New aspects of localized scleroderma pathogenesis: practical basis
- Authors: Zaslavsky D.V.1, Sidikov A.A.2, Garyutkina L.V.1, Sadykov A.I.3, Chuprov I.N.4, Kozlova D.V.1
-
Affiliations:
- St. Petersburg State Pediatric Medical University
- Tashkent State Dental Institute
- LCC “Medical clinic XXI century”
- North-Western State Medical University na II Mechnikov
- Issue: Vol 23, No 4 (2020)
- Pages: 227-237
- Section: CLINICAL PICTURE, DIAGNOSIS, AND THERAPY OF DERMATOSES
- Submitted: 02.11.2020
- Accepted: 02.11.2020
- Published: 15.08.2020
- URL: https://rjsvd.com/1560-9588/article/view/48907
- DOI: https://doi.org/10.17816/dv48907
- ID: 48907
Cite item
Full Text
Abstract
BACKGROUND: Recently there has been an increase in the number of patients with scleroderma.
AIM: This study aimed to investigate the pathogenesis and course and present the immunopathogenesis of localized scleroderma (LS) or morphea.
MATERIALS AND METHODS: From 2010 to 2019, a prospective study of 77 patients with LS was conducted on the basis of the Leningrad regional center for specialized types of medical care. Based on histological examination, LS diagnosis was verified in 40 of 77 patients. Patients with LS (n = 40) were included in the first research group and were then divided into two subgroups based on the limitation period for the first symptoms of the disease: in subgroup I (n = 20), the disease manifested no later than 1.7 months before clinic visit; in subgroup II (n = 20), the limitation period was 1.5 years.
RESULTS: Patients of both subgroups (n = 40) underwent immunohistochemical (IL-2, IL-4, CD4, CD8, vimentin, Toll-like receptor – TLR7) tissue analysis and immunological blood tests to determine autoantibodies. To improve the differential diagnosis of LS, a comparative assessment of clinical manifestations and histological signs was performed in patients with LS (n = 40) and patients with clinically similar dermatoses (n = 37): annular granuloma (n = 12, 7 women and 5 men, average age 44 ± 12 years), small plaque (n = 15, 6 women and 9 men, average age 42 ± 4 years), and large plaque (n = 10, 5 women and 5 men, average age 59 ± 8 years) parapsoriasis. According to the results of the histological examination, inflammatory changes are dominant in patients with LS manifestation period of 1.7 months from the onset of the disease, while fibrotic changes are apparent in patients with a manifestation period of 1.5 years. The expressions of CD4, CD8, IL-2, and TLR7 were more pronounced in subgroup 1, while those of IL-4, CD4, and vimentin were high in subgroup 2. No autoantibodies were detected in the blood of patients with LS. The results allow us to divide the pathogenesis of LS into two phases: inflammatory and fibrotic. Immune dysregulation and fibrosis occur simultaneously, but with phase dependant predominance.
CONCLUSIONS: In the future, a detailed understanding of the pathogenesis of LS will help improve diagnostic and therapeutic algorithms and reduce the frequency of relapse and complications.
Full Text
Ограниченная склеродермия (ОС, морфеа) -- хроническое заболевание соединительной ткани, клинически характеризующееся появлением воспалительных очагов на различных участках, в дальнейшем переходящих в фиброзные. ОС манифестирует преимущественно у пациентов молодого возраста с гендерным преобладанием женщин, а его общая инцидентность достигает 0,26% [1, 2]. В последнее время отмечается рост числа больных склеродермией. Заболевание встречается во всех возрастных группах (от 1--2 лет до пожилого возраста). За рубежом средняя годовая заболеваемость составляет 27 на 1 млн населения, среди стран самая высокая заболеваемость среди подростков отмечена в Великобритании и Ирландии и составляет 34 на 1 млн населения. Половое соотношение среди пациентов составляет 2,6--6:1 с преобладанием женского населения [3]. Общемировая средняя продолжительность заболевания 2,5 года, однако среди пациентов нашего исследования таковая составила 1,5 года [4].
Этиология ОС остается до конца не изученной, однако результаты ранее проведенных исследований указывают на генетически опосредованный аутоиммунный механизм патогенеза, характеризующийся снижением иммунологической толерантности на которые указывают: семейный анамнез, наличие у родственников аутоиммунных заболеваний, связанных с патологиями HLA, наличие провоспалительных хемокинов и цитокинов в тканях, а также циркулирующих аутоантител в крови [5, 6]. Классификации ОС отличаются разнообразием, в нашем исследовании мы использовали классификацию, в которой выделяет несколько основных клинических форм заболевания в зависимости от глубины и распространения очагов поражения: ограниченную, линейную, распространенную, пансклеротическую и смешанную [7, 8]. При распространении склероза вглубь наиболее часто поражаются мышцы, нервные окончания и волокна, реже - сухожилия и костные структуры [9, 10]. При прогрессировании ограниченной склеродермии в системный вариант, у пациентов может появиться: артралгия, миалгия; развиться мышечная атрофия, суставные контрактуры, приводящие к инвалидизации.
