Pustular psoriasis and arthropathy in a patient with HIV infection. Clinical case
- Authors: Dubensky V.V.1, Nekrasova E.G.1, Dubensky V.V.1, Alexandrova O.A.1, Muraveva E.S.1
- 
							Affiliations: 
							- Tver State Medical University
 
- Issue: Vol 24, No 2 (2021)
- Pages: 151-160
- Section: DERMATOLOGY
- Submitted: 22.03.2021
- Accepted: 20.05.2021
- Published: 15.04.2021
- URL: https://rjsvd.com/1560-9588/article/view/63949
- DOI: https://doi.org/10.17816/dv63949
- ID: 63949
Cite item
Full Text
Abstract
The article presents a clinical case of pustular psoriasis and arthropathy in a patient with HIV infection. The diagnosis of psoriasis was confirmed by morphological examination. Signs of arthropathy were confirmed by X-Ray: presence of oligoarthritis of the distal interphalangeal joints of the fingers and feet was seen. Dactylitis severity ― 2–3 points, the Ritchie index ― 2, DLQI ― 28. The clinical course of psoriasis and its treatment in HIV-infected patients was considered after taking into account the data from literature and the patients current condition and observation. The above observation of a combination of several clinical forms of psoriasis (vulgar, pustular and arthropathy) in patients with HIV infection is an illustration of the features of the course and comorbidity of chronic dermatosis and AIDS, due to the influence of the infectious process, immunosuppression and ART. The development of pustular form and arthropathy creates the additional challenge of prescribing basic systemic treatment for severe and complicated psoriasis in an HIV-infected patient due to the presence of contraindications due to comorbidity. The glucocorticosteriod selected by the committee was effective on the skin and joint pathological processes, without having any negative impact on the course and treatment of the HIV infection. Such cases require further study and development of methods for the treatment of patients with comorbidity and their inclusion in an additional section in the clinical recommendations for the diagnosis and treatment of psoriasis.
Full Text
Relevance.
Pic. 1. Patient I., 44 years old. Pustular psoriasis and arthropathy before treatment.
a-pustular psoriasis on the skin of the palms. In the area of the tenor and hypotenor – non-follicular pustules on the background of infiltration and hyperkeratosis, scaly-crusts.
b-psoriatic rashes on the distal parts of the fingers of the hands; pronounced hyperkeratosis in combination with onycholysis of the nail plates. Signs of acute dactylitis of the I, II, V fingers and" radish-like " defiguration of the I – IV fingers.
с-psoriatic rashes on the distal parts of the toes; pronounced hyperkeratosis in combination with onycholysis of the nail plates. Acute dactylitis of the I, IV, and V toes.
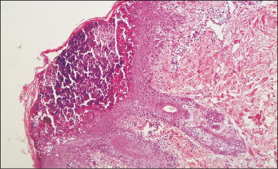
Pic. 2. The same patient. Histological picture of Barber's pustular psoriasis.
The preparation subcorneally determines the spongioform pustule of Kagoi. Against the background of acanthosis, there are separate granulocytic neutrophil infiltrates. Stained with hematoxylin-eosin ×100.
Pic. 3. The same patient after treatment.
a-rashes and infiltration on the skin of the palms resolved with residual hyperpigmentation.
b-psoriatic rashes on the skin of the hands were resolved. Onychia with hyperkeratosis and onycholysis. Mild defiguration of the fingers of the hands.
с-psoriatic rashes on the skin of the feet have resolved. Onychia with hyperkeratosis and onycholysis. Mild defiguration of the toes.
About the authors
Valery V. Dubensky
Tver State Medical University
														Email: valerydubensky@yandex.ru
				                	ORCID iD: 0000-0003-2674-1096
				                	SPIN-code: 3577-7335
																		                								
MD, Dr. Sci. (Med.), Professor
Russian Federation, 4 Sovetskaya street, 170000 TverElizaveta G. Nekrasova
Tver State Medical University
														Email: nekrasova-7@mail.ru
				                	ORCID iD: 0000-0002-2805-6749
				                	SPIN-code: 5831-5824
																		                								
MD, Cand. Sci. (Med.), Associate Professor
Russian Federation, 4 Sovetskaya street, 170000 TverVladislav V. Dubensky
Tver State Medical University
														Email: dubensky.vladislav@yandex.ru
				                	ORCID iD: 0000-0002-5583-928X
				                	SPIN-code: 6044-8507
																		                								
MD, PhD, Professor of the Department of Dermatovenerology with the course of Cosmetology
Russian Federation, 4 Sovetskaya street, 170000 TverOlga A. Alexandrova
Tver State Medical University
														Email: olyaxandrova@gmail.com
				                	ORCID iD: 0000-0001-8281-3619
				                	SPIN-code: 8080-0721
																		                								
