Клиническая характеристика лёгкого и среднетяжёлого течения новой коронавирусной инфекции (COVID-19) у женщин
- Авторы: Jiang Y.1,2, Li Y.2,3, Yuan D.2,4, Hou G.5
 - 
							Учреждения: 
							
- Чжэцзянский китайский медицинский университет
 - Онкологическая больница Университета Китайской академии наук
 - Институт рака и базовой медицины
 - Медицинский колледж Бенгбу
 - Народная больница Хуанпи при университете Цзянхань
 
 - Выпуск: Том 25, № 2 (2020)
 - Страницы: 56-64
 - Раздел: Оригинальные исследования
 - Статья получена: 10.09.2020
 - Статья одобрена: 04.10.2020
 - Статья опубликована: 15.04.2020
 - URL: https://rjeid.com/1560-9529/article/view/43887
 - DOI: https://doi.org/10.17816/EID43887
 - ID: 43887
 
Цитировать
Аннотация
Цель — изучение клинических характеристик лёгкого и среднетяжёлого течения новой коронавирусной инфекции (COVID-19) и разработка рекомендаций по клинической диагностике и лечению.
Материалы и методы. Для сравнения различий между клиническими показателями пациенты с положительными результатами теста на нуклеиновые кислоты вируса (n = 64) были разделены на две возрастные (от 15 до 45 и ≥ 45 лет) группы.
Результаты. В 69 случаях отмечались нормальные показатели или снижение числа лейкоцитов, в 1 — снижение общего числа лимфоцитов, в 7 — доли лимфоцитов. Концентрации С-реактивного белка, аланин- и аспартатаминотрансфераз были повышены у 7; 16 и 19 пациентов соответственно. Среди других клинических характеристик следует указать на повышение уровней лактодегидрогеназы (у 1) и глобулинов (у 3), а также понижение уровней креатинкиназы (у 6), сывороточного креатинина (у 38) и азота мочевины в крови (у 5). Статистической значимости между двумя группами не выявлено по результатам компьютерной томографии лёгких (p > 0,05), однако обнаружено по концентрации лейкоцитов, нейтрофилов, лактодегидрогеназы, азота мочевины в крови и ионов калия (p ˂ 0,05).
Заключение. Фактором риска при COVID-19 является возраст. В последующем для диагностики и лечения новой коронавирусной инфекции всё более значимую роль будут играть показатели крови.
Полный текст
Обоснование
В декабре 2019 г. в Ухане было зафиксировано несколько случаев пневмонии неизвестной этиологии [1]. Выяснилось, что возбудителем этого заболевания был коронавирус, который Всемирная организация здравоохранения (ВОЗ) официально назвала “severe acute respiratory syndrome-related coronavirus 2” (SARS-CoV-2), а вызванное им заболевание – COronaVIrus Disease 2019 (новая коронавирусная инфекция 2019 года (COVID-19) [2]. В методических рекомендациях «План лечения COVID-19 (версия 7)» [3], выпущенных Национальной комиссией здравоохранения Китайской Народной Республики, приведена методология постановки диагноза COVID-19, которая включает эпидемиологический анамнез, клинические проявления и этиологическое/серологическое подтверждение. К клиническим проявлениям относятся лихорадка и/или респираторные симптомы, а также показатели лабораторных исследований (общее нормальное или сниженное количество лимфоцитов и лейкоцитов при пневмонии) и результаты диагностической визуализации. Ключевым в постановке диагноза является этиологическое или серологическое подтверждение заболевания. Подтверждённые случаи должны иметь положительный этиологический и серологический анализ с двумя клиническими симптомами и положительным эпидемиологическим анамнезом либо только с тремя клиническими симптомами. В Плане даётся определение лёгкого (лёгкая клиническая симптоматика без признаков пневмонии по результатам визуализации) и среднетяжёлого (с лихорадкой, респираторными и другими симптомами, а также признаками пневмонии по результатам визуализации) течения COVID-19.
Цель — изучение клинических характеристик лёгкого и среднетяжёлого течения новой коронавирусной инфекции (COVID-19) и разработка рекомендаций по клинической диагностике и лечению.
Материалы и методы
Дизайн исследования
Проведено наблюдательное одноцентровое неконтролируемое исследование пациентов с подтверждённой инфекцией, вызванной вирусом COVID-19.
Критерии соответствия
Критерии включения: больные лёгкой и среднетяжёлой формой COVID-19, которым методом полимеразной цепной реакции с обратной транскрипцией (ОТ-ПЦР) проанализированы пробы мазков из ротоглотки в соответствии с инструкциями производителя (Daan Gene Co., Ltd., Гуанчжоу, Китай). Критериями невключения для пациентов было отсутствие подробной информации о тестировании.
