The effectiveness of the IL-17A inhibitor in generalized pustular psoriasis: a clinical case
- Authors: Olisova O.Y.1, Snarskaya E.S.1, Kochergin N.G.1, Teplyuk N.P.1, Ignatyev D.V.1, Tavitova A.R.1, Makhmudi W.1
-
Affiliations:
- I.M. Sechenov First Moscow State Medical University (Sechenov University)
- Issue: Vol 25, No 1 (2022)
- Pages: 73-83
- Section: DERMATOLOGY
- Submitted: 24.03.2022
- Accepted: 18.05.2022
- Published: 03.08.2022
- URL: https://rjsvd.com/1560-9588/article/view/105295
- DOI: https://doi.org/10.17816/dv105295
- ID: 105295
Cite item
Full Text
Abstract
The first clinical case of the effective use of a domestic biological drug inhibitor netakimab ― IL-17A ― in a patient with persistently progressive, torpid to therapy generalized pustular psoriasis Tsumbush is presented. This rare systemic dermatosis refers to severe forms of psoriasis that threaten the patient’s life and require intensive therapy from the very first hours of the manifestation of the disease. The development of pustular psoriasis can be promoted by: long-term therapy with systemic glucocorticosteroids, cytostatics, oral contraceptives, as well as prolonged use of irritating external agents. In some cases, the disease is associated with high emotional stress, stress. In severe generalized pustular psoriasis, biological drugs, cyclosporine, methotrexate, and acitretin are effective.
The article presents summary data on the effectiveness of first- and second-line drugs in the treatment of pustular psoriasis. According to the literature, patients with severe pustular psoriasis, torpid to standard therapy, demonstrate a positive response to treatment with biological drugs in most cases. Anti-TNF-α are the most available biological drugs for the treatment of pustular psoriasis, and anti-IL-12/23 and anti-IL-17A can be considered as the first or second line of therapy for moderate-severe and refractory pustular psoriasis.
The choice of effective therapy for the treatment of pustular psoriasis is an urgent problem of modern dermatology and the presented clinical case demonstrates the effectiveness and pronounced positive therapeutic effect of the IL-17A inhibitor for 1 day in the treatment of generalized pustular psoriasis resistant to previously conducted therapy, which allows us to count on the prospect of further successful use of this targeted drug in the treatment of severe pustular psoriasis.
Full Text
ВВЕДЕНИЕ
Генерализованный пустулёзный псориаз Цумбуша является редкой тяжёлой формой заболевания, встречаясь в Европе с частотой около 2 случаев на 1 млн жителей. Заболевание требует интенсивной терапии уже с первых часов развития клинической картины и часто оказывается торпидным к стандартным методам лечения [1]. Летальность в случае нерациональной терапии может достигать, по разным данным, от 2 до 16% [2, 3].
Генерализованный пустулёзный псориаз Цумбуша подразделяется на первичный (идиопатический), имеющий тяжёлое течение, и вторичный с доброкачественным течением [2, 3].
Развитию генерализованного пустулёзного псориаза Цумбуша может способствовать целый ряд факторов, провоцирующих переход вульгарного псориаза в генерализованный пустулёзный псориаз [3]:
- длительный приём системных кортикостероидов и/или их быстрая отмена;
- приём цитотоксических препаратов (метотрексат);
- приём других лекарственных препаратов (салицилатов, жаропонижающих, антидепрессантов, нестероидных противовоспалительных препаратов, антибиотиков пенициллинового ряда, противомалярийного препарата гидроксихлорохина, тиосульфата натрия, анаболиков, прогестерона, бета-блокаторов, пероральных контрацептивов;
- применение раздражающих наружных средств (дёготь, антралин, салициловая мазь); кортикостероиды, применяемые с окклюзией; пиритион цинка, фукорцин;
- длительное влияние стрессовых факторов;
- любые инфекции;
- ультрафиолетовое излучение и фототерапия.
