Синдром Лайелла, спровоцированный наружным применением лекарственных средств
- Авторы: Кривошеев А.Б.1, Ермаченко Т.В.2, Хавин П.П.2, Кривошеева И.А.2, Морозов Д.В.2
-
Учреждения:
- Новосибирский государственный медицинский университет
- Городская клиническая больница № 1
- Выпуск: Том 24, № 1 (2021)
- Страницы: 25-34
- Раздел: КЛИНИКА, ДИАГНОСТИКА И ЛЕЧЕНИЕ ДЕРМАТОЗОВ
- Статья получена: 01.03.2021
- Статья одобрена: 17.03.2021
- Статья опубликована: 15.02.2021
- URL: https://rjsvd.com/1560-9588/article/view/62377
- DOI: https://doi.org/10.17816/dv62377
- ID: 62377
Цитировать
Полный текст
Аннотация
Синдром Лайелла встречается редко: регистрируется до 10 случаев на 1 млн населения в год. Смертность при синдроме Лайелла составляет 5–12%.
Наблюдали двух больных синдромом Лайелла в возрасте 38 и 72 лет. Заболевание манифестировало на фоне местного применения лекарственных препаратов: в одном случае это был гель «Долобена» в качестве анальгезирующего средства в месте ушиба правой кисти, в другом ― 20% раствор хлоргексидина биоглюконата для полоскания ротовой полости в связи со стоматитом. Первые симптомы заболевания возникли локально в месте применения этих лекарственных средств ― на коже правой кисти– и слизистой оболочке ротовой полости соответственно. Исход заболевания зависел от ранней диагностики, срочной госпитализации в специализированное отделение, площади поражения кожи, назначения адекватной терапии. У лиц пожилого возраста в сравнении с более молодыми пациентами синдром Лайелла по первым симптомам и темпу прогрессирования болезни, характеру поражения кожи и слизистых оболочек не имеет принципиальных различий.
Синдром Лайелла может возникать в любом возрасте, риск развития заболевания возрастает у лиц старше 40 лет. К отличительным особенностям и факторам риска синдрома Лайелла у пожилых людей относят, во-первых, его возникновение на фоне уже сформировавшейся коморбидной возрастной патологии внутренних органов, во-вторых, сопутствующая возрастная патология при развитии токсико-аллергической реакции декомпенсируется, и формируется полиорганная недостаточность, что является причиной тяжёлого течения синдрома Лайелла и высокой смертности. У лиц молодого возраста к факторам риска можно отнести коморбидную вирусную инфекцию, особенно сочетание вируса иммунодефицита и хронического гепатита C.
Полный текст
В 1956 г. шотландский дерматолог Алан Лайелл (Alan Lyell) [1] впервые описал своеобразное патологическое состояние, которое характеризовалось острым началом, некротическими изменениями в эпидермисе, высыпанием крупных пузырей и образованием обширных эрозий, высокой температурой и общим тяжёлым состоянием, охарактеризовав его как токсический эпидермальный некролиз. Впоследствии данный симптомокомплекс получил название синдрома Лайелла [2]. В настоящее время синдром Лайелла рассматривают как тяжёлое, иммуноаллергическое лекарственно-индуцированное заболевание, представляющее собой острую кожно-висцеральную патологию в виде интенсивной эпидермальной отслойки и некроза эпидермиса с образованием обширных пузырей и эрозий на коже и слизистых оболочках, что угрожает жизни больного [3, 4].
Синдром Лайелла встречается редко: в мире регистрируется до 10 случаев на 1 млн населения в год [5], при этом в последнее время проблема стала весьма актуальной для лиц пожилого возраста [6, 7]. В 1967 г. А. Lyell [8] представил сведения о 128 больных токсическим эпидермальным некролизом. В отечественной литературе тема синдрома Лайелла освещается достаточно подробно [2, 6, 9, 10].
Симптомокомплекс индуцируется различными факторами, но чаще развивается при инфузионном, внутримышечном или пероральном применении лекарственных препаратов, а также биологически активных добавок к пище [9, 11, 12]. Имеются единичные сообщения о возникновении тяжёлого аллергодерматоза на местное применение медицинских препаратов, в частности растворов фурацилина [13] и питьевой соды [14].
ОПИСАНИЕ СЛУЧАЕВ
Мы наблюдали двух пациентов, у которых синдром Лайелла развился на фоне местного применения лекарственных препаратов.
Клинический случай 1
Больной Л., 38 лет, поступил в приёмное отделение клиники 17.04.2018 с жалобами на появление сыпи на коже спины, туловища, конечностей с тенденцией к быстрому распространению пузырей с серозным содержимым, повышение температуры до 37,8 ºС.