В течение периода лечения некоторые пациенты прошли повторное обследование.
Условия проведения
Пациенты с лёгкой симптоматикой COVID-19, вошедшие в исследование (n = 64), прошли изоляцию, обследование и лечение в Уханьской народной больнице Хуанпи (Wuhan Huangpi People's Hospital) с 10 февраля 2020 г. по 22 марта 2020 г.
Описание медицинского вмешательства
В целом у 64 пациентов выполнены 71 общий (клинический) и 71 биохимический анализ крови; 115 исследований лёгких методом компьютерной томографии (КТ).
У отдельных пациентов изучались результаты нескольких анализов крови (общих или биохимических), и некоторые данные отсутствовали. Общие и биохимические анализы крови выполнены на автоматическом гематологическом анализаторе BC-6900 (Mindray Bio-medical Electronics Co., LTD., Шэньчжэнь, Китай) и автоматическом биохимическом анализаторе VITROS 5600 (Johnson & Johnson, США).
Этическая экспертиза
Данное исследование одобрено Этическим комитетом Wuhan Huangpi People's Hospital, Jianghan University (№ 2020003), у всех пациентов получено письменное согласие на использование клинических данных и информации.
Статистический анализ
Использован пакет программ обработки статистических данных для социальной науки версии 25.0 для Windows (IBM Corporation, Армонк, Нью-Йорк, США). Данные подсчёта представлены в виде абсолютного числа (процент от общего количества). Все количественные данные проверены на нормальность посредством критерия Колмогорова−Смирнова, на однородность дисперсии — с помощью критерия Левена. Нормально распределённые непрерывные переменные были представлены как среднее ± стандартное отклонение и сравнивались при помощи t-критерия Стьюдента. Переменные скошенного распределения, представленные в виде медианы и межквартильного размаха, сравнивались посредством U-критерия Манна−Уитни. Сравнение категориальных переменных между группами проводилось с использованием Хи-квадрата Пирсона (χ2) или точного критерия Фишера (F), в зависимости от ситуации. Статистически значимым считалось значение p < 0,05.
Результаты
Объекты (участники) исследования
Все участники исследования (n = 64) были женщинами в возрасте 44,86 ± 10,57 лет (самой молодой пациентке — 27 лет, самой пожилой — 76 лет), все имели COVID-19 лёгкой и среднетяжёлой симптоматики.
Пациенты были разделены на две возрастные группы согласно критериям ВОЗ, где молодыми считались лица от 15 до 45 лет. Таким образом, пациенты старше 45 лет составили группу старшего возраста (n = 33), до 45 лет — группу молодого возраста (n = 31).
Основные результаты исследования
Полимеразная цепная реакция с обратной транскрипцией. Время изменения результатов ОТ-ПЦР с положительного на отрицательный в двух группах не имело статистически значимого различия (p > 0,05) при Z = 1,823 и p = 0,068. Среднее время составило 7,00 ± 1,00 дней в группе молодого и 7,00 ± 0,00 дней в группе старшего возраста.
Компьютерная томография. Всего за время исследования получено 115 результатов КТ лёгких. По первым КТ-изображениям, выполненным до лечения, у 45,3% пациентов выявлен симптом «матового стекла», у 65,6% — бронхит, у 21,9% — фиброз, у 14,1% — кальциноз, у 12,5% — узловые образования. У 2 пациентов обнаружено утолщение плевры, у 3 — каверна лёгкого, у 2 — застарелый туберкулёз лёгких. Согласно результатам, между двумя возрастными группами не найдено статистически значимого различия по большей части поражений (p > 0,05); табл. 1, рис. 1–3.
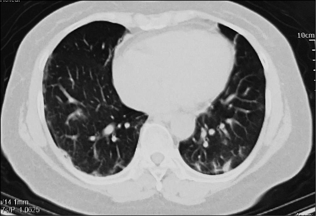
Рис. 1. Симптом «матового стекла» в нижней доле правого лёгкого.
Рис. 2. Фиброз и кальциноз в лёгком.
