Оценка эффективности и безопасности фотодинамической терапии кожи
- Авторы: Круглова Л.С.1, Суркичин С.И.1, Грязева Н.В.1, Холупова Л.С.1, Майоров Р.Ю.1
-
Учреждения:
- Центральная государственная медицинская академия Управления делами Президента Российской Федерации
- Выпуск: Том 24, № 2 (2021)
- Страницы: 187-196
- Раздел: КОСМЕТОЛОГИЯ
- Статья получена: 05.03.2021
- Статья одобрена: 26.05.2021
- Статья опубликована: 15.04.2021
- URL: https://rjsvd.com/1560-9588/article/view/62719
- DOI: https://doi.org/10.17816/dv62719
- ID: 62719
Цитировать
Полный текст
Аннотация
Обоснование. Фотодинамическая терапия ― инновационная методика неинвазивного омоложения кожи за счёт стимуляции неоколлагеногенеза.
Цель ― оценка безопасности и эффективности воздействия на кожу фотодинамической терапии мощностью 660 нм с использованием геля Сферометаллохлорин™ в качестве фотосенсибилизатора.
Материал и методы. Выполнено нерандомизированное контролируемое клиническое исследование. Первый этап исследования, в котором участвовали 5 лабораторных крыс женского пола, был разделён на 2 подэтапа: 1А ― воздействие источником облучения длиной волны 660 нм (энергия 100 Дж/см2, мощность 100 мВ/см2) на слизистую оболочку полости рта в течение 30 мин; 1Б ― дополнительное использование геля, содержащего 0,4% Сферометаллохлорин™, в качестве фотосенсибилизатора, при тех же условиях облучения.
Второй этап исследования с участием 15 женщин-добровольцев в возрасте от 21 до 65 лет также был разделён на два подэтапа: 2А ― облучение заушной области в течение 30 мин длиной волны 660 нм (энергия 100 Дж/см2, мощность 100 мВ/см2) с использованием в качестве фотосенсибилизатора 0,4% геля, содержащего Сферометаллохлорин™, 2Б ― оценка эффективности воздействия курса процедур фотодинамической терапии на кожу при помощи кутометрии, корнеометрии, измерения трансэпидермальной потери воды.
Во всех случаях оценку безопасности проводили с помощью гистологического исследования (панч-биопсия). Кроме того, проводили фотографирование и оценку нежелательных эффектов.
Результаты. По данным гистологического исследования, воздействие излучением 660 нм на слизистую оболочку полости рта крысы не вызывает каких-либо отклонений от нормы; при воздействии излучением 660 нм с использованием фотосенсибилизатора на кожу заушной области женщин появляются небольшая отёчность и набухание ядер эпидермиса, которые полностью разрешаются через 20 дней. Используемое излучение длиной волны 660 нм является полностью безопасным, не вызывает патологических изменений в коже. Используемый в качестве фотосенсибилизатора гель, содержащий 0,4% Сферометаллохлорин™, хорошо проникает в дерму, оптимальное время экспозиции составляет 30 мин. Курс процедур фотодинамической терапии является безопасным, эффективным методом, вызывающим ремоделирование дермы.
Заключение. Фотодинамическую терапию с использованием излучения 660 нм и Сферометаллохлорина™ в качестве фотосенсибилизатора можно рекомендовать для использования в практическом здравоохранении.
Полный текст
ОБОСНОВАНИЕ
Фотодинамическая терапия (ФДТ) ― инновационная методика неинвазивного омоложения кожи за счёт стимуляции неоколлагеногенеза.
ФДТ представляет собой комбинацию первоначально нанесённого светочувствительного химического вещества на кожу и последующего использования, как правило, синего фильтрующего света различного спектра. В качестве метода лечения ФДТ оказалась эффективнее химических пилингов и лазерных воздействий [1]. Взаимодействие фотосенсибилизирующих агентов требует присутствия кислорода, а также источника света [2, 3]. Доказана эффективность в отношении герпетических поражений, злокачественных опухолей головы и шеи, а также рака лёгких, мочевого пузыря и кожи. Имеются результаты тестирования при раке предстательной железы, раке шейки матки, колоректальном раке, раке лёгких, раке молочной железы, раке пищевода, раке поджелудочной железы, раке влагалища, глиоме и эритроплазии Кейра [1, 4, 5].
Для ФДТ требуются 3 компонента ― фотосенсибилизатор, источник света и тканевой кислород. Длина волны источника света должна находиться в пределах 400–660 нм для образования свободных радикалов или активных форм кислорода [6]. Эти свободные радикалы образуются путём переноса из молекулы субстрата, фотосенсибилизатора и высокореактивного состояния кислорода, называемого синглетным кислородом. Фотосенсибилизатор наносится системно или местно для проникновения в ткань-мишень и в течение контролируемого периода времени подвергается воздействию источника света, который заряжает фотосенсибилизатор энергией для производства свободных радикалов, вызывающих повреждение клеток-мишеней при минимальном воздействии на близлежащие здоровые ткани. Фотосенсибилизатор в возбужденном состоянии взаимодействует с молекулярным триплетным кислородом и производит свободные радикалы и активные формы кислорода, в частности синглетные кислородные радикалы и супероксидные ионы. Эти нестабильные виды взаимодействуют с клеточными компонентами, такими как ненасыщенные липиды, аминокислотные остатки и нуклеиновые кислоты. Окислительное повреждение приводит к гибели клеток-мишеней в облучаемых областях [7].