В анамнезе: хронический гепатит С (около 20 лет), опиатная наркомания (в 2010–2014 гг. употреблял внутривенно героин). С 2010 г. инфекция вируса иммунодефицита человека (ВИЧ-РНК положительная, титр
4,08Е + 0,5 копий/мл), специфическая антиретровирусная терапия не проводилась. Курит с 20 лет. Аллергических реакций ранее не отмечено.
Болен с 09.04.2018, когда получил травму ― ушиб правой кисти. По рекомендации травматолога местно (зона ушиба) применял гель «Кеторол» в течение 4 дней, а затем гель «Долобена». Через 2 дня от начала его использования на правой кисти появились высыпания в виде пятен светло-коричневого цвета, округлой формы с ровными границами, размером от 2 до 4 см, которые в течение 2–3 дней распространились на кожу лица, туловища, груди, спины, верхних и нижних конечностей. На месте высыпаний в дистальных отделах верхних и нижних конечностей стали появляться пузыри округлой и/или овальной формы, которые постепенно увеличивались в размерах; повысилась температура до 38,7 ºС, что послужило поводом для экстренной госпитализации в отделение интенсивной терапии.
При поступлении состояние пациента тяжёлое. В легких дыхание жёсткое, проводится во все отделы, хрипов нет. Частота дыхания 20 в минуту. Тоны сердца приглушены, ритмичные, частота сердечных сокращений 100 в минуту, дефицита пульса нет. Живот мягкий, безболезненный. Печень по краю рёберной дуги, размеры по Курлову 10×9×6 см; селезёнка не увеличена.
Практически по всему кожному покрову наблюдаются высыпания в виде пятен светло-коричневого цвета, округлой формы, размером от 2 до 4–5 см, не возвышающиеся над поверхностью кожи, имеющие тенденцию к слиянию, приобретая неправильную конфигурацию (рис. 1).
Рис. 1. Больной Л., 38 лет. Синдром Лайелла. Высыпания светло-коричневого цвета, округлой формы. На тыльной поверхности правой кисти крупная эрозия на месте вскрывшегося пузыря. / Fig. 1. Patient L., 38 years old. Lyell's syndrome. Eruptions are light brown in color, rounded. On the dorsum of the right hand, there is a large erosion at the site of the opened bubble
На тыльной поверхности правой кисти на месте вскрывшегося пузыря расположена крупная эрозия неправильных очертаний, размером 8×3 см, дно эрозии покрыто фибрином, по краям обрывки эпидермиса, которые при контакте легко отслаиваются с соседними участками кожи (симптом Никольского положительный) (см. рис. 1). На левой стопе по наружной поверхности ― два пузыря округлой формы размером до 3 см в диаметре, с плотной покрышкой, серозным содержимым, безболезненные. Поверхность ладоней и подошв имеет сплошную красно-кирпичную окраску. Интенсивность окраски стала более яркой. Симптом Никольского отрицательный (рис. 2).
Рис. 2. Тот же больной. Поверхность ладоней имеет сплошную красновато-кирпичную окраску. / Fig. 2. The same patient. The surface of the palms has a solid reddish brick color.
По результатам общеклинических, биохимических, инструментальных исследований значимых отклонений от нормативных значений не обнаружено.
Установлен диагноз: Синдром Лайелла; ВИЧ-инфекция, стадия 4А без антиретовирусной терапии; хронический
гепатит С минимальной активности; ушиб правой кисти.
При поступлении в отделение (17.04.2018) пациенту внутривенно был введён преднизолон в дозе 90 мг; в течение двух дней (18.04–20.04.2018) проводилась пульс-терапия метилпреднизолоном (Ивепред) в дозе 1000 мг/сут внутривенно. С 21.04.2018 больной переведён на пероральный приём метилпреднизолона
(Метипред) в суточной дозе 24 мг. В комплексную терапию были включены Супрастин по 2 таблетки/сут; омепразол 20 мг по 2 таблетки/сут; гепарин по 5000 ЕД 2 раза/сут подкожно; Стерофундин по 500 мл/сут. Эрозии обрабатывали местно раствором Бетадина.
На фоне проводимой терапии на 2-е сут температура нормализовалась. Новые высыпания не появлялись. К 20-му дню лечения высыпания на коже разрешились, эрозии эпителизировались. Пациент получает Метипред в дозе 4 мг (1 таблетка). Выписан 07.05.2018 в удовлетворительном состоянии. Рекомендовано наблюдение и лечение в региональном СПИД-центре.