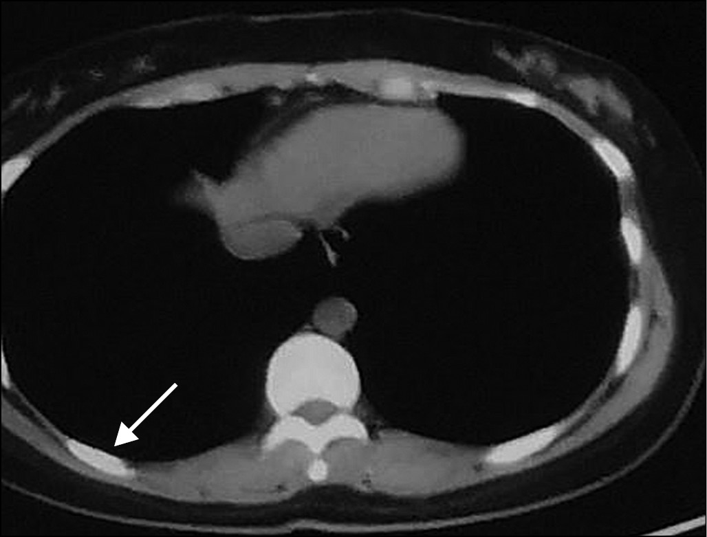
Рис. 3. Утолщение плевры справа (стрелка).
Для 46 пациентов выполнено несколько КТ-исследований лёгких. Обнаружено, что у 2 пациентов на протяжении всего периода наблюдения состояние оставалось в норме; у 2 заболевших симптом «матового стекла» на первом КТ-изображении остался без изменений при последующем исследовании, такая же картина отмечалась у 1 пациента с фиброзным поражением лёгких. У 1 пациента с лёгочным узлом после лечения образовалась каверна. В 4 случаях бронхит был вылечен, и состояние пациентов нормализовалось. У 6 женщин состояние вернулось к норме после лечения бронхита и симптома «матового стекла». У 2 пациентов с бронхитом отмечались аномальные изменения в лёгочной ткани с переходом в фиброз. У 1 пациента бронхит был вылечен, но образовался лёгочный узел. У 15 из 64 участников исследования степень «матового стекла» после лечения уменьшилась, из них у 4 позже отмечались фиброзы или кальциноз. При этом у нескольких пациентов с фиброзом и кальцинозом воспалительные очаги исчезли на фоне лечения, а у 2 пациентов после лечения атипичная лёгочная инфекция на КТ-рисунке имела параметры нормы. Напротив, в 7 случаях после лечения степень симптома «матового стекла» стала более тяжёлой с наличием фиброзного поражения или без него, в 3 случаях на фоне лечения у пациентов появились лёгочные узлы, каверны и фиброзные изменения.
Общий анализ крови. При исследовании 71 результата общего анализа крови у 69 (97,1%) пациентов число лейкоцитов был нормальным или сниженным; в 1 (1,4%) случае было снижено количество лимфоцитов, в 7 (9,9%) — доля лимфоцитов; у 7 (9,9%) пациентов отмечалась повышенная концентрация С-реактивного белка (СРБ); табл. 2. Диапазон нормальных значений показателей общего анализа крови следующий:
- 3,69 ≤ лейкоциты ≤ 9,16 × 109/л;
 - 0 ≤ СРБ ≤ 5 мг/л;
 - 50 ≤ доля нейтрофилов (%) ≤ 70%;
 - 2,04 ≤ количество нейтрофилов ≤ 7,5 × 109/л;
 - 20 ≤ доля лимфоцитов (%) ≤ 40%;
 - 0,8 ≤ количество лимфоцитов ≤ 4,0 × 109/л;
 - 3 ≤ доля моноцитов (%) ≤ 10%;
 - 0,12 ≤ количество моноцитов ≤ 1,00 × 109/л;
 - 110 ≤ гемоглобин (Hb) ≤ 150 г/л;
 - 101 ≤ тромбоциты ≤ 320 × 109/л.
 
Анализ результатов общего анализа крови показал, что в обеих возрастных группах нормальному распределению соответствовали только количество лейкоцитов, доля нейтрофилов, доля и количество лимфоцитов и концентрация Hb. По другим параметрам отмечалось ненормальное распределение значений признаков, и для их анализа были применены непараметрические методы статистики. В показателях общего анализа крови, за исключением количества лейкоцитов и нейтрофилов, не выявлено других статистически значимых различий между группами (p > 0,05); табл. 3.
