Morphofunctional characteristics of the mucous membrane of the masticatory apparatus in experimental carcinogenesis
- Authors: Rizaev J.A.1, Khazratov A.I.1, Iordanishvili A.K.2
-
Affiliations:
- Samarkand State Medical Institute
- Military Medical Academy named after S.M. Kirov
- Issue: Vol 25, No 3 (2021)
- Pages: 225-231
- Section: Experimental and Theoretical Investigations
- Submitted: 19.04.2022
- Accepted: 19.04.2022
- Published: 15.05.2021
- URL: https://rjdentistry.com/1728-2802/article/view/106473
- DOI: https://doi.org/10.17816/1728-2802-2021-25-3-225-231
- ID: 106473
Cite item
Abstract
BACKGROUND: Diseases of the gastrointestinal tract are often accompanied by changes in the oral cavity. This is largely due to the morphological and functional unity of the oral mucosa and the entire digestive tract. Therefore, the role of a dentist is important in early oncological alertness for detecting malignant neoplasms at an early stage of their development.
AIM: Present the results of a morphological study of the mucous membrane of the mouth of an animal during experimental carcinogenesis.
MATERIAL AND METHODS: The study was carried out on 168 sexually mature outbred white male rats kept under standard vivarium conditions. The animals were divided into the following groups: control — 84 individuals and experimental — 84 animals with simulated colon adenocarcinomatosis. Every 30 days of the experiment, 12 animals were withdrawn from the control and experimental groups. Carcinogenesis was modeled by the introduction of 1,2-dimethylhydrazine dihydrochloride, previously diluted with isotonic sodium chloride solution. Using a histological study, the mucous membrane of the mouth was studied in animals of both examined groups.
RESULTS: The dynamics of morphological changes in the mucous membrane of the animal’s mouth was revealed against the background of the development of adenocarcinomatosis of the large intestine; the development of destructive-degenerative and sclerotic changes in the mucous membrane of the mouth of animals with simulated adenocarcinomatosis of the large intestine, the severity of which increased in accordance with the period of development of the neoplasm, was established.
CONCLUSION: The revealed changes in the large intestine and the mucous membrane of the animal’s mouth, caused by a simulated chemical carcinogen, indicate a high risk of developing a malignant tumor with spread to all parts of the gastrointestinal tract.
Full Text
АКТУАЛЬНОСТЬ
Заболевания желудочно-кишечного тракта часто сопровождаются изменениями в полости рта. Это в значительной степени обусловлено морфофункциональным единством слизистой оболочки рта и всего пищеварительного тракта. Согласно многочисленным публикациям последних лет, в конце XX — начале XXI столетия отмечается существенное увеличение числа страдающих раком ободочной и прямой кишки. Данная локализация составляет 15% от первично диагностированных опухолей всех локализаций (30% них составляет рак прямой кишки). От колоректального рака ежегодно умирают около 100 тыс. человек [1].
Канцерогенез — процесс многофакторный и многостадийный, включающий цепь генетических и негенетических повреждений клетки, обратимый на ранних стадиях и прогрессирующий лишь у людей, подверженных риску [2].
Канцерогенез является результатом воздействия на человека экзогенных и эндогенных факторов. К первым относятся факторы окружающей среды и образ жизни, ко вторым — генетические, иммунологические и гормональные свойства организма. Известно, что канцерогенез — многоступенчатый процесс, в котором выделяют две основные стадии — инициацию и промоцию. На стадии инициации поступающие в организм химические канцерогены подвергаются биологической трансформации, включающей метаболическую активацию и дезактивацию. Активные метаболиты канцерогенов взаимодействуют с ДНК клеток-мишеней с образованием аддуктов. Если полноценная репарация ДНК не происходит, генотоксическое действие канцерогенов приводит к мутациям и активации онкогенов с возникновением «инициированных клеток». Последующая стадия опухолевой промоции включает селекцию и пролиферацию инициированных клеток с дальнейшим накоплением мутаций, неопластической трансформацией и образованием опухоли [3].