Клинический случай 2
Больная Л., 72 года, в феврале 2016 г. перенесла плановую замену зубных протезов. Через 2–3 нед их использования развился стоматит. По рекомендации стоматолога местно в виде полоскания ротовой полости стала применять 20% раствор хлоргексидина биглюконат. 19.03.2016 впервые возникли затруднения при глотании, а затем появились пузырные высыпания на слизистой оболочке правой щеки. Использовать рекомендованный препарат продолжала, так как изменения на слизистой оболочке полости рта расценила как проявление стоматита. Через сутки высыпания распространились на всю поверхность слизистой оболочки ротовой полости. Одновременно возник зуд в области глаз. В течение последующих суток появились высыпания в виде пятен светло-коричневого цвета размером до 4 см на коже верхних конечностей и туловища, которые имели тенденцию к слиянию. Полоскания раствором хлоргексидина биглюконат прекратила. 22.03.2016 бригадой скорой помощи пациентка была экстренно доставлена в приёмное отделение клиники и госпитализирована в отделение интенсивной терапии с диагнозом синдрома Лайелла.
В анамнезе: более 10 лет артериальная гипертония 3-й степени, III стадии, риск 4 (получает базовую гипотензивную терапию: Беталок Зок в дозе 50 мг/сут и Кардиомагнил по 75 мг/сут); сахарный диабет 2-го типа около 10 лет (принимает метформин по 500 мг/сут и Диабетон по 60 мг/сут); ишемическая болезнь сердца аритмический вариант, пароксизмальная форма фибрилляции предсердий. Аллергические реакции ранее не наблюдались. Туберкулёз, ВИЧ-инфекцию, вирусные гепатиты отрицает.
В приёмном покое больную осмотрели врачи отоларинголог и окулист. Заключение отоларинголога: слизистая носа сухая, незначительно гиперемирована, зев гиперемирован, на поверхности мягкого нёба эрозии до 1 см в диаметре и отдельные участки слущенного эпителия; слизистая гортани гиперемирована, просвет гортани достаточный, признаков стеноза нет. Рекомендовано: вазелиновое масло по 2 капли 3 раза в день, полоскание ротовой полости питьевой водой, голосовой режим.
Окулист диагностировал вялотекущий конъюнктивит. Рекомендовано лечение: раствор Ципролета и сульфацила натрия по 1 капле 4 раза в день в оба глаза, обработка конъюнктивы глаз дистиллированной водой.
Физикальный осмотр: состояние тяжёлое, в сознании, контактна, адекватна. Кожные покровы бледные, сухие, цианотичные в области кистей. На коже груди, живота, спины, ягодиц, верхних и нижних конечностей высыпания в виде пятен размером до 3–4 см, красноватого цвета, неправильных очертаний с тенденцией к слиянию, на кистях и туловище множественные пузыри, плотные, безболезненные, размером до 3 см с серозно-геморрагическим содержимым. В лёгких жёсткое дыхание, хрипы не выслушиваются, частота дыханий 18 в 1 минуту. Тоны сердца приглушены, ритмичные, частота сердечных сокращений 68 в минуту, артериальное давление 125/80 мм рт.ст. Живот мягкий, умеренно болезненный в эпигастрии, симптомы раздражения брюшины отрицательные; печень выступает из-под рёберной дуги на 1 см, размеры печени по Курлову 12×9×6 см. Диурез адекватный, стул самостоятельный.
Данные лабораторного обследования
Общий анализ крови: гемоглобин 125 г/л, эритроциты 4,1×1012/л, лейкоциты 7,3×109/л, гематокрит 37,1%, тромбоциты 269×109/л, палочкоядерные 11%, сегменто-ядерные 76%, лимфоциты 12%, моноциты 2%, эозинофилы 0%; скорость оседания эритроцитов 37 мм/ч.
Биохимическое исследование крови (представлены показатели, в динамике которых за период наблюдения зарегистрированы значимые изменения): креатинфосфокиназа 88,7–564,7 нмоль/л (норма до 172), альбумин 40,5–30,8 г/л, (норма 35), общий белок 73–50,1 г/л (норма до 80), мочевина 8,4–12,9 г/л (норма до 7,6), С-реактивный белок 162,5–276,6 г/л (норма до 5), фибриноген 5,2–9,6 г/л (норма до 4), глюкоза натощак 15,8–20,2 ммоль/л (норма до 5,5).
Общий анализ мочи: белок 0,28 г/л, лейкоциты 6, эритроциты 2, эпителий 1–2 в поле зрения, рН 5,0, относительная плотность 1025, сахар 5,6 ммоль/л.
Инструментальное обследование
Электрокардиограмма: нормосистолический вариант фибрилляции предсердий.
