Злокачественный рефрактерный приапизм при уротелиальном раке. Клиническое наблюдение
- Авторы: Огнерубов Н.А.1,2, Антипова Т.С.3
-
Учреждения:
- ФГБОУ ВО «Тамбовский государственный университет им. Г.Р. Державина»
- ГБУЗ «Тамбовский областной онкологический клинический диспансер»
- ООО «ПЭТ-Технолоджи»
- Выпуск: Том 24, № 2 (2022)
- Страницы: 200-203
- Раздел: КЛИНИЧЕСКАЯ ОНКОЛОГИЯ
- Статья получена: 14.07.2022
- Статья одобрена: 14.07.2022
- Статья опубликована: 15.07.2022
- URL: https://modernonco.orscience.ru/1815-1434/article/view/109344
- DOI: https://doi.org/10.26442/18151434.2022.2.201444
- ID: 109344
Цитировать
Полный текст
Аннотация
Обоснование. Злокачественный приапизм представляет собой болезненное уплотнение и эрекцию полового члена за счет метастатической опухолевой инфильтрации. Вторичное поражение полового члена злокачественными опухолями является редким событием. Это свидетельствует о прогрессировании основного заболевания и неблагоприятном исходе. Чаще всего источником метастазов в половой член являются опухоли урогенитальной области: предстательная железа – 33%, мочевой пузырь – 30%, почки – 8% и желудочно-кишечный тракт – 8%.
Цель. Описать случай злокачественного рефрактерного приапизма у больного с опухолью мочевого пузыря.
Материалы и методы. Под наблюдением находился пациент 49 лет, которому проведено комплексное лечение по поводу низкодифференцированного рака мочевого пузыря стадии IIIB рT4аN3M0. Позитронно-эмиссионная томография, совмещенная с компьютерной томографией (ПЭТ/КТ), с 18-фтордезоксиглюкозой (ФДГ) выполнена на томографе Optima PET/KT 560 (GE).
Результаты. Больному по поводу низкодифференцированного рака мочевого пузыря выполнена трансуретральная резекция с последующим проведением 3 циклов неоадъювантной полихимиотерапии по схеме гемзар + цисплатин. После развития рецидива произведено оперативное вмешательство в объеме цистпростатэктомии, тазовой лимфаденэктомии, уретрэктомии и операции Брикера. При гистологическом исследовании в мочевом пузыре – разрастания низкодифференцированного уротелиального рака, прорастающего все слои с инвазией в семенные пузырьки и ткань предстательной железы. Через 7 мес после хирургического лечения в области корня полового члена появились боли тянущего характера, уплотнение и увеличение его в размерах. Интенсивность этих проявлений нарастала в течение 2 нед. При объективном исследовании половой член увеличен в размерах, плотный, ригидный, болезненный при пальпации. По данным ПЭТ/КТ с 18-ФДГ диагностировано метастатическое поражение полового члена, осложненное приапизмом.
Заключение. Злокачественный приапизм встречается редко. Причиной его развития чаще всего служат опухоли урогенитального тракта, в частности уротелиальный рак. Для рефрактерного приапизма характерно нарастание местных проявлений с течением времени. ПЭТ/КТ с 18-ФДГ является методом выбора для диагностики злокачественного приапизма.
Полный текст
Введение
Метастазирование может происходить путем распространения, включая ретроградный ток, а также прямым переходом злокачественных опухолей в половой член, является редким состоянием с плохим прогнозом. Средняя продолжительность жизни этих пациентов составляет 9–14,5 мес [1–3].
Первое описание метастатического поражения полового члена сделал С. Eberth в 1870 г., и с тех пор в мировой литературе описано более 500 случаев.
Самыми частыми первичными опухолями, сопровождающимися метастатическим поражением полового члена, являются урогенитальные – 70% и желудочно-кишечные новообразования – 21% [3–6].
Половой член имеет обильное кровоснабжение с наличием сосудистых связей с соседними органами. Тем не менее механизмы его поражения не ясны. Метастазирование может происходить распространением по артериальным, венозным и лимфатическим сосудам, включая ретроградный ток, прямым переходом опухолевых клеток из окружающих тканей, а также включая ятрогенную имплантацию [5, 7, 8].
Наиболее распространенным симптомом метастатического поражения полового члена является приапизм, который наблюдается у 20–53% больных [5, 9]. Термин «злокачественный приапизм» впервые применил A. Peacoc в 1938 г. [10].
Мы наблюдали пациента после комплексного лечения по поводу уротелиального рака мочевого пузыря стадии IIIB рT4аN3M0 с метастазом в половой член с развитием злокачественного рефрактерного приапизма.
Клинический случай
Пациент Е., 49 лет. Считает себя больным с декабря 2019 г., когда после эпизода гематурии выполнена магнитно-резонансная томография (МРТ) органов малого таза. По передней и правой боковой стенке мочевого пузыря обнаружены множественные папиллярные опухолевые разрастания размерами до 0,4×1,0 см, регионарные лимфатические узлы не увеличены. Выполнена трансуретральная резекция мочевого пузыря. При гистологическом исследовании удаленных опухолей обнаружен низкодифференцированный уротелиальный рак G3 с периваскулярной инвазией и врастанием в мышечный слой. Учитывая распространенность опухолевого процесса, пациенту проведено 3 цикла неоадъювантной полихимиотерапии по схеме: гемзар + цисплатин. После этого от продолжения дальнейшего лечения пациент отказался.