Биохимический анализ крови. В 71 результате биохимического анализа крови отмечалась повышенная активность аланинаминотрансферазы (АЛТ) и аспартатаминотрансферазы (АСТ) — у 16 (22,5%) и 19 (26,8%) пациентов соответственно, а также лактатдегидрогеназы (ЛДГ) — у 1 (1,4%); низкая активность креатинфосфокиназы (КФК) — у 6 (8,5%) пациентов, а также низкая концентрация азота мочевины в крови (АМК) — у 5 (7,0%). Концентрация креатинина была снижена у 38 (53,5%) и повышена у 1 (1,4%) пациента. Содержание глобулинов было высоким в 3 (4,2%) случаях, низким — в 6 (8,5%); табл. 4. Диапазон нормальных значений биохимического анализа крови был следующим:
- 0 ≤ АЛТ ≤ 32 Ед/л;
 - 0 ≤ АСТ ≤ 31 Ед/л;
 - 3,0 ≤ общий билирубин (ОБ) ≤ 20,0 мкмоль/л;
 - 50 ≤ КРЕ ≤ 110 мкмоль/л;
 - 109 ≤ ЛДГ ≤ 245 Ед/л;
 - 38 ≤ КK ≤ 174 Ед/л;
 - 32 ≤ альбумин (АЛБ) ≤ 48 г/л;
 - 20 ≤ ГЛОБ ≤ 30 г/л;
 - 2,9 ≤ АМК ≤ 8,2 ммоль/л;
 - 3,5 ≤ ионы калия (K+) ≤ 5,2 ммоль/л.
 
Анализ результатов показал, что только значения активности КФK и концентрации K+ в группах были распределены в соответствии с законом нормального распределения. Значения других параметров были распределены ненормально, их статистическая обработка проведена с использованием непараметрических методов. Между группами отмечалось статистически значимое различие в показателях активности ЛДГ, концентрации АМК и K+ (p < 0,05). По другим параметрам статистически значимого различия между группами не было (p > 0,05); табл. 5.
Обсуждение
COVID-19 был включён в Закон о профилактике и лечении инфекционных заболеваний Китайской Народной Республики как инфекционное заболевание класса B и контролировался как инфекционное заболевание класса A. В настоящем исследовании проводилось наблюдение 64 пациентов с положительными результатами тестирования на нуклеиновые кислоты с целью изучения клинических характеристик COVID-19 у пациентов женского пола с лёгким и среднетяжёлым течением, а также для определения влияния возраста на состояние больных COVID-19. Все выводы были основаны на результатах КТ и анализов крови.
Выполненное ранее исследование F. Zhou и соавт. [4] показало, что фактором риска при COVID-19 является пожилой возраст.
- Tong и соавт. [5] обнаружили, что для COVID-19 характерны визуализация симптома «матового стекла» и лёгочная консолидация у пациентов в критическом состоянии. Плевральный выпот, двусторонние поражения корня и лимфаденопатия средостения отмечались редко, что соответствовало результатам собственного исследования. У большинства пациентов были обнаружены очаги фиброза и кальциноза, свидетельствующие о хроническом течении болезни. Для оценки прогноза потребовались дополнительные исследования. По результатам КТ у 7 (15,2%) пациентов степень симптома «матового стекла» стала более тяжёлой после лечения, что соответствовало выводам X. Chen и соавт. [6]. Авторы полагали, что состояние пациентов ухудшилось после начального лечения, и динамическая оценка КТ грудной клетки выявила увеличение поражения по сравнению с первоначальным исследованием [6]. F. Pan и соавт. [7] отмечали отрицательные результаты сканирования лёгких на ранней стадии (0–4-й день от появления начальных симптомов), однако повторное КТ выявило аномалии, как и у 21,2% пациентов с отрицательными результатами по КТ на ранней стадии в исследовании X. Ding и соавт. [8]. Тем не менее Всемирные методические рекомендации по профилактике, диагностике и лечению новой короновирусной инфекции, вызванной COVID-19 (версия 7), определяют лёгкое течение заболевание как «совокупность лёгких клинических симптомов без признаков пневмонии по результатам визуализации». Это утверждение является весьма спорным, и мы считаем, что это указывает на важность повторной КТ-визуализации лёгких. В нашем исследовании у 2 пациентов в течение всего периода наблюдения сохранялось нормальное состояние. Период между двумя КТ-исследованиями составил 9 дней. Таким образом, отрицательные результаты КТ заставили нас использовать другие тесты, такие как анализ крови, для определения степени тяжести заболевания.
