Modern approaches on the efficacy monitoring on different stages of the treatment and rehabilitation in children
- 作者: Samoilova I.G.1, Voitenkov V.B.1, Marchenko N.V.1
- 
							隶属关系: 
							- Pediatric Research and Clinical Center for Infectious Diseases
 
- 期: 卷 17, 编号 6 (2018)
- 页面: 300-304
- 栏目: Healthcare organization
- ##submission.datePublished##: 01.11.2018
- URL: https://rjpbr.com/1681-3456/article/view/59700
- DOI: https://doi.org/10.17816/1681-3456-2018-17-6-300-305
- ID: 59700
如何引用文章
全文:
详细
In our work we share our experience of the efficacy monitoring on different stages of the treatment and rehabilitation process in children with the nervous system infections. Our center is Pediatric Research and Clinical Center for Infectious Diseases, Saint-Petersburg, Russia. We demonstrate that these diagnostic modalities may and have to be implemented in this population on all stages of the disease. These approaches let to diagnose and monitor the efficacy of the treatment, including rehabilitation. Also these methods may be used as a prognostic tool in children with nervous system infections and its sequelae.
全文:
Введение
Среди всех форм инфекционных заболеваний до 75% случаев нейроинфекций наблюдается в педиатрической практике [1]. Значительная распространенность и высокая частота инвалидизации детей с нейроинфекциями определяют актуальность применения различных методов диагностики, в том числе лучевой, у детей с указанной патологией. Парадигма стандартизированного подхода в лечении и реабилитации детей с нейроинфекциями не всегда продуктивна у пациентов с различными клиническими вариантами течения. В этих условиях целесообразным становится применение современных инструментальных методов диагностики с целью определения эффективных методов лечения и реабилитации [2].
Детский научно-клинический центр инфекционных болезней: современный подход к терапии и реабилитации пациентов
Терапия и реабилитация подобных пациентов требует широкого привлечения методов инструментальной диагностики, в частности нейровизуализационной и нейрофизиологической [3, 4]. Необходимы учитывающая физиологические особенности пациента оценка роли и места различных методов диагностики на разных этапах заболевания ― остром, ранней и поздней реконвалесценции; создание системы диагностической поддержки и мониторинга эффективности применяемой терапии, в том числе физиотерапевтической [5, 6].
Ультразвуковое исследование
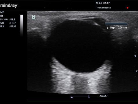
В ФГБУ «Детский научно-клинический центр инфекционных болезней Федерального медико-биологического агентства» России (ФГБУ ДНКЦИБ ФМБА России) внедрен современный подход к клинически значимым диагностическим методам у детей с различными формами нейроинфекций. Так, в остром периоде нейроинфекций в зависимости от ее формы применяются электрофизиологические, ультразвуковые и компьютерно-томографические методики. Нами, в частности, установлено, что ультразвуковое исследование диаметра оболочки зрительного нерва может применяться для мониторинга внутричерепной гипертензии у детей с критическими состояниями на фоне нейроинфекций. Диаметр оболочки зрительного нерва у пациентов детского возраста в критических состояниях варьирует от 5,2 до 6,8 мм, средний размер 5,8 ± 0,5 мм. У всех пациентов с нейроинфекциями, находящихся в критическом состоянии в отделении реанимации и интенсивной терапии, наблюдается расширение оболочки зрительного нерва по сравнению с нормой: типичные изменения представлены на рис. 1.
Рис. 1. Сонограмма пациента с повышением внутричерепного давления. Диаметр расширенной оболочки зрительного нерва 5,8 мм
