Клинический случай карциномы Меркеля
- Авторы: Вертиева Е.Ю.1, Тертычный А.С.1, Дубинич А.Д.1, Константинова З.Е.2
-
Учреждения:
- Первый Московский государственный медицинский университет имени И.М. Сеченова (Сеченовский Университет)
- Клиники Чайка
- Выпуск: Том 24, № 6 (2021)
- Страницы: 529-535
- Раздел: ДЕРМАТООНКОЛОГИЯ
- Статья получена: 31.03.2022
- Статья одобрена: 04.04.2022
- Статья опубликована: 28.11.2021
- URL: https://rjsvd.com/1560-9588/article/view/105705
- DOI: https://doi.org/10.17816/dv105705
- ID: 105705
Цитировать
Полный текст
Аннотация
Карцинома Меркеля ― редкая агрессивная опухоль кожи нейроэндокринной природы, представляющая собой безболезненный быстрорастущий узел округлой формы красного, розового или фиолетового цвета. Карцинома Меркеля чаще диагностируется у пожилых людей со светлой кожей на участках, наиболее подверженных ультрафиолетовому излучению. Кроме этого, факторы риска карциномы Меркеля включают в себя иммуносупрессию, а также наличие множественной миеломы или хронической лимфоцитарной лейкемии в анамнезе.
Для постановки диагноза карциномы Меркеля используют пять критериев алгоритма AEIOU, предложенного в 2008 г. группой учёных Вашингтонского университета.
Из методов лабораторной диагностики применяют развёрнутый анализ крови, также проводят гистологическое и иммуногистохимическое исследование биоптата. Среди методов инструментальной диагностики обязательными являются ультразвуковое исследование первичной опухоли и групп лимфатических узлов соответствующей локализации, органов брюшной полости и малого таза; рентгенография органов грудной клетки и сцинтиграфия костей скелета; метод позитронно-эмиссионной томографии, совмещённой с рентгеновской компьютерной томографией. Проведение биопсии сторожевого узла с последующим гистологическим и иммуногистохимическим исследованием рекомендуют при отсутствии метастатического поражения лимфатических узлов.
В статье представлен случай карциномы Меркеля в области предплечья. Данный клинический случай подтверждает крайне агрессивный характер опухоли, а также высокую вероятность постановки неправильного диагноза вследствие редкой встречаемости карциномы Меркеля и недостаточной информированности врачей первичного звена и других специальностей о данном заболевании.
Специалисту важно своевременно заподозрить карциному Меркеля и направить пациента к онкологу с целью проведения биопсии с последующим выполнением гистологического и иммуногистохимического исследования.
Ключевые слова
Полный текст
КАРЦИНОМА МЕРКЕЛЯ: ХАРАКТЕРИСТИКА ПАТОЛОГИИ
Карцинома Меркеля (синонимы ― нейроэндокринный рак кожи, рак из клеток Меркеля) ― это редкий, крайне агрессивный нейроэндокринный рак кожи с эпителиальной и нейроэндокринной дифференцировкой, описанный в 1972 г. как «трабекулярная карцинома кожи» [1].
Распространённость
Ежегодная заболеваемость карциномой Меркеля в США ― примерно 2500 случаев в год [2], в Российской Федерации (РФ) можно предполагать 650 случаев в год. В РФ опухоль не выделена в отдельную нозологическую единицу, учёт ведётся в составе кода С44 по Международной классификации болезней Десятого пересмотра [3].
Этиология и патогенез
Считается, что карцинома Меркеля происходит из плюрипотентных стволовых клеток дермы, приобретающих нейроэндокринную дифференцировку при злокачественной трансформации [4].
Развитие карциномы Меркеля связано с двумя этиологическими факторами ― мутагенным действием ультрафиолетового излучения и поражением клеток полиомавирусом [5–7]. Поражая здоровые клетки, вирус встраивается в их геном и инициирует выработку клеткой онкобелков ― LT (large tumor antigen ― большой опухолевый антиген) и ST (small tumor antigen ― малый опухолевый антиген), которые экспрессируются и запускают каскад онкогенеза вследствие инактивации опухолевых супрессоров TP53 и RB1 [5–7].