Рис. 1. Клинические формы ограниченной склеродермии и схожих с ней дерматозов. а – ограниченная склеродермия у пациента 1-й группы: высыпания представлены эритематозными пятнами с лиловым оттенком, неправильной формы, в центре очага окраска элемента несколько светлее, чем в краевой области; б – кольцевидная гранулёма у пациента 2-й группы: высыпания представлены эритематозными пятнами с лиловым венчиком по периферии; в – мелкобляшечный парапсориаз у пациента 3-й группы: высыпания представлены эритематозными пятнами различной формы, с чёткими границами, диаметром 5–10 см; отмечается более интенсивное окрашивание периферической части очагов поражения; г – крупнобляшечный парапсориаз у пациента 4-й группы: высыпания представлены эритематозными пятнами на коже туловища и молочных желёз.
Ранняя диагностика ОС довольно сложна, потому что в дебюте дерматоз проявляется единичными или множественными эритематозными пятнами, напоминающими воспалительные или лимфопролиферативные заболевания, в число которых входят кольцевидная гранулема, мелкобляшечный парапсориаз и крупнобляшечный парапсориаз. Учитывая незначительную специфичность ранних клинических проявлений заболевания, целесообразно применение новых и наиболее информативных методов диагностики. На сегодняшний день одним из диагностических мероприятий при ОС является определение циркулирующих аутоантител в крови пациентов хотя исследование не является специфичным и не ведет к постановке диагноза. В целом факты свидетельствуют о недостатке информации о заболевании как среди врачей, так и среди пациентов, что диктует необходимость дальнейшего изучения иммунопатогенеза и клинической картины заболевания.
Материалы и методы
С 2010 по 2019 год на базе «ЛенОблЦентра» были обследованы 40 пациентов с диагнозом ограниченная склеродермия ,в дальнейшем с целью проведения дифференциально диагностической оценки клинических и лабораторных данных пациентов с ОС с некоторыми дерматозами были созданы три группы, включающие 12 пациентов с кольцевидной гранулемой, 10 пациентов с крупнобляшечным парапсориазом, 15 пациентов с мелкобляшечным парапсориазом.
В 1-ю группу вошли 40 пациентов с ограниченной склеродермией, из них 18 женщин и 2 мужчин, средним возраст 26 ± 5 лет, срок манифестации первых клинических симптомов составил 1,7 мес, и 17 женщин и 3 мужчин со средним возрастом 29 ± 6 лет, высыпания которых существуют в среднем 1,5 лет с учетом рецидивов. Диагноз ОС был установлен пациентам на основании клинической картины (эритематозные пятна округлой формы, размерами от 2 до 10 см в диаметре, с четкими границами, красно-коричневого цвета с лиловым оттенком по периферии или с фиброзными изменениями в центре, с преимущественной локализацией в области туловища (рис. 1, а). Данные объективного осмотра были сопоставлены с результатами гистологического исследования с целью верификации диагноза, а также с клинической картиной пациентов с кольцевидной гранулемой, крупнобляшечным и мелкобляшечным парапсориазом. В дальнейшем всем пациентам с ОС (n = 40) было проведено иммуногистохимическое исследование. Для проведения иммуногистохимического исследования биоптатов пациенты 1-й группы были разделены на две подгруппы на основании срока давности первичной манифестации клинических симптомов ОС. I подгруппу составили 18 женщин и 2 мужчин со средним возрастом 26 ± 5 лет, срок появления первых клинических симптомов которых составил 1,7 мес. Во II подгруппу вошли 17 женщин и 3 мужчин со средним возрастом 29 ± 6 лет, высыпания которых существуют в среднем 1,5 года. Иммуногистохимическое исследование было выполнено на парафине с применением антител к CD4, CD8, TLR7, виментин, IL-2, IL-4 (табл. 1). Также у 40 пациентов с ограниченной склеродермией был проведен забор венозной крови для определения спектра специфичных аутоантител -- ANA (антинуклеарные антитела, IgG), Ss-DNA (к одноцепочечной ДНК), SS-B (к цитоплазматическому антигену), Sm (к ядерным антигенам), анти-гистоны, центромера B, RP11, RP155 (антитела к РНК-полимеразам), Dc-DNA (антитело к двухцепочечной ДНК), центромера A, Scl-70 (anti-topoisomerase I), anti-Th/T0, anti RNase 3 (к двухцепочечной РНК), Jo-1 (антитела к гистидин-тРНК-синтетазе).