На фоне улучшения состояния пациентов наблюдается уменьшение диаметра диска зрительного нерва в среднем на 5,2 ± 0,2 мм (p < 0,05). Наблюдаемое уменьшение диаметра коррелирует с клиническим улучшением (повышением уровня сознания, уменьшением выраженности общемозговой и инфекционной симптоматики). Таким образом, у детей с критическим состоянием на фоне инфекционных заболеваний выявляемые ультразвуковые изменения допустимо соотносить с клинической картиной. Для этих целей возможно использование портативных, простых в применении и анализе получаемых результатов аппаратов ультразвуковой диагностики. Безопасность методики ультразвукового исследования зрительных нервов в педиатрической практике сомнению не подвергается, в том числе при использовании у детей в условиях отделения реанимации и интенсивной терапии [7, 8].
Компьютерная томография
У детей с острым гнойным менингитом целесообразно применение компьютерной томографии с оценкой ширины субарахноидальных пространств и плотности вещества головного мозга на уровне коры головного мозга и в перивентрикулярных отделах. Данная методика при остром гнойном менингите позволяет предположить наличие мелких очагов геморрагии, возникающих в корковых отделах центральной нервной системы [9], и помогает в оценке динамики внутричерепной гипертензии.
Полученные нами результаты исследований представлены в табл. 1 и 2.
Таблица 1. Ширина субарахноидального пространства у детей в острый период бактериального менингита и детей группы сравнения
| Группы | Лобная доля | Теменная доля | Затылочная доля | |||
| справа, мм | слева, мм | справа, мм | слева, мм | справа, мм | слева, мм | |
| Дети с менингитами | 5,6 ± 3,28* | 6,4 ± 3,36 | 3 ± 1,87 | 3,4 ± 2,5 | 1,4 ± 0,54 | 1,2 ± 0,31 | 
| Группа сравнения | 1,5 ± 1 | 1,4 ± 1,2 | 1,5 ± 1,1 | 1,3 ± 0,7 | 1,01 ± 0,5 | 1,11 ± 0,4 | 
Примечание. * ― отличия достоверны по сравнению с группой контроля, p < 0,05.
Таблица 2. Плотность вещества головного мозга у детей в острый период бактериального менингита и детей группы сравнения
| Группы | Кора головного мозга (в 3 точках измерения), HU | Субкортикальный отдел (в 3 точках измерения), HU | Перивентрикулярно (в 3 точках измерения), HU | |||
| справа | слева | справа | слева | справа | слева | |
| Дети с менингитами | 29,2 ± 4,32 | 30 ± 2,54 | 30,4 ± 2,07 | 29,8 ± 1,92 | 27,2 ± 3,49 | 27,2 ± 1,95* | 
| Группа сравнения | 33 ± 2,1 | 34 ± 1,5 | 31 ± 1,8 | 31 ± 1,7 | 29 ± 1,2 | 33 ± 1,3 | 
Примечание. * ― отличия достоверны по сравнению с группой контроля, p < 0,05. HU ― единицы шкалы Хаунсфилда.
Магнитно-резонансная томография
В остром периоде развития острой воспалительной демиелинизирующей полиневропатии целесообразно применение магнитно-резонансной томографии с оценкой фракционной анизотропии с целью выявления вовлечения в процесс центральной нервной системы. В остром периоде заболевания показатель фракционной анизотропии составляет в 0,7 ± 0,04 (рис. 2).
Рис. 2. Пациент О., 14 лет, острый период острой воспалительной демиелинизирующей полиневропатии: замеры фракционной анизотропии. Применена диффузионно-тензорная методика обследования нервных волокон с получением цифровых значений плотности расположения волокон (А) и оценки их хода (Б).
