The role of molecular genetic factors in the development of cholangiocellular cancer: A review
- 作者: Chulkova S.V.1,2, Loginov V.I.3, Podluzhny D.V.1, Egorova A.V.2, Semichev D.G.2, Gladilina I.A.1,2, Kudashkin N.E.1,2
-
隶属关系:
- Blokhin National Medical Research Center of Oncology
- Pirogov Russian National Research Medical University
- Research Institute of General Pathology and Pathophysiology
- 期: 卷 24, 编号 2 (2022)
- 页面: 164-168
- 栏目: CLINICAL ONCOLOGY
- ##submission.dateSubmitted##: 14.07.2022
- ##submission.dateAccepted##: 14.07.2022
- ##submission.datePublished##: 15.07.2022
- URL: https://modernonco.orscience.ru/1815-1434/article/view/109338
- DOI: https://doi.org/10.26442/18151434.2022.2.201426
- ID: 109338
如何引用文章
全文:
详细
This article highlights the main inducers of cholangiocarcinogenesis. Data are presented on the study of gene mutations, the variations of which depending on the localization of biliary cancer may be different (FGFR2 – in intrahepatic PRKACA, PRKACB – cholangiocarcinoma in extrahepatic cholangiocarcinoma). Mutations in the KRAS, TP53, ARIAD1A genes are common in extrahepatic bile duct cancer. Epigenetic events such as DNA hypermethylation, histone modifications, chromatin remodeling, and disturbances in miRNA expression are considered. A number of epigenetic features, such as the presence of a TP53 gene mutation with hypermethylation of p14ARF, DAPK, and/or ASC, correlate with a more aggressive course of the disease. The role of the SOX17 gene in the development of drug resistance is highlighted. The study of molecular genetic features of extrahepatic bile duct cancer is an important aspect in understanding the pathogenesis of this type of tumor, reveals new prognostic and diagnostic markers of the disease. It is possible that in the future, as knowledge is accumulated, this will make it possible to individualize approaches to the treatment of this category of patients.
全文:
Введение
Для рака внепеченочных желчных протоков характерны крайне агрессивное течение, раннее метастазирование, высокая частота возникновения рецидива после радикального хирургического лечения, высокая летальность, а существующие схемы лекарственной терапии не обладают достаточной эффективностью [1]. Хроническое воспаление желчных протоков и холестаз являются основными факторами процесса злокачественной трансформации холангиоцитов, которая происходит в результате нарушения клеточной пролиферации и клеточного цикла, а также подавления апоптоза [1, 2]. Пролиферацию, миграцию и выживание клеток стимулирует активация сигнальных путей ERK1/2, Akt и NF-κB в результате снижения рH при холестазе [3]. В своей обзорной статье, посвященной молекулярному патогенезу холангиокарциномы, P. Labib и соавт. отмечают такие медиаторы воспаления, как: трансформирующий фактор роста β, фактор роста эндотелия сосудов, фактор роста гепатоцитов, некоторые микроРНК [1]. Гиперэкспрессия на поверхности холангиоцитов рецептора c-Met способствует росту опухоли, ангиогенезу и миграции клеток, а стромальные изменения, которые приводят к изменениям в составе внеклеточного матрикса и рекрутированию фибробластов и макрофагов, создают микроокружение, способствующее выживанию, инвазии и метастазированию клеток [1].
Мутации, эпигенетические факторы, воздействие вирусов и транспозонов способны усиливать экспрессию протоонкогенов и подавлять экспрессию генов-онкосупрессоров в опухолевых клетках, что приводит к неконтролируемой пролиферации, «уходу» от апоптоза, нарушению метаболизма опухолевой ткани [4].
Важную роль в патогенезе холангиокарциномы играют мутации генов, участвующих в регуляции клеточного цикла и апоптоза. Например, у 21% больных раком желчных протоков обнаружены мутации гена TP53, у 40% больных раком внепеченочных желчных протоков выявлены мутации гена KRAS [3]. У 1/3 пациентов с холангиокарциномой встречаются мутации в генах изоцетратдегидрогеназ, факторах связывания и ремоделирования хроматина (ARID1A, BAP1, PBRM1, SMARCB1). Также важную роль в холангиоканцерогенезе играют эпигенетические изменения в генах, контролирующих сигнальные пути.
Таким образом, можно выделить медиаторы воспаления, генные мутации и эпигенетические изменения как факторы молекулярного патогенеза холангиокарциномы.
