Multiple painful ulcerative-necrotic lesions in the lower extremities
- Authors: Teplyuk N.P.1, Grabovskaya O.V.1, Kusraeva D.T.1, Varshavsky V.A.1
-
Affiliations:
- I.M. Sechenov First Moscow State Medical University (Sechenov University)
- Issue: Vol 23, No 3 (2020)
- Pages: 197-198
- Section: Articles
- Submitted: 02.11.2020
- Accepted: 02.11.2020
- Published: 15.06.2020
- URL: https://rjsvd.com/1560-9588/article/view/48903
- DOI: https://doi.org/10.17816/dv48903
- ID: 48903
Cite item
Full Text
Abstract
Patient K., 44 years old, has been ill since November 2018, when for the first time, for no apparent reason, noted the appearance of a painful pustule in the anterior surface of the left leg. After spontaneous opening of the element, an ulcer was formed, characterized by rapid growth (in 14 days up to 8-9 cm in diameter). I turned to a dermatologist, after consultation, treatment was carried out (prednisolone 30 mg per day, antibacterial drugs, vascular therapy, non-steroidal anti-inflammatory drugs) with a positive effect in the form of a gradual, complete scarring of the ulcer.
Keywords
Full Text
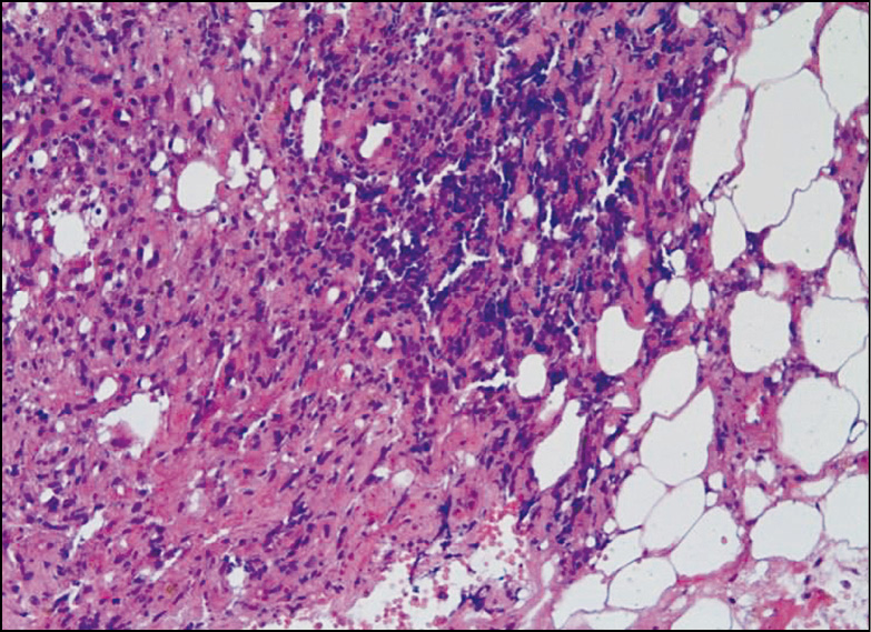
Пациент К., 44 года, болен с ноября 2018 г., когда впервые без видимых причин отметил появление болезненной пустулы в области передней поверхности левой голени. После самопроизвольного вскрытия элемента образовалась язва, характеризующаяся быстрым ростом (за 14 дней до 8–9 см в диаметре). Обратился к дерматологу, после консультации было проведено лечение (преднизолон 30 мг/сут, антибактериальные препараты, сосудистая терапия, нестероидные противовоспалительные препараты) с положительным эффектом в виде постепенного, полного рубцевания язвенного дефекта. В декабре 2019 г., через 3 мес после самостоятельной резкой отмены преднизолона, появились новые множественные высыпания в виде болезненных пустул с гнойно-геморрагическим содержимым в области правой нижней конечности, характеризующиеся быстрым ростом с изъязвлением и интенсивной болезненностью. При осмотре: на коже в области правой нижней конечности, болезненные язвы с валикообразно приподнятыми краями синюшной окраски диаметром до 13 см. Дно язв покрыто гнойно-геморрагическим экссудатом, местами – геморрагическими корками (рис. 1). Вокруг язв отмечается зона фиолетовой эритемы. Патогистологическая картина представлена на рис. 2.