 
В нашем исследовании содержание лейкоцитов и лимфоцитов было в основном нормальными, и только у отдельных пациентов наблюдалось снижение их количества. В то же время повышение концентрации СРБ у 9,9% пациентов указывало на наличие воспаления. Следует отметить, что L. Li и соавт. [9] обнаружили, что лимфоцитопения (64,5%), повышение концентрации СРБ (44,3%), активности ЛДГ (28,3%) и лейкоцитопения (29,4%) у пациентов с COVID-19 встречаются чаще, что характерно для острой респираторной вирусной инфекции. Y. Zhou и соавт. [10] выявили, что содержание лейкоцитов, лимфоцитов, нейтрофилов и доля лимфоцитов (%) у больных COVID-19 были ниже, а концентрация СРБ — выше, чем у пациентов с гриппом A и ОРВИ. Исследование L. Li и соавт. [9] является метаанализом с участием большого числа больных тяжёлой формой COVID-19. Расхождение данных нашего исследования с более ранними публикациями [9, 10] указывает на то, что тяжёлая форма COVID-19 может привести к более значимым изменениям в показателях общего анализа крови. Исходя из данных табл. 3, становится очевидным, что содержание лейкоцитов и нейтрофилов имело статистически значимое различие между исследуемыми возрастными группами в представленном исследовании: так, для лиц старшей группы они были ниже, чем для группы молодого возраста, хотя все оставались в пределах нормы. Из приведённых выше данных можно сделать вывод, что пожилые люди могут быть более восприимчивыми к COVID-19, что согласуется с предыдущими исследованиями.
В результатах биохимического анализа крови активность АЛТ и АСТ была повышена у разного количества пациентов, что в основном соответствовало клинической картине заболевания. Повышение активности ЛДГ наблюдалось только у 1 пациента, что может быть связано с небольшим размером выборки. Кроме того, у большинства пациентов (53,5%) было обнаружено снижение концентрации креатинина. Высокая концентрация креатинина и активность ЛДГ были ассоциированы с тяжёлой формой заболевания [11], хотя в других работах прослеживается тенденция к снижению концентрации креатинина у тяжелобольных пациентов [12]. Однако известно, что снижение концентрации креатинина может возникать при недоедании и чрезмерном истощении организма. Некоторые объяснения этому можно получить в исследовании P. Cao и соавт. [13], в котором у пациентов с COVID-19 от наступления заболевания до постановки диагноза проходило длительное время, в 14,1% случаев снижалась концентрация Hb. Возникает подозрение, что из-за длительного периода болезни организм пациента долгое время находился в состоянии отрицательного азотистого баланса, что привело к снижению концентрации креатинина.
- Butler и R. Barrientos [14] считают, что потребление большого количества клетчатки, цельного зерна, ненасыщенных жиров и антиоксидантов способствует выздоровлению и улучшению прогноза у пациентов с COVID-19. Результаты показали, что у 8,5% пациентов уровень глобулинов в крови был снижен, в то время как концентрация альбумина была чаще нормальной. Глобулиновая фракция представляет собой смесь различных белков, включая иммуноглобулин и комплемент, различных гликопротеинов, металлсвязывающих белков, различных липопротеинов и ферментов. Глобулины тесно связаны с иммунной функцией и вязкостью плазмы. Длительное использование глюкокортикостероидов или иммунодепрессантов может привести к снижению содержания глобулинов в крови. В настоящем исследовании ни один из пациентов не принимал такие препараты в течение длительного времени, и эту ситуацию можно было в принципе исключить. Было высказано предположение, что снижение содержание глобулинов могло быть связано с подавлением иммунной системы пациентов вирусом SARS-CoV-2.
 
Несмотря на то что почти все показатели были в норме, мы всё же обнаружили некоторую разницу между возрастными группами: так, активность ЛДГ и концентрация АМК в старшей возрастной группе были выше, чем в младшей возрастной группе, концентрация АМК была индикатором функции почек. Исследование Y. Cheng и соавт. [15] показало, что у 13,1% больных COVID-19 отмечается повышенная концентрация АМК, при этом у 5,1% пациентов происходит острое повреждение почек. Кроме того, средняя активность ЛДГ была повышена, особенно у пациентов с высоким исходным содержанием креатинина. Однако в нашем исследовании не отмечалось статистической разницы по концентрации креатинина между группами сравнения, хотя его уровень в старшей группе был немного выше, чем в группе молодого возраста.
Заключение
Таким образом, возраст является фактором риска при COVID-19. На основании результатов нашей работы требуются дополнительные исследования по изучению вопроса, является ли возраст независимым фактором риска при COVID-19. Статистически значимого различия по результатам КТ лёгких между группами не выявлено, однако статистически значимое различие наблюдалось по содержанию лейкоцитов, нейтрофилов, активности ЛДГ, концентрации АМК и K+. Ограничение исследования, каковым является недостаточный размер выборки, может привести к слишком большому значению p, значит, для выводов требуется большее число наблюдений.
Кроме того, для дальнейших случаев диагностики и лечения COVID-19 более существенное значение могут иметь показатели крови.
Дополнительная информация
Финансирование. Работа проведена при поддержке грантами Национального фонда естественных наук Китая (№ 81870028; 81900029 и 81470241) и Программы провинции Чжэцзян по развитию одарённых людей в области инноваций высокого уровня в сфере здравоохранения (№ A-2017-CXCR02).