Рентген грудной клетки: умеренные застойные явления в малом круге кровообращения, выраженные признаки эмфиземы лёгких. Инфильтративных изменений нет.
Ультрасонография органов брюшной полости: гепатомегалия, признаки жирового гепатоза и хронического пиелонефрита.
Начата базисная терапия: раствор преднизолона в дозе 180 мг/сут внутривенно, Солу-Медрол (метилпреднизолон) по 500 мг/сут внутривенно, Квамател по 40 мг 2 раза/сут внутривенно; инфузионная терапия в объёме до 2 л/сут.
После консультации эндокринолога больную перевели на инсулинотерапию (Биосулин Н по 14 ЕД и Биосулин Р по 2–3 ЕД при гликемии более 12–15 ммоль/л).
Пациентку осмотрел дерматолог: токсикодермия медикаментозная по типу синдрома Лайелла.
С 24.03.2016 отмечено прогрессирование кожных изменений. Отмечается появление новых пузырей на стопах, спине и ягодицах: генерализованная сыпь красноватого цвета, отёк кистей с отслойкой кожи (симптом Никольского положительный). Доза преднизолона увеличена до 320 мг/сут.
27.03.2016 состояние тяжёлое, нестабильное; больная в сознании, речевой контакт затруднён в связи с эрозивным поражением слизистой оболочки полости рта. Губы сухие, потрескавшиеся, покрыты корками с кровью. На коже лица на месте вскрывшихся пузырей эрозии с неровными краями размером от 2–3 до 6 см. Симптом Никольского отрицательный. Кисти отёчны, красновато-кирпичного цвета с участками отслойки эпидермиса (рис. 3). Отмечено появление новых пузырей и отслойка кожи на стопах. Доза преднизолона увеличена до 360 мг/сут.
Рис. 3. Больная Л., 72 года. Синдром Лайелла. Высыпания на коже грудной клетки. Кисти отёчные, красновато-кирпичной окраски. На губах кровяные корки. Эрозии на коже лица на местах вскрывшихся пузырей. / Fig. 3. Patient L., 72 years old. Lyell's syndrome. Eruptions on the skin of the chest. The brushes are edematous, reddish-brick in color. Crusts of blood on the lips. Erosion on the skin of the face at the sites of the opened blisters.
31.03.2016 динамика отрицательная: высыпания приобрели генерализованный характер, отмечается чёткая тенденция к их слиянию, симптом Никольского положительный при минимальных физических контактах; наблюдается массивная отслойка кожи на спине и ягодицах (рис. 4).
Рис. 4. Та же больная. На коже спины сыпь сливного характера. Отслойка кожи (симптом Никольского) / Fig. 4. The same patient. On the skin of the back, a rash of a confluent nature. Detachment of the skin (Nikolsky symptom).
01.04.2016 при нарастании симптомов сердечно-сосудистой и дыхательной недостаточности констатирована биологическая смерть на 14-е сут с момента манифестации болезни.
Данные секционного гистологического исследования
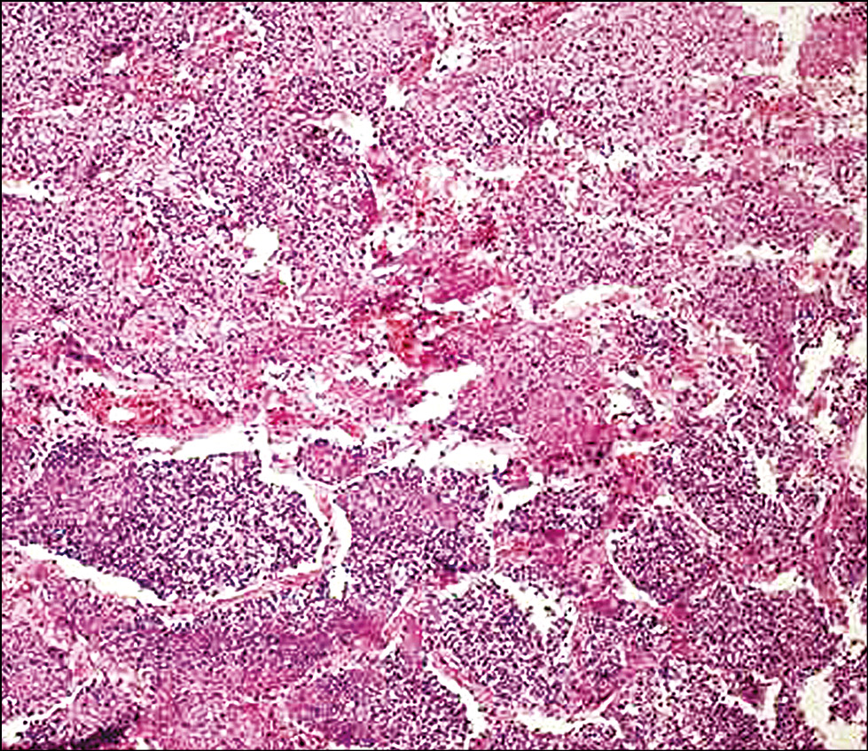
Микропрепарат кожи: некролиз большей части эпидермиса; в области дефекта кожи поверхностные слои дермы некротизированные; умеренная очаговая нейтрофильная и лимфоцитарная инфильтрация; полнокровие сосудов дермы (рис. 5).