Представлены в качестве примера диффузионно-тензорные изображения пациента 14 лет с острой воспалительной демиелинизирующей полиневропатией на 10-е сутки развития заболевания. Тракты демонстрируют сохранение направленности нервных волокон, которые плотно расположены по отношению друг к другу. Измеряемый коэффициент фракционной анизотропии демонстрирует организованное направленное движение молекул воды вдоль нервных волокон, его значение 0,7 ± 0,04 косвенно свидетельствует о наличии отека самих волокон на уровне конского хвоста с сохранением направленности и без их разрушения (трактография).
Таким образом, измерение фракционной анизотропии с помощью магнитно-резонансной томографии может применяться в остром периоде отдельных форм нейроинфекций.
В период ранней и поздней реконвалесценции также применяется весь арсенал методов инструментальной диагностики. Так, целесообразен мониторинг вовлечения центральной нервной системы при острой воспалительной демиелинизирующей полиневропатии. В период ранней реконвалесценции (35-е сутки) отмечается динамика изменений по показателям трактографии, где отмечается разряжение плотности хода направленных нервных волокон, свидетельствующее об атрофических изменениях и регрессе отека. Значения фракционной анизотропии подтверждают наличие данных изменений и в среднем составляют 0,51 ± 0,07 (рис. 3).
Рис. 3. Пациент О., 14 лет, острый период острой воспалительной демиелинизирующей полиневропатии: замеры фракционной анизотропии на 35-е сутки. Применена диффузионно-тензорная методика обследования нервных волокон с получением цифровых значений плотности расположения волокон (А) и оценки их хода (Б).
Все эти данные свидетельствуют о продолжающемся процессе реорганизации и нейропластичности после перенесенного нейроинфекционного процесса (см. рис. 3).
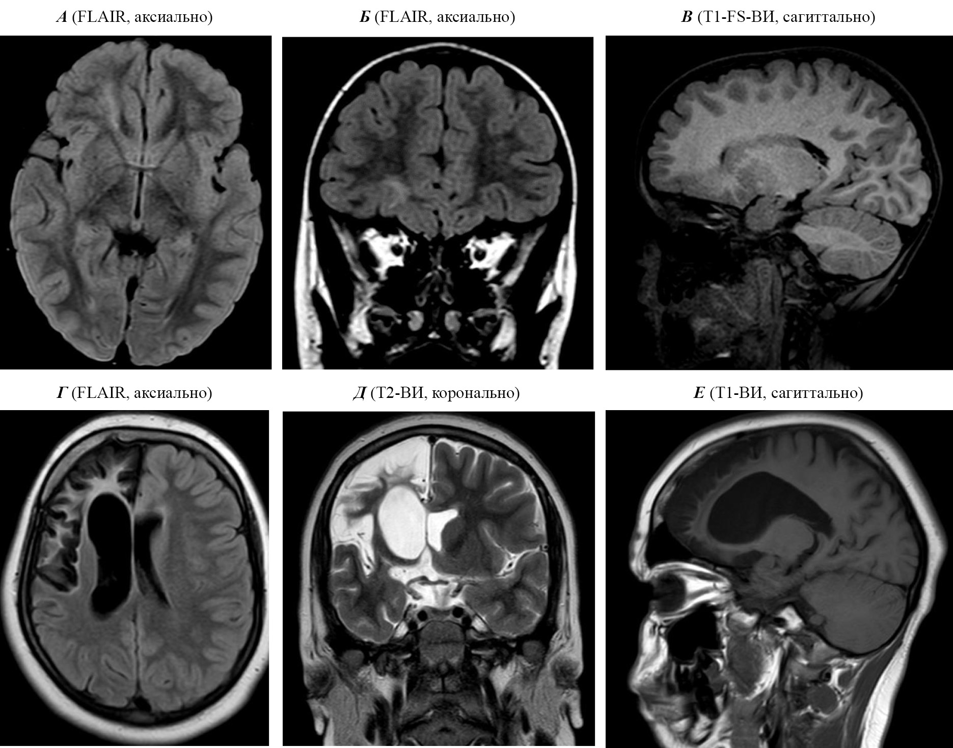
После перенесенного острого гнойного менингита в 5−10% случаев в зависимости от этиологии заболевания развивается эпилептический синдром [3, 10, 11]. В диагностическом процессе у таких детей помимо применения электроэнцефалографии показано проведение экспертной магнитно-резонансной томографии с детализированной визуализацией коры и субкортикальных отделов, а также области гиппокампов с целью исключения очагов фокальной кортикальной атрофии (рис. 4).
Рис. 4. Пациент Р., 5 лет: атрофия и фокальные корковые дисплазии на структурной магнитно-резонансной томографии. А−В ― фокальная кортикальная дисплазия в полюсном отделе правой лобной доли в виде нечеткого участка, распространяющегося от коры до переднего рога правого бокового желудочка; Г−Е ― кистозно-глиозно-атрофические изменения в правой лобной доле с викарным расширением правого бокового желудочка как исход ранее перенесенного менингоэнцефалита.
Использование функциональных и лучевых методов диагностики у детей с нейроинфекциями на этапе ранней реконвалесценции позволяет получить объективную оценку состояния нервной системы, а также применять различные технологии медицинской реабилитации на более раннем этапе восстановления, что способствует снижению риска инвалидизации и сокращению срока пребывания ребенка в условиях отделения медицинской реабилитации.
Заключение
Таким образом, применение методов инструментальной диагностики у детей с нейроинфекциями возможно и необходимо на всех этапах развития заболевания.
С помощью этих методов возможны как диагностика, так и мониторинг эффективности применяемой терапии, в том числе на этапе реабилитации.
Предложенные методы могут применяться в качестве инструмента прогнозирования эффективности лечения и реабилитации у детей с нейроинфекциями.
作者简介
I. Samoilova
Pediatric Research and Clinical Center for Infectious Diseases
							编辑信件的主要联系方式.
							Email: klinika@niidi.ru
				                					                																			                								