Assistant at the Department of Dermatovenereology with a course of cosmetology
Russian Federation, 4 Sovetskaya street, 170000 TverEkaterina S. Muraveva
Tver State Medical University
							Author for correspondence.
							Email: katerisha87@yandex.ru
				                	ORCID iD: 0000-0001-5326-4876
				                	SPIN-code: 3332-8424
																		                								
Assistant at the Department of Dermatovenereology with a course of cosmetology
Russian Federation, 4 Sovetskaya street, 170000 TverReferences
- Galegov GA, Lviv DK. HIV infection: clinic, diagnosis, treatment. Epidemiology of infectious diseases. 2003;(3):62–64. (In Russ).
- Lowell GA, Katz C, Gilchrist B, et al. Fitzpatrick’s dermatology in clinical practice. Vol. 2. Second edition. Moscow : Binom; 2016. Р. 1425–2118. (In Russ).
- Katsambas FD, Lotti TM. European guidelines for the treatment of dermatological diseases. Moscow: MEDpress-inform; 2014. Р. 392–406. (In Russ).
- Kubanova AA. Federal clinical recommendations. Dermatovenerology 2015: Skin diseases. Sexually transmitted infections. Moscow: Delovoi ehkspress; 2016. 786 p. (In Russ).
- Serdyukova EA, Rusinov VI, Mironova YV, Markelov VV. Skin diseases on the background of immunodeficiency caused by HIV infection. Immunology, allergology, infectology. 2012;(2):66–69. (In Russ).
- Statistics on HIV infection in Russia [Electronic resource]. O-spide.ru. Official Internet portal of the Ministry of Health of the Russian Federation on HIV prevention/AIDS. (In Russ). Available from: https://o-shide.ru/officially/statistika-po-vich-infekcii-v-rossii
- Gobena DL, Guzey TN. Diseases of the skin and mucous membranes in patients with HIV infection. Clinical Dermatology and Venereology. 2011;9(3):19–22. (In Russ).
- Dubensky VV, Balashova IY, Maksimov MO, et al. Lesion of the skin and mucous membranes in a patient with HIV infection. Clinical dermatology and venereology. 2004;(4):25–27. (In Russ).
- Yutskovsky AD, Bondar GN, Kornienko AN. Skin lesions in an HIV-infected child: the effectiveness of antiretroviral therapy. Clinical Dermatology and Venereology. 2009;7(3):32–34. (In Russ).
- Cedeno-Laurent F, Gómez-Flores M, Mendez N, et al. New insights into HIV-1-primary skin disorders. J Int AIDS Soc. 2011;(14):5. doi: 10.1186/1758-2652-14-5
- Abidova ZM, Ikramova NJ, Tsoi MR. The case of shingles in an HIV-infected patient. Clinical dermatology and venereology: 2004;(1):28–29. (In Russ).
- Molochkov VA, Snarskaya ES. Giant pointed condyloma of Buschke-Levenshtein in a patient with HIV infection. Russian Journal of Skin and Venereal Diseases. 2006;(5):14–16. (In Russ).
- Khashieva FN, Potekaev NN, Kravchenko AV, et al. B. Clinic of simple and herpes zoster in patients with HIV infection. Clinical dermatology and venereology. 2004;(4):8–10. (In Russ).
- Evdokimov EY, Sundukov AV. Psoriasis in HIV-infected patients: clinical and laboratory assessment, approaches to therapy. Russian Journal of Skin and Venereal Diseases. 2017;20(4):227–231. (In Russ). doi: 10.18821/1560-9588-2017-20-4-227-231
- Menon K, Van Voorhees AS, Bebo BF, et al. Psoriasis in patients with HIV infection: From the Medical Board of the National Psoriasis Foundation. Acad J Am Dermatol. 2010;62(2):291–299. doi: 10.1016/j.jaad.2009.03.047
- Mikhail M, Weinberg JM, Smith BL. Successful treatment with etanercept of von Zumbusch pustular psoriasis in a patient with human immunodeficiency virus. Arch Dermatol. 2008;144 (4):453–456. doi: 10.1001/archderm.144.4.453
- Morar N, Willis-Owen SA, Maurer T, Bunker CB. HIV associated psoriasis: pathogenesis, clinical features, and management. Lancet Infect Dis. 2010;10(7):470–476. doi: 10.1016/S1473-3099(10)70101-8
- Patel RV. Psoriasis in the patient with human immunodeficiency virus, part 1. Cutis. 2008;82(2):117–122.
