Клинический случай волчаночного панникулита
- Авторы: Теплюк Н.П.1, Грабовская О.В.1, Ражева П.А.1
-
Учреждения:
- ФГАОУ ВО «Первый Московский государственный медицинский университет имени И.М. Сеченова» Минздрава России (Сеченовский Университет)
- Выпуск: Том 23, № 5 (2020)
- Страницы: 334-340
- Раздел: КЛИНИКА, ДИАГНОСТИКА И ЛЕЧЕНИЕ ДЕРМАТОЗОВ
- Статья получена: 13.02.2021
- Статья опубликована: 15.10.2020
- URL: https://rjsvd.com/1560-9588/article/view/60811
- DOI: https://doi.org/10.17816/dv60811
- ID: 60811
Цитировать
Полный текст
Аннотация
ОБОСНОВАНИЕ. Данный клинический случай представляет интерес в связи с чрезвычайной редкостью люпус-панникулита в популяции, а также возможным риском развития системной красной волчанки.
ОПИСАНИЕ КЛИНИЧЕСКОГО СЛУЧАЯ. Представлены клиническое наблюдение редкого дерматоза – волчаночного панникулита и результаты успешного комплексного лечения заболевания с применением системных глюкокортикоидов (преднизолон) и препаратов хинолинового ряда (Плаквенил).
ЗАКЛЮЧЕНИЕ. Раннее обнаружение волчаночного панникулита способствует большей эффективности системной стероидной терапии и хинолиновых препаратов для достижения ремиссии, а динамическое наблюдение за пациентами с люпус-панникулитом способствует выявлению новых или прогрессирующих симптомов.
Полный текст
Обоснование
Волчаночный панникулит (ВП; син.: люпус-панникулит, глубокая красная волчанка, болезнь Капоши–Ирганга) – клиническая форма красной волчанки, характеризующаяся поражением кожи и подкожной жировой клетчатки [1].
В 1883 г. австрийский и венгерский дерматолог и венеролог М. Kaposi впервые представил описание узлов у пациента с красной волчанкой [2]. С момента появления первой публикации М. Kaposi и до начала XX в. возникали дискуссии по поводу происхождения «подкожных узлов»: в то время как глубокая волчанка была признана отдельной нозологической формой с определёнными клиническими и гистопатологическими чертами, люпус-панникулит рассматривали как проявление красной волчанки или саркоидоза. И только в 1940 г. S. Irgang [3] впервые в Америке предложил термин «волчаночный панникулит» при описании пациента с инфильтрированной бляшкой на спине, ассоциированной с дискоидными высыпаниями на лице. С тех пор возникло и другое название заболевания – болезнь Капоши–Ирганга. Позднее, в 1956 г., H. Arnold [4] опубликовал описание 4 новых случаев ВП при отсутствии дискоидных поражений на коже, предположив, что ВП является отдельной нозологической формой.
ВП встречается у 1–3% больных красной волчанкой. Средний возраст дебюта заболевания колеблется от 30 до 60 лет, в детском возрасте возникает редко [5, 6]. Более 30% пациентов с ВП имеют дискоидные поражения, но только у 2–4% больных дискоидной красной волчанкой развивается ВП. В 10–20% случаев ВП ассоциирован с системной красной волчанкой, может возникать как до, так и после начала системного заболевания [7, 8]. Таким образом, важно своевременно идентифицировать кожные проявления и проводить тщательное обследование больного для исключения системного поражения [9].
Клиническая картина при ВП представлена болезненными подкожными узлами или бляшками, нередко с изъязвлением, в области проксимальных отделов конечностей, туловища, лица и волосистой части головы, при разрешении которых формируются атрофические рубцы [10]. На нижних конечностях очаги локализуются редко, в основном у пациентов с хронической венозной недостаточностью, посттромботическим синдромом и перенесённой травмой [9]. Описаны случаи линейного расположения подкожных узлов при склеродермоподобном линейном люпус-панникулите [11].