При воздействии на кожу фотосенсибилизатор обычно наносят местно, однако в некоторых случаях могут быть использованы инъекционные или пероральные агенты [2].
Фотосенсибилизатор Сферометаллохлорин™ относится к группе порфиринов, которые сами по себе присутствуют в живом организме и имеют тенденцию к накоплению в повреждённых клетках. Порфирины связываются с сывороточными белками, в том числе липопротеинами низкой плотности. Повреждённые клетки содержат большое количество особых рецепторов, к которым прикрепляются липопротеины. Фотосенсибилизатор Сферометаллохлорин™ в комплексе с липопротеинами скапливается на цитоплазматических мембранах клетки и внутриклеточных органелл ― митохондрий, лизосом, ядра. Сферометаллохлорин™ безопасен для использования, поскольку не содержит балластных компонентов и не проникает в здоровую ткань.
В России разработана методика HELEO4™, основанная на принципе работы классической ФДТ; её особенностью является то, что впервые удалось заключить молекулы фотосенсибилизатора Сферометаллохлорина™ в липосомы и получить гель, способный без остатка проникать в кожу без длительной экспозиции и при дневном освещении. Преимущества методики HELEO4™ заключаются в следующем: она неинвазивная, а значит, комфортная для пациента; отсутствуют побочные эффекты, а также период реабилитации; данную процедуру можно использовать как для монотерапии, так и в сочетании с другими методами.
Цель исследования — оценка безопасности и эффективности воздействия на кожу фотодинамической терапии с использованием длины волны 660 нм и Сферометаллохлорина™ в качестве фотосенсибилизатора.
МАТЕРИАЛ И МЕТОДЫ
Дизайн исследования
Выполнено нерандомизированное контролируемое клиническое исследование.
Исследование разделено на два этапа.
Критерии соответствия
На первом этапе исследования (мышиные модели) критериями включения были следующие: соматическое здоровье животных, отсутствие беременности, отсутствие участия в каких-либо других исследованиях.
На втором этапе исследования (15 женщин-добровольцев в возрасте от 21 до 65 лет) критериями включения были следующие: возраст старше 18 лет, соматическое здоровье, согласие следовать протоколу исследования, отсутствие участия в каких-либо других исследованиях. Критерии исключения: злокачественные новообразования, системные инфекции, декомпенсированные системные заболевания, аутоиммунные заболевания, порфирия, беременность или период лактации, участие в других клинических исследованиях (одновременно либо в течение последних 30 дней), лечение местными или системными кортикостероидами и цитостатиками менее чем за 3 мес до исследования.
Условия проведения
Первый этап проведён на базе клиники ветеринарной медицины «Айболит» Московской государственной академии ветеринарной медицины и биотехнологии имени К.И. Скрябина (филиал кафедры биологии и патологии мелких домашних, лабораторных и экзотических животных).
Второй этап исследования выполнен на базе ФГБУ ДПО «Центральная государственная медицинская академия Управления делами Президента Российской Федерации».
Описание медицинского вмешательства
На первом этапе исследования участвовали 5 лабораторных крыс женского пола.
Первый этап был разделён на два подэтапа.
На подэтапе 1А слизистую оболочку полости рта 5 крыс облучали в течение 30 мин длиной волны 660 нм (энергия 100 Дж/см2, мощность 100 мВ/см2). В качестве источника облучения использовали аппарат фототерапевтический светодиодный красного излучения АФС «Гармония» (ООО «Панков-Медикл», Россия). Оценку безопасности проводили с помощью гистологического исследования: была выполнена панч-биопсия слизистой оболочки полости рта крыс до воздействия и через 30 мин после процедуры. Биоптаты фиксировали в 10% нейтральном формалине, заливали в парафин по общепринятой методике. Серийные парафиновые срезы окрашивали гематоксилином и эозином.
На подэтапе 1Б на кожу спины крысы после предварительного бритья наносили фотосенсибилизатор Сферометаллохлорин™ в форме 0,4% геля. До нанесения топического средства, а также спустя 15; 30 и 45 мин выполнялась панч-биопсия в области нанесения геля с целью оценки проникновения фотосенсибилизатора. Биоптаты сразу после взятия подвергали заморозке, затем проводилось окрашивание Суданом III по общепринятой методике.
На втором этапе исследования участвовали 15 женщин-добровольцев в возрасте от 21 до 65 лет. Все пациентки, вошедшие в группу исследования, подписали добровольное информированное согласие на проведение процедур.
Второй этап также был разделён на два подэтапа.
