Фотогалерея. Саркоидоз (часть 1)
- Авторы: Снарская Е.С.1, Теплюк Н.П.2
- 
							Учреждения: 
							- Первый Московский государственный медицинский университет им. И.М. Сеченова (Сеченовский университет)
- Первый Московский государственный медицинский университет имени И.М. Сеченова (Сеченовский Университет)
 
- Выпуск: Том 24, № 2 (2021)
- Страницы: 201-206
- Раздел: ФОТОГАЛЕРЕЯ
- Статья получена: 20.04.2021
- Статья одобрена: 25.06.2021
- Статья опубликована: 15.04.2021
- URL: https://rjsvd.com/1560-9588/article/view/65224
- DOI: https://doi.org/10.17816/dv65224
- ID: 65224
Цитировать
Полный текст
Аннотация
Саркоидоз (син.: болезнь Бенье–Бека–Шауманна, доброкачественный гранулематоз, хронический эпителиоидно-клеточный ретикулоэндотелиоз) ― мультисистемное заболевание из группы гранулематозов неизвестной этиологии, морфологической особенностью которого является развитие эпителиоидно-клеточных гранулём без казеозного некроза с процессами дистрофии, деструкции и фиброзирования в тканях различных органов. С учётом разнообразия клинических поражений выделяют три основные формы ― внегрудную, внутригрудную, смешанную (генерализованную).
Ключевые слова
Полный текст
Рис. 1. Больная П., 34 года: а ― мелкоузелковый саркоид Бека в сочетании с рубцовой формой саркоидоза; б ― фрагмент участка рубцовой атрофии на волосистой части головы с элементами мелкоузелкового саркоида, симптом псевдопелады Брока.
Fig. 1. Patient P., 34 years old: а ― Beck's small-nodular sarcoid in combination with cicatricial form of sarcoidosis; б ― the same patient, a fragment of a site of cicatricial atrophy on the scalp with elements of a small-nodular sarcoid, a symptom of Broca's pseudopellas.
Рис. 2. Больная И., 56 лет. Мелкоузелковый саркоид Бека. Множественные высыпания на коже лица.
Fig. 2. Patient I., 56 years old. Beck's small-nodular sarcoid. Multiple rashes on the skin of the face.
Рис. 3. Больной Я., 37 лет. Множественный мелкоузелковый саркоид Бека. Высыпания на коже нижних конечностей не сливаются, при пальпации плотновато-эластической консистенции, безболезненные.
Fig. 3. Patient Ya., 37 years old. Beck's multiple small-nodular sarcoid. Rashes on the skin of the lower extremities, do not merge, on palpation of a densely elastic consistency, painless.
Рис. 4. Больной Л., 37 лет. Множественный мелкоузелковый саркоид Бека. Высыпания на коже туловища не сливаются, при пальпации плотновато-эластической консистенции, безболезненные.
Fig. 4. Patient L., 37 years old. Beck's multiple small-nodular sarcoid. Rashes on the skin of the trunk, do not merge, on palpation of a densely elastic consistency, painless.
Рис. 5. Больная Б., 28 лет. Распространённый глубокий подкожный и крупноузелковый саркоид Бека туловища и верхних конечностей.
Fig. 5. Patient B., 28 years old. Widespread deep subcutaneous and large-nodular Beck's sarcoid of the trunk and upper extremities.
Рис. 6. Больная Д., 56 лет. Крупноузелковый саркоид Бека. Отличается немногочисленными полушаровидными и плоскими узелками диаметром до 0,8–1 см, фиолетово-розового, иногда бурого цвета, с гладкой поверхностью, при регрессе которого на поверхности появляются телеангиэктазии. Обычно регресс начинается с центральной части и заканчивается рубцовой атрофией.
Fig. 6. Patient D., 56 years old. Beck's large nodular sarcoid. It is distinguished by the presence of a few hemispherical and flat nodules with a diameter of 0.8–1 cm of violet-pink, sometimes brown color with a smooth surface, with regression of which, telangiectasias appear on the surface. Usually, regression begins in the central part and ends with cicatricial atrophy.