Во 2-ю анализируемую группу включили 12 пациентов (7 женщин и 5 мужчин) средний возраст которых составил 44 ± 12 лет с диагнозом кольцевидная гранулема. Диагноз кольцевидная гранулема был установлен на основании клинической картины (единичные эритематозные пятна или бляшки темно-красного цвета, иногда с лиловым оттенком, более интенсивным по периферии элемента, до 5 см в диаметре, преимущественно округлой формы, с четкими границами, с локализацией преимущественно в области верхних конечностей (рис. 1, б). Всем пациентам 2-й группы (n=12)было проведено патоморфологическое исследование кожи, так как у многих пальпаторно определялось уплотнение в области очагов поражения аналогично пациентам с ОС.
В 3-ю группу вошли 15 пациентов с мелкобляшечным парапсориазом (6 женщин и 9 мужчин), средний возраст которых составил 42 ± 4 года. Диагноз мелкобляшечный парапсориаз был установлен пациентам 3 исследовательской группы на основании клинической картины (симметрично расположенные бледные пятна желтовато-розового цвета, преимущественно полосовидной формы с заостренными концами, шириной до 6 см, без тенденции к слиянию. (рис. 1, в).
В 4-ю группу включили 10 пациентов (5 женщин и 5 мужчин), средний возраст которых составил 59 ± 8 лет с диагнозом крупнобляшечный парапсориаз, Диагноз крупнобляшечный парапсориаз был установлен на основании клинической картины (распространенные эритематозные пятна красно-коричневого цвета с синюшным оттенком, неправильной формы, диаметром до 15 см, с преимущественной локализацией в области туловища (рис. 1, г) и данных анамнеза заболевания (клинические признаки впервые зарегистрированы у пациентов, положительный клинический ответ на применение топических стероидов).
У всех пациентов 1--4-й групп было проанализировано наличие коморбидных заболеваний и вредных привычек (табл. 2). Все участники исследования были осмотрены, у всех были проведены оценка анамнестических данных, клинической картины и гистологическое исследованиекожи из очага поражения.
У всех пациентов биопсийный материал был взят из периферической части очагов поражения, с последующей фиксацией в растворе формалина 40% сроком на 24 ч и приготовлены парафиновые блоки, из которых были сделаны срезы толщиной 4--5 мкм и окрашены гематоксилином и эозином. Анализ результатов гистологического исследования проводили на кафедре патологической анатомии с курсом судебной медицины в Санкт-Петербургском ГПМУ.
Статистическую обработку полученных результатов проводили с помощью пакета IBMSPSS 23, используя непараметрический тест Манна--Уитни. Различия между группами принимали статистически значимыми при р < 0,05.
Результаты
Ранние клинические проявления всех пациентов, принимавших участие в исследовании, были малоспецифичны и схожи. Высыпания на коже у всех пациентов характеризовались преимущественно единичными или множественными эритематозными пятнами, красно-коричневого цвета, иногда с лиловым оттенком, размерами от 2 до 15 см в диаметре. Характерным клиническим признаком, вызывающим трудности при дифференциальном диагнозе, было более интенсивное окрашивание очагов поражения по периферии подобное так называемому «венчику гиперемии», характерному для ОС (табл. 3).
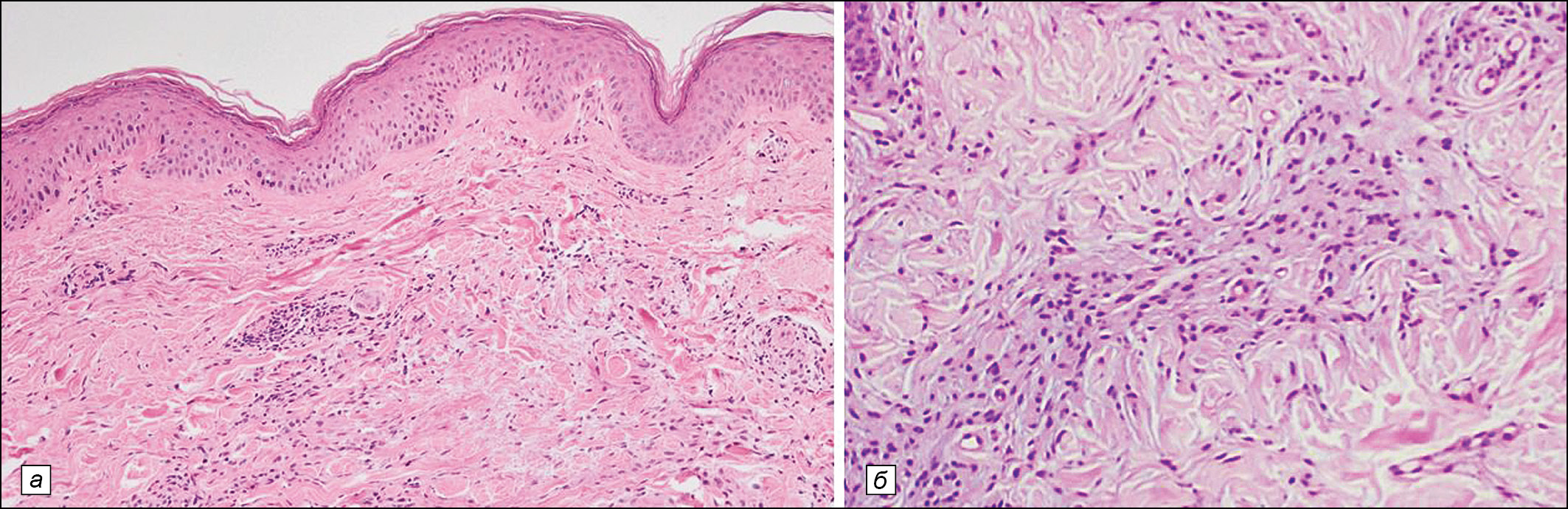