На подэтапе 2А кожу заушной области 5 женщин облучали аппаратом фототерапевтического светодиодного красного излучения АФС «Гармония». Протокол процедуры: (1) на кожу заушной области наносили 0,4% гель, содержащий Сферометаллохлорин™, сверху накладывали полиэтиленовую плёнку для улучшения пенетрации фотосенсибилизатора и предотвращения смазывания; (2) время экспозиции составляло 30 мин; (3) убирали плёнку и облучали участок кожи длиной волны 660 нм в течение 30 мин, энергия 100 Дж/см2, мощность 100 мВ/см2. Оценку безопасности проводили с помощью гистологического исследования ― панч-биопсии кожи заушной области ― сразу после воздействия, через 3 и 20 дней после воздействия. Биоптаты фиксировали в 10% нейтральном формалине, заливали в парафин по общепринятой методике. Серийные парафиновые срезы окрашивали гематоксилином и эозином.
На подэтапе 2Б проводилась оценка эффективности воздействия курса процедур ФДТ на кожу всех участниц исследования. Протокол процедуры: 1) на кожу лица и заушной области наносили 0,4% гель, содержащий Сферометаллохлорин™, сверху накладывали полиэтиленовую плёнку для улучшения пенетрации фотосенсибилизатора и предотвращения смазывания; 2) время экспозиции составляло 30 мин; 3) плёнку убирали и облучали кожу длиной волны 660 нм в течение 30 мин, энергия 100 Дж/см2, мощность 100 мВ/см2. Проводили курс из 5 процедур 1 раз в 5 дней. Состояние кожи оценивали с помощью кутометрии, корнеометрии, измерения трансэпидермальной потери воды с учётом результатов панч-биоптатов кожи околоушной области (до и после проведения курса процедур). Биоптаты фиксировали в 10% нейтральном формалине, заливали в парафин по общепринятой методике, окрашивали гематоксилином-эозином. Иммуногистохимические реакции проводили на серийных парафиновых срезах с использованием демаскировки антигенов в ретривере в соответствии с общепринятым протоколом. Методом двойных антител выявляли коллагены I и III типов (DAKOCYTOMATION, в разведении 1:100), Ki-67 (DAKOCYTOMATION, в разведении 1:100). Сравнительный анализ коллагена I и III типов проводили с помощью полуколичественного метода оценки интенсивности окрашивания гистологических препаратов (балльная система обсчёта). При слабой окраске экспрессия маркера оценивалась в 2 балла, при умеренной ― 4, при высокой ― 6.
Кроме того, проводили фотографирование и оценку нежелательных эффектов.
Этические нормы
Протокол исследования одобрен локальным этическим комитетом ФГБУ ДПО «ЦГМА» (№ 02/2021 от 27.05.2021 г.)
Статистический анализ
Результаты оценивали с помощью статистического метода для малых выборок Манна–Уитни.
РЕЗУЛЬТАТЫ
Первый этап исследования
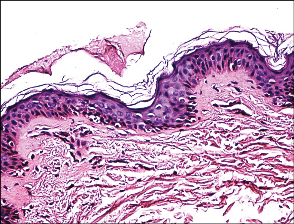
Рис. 1. Гистологическая картина слизистой оболочки полости рта крысы до облучения. Окраска гематоксилином и эозином, х200.
Fig. 1. Histological picture of the oral mucosa of rats before irradiation. Staining with hematoxylin and eosin, x200.
Рис. 2. Гистологическая картина слизистой оболочки полости рта крысы через 30 мин после облучения длиной волны 660 нм. Окраска гематоксилином и эозином, х200.
Fig. 2. Histological picture of the oral mucosa of rats 30 min after irradiation with a wavelength of 660 nm. Staining with hematoxylin and eosin, x200.
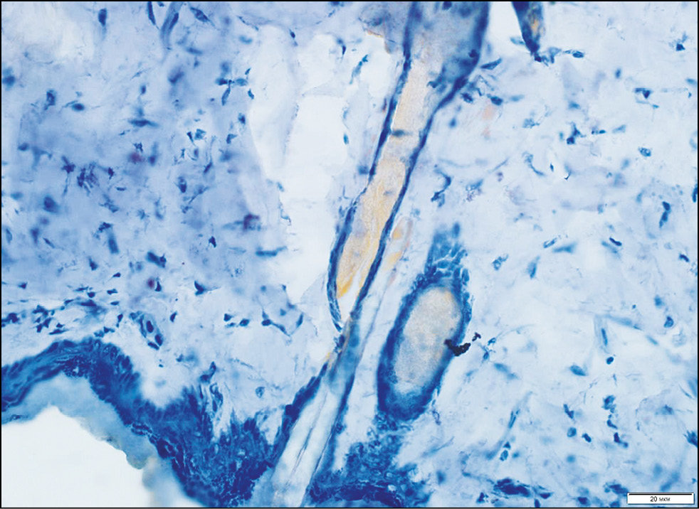
Рис. 3. Контрольный образец (кожа спины крысы до нанесения топического средства с 0,4% Сферометаллохлорином™). Окраска Суданом III, х200.
Fig. 3. Control sample (rat back skin before application of topical agent with 0.4% Spherometallochlorin™). Painting by Sudan III, x200.
Рис. 4. Гистологическая картина кожи спины крысы через 15 мин после нанесения топического средства с 0,4% Сферометаллохлорином™. Окраска Суданом III, х200.
