации почти половина всех случаев дирофиляриоза имеет глазную локализацию и поражаются преимущественно женщины [9, 17, 18]. Что касается возраста, то наибольшее количество случаев было обнаружено у людей в возрасте от 41 года до 60 лет [9]. Чаще всего человек заражается в местах, где имеются большие популяции переносчиков, а также заражённые животные, чаще собаки [19, 20]. В условиях городской квартиры передача инвазии при наличии больной собаки может осуществляться круглогодично подвальными комарами рода Culex [20].
В Республике Татарстан за 2022 г., помимо описываемого в данной статье, был выявлен один случай дирофиляриоза в Зеленодольске. Нематода, изначально располагающаяся под конъюнктивой, была извлечена из-под апоневроза на затылке хирургическим путём. В 2017 г. в Казани у пациента в медиальном отделе параорбитальной области слева было обнаружено опухолеподобное образование, где после хирургического вмешательства был найден закапсулированный живой паразит [21]. С 2010 по 2022 г. были выявлены 37 пациентов с дирофиляриозом в Республике Татарстан с локализацией нематоды под кожей век, головы, спины, подмышечной области и живота [2].
Основными симптомами дирофиляриоза являлись чувство шевеления под кожей и опухолевидное образование в волосистой части головы или других частях тела. Сложность диагностики дирофиляриоза заключается в недостатке характерных признаков и схожести с признаками доброкачественной или злокачественной опухоли [21]. Диагностика дирофиляриоза у человека основывается на комплексном анализе анамнестических и эпидемиологических данных, результатов клинического осмотра и лабораторных исследований. К способам диагностики дирофиляриоза у человека относятся физикальное обследование, микроскопия извлечённых паразитов (морфологическая диагностика) и лучевые методы исследования, такие как комплексная ультразвуковая диагностика и компьютерная томография [2, 22]. Основным и наиболее эффективным методом извлечения нематоды является хирургический.
Прогноз заболевания обычно благоприятный. При своевременной диагностике и адекватном лечении наступает полное выздоровление.
Профилактика заражения людей и животных дирофиляриями основывается в первую очередь на прерывании трансмиссивной передачи инвазии и состоит из нескольких направлений: истребление комаров, предотвращение их нападения на человека и домашних животных, а также выявление и дегельминтизация инвазированных домашних собак.
ЗАКЛЮЧЕНИЕ
В последние годы отмечается рост заболеваемости дирофиляриозом — паразитарным заболеванием, которое, как правило, протекает бессимптомно. Его характерным признаком является перемещение паразита в мягких тканях, которое часто ощущается пациентом. Специфическая диагностика заболевания не разработана. Лечение дирофиляриоза — хирургическое удаление гельминта.
ДОПОЛНИТЕЛЬНАЯ ИНФОРМАЦИЯ
Источник финансирования. Авторы заявляют об отсутствии внешнего финансирования при проведении поисково-аналитической работы.
Конфликт интересов. Авторы декларируют отсутствие явных и потенциальных конфликтов интересов, связанных с публикацией настоящей статьи.
Вклад авторов. Все авторы подтверждают соответствие своего авторства международным критериям ICMJE (все авторы внесли существенный вклад в разработку концепции, проведение исследования и подготовку статьи, прочли и одобрили финальную версию перед публикацией). Наибольший вклад распределён следующим образом: А.А. Пичугин, Э.Р. Каримова — систематизация материала, анализ результатов, написание текста статьи; Р.Р. Ковязина, О.А. Филимонова — литературный обзор, написание текста статьи; Ф.А. Абдулхаев — морфологическая верификация паразита; В.И. Шарафутдинова — сбор эпидемиологических данных; А.Г. Алексеев — научное руководство, редактирование текста статьи; Р.Н. Хайруллин — идея работы, научное руководство.
Информированное согласие на публикацию. Авторы получили письменное согласие пациентки на публикацию медицинских данных и фотографий в журнале «Эпидемиология и инфекционные болезни».
ADDITIONAL INFORMATION
Funding source. This article was not supported by any external sources of funding.
Competing interests. The authors declare that they have no competing interests.
Authors’ contribution. All authors made a substantial contribution to the conception of the work, acquisition, analysis, interpretation of data for the work, drafting and revising the work, final approval of the version to be published and agree to be accountable for all aspects of the work. A.A. Pichugin, E.R. Karimova — material systematization, analysis of the results, writing the manuscript; R.R. Kovyazina, O.A. Filimonova — literary review, writing the manuscript; F.A. Abdulkhaev — morphological verification of the parasite; V.I. Sharafutdinova — collection of epidemiological data; A.G. Alekseev — scientific guidance, editing the manuscript; R.N. Khairullin — generation of the work idea, scientific guidance.
Consent for publication. Written consent was obtained from the patient for publication of relevant medical information and within the manuscript in Epidemiology and Infectional Disease Journal.
About the authors
Arseniy A. Pichugin
Interregional Clinical Diagnostic Center; Kazan State Medical University
														Email: arsenicus@yandex.ru
				                	ORCID iD: 0000-0002-0134-1005
				                	SPIN-code: 7794-5270
							Scopus Author ID: 57188870842
											                								