- Batkaeva NV, Batkaev EA, Gitinova MM, et al. Features of diseases of the cardiovascular system in patients with severe and moderate-severe forms of psoriasis. Bulletin of the RUDN. 2018;22(1):92–101. (In Russ). doi: 10.22363/2313-0245-2018-22-1-92-101
- Batyrshina SV, Sadykova FG. Comorbid conditions in patients with psoriasis. Practical medicine. 2014;(8):32–35. (In Russ).
- Gulaliev DM. The combination of scleroderma and psoriasis. Clinical Dermatology and Venereology. 2015;14(4):20–22. (In Russ).
- Dubensky VV, Nekrasova EG, Muravyeva ES, et al. Psoriasis in a patient with vitiligo. Russian Journal of Skin and Venereal Diseases. 2017;20(4):232–233. (In Russ). doi: 10.18821/1560-9588-2017-20-4-232-233
- Dubensky VV, Nekrasova EG, Alexandrova OA, Muravyeva ES. Vulgar psoriasis and squamous cell carcinoma in a patient with discoid lupus erythematosus. Bulletin of Dermatology and Venereology. 2020;96(4):63–69. (In Russ). doi: 10.25208/vdv1120-2020-96-4-60-66
- Kovkova GY, Shabanova AA, Matusevich SL, Bakhlykova EA. The combination of psoriasis and vulgar pemphigus in one patient: a clinical observation. Clinical dermatology and Venereology. 2018;(1):34–38. (In Russ). doi: 10.17116/klinderma201817134-38
- Tlish MM, Katkhanova OA, Naatyzh ZY, et al. Psoriasis in a patient with ichthyosis. Russian Journal of Skin and Venereal Diseases. 2015;18(2):34–39. (In Russ).
- Olisova OY, Garanyan LG. Epidemiology, etiopathogenesis and comorbidity in psoriasis-new facts. Russian Journal of Skin and Venereal Diseases. 2017;20(4):214–219. (In Russ). doi: 10.18821/1560-9588-2017-20-4-214-219
- Langan SM, Seminara NM, Shin DV, et al. Prevalence of metaboloc syndrom in patients with psoriasis: a population – based study in the United Kingdom. J Invest Dermatol. 2012;132(3 Pt 1):556–562. doi: 10.1038/jid.2011.365
- Yang YW, Keller JJ, Lin HC. Medical comorbidity associated with psoriasis in adults: a population – based study. Br J Dermatol. 2011;165(5):1037–1043. doi: 10.1111/j.1365-2133.2011
- Oleynik AF, Fazylov VK. Reasons for the immunological ineffectiveness of antiretroviral therapy in patients with HIV infection. Kazan Medical Journal. 2014;95(4):581–588. (In Russ).
- Khairutdinov VR, Belousova IE, Samtsov AV. Immune pathogenesis of psoriasis. Bulletin of Dermatology and Venereology. 2016;(4):20–26. (In Russ).
- De Socio VL, Simonetti S, Stagni G. Clinical Improvement of Psoriasis in an AIDS patient effectively treated with combination antiretroviral therapy. Scand J Infect Dis. 2006;38(1):74–75. doi: 10.1080/00365540500322296
- Mahil SK, Capon F, Barker JN. Update on psoriasis immunopathogenesis and targeted immunotherapy. Semin Immunopathol. 2016;38(1):11–27. doi: 10.1007/s00281-015-0539-8
- Asumalahti K, Laitinen T, Itkonen-Vatjus R, et al. A candidate Gene for psoriasis near HLA-C, HCR (Pg8), is highly polymorphic with a disease-associated susceptibility allele. Hum Mol genet. 2000;9(10):1533–1542. doi: 10.1093/hmg/9.10.1533
- Lowes MA, Suárez-Fariñas M, Krueger JG. Immunology of psoriasis. Annu Rev Immunol. 2014;(32):227–255. doi: 10.1146/annurev-immunol-032713-120225
- Piruzian ES, Sobolev VV, Abdeev RM, et al. Study of the molecular mechanisms of pathogenesis of immunological inflammatory disorders using psoriasis as an example. Acta naturae. 2009;1(3):139–150.
- Butov YS. Dermatovenerology. National leadership. Short edition. Moscow : GEOTAR-Media; 2017. 896 р. (In Russ).
- Potekaev NN, Kruglova LS. Psoriatic disease. Moscow: MDV; 2014. 298 p. (In Russ).
- Kochergin NG, Smirnova LM, Kochergin SN. Results of the first World Conference on psoriasis and psoriatic arthritis. Russian Medical Journal. 2006;(15):1151. (In Russ).
- Adaskevich VP. Diagnostic indexes in dermatology. Moscow: BINOM; 2014. 341 с. (In Russ).
Supplementary files
 
				
			 
					 
						 
						 
									
 
  
  
  Email this article
			Email this article 