Fig. 4. Histological picture of the skin of the back 15 minutes after application of a topical agent with 0.4% Spherometallochlorin™. Painting by Sudan III, x200.
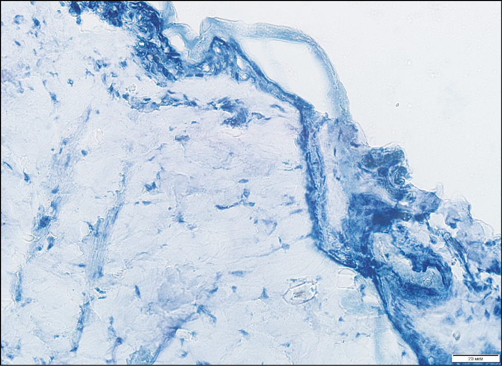
Рис. 5. Гистологическая картина кожи спины крысы через 30 мин после нанесения топического средства с 0,4% Сферометаллохлорином™. Окраска Суданом III, x100.
Fig. 5. Histological picture of the skin of the back 30 minutes after application of a topical agent with 0.4% Spherometallochlorin™. Painted by Sudan III, x100.
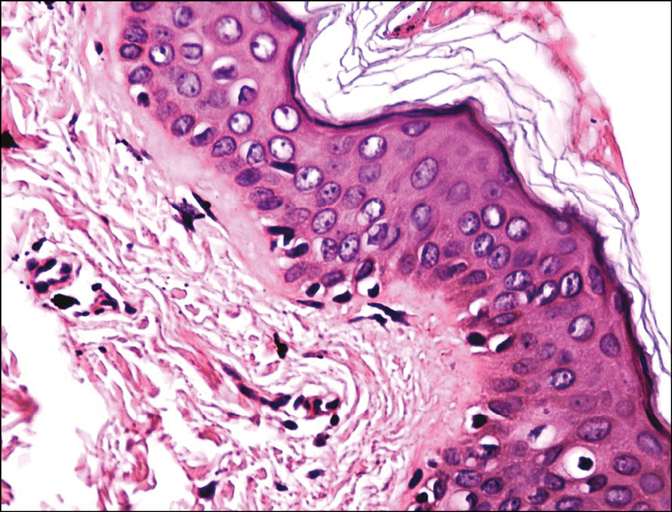
Рис. 6. Гистологическая картина кожи заушной области женщин через 30 мин после фотодинамической терапии. Окраска гематоксилином и эозином, x200.
Fig. 6. Histological picture of the skin behind the ear of women 30 minutes after photodynamic therapy. Hematoxylin and eosin staining, x200.
Подэтап 1А. Гистологическая картина до (рис. 1) и после (рис. 2) исследования оказалась схожей. В препарате, как правило, присутствовали маленькие фрагменты слизистой оболочки ротовой полости. Поверхностный плоский неороговевающий эпителий был с нормальной морфологией. На поверхности некоторых фрагментов присутствовали геморрагии (артефакт взятия материала). В подлежащей слизистой воспаления, отёка или гиперемии не наблюдалось. Таким образом, признаков воспаления, ожога не найдено.
Подэтап 1Б. При исследовании гистологической картины до нанесения геля (рис. 3) со Сферометаллохлорином™ эпидермис и дерма интактны. Через 15 мин экспозиции (рис. 4) заметно скопление суданположительного материала в придатках кожи; кроме того, наблюдается его распространение рядом с волосяными фолликулами в интерстиций дермы. Через 30 мин экспозиции (рис. 5) отмечается распространение суданположительного материала в интерстиции в виде мелких капель по ходу коллагеновых волокон на глубину до подкожно-жировой клетчатки. Через 45 мин экспозиции в препарате визуализируются крупные сформированные липидные капли в дерме и более интенсивно прокрашенные липидные капли в подкожно-жировой клетчатке.
На основе полученных данных можно сделать вывод, что оптимальным временем экспозиции геля с фотосенсибилизатором является 30 мин, поскольку на этом этапе гель проникает в дерму по ходу коллагеновых волокон на глубину до подкожно-жировой клетчатки, что является обязательным условием для проведения процедуры ФДТ.
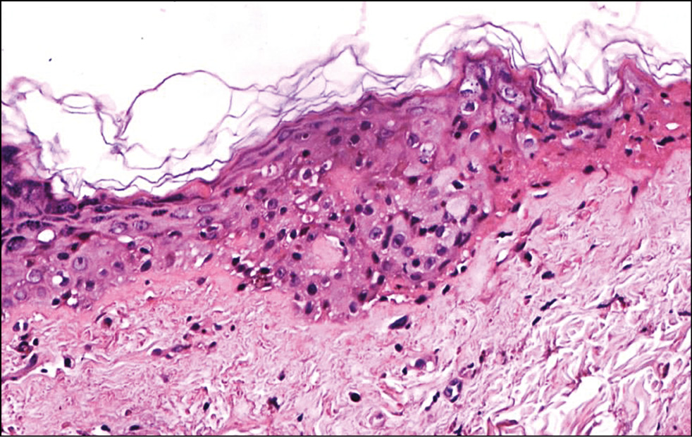
Рис. 7. Гистологическая картина кожи заушной области женщины через 3 дня после фотодинамической терапии. Окраска гематоксилином и эозином, x400.