Гистологически ВП характеризуется гидропической дистрофией в эпидермисе, поражением дермы и подкожно-жировой клетчатки с обширным перисептальным и лобулярным лимфоплазмоцитарным инфильтратом, фибриноидной дегенерацией, гиалиновым некрозом жировой ткани, кальцификацией, часто – отложением муцина в дерме. Может наблюдаться периваскулярная лимфоцитарная инфильтрация с преобладанием плазматических клеток [12–14].
M. Peters и W. Su [15] предложили диагностические большие и малые критерии люпус-панникулита, сохранившие свою актуальность до настоящего времени.
Большие критерии (важные критерии для установления диагноза):
- гиалиновый некроз жировой ткани;
- лимфоцитарные агрегаты и формирование лимфоидных фолликулов;
- перисептальный или лобулярный лимфоцитарный панникулит;
- кальцификация.
Малые критерии:
- изменения по типу дискоидной красной волчанки в рядом расположенной коже;
- лимфоцитарное воспаление стенки сосудов;
- гиалинизация в субэпидермальной зоне;
- отложения муцина;
- гистиоциты и малые гранулёмы;
- инфильтраты, состоящие из плазматических клеток и эозинофилов.
Реакция прямой иммунофлюоресценции биоптата кожи (так называемый Lupus band test) признана важным диагностическим методом при подозрении на люпус-панникулит [6, 16]. При постановке реакции выявляется фиксация иммуноглобулинов G и M (IgG, IgM) и компонента комплемента C3 в области эпидермо-дермального соединения, особенно при ассоциации люпус-панникулита с проявлениями дискоидной красной волчанки [17]. Также в некоторых случаях описывается наличие депозитов IgA в области эпидермо-дермального соединения, иммунных депозитов в стенке сосудов глубоких слоёв дермы. Возможны отложения иммуноглобулинов в области гиалинового некроза жировой ткани, особенно IgG на периферии адипоцитов, в местах скопления коллагена типа IV [2, 16–19].
Работ, посвящённых иммуногистохимическим исследованиям и анализу результатов полимеразной цепной реакции (ПЦР) перестроек Т-клеточного рецептора в клетках инфильтрата при ВП, немного. Первое иммуногистохимическое исследование, проведённое у одного пациента, обнаружило, что доминирующими клетками воспалительного инфильтрата явились Т-лимфоциты (CD4 и CD8) с незначительным преобладанием CD4. В более свежем обзоре иммуногистохимическое исследование было выполнено 9 пациентам, при этом обнаружено, что инфильтрат состоял из a/b T-лимфоцитов с преобладанием CD4-клеток и примесью В-лимфоцитов. В том же исследовании во всех случаях при выполнении ПЦР-анализа была обнаружена поликлональная перестройка генов Т-клеточного рецептора [2, 16, 18, 20].
Дифференциальную диагностику ВП проводят с другими видами панникулитов. Так, при ферментативном панникулите, обусловленном органическим поражением поджелудочной железы, в биохимическом анализе крови повышены уровни липазы и амилазы. Особенностью холодового панникулита является связь между холодовым воздействием и появлением высыпаний, которую выясняют в процессе сбора анамнеза. На особенности психического статуса пациента обращают внимание при искусственном панникулите. Для панникулита, связанного с дефицитом α1-антитрипсина, характерно формирование узлов с изъязвлением и выделением маслянистого вещества в нижней части живота, на ягодицах и в проксимальных отделах конечностей, а также системные проявления, такие как васкулиты, панкреатит, гепатит, нефрит [12].
Индуративная эритема Базена развивается у пациентов с туберкулёзом в анамнезе; локализуется, как правило, в икроножной области; гистологически выявляется гранулематозный инфильтрат с очагами некроза [21].
Дифференциальная диагностика ВП и подкожной панникулитоподобной Т-клеточной лимфомы может вызывать затруднения из-за значительного сходства гистопатологических признаков (отложение муцина в дерме, периваскулярный/перифолликулярный инфильтрат): для установления диагноза необходимы анализ клинической картины, анамнеза и иммуногистохимическое исследование клональности Т-клеток. Известны случаи сочетания этих заболеваний у одного пациента [22, 23].