Генные мутации
Мутации ДНК, генов-онкосупрессоров и онкогенов играют важную роль в патогенезе холангиоканцерогенеза. Данные повреждения могут возникать в результате комплексного воздействия различных медиаторов воспаления (интерлейкина 6 – ИЛ-6, циклооксигеназы-2 – ЦОГ-2, оксида азота) [2]. Под действием ИЛ-6 активируется сигнальный путь JAK-STAT, что ингибирует пролиферацию и апоптоз клеток холангиокарциномы [2, 4]. Снижение экспрессии цитокина–супрессора SOCS3, дефосфорилирующего JAK-киназы, нарушает регуляцию сигнального пути JAK-STAT, что делает клетки холангиокарциномы устойчивыми к стандартной лекарственной терапии в результате увеличения экспрессии антиапоптотического белка Mcl1 [2, 5].
Угнетению апоптоза и повышению пролиферативной активности также способствует активация митоген-активируемых протеинкиназ р44/42 и р38, сопряженная с повышением синтеза ЦОГ-2.
Еще одним механизмом, который оказывает повреждающее действие на ДНК, является активация сигнального пути Notch 1. Сигнальный путь Notch является универсальным регулятором гомеостаза. Он обеспечивает баланс между самообновлением и дифференцировкой, покоем и пролиферацией клеток, их способностью к апоптозу. Важно отметить, что передача сигналов Notch может быть опосредована путем активации путей β-катенина или митоген-активируемой протеинкиназы/фосфатидилинозитол-3-киназы-Akt. Это представляет особый интерес, поскольку передача сигналов Notch участвует в поддержании популяции стволовых клеток [6].
Под действием синтазы оксида азота iNOS происходит гиперпродукция оксида азота, что в свою очередь ведет к дезаминированию ДНК и повреждению ее структуры [7, 8]. Трансмембранный рецептор Notch 1 при повышенном содержании оксида азота активируется, и в результате его взаимодействия с ЦОГ-2 повышается резистентность клеток к апоптозу [9].
В молекулярном патогенезе холангиокарциномы участвуют аберрантная экспрессия и передача сигналов тирозинкиназ семейства рецепторов эпидермального фактора роста (ErbB), особенно ErbB2 и ErbB1. Ранние исследования конститутивной сверхэкспрессии ErbB2 и/или ErbB1 в злокачественных холангиоцитах позволили предположить, что агенты, которые избирательно воздействуют на эти рецепторы, потенциально могут быть эффективны при терапии холангиокарциномы [10, 11].
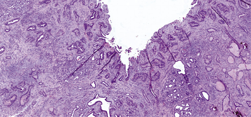
Изучение геномного профиля больных с холангиокарциномой позволило установить наличие мутаций гена ERBB2. H. Lee и соавт. в своем исследовании изучили 99 образцов, при анализе которых, кроме того, выявлены мутации генов KRAS, PTEN; ATM и NF1 и CCND1, FBXW7, GNAS, MDM2 и NRAS [12]. Суммарно мутации выявлены у 82 (83%) больных с внепеченочной холангиокарциномой. Значительно реже выявлялись мутации в генах BRAF, BRCA2, CDK4, CDK6, FGFR1, FGFR3, PTCH1, RAF1 и STK11, а мутаций в генах IDH1 и IDH2 не выявлено вовсе. На рис. 1 представлена гистологическая картина умеренно дифференцированной аденокарциномы желчного протока с мутацией ERBB2 S310F. Известно, что мутации внеклеточного домена ERBB2 реагируют на таргетную анти-HER2-терапию, что означает возможность ее использования в лечении таких пациентов. Применение двойной блокады HER2 пертузумабом и трастузумабом пока не входит в клинические рекомендации, одобренные Минздравом России, но, как считают многие исследователи, может быть рекомендовано в качестве 2-й и последующих линий терапии.
Рис. 1. Внепеченочная холангиокарцинома с мутацией ERBB2 S310F. Окраска гематоксилин-эозином [12].
В исследовании H. Nakamura и соавт., выполненном на гистологическом материале 260 больных с холангиокарциномой (145 – внутрипеченочная, 86 – внепеченочная локализация, 29 – желчный пузырь), выявлено наличие различных профилей мутаций генов в зависимости от локализации: при внутрипеченочной холангиокарциноме обнаружены мутации в гене FGFR2, при внепеченочной холангиокарциноме выявлены мутации в генах PRKACA, PRKACB, при раке желчного пузыря найдены нарушения в генах EGFR и/или ERBB3 [13].
A. Ruzzenente и соавт. в своем исследовании проанализировали мутационный статус 56 генов у 91 пациента: при внепеченочной локализации опухоли наиболее часто обнаруживались мутации в генах KRAS (47,4%), TP53 (23,7%), ARIAD1А (15,8%). Также отмечено, что мутации в генах ALK, IDH1 и TP53 ассоциированы с худшим прогнозом у пациентов с внепеченочной холангиокарциномой [14].