Fig. 7. Histological picture of the skin behind the ear of women 3 days after photodynamic therapy. Hematoxylin and eosin staining, x400.
Второй этап исследования
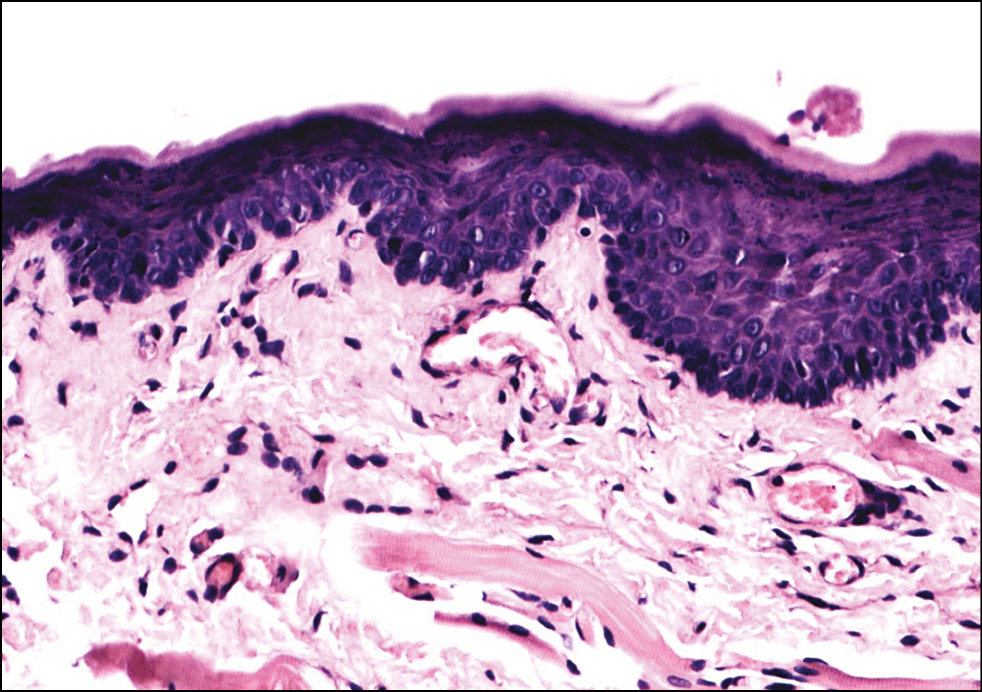
Рис. 8. Гистологическая картина кожи заушной области женщины через 20 дней после фотодинамической терапии. Окраска гематоксилином и эозином, x200.
Fig. 8. Histological picture of the skin behind the ear of women 20 days after photodynamic therapy. Hematoxylin and eosin staining, x200.
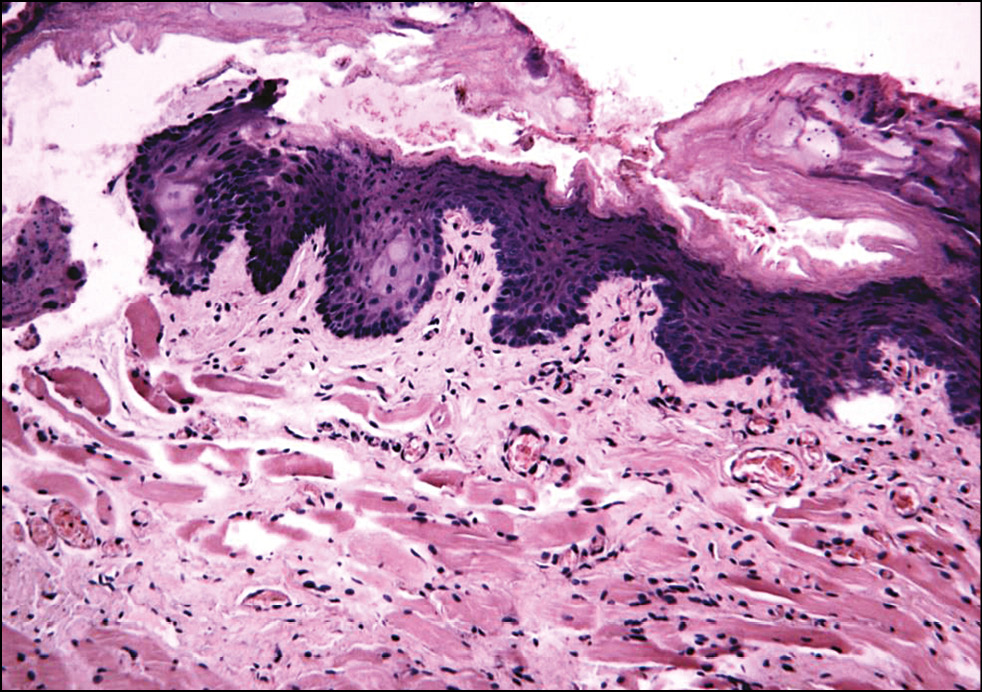
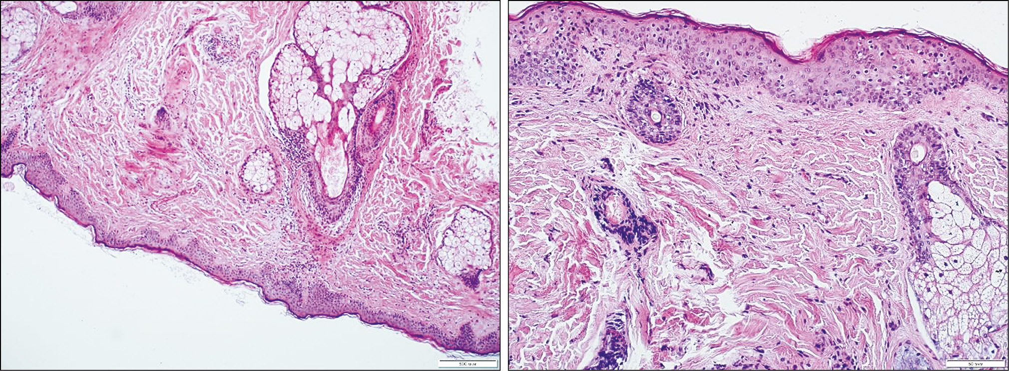
Рис. 9. Гистологическая картина кожи заушной области женщины до и после курса фотодинамической терапии. Окраска гематоксилином и эозином, x40.