В некоторых случаях заболевание связывают беременностью [3, 4]. Описана также взаимосвязь развития генерализованных форм пустулёзного псориаза с дисбалансом гормонального фона, гипокальциемией, длительной инсоляцией, фототерапией [2–5].
Клиническая картина генерализованного пустулёзного псориаза развивается остро, приступообразно, с появления яркой эритемы и типичных псориатических бляшек, образованием мелких стерильных нейтрофильных пустул, сопровождающихся болезненностью, лихорадкой, иногда головной болью и выраженным недомоганием. Очаги, быстро увеличиваясь в размерах, сливаются, так что псориатические бляшки становятся почти незаметными. Слившиеся пустулы отслаивают эпидермис, образуя типичный клинический признак, так называемые гнойные озёра. Пустулы могут появляться волнообразно в течение нескольких недель, по мере подсыхания одних элементов на других участках кожи появляются свежие. С момента регресса пустул большинство системных симптомов, таких как головная боль и лихорадка, обычно стихают. На коже могут длительно сохраняться яркая эритема и проявления обычного псориаза [2, 3]. После прекращения появления пустул состояние кожи несколько улучшается, однако новый приступ может развиться внезапно и вновь ухудшить состояние больного [4, 5].
Патоморфологическая картина пустулёзного псориаза сходна с картиной вульгарного псориаза, включая сохранение ядер в роговом слое (паракератоз), утолщение рогового слоя (гиперкератоз), удлинение дермальных сосочков, истончение зернистого слоя и надсосочковых зон эпидермиса. В дополнение к классическим гистологическим признакам вульгарного псориаза присутствует также выраженный нейтрофильный инфильтрат в сосочковой дерме и эпидермисе: вдавливая базальные кератиноциты в сосочковый слой дермы, инфильтрат разрушает десмосомные соединения кератиноцитов (спонгиоз) и приводит к развитию поверхностных микроабсцессов. Инфильтрация эпидермиса нейтрофилами наиболее выражена при пустулёзном псориазе, чем при других вариантах вульгарного псориаза [6].
С патогенетической точки зрения, по мнению большинства исследователей, генерализованный пустулёзный псориаз Цумбуша отличается от вульгарного псориаза гиперактивной врождённой иммунностью с соответствующим системным нейтрофильным воспалительным ответом и доминирующей ролью IL-36 в цепочке иммунных взаимодействий. При этом не исключается и значимая роль интерлейкинов (interleukin, IL) 17 и 22, фактора некроза опухоли (tumor necrosis factor, TNF). Таким образом, патогенетические терапевтические мишени для генерализованного пустулёзного псориаза Цумбуша остаются аналогичными вульгарному псориазу с акцентом на антагонистов IL-36.
В комплексной терапии генерализованного пустулёзного псориаза издавна применяют глюкортикостероидные, антигистаминные, нестероидные противовоспалительные, цитостатические системные препараты, а также ретиноиды и физиотерапевтические методы (фототерапия) [1, 3, 5–9].
В последние годы для лечения псориаза разработан целый ряд генно-инженерных биологических препаратов, способных оказывать влияние на основные патогенетические механизмы развития псориаза. Так, в руководстве по лечению генерализованного пустулёзного псориаза Национального медицинского фонда псориаза США (National Psoriasis Foundation, NPF) проанализированы как основные, так и побочные эффекты целого спектра лекарственных препаратов у взрослых [6] (табл. 1).
