Clinical case of acne inversa
- 作者: Teplyuk N.P.1, Pirogova A.S.1
-
隶属关系:
- I.M. Sechenov First Moscow State Medical University (Sechenov University)
- 期: 卷 24, 编号 1 (2021)
- 页面: 71-77
- 栏目: CLINICAL PICTURE, DIAGNOSIS, AND THERAPY OF DERMATOSES
- ##submission.dateSubmitted##: 25.02.2021
- ##submission.dateAccepted##: 17.03.2021
- ##submission.datePublished##: 15.02.2021
- URL: https://rjsvd.com/1560-9588/article/view/61847
- DOI: https://doi.org/10.17816/dv61847
- ID: 61847
如何引用文章
全文:
详细
Acne inversa is a rare skin disease characterized by recurrent nodules and abscesses that rupture with suppurative discharge and lead to sinus tracts and scarring. The disease is chronic and debilitating. In typical cases, it is diagnosed at late stages, when more aggressive therapeutic treatment is obligatory. There is not generally any accepted therapeutic algorithms, therefore, it is a difficult-to-manage disease, which determines the necessity for further study.
We present a clinical case of acne inversa with non-classical phenotypic features and the results of its treatment with systemic retinoids, and metformin. We also provide a review of the literature on the etiology, pathogenesis, and diagnosis of acne inversa.
Currently, there is no reliable algorithms of diagnostics and effective treatment for patients with acne inversa, which underlines the importance of further study of this disease.
全文:
Гнойный гидраденит / инверсные акне (hidradenitis suppurativa / acne inversa) ― хроническое воспалительное, инвалидизирующее заболевание кожи, которое, как правило, манифестирует после пубертатного периода и характеризуется появлением болезненных, воспалительных узлов с гнойным отделяемым, склонных к образованию свищей и рубцов. В типичных случаях поражаются участки расположения апокриновых желёз ― подмышечные впадины, паховая и аногенитальная области [1, 2].
Эпидемиологические данные противоречивы: по данным последних исследований, распространённость инверсных акне ― от 0,053 до 4,1% [1, 3]. Вероятно, эпидемиологические показатели занижены в связи с отсутствием патогномоничного лабораторного теста для диагностики заболевания. В среднем время от манифестации дерматоза до установления диагноза составляет около 7 лет, при этом заболевание подтверждается уже на поздних стадиях
(II–III стадия по Hurley) [4–6].
Инверсные акне значительно влияют на качество жизни больного: стандартизированные шкалы GQ (Global Question ― универсальный опросник качества жизни) и DLQI (Dermatology Life Quality Index ― дерматологический индекс качества жизни) оценивают заболевание как сильное или экстремально сильное более чем у 60% пациентов [5, 6] Особенно велико влияние болезни на психическое здоровье: по данным B. Vazquez и соавт. [7], практически у половины пациентов (42,9%) диагностируется депрессия, также велик риск суицидов [8, 9]. Таким образом, инверсные акне ― одно из самых тяжёлых заболеваний в дерматологии, которое приводит как к большим экономическим потерям (высокий уровень безработицы среди пациентов, большинство из которых находится в трудоспособном возрасте), так и дезадаптации больных и их социальной изоляции [1, 9, 10].
Этиопатогенетические факторы при инверсных акне полностью не изучены. В настоящее время считается, что инициирующую роль в развитии заболевания играет фолликулярная окклюзия с последующим воспалением фолликулов. При этом ключевым фактором является нарушение регуляции иммунной системы, активация механизма аутоиммунного воспаления в ответ на комменсальную микробиоту кожи [1, 2, 10–13]. Центральную роль в патогенезе заболевания отводят провоспалительным цитокинам; определённый вклад также вносят генетические факторы, гормоны и патогенные микроорганизмы [14].
Стадирование по Херли (Hurley) является самой распространённой классификацией заболевания и используется для определения тяжести клинических проявлений болезни и выбора тактики лечения. Для динамического наблюдения за эффективностью терапии система малоприменима, так как критериями классификация являются статичные показатели (рубцы и фистулы), которые мало изменяются с течением времени:
- стадия I (68% пациентов): единичные или множественные абсцессы без рубцевания и формирования синусных трактов;
- стадия II (28% пациентов): рецидивирующие абсцессы с формированием рубцов и синусных трактов, где элементы разделены участками здоровой кожи;
- стадия III (4% пациентов): диффузное поражение кожи с множественными взаимосвязанными между собой синусными трактами практически без участков здоровой кожи [1, 14, 15].