Fig. 9. Histological picture of the skin behind the ear of women before and after the course of photodynamic therapy. Hematoxylin and eosin staining, x40.
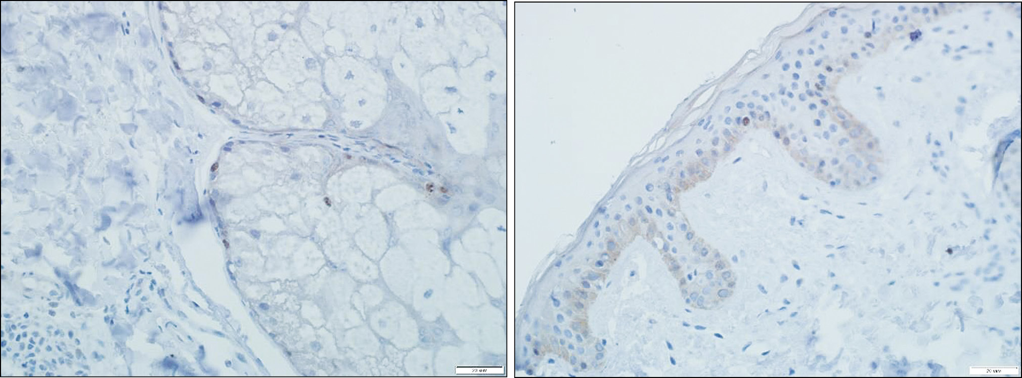
Рис. 10. Иммуногистохимическая картина до и после курса фотодинамической терапии. Маркер Ki-67, x200.
Fig. 10. Immunohistochemical picture before and after the course of photodynamic therapy. Ki-67 marker, x200.
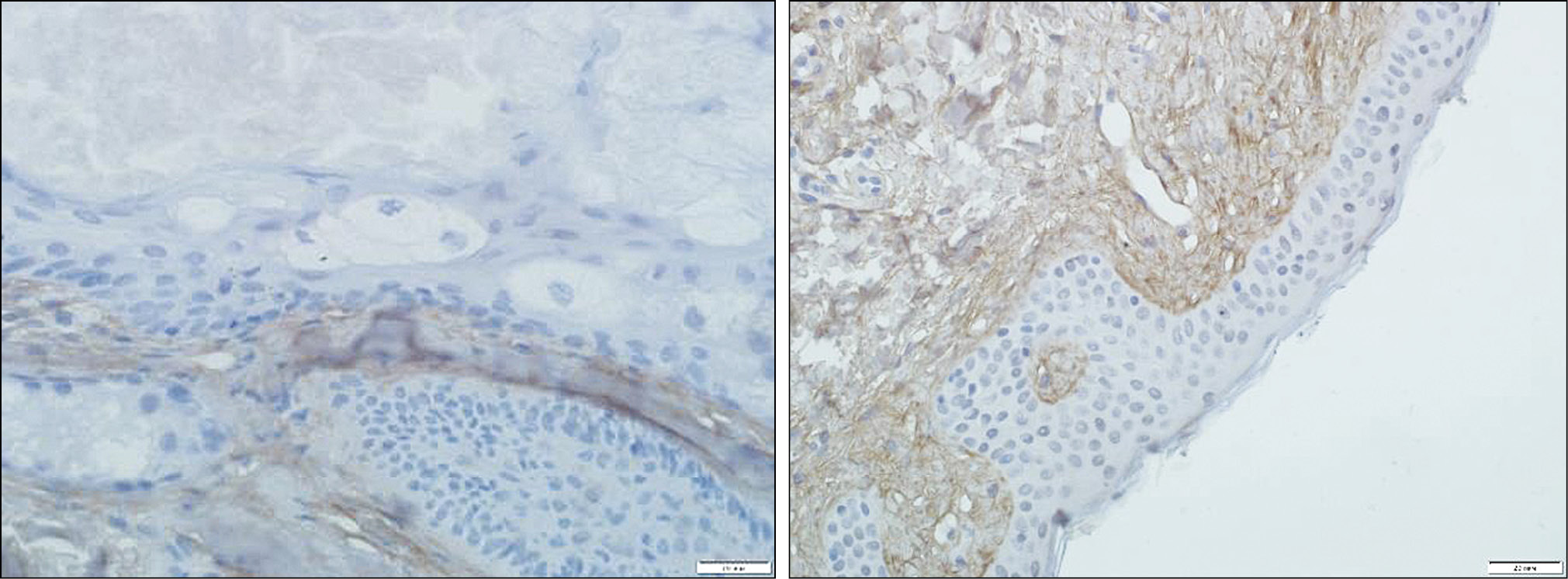
Рис. 11. Иммуногистохимическая картина до и после курса фотодинамической терапии. Маркер Col-1, x200.