MD, Cand. Sci. (Med)
Russian Federation, 12A, Karbysheva St., Kazan, 420101Elvira R. Karimova
Interregional Clinical Diagnostic Center
														Email: erkar@mail.ru
				                					                																			                								
MD, Cand. Sci. (Med)
Russian Federation, KazanOlesia A. Filimonova
Interregional Clinical Diagnostic Center
														Email: 1604filimonovao@gmail.com
				                					                																			                												                	Russian Federation, 							Kazan						
Renata R. Koviazina
Duke Kunshan University
														Email: renata.koviazina@duke.edu
				                	ORCID iD: 0000-0002-6165-3668
				                																			                												                	Russian Federation, 							Kunshan						
Farid A. Abdulkhaev
Interregional Clinical Diagnostic Center
														Email: farid1113@mail.ru
				                					                																			                												                	Russian Federation, 							Kazan						
Valentina I. Sharafutdinova
Interregional Clinical Diagnostic Center
														Email: vtina@mail.ru
				                					                																			                												                	Russian Federation, 							Kazan						
Andrey G. Alekseev
Interregional Clinical Diagnostic Center; Kazan State Medical University
														Email: a.alekseev@list.ru
				                	ORCID iD: 0000-0003-1227-8918
				                																			                								
MD, Cand. Sci. (Med), Associate
Russian Federation, Kazan; KazanRustem N. Khayrullin
Interregional Clinical Diagnostic Center
							Author for correspondence.
							Email: arsenicus@yandex.ru
				                	ORCID iD: 0000-0002-2160-7720
				                	SPIN-code: 1146-7585
																		                								