Рис. 1
Рис. 2
Диагноз: гангренозная пиодермия, язвенная форма.
Патогистология. В препаратах кожи обильная нейтрофильная инфильтрация дермы и гиподермы с формированием подэпителиальных абсцессов, явления лейкоцитокластического васкулита.
Общие сведения. Гангренозная пиодермия (ГП) – редкий аутовоспалительный, нейтрофильный дерматоз, характеризующийся клинически болезненными язвенно-некротическими поражениями кожи, гистологически – обильной нейтрофильной инфильтрацией дермы [1].
Впервые ГП была описана французским дерматологом L. Brogq как “рhagedenismegeometrique”, а современный термин ввели американские дерматологи A. Brunsting, W. Goeckerman и P. O'Leary в 1930 г. ГП, несмотря на название, не является ни гангреной, ни пиодермией. В мире ГП регистрируют с частотой 3–10 случаев на 1 млн населения в год. Женщины страдают чаще мужчин. Заболеть ГП могут лица любого возраста, включая детей, но чаще всего болезнь развивается у взрослых людей в возрасте от 20 до 50 лет [2–4].
Этиопатогенетические механизмы ГП достаточно сложны и считаются многофакторными, включая дисрегуляцию врождённой и адаптивной иммунных систем, дисфункцию нейтрофилов, генетические нарушения. В 25–30% случаев заболевание имеет идиопатическую природу, в остальных ассоциируется с различными по природе нозологиями, наиболее часто с воспалительными заболеваниями кишечника, лимфопролиферативными процессами, аутоиммунными и некоторыми другими состояниями. ГП может быть также следствием лекарственной терапии [5–7].
Клиническая картина. По классификации клинических форм выделяют язвенную (классическую), пустулёзную, буллёзную, вегетирующую, перистомальную, пост-операционную, внекожную ГП. Обычно у больного отмечается наличие один вариант заболевания, но иногда наблюдается сочетание нескольких клинических форм.
Язвенная ГП развивается с болезненной пустулы. Вскрытие элемента приводит к образованию язвы с валикообразно приподнятыми краями багрово-синюшной окраски. Дно язвы обычно покрыто гнойно-геморрагическим отделяемым. Язвы характеризуются быстрым ростом (до 2 см в диаметре за сутки), вокруг язвенного дефекта формируется зона эритемы. Данная форма ГП является наиболее частой и соответствует классической клинической картине [3, 4].
Пустулёзная ГП характеризуется тем, что пустулы не превращаются в язвы, а «замирают» на этой стадии. Эта форма ГП протекает менее агрессивно. Болезненные пустулы, расположенные преимущественно на туловище и разгибательной поверхности конечностей, могут существовать у пациентов месяцами без интенсивного роста [2].
Буллёзная ГП – проявляется в виде пузырей, растущих по своей окружности. После их вскрытия возникают эрозии, быстро трансформирующиеся в поверхностные язвы, с характерными валикообразно приподнятыми краями багрово-синюшной окраски [4].
Вегетирующая ГП (поверхностная гранулематозная пиодермия) – медленно прогрессирующая форма, представляющая собой синевато-красного цвета бляшки с изъязвлениями, резко ограниченные от окружающей здоровой кожи, приподнятые над её поверхностью и имеющие неправильные или округлые очертания [4, 7].
Перистомальная, постоперационная ГП представляет собой феномен патергии (появление элементов ГП на месте травмы), может развиваться как сразу, так и спустя 7–11 дней после проведённой операции.
Внекожная ГП – характеризуется поражением лёгких, сердца, центральной нервной системы и других внутренних органов при отсутствии кожных проявлений [7].