Fig. 11. Immunohistochemical picture before and after the course of photodynamic therapy. Col-1 marker, x200.
Рис. 12. Иммуногистохимическая картина до и после курса фотодинамической терапии. Маркер Col-3, x200.
Fig. 12. Immunohistochemical picture before and after the course of photodynamic therapy. Col-3 marker, x200.
Подэтап 2А. Гистологическое исследование показало, что сразу после воздействия ФДТ (рис. 6) в коже обнаруживались единичные лейкоциты в толще эпидермиса и на его поверхности; ядра клеток эпидермиса и их цитоплазма на данном участке были набухшие, сосочки дермы несколько сглажены, рыхлая волокнистая соединительная ткань сосочкового слоя дермы отёчна. На третий день (рис. 7) после процедуры отмечено уменьшение количества набухших ядер в эпидермисе, заметны мелкоочаговые кровоизлияния в сетчатом слое дермы с перифокальной сосудистой реакцией и слабовыраженным отёком сетчатого слоя дермы. Спустя 20 дней (рис. 8) после воздействия заметна умеренная пролиферация клеток эпидермиса и дермы. Отмечается уплотнение коллагеновых волокон сетчатой дермы. Патологических изменений в эпидермисе, дерме, придатках кожи не обнаружено.
Таким образом, воздействие на кожу человека длиной волны 660 нм в течение 30 мин с использованием фотосенсибилизатора Сферометаллохлорина™ является безопасным и не приводит к развитию патологических реакций.
Подэтап 2Б. По данным гистологического исследования (рис. 9), до процедур визуализировались тонкий ороговевающий эпидермис, сальные железы, небольшая лимфогистиоцитарная инфильтрация, толстые коллагеновые волокна; после курса процедур усилился ангиогенез, появился инфильтрат из лимфогистиоцитарных клеток.
При иммуногистохимическом исследовании (рис. 10–12) экспрессии маркера Ki-67, отвечающего за пролиферацию клеток, до курса процедур получили единичные положительно окрашенные ядра (0,1%). После курса процедур обнаружены не только эпителиальные клетки, но и единичные макрофаги в периваскулярной зоне (Ki-67 0,1%), т.е. в результате процедуры ФДТ произошла активация макрофагов. Патологической пролиферации клеток не обнаружено.
При оценке результатов иммуногистохимического исследования маркера коллагена I типа полуколичественным методом до курса процедур получена экспрессия в 2 балла, после курса ФДТ ― 4 балла, для коллагена III типа ― 4 и 2 балла соответственно.
Анализируя полученные данные, можно предположить, что за счёт активации макрофагов, которые выделяют матриксные металлопротеазы, происходит избирательное расщепление коллагена III типа, который впоследствии трансформируется в коллаген I типа.
ОБСУЖДЕНИЕ
По данным гистологического исследования, воздействие излучением 660 нм на слизистую оболочку полости рта крысы не вызывает каких-либо отклонений от нормы; при воздействии излучением 660 нм с использованием фотосенсибилизатора на кожу заушной области женщин появляются небольшая отёчность и набухание ядер эпидермиса, которые полностью разрешаются через 20 дней; кроме того, зафиксировано утолщение коллагеновых волокон. Это позволяет сделать вывод о безопасности данной процедуры.
По данным гистологического исследования с окраской Суданом III, проникновение топического средства с 0,4% Сферометаллохлорином™ на 15-й мин недостаточно, на 30-й мин является оптимальным, а на 45-й мин препарат собирается в более крупные капли. В результате проведения курса процедур в режиме 1 раз в 7 дней, № 5 происходит активация макрофагов, которые выделяют матриксные металлопротеазы, расщепляющие избирательно коллаген III типа, который впоследствии трансформируется в коллаген I типа. Кроме того, по данным иммуногистохимического исследования экспрессии маркера пролиферации клеток Ki-67, процедура ФДТ является безопасной.