Гидроксихлорохин считается препаратом 1-й линии для лечения ВП. Высокая частота ответа и наименьшее количество побочных эффектов достижимы при дозе 400 мг/сут, что составляет в среднем ≤ 5,0 мг/кг в сутки [24]. В качестве альтернативного препарата возможно применение хлорохина в дозе не более 2,3 мг/кг в сутки, что составляет около 250 мг/сут. В зависимости от степени тяжести ВП возможно назначение системных глюкокортикостероидов [10].
В результате лечения ритуксимабом рефрактерного ВП у пациентов с дебютом заболевания в детском возрасте наблюдалось уменьшение количества и размера эритематозных очагов и болезненных узлов (как визуально, так и при пальпации), уменьшение атрофии лица [13].
Местно применяются топические стероиды [10].
Для коррекции эстетических дефектов (участков липоатрофии) успешно использовали метод внутриочагового введения стромальной сосудистой фракции. Стромальная сосудистая фракция, образованная из собственной жировой ткани, является богатым источником стволовых клеток, преадипоцитов, предшественников эндотелия, макрофагов и моноцитов. Она обладает регенеративным, ангиогенным, иммуномодулирующим и противовоспалительным действием, корректирует асимметрию лица за счёт восполнения объёма в области липоатрофии [5].
Таким образом, важно динамическое наблюдение за пациентами с ВП для выявления новых или прогрессирующих симптомов [25].
Приводим собственное клиническое наблюдение волчаночного панникулита.
Описание клинического случая
Пациент Г., 46 лет, обратился в клинику кожных и венерических болезней имени В.А. Рахманова Первого МГМУ имени И.М. Сеченова с жалобами на высыпания на коже туловища и верхних конечностей, сопровождающиеся повышением температуры тела до 37 °С.
Из анамнеза заболевания известно, что в феврале 2016 г. пациент впервые отметил появление узлов на латеральной поверхности плеч, верхней трети спины и в области грудины. В связи с этим он обратился в кожно-венерологический диспансер по месту жительства, где было рекомендовано проведение диагностической биопсии кожи для уточнения диагноза. По результатам биопсии был установлен диагноз дискоидной красной волчанки. Пациент неоднократно проходил лечение в кожно-венерологическом диспансере по месту жительства. Общая терапия: Плаквенил 200 мг 1 таблетка 1 раз в сутки; местно: ихтиоловая мазь; физиотерапия: электрофорез с лидазой, фонофорез с мазью Дермовейт с временным положительным эффектом в виде разрешения высыпаний с исходом в липоатрофию. Однако позднее кожный процесс прогрессировал, появлялись новые узлы. Консультирован ревматологом, который исключил системную красную волчанку.
Из анамнеза жизни: родился в 1972 г. в Узбекистане, работает строителем. Из перенесённых заболеваний: ветряная оспа, аппендэктомия (в 1976 г.). Хронические заболевания: цереброваскулярная болезнь (хроническая ишемия головного мозга с диэнцефальным синдромом). Аллергологический анамнез: отёк Квинке на амлодипин. Курит с 18 лет по 1 пачке сигарет в день. Приём алкоголя и наркотических веществ отрицает.
Объективно. Состояние средней степени тяжести. Сознание ясное. Ориентирован в месте и времени. Телосложение нормостеническое, 3-й фототип (по Т. Фитцпатрику). Регионарные лимфатические узлы не увеличены. Костно-суставная и мышечная системы без особенностей. Сердечно-сосудистая система: жалоб нет. Артериальное давление 120/80 мм рт.ст.; частота сердечных сокращений 70 уд. в 1 мин. Пульс удовлетворительного наполнения и напряжения. Органы дыхания: хронический бронхит. Частота дыхательных движений 16/мин. Органы пищеварения: язык влажный, нормальной окраски, не обложен. Осмотр живота: округлой формы, выпячиваний и втяжений не наблюдается.