Рис. 5. Микропрепарат кожи. Острый эпидермальный некролиз. Межклеточный и внутриклеточный отёк, выраженный ангиоматоз, воспалительный инфильтрат с примесью тучных клеток и эозинофилов. Нарушение межклеточных связей. Окраска гематоксилином и эозином. Ув. 250. / Fig. 5. Microslide of skin. Acute epidermal necrolysis. Intercellular and intracellular edema, pronounced angiomatosis, inflammatory infiltrate with an admixture of mast cells and eosinophils. Violation of intercellular communications. Staining with hematoxylin and eosin. Magnification 250.
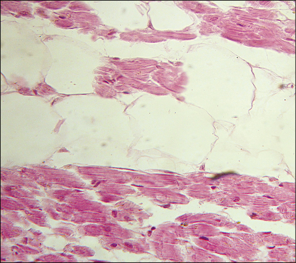
Микропрепарат сердца: полнокровие и отёк интерстиция; фрагментация миоцитов; неравномерная гипертрофия и неравномерное истончение волокон; очаговая стромальная и паренхиматозная жировая дистрофия (рис. 6).
Рис. 6. Микропрепарат сердца. Дистрофия кардиоцитов. Окраска гематоксилином и эозином. Ув. 250 / Fig. 6. Microslide of the heart. Dystrophy of cardiocytes. Staining with hematoxylin and eosin. Magnification 250.
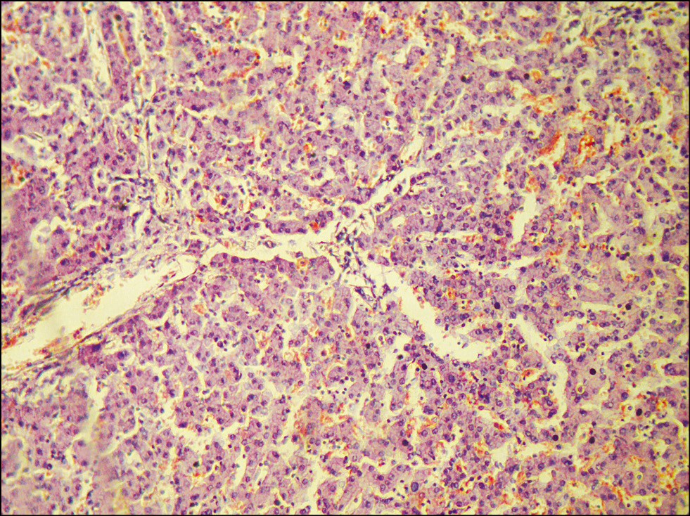
Микропрепарат печени: полнокровие сосудов; гепатоциты в состоянии гидроскопической инфильтрации; умеренный склероз портальных трактов (рис. 7).
Рис. 7. Микропрепарат печени. Дистрофия гепатоцитов. Окраска гематоксилином и эозином. Ув. 250. / Fig. 7. Microslide of the liver. Dystrophy of hepatocytes. Staining with hematoxylin and eosin. Magnification 250.
Микропрепарат почек: просветы сосудов интерстиция расширены, полнокровны; склероз части клубочков и сосудов стромы, отёк интерстиция; очаговый некронефроз; очаговая лимфоидная инфильтрация (рис. 8).
Рис. 8. Микропрепарат почек. Некронефроз. Окраска гематоксилином и эозином. Ув. 100. / Fig. 8. Kidney microslide. Necronephrosis. Staining with hematoxylin and eosin. Magnification 100
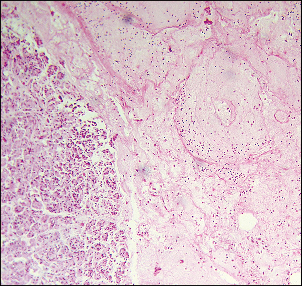
Микропрепарат поджелудочной железы: склероз и липоматоз стромы; аутолиз паренхимы; островки Ларгенганса отёчны, склерозированы (рис. 9).
