Multiple erythematous-squamous foci in visible skin areas
- Authors: Tepluyk N.P.1, Grabovskaya O.V.1, Kayumova L.N.1, Mishin S.A.1, Mak D.V.1
-
Affiliations:
- IM Sechenov First Moscow State Medical University (Sechenov University)
- Issue: Vol 23, No 4 (2020)
- Pages: 272-274
- Section: PHOTO TASK
- Submitted: 02.11.2020
- Accepted: 02.11.2020
- Published: 15.08.2020
- URL: https://rjsvd.com/1560-9588/article/view/48923
- DOI: https://doi.org/10.17816/dv48923
- ID: 48923
Cite item
Full Text
Abstract
The photo task in the form of multiple erythematous-squamous foci in open areas of the skin in a 60-year-old patient is described. The trigger factor for this disease was insolation. Diagnosis was verified histologically.
Full Text
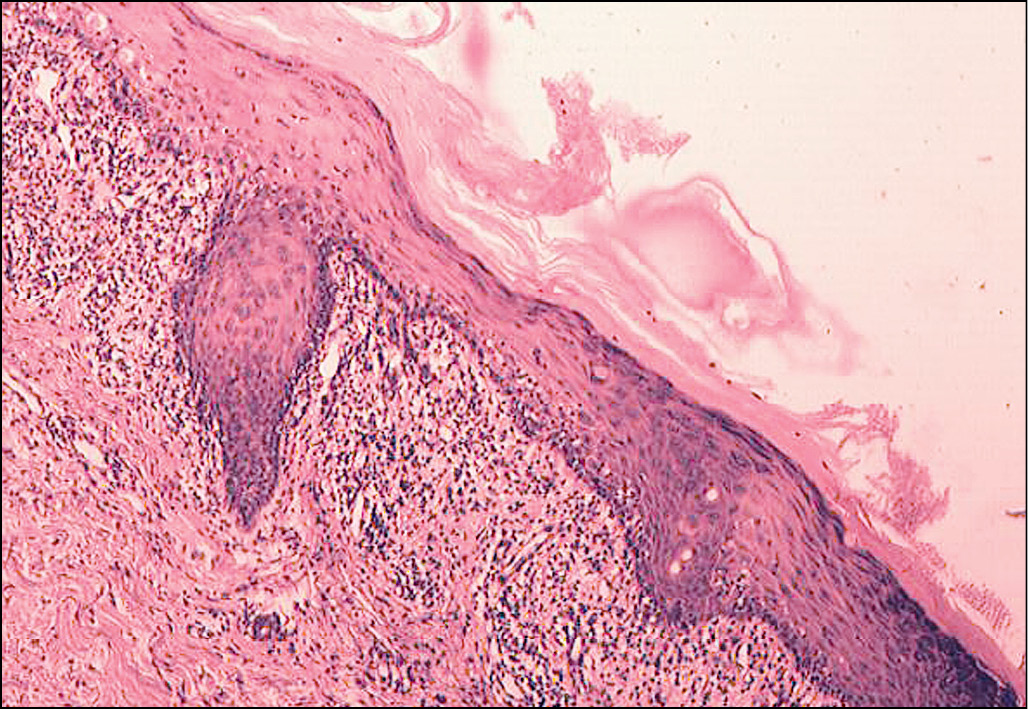
Больная Б., 60 лет, поступила с жалобами на высыпания на коже лица, шеи, плеч, верхней части груди и спины (рис. 1), которые возникли около года назад. Начало заболевания связывает с инсоляцией во время отдыха. Субъективные ощущения отсутствуют, однако при снятии чешуек с поверхности высыпаний возникает болезненность. Картина гистологического исследования представлена на рис. 2.
Рис. 1
Рис. 2
Диагноз: дискоидная (хроническая распространённая) красная волчанка.
Гистологическое исследование. Гиперкератоз с роговой пробкой в углублении эпидермиса, вакуольная дегенерация базального слоя, отёк дермы, расширение кровеносных и лимфатических сосудов, образование лимфоцитарных инфильтратов вокруг сосудов и придатков кожи, явления васкулита.