Продолжительность жизни больных раком толстой кишки напрямую связана со степенью распространенности опухолевого процесса. При выявлении заболевания на ранних стадиях (I стадии) уровень 5-летней выживаемости достаточно высок и составляет 93,2%, однако по мере роста и метастазирования опухоли наблюдается резкое снижение данного показателя. Так, при диагностировании процесса на II стадии уровень 5-летней выживаемости снижается до 72,2% и составляет всего 44,3% при вовлечении в патологический процесс регионарных лимфатических узлов (III стадия). При наличии отдаленных метастазов (IV стадия) показатель 5-летней выживаемости не превышает 8,1% [4].
Искусственно индуцированные с помощью определенных канцерогенов опухоли у лабораторных животных дают возможность исследования различных аспектов канцерогенеза, которые не могут быть эффективно изучены непосредственно на человеческом организме. На сегодняшний день разработано значительное количество экспериментальных моделей инициации опухолевого роста в различных органах. Одной из них является диметилгидразиновая (ДМГ) модель. Метаболические изменения, возникающие при индукции опухолевого процесса с помощью ДМГ, близки к тем, которые имеют место у человека при развитии рака толстой кишки [5].
Учитывая, что заболевания желудочно-кишечного тракта часто сопровождаются изменениями в полости рта, что в значительной степени обусловлено морфофункциональным единством слизистой оболочки рта и всего пищеварительного тракта, представляется важной ранняя онкологическая настороженность врача-стоматолога для выявления злокачественных новообразований кишечника на ранней стадии их развития [6, 7].
Цель работы — представить результаты морфологического исследования слизистой оболочки пасти животного при экспериментальном канцерогенезе.
МАТЕРИАЛ И МЕТОДЫ
Исследование выполнено на 168 половозрелых беспородных белых крысах-самцах с массой тела 175,0±4,2 г, которых содержали в стандартных условиях вивария. Все манипуляции с экспериментальными животными проводили с соблюдением правил Европейской конвенции о защите позвоночных животных, используемых для исследовательских и других научных целей, а также согласно научно-практическим рекомендациям по содержанию лабораторных животных и работы с ними.
Животных размещали на подстилке из твердой древесины в клетках из поликарбонатных коробок (от 2 до 3 на клетку) в комнате без окон, в которой поддерживалась температура 22±1 °C, освещением в течение 12 ч каждый день, и относительной влажности в диапазоне от 30 до 70%. На протяжении всех исследований крысам разрешался свободный доступ к лабораторной диете и питьевой воде (предоставляемой в бутылках с водой). Все чашки с едой и бутылки с водой меняли как минимум 2 раза в неделю.
Животные были разделены на контрольную группу — 84 особи и опытную со смоделированным аденокарциноматозом толстой кишки — 84 особи. Через каждые 30 сут эксперимента из контрольной и опытной групп выводили по 12 животных. Канцерогенез моделировали путем введения 1,2-диметилгидразина дигидрохлорида (ДМГ) фирмы Sigma-aldrich chemie (Япония), предварительно разведенного изотоническим раствором натрия хлорида. Канцероген вводили подкожно в межлопаточный участок в дозе 7,2 мг/кг 1 раз в неделю в течение 30 нед четко по массе животного из расчета 0,1 мл раствора ДМГ на 10 г массы тела.
Гистологическое исследование выполняли бинокулярным микроскопом Leika (Германия), увеличением объектива х10, х40, фотодокументирование производили цветной веб-камерой МД130. Полученные в ходе исследования цифровые показатели вносили в базу данных, созданную в программе Microsoft Access. Статистическую обработку осуществляли с применением программы Statistica for Windows версии 7.0.
РЕЗУЛЬТАТЫ
В ходе морфологического исследования установлено, что наиболее часто встречаемые у животных опытной группы опухоли толстой кишки, индуцированные ДМГ, по макроскопическому строению разделялись на экзофитные (до 80%) и экзофитно-эндофитные (5–10%) новообразования. Гистологические исследования показали, что индуцированные опухоли кишечника были представлены опухолевыми образованиями 2 типов: доброкачественными полипами (бороздчатыми и аденоматозными) и злокачественными экзофитными аденокарциномами, которые, по всей вероятности, являлись результатом озлокачествления аденоматозных полипов.