При анализе 77 гистологических препаратов пациентов с ограниченной склеродермией, кольцевидной гранулемой, мелкобляшечным и крупнобляшечным парапсориазом нами было выделено два гистологических паттерна воспаления: «поверхностный и глубокий периваскулярный дерматит» и «склерозирующий/фиброзирующий дерматит». Первый определялся у пациентов 3-й (мелкобляшечный парапсориаз) и 4-й (крупнобляшечный парапсориаз) групп. У пациентов 1-й группы с ОС и 2-й группы с кольцевидной гранулемой, во всех гистологических препаратах (n = 52) определялся второй гистологический паттерн-«склерозирующий/фиброзирующий дерматит, поэтому гистологические препататы пациентов этих групп были проанализированы более детально. Так, во всех гистологических препаратах пациентов с ОС нами выявлены изменения в эпидермисе, которые носили неспецифический характер и были представлены сглаженностью дермо-эпидермального сочленения в 21(52,5%) из 40 случаев, атрофией у 5(12,5%) из 40 и гипоплазией у 8(20%) из 40 пациентов. В сетчатом слое дермы у большинства пациентов был обнаружен периваскулярный и интерстициальный инфильтрат из лимфоцитов с примесью плазмоцитов и фибробластов. В сосочковом слое дермы у 2 (5%) пациентов были обнаружены эозинофилы и в 10 (25%) случаях - меланофаги, (препараты пациентов с длительным течением заболевания. Наблюдалось утолщение коллагеновых волокон в 25 (62,5%) случаях и их гомогенизация у 15 (37,5%) пациентов 1-й группы. Придатки кожи отсутствовали в 16(40%) из 40 случаях ОС. Кроме того, в 18 случаях из 40 (45%) отмечалась гипоплазия экринных и апокриновых потовых желез (табл. 4; рис. 2, а).
Рис. 2. Гистологическая картина пациентов с ограниченной склеродермией (а) и кольцевидной гранулёмой (б). а – ограниченная склеродермия: в гистологическом препарате отмечаются сглаженность дермо-эпидермального сочленения, гомогенизация коллагеновых волокон в сосочковой дерме, диффузный и периваскулярный лимфогистиоцитарный инфильтрат с примесью плазмоцитов в ретикулярной дерме. Окраска гематоксилином и эозином, ув. 200; б – кольцевидная гранулёма: на микрофотографии гистологические изменения в ретикулярной дерме представлены утолщёнными коллагеновыми волокнами, скудным лимфогистиоцитарным инфильтратом; изменения в эпидермисе отсутствуют. Окраска гематоксилином и эозином, ув. 400.
Рис. 3. Иммуногистохимическое исследование у пациентов с ограниченной склеродермией I и II подгрупп. 1а, 2а – резко выраженная положительная реакция в дерме пациентов I и II подгрупп. Иммуногистохимическая реакция с использованием антител к СD4+ -лимфоцитам. Окрашивание ядерное. 1а – ув. 40, 2а – ув. 100; 1б – резко выраженная положительная реакция в дерме пациентов I подгруппы; 2б – умеренно выраженная положительная реакция в дерме пациентов II подгруппы. Иммуногистохимическая реакция с использованием антител к СD8+ -лимфоцитам. Окрашивание ядерное и цитоплазматическое. 1б, 2б – ув. 100; 1в – слабая экспрессия виментина в дерме пациентов I подгруппы; 2в – cильно выраженная экспрессия виментина в дерме пациентов II подгруппы. Иммуногистохимическая реакция с использованием антител к виментину. Окрашивание цитоплазматическое. 1в, 2в – ув. 40; 1г – сильно выраженная экспрессия IL-2 в дерме пациентов I подгруппы; 2г – cлабая экспрессия IL-2 в дерме пациентов II подгруппы. Иммуногистохимическая реакция с использованием антител к IL-2. Окрашивание цитоплазматическое. 1г, 2г – ув. 100; 1д – слабая экспрессия IL-4 в дерме пациентов I подгруппы; 2д – cильно выраженная экспрессия IL-4 в дерме пациентов II подгруппы. Иммуногистохимическая реакция с использованием антител к IL-4. Окрашивание цитоплазматическое. 1д, 2д – ув. 40. 1е – сильно выраженная экспрессия TLR7 в дерме пациентов I подгруппы; 2е – слабая экспрессия TLR7 в дерме пациентов II подгруппы. Иммуногистохимическая реакция с использованием антител к TLR7. Окрашивание ядерное и цитоплазматическое. 1е – ув. 40; 2е – ув. 100.