Общие сведения. Красная волчанка (КВ) –
аутоиммунное заболевание, характеризующееся поражением соединительной ткани, кожи и внутренних органов, в патогенезе которого определяющую роль играет образование аутоантител [1]. Заболеваемость кожными формами КВ составляет 4,3 случая на
100 тыс. населения [2]. Женщины страдают чаще мужчин. КВ регистрируют во всех возрастных группах, но чаще всего заболевание развивается в возрасте
от 15 до 44 лет [3].
Этиопатогенетические механизмы КВ достаточно сложны и считаются многофакторными, включая аутоиммунный синдром с генетической предрасположенностью, вирусный генез болезни с участием ретровирусов, подавление клеточного иммунитета в виде дисбаланса Т- и В-лимфоцитов, формирование антиядерных антител, образование и осаждение иммунных комплексов на стенках сосудов органов и тканей с дальнейшим развитием воспалительной реакции. В качестве триггерных факторов выступают длительная инсоляция, повышенная фоточувствительность, переохлаждение, стресс, очаговая стрептококковая инфекция, вакцинация, нейроэндокринные нарушения, беременность, аборт. КВ может развиться вследствие лекарственной терапии (гидралазин, сульфаниламиды, антибиотики, противозачаточные, противосудорожные, изониазид) [4, 5].
В рабочей классификации клинических форм КВ выделяют кожную (интегументную) и системную. К кожной (интегументной) форме относят дискоидную, диссеминированную, центробежную эритему Биетта, глубокую красную волчанку Капоши–Ирганга. Системная форма у больных различается по течению (острая, подострая, хроническая), по степени тяжести (лёгкая, среднетяжёлая, тяжёлая), по вариантам (кожно-суставной, почечный, лёгочный, неврологический). Однако в настоящее время предпочтение отдаётся классификации, представленной в Федеральных рекомендациях РОДВК-2020, в которой отсутствует понятие «диссеминированная» [6].
Клиническая картина дискоидной КВ характеризуется образованием на открытых участках кожного покрова множественных, чётко очерченных, розово-красного цвета с синюшным оттенком, неправильных очертаний плотно сидящих белых чешуек, с развитием в их зоне, начиная с центральной части в начале заболевания, фолликулярного гиперкератоза, а затем рубцовой атрофии. Характерны симптомы Бенье–Мещерского (попытка снять чешуйку с поверхности бляшки сопровождается болезненностью), «дамского каблучка» (при снятии чешуек на их обратной стороне выявляются роговые шипики). При данной форме КВ вероятность её трансформации в системную КВ составляет до 10% [6].
Патогистология. Характерными для КВ гистологическими признаками являются гиперкератоз с роговыми пробками в устьях волосяных фолликулов, атрофия росткового слоя эпидермиса, вакуольная дегенерация базальных клеток, отёк и расширение сосудов сосочкового слоя дермы, лимфоцитарная инфильтрация вокруг сосудов и придатков кожи, базофильная дегенерация коллагена, отложения муцина [1, 6].
С диагностической целью проводят общий анализ крови (анемия, лейкопения, лимфопения, тромбоцитопения, повышение скорости оседания эритроцитов); исследуют кровь на наличие антинуклеарных антител, антител к двуспиральной нативной ДНК, ядерным и цитоплазматическим антигенам, фосфолипидам, компонентам системы комплемента, на антитела к гистонам. Метод прямой реакции иммунофлюоресценции биоптата кожи из очага поражения позволяет выявлять крупноглобулярные отложения иммуноглобулинов M/G и комплемента в зоне базальной мембраны (положительный тест «волчаночной полоски») [1, 6].
Дифференциальную диагностику проводят с розацеа, себорейной экземой, фотодерматитом, псориазом, туберкулёзной волчанкой, ангиолюпоидом Брока–Потрие (телеангиэктатический вариант кожного саркоидоза), лимфоцитарной инфильтрацией Джесснера–Канофа, эритематозной (себорейной) пузырчаткой Сенира–Ашера [7].