Фенотипически на настоящий момент выделяют несколько клинических вариантов заболевания, при этом определение фенотипа заболевания не влияет на выбор терапевтической тактики [14, 16, 17]:
- привычный тип;
- вариант по типу рубцующегося фолликулита;
- вариант по типу фрикционного фурункулёза;
- синдромальный тип;
- конглобатный тип;
- эктопический тип.
Самыми частыми гистологическими находками являются инфундибулярный гиперкератоз, гиперплазия фолликулярного эпителия, перифолликулит и межфолликулярная псориазиформная эпидермальная
гиперплазия с субэпидермальным воспалительным инфильтратом [18].
В связи с актуальностью проблемы, редкостью данной нозологии и неклассическими фенотипическими проявлениями заболевания приводим описание клинического случая инверсных акне по типу рубцующегося фолликулита, II стадии по Херли. Такой вариант заболевания более сложен для диагностики, чем привычный тип с классическими проявлениями, и на начальных этапах часто расценивается как простой фолликулит. Даже на поздних стадиях появление синусных трактов и фистул нетипично, а мелкие и поверхностные воспалительные узлы зачастую приводят к гиподиагностике гнойного гидраденита и неадекватной терапии пациентов [16].
ОПИСАНИЕ СЛУЧАЯ
Пациент Г., 20 лет, работает таксистом, имеет избыточную массу тела (индекс массы тела 27 кг/м2).
Из анамнеза: болен в течение 7 лет (с 2013 г.), когда впервые отметил появление единичных фурункулоподобных высыпаний в области волосистой части головы. Дважды было проведено хирургическое вскрытие и удаление элементов с последующим рецидивом высыпаний в течение 1–2 нед. В течение нескольких лет процесс приобрёл распространённый характер с высыпаниями по всей поверхности головы. Дерматологом по месту жительства были назначены изотретиноин (Сотрет) в дозе 40 мг/сут и местная обработка антисептиками. Пациент принимал препарат длительно (в течение 5 лет) без перерыва и коррекции дозировки с некоторым положительным эффектом от терапии в виде уменьшения количества высыпаний и кратности обострений. В течение нескольких лет отметил снижение эффекта от терапии, новые локализации высыпаний. С 2018 г. высыпания распространились на паховую область, внутреннюю часть бёдер, перианальную область. В ноябре 2020 г. самостоятельно заменил препарат Сотрет на Акнекутан (Изотретиноин) в аналогичной дозировке. В связи с отсутствием эффекта и прогрессированием процесса в виде новых высыпаний как на волосистой части головы, так и в подмышечных областях и промежности приём препарата отменил. В январе 2021 г. обратился в клинику кожных и венерических болезней имени В.А. Рахманова Первого МГМУ имени И.М. Сеченова.
Аллергоанамнез и наследственность не отягощены. Вредные привычки: курение по 1/2 пачки в день. Сопутствующие заболевания: постакне.
Локальный статус при поступлении (рис. 1, а–г): на коже волосистой части головы, в паховой области и на внутренней поверхности бёдер отмечаются множественные фолликулярные папулы, пустулы, единичные узлы, очаги поствоспалительной гиперпигментации и рубцовой атрофии. В теменной области продольно расположен келоидный рубец длиной около 8–9 см каменистой плотности, в области локализации которого рост волос разрежен. В теменно-затылочной области отмечается несколько крупных келоидных рубцов после предшествующего хирургического вмешательства. В перианальной области визуализируются вскрывшийся дренирующий абсцесс и формирование синусного хода. В верхней части груди и спины выраженные рубцовые атрофические изменения как проявления постакне, рост волос в этих областях отсутствует. Во время осмотра выраженное выпадение волос при малейшем механическом контакте. Субъективно: сильные болевые ощущения ― 6 баллов по визуально-аналоговой шкале болевого синдрома.
Рис. 1. Больной Г., 20 лет, с инверсным акне. Высыпания расположены в области волосистой части головы, паховой области, внутренней части бёдер, перианальной области: а ― фолликулярные папулы, пустулы, эрозии и очаги рубцовой атрофии; б ― фиброзный тяж каменистый плотности без отделяемого, в области расположения которого рост волос разрежен; в ― в перианальной области визуализируется вскрывшийся дренирующий абсцесс и формирование синусного хода; г ― фолликулярные папулы и единичные пустулы, очаги рубцовой атрофии и поствоспалительная гиперпигментация. / Fig. 1. Patient G., 20 years old, with inverse acne. Rashes are located in the scalp, groin, inner thighs, perianal region: а ― follicular papules, pustules, erosion and foci of cicatricial atrophy; б ― fibrous cord of stony density without discharge, in the area of which hair growth is sparse; в ― in the perianal region, an opened draining abscess and the formation of a sinus course are visualized; г ― follicular papules and single pustules, foci of cicatricial atrophy and post-inflammatory hyperpigmentation.
