Декомпрессионное дренирование (марсупиализация) при лечении обширных кист челюстей
- Авторы: Музыкин М.И.1, Головко А.А.1, Мельников М.В.1, Иорданишвили А.К.1, Ратников В.А.2
-
Учреждения:
- Военно-медицинская академия им. С.М. Кирова
- Северо-западный окружной научно-клинический центр им. Л.Г. Соколова
- Выпуск: Том 25, № 1 (2021)
- Страницы: 65-72
- Раздел: В помощь практическому врачу
- Статья получена: 26.11.2021
- Статья одобрена: 26.11.2021
- Статья опубликована: 15.01.2021
- URL: https://rjdentistry.com/1728-2802/article/view/89255
- DOI: https://doi.org/10.17816/1728-2802-2021-25-1-65-72
- ID: 89255
Цитировать
Полный текст
Аннотация
Одонтогенные кисты челюстей являются одним из наиболее часто встречающихся заболеваний челюстно- лицевой области, в качестве основных методов лечения которого применяют цистотомию и цистэктомию. Несмотря на широкое применение данных оперативных методов лечения, они не лишены недостатков. В представленном клиническом материале показана возможность амбулаторного лечения пациента с большим полостным образованием тела челюсти методом декомпрессионного дренирования (марсупиализации). Предложенное оперативное пособие может применяться как изолированно (основной метод лечения), так и в сочетании с последующей цистэктомией. В современной отечественной и зарубежной литературе публикации, посвященные данному методу лечения больших и гигантских кист челюстей, встречаются редко, в связи с чем и представлено данное клиническое наблюдение.
Ключевые слова
Полный текст
АКТУАЛЬНОСТЬ
Одним из наиболее часто встречающихся заболеваний челюстно-лицевой области являются кисты челюстей, которые, согласно исследованиям, составляют от 7 до 12% [1–3]. Поскольку течение заболевания не сопровождается какими-либо симптомами, кисты могут достигать больших размеров [4, 5]. Высокая частота встречаемости и рецидивов, а также риски осложнений при удалении обширных кист обусловливают актуальность поиска альтернативных методов операций цистэктомии и цистостомии [6–8]. Одним из таких методов является марсупиализация, или декомпрессионное дренирование, при проведении которого возможно сохранить жизнеспособность большинства зубов, находящихся в проекции объемного образования, заполнить дефект оппозиционно растущей новообразованной костной тканью, а в ряде случаев избежать тотальных и субтотальных резекций челюстей [9–11]. Важной отличительной особенностью данного метода является и возможность амбулаторного лечения пациента без методов «большой» костной хирургии [12].
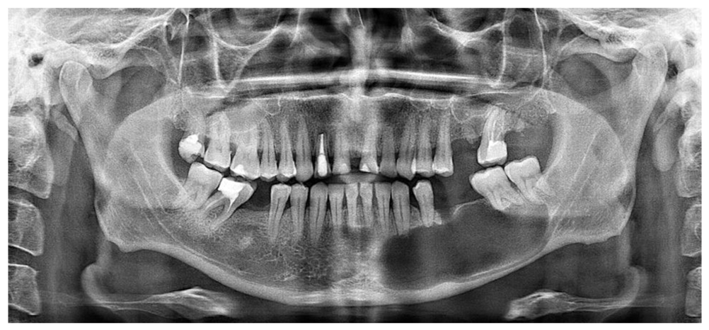
Пациент И., 58 лет, обратился в специализированное отделение многопрофильного стационара с жалобами на подвижность зубов нижней челюсти слева, онемение области левого угла рта. При проведении компьютерной томографии обнаружена киста нижней челюсти с деструктирующим ростом в проекции зубов 3.3–3.7 (рис. 1).
Рис. 1. Ортопантомограмма пациента И., 58 лет, исходная клиническая картина. / Fig. 1. Orthopantomogram of patient I., 58 years old, initial clinical picture.