Факторы риска карциномы Меркеля включают в себя пожилой возраст, светлую кожу, иммуносупрессию, воздействие ультрафиолетового излучения, а также наличие множественной миеломы или хронической лимфоцитарной лейкемии в анамнезе [8].
Клиническая картина
Макроскопически карцинома Меркеля часто манифестирует как единичный безболезненный узел розового, красного или фиолетового цвета на участках кожи, подверженных ультрафиолетовому излучению, у пожилых людей со светлой кожей [5, 8]. Размеры опухоли могут варьировать от нескольких миллиметров до нескольких сантиметров (в среднем 2 см) [5, 8].
По данным литературы, наиболее частая локализация опухоли ― области тела, подверженные инсоляции: голова и шея ― 43%, верхние конечности ― 24% [9]. В 50,6% случаев пациенты обращаются с локализованным опухолевым процессом, однако у многих больных выявляются метастазы: 35,4% имеют поражение региональных лимфатических узлов, 13,5% ― отдалённые метастазы [10].
Диагностика
Для постановки диагноза карциномы Меркеля применяется алгоритм AEIOU (таблица) [11]. При наличии трёх и более указанных признаков высока вероятность диагноза карциномы Меркеля [11].
Таблица. Критерии AEIOU для диагностики карциномы Меркеля / Table. AEIOU criteria for the diagnosis of Merkel cell carcinoma
Признак AEIOU | Характеристика | % |
A (Asymptomatic) | Бессимптомное течение болезни | 88 |
Е (Expanding rapidly) | Быстрый рост образования | 63 |
I (Immune suppression) | Иммуносупрессия | 8 |
О (Old) | Возраст старше 50 лет | 90 |
U (UV-exposed site) | Открытые участки кожи | 81 |
Для постановки диагноза необходимо также проведение иммунологического и иммуногистохимического исследования [3].
Микроскопическая картина карциномы Меркеля представлена гнёздными и солидными разрастаниями мелких клеток с круглыми ядрами, содержащими гранулярный хроматин по типу «соль и перец» [8]. Однако данные характеристики неспецифичны, и опухоль может быть расценена как меланома, В- и Т-лимфома, базальноклеточная карцинома или плоскоклеточная карцинома [8]. В связи с этим для постановки диагноза всегда проводится иммуногистохимическое исследование: для карциномы Меркеля характерны маркеры эпителиальной дифференцировки ― цитокератин 20 (ЦК20), а также нейроэндокринной дифференцировки ― синаптофизин и хромогранин А [4].
К методам лабораторной диагностики относят развёрнутые клинический и биохимический анализы крови (включая определение уровня лактатдегидрогеназы), маркеры нейроэндокринных опухолей (хромогранин А и серотонин в сыворотке крови) [3].
Обязательными методами инструментальной диагностики являются ультразвуковое исследование первичной опухоли и групп лимфатических узлов соответствующей локализации, органов брюшной полости и малого таза, а также рентгенография органов грудной клетки и сцинтиграфия костей скелета [3]. Метод позитронно-эмиссионной томографии, совмещённой с рентгеновской компьютерной томографией (ПЭТ/КТ), ― золотой стандарт диагностики при карциноме Меркеля в большинстве развитых стран [3]. Выполнение биопсии сторожевого узла с последующим гистологическим и иммуногистохимическим исследованием является рекомендацией для всех пациентов с первичной опухолью в отсутствие клинических данных за наличие метастатического поражения лимфатических узлов [3]. Для стадирования карциномы Меркеля используется система TNM (tumor, nodus и metastasis) [3].
Лечение
Различные подходы к терапии обусловлены стадией заболевания.