Лабораторные исследования: в клиническом анализе крови повышение скорости оседания эритроцитов до 21 мм/ч (норма до 20); в биохимическом анализе крови повышение альбумина 48,8 г/л (норма 32–48) и С-реактивного белка 14 мг/л (норма 0–5); в липидограмме повышение коэффициента атерогенности 3,71 (норма 2,2–3,5); данные коагулограммы: повышены активированное частичное тромбопластиновое время ― 1,36 (норма 0,75–1,25) и концентрация фибриногена до 4,82 г/л (норма 1,8–4); общий анализ мочи без патологии. Антитела к ВИЧ (вирус иммунодефицита человека) первого и второго типа, маркеры вирусных гепатитов B и C (HBsAg, Anti-HCV), комплекс серологических реакций на сифилис отрицательны.
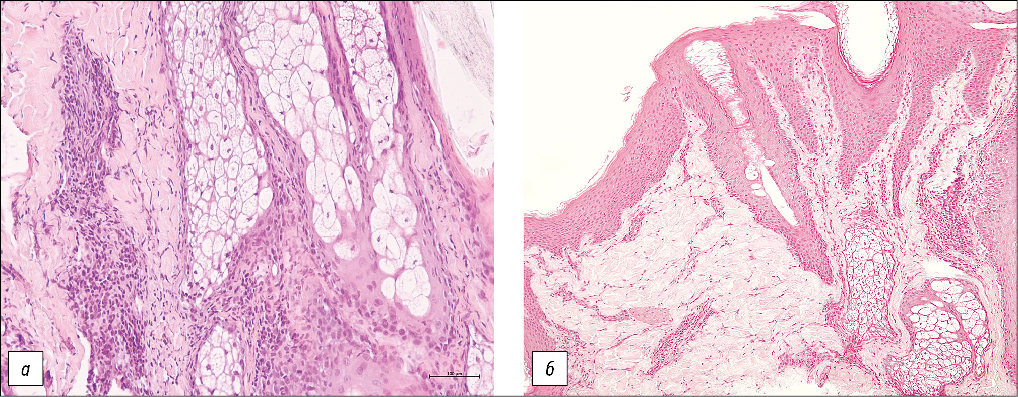
При гистологическом исследовании (рис. 2, а, б) в эпидермисе незначительный гиперкератоз; в дерме ― множество волосяных фолликулов, вокруг некоторых наблюдается лимфоидная инфильтрация, а также гиперплазия сальных желёз.
Рис. 2. Тот же больной. Гистологическая картина биоптата кожи волосистой части головы: а ― гиперплазия сальных желёз; вокруг отдельных сально-волосяных юнитов выраженная лимфоидная инфильтрация; б ― инфундибулярный гиперкератоз, гиперплазия фолликулярного эпителия / Fig. 2. The same patient. The histological picture of the scalp biopsy specimen: а ― hyperplasia of the sebaceous glands; pronounced lymphoid infiltration around individual sebaceous hair units; б ― infundibular hyperkeratosis, hyperplasia of follicular epithelium.
Проведено лечение: в течение первых 14 дней системная антибиотикотерапия (Цефтриаксон по 1 г 2 раза/день, 14 инъекций) и корригирующая терапия (Метронидазол по 250 мг 2 раза/день, Флуконазол по 150 мг 1 раз в 3 дня), далее с 15-го дня ― системные ретиноиды (Роаккутан в дозе 20 мг 2 раза/день), бигуаниды (Метформин: первые 2 нед. по 500 мг/день, далее по 1000 мг/день). Наружная антисептическая терапия на очаги высыпаний (Хлоргексидин). Терапия сопутствующей патологии: ингибиторы ангиотензинпревращающего фермента (Эналаприл по 5 мг 2 раза/день). Назначенную терапию пациент переносит хорошо, побочных эффектов не отмечает. Динамическое наблюдение за больным продолжается.