Конфликт интересов. Авторы декларируют отсутствие конфликта интересов.
Участие авторов. Все авторы внесли существенный вклад в проведение исследования, прочли и одобрили финальную версию до публикации.
Funding. This work was supported by grants from the National Natural Science Foundation of China ( No. 81870028, 81900029 and 81470241 ) and the Zhejiang provincial program for the Cultivation of High-level Innovative Health Talents ( No. A-2017-CXCR02 ).
Conflict of interest. The authors have no conflicts of interest to declare.
Authors contribution. All authors made a significant contribution to the research, read and approved the final version before publication.
Jiang Y., Li Y., Yuan D., Hou G. The clinical characteristics of coronavirus disease 2019 in mild and ordinary female patients
ОРИГИНАЛЬНАЯ СТАТЬЯ
Jiang Y., Li Y., Yuan D., Hou G. Клиническая характеристика лёгкого и среднетяжёлого течения новой коронавирусной инфекции (COVID-19) у женщин
Таблица 1
Характеристика КТ-изображений лёгких в группах сравнения
Патологические изменения  | Группа  | χ2  | p  | |||
молодой возраст  | старший возраст  | |||||
абс.  | %  | абс.  | %  | |||
Симптом «матового стекла»  | 12  | 38,7  | 17  | 51,5  | 1,058  | 0,304  | 
Бронхит  | 20  | 64,5  | 22  | 66,7  | 0,033  | 0,856  | 
Фиброз  | 8  | 25,8  | 6  | 18,2  | 0,544  | 0,461  | 
Кальциноз  | 5  | 16,1  | 4  | 12,1  | 0,010  | 0,919  | 
Лёгочный узел  | 4  | 12,9  | 4  | 12,1  | 0,000  | 1,000  | 
Каверна лёгкого  | 0  | 0  | 3  | 9,1  | 1,272  | 0,259  | 
Поражение плевры  | 1  | 3,2  | 1  | 3,0  | *  | 1,000  | 
Гиперплазия лимфатического узла  | 0  | 0  | 1  | 3,0  | *  | 1,000  | 
Примечание. * — значения χ2 при гиперплазии лимфатического узла и поражении плевры отсутствовали, поскольку они соответствовали точному критерию вероятности Фишера.
ORIGINAL ARTICLE
Рис. 1. Симптом «матового стекла» в нижней доле правого лёгкого.
Рис. 2. Фиброз и кальциноз в лёгком.
Jiang Y., Li Y., Yuan D., Hou G. The clinical characteristics of coronavirus disease 2019 in mild and ordinary female patients
Рис. 3. Утолщение плевры справа (стрелка).
ОРИГИНАЛЬНАЯ СТАТЬЯ
Таблица 2
Показатели общего анализа крови у пациентов с COVID-19 (n = 71)
Показатель  | Результат  | Число пациентов  | |
абс.  | %  | ||
Лейкоциты  | ↑  | 2  | 2,8  | 
N  | 65  | 91,5  | |
↓  | 4  | 5,6  | |
С-реактивный белок  | ↑  | 7  | 9,9  | 
N  | 64  | 90,1  | |
Нейтрофилы  | ↑  | 2  | 2,8  | 
N  | 65  | 91,5  | |
↓  | 4  | 5,6  | |
Лимфоциты  | ↑  | 0  | 0  | 
N  | 70  | 98,6  | |
↓  | 1  | 1,4  | |
Моноциты  | ↑  | 0  | 0  | 
N  | 71  | 100,0  | |
↓  | 0  | 0  | |
Доля нейтрофилов, %  | ↑  | 10  | 14,1  | 
N  | 56  | 78,9  | |
↓  | 5  | 7,0  | |
Доля лимфоцитов, %  | ↑  | 4  | 5,6  | 
N  | 60  | 84,5  | |
↓  | 7  | 9,9  | |
Доля моноцитов, %  | ↑  | 1  | 1,4  | 
N  | 68  | 95,8  | |
↓  | 1  | 1,4  | |
Гемоглобин  | ↑  | 0  | 0  | 
N  | 60  | 84,5  | |
↓  | 10  | 14,1  | |
Тромбоциты  | ↑  | 5  | 7,0  | 
N  | 66  | 93,0  | |
↓  | 0  | 0  | |
Jiang Y., Li Y., Yuan D., Hou G. Клиническая характеристика лёгкого и среднетяжёлого течения новой коронавирусной инфекции (COVID-19) у женщин
Таблица 3
Характеристика общего анализа крови в сравниваемых группах