В качестве основного варианта лечения первичной опухоли и метастатического поражения регионарных лимфатических узлов при отсутствии противопоказаний рассматривают хирургическое лечение [3]. Вследствие высокого процента местного рецидивирования опухоли рекомендуется делать разрез, отступая на 1–3 см от видимых краёв опухоли. Однако во многих случаях радикальное удаление опухоли невозможно по причине наличия метастазов [3]. В данном случае, по данным Национальной комплексной сети по борьбе с раком (National Comprehensive Cancer Network, NCCN), может использоваться лучевая терапия в дозах 50–60 Гр, к которой карцинома Меркеля достаточно чувствительна [2]. При наличии отдалённых метастазов возможно применение химиотерапии ― этопозид в комбинации с карбоплатином или цисплатином [3]. Однако данные методы терапии обладают низкой эффективностью и высокой токсичностью [3].
Помимо вышеуказанных методов, в соответствии с рекомендациями Министерства здравоохранения РФ, при лечении метастатической карциномы Меркеля следует отдавать предпочтение иммуноонкологической терапии анти-PD-L1 (авелумаб) вне зависимости от наличия/отсутствия иммуногистохимической экспрессии PDL1 [3]. В случае если использование авелумаба невозможно, целесообразно рассмотреть назначение анти-PD1 препаратов (пембролизумаб и ниволумаб), однако данные препараты не зарегистрированы на территории РФ по показанию метастатической карциномы Меркеля [3].
Обобщая вышесказанное, очевидно, что агрессивное течение и несвоевременная диагностика карциномы Меркеля имеют прямую связь с прогнозом заболевания. Таким образом, для постановки диагноза необходимо проведение биопсии с последующим выполнением гистологического и иммуногистохимического исследования.
ОПИСАНИЕ КЛИНИЧЕСКОГО СЛУЧАЯ
Пациентка К., 51 год, считает себя больной с сентября 2021 года, когда впервые отметила появление безболезненного образования на коже левого предплечья, представленного узелком цвета здоровой кожи. В октябре 2021 года пациентка дважды консультирована хирургом, с диагнозом «Атерома? Фурункул?» было проведено вскрытие образования без диагностической биопсии, назначены местные антибактериальные мази без положительного эффекта.
В связи с ростом образования пациентка трижды обращалась к дерматологу по месту жительства: назначены местные антибактериальные и глюкокортикоидные мази без положительного эффекта.
В январе 2022 года вследствие быстрого роста и изъязвления образования пациентка обратилась в клинику кожных и венерических болезней имени В.А. Рахманова ФГАОУ ВО «Первый МГМУ имени И.М. Сеченова» Минздрава России.
При осмотре: образование локализовано на задней поверхности предплечья. Патологический процесс представлен узлом розово-фиолетового цвета размером до 10 см на гиперемированном фоне. На поверхности имеются участки изъязвления, а также признаки вторичной инфекции (рис. 1).
Рис. 1. Пациентка К., 51 год, диагноз карциномы Меркеля: вид новообразования сверху (а) и сбоку (b). / Fig. 1. Patient K., 51 years old, diagnosis of Merkel cell carcinoma: view of the neoplasm from above (a) and from the side (b).
В связи с быстрым ростом образования и яркой клинической картиной выставлен предположительный диагноз карциномы Меркеля, проведена биопсия с гистологическим и иммуногистохимическим исследованием.
Гистологическое исследование: биоптаты кожи с участками изъязвления и выраженным акантозом эпидермиса. В дерме обнаруживаются очаги роста опухоли, представленной гнёздными и солидными разрастаниями мелких клеток с круглыми гиперхромными ядрами и скудной цитоплазмой, высокой митотической активностью.