ОБСУЖДЕНИЕ
Самой трудной задачей в лечении инверсных акне на настоящий момент остаётся выбор оптимальной индивидуальной терапевтической тактики. Согласно данным литературы, проводились исследования различных клинических, как консервативных, так и оперативных, методов терапии заболевания [1, 19], однако ни одно из них, согласно L. Matusiak и соавт. [10], не предотвращает прогрессирования гнойного гидраденита, а лишь играет роль поддерживающей терапии. Стандартные методы лечения оказываются недостаточно эффективными, а заболевание носит хронический рецидивирующий характер. Несмотря на столь тяжёлое течение заболевания и выраженное влияние на качество жизни пациента, рандомизированных клинических исследований (РКИ) терапевтических опций не так много; зачастую конкретная рекомендация основана на результатах единственного проведённого РКИ, поэтому многие рекомендации недостаточно обоснованы и эффективны [10, 12, 20, 21]. Согласно Европейским клиническим рекомендациям, подход к выбору тактики лечения инверсных акне основан на определении степени тяжести заболевания по Hurley [1]. В Российской Федерации единый алгоритм терапевтической тактики для инверсных акне не разработан [6].
Традиционно в лечении заболевания II и III стадии по Херли используют системные ретиноиды, в том числе изотретиноин, в дозировках 0,5–1,2 мг/кг2. Мишенями для лекарственного препарата служат основные патогенетические механизмы развития заболевания. Изотретиноин препятствует развитию фолликулярной окклюзии и обладает противовоспалительными свойствами [1, 22].
С учётом недостаточной эффективности на фоне ранее проводимой стандартной терапии, по данным литературы, допустимо применение метформина как в качестве монотерапии, так и вспомогательного препарата. Предложенное лечение отличается хорошим профилем безопасности и невысокой стоимостью. Помимо основных фармакологических эффектов препарата, а именно повышения чувствительности периферических рецепторов к инсулину и усиления утилизации глюкозы клетками, метформин обладает также способностью подавлять активность таких провоспалительных цитокинов, как интерлейкин 6 (IL-6), фактор некроза опухоли альфа (TNFα), IL-17, интерферон гамма (IFNγ) [19, 23–25].
Основной акцент современных исследований сосредоточен на изучении роли провоспалительных цитокинов в иммунной дисрегуляции при инверсных акне: IL-10, IL-1B, IL-12, IL-23, IL-17, IL-22, TNFα, которые служат ключом к разработке новых терапевтических подходов к лечению [6, 26]. Из группы биологических препаратов пока только адалимумаб (человеческое моноклональное антитело к TNFα) одобрен Управлением по контролю за продуктами и лекарствами США (FDA) для лечения инверсных акне среднетяжёлой и тяжёлой степени (II–III стадия по Hurley), являясь препаратом выбора при неэффективности традиционных методов лечения [26–29]. Опыт применения адалимумаба в Российской Федерации ограничивается сообщениями авторов об успешной терапии при описании отдельных клинических случаев [30]. В перспективе полноценная терапия инверсных акне должна будет включать несколько таргетных препаратов, воздействующих на разные звенья патогенеза заболевания [31].
Таким образом, в настоящее время не существует единого алгоритма достоверной диагностики и эффективного лечения пациентов с инверсными акне, что определяет необходимость и актуальность дальнейших исследований данной нозологии.
ДОПОЛНИТЕЛЬНО
Источник финансирования. Авторы заявляют об отсутствии внешнего финансирования при подготовке публикации.
Конфликт интересов. Авторы декларируют отсутствие явных и потенциальных конфликтов интересов, связанных с публикацией настоящей статьи.
Участие авторов. Н.П. Теплюк — концепция и дизайн работы; А.С. Пирогова — обзор литературы по теме исследования, форматирование статьи для публикации.
Все авторы подтверждают соответствие своего авторства международным критериям ICMJE (все авторы внесли существенный вклад в разработку концепции и подготовку статьи, прочли и одобрили финальную версию перед публикацией).
Согласие пациентов. Пациент добровольно подписал информированное согласие на публикацию персональной медицинской информации в обезличенной форме в журнале «Российский журнал кожных и венерических болезней».
ADDITIONAL INFO
Funding source. This work was not supported by any external sources of funding.
Competing interests. The authors declare that they have no competing interests.
Author contribution. N.P. Teplyuk — the concept of the work; A.S. Pirogova — review of the literature on the research topic, formatting the article for publication.
All authors made a substantial contribution to the conception of the work, acquisition, analysis, interpretation of data for the work, drafting and revising the work, final approval of the version to be published and agree to be accountable for all aspects of the work.