Аденоматозная ткань полипов была хорошо отграничена от слизистой, образующей основание такой опухоли, и признаков инвазии не отмечалось. Экзофитные аденокарциномы характеризовались более крупными размерами по сравнению с размерами полипов. Кроме того, они отличались выраженными признаками клеточной и структурной атипии паренхимы. Обязательным характерным компонентом их структуры было наличие тубулярных образований неправильной формы. Основание таких опухолей, как правило, было представлено атипичной железистой тканью с мелкими неправильной формы желёзками, которые проявляли признаки инвазивного роста в подлежащие более глубокие отделы стенки толстой кишки.
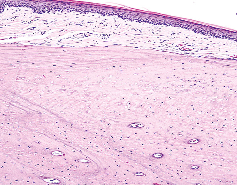
Гистологическое исследование позволило установить, что через 1 мес от начала эксперимента в слизистой оболочке пасти (СОП) животных выявляли морфологические изменения ткани с неравномерной атрофией, сглаживанием эпителиальных сосочков и гиперхромией клеток базального слоя. Под эпителием в клеточно-волокнистой строме определялись единичные кровеносные сосуды, а также пласты хрящевой ткани, в основном веществе которой видны единичные зрелые хондроциты (рис. 1).
Рис. 1. Слизистая оболочка пасти животного (опытная группа) через 1 мес от начала эксперимента. Окраска гематоксилином и эозином, ×120.
Fig. 1. The mucous membrane of the animal’s mouth (experimental group) after 1 month from the start of the experiment. Staining with hematoxylin and eosin, ×120.
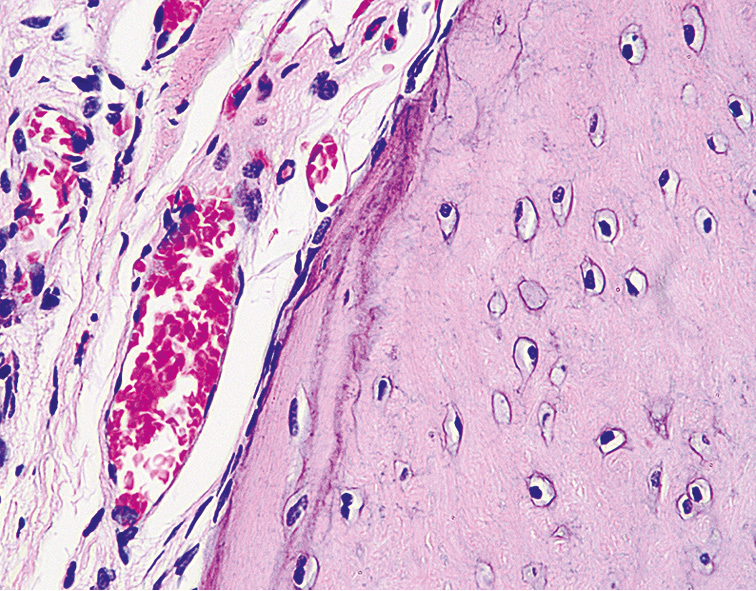
Микроскопические исследования СОП животных опытной группы через 2 мес от начала введения ДМГ показали, что в фрагментах изученной СОП среди клеток плоского эпителия определялись темноокрашенные железистоподобные структуры, а также хрящевая пластинка. Под пластами хрящевой ткани можно было визуализировать клеточно-волокнистую строму с большим количеством полигональных и вытянутых клеток с гиперхромными ядрами (рис. 2, 3).
Рис. 2. Слизистая оболочка пасти животного (опытная группа) через 2 мес от начала эксперимента. Окраска гематоксилином и эозином, ×120.