Интересно, что E. Roos и соавт. отмечают, что у больных с карциномами билиарного тракта наиболее часто выявлялись мутации в гене TP53 вне зависимости от локализации опухоли. Отдельно при раке внепеченочных желчных протоков выполнено полногеномное секвенирование (whole exome sequencing – WES, whole genome sequencing – WGS, targeted sequencing – TS). По результатам WES/WGS секвенирования наиболее часто обнаруживались мутации в следующих генах: TP53 (37%), SMAD4 (17%), KRAS (16%), SYNE1 (13%) и ARID1A (13%), а при исследовании методом TS отмечены мутации в генах TP53 (19%), MUC16 (18%), SACS (15%), KRAS (14%) и FSIP2 (14%). Также при раке внепеченочных желчных протоков обнаружены мутации генов, характерные для интестинального подтипа опухоли: APC, GNAS и TGFB2 [15].
В своей работе A. Brito и соавт. обращают внимание на высокую частоту встречаемости мутаций генов KRAS и TP53. Известно, что с этими мутациями ассоциирован более агрессивный фенотип опухоли. Также отмечается, что стимуляция пролиферации клеток и уход от апоптоза связаны с выявленной гиперэкспрессией тирозинкиназного рецептора EGFR в клетках рака желчных протоков [16].
Эпигенетические факторы
Гиперметилирование ДНК
В исследовании эпигенетического профиля преинвазивных опухолей желчных путей обнаружены ассоциированные со злокачественной трансформацией эпигенетические мутации: гиперметилирование промотора гена CDKN2A (p16INK4A) при внутрипротоковой папиллярной неоплазии и HOXA1 при билиарной интраэпителиальной неоплазии [17, 18].
В исследовании S. Kongpetch и соавт. при холангиокарциноме обнаружено гиперметилирование генов CDKN2A – 17–83%, p15(INK4b) – 54%, p14(ARF) – 19–30%, RASSF1A – 31–69% и APC – 27–47% [19]. Мутации гена ТР53 индуцируют экспрессию гистонметилтрансфераз, что приводит к модификации хроматина в опухолевых клетках [20].
В своей работе L. Xiaofang и соавт. установили наличие комбинированной мутации p53 с метилированием DAPK, p14ARF и/или ASC, что обнаруживалось в 38,9% случаев. При этом отмечены значимые различия в патоморфологии, дифференцировке и степени инвазии между образцами с комбинированной мутацией p53 и метилированием DAPK, p14ARF и/или ASC по сравнению без таковой. Авторы обращают внимание, что комбинированная мутация p53 с метилированием DAPK, p14ARF, ASC ассоциирована с худшей выживаемостью и более агрессивным течением болезни [21].
Гиперметилирование промоторного CpG-островка гена SFRP1, участвующего в регуляции WNT-сигнального пути, установлено в 85% случаев холангиокарциномы [22]. Гиперметилирование промоторного CpG-островка гена SOX17 является примером того, как одиночная эпимутация может вызвать дедифференцировку зрелого холангиоцита, увеличение пролиферации, индукцию онкогенов клеточного цикла, инвазию опухоли, возникновение лекарственной резистентности [23]. Гиперметилирование в гене SOCS3 (suppressor of cytokine signaling 3) ассоциировано с усилением экспрессии Mcl1 [24].
МикроРНК
МикроРНК – это короткие, некодирующие РНК последовательности, которые участвуют в регуляции экспрессии генов на посттранскрипционном уровне. Основной функцией микроРНК является нарушение трансляции посредством связывания с определенной последовательностью мРНК, в результате чего происходит изменение или подавление синтеза белка [25]. Механизм подавления определяется степенью комплементарности последовательностей между микроРНК и мишенью на мРНК: полная комплементарность приводит к деградации мРНК, а частичная – к подавлению трансляции (рис. 2) [26]. Из-за неабсолютного соответствия последовательности между миРНК и мишенью одна миРНК может подавлять большое количество прямых генов-мишеней, а одна мРНК может регулироваться несколькими миРНК [27].
Рис. 2. Биогенез микроРНК [26].
Известны онкогенные и онкосупрессорные миРНК. Экспрессия онкогенных миРНК приводит к увеличению клеточной пролиферации, инвазии, ангиогенеза и/или снижает активность апоптоза, уровень клеточной дифференцировки, что способствует образованию злокачественных опухолей. Группа онкосупрессорных миРНК при высокой экспрессии, напротив, ингибирует рост и миграцию опухолевых клеток, а также способствует индукции апоптоза.