Таблица 1. Основные линии терапии пустулёзного псориаза [6]
Table 1. First and second line therapy of pustular psoriasis [6]
Показатель | Первая линия терапии | Вторая линия терапии |
Взрослые | Ацитретин Циклоспорин Метотрексат Инфликсимаб | Адалимумаб Этанерцепт ПУВА Топические: · глюкортикостероиды · кальципотриол · такролимус |
Дети | Ацитретин Циклоспорин Метотрексат Этанерцепт | Адалимумаб Инфликсимаб УФБ-фототерапия |
Беременные | Циклоспорин Инфликсимаб Преднизолон Топические: · кортикостероиды · кальципотриол | УФБ-фототерапия |
Локализованные | ПУВА Топические: · кальципотриол · кортикостероиды | Фотодинамическая терапия Топические: · такролимус |
Примечание. ПУВА (псорален + ультрафиолет спектра А) ― метод лечения фотоактивным веществом (псорален) совместно с облучением кожи длинноволновым ультрафиолетовым излучением; УФБ ― ультрафиолет спектра B, средневолновой.
Note: ПУВА (psoralen + ultraviolet A, PUVA) ― is a method of treatment with a photoactive substance (psoralen) together with irradiation of the skin with long-wave ultraviolet radiation; УФБ ― ultraviolet of the B spectrum, medium wave.
Как видно из таблицы, ацитретин, циклоспорин, метотрексат и инфликсимаб показаны в качестве первой линии терапии генерализованного пустулёзного псориаза. Системные глюкокортикостероиды не рекомендуются из-за повышенного риска образования пустул и развития обострений. Ретиноиды (ацитретин) обладают наибольшей эффективностью среди вариантов лечения первой линии, однако имеют более высокую частоту дозозависимых осложнений, в частности гепатотоксический и тератогенный эффект [6]. Циклоспорин отличается быстрым началом действия, улучшение наблюдается уже через 2 нед после приёма препарата. При назначении метотрексата эффект проявляется более медленно; кроме того, есть высокая вероятность развития гепато- и гематологической токсичности, поэтому препарат рекомендуется пациентам в случаях отсутствия эффекта или непереносимости ацитретина. Местные препараты (кальципотриол и такролимус) рекомендуется применять в сочетании с системной терапией.
Пациенты с тяжёлым пустулёзным псориазом, торпидные к стандартной терапии, демонстрируют положительный ответ на лечение биологическими препаратами в большинстве случаев [7, 8]. Анти-TNF-α являются наиболее доступными биологическими препаратами для лечения пустулёзного псориаза, а анти-IL-12/23 и анти-IL-17A могут рассматриваться в качестве первой или второй линии терапии при умеренно тяжёлом и рефрактерном пустулёзном псориазе (табл. 2) [9]. Анти-IL-17A может использоваться у пациентов с пустулёзным псориазом, которые не ответили на анти-TNF-агенты и анти-IL-12/23 [8, 9]. Новой многообещающей мишенью для лечения генерализованного пустулёзного псориаза является IL-36, что подтверждается данными исследований ранней фазы моноклональных антител против IL-36R (спесолимаб и имсидолимаб) [10].