Fig. 2. The mucous membrane of the animal’s mouth (experimental group) 2 months after the start of the experiment. Staining with hematoxylin and eosin, ×120.
Рис. 3. Слизистая оболочка пасти животного (опытная группа) через 2 мес от начала эксперимента. Окраска гематоксилином и эозином, ×140.
Fig. 3. The mucous membrane of the animal’s mouth (experimental group). 2 months after the start of the experiment. Staining with hematoxylin and eosin, ×140.
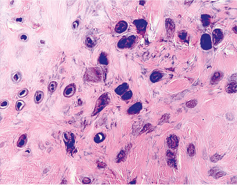
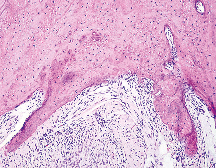
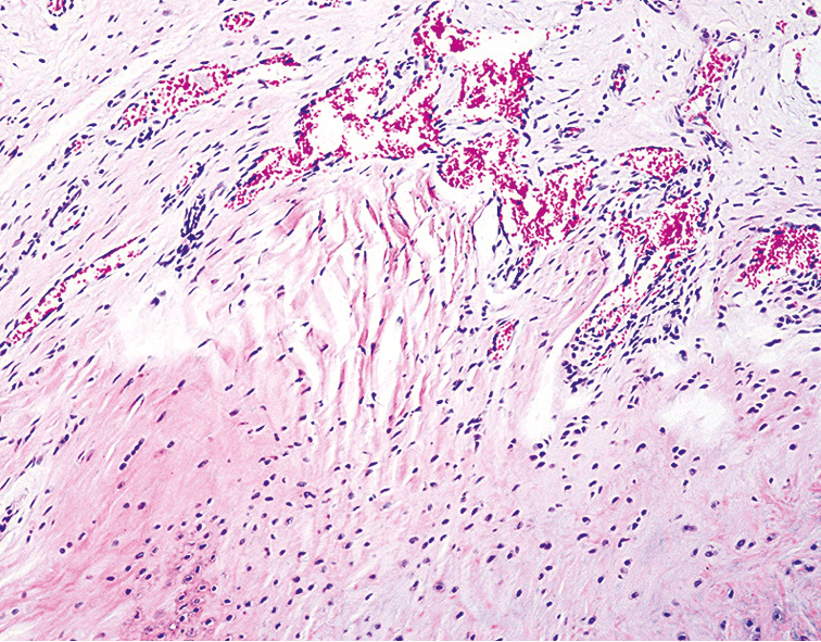
Формирование хронической неопластичной интоксикации (3-й и 4-й месяцы эксперимента) при действии ДМГ приводило к реорганизации хондроитинподобных клеток, что наблюдали в виде скоплений полиморфных атипических хондроидоподобных клеток с признаками полиморфизма ядер (рис. 4) и среди гиалиновых волокон и соединительной ткани в виде очаговых скоплений гистиогенных клеток на фоне ангиоматоза (рис. 5).
Рис. 4. Слизистая оболочка пасти животного (опытная группа) через 3 мес от начала эксперимента. Окраска гематоксилином и эозином, ×480.
Fig. 4. The mucous membrane of the animal’s mouth (experimental group). 3 months after the start of the experiment. Staining with hematoxylin and eosin, ×480.
Рис. 5. Слизистая оболочка пасти животного (опытная группа) через 4 мес от начала эксперимента. Окраска гематоксилином и эозином, ×80.
Fig. 5. The mucous membrane of the animal’s mouth (experimental group) 4 months after the start of the experiment. Staining with hematoxylin and eosin, ×80.
Гистологические исследования, проведенные на 5-м и 6-м месяцах от начала введения ДМГ, позволили установить наличие значительных деструктивных изменений в тканях СОП животных опытной группы. Исследованный фрагмент хрящевой пластинки с участками гомогенизации, некротических изменений в исследуемых образцах тканей содержал паретически расширенные кровеносные сосуды, а также единичные полиморфные опухолевые клетки (рис. 6).
Рис. 6. Слизистая оболочка пасти животного (опытная группа) через 6 мес от начала эксперимента. Окраска гематоксилином и эозином, ×380.