MD, Dr. Sci. (Med.), Professor
Russian Federation, KazanReferences
- Sergiev VP, Supryaga VG, Morozov EN, Zhukova LA. Human Dirofilariasis: diagnosis and the pattern of pathogen-host relations. Medical Parasitology and Parasitic Diseases. 2009;(3):3–6. (In Russ).
 - Gaynutdinova RF, Tukhbatullin MG, Gilmullina FS, et al. Diagnostics of human dirofilariasis. Practical Medicine. 2012;56(1):123–126. (In Russ).
 - Tabachnick WJ. Challenges in predicting climate and environmental effects on vector-borne disease episystems in a changing world. J Exp Biol. 2010;213(6):946–954. doi: 10.1242/jeb.037564
 - Stryukova IL, Goncharova OV, Gulyantz VA. Dirofilariasis in ophthalmology. Bulletin of Ophthalmology. 2001;117(3):43–44. (In Russ).
 - Simón F, Diosdado A, Siles-Lucas M, et al. Response to the Letter to the Editor regarding ‘Human dirofilariosis in the 21st century: A scoping review of clinical cases reported in the literature’ by Simón et al. (Transboundary and Emerging Diseases; 2021: http://doi.org/10.1111/tbed.14210). Transbound Emerg Dis. 2022;69(4):1668–1669. doi: 10.1111/tbed.14430
 - Amato L. Curatonium Medicinalium Centura Septima, Thessalonicae Curationes Habitas Continens. Lyon: Rouillé, Guillaume; 1570. 348 p.
 - Kondrashin AV, Morozova LF, Stepanova EV, et al. Anthology of Dirofilariasis in Russia (1915–2017). Pathogens. 2020;9(4):275. doi: 10.3390/pathogens9040275
 - Kondrashin AV, Morozova LF, Stepanova EV, et al. Global Climate Change and Human Dirofilariasis in Russia. Int J Environ Res Public Health. 2022;19(5):3096. doi: 10.3390/ijerph19053096
 - Kartashev V, Tverdokhlebova T, Korzan A, et al. Human subcutaneous/ocular dirofilariasis in the Russian Federation and Belarus, 1997–2013. Int J Infect Dis. 2015;33:209–211. doi: 10.1016/j.ijid.2015.02.017
 - Simón F, Siles-Lucas M, Morchón R, et al. Human and animal dirofilariasis: the emergence of a zoonotic mosaic. Clin Microbiol Rev. 2012;25(3):507–544. doi: 10.1128/CMR.00012-12
 - Akao N. Human dirofilariasis in Japan. Trop Med Health. 2011;39(1 Suppl. 2):65–71. doi: 10.2149/tmh.39-1-suppl_2-65
 - Balendran T, Yatawara L, Wickramasinghe S. Human Dirofilariasis Caused by Dirofilaria repens in Sri Lanka from 1962 to 2020. Acta Parasitol. 2022;67(2):628–639. doi: 10.1007/s11686-022-00543-3
 - Ermakova LA, Nagorny SA, Krivorotova EY, et al. Dirofilaria repens in the Russian Federation: current epidemiology, diagnosis, and treatment from a federal reference center perspective. Int J Infect Dis. 2014;23:47–52. doi: 10.1016/j.ijid.2014.02.008
 - González-Miguel J, Akhmadishina LV, Ruzina MN, et al. Human seroprevalence data indicate other factors than climatic conditions influencing dirofilariosis transmission in the Russian Federation. J Helminthol. 2020;94:e195. doi: 10.1017/S0022149X20000760
 - Simón F, Kramer LH, Román A, et al. Immunopathology of Dirofilaria immitis infection. Vet Res Commun. 2007;31(2):161–171. doi: 10.1007/s11259-006-3387-0
 - Chistenko GN, Vedenkov AL, Dronina AM, Semizhon OA. Human Dirofilariasis. Medical Journal. 2013;45(3):30–33. (In Russ).
 - Gushchina MB, Tereshchenko AV, Yuzhakova NS. Clinical forms of ocular dirofilariasis. Vestnik Oftalmologii. 2019;135(4):113–120. (In Russ). doi: 10.17116/oftalma2019135041113
 - Pampiglione S, Rivasi F. Human dirofilariasis due to Dirofilaria (Nochtiella) repens: an update of world literature from 1995 to 2000. Parassitologia. 2000;42(3-4):231–254.
 - Sergiev VP, Supryaga VG, Darchenkova NN, et al. Dirofilariosis in Russia. Epizootology, epidemiology and monitoring of parasitic diseases. 2012;(4):60–64. (In Russ).
 - Prokhorenkov VI, Guzey TN, Ashmarina EM, et al. Dirofilariasis: two clinical cases. Klinicheskaya Dermatologiya i Venerologiya. 2015;14(5):32–37. (In Russ). doi: 10.17116/klinderma201514532-36
 - Ksembaev SS, Ivanov OA, Torgashova OE, Khamitova AR. Subcutaneous dirofilariasis of maxillofacial localization — a rare clinical case. Kazan Medical Journal. 2018;99(5):829–832. (In Russ). doi: 10.17816/KMJ2018-829
 - Kozlov SS, Vecmadyan OT, Mostovaya OT, Turicin VS. Ultrasonography as an effective diagnostic method for human subcutaneous dirofilariasis. Journal of Radiology and Nuclear Medicine. 2016;97(2):101–104. (In Russ). doi: 10.20862/0042-4676-2016-97-2-101-104
 
Supplementary files
				
			
					
						
						
									