Рис. 7. Больная П., 61 год: а ― диффузно-инфильтративный саркоид Бека по типу ознобленной волчанки Бенье–Теннессона. Представляет собой сочетание крупноузелковой и диффузно-инфильтративной форм саркоидов. Локализуется на коже носа и прилегающих зон щёк (бабочка, как при красной волчанке), а также в области ушных раковин, подбородка, лба, реже пальцев кистей и стоп; б ― фрагмент щеки: выраженный инфильтрат и телеангиэктазии. Процесс обостряется в холодное время года. Регресс высыпаний оставляет рубцовую атрофию.
Fig. 7. Patient P., 61 years old: а ― diffuse-infiltrative Beck's sarcoid according to the type of Bénier-Tennesson's lupus fever. It is a combination of large-nodular and diffuse-infiltrative forms of sarcoids. It is localized on the skin of the nose and adjacent areas of the cheeks (butterfly as in lupus erythematosus), as well as in the area of the auricles, chin, forehead, less often fingers and toes; б ― fragment of the cheek: pronounced infiltration and telangiectasia. The process intensifies in the cold season. Regression of the rash leaves cicatricial atrophy.
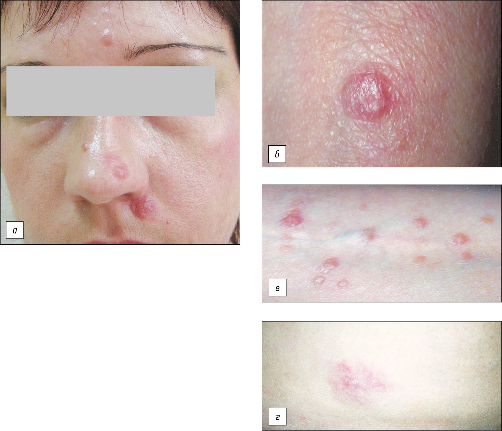
Рис. 8. Больная Н., 27 лет: а ― крупноузелковый и мелкоузелковый саркоид Бека. Характеризуется образованием гладких плотных красновато-фиолетовых узелков диаметром от 2–7 мм до 2–3 см, локализующихся на коже лица и туловища; б ― фрагмент кожи с элементом мелкоузелкового саркоида Бека; в ― фрагмент кожи внутренней поверхности верхней руки с элементом мелкоузелкового саркоида Бека; г ― фрагмент кожи туловища с элементом крупноузелкового саркоида Бека.
Fig. 8. Patient N., 27 years old: а ― large-nodular and small-nodular Beck's sarcoid It is characterized by the formation of smooth dense reddish-violet nodules with a diameter of 2–7 mm to 2–3 cm, localized on the skin of the face and trunk; б ― fragment of Beck's small-nodular sarcoid; в ― fragment of Beck's small-nodular sarcoid of the skin of the inner surface of the upper arm; г ― a fragment of Beck's large-nodular sarcoid of the trunk skin.
Рис. 9. Больная Д., 34 года: а ― мелкоузелковый саркоид Бека: поражение кожи лица; б ― положительный симптом «яблочного желе» при диаскопии.
Fig. 9. Patient D., 34 years old: а ― Beck's small-nodular sarcoid: facial skin lesions; б ― positive symptom of "apple jelly" during diascopy.
Рис. 10. Больная Ж., 54 года: а ― диффузно-инфильтративный саркоид Бека. Характеризуется образованием бляшек на коже лица, чаще в области щёк, носа, реже на туловище в виде плоской инфильтративной бляшки фиолетово-розового цвета диаметром 5–6 см и более. Феномен «пылинок» положителен; б ― глубокий подкожный саркоид Дарье–Русси: высыпания в виде инфильтратов на коже верхней конечностей.
Fig. 10. Patient J., 54 years old: а ― diffuse-infiltrative Beck's sarcoid. It is characterized by the formation of plaques on the skin of the face, more often in the cheeks, less often on the body in the form of a flat infiltrative plaque of violet-pink color with a diameter of 5–6 cm or more. The phenomenon of "dust particles" is positive; б ― deep subcutaneous sarcoid of Darier–Russi: rash in the form of infiltrates on the skin of the upper extremities.
Рис. 11. Больная Т., 66 лет. Атипичный вариант саркоидоза: ангиолюпоид Брока–Потрие. Отличается одиночной мягкой, слегка возвышающейся бляшкой синюшно-красного цвета диаметром 2–3 см с множественными телеангиэктазиями на поверхности. Локализуется почти исключительно на коже носа. Может спонтанно разрешаться.
Fig. 11. Patient T., 66 years old. Atypical variant of sarcoidosis: Broca-Potrie's angiolupoid. It is distinguished by a single soft, slightly towering cyanotic-red plaque with a diameter of 2–3 cm with multiple telangiectasias on the surface. It is localized almost exclusively on the skin of the nose. May resolve spontaneously.