Fig. 6. The mucous membrane of the animal’s mouth (experimental group). 6 months after the start of the experiment. Staining with hematoxylin and eosin, ×380.
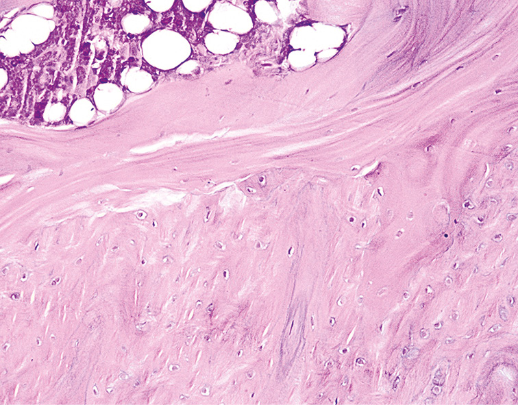
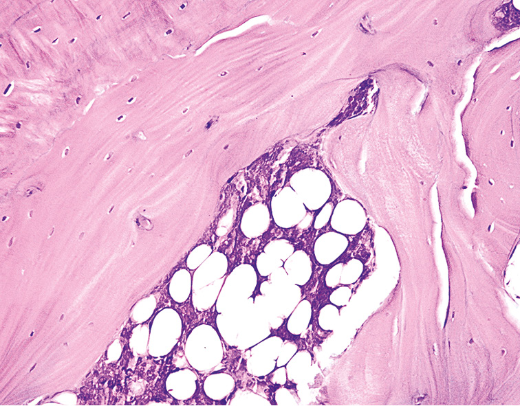
Проведенные гистологические исследования СОП животных опытной группы через 7 мес после ДМГ поражения позволили выявить глубокие деструктивно-дегенеративные изменения всех ее компонентов. Так, среди фрагментов гиалиново-волокнистой хрящевой ткани отмечались скопления фиброретикулярных клеток костного мозга с примесью жировых включений, а также опухолевые клетки (рис. 7). В этот же срок эксперимента для тканей СОП животных были характерны элементы костного мозга в прослойках хрящевой ткани, что приводило к утолщению стромальной соединительной ткани и фиброзу (рис. 8).
Рис. 7. Слизистая оболочка пасти животного (опытная группа) через 7 мес от начала эксперимента. Окраска гематоксилином и эозином, ×280.
Fig. 7. The mucous membrane of the animal’s mouth (experimental group). after 7 months from the beginning of the experiment. Staining with hematoxylin and eosin, ×280.
Рис. 8. Слизистая оболочка пасти животного (опытная группа) через 7 мес от начала эксперимента. Окраска гематоксилином и эозином, ×180
Fig. 8. The mucous membrane of the animal’s mouth (experimental group). after 7 months from the beginning of the experiment. Staining with hematoxylin and eosin, ×180.
ОБСУЖДЕНИЕ
Проведенные гистологические исследования СОП животных опытной группы в динамике формирования хронической неопластичной интоксикации, индуцированной введением диметилгидразина, установили развитие деструктивно-дегенеративных и склеротических изменений СОП, выраженность которых нарастала соответственно сроку эксперимента и наблюдения за животными.
В результате исследования СОП и окружающих тканей в эскпериментальном канцерогенезе кишечника у крыс опытной группы были выявлены следующие изменения. В первые 2 мес изменений, характерных для опухолевого поражения, не наблюдалось. На 3-м месяце были выявлены явные признаки полиморфизма ядер атипических полиморфных клеток. На 4–6-м месяцах эксперимента у животных опытной группы отмечался ангиоматоз СОП и окружающих тканей с паретическим расширением просвета сосудов. На 7-м месяце экспериментального канцерогенеза в СОП животных опытной группы были отмечены признаки метастазирования опухолевых клеток с элементами костного мозга в прилегающие ткани, что свидетельствовало о высоком риске действия канцерогенных веществ, в частности, введения 1,2-диметилгидразина дигидрохлорида, не только на кишечник, но и на весь желудочно-кишечный тракт, включая СОП и окружающие ее ткани.