Клинический диагноз: радикулярная киста нижней челюсти от зубов 3.3, 3.4. Вид полости рта до начала лечения и его этапы представлены на рис. 2.
Рис. 2. Пациент И., этапы лечения. a — исходная клиническая ситуация в полости рта; b — удаление зуба 3.4; c — активное аспирационное дренирование содержимого кисты; d — установлена и фиксирована силиконовая трубка для декомпрессионного дренирования. / Fig. 2. Patient I., stages of treatment. a — the initial clinical situation in the oral cavity; b — tooth extraction 3.4; c — active aspiration drainage of the cyst contents; d — a silicone tube for decompression drainage is installed and fixed.
Результаты электроодонтодиагностики зуба 3.3 показали снижение пороговой чувствительности до 160 мкА, жизнеспособность пульпы зуба 3.7 не изменена. Проведено эндодонтическое лечение зуба 3.3, удаление зуба 3.4 (III степень подвижности), через лунку удаленного зуба выполнено дренирование трубчатым дренажом (материал взят для цитологического и гистологического исследования).
В дальнейшем пациент самостоятельно 2–3 раза в день промывал полость кисты антисептическими растворами. При исследовании содержимого полости и участка оболочки получены гистологические признаки хронического воспаления без атипичного пролиферативного роста. С периодичностью 3–4 мес выполнялись контрольные осмотры пациента и из гигиенических соображений производилась замена дренажной трубки.
Спустя 3 мес у пациента восстановилась чувствительность в зоне иннервации нижнего альвеолярного нерва. На серии срезов компьютерных томограмм через 3, 6, 9 и 12 мес наблюдается оппозиционный рост костной ткани от периферии к центру дефекта. Динамика пассивного заполнения полости кисты представлена на рис. 3.
Рис. 3. Пациент И.: рост костной ткани в области дефекта на этапах декомпрессионного дренирования, срезы компьютерной томограммы. a, b, c — исходная клиническая ситуация; d, e, f — через 3 мес; g, h, i — через 6 мес; j, k, l — через 12 мес. / Fig. 3. Patient I.: bone tissue growth in the area of the defect at the stages of decompression drainage, sections of a computed tomogram. a, b, c — the initial clinical situation; d, e, f — after 3 months; g, h, i — after 6 months; j, k, l — after 12 months.
Для наглядности рентгенологический контроль лечения осуществляли на одном и том же компьютерном томографе, линия среза проводилась максимально в одном и том же месте. К концу 12-го месяца полость кисты заполнена новообразованной костной тканью на 60–70%.
На срезе компьютерных томограмм через 8–12 мес в области зуба 3.7 определялось снижение скорости и объема регенерации костной ткани, что могло свидетельствовать о продолжающемся продуктивном воспалении. Выполнена повторная электроодонтодиагностика зуба 3.7, выявлено снижение пороговой чувствительности до 180 мкА, что явилось причиной эндодонтического лечения данного зуба.
Спустя 13 мес дренажная трубка была удалена. На рис. 4 представлены этапы операции удаления остаточной кистозной полости. При помощи микрофрез был атравматично сформирован доступ к костному дефекту и произведена цистэктомия, после чего костный блок установлен на прежнее место с фиксацией положения микровинтами.
Рис. 4. Этапы операции цистэктомии у пациента И. a — полное восстановление костной ткани через 2 мес после удаления дренажной трубки; b — формирование пропилов для атравматичного снятия передней костной стенки остаточной кистозной полости; c — удаление оболочки кисты; d — фиксация костной стенки на прежнем месте микровинтами; e — внешний вид раны после наложения швов. / Fig. 4. Stages of cystectomy operation in patient I. a — complete restoration of bone tissue 2 months after removal of the drainage tube; b — formation of cuts for atraumatic removal of the anterior bone wall of the residual cystic cavity; c — removal of the cyst shell; d — fixation of the bone wall in its former place with micro-screws; e — appearance of the wound after suturing.