Рис. 9. Микропрепарат поджелудочной железы. Островки Ларгенганса отёчны, склерозированы. Очаговый панкреонекроз. Окраска гематоксилином и эозином. Ув. 100. / Fig. 9. Microslide of the pancreas. The islets of Largengans are edematous, sclerosed. Focal pancreatic necrosis. Staining with hematoxylin and eosin. Magnification 100.
Микропрепарат ткани лёгких: полнокровие капилляров межальвеолярных перегородок и сосудов интерстиция; участки ателектазов чередуются с участками эмфиземы; эпителий бронхов слущен; периваскулярный и перибронхиальный склероз (рис. 10).
Рис. 10. Микропрепарат лёгких. Полнокровие капилляров межальвеолярных перегородок и сосудов интерстиции. Участки ателектазов чередуются с участками эмфиземы. Эпителий бронхов слущен. Периваскулярный и перибронхиальный склероз. Окраска гематоксилином и эозином. Ув. 100. / Fig. 10. Microslide of the lungs. Congestion of the capillaries of the interalveolar septa and vessels of the interstitium. Areas of atelectasis alternate with areas of emphysema. The epithelium of the bronchi is desquamated. Perivascular and peribronchial sclerosis. Staining with hematoxylin and eosin. Magnification 100.
Заключение патоморфолога: токсический буллёзный эпидермальный некролиз Лайелла. Дистрофические изменения внутренних органов.
ОБСУЖДЕНИЕ
С современных позиций синдром Лайелла рассматривается как острая и тяжёлая аллергическая реакция, которая является потенциально опасным для жизни заболеванием, характеризуется обширным поражением кожи и слизистых оболочек с возникновением эпидермального некролиза (симптом Никольского положительный), сопровождается тяжёлой интоксикацией и нарушением функции внутренних органов, провоцируется приёмом лекарственных препаратов [4, 15, 16]. Точные патогенетические механизмы, приводящие к развитию синдрома Лайелла, могут быть объяснены лишь частично. В настоящее время большая роль в развитии симптомокомплекса отводится генетически обусловленной предрасположенности организма к различным аллергическим реакциям [17].
Представленные наблюдения позволяют обсудить ряд вопросов, касающихся диагностики, тактики ведения и прогноза заболевания.
Во-первых, у наблюдаемых пациентов клинические симптомы на начальных этапах формирования болезни оказались идентичными и характеризовались следующими признаками:
- очагом манифестации и дальнейшего прогрессирования синдрома Лайелла являлось местное применение лекарственного препарата ― участок кожи правой кисти (место травмы)– и слизистая оболочка ротовой полости (стоматит) соответственно;
- поражение кожи и слизистых оболочек сопровождалось быстрым распространением высыпаний в первые 2–3 сут с момента манифестации заболевания, и в патологический процесс было вовлечено до 60% кожного покрова у первого больного и не менее 80% ― у второго. У лиц пожилого возраста синдром Лайелла по первым симптомам и прогрессированию болезни, характеру поражений кожи и слизистых оболочек не имеет принципиальных различий с таковыми у больных более молодого возраста.
Во-вторых. К факторам риска манифестации синдрома Лайелла, с нашей точки зрения, необходимо отнести пожилой возраст пациентки и коморбидную патологию внутренних органов, по поводу которых больная получала корригирующую терапию. Заболевания внутренних органов при развитии токсико-аллергической реакции склонны к декомпенсации, в результате чего формируется полиорганная недостаточность, что является причиной более тяжёлого течения синдрома Лайелла и более высокой смертности. Мы также считаем, что к факторам риска синдрома Лайелла может быть отнесена и коморбидная вирусная инфекция (в нашем случае это ВИЧ-инфекция в сочетании с хроническим гепатитом С) у молодого пациента [18].
В-третьих. Основным патогенетическим механизмом формирования синдрома Лайелла является феномен Санарелли–Шварцмана ― иммунологическая реакция, которая инициирует интенсивные процессы в коже и слизистых оболочках, сопровождаясь некрозом эпителиальных клеток и общей интоксикацией организма, что нарушает обезвреживание токсинов, усиливает выраженность метаболических нарушений и приводит к быстрому ухудшению состояния, в том числе может стать причиной летального исхода [19–21]. По нашему мнению, синдром Лайелла ― это не только токсическое поражение кожи и слизистых оболочек, но и системное заболевание с поражением многих органов, что подтверждается морфологическим исследованием. О системном поражении при синдроме Лайелла сообщают также E. Huseyin и соавт. [22].