Рис. 12. Больная Е., 26 лет. Крупноузелковый саркоид Бека. Единичный очаг на коже лба.
Fig. 12. Patient E., 26 years old. Beck's large nodular sarcoid. A single lesion on the skin of the forehead.
Pис. 13. Больная Ю., 68 лет. Неспецифические кожные проявления саркоидоза в виде перфорирующей формы кольцевидной гранулёмы. Саркоидоз внутригрудных лимфатических узлов.
Fig. 13. Patient Y., 68 years old. Nonspecific skin manifestations of sarcoidosis in the form of a perforating form of annular granuloma. Sarcoidosis of the intrathoracic lymph nodes.
Рис. 14. Больная П., 71 год: а ― глубокий подкожный саркоид Дарье–Русси. Симметричное поражение обеих щёк, кожи носа. Характеризуется поражением гиподермы, где образуются крупные безболезненные узлы диаметром до 5 см, кожа над которыми постепенно приобретает розоватую окраску, процесс спайки с кожей даёт симптом «апельсиновой корки», слияние узлов ― симптом «булыжной мостовой»; б ― фрагмент кожи щеки: стойкие телеангиэктазии при глубоком подкожном саркоиде Дарье–Русси.
Fig. 14. Patient P., 71 years old: а ― deep subcutaneous sarcoid Darier–Russi. Symmetrical lesion of both cheeks, nasal skin. It is characterized by a lesion of the hypodermis, where large painless nodes with a diameter of up to 5 cm are formed, the skin over which gradually acquires a pinkish color, when soldering to the skin, the symptom of "orange peel" appears, and when the nodes merge, the symptom of "cobblestone pavement" appears; б ― fragment of the cheek skin: persistent telangiectasias with deep subcutaneous sarcoid Daria–Russi.
Рис. 15. Больная С., 45 лет. Неспецифические кожные проявления саркоидоза в виде перфорирующей формы кольцевидной гранулёмы на коже височной области. Саркоидоз внутригрудных лимфатических узлов. Диссеминированные множественные очаги на коже лица, груди, верхних конечностей. Высыпания в виде кольцевидных элементов от 2 до 5 см в диаметре, при этом центральная зона с фибриноидными наслоениями и эрозивно-язвенной поверхностью внутри.
Fig. 15. Patient S., 45 years old. Nonspecific skin manifestations of sarcoidosis in the form of a perforating granuloma annular on the skin of the temporal region. Sarcoidosis of the intrathoracic lymph nodes. Disseminated multiple lesions on the skin of the face, chest, upper limbs. Eruptions in the form of annular elements from 2 to 5 cm in diameter, while the central zone with fibrinoid layers, under which the erosive and ulcerative surface.
Рис. 16. Больной Т., 31 год. Мелкоузелковый саркоид Бека. Множественные высыпания на коже туловища.
Fig. 16. Patient T., 31 years old. Beck's small-nodular sarcoid. Multiple eruptions on the skin of the trunk.
Об авторах
Елена Сергеевна Снарская
Первый Московский государственный медицинский университет им. И.М. Сеченова (Сеченовский университет)
							Автор, ответственный за переписку.
							Email: snarskaya-dok@mail.ru
				                	ORCID iD: 0000-0002-7968-7663
				                																			                								
Доктор медицинских наук, профессор кафедры кожных венерических болезней
Россия, 119991, Москва, ул. Трубецкая, д. 8, стр. 2Наталия П. Теплюк
Первый Московский государственный медицинский университет имени И.М. Сеченова (Сеченовский Университет)
														Email: teplyukn@gmail.com
				                	ORCID iD: 0000-0002-5800-4800
				                																			                												                	Россия, 							119991, Москва, ул. Трубецкая, д. 8, стр. 2						
Список литературы
Дополнительные файлы
 
				
			 
						 
					 
						 
									
 
  
  
  Отправить статью по E-mail
			Отправить статью по E-mail 

