Лечение. Терапия 1-й линии КВ с поражением кожи включает использование противомалярийных препаратов хинолинового ряда. После достижения клинического ответа больного переводят на лечение поддерживающей дозой препарата; приём препаратов может продолжаться до 2–3 лет в зависимости от активности заболевания и степени поражения внутренних органов. При распространённых высыпаниях и признаках системности назначают системные глюкокортикостероиды в комбинации с противомалярийными препаратами. В качестве местного лечения применяют глюкокортикостероидные фторсодержащие мази, при отсутствии эффекта –
ингибиторы кальциневрина (такролимус 0,1%,
пимекролимус 1%) [6].
Профилактика. Больные должны находиться под диспансерным наблюдением дерматолога и ревматолога. Один раз в полгода необходима консультация офтальмолога во избежание развития ретинопатии при приёме антималярийных препаратов.
В весенне-летний период показан профилактический приём хинолиновых препаратов. Рекомендуется проводить санацию очагов хронической инфекции; исключить воздействие УФ-облучения на кожу, т.к. возможна трансформация кожной формы в системную; использовать фотозащитные кремы с SPF50 за 30 мин до выхода на улицу, шляпу, одежду с длинными рукавами.
About the authors
N. P. Tepluyk
IM Sechenov First Moscow State Medical University (Sechenov University)
Email: avestohka2005@inbox.ru
ORCID iD: 0000-0002-5800-4800
Russian Federation, Moscow
O. V. Grabovskaya
IM Sechenov First Moscow State Medical University (Sechenov University)
Email: avestohka2005@inbox.ru
ORCID iD: 0000-0002-1231-1717
Russian Federation, Moscow
Lyailya N. Kayumova
IM Sechenov First Moscow State Medical University (Sechenov University)
Author for correspondence.
Email: avestohka2005@inbox.ru
SPIN-code: 4391-9553
MD, PhD, assistant
Russian Federation, MoscowS. A. Mishin
IM Sechenov First Moscow State Medical University (Sechenov University)
Email: avestohka2005@inbox.ru
Russian Federation, Moscow
D. V. Mak
IM Sechenov First Moscow State Medical University (Sechenov University)
Email: avestohka2005@inbox.ru
Russian Federation, Moscow
References
- Trofimov PN, Antonova OV, Shvyrev DN, Khairutdinov VR, Belousova IE, Samtsov AV. Cutaneous lupus erythematosus: pathogenesis, clinical pattern, diagnostics, therapy. Herald of Venerology and Dermatology. Russian Journal. 2015;(5):24-33. (in Russian)
- Durosaro O, Davis MD, Reed KB, Rohlinger AL. Incidence of cutaneous lupus erythematosus, 1965–2005: a population-based study. Arch Dermatol. 2009;145(3):249-53.
- Rees F, Doherty M, Grainge MJ, Lanyon P, Zhang W. The worldwide incidence and prevalence of systemic lupus erythematosus: a systematic review of epidemiological studies. Rheumatology. 2017;56(11):1945-61.
- Werth VP. Cutaneous lupus: insights into pathogenesis and disease classification. Bull NYU Hosp Jt Dis. 2007;65(3):200-4.
- Gronhagen CM, Fored CM, Linder M, Granath F, Nyberg F. Subacute cutaneous lupus erythematosus and its association with drugs: a population-based matched case-control study of 234 patients in Sweden. Br J Dermatol. 2012;167(2):296-305.
- Clinical recommendations. Lupus erythematosus. Moscow: Russian Society of Dermatovenereologists and Cosmetologists; 2020. (in Russian)
- Kuhn A, Sticherling M, Bonsmann G. Clinical manifestations of cutaneous lupus erythematosus. J Dtsch Dermatol Ges. 2007;5(12):1124-37.