МикроРНК может подавляться воздействием ИЛ-6, что приводит к увеличению транскрипции фермента DNMT1 (DNA methyltransferase 1), участвующего в процессах метилирования цитозинов ДНК, в результате чего снижается экспрессия генов-супрессоров опухоли [28].
Известно, что изменение профиля экспрессии микроРНК наблюдается при многих злокачественных опухолях [25, 29, 30]. При холангиоцеллюлярном раке установлено изменение профиля экспрессии таких микроРНК, как miR-let-7a, miR-148a, miR-152, miR-370, miR-193b [31–33]. Повышение экспрессии miR-let-7a приводит к снижению экспрессии супрессорного гена NF2 и активации STAT3 [32]. Сниженная экспрессия miR-148a и miR-152 увеличивает активности DNMT1. Этот процесс приводит к метилированию супрессорных генов p16INK4a и RASSF1A [31]. Повышение экспрессии онкогена MAP3K8 установлено при подавлении экспрессии miR-370 [33].
С повышенной экспрессией длинной некодирующей РНК uc.158 (днРНК) связана активация Wnt/β-катенин сигнального пути из-за продукции лигандов Wnt макрофагами [34]. ДнРНК могут взаимодействовать с микроРНК и подобно микроРНК регулируют экспрессию генов на посттранскрипционном уровне [35]. Предполагается, что ДнРНК uc.158 способна ингибировать miR-193b, которая имеет проапоптотическую функцию [34]. Этот механизм может объяснить один из способов, которыми активация пути Wnt/β-catenin приводит к подавлению апоптоза.
Клетки-предшественники и трансформация зрелых холангиоцитов
Источником редких комбинированных форм опухоли, таких как комбинированный гепато-холангиоцеллюлярный рак и холангиокарцинома с фенотипом, подобным стволовым клеткам, могут быть билиарные клетки-предшественники. При геномном анализе этих опухолей обнаружены гепатоциты и холангиоциты, которые экспрессируют маркеры стволовых клеток (SALL4) [36]. Эти опухоли ассоциированы с худшим прогнозом выживаемости пациентов [36]. В нормальных условиях регенерация печени происходит преимущественно через деление зрелых гепатоцитов, а в условиях хронического воспалительного процесса происходит активация клеток-предшественников, что делает их восприимчивыми к эпигенетическим и генетическим изменениям [37].
Другой моделью холангиоканцерогенеза является эпигенетическая и генетическая трансформация зрелых холангиоцитов. Для воротной холангиокарциномы характерна трансформация муцин-секретирующих холангиоцитов, в то время как внутрипеченочная холангиокарцинома может возникать из зрелых или незрелых холангиоцитов, расположенных в междольковых или в крупных желчных протоках. Показано, что трансформация зрелых холангиоцитов в злокачественную опухоль может происходить при наличии мутаций TP53 и KRAS [32].
Гистоны
Роль метилирования и деметилирования гистонов, а также ремоделирования хроматина в холангиоканцерогенезе описана в большом количестве исследований геномного профиля холангиокарциномы. Например, выявлены мутации в гене ARID1A, который кодирует ДНК-связывающую субъединицу комплекса белков ремоделирования хроматина SWI/SNF [38]. Известно об опухолесупрессивном действии ARID1A, поэтому мутация в этом гене может приводить к ингибированию апоптоза и неконтролируемой пролиферации клеток в результате нарушения регуляции клеточного цикла (рис. 3) [39]. Формирование инвазивного фенотипа опухоли связано с инактивацией ARID1A и PBRM1 [40].
Рис. 3. Схема патогенеза холангиокарциномы при мутации в гене ARID1A [39].
В ряде исследований обнаружена сверхэкспрессия гистондеацетилаз (HDACs) при холангиокарциномах, хотя последствия для генома не исследованы [41]. Например, гиперэкспрессия HDAC6 связана с повышенной пролиферацией клеток, угнетением апоптоза, метастазированием и потерей ресничек у холангиоцитов (рис. 4) [42, 43].
Рис. 4. Последствия избыточной экспрессии HDAC6 [43].