ЗАКЛЮЧЕНИЕ
Резюмируя изложенное выше, можно заключить, что морфофункциональные изменения в толстой кишке и слизистой оболочке пасти животных, вызванные смоделированным химическим канцерогеном, свидетельствуют о высоком риске развития злокачественной опухоли с распространением во все отделы желудочно-кишечного тракта, в том числе в органы и ткани жевательного аппарата животного. Полученные результаты настоящего экспериментального исследования могут явиться предпосылкой для разработки профилактических мер, направленных на снижение риска распространения неопластического процесса на слизистую оболочку полости рта, что важно учитывать в процессе разработки алгоритма оказания стоматологической помощи пациентам со злокачественными новообразованиями кишечника.
ДОПОЛНИТЕЛЬНАЯ ИНФОРМАЦИЯ / ADDITIONAL INFO
Источник финансирования. Авторы заявляют об отсутствии внешнего финансирования при проведении исследования.
Funding source. The study was not supported by any external sources of funding.
Конфликт интересов. Авторы декларируют отсутствие явных и потенциальных конфликтов интересов, связанных с публикацией настоящей статьи.
Competing interests. The authors declare that they have no competing interests.
Вклад авторов. Все авторы внесли существенный вклад в разработку концепции, проведение исследования и подготовку статьи, прочли и одобрили финальную версию перед публикацией.
Author contribution. All authors made a substantial contribution to the conception of the work, acquisition, analysis, interpretation of data for the work, drafting and revising the work, final approval of the version to be published and agree to be accountable for all aspects of the work.
About the authors
Jasur A. Rizaev
Samarkand State Medical Institute
Author for correspondence.
Email: dr.jasur@gmail.com
ORCID iD: 0000-0001-5468-9403
MD, Dr. Sci. (Med.), Professor
Uzbekistan, SamarkandAlisher I. Khazratov
Samarkand State Medical Institute
Email: alishjerxazratov@mail.ru
ORCID iD: 0000-0003-2679-8826
MD, Cand. Sci. (Med.)
Uzbekistan, SamarkandAndrey K. Iordanishvili
Military Medical Academy named after S.M. Kirov
Email: professoraki@mail.ru
ORCID iD: 0000-0003-0052-3277
MD, Dr. Sci. (Med.), Professor
Russian Federation, 6, Akademik Lebedev str., 194044, Saint PetersburgReferences
- Merabishvili VM. Regularities of the dynamics of age-specific cancer mortality indicators in russian population. Advances in Gerontology. 2019:3(32);301–310.
- Gudoshnikov VI. Contribution of hormones and other bioregulators to the ontopathogeny of tumors. Advances in Gerontology. 2019:3(32);311–315.
- Tytyuk SY, Iordanishvili AK. Stomatologicheskoe zdorov'e pri khronicheskikh vospalitel'nykh zabolevaniyakh kishechnika. Saint Petersburg: Nordmedizdat; 2016. 144 p.
- Manikhas GM, Khrykov GN, Khanevich MD, Fridman MKh. Clinical recommendations on treatment of the elderly colorectal cancer patients. Advances in Gerontology. 2013:3(26);458–468.
- Rizaev ZhA, Khazratov AI. Kantserogennoe vliyanie 1,2 – dimetilgidrazina na organizm v tselom. Problems of Biology and Medicine. 2020:1(116);269–272.
- Malyshev ME, Petrov AA, Iordanishvili AK. Evaluation of the antiherpetic activity of toothpaste with herbal ingredients and rinses in the treatment of chronic generalized periodontitis. Parodontologiya. 2020;25(2):141–147. doi: 10.33925/1683-3759-2020-25-2-141-147
- Iordanishvili AK. Geriatricheskaya stomatologiya: ruk-vo dlya vrachei. Saint Petersburg: Chelovek; 2019. 340 p.
Supplementary files