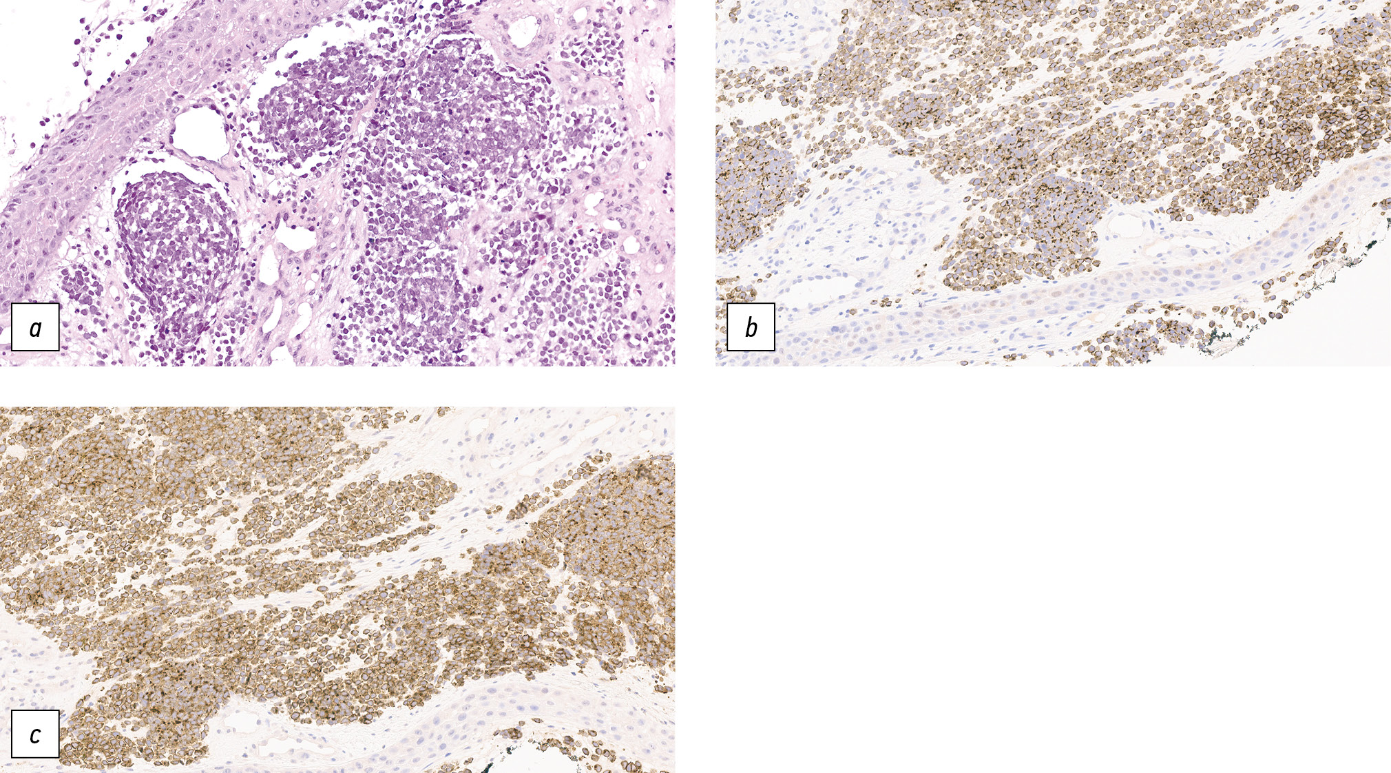
Иммуногистохимическое исследование: опухолевые клетки с позитивным точечным перинуклеарным окрашиванием в реакциях с СК20 и хромогранином А (chromogranin A), диффузным позитивным цитоплазматическим окрашиванием в реакции с синаптофизином (synaptophysin), что подтверждает диагноз карциномы Меркеля (рис. 2).
Рис. 2. Иммуногистохимическое исследование: а ― рост опухоли в дерме (окраска гематоксилином и эозином, × 200); b ― характерное позитивное точечное перинуклеарное окрашивание опухолевых клеток в реакции с СК20 (иммуногистохимическая реакция, × 200); с ― диффузное позитивное цитоплазматическое окрашивание опухолевых клеток в реакции с синаптофизином (иммуногистохимическая реакция, × 200). / Fig. 2. Immunohistochemical examination: a ― tumor growth in the dermis (staining with hematoxylin and eosin, × 200); b ― characteristic positive point perinuclear staining of tumor cells in reaction with SC20 (immunohistochemical reaction, × 200); c ― diffuse positive cytoplasmic staining of tumor cells in reaction with synaptophysin (immunohistochemical reaction, × 200).