Таблица 2. Варианты системной и топической терапии пустулёзного псориаза у взрослых пациентов [9]
Table 2. Variants of systemic and topical therapy of pustular psoriasis in adult patients [9]
Системная терапия | Подробности | Дополнительная информация |
Ацитретин | Оральный; 0,75–1,0 мг/кг/сут; поддерживающая: 0,125–0,25 мг/кг/день в течение нескольких месяцев | В качестве альтернативы можно использовать изотретиноин (более короткий период полувыведения), однако он доступен только в рамках программы ограниченного распространения в США (IPLEDGE) |
Циклоспорин | Оральный; 3,5–5 мг/кг/сут; при адекватном ответе снижать дозу на 0,5 мг/кг каждые 2 нед | Быстрое начало; лучше всего подходит для тяжёлых острых заболеваний. Мониторинг артериального давления пациента и функции почек, а также проверка иммунодепрессивных эффектов |
Метотрексат | Перорально; внутримышечно или внутривенно; 5–15 мг/нед, увеличивая на 2,5 мг/нед до получения ответа; начинать с дозы 7,5 мг/нед для пациентов старше 70 лет; максимум 25 мг/нед | Медленное начало действия |
Агент против TNF-α | ||
Инфликсимаб | 5 мг/кг на 0, 2 и 6-й нед, затем каждые 8 нед по мере необходимости | Быстрое начало действия; хороший эффект при тяжёлом остром заболевании и распространённом заболевании |
Адалимумаб | 80 мг ежедневно в течение 2 нед, затем по 40 мг каждые 2 нед | |
Этанерцепт | 50 мг 2 раза/нед в течение 3 мес, затем по 50 мг еженедельно | Возможное обострение пустулёзного псориаза, особенно при сопутствующем ревматоидном артрите или воспалительных заболеваниях кишечника |
Кортикостероиды, внутрь | Преднизолон по 30–60 мг/сут; уменьшать дозу после улучшения симптомов | Можно рассмотреть, если другие методы лечения невозможны; следует применять с осторожностью и с постепенным снижением дозы, т.к. быстрая отмена может вызвать обострение пустул |
Местная терапия | ||
Кортикостероиды | Актуальные; применяются 2 раза/день | |
Кальципотриол (+ системный агент) | Актуальные; 5 мг/кг 2 раза/день | |
Такролимус (+ системное средство) | Актуальные; 0,01–0,1% применяют 2 раза/день | |
ПУВА (псорален + ультрафиолет спектра А) | Актуальные; высокоинтенсивное (1,0–5,0 Дж/см2) облучение всего тела УФ-светом через 2 ч после местного применения 0,6 мг/кг 8-метоксипсоралена; процедуры 4 раза/нед до исчезновения кожных поражений; поддерживающая терапия: 2 процедуры/нед с постепенным сокращением до 1 раза/нед или меньше | Не применяется для острых форм псориаза |
Мазь, влажные обёртывания всего тела | Актуальные; стандартная дозировка | Для симптоматического лечения с целью уменьшения шелушения и дискомфорта |
Таким образом, анализируя имеющиеся литературные данные по лечению генерализованного пустулёзного псориаза Цумбуша, можно заключить, что при отсутствии утверждённых стандартных рекомендаций доказательного уровня наиболее рекомендуемыми терапевтическими подходами для генерализованного пустулёзного псориаза Цумбуша становятся биологические препараты, циклоспорин, метотрексат, ацитретин [11].
Одним из биологических препаратов для лечения пациентов с вульгарным псориазом является ингибитор IL-17А нетакимаб (Эфлейра). Этот отечественный препарат зарегистрирован для лечения среднетяжёлого и тяжёлого бляшечного псориаза, анкилозирующего спондилита и псориатического артрита. Нетакимаб ― оригинальное рекомбинантное высокогуманизированное моноклональное антитело, в терапевтических концентрациях специфически связывающее с IL-17А и блокирующее его активность, что приводит к уменьшению проявлений бляшечного (вульгарного) псориаза. Препарат зарекомендовал себя как эффективный и безопасный при лечении вульгарного псориаза, однако в литературе отсутствуют данные о его применении при пустулёзном псориазе.
ОПИСАНИЕ КЛИНИЧЕСКОГО СЛУЧАЯ
О пациенте
Пациент Н., 30 лет, поступил в клинику кожных и венерических болезней имени В.А. Рахманова с жалобами на высыпания по всему кожному покрову и волосистой части головы, сопровождающиеся умеренной болезненностью и зудом.