MD, PhD
俄罗斯联邦, 9, Professor Popov, street, Saint-Petersburg, 197022V. Voitenkov
Pediatric Research and Clinical Center for Infectious Diseases
														Email: vlad203@inbox.ru
				                					                																			                								
MD, PhD
俄罗斯联邦, 9, Professor Popov, street, Saint-Petersburg, 197022N. Marchenko
Pediatric Research and Clinical Center for Infectious Diseases
														Email: gmv2006@mail.ru
				                					                																			                								
MD, PhD
俄罗斯联邦, 9, Professor Popov, street, Saint-Petersburg, 197022参考
- Lobzin YuV, Konovalova LN, Skripchenko NV. Prevalence of infections diseases in children of the Russian Federation. Meditsina ekstremal'nykh situatsii. 2017;60(2):8-22. (In Russ).
- Lobzin YuV, Zakharov VI. Meditsinskaya reabilitatsiya infektsionnykh bol'nykh i dinamicheskii kontrol' za perebolevshimi. St. Petersburg: Izdatel'stvo SZGMU I.I. Mechnikova; 2015. 184 p. (In Russ).
- Skripchenko NV, Pronina EV, Lepikhina TG, et al. Мedical rehabilitation of children reconvalescent from infectious diseases according to the international classification of impairments, disabilities and handicaps. Pediatrician (St. Petersburg). 2015;6(3):41-47. (In Russ).
- Komantsev VN, Skripchenko NV, Savina MV. Clinical electroneuromyography in neuroinfections in children. Pediatrician (St. Petersburg). 2011;2(2):34-37. (In Russ).
- Ponomarenko GN. Physical therapy: the prospects for its systemic development. Voprosy kurortologii, fizioterapii i lechebnoi fizicheskoi kul'tury. 2017;94(6):59-64. (In Russ). doi: 10.17116/kurort201794659-64.
- Ekusheva EV, Damulin IV. The interhemispheric asymmetry in normalcy and pathology. Zh Nevrol Psikhiatr Im S S Korsakova. 2014;114(3):92-97. (In Russ).
- Le A, Hoehn ME, Smith ME, et al. Bedside sonographic measurement of optic nerve sheath diameter as a predictor of increased intracranial pressure in children. Ann Emerg Med. 2009;53(6):785-791. doi: 10.1016/j.annemergmed.2008.11.025.
- Srinivasan S, Cornell TT. Bedside ultrasound in pediatric critical care: a review. Pediatr Crit Care Med. 2011;12(6):667-674. doi: 10.1097/PCC.0b013e318223147e.
- Lucas MJ, Brouwer MC, van der Ende A, van de Beek D. Outcome in patients with bacterial meningitis presenting with a minimal Glasgow Coma Scale score. Neurol Neuroimmunol Neuroinflamm. 2014;1(1):e9. doi: 10.1212/NXI.0000000000000009.
- Oostenbrink R, Maas M, Moons KG, Moll HA. Sequelae after bacterial meningitis in childhood. Scand J Infect Dis. 2002;34(5):379-382. doi: 10.1080/00365540110080179.
- Clark LG, Glennie L, Audrey S, et al. The health, social and educational needs of children who have survived meningitis and septicaemia: the parents’ perspective. BMC Public Health. 2013;13:954-962. doi: 10.1186/1471-2458-13-954.
补充文件
 
				
			 
						 
						 
					
 
  
  
  电邮这篇文章
			电邮这篇文章 