При анализе гистологических срезов пациентов с кольцевидной гранулемой (n = 12) в эпидермисе изменения не наблюдались. Главным гистологическим признаком являлся интерстициальный лимфо- гистиоцитарный инфильтрат, отмечавшийся во всех 12 (100%) случаях кольцевидной гранулемы. В структурах дермы в 11 (91,6%) случаях отмечалась дезорганизация коллагена, проявляющаяся хаотичным расположением коллагеновых волокон, с их локальным утолщением и разрушением (см. табл. 3; рис. 2, б).
Результаты иммуногистохимического исследования биоптатов показывают, что IL-2, TLR7, CD4, CD8, более интенсивно экспрессированы в дерме пациентов I подгруппы, в эпидермисе отмечается умеренная экспрессия данных маркеров (см. табл. 1). Во II подгруппе отмечалась более выраженная экспрессия IL-4, чем в первой при неизменно выраженной экспрессии CD4, что интерпитируется как смена преобладания Th1 (клеточной иммунной реакции) на Th2 (гуморальной реакции). Снижение экспрессии маркера CD8 с переходом ОС из эритематозной стадии (I подгруппа) в фиброзную (II подгруппа) подтверждает полученные нами результаты в отношении IL-2, активирующего и поддерживающего клеточные иммунные реакции, и IL-4, который опосредует гуморальные. Примечательно, также что у пациентов II подгруппы отмечалась более выраженная экспрессия экстрацеллюлярного белка виментина, а также IL-4. (рис. 3, а--е)
При проведении иммунологического исследования крови с определением спектра специфических аутоантител характерных для ОС пациентам (n = 40) с ограниченной склеродермией (ANA, SS-DNA, анти-гистоны, центромера А, центромера B, RP11, RP155), а также -- для системной дезорганизации соединительной ткани (Scl-70, anti-Sm (=Smith), anti-Jo-1). Мы получили отрицательный результат по каждому исследуемому антителу у всех (n = 40) пациентов с ограниченной склеродермией.
Обсуждение результатов
В нашем исследовании клиническая картина участников исследования с недавним сроком заболеваемости была представлена единичными эритематозными пятнами, с лиловым венчиком по периферии; у пациентов с более длительным существованием высыпаний отмечалось появление атрофии в центре очага поражения, которая сопровождалась уплотнением тканей. У пациентов 2--4-й групп клиническая картина была схожа с проявлениями ограниченной склеродермии, потому всем участникам исследования было проведено гистологическое исследование кожи. Так как при проведении гистологического исследования изменения коллагена в дерме были зарегистрированы только у пациентов 1-й и 2-й групп, они были обследованы более детально (см. табл. 4).
На основании сопоставления данных клинической картины пациентов с ограниченной склеродермией и результатов патоморфологического исследования биоптатов кожи больных, взятых из очагов поражения, можно сделать вывод, что локализация патоморфологических изменений, степень воспаления и фиброза зависит от стадии заболевания.
По данным K. Torok и соавт. [11] выделяют поверхностный, средней глубины и глубокий фиброз в качестве гистологических паттернов, которые соответствуют ограниченной, генерализованной и линейной формам заболевания. В нашем исследовании не было зарегистрировано пациентов с поражением тканей, располагающихся глубже гиподермы. Сравнительный анализ гистологических препаратов пациентов с ОС и кольцевидной гранулемой показал, что среди пациентов с ограниченной склеродермией воспалительный инфильтрат содержит преимущественно гистиоциты, лимфоциты, и плазмоциты, в то время как при кольцевидной гранулеме – характеризуется полным отсутствием плазмоцитов. Примечательно, что при сопоставлении данных гистологического исследования с анамнезом и клинической картиной пациентов с ОС было отмечено, что с прогрессией заболевания снижается соотношение лимфоцитов и гистиоцитов с плазмоцитами, дезорганизация коллагеновых волокон распространяется от сосочкового слоя дермы к гиподерме, поражение более глубоких тканей чаще сопровождалось субъективными ощущениями. При сравнении гистологических изменений в 1-й и 2-й группах было отмечено, что для кольцевидной гранулемы не характерны изменения эпидермиса, придатков и пигментация. В целом, дермальный инфильтрат более скудный при локализованной склеродермии, а изменения коллагена наоборот, преобладают. С прогрессированием ОС у пациентов 1-й группы увеличивался очаг фиброза. Стоит отметить, что изменения коллагена возникали на месте, где располагался воспалительный клеточный инфильтрат, что подтверждает связь между иммунокомпетентными клетками и активацией фибробластов в окружающей дерме и подкожно-жировой клетчатке [12]. Однако, гипотеза о том, что ограниченная склеродермия -- аутоиммунное заболевание была выдвинута на основании наличия аутоантител в крови у пациентов [13]. Появление в организме аутоантител свидетельствует об обнаружении антигена среди собственных органов и тканей. Так, в ходе проводимых за рубежом исследований была обнаружена повышенная экспрессия TLR4 -- внутриклеточного рецептора, в норме ответственного за распознавание бактериальной стенки [14]. Экстрацеллюлярный матрикс, вырабатываемый активированными фибробластами, вероятнее всего распознается TLR4 в качестве чужеродного белка, так как имеет структурное и молекулярное сходство с бактериальной клеточной стенкой. В нашем исследовании не было пациентов, которые имели бы аутоантитела в крови, однако по статистике у 30-50% пациентов они определяются [15]. Стоит отметить, что выработка аутоантител положительно коррелирует с глубиной поражения тканей при ограниченной склеродермии, потому наиболее часто аутоантитела выявляются у пациентов с линейной и пансклеротической формами заболевания [16]. Таким образом, тесты на определение аутоантител не имеют диагностической ценности, однако могут быть предвестниками поражения глубоко лежащих тканей, появления мышечных и суставных контрактур, и соответственно – ограничения функции конечности/органа.