Подводя итоги, необходимо отметить, что, с одной стороны, наши клинические наблюдения расширяют представление о вероятных этиологических факторах риска, провоцирующих развитие синдрома Лайелла, к числу которых следует отнести местное применение лекарственных средств, с другой ― можно констатировать, что манифестация синдрома Лайелла непредсказуема, а системность поражения с развитием полиорганной недостаточности делает прогноз заболевания крайне неблагоприятным.
ДОПОЛНИТЕЛЬНО
Источник финансирования. Авторы заявляют об отсутствии внешнего финансирования при подготовке публикации.
Конфликт интересов. Авторы декларируют отсутствие явных и потенциальных конфликтов интересов, связанных с публикацией настоящей статьи.
Участие авторов. Все авторы подтверждают соответствие своего авторства международным критериям ICMJE (все авторы внесли существенный вклад в разработку концепции и подготовку статьи, прочли и одобрили финальную версию перед публикацией).
Согласие пациентов. Пациенты добровольно подписали форму информированного согласия на публикацию персональной медицинской информации в обезличенной форме в журнале «Российский журнал кожных и венерических болезней».
ADDITIONAL INFO
Funding source. This study was not supported by any external sources of funding.
Competing interests. The authors declare that they have no competing interests.
Author contribution. All authors made a substantial contribution to the conception of the work, acquisition, analysis, interpretation of data for the work, drafting and revising the work, final approval of the version to be published and agree to be accountable for all aspects of the work.
Patients permission. Patients voluntarily signed an informed consent to the publication of personal medical information in depersonalized form in the journal «Russian journal of skin and venereal diseases».
Об авторах
Александр Борисович Кривошеев
Новосибирский государственный медицинский университет
Автор, ответственный за переписку.
Email: krivosheev-ab@narod.ru
ORCID iD: 0000-0002-4845-8753
SPIN-код: 2796-9975
http://ngmu.ru
д.м.н., профессор
Россия, 630091, Новосибирск, Красный проспект, 52Тамара Викторовна Ермаченко
Городская клиническая больница № 1
Email: ermat@mail.ru
ORCID iD: 0000-0003-4725-7308
MD
Россия, 630091, Новосибирск, Красный проспект, 52Павел Петрович Хавин
Городская клиническая больница № 1
Email: terapia@mail.ru
ORCID iD: 0000-0002-5501-0543
к.м.н.
Россия, 630091, Новосибирск, Красный проспект, 52Инга Анатольевна Кривошеева
Городская клиническая больница № 1
Email: terapia@mail.ru
ORCID iD: 0000-0002-3575-4983
к.м.н.
Россия, 630091, Новосибирск, Красный проспект, 52Дмитрий Вильевич Морозов
Городская клиническая больница № 1
Email: mdvil07@mail.ru
ORCID iD: 0000-0003-1773-7140
к.м.н.
Россия, 630091, Новосибирск, Красный проспект, 52Список литературы
- Lyell A. Toxic epidermal necrolysis: an eruption resembling scalding of the skin // Br J Dermatol. 1956. Vol. 68, N 11. Р. 355–361. doi: 10.1111/j.1365-2133.1956.tb12766.x
- Кривошеев Б.Н., Межберг Л.Б., Ронжина З.Г., Ковалевская М.Г. Токсический эпидермальный некролиз ― синдром Лайла // Клиническая медицина. 1972. № 6. С. 126–30.
- Бутов Ю.С., Скрипкин Ю.К., Иванов О.Л., ред. Дерматовенерология. Национальное руководство. Москва : ГЭОТАР-Медиа, 2013. 1021 с.
- Хохлова З.А., Гилева Р.А., Коняхина И.Г., Тишкина А.П. Синдром Лайелла. Случай из практики // Архивъ внутренней медицины. 2018. Т. 8, № 3. С. 231–236.
- Фицпатрик Т., Джонсон Р., Вульф К. и др. Дерматология по Томасу Фицпатрику: Атлас-справочник. Пер. с англ. Е.А. Окишевой, А.В. Снеговской, Е.Р. Тимофеевой. 2-е рус. изд. Москва : Практика, 2007. 1248 с.
- Кривошеев Б.Н., Куимов А.Д., Кривошеев А.Б., Морозов Д.В. Синдром Лайелла у пожилых людей // Российский журнал кожных и венерических болезней. 2009. Т. 12, № 6. С. 10–18.