Контрольная компьютерная томограмма через 2 мес после завершения лечения пациента демонстрирует полное замещение кистозной полости вновь образованной костной тканью (рис. 5).
Рис. 5. Ортопантомограмма пациента И. перед началом стоматологической реабилитации по поводу частичной утраты зубов. / Fig. 5. Orthopantomogram of patient I. before the start of dental rehabilitation for partial loss of teeth.
В дальнейшем пациенту планируется комплексная стоматологическая реабилитация с восстановлением высоты прикуса и протезированием с использованием дентальных имплантатов. Хирургический этап установки искусственных внутрикостных опор с целью оценки качества проведенного лечения объемного полостного образования нижней челюсти с диструктирующим ростом представлен на рис. 6.
Рис. 6. Хирургических этап лечения частичного отсутствия зубов пациента И. a — полость рта до оперативного лечения; b — костная ткань после регенерации; c — удаление микровинтов; d — формирование ложа для дентальных имплантатов; e — восстановление анатомических соотношений в ране и наложение швов. / Fig. 6. Surgical stage of treatment of partial absence of teeth of patient I. a — oral cavity before surgical treatment; b — bone tissue after regeneration; c — removal of micro-screws; d — formation of a bed for dental implants; e — restoration of anatomical relations in the wound and suturing.
ВЫВОД
Применение консервативных декомпрессионных методов лечения более оправданно практически во всех случаях обширных одонтогенных кист челюстей, когда присутствует достаточная мотивация и желание пациента и его лечащего врача избежать обширного хирургического вмешательства. Метод марсупиализации способствует сохранению витальности находящихся в полости кисты зубов и через 6–9–18 мес приводит к заполнению кистозной полости новообразованной костной тканью, сводя к минимуму риск осложнений, связанных с травмированием сосудисто-нервных сплетений [6, 13, 14]. После декомпрессии воспалительные изменения быстро купируются, а учитывая низкую травматичность манипуляции, — нет необходимости в госпитализации пациента. Операция проводится амбулаторно под местной анестезией и не сопровождается трудопотерями для пациента.
К недостаткам декомпрессионного дренирования ряд авторов относят длительный процесс лечения (до 1 года и более), необходимость второй хирургической операции, зависимость результата лечения от личной дисциплинированности пациента (необходимость ежедневного тщательного ухода и орошения полости кисты растворами антисептиков), необходимость регулярных клинических осмотров и рентгенологического контроля проводимого лечения.
ДОПОЛНИТЕЛЬНАЯ ИНФОРМАЦИЯ/ADDITIONAL INFO
Источник финансирования. Авторы заявляют об отсутствии внешнего финансирования при проведении исследования.
Funding source. This study was not supported by any external sources of funding.
Конфликт интересов. Авторы декларируют отсутствие явных и потенциальных конфликтов интересов, связанных с публикацией настоящей статьи.
Competing interests. The authors declare that they have no competing interests.
Вклад авторов. Все авторы внесли существенный вклад в подготовку и написание статьи, прочли и одобрили финальную версию перед публикацией.
Author contribution. All authors made a substantial contribution to the acquisition, analysis, interpretation of data for the work, drafting and revising the work, final approval of the version to be published and agree to be accountable for all aspects of the work.
Информированное согласие на публикацию. Авторы получили письменное согласие законных представителей пациента на публикацию медицинских данных и фотографий.
Consent for publication. Written consent was obtained from the patient for publication of relevant medical information and all of accompanying images within the manuscript.
Об авторах
Максим Игоревич Музыкин
Военно-медицинская академия им. С.М. Кирова
Автор, ответственный за переписку.