Болезненности при пальпации нет. Система мочевыделения: симптом Пастернацкого отрицательный с обеих сторон. Почки не пальпируются. При перкуссии мочевой пузырь над лобковым симфизом не определяется. Эндокринная система: щитовидная железа не пальпируется. Глазные симптомы отрицательные. Тремора пальцев рук нет, в позе Ромберга устойчив. Нервно-психическая сфера: жалобы на головные боли и панические атаки, головокружения. Пациент идёт на контакт, в сознании, ориентирован в пространстве и времени. Настроение ровное, спокойное. В двигательной сфере патологических состояний не выявлено.
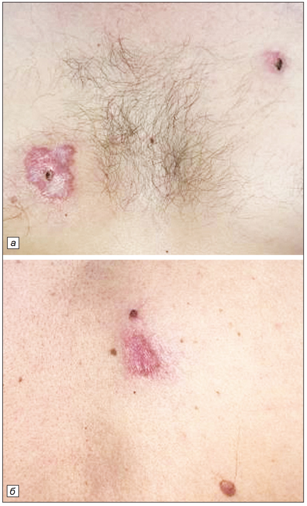
Status localis. Поражение кожи хронического воспалительного характера (рис. 1, а–в).
Рис. 1. Больной Г., 46 лет, при поступлении: а – узлы и очаги липодистрофии на коже груди; б – очаги липодистрофии на коже спины; в – очаги липодистрофии на латеральной поверхности плеча.
Высыпания необильные, мономорфные, симметричные; локализуются в области грудины, межлопаточной области, латеральной поверхности плеч; представлены узлами с глубоким плотным инфильтратом размером 4 × 3,2 × 1,5 и 1,5 × 1 см. В области грудины и на спине кожа над узлами изменена: эритема с синюшным оттенком, округлых и неправильных очертаний с резкими границами. Поверхность очагов шероховатая в результате наслоения чешуек и геморрагических корок. На латеральной поверхности обоих плеч и в межлопаточной области наблюдаются очаги липоатрофии размером 10 × 12 см. Кожа вне очагов поражения; слизистые оболочки, волосы, ногтевые пластины кистей и стоп не изменены. Лимфатические узлы не увеличены. Субъективных ощущений нет.Результаты лабораторных исследований. Показатели общих анализов крови и мочи в пределах нормы, при биохимическом анализе крови выявлено повышение значений триглицеридов – 2,36 ммоль/л (при норме 0–2,25 ммоль/л). Анализы на гепатиты В и С, ВИЧ, сифилис отрицательные. Волчаночный антикоагулянт не обнаружен. Антитела к боррелиям IgG, IgM отрицательные. Получена положительная реакция на АТ к иерсиниям IgG – 0,9 (при норме до 0,8).
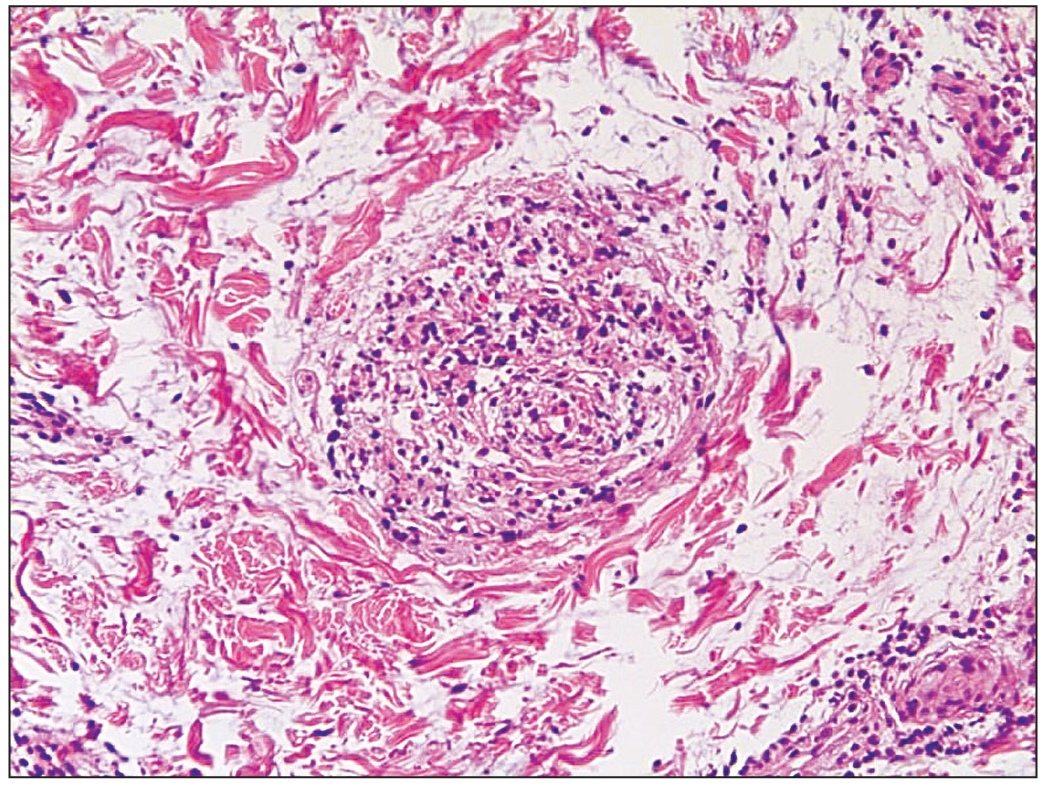
Результат гистологического исследования глубокой биопсии кожи: эпидермис не изменён; в дерме явления продуктивного васкулита. Инфильтрат состоит преимущественно из лимфоцитов. Клетки инфильтрата пропитывают утолщённые стенки сосудов. В подкожно-жировой клетчатке преимущественно лимфоидный инфильтрат, окружающий адипоциты, с примесью плазматических клеток. Заключение: морфология соответствует клиническому диагнозу глубокой красной волчанки (рис. 2).