Patients permission. The patient voluntarily signed an informed consent to the publication of personal medical information in depersonalized form in the journal «Russian journal of skin and venereal diseases».
作者简介
Natalya Teplyuk
I.M. Sechenov First Moscow State Medical University (Sechenov University)
Email: teplyukn@gmail.com
ORCID iD: 0000-0002-5800-4800
Dr. Sci. (Med.), Professor
俄罗斯联邦, 8-2, Trubetskaya street, Moscow, 119992Anna Pirogova
I.M. Sechenov First Moscow State Medical University (Sechenov University)
编辑信件的主要联系方式.
Email: annese@mail.ru
ORCID iD: 0000-0002-2246-1321
MD, Graduate Student
俄罗斯联邦, 8-2, Trubetskaya street, Moscow, 119992参考
- Zouboulis CC, Desai N, Emtestam L, et al. European S1 guideline for the treatment of hidradenitis suppurativa/acne inversa. J Eur Acad Dermatol Venereol. 2015;29(4):619–644. doi: 10.1111/jdv.12966
- Van Der Zee HH, Laman JD, De Ruiter L, et al. Adalimumab (antitumour necrosis factor-α) treatment of hidradenitis suppurativa ameliorates skin inflammation: An in situ and ex vivo study. Br J Dermatol. 2012;166(2):298–305. doi: 10.1111/j.1365-2133.2011.10698.x
- Gill L, Williams M, Hamzavi I. Update on hidradenitis suppurativa: connecting the tracts. F1000Prime Rep. 2014;6:112. doi: 10.12703/P6-112
- Amir Ali A, Seng EK, Alavi A, Lowes MA. Exploring changes in placebo treatment arms in hidradenitis suppurativa randomized clinical trials: A systematic review. J Am Acad Dermatol. 2020;82(1):45–53.
- doi: 10.1016/j.jaad.2019.05.065
- Gulliver W, Zouboulis CC, Prens E, et al. Evidence-based approach to the treatment of hidradenitis suppurativa/acne inversa, based on the European guidelines for hidradenitis suppurativa. Rev Endocr Metab Disord. 2016;17(3):343–351. doi: 10.1007/s11154-016-9328-5
- Burova SA, Potekaev NN, Borodulina KS. Hidradenitis suppurativa: prevalence, etiopathogenesis, comorbidity (part 1). Russian Journal of Clinical Dermatology and Venereology. 2019;18(2):111–114. (In Russ). doi: 10.17116/klinderma201918021111
- Vazquez BG, Alikhan A, Weaver AL, et al. Incidence of hidradenitis suppurativa and associated factors: A population-based study of Olmsted County, Minnesota. J Invest Dermatol. 2013;133(1):97–103. doi: 10.1038/jid.2012.255
- Jalenques I, Ciortianu L, Pereira B, et al. The prevalence and odds of anxiety and depression in children and adults with hidradenitis suppurativa: Systematic review and meta-analysis. J Am Acad Dermatol. 2020;83(2):542–553. doi: 10.1016/j.jaad.2020.03.041
- Alikhan A, Lynch PJ, Eisen DB. Hidradenitis suppurativa: A comprehensive review. J Am Acad Dermatol. 2009;60(4):539–561. doi: 10.1016/j.jaad.2008.11.911
- Matusiak L, Bieniek A, Szepietowski JC. Increased serum tumour necrosis factor-α in hidradenitis suppurativa patients: Is there a basis for treatment with anti-tumour necrosis factor-α agents? Acta Derm Venereol. 2009;89(6):601–603. doi: 10.2340/00015555-0749
- Kurzen H, Kurokawa I, Jemec GB, et al. What causes hidradenitis suppurativa? Exp Dermatol. 2008;17(5):455–456. discussion 457-472. doi: 10.1111/j.1600-0625.2008.00712_1.x
- Scheinfeld N. Hidradenitis suppurativa: A practical review of possible medical treatments based on over 350 hidradenitis patients. Dermatol Online J. 2013;19(4):1.
- Tryakina IP. Boils and hydradenitis as a manifestation of violations biocenosis. Medical Alphabet. Russian Journal. 2012;4(24):54. (In Russ).