Email: muzikinm@gmail.com
канд. мед. наук, докторант кафедры
Россия, 194044, Санкт-Петербург, ул. Академика Лебедева, д. 6Арсений Александрович Головко
Военно-медицинская академия им. С.М. Кирова
Email: senyagolovko@mail.ru
Россия, 194044, Санкт-Петербург, ул. Академика Лебедева, д. 6
Михаил Владимирович Мельников
Военно-медицинская академия им. С.М. Кирова
Email: pkmisha1311@gmail.com
Россия, 194044, Санкт-Петербург, ул. Академика Лебедева, д. 6
Андрей Константинович Иорданишвили
Военно-медицинская академия им. С.М. Кирова
Email: professoraki@mail.ru
ORCID iD: 0000-0003-0052-3277
д-р мед. наук, профессор
Россия, 194044, Санкт-Петербург, ул. Академика Лебедева, д. 6Вячеслав Альбертович Ратников
Северо-западный окружной научно-клинический центр им. Л.Г. Соколова
Email: dr.ratnikov@mail.ru
д-р мед. наук, профессор
Россия, Санкт-ПетербургСписок литературы
- Головко А.А., Тегза Н.В., Музыкин М.И., Иорданишвили А.К. Методы лечения обширных кист челюстей (обзор литературы) // Известия Российской военно-медицинской академии. 2020. Т. 39, № S3-1. С. 25–28.
- Слесарева О.А. Современные методы диагностики и хирургического лечения фолликулярных кист челюстей у детей // Медицинский альманах. 2019. Т. 61, № 5–6. С. 101–103.
- Oliveros-Lopez L. Reduction rate by decompression as a treatment of odontogenic cysts // Med Oral Patol Oral Cir Bucal. 2017. Vol. 22, N 5. P. 635-642.
- Иорданишвили А.К., Толмачёв И.А. Музыкин М.И., Головко А.А. Профессиональные ошибки и дефекты оказания медицинской помощи при стоматологической реабилитации взрослых пациентов // Вестник Российской военно-медицинской академии. 2016. Т. 53, № 1. С. 50–55.
- Ji-Su Oh. Clinical and histomorphometric evaluation of decompression followed by enucleation in the treatment of odontogenic keratocyst // Journal of Dental Sciences. 2018. Vol. 13. P. 329–333.
- Щипский А.В., Годунова И.В. Причины рецидивов кистозных образований челюстей. // Стоматология. 2016. Т. 95, № 2. С. 84–88.
- Castro M.S. Surgical treatments for nonsyndromic odontogenic keratocysts // Clin Oral Investig. 2018. Vol. 22. C. 2089–2101.
- Иорданишвили А.К., Музыкин М.И., Жмудь М.В. Операция удаления зуба. Осложнения и последствия, их профилактика и лечение (учебное пособие). СПб.: Человек; 2019.
- Музыкин М.И., Иорданишвили А.К. Модель саногенеза постэкстракционной регенерации костной ткани челюстей // Экология человека. 2020. Т. 8. С. 40–48.
- Briki S. Cysts and tumors of the jaws treated by marsupialization: A description of 4 clinical cases // J Clin Exp Dent. 2019. Vol. 11, N 6. P. 565–569.
- Maltoni I. Marsupialization of a dentigerous cyst followed by orthodontic traction of two retained teeth: A case report International Orthodontics. 2019. Vol. 17. P. 365–374.
- Балин В.Н., Балин Д.В., Шенгелия Е.В., Иорданишвили А.К., Музыкин М.И. Остеостимулирующее действие ксеногенного костного материала на репаративный остеогенез (экспериментально-морфологическое исследование) // Стоматология. 2015. Т. 94, № 2. С. 5–9.
- Noriaki A. Multidisciplinary approach for treatment of a dentigerous cyst — marsupialization, orthodontic treatment, and implant placement: a case report // Journal of Medical Case Reports. 2018. Vol. 12. P. 305–307.
- Moraes AT. Marsupialization before enucleation as a treatment strategy for alarge calcifying odontogenic cyst: Case report // International Journal of Surgery Case Reports. 2019. Vol. 67. P 239–244.
Дополнительные файлы