Инструментальные исследования и консультации. Учитывая жалобы на головокружения, панические атаки, проконсультирован неврологом. 18.04.2019 больному проведена магнитно-резонансная томография (МРТ) головного мозга и сосудов в динамике: картина умеренно выраженной наружной заместительной гидроцефалии; формирующееся пустое турецкое седло; ретроцеребеллярная арахноидальная киста; киста в левой верхнечелюстной пазухе носа.
Заключение МРТ головного мозга от 27.07.2019: картина единичных очаговых изменений вещества мозга дисциркуляторного характера в лобных областях. Умеренно выраженная наружная заместительная гидроцефалия. Формирующееся пустое турецкое седло. Киста левой верхнечелюстной пазухи.
Рекомендована консультация невролога.
Заключение МРТ сосудов головного мозга от 27.07.2019: вариант развития Виллизиева круга – отсутствие кровотока по левой задней соединительной артерии. Патологических расширений сосудов не выявлено. Асимметрия по поперечным синусам.
Для исключения туберкулёзной инфекции и саркоидоза были проведены мультиспиральная компьютерная томография (МСКТ) органов грудной клетки и консультация фтизиопульмонолога.
Заключение МСКТ органов грудной клетки от 17.04.2019: начальные признаки интерстициального процесса в лёгких. Хронический бронхит.
Заключение МСКТ органов грудной полости от 09.06.2019: признаки хронического бронхита. Линейный пневмофиброз в S5 правого лёгкого.
Консультация фтизиатра от 22.04.2019: данных за туберкулёз лёгких нет, Диаскин-тест отрицательный.
Консультация психиатра от 29.05.2019: паническое расстройство, коморбидное кожному заболеванию. Рекомендовано: тразодон 150 мг 1 таблетка на ночь.
Клинический диагноз: глубокая красная волчанка Ирганга–Капоши (волчаночный панникулит).
Лечение и исходы. В клинике проводили следующее лечение:
- преднизолон 5 мг, по 30 мг (6 таблеток) в сутки после еды, курсом 14 дней;
- Плаквенил 200 мг, по 1 таблетке 2 раза в день, 14 дней;
- омепразол 20 мг, 2 раза в день, 14 дней;
- Панангин, по 1 таблетке 3 раза в день, 14 дней;
- кальций D3, по 1 таблетке 3 раза в день, 14 дней;
- Юнидокс солютаб 100 мг, по 1 таблетке 2 раза в день, 3 нед;
- эналаприл 10 мг, 2 раза в день, 8 дней.