Анамнез заболевания. Считает себя больным с 2008 г., когда впервые отметил появление высыпаний на коже предплечья, появление которых ни с чем не связывает. Обращался в кожно-венерологический диспансер по месту жительства, где был впервые выставлен диагноз вульгарного псориаза и назначена наружная терапия (препарат не помнит). Однако кожный процесс постоянно прогрессировал, сыпь распространилась по всему кожному покрову, в связи с чем был госпитализирован в ГКБ № 15, где было проведено лечение системными и топическими кортикостероидами (дозу преднизолона уточнить не может). В результате лечения пациент был выписан со значительным регрессом высыпаний, однако уже через 2 нед в связи с отменой преднизолона у пациента вновь началось обострение кожного процесса. В декабре 2010 г. вновь был госпитализирован в ГКБ № 15, где получал лечение Неотигазоном (дозировку и длительность приёма назвать затрудняется). Был выписан с улучшением кожного процесса, но отмечалась нестойкая ремиссия в течение 5 мес. В сентябре 2010 г. в связи с очередным обострением кожного процесса врачом назначен курс цитостатической терапии препаратом Методжект (дозу уточнить не может) с хорошим результатом, со слов пациента, однако ремиссия также была непродолжительной. С течением времени кожный процесс постепенно прогрессировал, однако в течение 3–4 лет пациент к врачу не обращался. Самостоятельно лечился глюконатом кальция и тиосульфатом натрия без особого эффекта. При очередном ухудшении состояния обратился в частную клинику, где пациенту были назначены курсы терапии метотрексатом (Методжект) и ацитретином (Неотигазон) с временным положительным эффектом. В этой же клинике в связи с очередным обострением псориаза начата терапия пролонгированным бетаметазоном (Дипроспан) по схеме 2 мл–2 мл–1 мл–2 мл (с интервалом между инъекциями 1 нед). После второй инъекции бетаметазона отмечался выраженный положительный эффект, но затем кожный процесс, несмотря на проводимую терапию, резко обострился, в связи с чем пациент был госпитализирован в клинику кожных и венерических болезней имени В.А. Рахманова для лечения в условиях стационара.
Локальный статус. При осмотре кожный процесс островоспалительного характера. Сыпь распространённая, в виде парциальной эритродермии, ярко-красного цвета с участками здоровой кожи; локализуется на туловище, верхних и нижних конечностях. На передней поверхности бёдер бляшки размером до 15 см в диаметре, красно-синюшного цвета, плоской формы, округлых и неправильных очертаний, плотноватой консистенции, резко отграничены от окружающей здоровой кожи (рис.1, а, b). Поверхность шероховатая, отмечается шелушение мелкими серебристо-белыми чешуйками, особенно в их центральной части (см. рис. 1, c, d). На фоне эритемы мелкие сгруппированные поверхностные пустулы, сливающиеся с образованием типичных «гнойных озёр». Ногтевые пластинки на кистях и стопах не деформированы. Слизистые оболочки чистые. Периферические лимфатические узлы не увеличены. Субъективные ощущения: болезненность и умеренный зуд.
Рис. 1. Пациент Н., 30 лет, диагноз генерализованного пустулёзного псориаза Цумбуша, состояние при поступлении: a ― процесс носит острый воспалительный характер с поражением кожи туловища и конечностей в виде парциальной эритродермии; b ― на коже живота на фоне эритемы мелкие сгруппированные поверхностные пустулы, сливающиеся между собой с образованием типичных «гнойных озёр»; c ― поражение кожи спины, высыпания в виде «гнойных озёр»; d ― пустулёзные высыпания в виде «гнойных озёр» на нижних конечностях.
Fig. 1. Patient N., 30 years old, diagnosis of generalized pustular psoriasis Tsumbush, condition upon admission: a ― the process is acute inflammatory with lesions of the skin of the trunk and extremities in the form of partial erythroderma; b ― on the skin of the abdomen against the background of erythema, small grouped surface pustules merging with each other with the formation of typical «purulent lakes»; c ― lesions of the skin of the back, rashes in the form of «purulent lakes»; d ― pustular rashes in the form of «purulent lakes» on the lower extremities.
Для подтверждения диагноза была взята биопсия из наиболее типичного очага.