Отмечается высокий уровень экспрессии EZH2 (энхансер zeste homolog 2) при холангиокарциномах [44]. EZH2 является каталитической субъединицей поликомб репрессивного комплекса 2 (PRC2). Присутствуя в PRC2, EZH2 катализирует триметилирование остатка лизина 27 гистона H3, что приводит к эпигенетическому подавлению экспрессии генов и прогрессированию рака. S. Nakagawa и соавт. исследовали экспрессию и функцию EZH2 при внутрипеченочной и внепеченочной холангиокарциноме [44]. S. Nakagawa и соавт. показали, что нокдаун EZH2 снижал рост клеток, индуцировал остановку G1 и индуцировал апоптоз, что подтверждалось окрашиванием аннексином V и увеличением популяций суб-G1 в клеточных линиях холангиокарциномы [44]. Уровни экспрессии p16 (INK4a) и p27 (KIP1) заметно повышались при нокдауне EZH2 в этих клеточных линиях. При иммуногистохимическом исследовании авторы отметили, что активация EZH2 коррелировала с диаметром опухоли, метастазированием в лимфатические узлы и индексом Ki67 [44]. Авторы заключают, что высокий уровень экспрессии EZH2 при холангиокарциномах связан с неблагоприятным прогнозом.
Заключение
Исследования по изучению роли молекулярно-генетических факторов в развитии и прогрессировании холангиокарциномы, продолжающиеся не одно десятилетие, позволили пролить свет на тонкие механизмы патогенеза этой злокачественной опухоли. Медиаторы воспаления, мутации генов, гиперметилирование ДНК, изменение экспрессии микроРНК в совокупности оказывают многогранное воздействие, изменяя сигнальные каскады клеточных взаимодействий, меняя вектор между самообновлением и дифференцировкой, покоем и пролиферацией клеток, их способностью к апоптозу. Исследования эпигенетических изменений, инициирующих и сопровождающих холангиоканцерогенез, позволили выявить определенные эпигенетические маркеры негативного прогноза заболевания. В частности, с более агрессивным течением болезни связано наличие мутации гена ТР53 с гиперметилированием p14ARF, DAPK и/или ASC. Худший прогноз выживаемости пациентов ассоциирован с холангиокарциномой с фенотипом стволовых клеток. К возникновению лекарственной резистентности приводит инактивация гена SOX17 в результате гиперметилирования его промотора.
Глубже понять особенности патогенеза холангиокарциномы, установить новые прогностические и диагностические маркеры заболевания может помочь дальнейшее изучение молекулярно-генетических особенностей рака внепеченочных желчных протоков, что в свою очередь могло бы позволить индивидуализировать подходы в лечении данной категории больных.
Раскрытие интересов. Авторы декларируют отсутствие явных и потенциальных конфликтов интересов, связанных с публикацией настоящей статьи.
Disclosure of interest. The authors declare that they have no competing interests.
Вклад авторов. Авторы декларируют соответствие своего авторства международным критериям ICMJE. С.В. Чулкова – дизайн, план рукописи, редакция рукописи; Д.В. Подлужный – дизайн, план рукописи, редакция рукописи; А.В. Егорова – дизайн, план рукописи, редакция рукописи; Н.Е. Кудашкин – анализ данных; Д.Г. Семичев – обзор публикаций по теме статьи, оформление статьи, перевод, графика; В.И. Логинов – написание и анализ рукописи; И.А. Гладилина – написание и анализ рукописи.
Authors’ contribution. The authors declare the compliance of their authorship according to the international ICMJE criteria. S.V. Chulkova – design, plan of the manuscript, revision of the manuscript; D.V. Podluzhny – design, plan of the manuscript, revision of the manuscript; A.V. Egorova – design, plan of the manuscript, revision of the manuscript; N.E. Kudashkin – data analysis; D.G. Semichev – review of publications on the topic of the article, article design, translation, graphics; V.I. Loginov – writing and analysis of the manuscript; I.A. Gladilina – writing and analysis of the manuscript.
Источник финансирования. Авторы декларируют отсутствие внешнего финансирования для проведения исследования и публикации статьи.
Funding source. The authors declare that there is no external funding for the exploration and analysis work.
作者简介
Svetlana Chulkova
Blokhin National Medical Research Center of Oncology; Pirogov Russian National Research Medical University
编辑信件的主要联系方式.
Email: chulkova@mail.ru
ORCID iD: 0000-0003-4412-5019
Cand. Sci. (Med.)
俄罗斯联邦, Moscow; MoscowVitaly Loginov
Research Institute of General Pathology and Pathophysiology
Email: werwolf2000@mail.ru
Cand. Sci. (Biol.)
俄罗斯联邦, MoscowDanil Podluzhny
Blokhin National Medical Research Center of Oncology
Email: danil-p@mail.ru
ORCID iD: 0000-0001-7375-3378
Cand. Sci. (Med.)
俄罗斯联邦, MoscowAngelina Egorova
Pirogov Russian National Research Medical University
Email: sapphir5@mail.ru
ORCID iD: 0000-0003-3904-8530
Cand. Sci. (Med.), Prof.