Наиболее часто (30--70%) ANA и до 50% anti-ssDNA антитела вырабатываются у пациентов с ЛС. Антитела, характерные для системного склероза (anti-centromere, anti-topoisomerase), можно обнаружить в 3--18% случаев, у 12% пациентов можно обнаружить anti-RNA-polymerase III. К сожалению, на данный, момент не выявлено связи между определенным антителом и формой заболевания, однако, некоторые авторы считают, что по наличию в крови аутоантител можно судить об активности заболевания и глубине поражения тканей. Некоторые авторы предлагают определение уровня КФК-MM и альдолазы в крови у пациентов с ЛС в качестве маркеров степени мышечной деструк
деструкции, однако тестирование на антитела имеет преимущество, так как может являться прогностическим признаком, тогда как ферменты в крови появляются уже после распада мышечного волокна [17].
Долгое время состав клеток, играющих роль в патогенезе ограниченной склеродермии, оставался предметом дискуссии. На сегодняшний день выявлены основные задействованные виды клеток -- лимфоциты, гистиоциты, плазмоциты и фибробласты. По данным C. Harrington и соавт. [18], у пациентов с ограниченной склеродермией в крови и в тканях преобладает популяция CD4+, в то время как количество Т-регуляторных клеток резко снижено. Т-регуляторные клетки ответственны за иммунологическую толерантность, именно они сдерживают провоспалительную активность Т-хелперов (CD4+) и цитотоксических клеток (CD8). Отсутствие достаточного количества Т-регуляторных клеток, а также распознавание аутоантигенов у пациентов с ограниченной склеродермией свидетельствует о генетической предрасположенности к заболеванию, а именно, мутациях в генах HLA. Наряду с потерей толерантности к собственным тканям, мутации в генах HLA также проявляются повышенной активностью системы интерферона-гамма, который в свою очередь поддерживает активность ответственных за клеточный иммунный ответ Тh1 [19].
Рис. 4. Патогенез ограниченной склеродермии.
В нашем исследовании мы изучали экспрессию маркеров, характерных для клеточного (CD8, CD4, IL-2) и гуморального (IL-4) иммунного ответа, для процессов распознавания антигенов (TLR7), а также нарушений продукции межклеточного вещества (виментин). Примечательно, что у пациентов с эритематозной стадией ограниченной склеродермии экспрессия маркеров CD4, CD8, IL-2, TLR7 была более выраженной, в то время как у пациентов с более давним сроком заболеваемости преобладала экспрессия IL-4, CD4 и виментина.
В нашем исследовании прослеживалась смена преобладания экспрессии IL-2 (Th1) на IL-4 (Th2) при неизменном количестве CD4, что свидетельствует о переключении типа иммунного ответа с клеточного на гуморальный.
Мы провели оценку выраженности экспрессии Toll-подобного рецептора 7 (TLR7) -- мембранного белка, входящего в группу TLR, обеспечивающих функционирование врождённого иммунитета. По данным T. Kawai и S. Akira [20] экспрессия TLR4 очень выражена у больных ОС, что может указывать на бактериальное повреждение сосудистой стенки, которое в дальнейшем вело к возникновению очага склероза. Так, TLR7 локализуется в эндосомах и распознаёт одноцепочечные молекулы РНК, являясь наряду с TLR3 и TLR9 компонентом противовирусной системы защиты организма, однако по данным исследований экспрессия TLR3 и TLR9 не выходила за пределы нормы у пациентов с ОС.
У пациентов 1-й группы с недавним сроком появления высыпаний была зарегистрирована более выраженная экспрессия TLR7 (в сосочковой и ретикулярной дерме периваскулярно), что может указывать на вирусное повреждение сосудистой стенки.