Результаты физикального, лабораторного и инструментального исследования
Общий анализ крови: отмечаются повышение уровня лейкоцитов до 32,50×109г/л (при норме до 11×109г/л), нейтрофилов до 30×109г/л, ускорение скорости оседания эритроцитов до 57 мм/ч, лейкоцитарный сдвиг влево.
Биохимический анализ крови: повышение уровня лактатдегидрогеназы до 471 ед/л, С-реактивного белка до 106,91 мг/л.
Коагулограмма: повышенный уровень фибриногена (6,59 г/л при норме до 4,0), D-димера (до 1,42 мкг/мл).
Гормональное исследование: снижение уровня кортизола менее 28 нмоль/л.
Диаскинтест отрицательный.
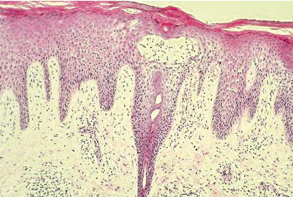
Патоморфологическое заключение. Картина нейтрофильного инфильтрата в сосочковом слое дермы, особенно выраженного в зоне эпидермиса, который разрушает десмосомальные тонофиламенты кератиноцитов и приводит к развитию поверхностных микроабсцессов. Картина паракератоза, утолщение рогового слоя (гиперкератоз), удлинение дермальных сосочков, истончение зернистого слоя и надсосочковых зон эпидермиса. Картина соответствует пустулёзному псориазу (рис. 2).
Рис. 2. Тот же пациент. Патоморфологическая картина нейтрофильного инфильтрата в сосочковом слое дермы, особенно выраженного в зоне эпидермиса; паракератоз, гиперкератоз, спонгиоз, удлинение дермальных сосочков, истончение зернистого слоя и надсосочковых зон эпидермиса.
Fig. 2. The same patient. Pathomorphological picture of neutrophil infiltrate in the papillary layer of the dermis, especially pronounced in the epidermis area, parakeratosis, hyperkeratosis, spongiosis, elongation of the dermal papillae, thinning of the granular layer and suprasochular zones of the epidermis.
Обоснование диагноза. На основании клинико-морфологической картины заболевания, данных анамнеза и характера течения заболевания, торпидного к проводимому лечению, выставлен диагноз генерализованного пустулёзного псориаза Цумбуша.
Лечение
Пациенту назначено комплексное лечение, включающее дексаметазон 12 мг + 200 NaCl внутривенно капельно (№ 15), далее дексаметазон в дозе 8 мг + 200 NaCl внутривенно капельно (№ 3), далее дексаметазон по 4 мг + 200 NaCl внутривенно капельно (№ 4); бетаметазон по 2 мл внутримышечно (№ 1); Реамберин по 400 мл внутривенно капельно (№ 5); кларитромицин по 500 мг 1 таблетка 2 раза/день (8 дней); флуконазол по 150 мг 1 капсула 1 раз в 3 дня (3 дня).
Наружная терапия проводилась аппликациями глюкокортикоидного крема Акридерм Гента 2 раза/день, пустулёзные элементы обрабатывались раствором Фукорцина.
Несмотря на проводимую терапию, отмечалось отсутствие положительной динамики на фоне нарастающей торпидности заболевания к проводимой терапии и прогрессирующего увеличения степени тяжести процесса. На консилиуме было принято решение назначить генно-инженерный биологический препарат Нетакимаб в дозе 120 мг подкожно. В течение первых суток после введённой инъекции ингибитора IL-17А отмечалась значительная положительная динамика в виде побледнения окраски эритемы и прекращения появления новых пустулёзных элементов. В стационаре было проведено 3 инъекции по 120 мг подкожно с интервалом 1 нед. После 3-й инъекции отмечался значительный регресс высыпаний в виде отсутствия пустул, выраженного уменьшения окраски эритродермии и шелушения (рис. 3, а, b).
Рис. 3. Тот же пациент, состояние на фоне комплексного лечения (после 3-й инъекции Нетакимаба): a ― побледнение эритемы; b ― регресс пустулёзных элементов.