Индекс пролиферации по Ki67 ― более 50% опухолевых клеток (достигает 80% в отдельных полях зрения).
ПЭТ/КТ с контрастированием: получены данные за наличие активной опухолевой ткани в мягких тканях левого предплечья, в подмышечных, субпекторальных, над-/подключичных лимфоузлах слева.
На основании анамнеза, клинико-морфологической картины и полученных результатов клинико-лабораторного исследования выставлен диагноз: «Карцинома Меркеля. Т4N2M0».
ОБСУЖДЕНИЕ
Карцинома Меркеля ― нейроэндокринная опухоль, поражающая кожу верхних конечностей в 24% случаев [9]. Описание клинических случаев карциномы Меркеля на предплечье встречается в литературе довольно редко.
Ввиду агрессивной природы данной опухоли клиницистам необходимо учитывать данное заболевание прежде всего при осмотре пациентов с быстро растущими узлами/узелками розово-красной или фиолетовой окраски, а также наличием изъязвлений на их поверхности.
Постановка диагноза карциномы Меркеля является сложной задачей для врачей ввиду того, что данная опухоль кожи может быть расценена как метастаз мелкоклеточного рака лёгкого, беспигментная меланома кожи, плоскоклеточный рак кожи, базальноклеточная карцинома, а также В-клеточная лимфома [8]. Данная клиническая картина также расценивается часто как атерома или липома.
С целью своевременной постановки верного диагноза необходимо проведение биопсии каждого подозрительного образования с выполнением гистологического и иммуногистохимического исследования. Специфичными маркерами карциномы Меркеля являются СК20, синаптофизин и хромогранин А. В реакции с СК20 выявляется характерное позитивное точечное перинуклеарное окрашивание (dote-like типа), характерное только для карциномы Меркеля [3, 4].
С целью определения индекса пролиферативной активности опухоли применяется иммуногистохимическое исследование с применением моноклональных антител к Ki-67 [3, 4].
ЗАКЛЮЧЕНИЕ
Карцинома Меркеля ― редкая и крайне агрессивная опухоль. Для постановки диагноза и терапии карциномы Меркеля необходимы междисциплинарный подход и совместные усилия дерматологов, онкологов, хирургов, патоморфологов, радиологов и химиотерапевтов.
ДОПОЛНИТЕЛЬНО
Источник финансирования. Авторы заявляют об отсутствии внешнего финансирования при подготовке статьи.
Конфликт интересов. Авторы декларируют отсутствие явных и потенциальных конфликтов интересов, связанных с публикацией настоящей статьи.
Вклад авторов. Е.Ю. Вертиева ― редактирование и внесение существенных правок в статью с целью повышения научной ценности клинического случая, сбор и обработка материала клинического случая; А.С. Тертычный ― проведение гистологического и иммуногистохимического исследований; А.Д. Дубинич ― описание клинического случая; З.Е. Константинова ― сбор материала для клинического случая. Авторы подтверждают соответствие своего авторства международным критериям ICMJE (все авторы внесли существенный вклад в разработку концепции, проведение исследования и подготовку статьи, прочли и одобрили финальную версию перед публикацией).
Согласие пациента. Пациент добровольно подписал информированное согласие на публикацию персональной медицинской информации в обезличенной форме в журнале «Российский журнал кожных и венерических болезней».
ADDITIONAL INFORMATION
Funding source. This work was not supported by any external sources of funding.
Competing interests. The authors declare that they have no competing interests.
Author contribution. E.Yu. Vertieva ― editing and making significant changes to the article in order to increase the scientific value of the clinical case, collecting and processing the material of the clinical case; A.S. Tertychny ― conducting histological and immunohistochemical studies; A.D. Dubinich ― description of a clinical case; Z.E. Konstantinova ― collecting material for a clinical case. The authors made a substantial contribution to the conception of the work, acquisition, analysis of literature, drafting and revising the work, final approval of the version to be published and agree to be accountable for all aspects of the work.