- Kudo T., Nakajima K., Shiga T., et al. Successful treatment for toxic epidermal necrolysis /drug-induced hypersensitivity syndrome overlap with corticosteroids, intravenous immunoglobulins and plasma exchange // J Clin Exp Dermatol Res. 2014. Vol. 5, N 3. Р. 216–218. doi: 10.1016/j.jds.2015.03.008
- Lyell A. A review of toxic epidermal necrolysis in Britain // Br J Dermatol. 1967. Vol. 79, N 12. Р. 662–671. doi: 10.1111/j.1365-2133.1967.tb11434.x
- Кривошеев Б.Н., Куимов А.Д., Кривошеев А.Б. и др. Синдром Лайелла, спровоцированный биологически активной добавкой к пище // Российский журнал кожных и венерических болезней. 2007. Т. 10, № 3. С. 48–51.
- Куделка Е.Н., Шахматов Д.М., Соболев А.Ф. и др. Токсический эпидермальный некролиз (синдром Лайелла) // Журнал инфектологии. 2017. Т. 9, № 4. С. 144–152.
- Lyell A. Toxic epidermal necrolysis (the scalded skin syndrome): a reappraisal // Br J Dermatol. 1979. Vol. 100, N 1. Р. 69–86. doi: 10.1111/j.1365-2133.1979.tb03571.x
- Es H., Arslan M.N., Yagmur G., Karayel F.A. Toxic epidermal necrolysis like bullous skin reaction: an autopsy case // Turkish J Foren Med. 2015. Vol. 29, N 2. Р. 118–123. doi: 10.5505/adlitip.2015.28190
- Кривошеев А.Б., Тоньшева Л.Н., Самотейкина Ю.М., Шахматов Д.А. Осложнения при наружном применении фурацилина // Советская медицина. 1990. № 12. С. 87–90.
- Хомич Ф.А., Подобед Ю.И. Острый токсический эпидермальный некролиз // Здравоохранение Белоруссии. 1968. № 2. С. 87.
- Заславский Д.В., Горланов И.А., Самцов А.В., Хайрутдинов В.Р. Федеральные клинические рекомендации по ведению больных синдромом Стивенса-Джонсона / токсическим эпидермальным некролизом. Москва : Российское общество дерматовенерологов и косметологов, 2015. Режим доступа: https://www.ismos.ru/guidelines/doc/sindrom_stivenca-dzhonsona.pdf. Дата обращения: 26.12.2020.
- Halevy S., Ghislain P.D., Mockenhaupt M., et al.; EuroSCAR Study Group. Allopurinol is the most common cause of Stevens-Johnson syndrome and toxic epidermal necrolysis in Europe and Israel // J Am Acad Dermatol. 2008. Vol. 58, N 1. Р. 25–32. doi: 10.1016/j.jaad.2007.08.036
- Mockenhaupt M., Viboud C., Dunant A., et al. Stevens-Johnson syndrome and toxic epidermal necrolysis: Assessment of medication risk with emphasis on recently marketed druds. The EuroSCAR-study // J Invest Dermatol. 2008. Vol. 128, N 1. Р. 35–44. doi: 10.1038/sj.jid.5701033
- Тезяева С.А., Млинник Р.А., Дегтярева С.Ф. и др. Синдром Лайелла как редкое осложнение медикаментозной терапии (клинические случаи) // Медиаль. 2015. Т. 2, № 16. С. 42–45.
- Некролиз токсический эпидермальный (синдром Стивенса-Джонсона). Клинические рекомендации. Москва, 2016. Режим доступа: https://medi.ru/klinicheskie-rekomendatsii/nekroliz-toksicheskij-epidermalnyj-sindrom-stivensa-dzhonsona_14105/. Дата обращения: 26.12.2020.
- Auquier-Dunant A., Mockenhaupt M., Naldin L., et al.; SCAR Study Group. Severe Cutaneous Adverse Reactions. Correlation between clinical patterns and causes of erythema multiforme major, Stevens Johnson syndrome and toxic epidermal necrolysis: results of an international prospective study // Arch Dermatol. 2002. Vol. 138, N 8. Р. 1019–1024. doi: 10.1001/archderm.138.8.1019
- Conroy R.M., Pyorala K., Fitzgerald A.P., et al.; SCORE project group. Estimation of ten-year risk of total cardiovascular disease in Europe: the SCORE project // Eur Heart J. 2003. Vol. 24, N 11. Р. 987–1003. doi: 10.1016/s0195-668x(03)00114-3
- Huseyin E., Murat N.A., Gulhan Y. Toxic epidermal necrolysis like bullous skin reaction: an autopsy case // J For Med Gut. 2014. Vol. 29, N 2. Р. 118–123. doi: 10.5505/adlitip.2015.28190
Дополнительные файлы