Местно: мазь Акридерм ГЕНТА, 2 раза в день, 14 дней; курс фонофореза с глюкокортикостероидной мазью, 5 процедур.
На фоне проведённого лечения наблюдалась положительная динамика со стороны кожного процесса: отсутствие свежих узловатых элементов, регресс наслоений чешуекорок, уменьшение инфильтрата (рис. 3, а, б)
Пациент продолжил лечение амбулаторно с постепенным снижением суточной дозы преднизолона до поддерживающей дозы 10 мг/сут, Плаквенил 200 мг/сут под контролем гемо- и электрокардиограммы. В настоящее время свежих высыпаний нет, наблюдаются рубцовые изменения на месте очагов в межлопаточной области и грудины, при этом инфильтрат полностью регрессировал; сохраняется липоатрофия на боковых поверхностях плеч (рис. 4).
Заключение
Данный клинический случай представляет интерес в связи с чрезвычайной редкостью люпус-панникулита в популяции, а также возможным риском развития системной красной волчанки. Раннее обнаружение ВП способствует большей эффективности системной стероидной терапии и хинолиновых препаратов для достижения ремиссии, а динамическое наблюдение за пациентами с ВП позволяет выявить новые или прогрессирующие симптомы.
Об авторах
Н. П. Теплюк
ФГАОУ ВО «Первый Московский государственный медицинский университет имени И.М. Сеченова» Минздрава России (Сеченовский Университет)
Email: Razheva11@yandex.ru
ORCID iD: 0000-0002-5800-4800
Россия, Москва
О. В. Грабовская
ФГАОУ ВО «Первый Московский государственный медицинский университет имени И.М. Сеченова» Минздрава России (Сеченовский Университет)
Email: Razheva11@yandex.ru
ORCID iD: 0000-0002-5259-7481
Россия, Москва
Полина Александровна Ражева
ФГАОУ ВО «Первый Московский государственный медицинский университет имени И.М. Сеченова» Минздрава России (Сеченовский Университет)
Автор, ответственный за переписку.
Email: Razheva11@yandex.ru
ORCID iD: 0000-0003-4177-0661
ординатор кафедры
Россия, МоскваСписок литературы
- Rangel L.K., Villa-Ruiz C., Lo K., Cobos G., Lo Sicco K., Vleugels R.A., Femia A.N. Clinical characteristics of lupus erythematosus panniculitis / profundus: a retrospective review of 61 patients. JAMA Dermatol. 2020;156(11):1264-6. doi: 10.1001/jamadermatol.2020.2797.
- Braunstein I., Werth V.P. Update on management of connective tissue panniculitis. Dermatol Ther. 2012;25(2):173-82. doi: 10.1111/j.1529-8019.2012.01489.x.
- Irgang S. Lupus erythematosus profundus: Report of an example with clinical resemblance to Darier-Roussy sarcoid. Arch Dermatol Syph. 1940;42:97-108.
- Arnold H.L. Lupus Erythematosus Profundus: Commentary and report of four more cases. AMA Arch Derm. 1956;73(1):15-33.
- Narges Alizade, Rafi ei Rana, Mesbah Alireza, Naji Rad Sara. Lupus erythematosus panniculitis treated with stromal vascular fraction. J Am Acad Dermatol. 2017;76(6):163. doi: 10.1016/j.jaad.2017.04.634.
- Reich A., Marcinow K., Bialynicki-Birula R. The lupus band test in systemic lupus erythematosus patients. Ther Clin Risk Manag. 2011;7:27-32. doi: 10.2147/TCRM.S10145.
- Peters M.S., Su W.P. Panniculitis. Dermatol Clin. 1992;10(1):37-57.
- Winkelmann R.K., Peters M.S. Lupus panniculitis. In: Moschella S.L., ed. Dermatology update. New York: Elsevier; 1982:135-52.
- Lupus panniculitis: Uncommon clinical presentations in patients with certain predisposing factors. J Am Acad Dermatol. 2019;81(4):235. doi: 10.1016/j.jaad.2019.06.1054.