ЗАКЛЮЧЕНИЕ
Излучение длиной волны 660 нм в процедурах ФДТ является полностью безопасным, не вызывает патологических изменений в коже. Используемый в качестве фотосенсибилизатора гель, содержащий 0,4% Сферометаллохлорин™, хорошо проникает в дерму, при этом оптимальное время экспозиции составляет 30 мин. Курс процедур ФДТ является безопасным, эффективным методом; вызывает ремоделирование дермы. ФДТ с использованием излучения 660 нм и Сферометаллохлорина™ в качестве фотосенсибилизатора можно рекомендовать для использования в практическом здравоохранении.
ДОПОЛНИТЕЛЬНО
Источник финансирования. Спонсором исследования была компания ООО “Национальная компания красоты”.
Конфликт интересов. Авторы декларируют отсутствие явных и потенциальных конфликтов интересов, связанных с публикацией настоящей статьи.
Участие авторов. Круглова Л.С., Суркичин С.И. — концепция и дизайн статьи; Грязева Н.В., Холупова Л.С. — написание текста статьи; Майоров Р.Ю. — редактирование и оформление статьи для публикации. Все авторы подтверждают соответствие своего авторства международным критериям ICMJE (все авторы внесли существенный вклад в разработку концепции, проведение исследования и подготовку статьи, прочли и одобрили финальную версию перед публикацией).
ADDITIONAL INFO
Funding source. The research was sponsored by the National Beauty Company LLC.
Competing interests. The authors declare that they have no competing interests.
Author contribution. Kruglova L.S., Surkichin S.I. — concept and design of the article; Gryazeva N.V., Kholupova L.S. — writing the text of the article; Mayorov R.Yu. — editing and formatting the article for publication. All authors made a substantial contribution to the conception of the work, acquisition, analysis, interpretation of data for the work, drafting and revising the work, final approval of the version to be published and agree to be accountable for all aspects of the work.
Об авторах
Лариса Сергеевна Круглова
Центральная государственная медицинская академия Управления делами Президента Российской Федерации
Email: kruglovals@mail.ru
ORCID iD: 0000-0002-5044-5265
SPIN-код: 1107-4372
доктор медицинских наук, проф.
Россия, 121359, Москва, ул. Маршала Тимошенко, д. 19, стр. 1АСергей Иванович Суркичин
Центральная государственная медицинская академия Управления делами Президента Российской Федерации
Автор, ответственный за переписку.
Email: surkichinsi24@mail.ru
ORCID iD: 0000-0003-0521-0333
кандидат медицинских наук, доцент
Россия, 121359, Москва, ул. Маршала Тимошенко, д. 19, стр. 1АНаталья Владимировна Грязева
Центральная государственная медицинская академия Управления делами Президента Российской Федерации
Email: tynrik@yandex.ru
ORCID iD: 0000-0003-3437-5233
кандидат медицинских наук, доцент
Россия, 121359, Москва, ул. Маршала Тимошенко, д. 19, стр. 1АЛюдмила Сергеевна Холупова
Центральная государственная медицинская академия Управления делами Президента Российской Федерации
Email: karsekals@gmail.com
ORCID iD: 0000-0002-2781-4587
ассистент
121359, Москва, ул. Маршала Тимошенко, д. 19, стр. 1АРоман Юрьевич Майоров
Центральная государственная медицинская академия Управления делами Президента Российской Федерации
Email: roman1396@bk.ru
ORCID iD: 0000-0003-1911-6743
клинический ординатор
Россия, 121359, Москва, ул. Маршала Тимошенко, д. 19, стр. 1АСписок литературы
- Saini R., Lee N.V., Liu K.Y., Poh C.F. Prospects in the application of photodynamic therapy in oral cancer and premalignant lesions//Cancers (Basel). 2016. Vol. 8, N 9. P. 83. doi: 10.3390/cancers8090083
- Wang S.S., Chen J., Keltner L., et al. New technology for deep light distribution in tissue for phototherapy//Cancer J. 2002. Vol. 8, N 2. P. 154–163. doi: 10.1097/00130404-200203000-00009
- Lane N. New light on medicine//Scientific American. 2003. Vol. 288, N 1. P. 38–45. doi: 10.1038/scientificamerican0103-38
- Swartling J., Ho¨glund O.V., Hansson K., et al. Online dosimetry for temoporfin-mediated interstitial photodynamic therapy using the canine prostate as model//J Biomed Opt. 2016. Vol. 21, N 2. P. 028002. doi: 10.1117/1.JBO.21.2.028002
- Swartling J., Axelsson J., Ahlgren G., et al. System for interstitial photodynamic therapy with online dosimetry: first clinical experiences of prostate cancer//J Biomed Opt. 2010. Vol. 15, N 5. P. 058003. doi: 10.1117/1.3495720
- Skovsen E., Snyder J.W., Lambert J.D., et al. Lifetime and diffusion of singlet oxygen in a cell//J Phys Chem B. 2005. Vol. 109, N 18. P. 8570–8573. doi: 10.1021/jp051163i
- Josefsen L.B., Boyle R.W. Photodynamic therapy and the development of metal-based photosensitisers//Met Based Drugs. 2008. Vol. 2008. P. 276109. doi: 10.1155/2008/276109.
Дополнительные файлы