На основании данных, полученных в результате проведенных нами исследований и анализа зарубежных и отечественных литературных источников, мы предполагаем следующий патогенетический механизм ограниченной склеродермии (рис. 4). Инициирующим событием в патогенезе ограниченной склеродермии является травма сосудистой стенки. Поврежденные клетки эндотелия начинают продуцировать стрессорные молекулы HMGB1 и DAMPs, воспринимаемые атиген-презентирующим клетами (АПК). АПК участвуют в поляризации иммунного ответа: при распознавании собственных белков посредством контакта MHC и TCR обычно происходит превращение Th0 в Treg, однако у пациентов с ограниченной склеродермией взаимодействие АПК и Th0 осуществляется с участием активаторных ко-стимулирующих молекул, ввиду чего Th0 превращаются в Th1. В то же время происходит миграция Th1 в ткани в области травматизации сосудистой стенки, потому как эндотелий сосудов продуцирует молекулы адгезии, селектины и хемокины. Стоит отметить, что Th1 продуцируют TNFa и INFy, которые угнетающе воздействуют на T-регуляторные клетки, а следовательно, оказывают дополнительное провоспалительное воздействие. Под влиянием TNFa эндотелиоциты продуцируют IL-6 и TGFb, которые, присоединяясь к рецепторам фибробластов, активируют их метаболизм и пролиферацию через сигнальные пути JAK2/AKT (для IL-6) и молекулы SMAD2/3-SMAD4 (для TGFb). Известно, что в тканях пациентов с ЛС может находиться растворимый рецептор к IL-6, который, активизируясь, на мембране фибробластов задействует белки gp130, также передающие пролифиративные сигналы по пути JAK2/STAT3 [21]. TGFb также осуществляет индукцию позитивной регуляции транскрипции ДНК фибробласта, что ведет к повышению скорости его метаболизма и усиленной продукции экстрацеллюлярного матрикса (коллагена 1 и 3-го типов).
Активированные эндотелиоциты могут длительно продуцировать HMGB1 и хемокины, которые привлекают к очагу поражения плазмоцитоидные дендритные клетки. Последние способствуют поляризации Th0 в Th2, в то время как уже достаточно выраженные очаги фиброза способствуют миграции Тh2 в очаг поражения. Однако механизм поляризации в данном случае не до конца изучен, вероятно иммунологическое микроокружение способно направлять эти процессы по различным путям (плазмацитоидные дендритные клетки могут направлять поляризацию иммунного ответа также по 1 и 17-му путям). В свою очередь Th2 потенцируют процессы фиброза и поликлональную активность В-лимфоцитов, которые в дальнейшем дифференцируются в плазмоциты и продуцируют антитела.
Заключение
Наши результаты показывают, что при подозрении на ограниченную склеродермию необходимо проводить тщательную дифференциальную диагностику, не ограничивающуюся объективным осмотром, гистологическим исследованием и обнаружением аутоантител в периферической крови. Солитарные или множественные эритематозные пятна, располагающиеся преимущественно на коже туловища и иногда -- конечностей могут указывать не только на ОС, но и на раздраженную форму мелкобляшечного парапсориаза, кольцевидную гранулему, а также на уже латентную форму грибовидного микоза -- крупнобляшечный парапсориаз. В нашем исследовании обнаружение аутоантител, гистологическое и иммуногистохимическое исследования были направлены на изучение патогенеза локализованной склеродермии, а также на создание обоснования исключения системности заболевания.
Перспективным и значимым нам представляется детальное изучение факторов, ведущих к появлению ограниченной склеродермии, с целью дальнейшего усовершенствования терапевтических методик (проведения патогенетической терапии) и снижения частоты рецидивов у пациентов; а также внедрение новых диагностических тестов (иммуногистохимическое исследование кожи, УЗИ кожи на средней несущей частоте 70 МГц, определение тканевой кислородной перфузии в очаге поражения) с целью раннего обнаружения локализованной склеродермии и предотвращения появления осложнений у пациентов.
About the authors
Denis V. Zaslavsky
St. Petersburg State Pediatric Medical University
Author for correspondence.
Email: venerology@gmail.com
ORCID iD: 0000-0001-5936-6232
MD, PhD, DSc, Professor dermatovenereology department, St. Petersburg State Pediatric Medical University
Russian Federation, St. PetersburgA. A. Sidikov
Tashkent State Dental Institute
Email: venerology@gmail.com
ORCID iD: 0000-0002-0909-7588
Uzbekistan, Tashkent
L. V. Garyutkina
St. Petersburg State Pediatric Medical University
Email: venerology@gmail.com
Russian Federation, St. Petersburg
A. I. Sadykov
LCC “Medical clinic XXI century”
Email: venerology@gmail.com
Russian Federation, St. Petersburg
I. N. Chuprov
North-Western State Medical University na II Mechnikov
Email: venerology@gmail.com
Russian Federation, St. Petersburg
D. V. Kozlova
St. Petersburg State Pediatric Medical University
Email: venerology@gmail.com
Russian Federation, St. Petersburg
References
- Ananieva LP. Treatment of systemic scleroderma based on national recommendations and recommendations of the European League against rheumatism (eular). Moscow: Bionica Media; 2018:79-86. (in Russian)
- Rodionov AN, Nasyrov RA, Zaslavsky DV, et al. Diffuse connective tissue disease: clinical features and morphology of the skin lesions. St.Petersburg: Navoi; 2015. (in Russian)
- Dharamsi JW, Victor S, Aguwa N, Ahn C, Arnett F, Mayes MD, Jacobe H. Morphea in adults and children cohort III: nested case-control study–the clinical significance of autoantibodies in morphea. JAMA Dermatol. 2013;149(10):1159-65.