Патогистология. Характерными для ГП гистологическими признаками являются обильный нейтрофильный инфильтрат в дерме с формированием микроабсцессов, лейкоцитокластический васкулит с повреждением сосудистой стенки, экстравазация фибрина и эритроцитов [6].
Дифференциальную диагностику проводят с инфекционными заболеваниями (лейшманиоз, туберкулез, сифилис, бластомикоз и др.), васкулитами и аутоиммунными заболеваниями (болезнь Бехчета, антифосфолипидный синдром, криоглобулинемия и др.), другими нейтрофильными дерматозами (синдром Свита), сосудистыми заболеваниями (язва Марторелла, артериальные язвы, венозные язвы) [4, 5].
Диагноз основывается на типичной клинической картине и результатах гистологического исследования [7].
Терапия ГП сфокусирована на подавлении системного воспаления. Выбор лечения зависит от множества факторов, в том числе от локализации высыпаний, их количества, размера, наличия сопутствующих заболеваний, развивающихся побочных эффектов, а также стоимости лечения. Среди методов терапии, лидирующие позиции сохраняют системные глюкокортикостероиды (ГКС), как в виде монотерапии, так и в сочетании с цитостатическими препаратами. Особое место в лечении ГП занимают препараты таргетной терапии, включая ингибиторы интерлейкинов (IL-1a, IL-6, IL-17) и фактора некроза опухоли альфа, так как именно эти провоспалительные цитокины в больших количествах обнаруживаются в очагах поражения ГП, однако чётких критериев для их назначения в настоящее время не существует. Важным аспектом в является назначение адекватной местной терапии, включающей очищение язв, влажные стерильные повязки, а также контроль над болью и мониторинг признаков вторичной раневой инфекции [5–8].
About the authors
N. P. Teplyuk
I.M. Sechenov First Moscow State Medical University (Sechenov University)
Email: kysra1992@mail.ru
Russian Federation, Moscow
O. V. Grabovskaya
I.M. Sechenov First Moscow State Medical University (Sechenov University)
Email: kysra1992@mail.ru
Russian Federation, Moscow
Diana T. Kusraeva
I.M. Sechenov First Moscow State Medical University (Sechenov University)
Author for correspondence.
Email: kysra1992@mail.ru
postgraduate of Department of Dermatology and Venereology of I.M. Sechenov First Moscow State Medical University (Sechenov University)
Russian Federation, MoscowV. A. Varshavsky
I.M. Sechenov First Moscow State Medical University (Sechenov University)
Email: kysra1992@mail.ru
Russian Federation, Moscow
References
- Marzano AV, Damiani G, Ceccherini I, Berti E, Gattorno M, Cugno M. Autoinflammation in pyoderma gangrenosum and its syndromic form (pyoderma gangrenosum, acne and suppurative hidradenitis). Br J Dermatol. 2017;176(6):1588-98.
- Ivanov OL, ed. Skin and venerologic diseases. Moscow: Medicine; 2007. (in Russian)
- Olisova OYu, Teplyuk NP. Dermatological Atlas. Moscow: GEOTAR-media; 2015. (in Russian)
- Wolff K, Goldsmith LA, Katz SI, Gilchrest BA, Paller AS, Leffell DJ. Fitzpatrick’s Dermatology in General Medicine. McGraw-Hill Medical; 2008. vol. 2.
- Fletcher J, Alhusayen R, Alavi A. Recent advances in managing and understanding pyoderma gangrenosum. F1000Res. 2019;8: F1000 Faculty Rev-2092.
- Figueras-Nart I, Mascaro JM, Solanich X, Hernandez-Rodriguez J. Dermatologic and dermatopathologic features of monogenic autoinflammatory diseases. Front Immunol. 2019;10:2448.
- Alavi A, French LE, Davis MD, Brassard A, Kirsner RS. Pyoderma gangrenosum: an update on pathophysiology, diagnosis and treatment. Am J Clin Dermatol. 2017;18(3):355-72.
- Olisova OYu, ed. Skin and Venereal Diseases. Moscow: Practical Medicine; 2015. (in Russian)