俄罗斯联邦, MoscowDmitry Semichev
Pirogov Russian National Research Medical University
Email: dsemichev71@mail.ru
ORCID iD: 0000-0001-6148-8933
Resident
俄罗斯联邦, MoscowIrina Gladilina
Blokhin National Medical Research Center of Oncology; Pirogov Russian National Research Medical University
Email: 0152@mail.ru
ORCID iD: 0000-0002-2481-0791
D. Sci. (Med.)
俄罗斯联邦, Moscow; MoscowNikolai Kudashkin
Blokhin National Medical Research Center of Oncology; Pirogov Russian National Research Medical University
Email: dr.kudashkin@mail.ru
Cand. Sci. (Med.)
俄罗斯联邦, Moscow; Moscow参考
- Labib PL, Goodchild G, Pereira SP. Molecular Pathogenesis of Cholangiocarcinoma. BMC Cancer. 2019;19(1). doi: 10.1186/s12885-019-5391-0
- Fouassier L, Marzioni M, Afonso MB, et al. Signalling networks in cholangiocarcinoma: Molecular pathogenesis, targeted therapies and drug resistance. Liver Int. 2019;39(Suppl. 1):43-62. doi: 10.1111/liv.14102
- Гурмиков Б.Н., Коваленко Ю.А., Вишневский В.А., Чжао А.В. Молекулярно-генетические аспекты внутрипеченочного холангиоцеллюлярного рака: обзор литературы. Успехи молекулярной онкологии. 2019;6(1):37-43 [Gurmikov BN, Kovalenko YA, Vishnevsky VA, Chzhao AV. Molecular genetic aspects of intrahepatic cholangiocarcinoma:literature review. Advances in Molecular Oncology. 2019;6(1):37-43 (in Russian)]. doi: 10.17650/2313-805X-2019-6-1-37-43
- Мустафин Р.Н., Хуснутдинова Э.К. Эпигенетика канцерогенеза. Креативная хирургия и онкология. 2017;7(3):60-7 [Mustafin RN, Khusnutdinova EK. Epigenetics of carcinogenesis. Creative Surgery and Oncology. 2017;7(3):60-7 (in Russian)]. doi: 10.24060/2076-3093-2017-7-3-60-67
- Wang Y, Wan M, Zhou Q, et al. The Prognostic Role of SOCS3 and A20 in Human Cholangiocarcinoma. PLoS One. 2015;10(10):e0141165. doi: 10.1371/journal.pone.0141165
- Чулкова С.В., Маркина И.Г., Чернышева О.А., и др. Роль стволовых опухолевых клеток в развитии лекарственной резистентности меланомы. Российский биотерапевти- ческий журнал. 2019;18(2):6-14 [Chulkova SV, Markina IG, Chernysheva OA, et al. The role of tumor stem cells in the development of drug resistance of melanoma. Russian Journal of Biotherapy. 2019;18(2):6-14 (in Russian)]. doi: 10.17650/1726-9784-2019-18-2-6-14
- Jaiswal M, LaRusso N, Shapiro R, et al. Nitric oxide-mediated inhibition of DNA repair potentiates oxidative DNA damage in cholangiocytes. Gastroenterology. 2001;120(1):190-9. doi: 10.1053/gast.2001.20875
- Wei J, Wang B, Wang H, et al. Radiation-Induced Normal Tissue Damage: Oxidative Stress and Epigenetic Mechanisms. Oxid Med Cell Longev. 2019;2019:3010342. doi: 10.1155/2019/3010342
- Wu WR, Zhang R, Shi XD, et al. Notch1 is overexpressed in human intrahepatic cholangiocarcinoma and is associated with its proliferation, invasiveness and sensitivity to 5-fluorouracil in vitro. Oncol Rep. 2014;31:2515-24. doi: 10.3892/or.2014.3123
- Sirica A. Role of ErbB family receptor tyrosine kinases in intrahepatic cholangiocarcinoma. World J Gastroenterol. 2008;14(46):7033. doi: 10.3748/wjg.14.7033
- Pellat A, Vaquero J, Fouassier L. Role of ErbB/HER family of receptor tyrosine kinases in cholangiocyte biology. Hepatology. 2018;67(2):762-73. doi: 10.1002/hep.29350
- Lee H, Wang K, Johnson A, et al. Comprehensive genomic profiling of extrahepatic cholangiocarcinoma reveals a long tail of therapeutic targets. J Clin Pathol. 2016;69(5):403-8. doi: 10.1136/jclinpath-2015-203394