- Goldburg SR, Strober BE, Payette MJ. Hidradenitis suppurativa: Epidemiology, clinical presentation, and pathogenesis. J Am Acad Dermatol. 2020;82(5):1045–1058. doi: 10.1016/j.jaad.2019.08.090
- Canoui-Poitrine F, Revuz JE, Wolkenstein P, et al. Clinical characteristics of a series of 302 French patients with hidradenitis suppurativa, with an analysis of factors associated with disease severity. J Am Acad Dermatol. 2009;61(1):51–57. doi: 10.1016/j.jaad.2009.02.013
- Van Der Zee HH, Jemec GB. New insights into the diagnosis of hidradenitis suppurativa: Clinical presentations and phenotypes. J Am Acad Dermatol. 2015;73(5):S23–26. doi: 10.1016/j.jaad.2015.07.047
- Borovaya A, Olisova O, Ruzicka T, Sardy M. Does isotretinoin therapy of acne cure or cause depression? International Journal of Dermatology. 2013;52(9):1040–1052.
- Von Laffert M, Stadie V, Wohlrab J, Marsch WC. Hidradenitis suppurativa / acne inversa: Bilocated epithelial hyperplasia with very different sequelae. Br J Dermatol. 2011;164(2):367–371. doi: 10.1111/j.1365-2133.2010.10034.x
- Theut Riis P, Thorlacius LR, Jemec GB. Investigational drugs in clinical trials for Hidradenitis Suppurativa. Exp Opin Investig Drugs. 2018;27(1):43–53. doi: 10.1080/13543784.2018.1412430
- Ingram JR, Woo PN, Chua SL, et al. Interventions for hidradenitis suppurativa: A Cochrane systematic review incorporating GRADE assessment of evidence quality. Br J Dermatol. 2016;174(5):970–978. doi: 10.1111/bjd.14418
- Alhusayen R, Shear NH. Scientific evidence for the use of current traditional systemic therapies in patients with hidradenitis suppurativa. J Am Acad Dermatol. 2015;73(5 Suppl 1):S42–46. doi: 10.1016/j.jaad.2015.07.049
- Blok JL, Van Hattem S, Jonkman MF, Horvath B. Systemic therapy with immunosuppressive agents and retinoids in hidradenitis suppurativa: A systematic review. Br J Dermatol. 2013;168(2):243–252. doi: 10.1111/bjd.12104
- Verdolini R, Clayton N, Smith A, et al. Metformin for the treatment of hidradenitis suppurativa: A little help along the way. J Eur Acad Dermatol Venereol. 2013;27(9):1101–1108. doi: 10.1111/j.1468-3083.2012.04668.x
- Jennings L, Hambly R, Hughes R, et al. Metformin use in hidradenitis suppurativa. J Dermatol Treat. 2020;31(3):261–263. doi: 10.1080/09546634.2019.1592100
- Moussa C, Wadowski L, Price H, et al. Metformin as adjunctive therapy for pediatric patients with hidradenitis suppurativa. J Drugs Dermatol. 2020;19(12):1231–1234. doi: 10.36849/JDD.2020.5447
- Lim SY, Oon HH. Systematic review of immunomodulatory therapies for hidradenitis suppurativa. Biologics. 2019;13:53–78. doi: 10.2147/BTT.S199862
- Kimball AB, Kerdel F, Adams D, et al. Adalimumab for the treatment of moderate to severe hidradenitis suppurativa: A parallel randomized trial. Ann Intern Med. 2012;157(12):846–855. doi: 10.7326/0003-4819-157-12-201212180-00004
- Kimball AB, Okun MM, Williams DA, et al. Two phase 3 tTrials of Adalimumab for hidradenitis suppurativa. N Engl J Med. 2016;375(5):422–434. doi: 10.1056/NEJMoa1504370
- Zouboulis CC, Bechara FG, Dickinson-Blok JL, et al. Hidradenitis suppurativa/acne inversa: a practical framework for treatment optimization – systematic review and recommendations from the HS ALLIANCE working group. J Eur Acad Dermatol Venereol. 2019;33(1):19–31. doi: 10.1111/jdv.15233
- Khobeish MM, Shustov DV, Sokolovsky EV. Hidradenitis suppurativa: Modern concepts of pathogenesis and therapy; successful experience of Adalimumab therapy. Vestnik Dermatologii i Venerologii. Russian Journal. 2017;(5):70–81. (In Russ). doi: 10.25208/0042-4609-2017-93-5-70-81
- Goldburg SR, Strober BE, Payette MJ. Hidradenitis suppurativa: Current and emerging treatments. J Am Acad Dermatol. 2020;82(5):1061–1082. doi: 10.1016/j.jaad.2019.08.089
补充文件