- Mayes MD. Classification and epidemiology of scleroderma. Semin Cutan Med Surg. 1998;17(1):22-6.
- Rodionov AN, Zaslavsky DV, Sidikow AA, Chuprov IN, Agaev RA, Skrek SV, et al. Illustrated handbook of clinical diagnosis by professor Rodionov AN. Moscow: Publishing House “Granitsa”; 2018. (in Russian)
- Olisova OYu, ed. Skin and Venereal Diseases. Moscow: Praktical Medicina; 2015. (in Russian)
- Rodionov AN, Zaslavsky DV, Sidikov AA. Clinical dermato- logy. Moscow: GEOTAR-Media; 2019. (in Russian)
- Dubensky VV, Nekrasova EG, Dubensky Vl V, Aleksandrova OA, Muraveva ES, Ivanova AS. Rare forms of localized scleroderma. Russian Journal of Skin and Venereal Diseases. 2019;22(1):46-50. (in Russian)
- Zulian F, Vallongo C, Woo P, Russo R, Ruperto N, Harper J, et al.; Juvenile Scleroderma Working Group of the Pediatric Rheumatology European Society (PRES). Localized scleroderma in childhood is not just a skin disease. Arthritis Rheum. 2005;52(9):2873-81. doi: 10.1002/art.21264
- Kister I, Inglese M, Laxer RM, Herbert J. Neurologic manifestations of localized scleroderma: a case report and literature review. Neurology. 2008;71(19):1538-45. doi: 10.1212/01.wnl.0000334474.88923.e3
- Torok KS, Li SC, Jacobe HM, Taber SF, Stevens AM, Zulian F, Lu TT. Immunopathogenesis of pediatric localized scleroderma. Front Immunol. 2019;10:908. doi: 10.3389/fimmu.2019.00908
- Rodionov AN, Zaslavsky DV, Chuprov IN, Nasyrov RA, Zaitsev VS, Ibragimov KU, et al. Dermatopathology of Inflammatory Skin Diseases. Tashkent: Baktria Press; 2014. (in Russian)
- Odonwodo A, Badri T, Hariz A. Scleroderma (Systemic Sclerosis). In: StatPearls. Treasure Island (FL): StatPearls Publishing; 2020.
- Chia JJ, Lu TT. Update on macrophages and innate immunity in scleroderma. Curr Opin Rheumatol. 2015;27(6):530-6.
- Arisi M, Cavazzana I, Cerutti ME, Ferrari F, Carabellese N, Rossi MT, et al. Antibodies against antigens related to scleroderma in a cohort of patients with morphea. G Ital Dermatol Venereol. 2018;153(4):451-8.
- Khatri S, Torok KS, Mirizio E, Liu C, Astakhova K. Autoantibodies in morphea: An update. Front Immunol. 2019;10:1487. doi: 10.3389/fimmu.2019.01487
- Wu EY, Li SC, Torok KS, Virkud Y, Fuhlbrigge RC, Rabinovich CE. Childhood Arthritis and Rheumatology Research Alliance (CARRA) Legacy Registry Investigators. Baseline description of the juvenile localized scleroderma subgroup from the childhood arthritis and rheumatology research alliance legacy registry. ACR Open Rheumatol. 2019;1(2):119-24. doi: 10.1002/acr2.1019
- Harrington CI, Dunsmore IR. An investigation into the incidence of auto-immune disorders in patients with localized morphoea. Br J Dermatol. 1989;120(5):645-8.
- Jacobe H, Ahn C, Arnett FC, Reveille JD. Major histocom- patibility complex class I and class II alleles may confer susceptibility to or protection against morphea: findings from the morphea in adults and children cohort. Arthritis Rheumatol. 2014;66(11):3170-7.
- Kawai T, Akira S. The role of pattern-recognition receptors in innate immunity: update on Toll-like receptors. Nat Immunol. 2010;11(5):373-84.
- Kurzinski K, Torok KS. Cytokine profiles in localized scleroderma and relationship to clinical features. Cytokine. 2011;55(2):157-64. doi: 10.1016/j.cyto.2011.04.001
Supplementary files