- Nakamura H, Arai Y, Totoki Y, et al. Genomic spectra of biliary tract cancer. Nat Genet. 2015;47(9):1003-10. doi: 10.1038/ng.3375
- Ruzzenente A, Fassan M, Conci S, et al. Cholangiocarcinoma Heterogeneity Revealed by Multigene Mutational Profiling: Clinical and Prognostic Relevance in Surgically Resected Patients. Ann Surg Oncol. 2016;23(5):1699-707. doi: 10.1245/s10434-015-5046-6
- Roos E, Soer EC, Klompmaker S, et al. Crossing borders: A systematic review with quantitative analysis of genetic mutations of carcinomas of the biliary tract. Crit Rev Oncol Hematol. 2019;140:8-16. doi: 10.1016/j.critrevonc.2019.05.011
- Brito AF, Abrantes AM, Encarnação JC, et al. Cholangiocarcinoma: from molecular biology to treatment. Med Oncol. 2015;32(11):245. doi: 10.1007/s12032-015-0692-x
- Kim BH, Cho NY, Shin SH, et al. CpG island hypermethylation and repetitive DNA hypomethylation in premalignant lesion of extrahepatic cholangiocarcinoma. Virchows Arch. 2009;455(4):343-51. doi: 10.1007/s00428-009-0829-4
- Sasaki M, Yamaguchi J, Itatsu K, et al. Over-expression of polycomb group protein EZH2 relates to decreased expression of p16 INK4a in cholangiocarcinogenesis in hepatolithiasis. J Pathol. 2008;215(2):175-83. doi: 10.1002/path.2345
- Kongpetch S, Jusakul A, Ong CK, et al. Pathogenesis of cholangiocarcinoma: From genetics to signalling pathways. Best Pract Res Clin Gastroenterol. 2015;29(2):233-44. doi: 10.1016/j.bpg.2015.02.002
- Castven D, Becker D, Czauderna C, et al. Application of patient-derived liver cancer cells for phenotypic characterization and therapeutic target identification. Int J Cancer. 2019;144(11):2782-94. doi: 10.1002/ijc.32026
- Xiaofang L, Kun T, Shaoping Y, et al. Correlation between promoter methylation of p14(ARF), TMS1/ASC, and DAPK, and p53 mutation with prognosis in cholangiocarcinoma. World J Surg Oncol. 2012;10:5. doi: 10.1186/1477-7819-10-5
- Andresen K, Boberg KM, Vedeld HM, et al. Novel target genes and a valid biomarker panel identified for cholangiocarcinoma. Epigenetics. 2012;7(11):1249-57. doi: 10.4161/epi.22191
- Merino-Azpitarte M, Lozano E, Perugorria MJ, et al. SOX17 regulates cholangiocyte differentiation and acts as a tumor suppressor in cholangiocarcinoma. J Hepatol. 2017;67(1):72-83. doi: 10.1016/j.jhep.2017.02.017
- Jiang K, Centeno BA. Primary Liver Cancers, Part 2: Progression Pathways and Carcinogenesis. Cancer Control. 2018;25(1):1073274817744658. doi: 10.1177/1073274817744658
- Чулкова С.В., Рябчиков Д.А., Дудина И.А., и др. Перспективы использования миРНК в качестве диагностических и прогностических биомаркеров меланомы. Российский биотерапевтический журнал. 2019;18(4):51-6 [Chulkova SV, Ryabchikov DA, Dudina IA, et al. The prospects for the use of microRNA as diagnostic and prognostic melanoma biomarkers. Russian Journal of Biotherapy. 2019;18(4):51-6 (in Russian)]. doi: 10.17650/1726-9784-2019-18-4-51-56
- Рябчиков Д.А., Абдуллаева Э.И., Дудина И.А., и др. Роль микроРНК в канцерогенезе и прогнозе злокачественных новообразований молочной железы. Вестник Российского научного центра рентгенорадиологии Минздрава России. 2018;18(2):1-20 [Ryabchikov DA, Abdullaeva EI, Dudina IA, et al. The role of micro-RNA in cancerogenesis and breast cancer prognosis. Vestnik Rossijskogo nauchnogo centra rentgenoradiologii Minzdrava Rossii. 2018;18(2):1-20 (in Russian)].