Показатель  | Группа  | Достоверность отличий  | |
молодой возраст  | старший возраст  | ||
Лейкоциты, ×109/л  | 6,08 ± 1,47  | 5,38 ± 1,45  | t = 2,021 p = 0,047  | 
Нейтрофилы, %  | 63,28 ± 7,43  | 61,54 ± 8,91  | t = 0,889 p = 0,377  | 
Нейтрофилы, ×109/л  | 3,64 ± 1,25  | 3,28 ± 1,41  | Z = 2,049 p = 0,040  | 
Лимфоциты, %  | 28,76 ± 6,80  | 30,22 ± 7,96  | t = 0,829 p = 0,410  | 
Лимфоциты, ×109/л  | 1,72 ± 0,51  | 1,57 ± 0,43  | t = 1,394 p = 0,168  | 
Моноциты, %  | 5,35 ± 1,55  | 5,80 ± 1,78  | Z = 0,129 p = 0,897  | 
Моноциты, ×109/л  | 0,34 ± 0,12  | 0,27 ± 0,10  | Z = 1,470 p = 0,142  | 
Hb, г/л  | 117,12 ± 9,25  | 117,94 ± 10,09  | t = 0,357 p = 0,722  | 
Тромбоциты, ×109/л  | 256,26 ± 48,76  | 240,00 ± 53,00  | Z = 1,416 p = 0,157  | 
СРБ, мг/л  | 0,75 ± 1,28  | 0,90 ± 0,75  | Z = 0,698 p = 0,485  | 
ORIGINAL ARTICLE
Таблица 4
Показатели биохимического анализа крови у пациентов с COVID-19 (n = 71)
Показатель  | Результат  | Число пациентов  | |
абс.  | %  | ||
АЛТ  | ↑  | 16  | 22,5  | 
N  | 55  | 77,5  | |
АСТ  | ↑  | 19  | 26,8  | 
N  | 52  | 73,2  | |
Общий билирубин  | ↑  | 0  | 0  | 
N  | 71  | 100,0  | |
↓  | 0  | 0  | |
Креатинин  | ↑  | 1  | 1,4  | 
N  | 32  | 45,1  | |
↓  | 38  | 53,5  | |
ЛДГ  | ↑  | 1  | 1,4  | 
N  | 67  | 94,4  | |
↓  | 0  | 0  | |
КФК  | ↑  | 1  | 1,4  | 
N  | 61  | 85,9  | |
↓  | 6  | 8,5  | |
Альбумин  | ↑  | 0  | 0  | 
N  | 71  | 100,0  | |
↓  | 0  | 0  | |
Глобулин  | ↑  | 3  | 4,2  | 
N  | 62  | 87,3  | |
↓  | 6  | 8,5  | |
АМК  | ↑  | 1  | 1,4  | 
N  | 62  | 87,3  | |
↓  | 5  | 7,0  | |
K+  | ↑  | 0  | 0  | 
N  | 41  | 97,6*  | |
↓  | 1  | 2,4*  | |
Примечание. * ― показатель К+ чаще отсутствовал в анализах крови, поэтому приведены нормальные показатели.
Jiang Y., Li Y., Yuan D., Hou G. The clinical characteristics of coronavirus disease 2019 in mild and ordinary female patients
Таблица 5
Характеристика биохимического анализа крови в сравниваемых группах
Показатель  | Группа  | Достоверность отличий  | |
молодой возраст  | старший возраст  | ||
АЛТ, Ед/л  | 23,50 ± 20,00  | 15,00 ± 11,00  | Z = 1,787 p = 0,074  | 
АСТ, Ед/л  | 24,00 ± 20,00  | 23,00 ± 9,00  | Z = 0,311 p = 0,756  | 
Общий белок, мкмоль/л  | 9,89 ± 4,19  | 9,24 ± 2,54  | Z = 1,761 p = 0,078  | 
Креатинин, мкмоль/л  | 48,00 ± 7,00  | 50,00 ± 10,00  | Z = 0,438 p = 0,661  | 
ЛДГ, Ед/л  | 150,00 ± 30,50  | 177,43 ± 31,08  | Z = 3,185 p = 0,001  | 
КФК, Ед/л  | 66,70 ± 30,20  | 71,40 ± 30,13  | t = 0,643 p = 0,523  | 
Альбумин, г/л  | 42,91 ± 2,35  | 43,00 ± 4,00  | Z = 0,573 p = 0,567  | 
Глобулины, г/л  | 24,44 ± 4,49  | 23,00 ± 5,00  | Z = 0,723 p = 0,469  | 
АМК, ммоль/л  | 3,36 ± 1,60  | 4,34 ± 1,19  | Z = 2,673 p = 0,008  | 
K+, ммоль/л  | 4,53 ± 0,33  | 4,26 ± 0,44  | t = 2,241 p = 0,031  | 
Об авторах
Yaona Jiang
Чжэцзянский китайский медицинский университет; Онкологическая больница Университета Китайской академии наук
														Email: jiangyaona@126.com
				                	ORCID iD: 0000-0001-5431-4126
				                																			                												                	Китай													
Yaqing Li
Онкологическая больница Университета Китайской академии наук; Институт рака и базовой медицины
							Автор, ответственный за переписку.