- Mangold A.R., Costello C.M., Cumsky H.J.L., DiCaudo D.J., Griffing W.L., Pittelkow M.R. Systemic scleroderma and lupus panniculitis with atypical clinical features: A case report and comprehensive review. JAAD Case Rep. 2018;4(8):789-93. doi: 10.1016/j.jdcr.2018.03.022.
- Linear sclerodermoid lupus erythematosus panniculitis. J Am Acad Dermatol. 2015;72(5):200. doi: 10.1016/j.jaad.2015.02.812.
- Олисова О.Ю., Грабовская О.В., Теплюк Н.П., Белоусова Т.А., Джавахишвили И.С., Варшавский В.А. Панникулит, обусловленный дефицитом α1-антитрипсина // Российский журнал кожных и венерических болезней. 2014;17(3):32-5.
- Correll C.K., Miller D.D., Maguiness S.M. Treatment of Childhood-Onset Lupus Erythematosus Panniculitis With Rituximab. JAMA Dermatol. 2020;156(5):566-9. doi: 10.1001/jamadermatol.2019.4984.
- Shipman W.D., Vernice N.A., Demetres M., Jorizzo J.L. An update on the use of hydroxychloroquine in cutaneous lupus erythematosus: A systematic review. J Am Acad Dermatol. 2020;82(3):709-22. doi: 10.1016/j.jaad.2019.07.027.
- Peters M.S., Su W.P. Lupus erythematosus panniculitis. Med Clin North Am. 1989;73(5):1113-26. doi: 10.1016/s0025-7125(16)30622-8.
- Llamas-Velasco M., Ovejero-Merino E., Fraga J., García-Diez A., Moreno-Balsalobre R. Pemetrexed-induced painful erythematous nodules in both legs in a patient with recurrent mesothelioma. J Cutan Pathol. 2018;45(2):184-6. doi: 10.1111/cup.13081.
- Tuffanelli D.L. Lupus erythematosus panniculitis (profundus). Arch Dermatol. 1971;103(3):231-42. doi: 10.1001/archderm.1971.04000150001001.
- Massone C., Kodama K., Salmhofer W., Abe W., Shimizu H., Parodi A., et al. Lupus erythematosus panniculitis (lupus profundus): clinical, histopathological, and molecular analysis of nine cases. J Cutan Pathol. 2005;32(6):396-404. doi: 10.1111/j.0303-6987.2005.00351.x.
- Winkelmann R.K. Panniculitis in connective tissue disease. Arch Dermatol. 1983;119(4):336-44.
- Magro C.M., Crowson A.N., Kovatich A.J., Burns F. Lupus profundus, indeterminate lymphocytic lobular panniculitis and subcutaneous T-cell lymphoma: a spectrum of subcuticular T-cell lymphoid dyscrasia. J Cutan Pathol. 2001;28(5):235-47. doi: 10.1034/j.1600-0560.2001.028005235.x.
- Белов Б.С., Егорова О.Н., Савушкина Н.М., Карпова Ю.А., Раденска-Лоповок С.Г. Панникулиты в ревматологической практике // Consilium Medicum. 2016;18(12):117-22.
- Xinyu Wu, Antonio Subtil, Brittany Craiglow, Kalman Watsky, Asher Marks, Christine Ko. The coexistence of lupus erythematosus panniculitis and subcutaneous panniculitis-like T-cell lymphoma in the same patient. JAAD Case Rep. 2018;4(2):179-84. doi: 10.1016/j.jdcr.2017.08.021.
- Олисова О.Ю., ред. Кожные и венерические болезни. М.: Практическая медицина; 2015.
- Case series of rare lupus erythematosus panniculitis in children. J Am Acad Dermatol. 2015;72(5):197. doi: 10.1016/j.jaad.2015.02.802.
- White C., Baltazar D., Miller R. Progression of discoid lupus to lupus panniculitis: An unexplained and likely underreported phenomenon. Cureus. 2020;12(8):e9904. doi: 10.7759/cureus.9904.
Дополнительные файлы