Fig. 3. The same patient, the condition against the background of complex treatment (after the 3rd injection of Netakimab): a ― paleness of erythema; b ― regression of pustular elements.
ЗАКЛЮЧЕНИЕ
Таким образом, представленный клинический случай успешного лечения генерализованного пустулёзного псориаза ― наиболее тяжёлой и редкой формы заболевания, имеющего острое начало и агрессивный характер течения, демонстрирует необходимость применения имеющихся ингибиторов IL-17А.
Выбор эффективной терапии для лечения пустулёзного псориаза является актуальной проблемой современной дерматологии. При неэффективности стандартных схем лечения целесообразен поиск альтернативных методик, оказывающих таргетное патогенетическое воздействие.
В настоящее время в нашей стране данные препараты находятся в стадии изучения, а число больных пустулёзным псориазом невелико, поэтому вопрос об эффективности ингибиторов IL-17А может быть оценён позже, после накопления собственного опыта. В описанном нами клиническом наблюдении, демонстрирующем выраженный положительный терапевтический эффект ингибитора IL-17А в течение одних суток в лечении резистентного к ранее проводимой терапии генерализованного пустулёзного псориаза, позволяет рассматривать данный таргетный препарат как перспективный в лечении псориаза Цумбуша.
ДОПОЛНИТЕЛЬНО
Источник финансирования. Авторы заявляют об отсутствии внешнего финансирования при подготовке статьи.
Конфликт интересов. Авторы декларируют отсутствие явных и потенциальных конфликтов интересов, связанных с публикацией настоящей статьи.
Вклад авторов. О.Ю. Олисова, Е.С. Снарская, Н.П. Теплюк, Н.Г. Кочергин, Д.В. Игнатьев, А.Р. Тавитова ― редактирование и внесение существенных правок в статью с целью повышения научной ценности клинического случая; Е.С. Снарская ― доработка исходного текста, описание клинического случая; В. Махмуди ― сбор и обработка клинического материала для описания клинического случая. Авторы подтверждают соответствие своего авторства международным критериям ICMJE (разработка концепции, подготовка работы, одобрение финальной версии перед публикацией, согласие нести ответственность за все аспекты работы).
Согласие пациента. Пациент добровольно подписал информированное согласие на публикацию персональной медицинской информации в обезличенной форме в журнале «Российский журнал кожных и венерических болезней».
ADDITIONAL INFORMARION
Funding source. This work was not supported by any external sources of funding.
Competing interests. The authors declare that they have no competing interests.
Authors’ contribution. O.Yu. Olisova, E.S. Snarskaya, N.P. Teplyuk, N.G. Kochergin, D.V. Ignatiev, A.R. Tavitova ― editing and making significant edits to the article in order to increase the scientific value of the clinical case; E.S. Snarskaya ― revision of the source text, description of the clinical case; W. Makhmudi ― collection and processing of clinical material for the description of the clinical case. The authors’ made a substantial contribution to the conception of the work, acquisition, analysis of literature, drafting and revising the work, final approval of the version to be published and agree to be accountable for all aspects of the work.
Patient’s permission. The patient voluntarily signed an informed consent to the publication of personal medical information in depersonalized form in the journal “Russian journal of skin and venereal diseases”.
About the authors
Olga Yu. Olisova
I.M. Sechenov First Moscow State Medical University (Sechenov University)
Author for correspondence.