							Email: lidoctor03@126.com
				                	ORCID iD: 0000-0002-7379-8151
				                																			                												                	Китай													
Dong Yuan
Онкологическая больница Университета Китайской академии наук; Медицинский колледж Бенгбу
														Email: 1002376662jrs@gmail.con
				                	ORCID iD: 0000-0002-8723-5077
				                																			                												                	Китай													
Guanghua Hou
Народная больница Хуанпи при университете Цзянхань
														Email: houguanghua11@126.com
				                					                																			                												                	Китай													
Список литературы
- Lu H, Stratton CW, Tang YW. Outbreak of pneumonia of unknown etiology in Wuhan, China: the mystery and the miracle. J Med Virol. 2020;92(4):401-402. doi: 10.1002/jmv.25678.
 - Hong KH, Lee SW, Kim TS. Guidelines for laboratory diagnosis of Coronavirus Disease 2019 (COVID-19) in Korea. Ann Lab Med. 2020;40(5):351-360. doi: 10.3343/alm.2020.40.5.351.
 - National Health Commission of the People's Republic of China. Diagnosis and treatment plan for Coronavirus Disease 2019 (COVID-19). Seventh edition. Beijing, China; 2020.
 - Zhou F, Yu T, Du R. Clinical course and risk factors for mortality of adult inpatients with COVID-19 in Wuhan, China: a retrospective cohort study. Lancet. 2020;395(10229):1054-1062. doi: 10.1016/S0140-6736(20)30566-3.
 - Tong H, Xu YY, Yang B. The diagnostic value of HRCT imaging for Coronavirus Disease 2019 (COVID-19). Int J Med Radiol. 2020;43(2):135-139. doi: 10.19300/j.2020.L18014.
 - Chen X, Liu S, Zhang C. Dynamic chest CT evaluation in three cases of 2019 novel coronavirus pneumonia. Arch Iran Med. 2020;23(4):277-280. doi: 10.34172/aim.2020.11.
 - Pan F, Ye T, Sun P. Time course of lung changes on chest CT during recovery from 2019 novel coronavirus (COVID-19) pneumonia. Radiology. 2020;295(3):715-721. doi: 10.1148/radiol.2020200370.
 - Ding X, Xu J, Zhou J, Long Q. Chest CT findings of COVID-19 pneumonia by duration of symptoms. Eur J Radiol. 2020;127:109009. doi: 10.1016/j.ejrad.2020.109009.
 - Li LQ, Huang T, Wang YQ. COVID-19 patients' clinical characteristics, discharge rate, and fatality rate of meta-analysis. J Med Virol. 2020;92(6):577-583. doi: 10.1002/jmv.25757.
 - Zhou YP, Zhu CX, Wan XW. Clinical characteristics and laboratory examination results of 3886 patients with fever and cough in Xianning district. Lab Med Clin. 2020;17(11):1541-1545.
 - Singhal T. A Review of Coronavirus Disease-2019 (COVID-19). Indian J Pediatr. 2020;87(4):281-286. doi: 10.1007/s12098-020-03263-6.
 - Cao J, Shen J, Zhu HC. Clinical significance of low serum creatinine in critically ill patients. Chin J Clin (Electronic Edition). 2011;5(22):6791-6794.
 - Cao PM, Li XX, Yan XF. Retrospective epidemiological analysis of 223 COVID-19 pneumonia cases in the main urban area of Chongqing. J Southwest University (Natural Science Edition). 2020;42(03):10-16. doi: 10.13718/j.cnki.xdzk.2020.03.002.
 - Butler MJ, Barrientos RM. The impact of nutrition on COVID-19 susceptibility and long-term consequences. Brain Behav Immun. 2020;87:53-54. doi: 10.1016/j.bbi.2020.04.040.
 - Cheng Y, Luo R, Wang K. Kidney disease is associated with in-hospital death of patients with COVID-19. Kidney Int. 2020;97(5):829-838. doi: 10.1016/j.kint.2020.03.005.
 
				
			
						
					
						
									