Patient permission. The patient voluntarily signed an informed consent to the publication of personal medical information in depersonalized form in the journal «Russian journal of skin and venereal diseases».
Об авторах
Екатерина Юрьевна Вертиева
Первый Московский государственный медицинский университет имени И.М. Сеченова (Сеченовский Университет)
Автор, ответственный за переписку.
Email: ivertieva@gmail.com
ORCID iD: 0000-0002-1088-2911
SPIN-код: 3712-8453
к.м.н.
Россия, 119991, Москва, ул. Трубецкая, д. 8, стр. 2Александр Семенович Тертычный
Первый Московский государственный медицинский университет имени И.М. Сеченова (Сеченовский Университет)
Email: atertychyy@gmail.com
ORCID iD: 0000-0001-5635-6100
SPIN-код: 5150-0535
к.м.н.
Россия, МоскваАнна Дмитриевна Дубинич
Первый Московский государственный медицинский университет имени И.М. Сеченова (Сеченовский Университет)
Email: aniu.dubini4@yandex.ru
MD
Россия, МоскваЗоя Евгеньевна Константинова
Клиники Чайка
Email: zoe4ka@bk.ru
к.м.н.
Россия, МоскваСписок литературы
- Toker C. Trabecular carcinoma of the skin // Arch Dermatol. 1972. Vol. 105, N 1. Р. 107–110.
- Bichakjian C.K., Olencki T., Aasi S.Z., et al. Merkel Cell Carcinoma, Version 1. NCCN Clinical Practice Guidelines in Oncology // J Natl Compr Canc Netw. 2018. Vol. 16, N 6. Р. 742–774. doi: 10.6004/jnccn.2018.0055
- Клинические рекомендации «Карцинома Меркеля» / под ред. Я.В. Вишневской и др. Москва: ГЭОТАР-Медиа, 2017. 29 с.
- Kervarrec T., Samimi M., Guyétant S., et al. Histogenesis of merkel cell carcinoma: a comprehensive review // Front Oncol. 2019. Vol. 9. Р. 451. doi: 10.3389/fonc.2019.00451
- DeCaprio J.A. Molecular pathogenesis of merkel cell carcinoma // Annu Rev Pathol. 2021. Vol. 16. Р. 69–91. doi: 10.1146/annurev-pathmechdis-012419-032817
- Schadendorf D., Lebbé C., Hausen A., et al. Merkel cell carcinoma: Epidemiology, prognosis, therapy and unmet medical needs // Eur J Cancer. 2017. Vol. 71. Р. 53–69. doi: 10.1016/j.ejca.2016.10.022
- Becker J.C., Kauczok C.S., Ugurel S., et al. Merkel cell carcinoma: Molecular pathogenesis, clinical features and therapy // JDDG J Ger Soc Dermatology. 2008. Vol. 6. Р. 709–719. doi: 10.1111/j.1610-0387.2008.06830.x
- Dellambra E., Carbone M.L., Ricci F., et al. Merkel Cell Carcinoma // Biomedicines. 2021. Vol. 9, N 7. Р. 718. doi: 10.3390/biomedicines9070718
- Harms K.L., Healy M.A, Nghiem P., et al. Analysis of prognostic factors from 9387 Merkel cell carcinoma cases forms the basis for the new 8th edition AJCC staging system // Ann Surg Oncol. 2016. Vol. 23, N 11. Р. 3564. doi: 10.1245/s10434-016-5266-4
- Schadendorf D., Lebbé C., Hausen A., et al. Merkel cell carcinoma: Epidemiology, prognosis, therapy and unmet medical needs // Eur J Cancer. 2017. Vol. 71. Р. 53–69. doi: 10.1016/j.ejca.2016.10.022
- Heath M., Jaimes N., Lemos B., et al. Clinical characteristics of Merkel cell carcinoma at diagnosis in 195 patients: the AEIOU features // J Am Acad Dermatol. 2008. Vol. 58, N 3. Р. 375. doi: 10.1016/j.jaad.2007.11.020
Дополнительные файлы