- Selbach M, Schwanhausser B, Thierfelder N, et al. Widespread changes in protein synthesis induced by microRNAs. Nature. 2008;455:58-63. doi: 10.1038/nature07228
- Braconi C, Huang N, Patel T. MicroRNA-dependent regulation of DNA methyltransferase-1 and tumor suppressor gene expression by interleukin-6 in human malignant cholangiocytes. Hepatology. 2010;51:881-90. doi: 10.1002/hep.23381
- Рябчиков Д.А., Чулкова С.В., Талипов О.А., и др. Результаты анализа метилирования генов микроРНК в различных подтипах рака молочной железы. Онкогинекология. 2020;03(35):4-14 [Ryabchikov DA, Chulkova SV, Talipov OA, et al. Results of microRNA gene methylation analysis in different breast cancer subtypes. Oncogynecology. 2020;03(35):4-14 (in Russian)].
- Талипов О.А., Рябчиков Д.А., Чулкова С.В., и др. Метилирование генов супрессорных микроРНК при раке молочной железы. Онкогинекология. 2020;02(34):14-22 [Talipov OA, Ryabchikov DA, Chulkova SV, et al. Methylation Of Suppressor MicroRNA Genes In Breast Cancer. Oncogynecology. 2020;02(34):14-22 (in Russian)].
- Wei J, Wang B, Wang H, et al. Radiation-Induced Normal Tissue Damage: Oxidative Stress and Epigenetic Mechanisms. Oxid Med Cell Longev. 2019;2019:3010342. doi: 10.1155/2019/3010342
- Hill MA, Alexander WB, Guo B, et al. Kras and Tp53 Mutations Cause Cholangiocyte- and Hepatocyte-Derived Cholangiocarcinoma. Cancer Res. 2018;78(16):4445-51. doi: 10.1158/0008-5472.CAN-17-1123
- Meng F, Wehbe-Janek H, Henson R, et al. Epigenetic regulation of microRNA-370 by interleukin-6 in malignant human cholangiocytes. Oncogene. 2007;27(3):378-86. doi: 10.1038/sj.onc.1210648
- Fernández-Barrena M, Perugorria M, Banales J. Novel lncRNA T-UCR as a potential downstream driver of the Wnt/β-catenin pathway in hepatobiliary carcinogenesis. Gut. 2016;66(7):1177-8. doi: 10.1136/gutjnl-2016-312899
- Wangyang Z, Daolin J, Yi X, et al. NcRNAs and Cholangiocarcinoma. J Cancer. 2018;9(1):100-7. doi: 10.7150/jca.21785
- Moeini A, Sia D, Zhang Z, et al. Mixed hepatocellular cholangiocarcinoma tumors: Cholangiolocellular carcinoma is a distinct molecular entity. J Hepatol. 2017;66(5):952-61. doi: 10.1016/j.jhep.2017.01.010
- O'Rourke CJ, Lafuente-Barquero J, Andersen JB. Epigenome Remodeling in Cholangiocarcinoma. Trends Cancer. 2019;5(6):335-50. doi: 10.1016/j.trecan.2019.05.002
- Weber J, Öllinger R, Friedrich M, et al. CRISPR/Cas9 somatic multiplex-mutagenesis for high-throughput functional cancer genomics in mice. Proceedings of the National Academy of Sciences. 2015;112(45):13982-7. doi: 10.1073/pnas.1512392112
- Zhao S, Xu Y, Wu W, et al. ARID1A Variations in Cholangiocarcinoma: Clinical Significances and Molecular Mechanisms. Front Oncol. 2021;11:693295. doi: 10.3389/fonc.2021.693295
- Sasaki M, Nitta T, Sato Y, Nakanuma Y. Loss of ARID1A Expression Presents a Novel Pathway of Carcinogenesis in Biliary Carcinomas. Am J Clin Pathol. 2016;145(6):815-25. doi: 10.1093/ajcp/aqw071
- Morine Y, Shimada M, Iwahashi S, et al. Role of histone deacetylase expression in intrahepatic cholangiocarcinoma. Surgery. 2012;151(3):412-9. doi: 10.1016/j.surg.2011.07.038
- Gradilone S, Radtke B, Bogert P, et al. HDAC6 Inhibition Restores Ciliary Expression and Decreases Tumor Growth. Cancer Res. 2013;73(7):2259-70. doi: 10.1158/0008-5472.can-12-2938
- Pant K, Peixoto E, Richard S, Gradilone SA. Role of Histone Deacetylases in Carcinogenesis: Potential Role in Cholangiocarcinoma. Cells. 2020;9(3):780. doi: 10.3390/cells9030780
- Nakagawa S, Okabe H, Sakamoto Y, et al. Enhancer of Zeste Homolog 2 (EZH2) Promotes Progression of Cholangiocarcinoma Cells by Regulating Cell Cycle and Apoptosis. Ann Surg Oncol. 2013;20(S3):667-75. doi: 10.1245/s10434-013-3135-y
补充文件