Email: Olisovaolga@mail.ru
ORCID iD: 0000-0003-2482-1754
SPIN-code: 2500-7989
MD, Dr. Sci. (Med.), Professor
Russian Federation, MoscowElena S. Snarskaya
I.M. Sechenov First Moscow State Medical University (Sechenov University)
Email: snarskaya-dok@mail.ru
ORCID iD: 0000-0002-7968-7663
SPIN-code: 3785-7859
MD, Dr. Sci. (Med.), Professor
Russian Federation, MoscowNikolay G. Kochergin
I.M. Sechenov First Moscow State Medical University (Sechenov University)
Email: nkocha@yandex.ru
ORCID iD: 0000-0001-7136-4053
SPIN-code: 1403-3031
MD, Dr. Sci. (Med.), Professor
Russian Federation, MoscowNatalia P. Teplyuk
I.M. Sechenov First Moscow State Medical University (Sechenov University)
Email: teplyukn@gmail.com
ORCID iD: 0000-0002-5800-4800
SPIN-code: 8013-3256
MD, Dr. Sci. (Med.), Professor
Russian Federation, MoscowDmitry V. Ignatyev
I.M. Sechenov First Moscow State Medical University (Sechenov University)
Email: dmitrywork@list.ru
ORCID iD: 0000-0001-8751-3965
SPIN-code: 6743-7960
Russian Federation, Moscow
Alana R. Tavitova
I.M. Sechenov First Moscow State Medical University (Sechenov University)
Email: alatavitova@mail.ru
ORCID iD: 0000-0003-1930-0073
SPIN-code: 2113-9091
Graduate Student
Russian Federation, MoscowWilliam Makhmudi
I.M. Sechenov First Moscow State Medical University (Sechenov University)
Email: dr.williamm@mail.ru
ORCID iD: 0000-0001-6075-411X
Russian Federation, Moscow
References
- Crowley JJ, Pariser DM, Yamauchi PS. A brief guide to pustular psoriasis for primary care providers. Postgrad Med. 2021;133(3): 330–344. doi: 10.1080/00325481.2020.1831315
- Olisova OY, Khobeish MM, Znamenskaya LF, Bakulev AL. Federal clinical guidelines for the management of patients with psoriasis. Moscow; 2013. 68 р. (In Russ).
- Olisova OY, Teplyuk NP, Pinegin VB. Modern methods of psoriasis treatment. Russ Med J. 2015;23(9):483–484. (In Russ).
- Boehner A, Navarini AA, Eyerich K. Generalized pustular psoriasis is a model disease for specific targeted immunotherapy, a systematic review. Exp Dermatol. 2018;27(10):1067–1077. doi: 10.1111/exd.13699
- Johnston A, Xing X, Wolterink L, et al. IL-1 and IL-36 are dominant cytokines in generalized pustular psoriasis. J Allergy Clin Immunol. 2017;140(1):109–120. doi: 10.1016/j.jaci.2016.08.056
- Hoegler KM, John AM, Handler MZ, Schwartz RA. Generalized pustular psoriasis: a review and update on treatment. J Eur Acad Dermatol Venereol. 2018;32(10):1645–1651. doi: 10.1111/jdv.14949
- Wang WM, Jin HZ. Biologics in the treatment of pustular psoriasis. Expert Opin Drug Saf. 2020;19(8):969–980. doi: 10.1080/14740338.2020.1785427
- Genovese G, Moltrasio C, Cassano N, et al. Pustular psoriasis: from pathophysiology to treatment. Biomedicines. 2021;9(12):1746. doi: 10.3390/biomedicines9121746
- Gooderham MJ, van Voorhees AS, Lebwohl MG. An update on generalized pustular psoriasis. Expert Rev Clin Immunol. 2019;15(9):907–919. doi: 10.1080/1744666X.2019.1648209
- Ratnarajah K, Jfri A, Litvinov IV, Netchiporouk E. Spesolimab: a novel treatment for pustular psoriasis. J Cutan Med Surg. 2020;24(2):199–200. doi: 10.1177/1203475419888862
- Komine M, Morita A. Generalized pustular psoriasis: current management status and unmet medical needs in Japan. Expert Rev Clin Immunol. 2021;17(9):1015–1027. doi: 10.1080/1744666X.2021.1961580
Supplementary files