Через 7 мес диагностирован местный рецидив заболевания с метастазами в лимфоузлы таза, по поводу чего выполнено оперативное вмешательство в объеме цистпростатэктомии, тазовой лимфаденэктомии, уретрэктомии и операции Брикера.
При гистологическом исследовании в мочевом пузыре имеется разрастание низкодифференцированного уротелиального рака, прорастающего все слои с инвазией в семенные пузырьки и ткань предстательной железы. В правой доле предстательной железы обнаружен очаг сопутствующей ацинарной аденокарциномы, по Глиссону 7 (3+4) баллов. В 3 лимфоузлах выявлены метастазы низкодифференцированного рака. Установлен диагноз: рак мочевого пузыря стадии IIIB рT4аN3M0.
Какие-либо специальные методы лечения в адъювантном режиме не проводились. Больной находился на диспансерном наблюдении. При очередном визите через 7 мес после операции у пациента появились тянущие боли в области корня полового члена, отечность, уплотнение и увеличение его в размерах. Указанные симптомы, с его слов, появились 2 нед назад, а интенсивность их постепенно нарастала.
При объективном обследовании обнаружен увеличенный в размерах, плотный, ригидной консистенции половой член, болезненный при пальпации на всем протяжении. Поверхность кавернозных тел местами неровная. Паховые лимфатические узлы не увеличены.
При ультразвуковом исследовании полового члена обнаружена отечная утолщенная кожа в области корня. Кровоток сохранен.
По данным МРТ полового члена выявлена неоднородная интенсивность сигнала в кавернозных телах со сниженным поглощением контраста ближе к лонному сочленению.
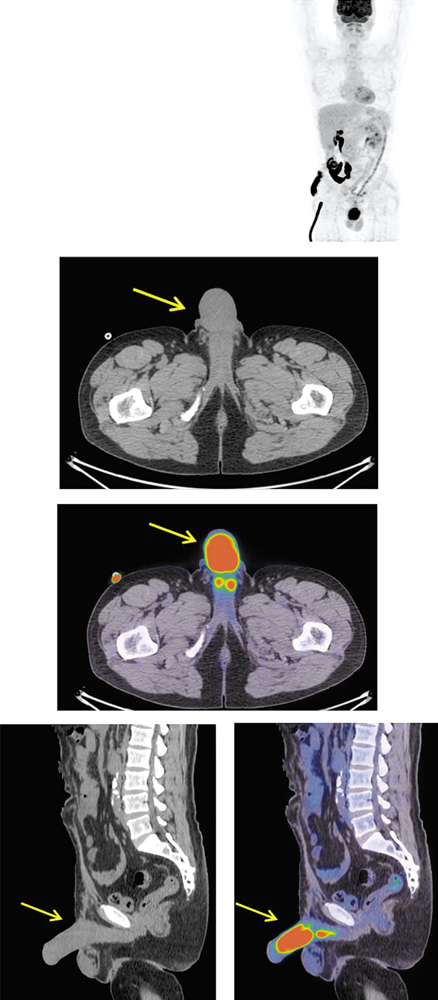
Пациенту выполнена позитронно-эмиссионная томография, совмещенная с компьютерной томографией (ПЭТ/КТ), с 18-фтордезоксиглюкозой (ФДГ). На MIP, аксиальной и сагиттальной КТ и ПЭТ/КТ-проекциях в кавернозных телах полового члена с двух сторон, ближе к корню полового члена, на протяжении до 33 мм отмечается симметричная фиксация радиофармпрепарата (РФП), коэффициент максимального стандартизированного накопления SUVmax составил 9,82. Другая зона повышенной фиксации РФП циркулярного характера обнаружена на протяжении кавернозных тел в дистальном направлении, длиной до 80 мм, SUVmax 12,44 с признаками приапизма (рис. 1).
Рис. 1. Пациент Е., 49 лет. На MIP, аксиальной и сагиттальной КТ, ПЭТ/КТ проекциях в кавернозных телах полового члена, с двух сторон, ближе к корню, отмечается симметричная фиксация РФП на протяжении до 33 мм, SUVmax 9,82. В дистальном направлении отмечается зона повышенной фиксации РФП циркулярного характера на протяжении до 80 мм, SUVmax 12,44 с признаками приапизма.
С учетом анамнеза заболевания и результатов ПЭТ/КТ больному установлен диагноз: рак мочевого пузыря стадии IIIB рT4аN3M0, состояние после комплексного лечения, метастаз в половой член, злокачественный приапизм. От предложенной биопсии и специальных методов лечения пациент отказался.
Приведенный случай представляет интерес в связи с тем, что причиной злокачественного рефрактерного приапизма послужил низкодифференцированный уротелиальный рак мочевого пузыря спустя 7 мес после хирургического лечения. Приапизм сохранялся на протяжении 2 нед без признаков нарушения кровоснабжения полового члена. ПЭТ/КТ является методом выбора постановки диагноза злокачественного приапизма и уточнения степени распространенности опухолевого процесса.
Обсуждение
Вторичное поражение полового члена при злокачественных новообразованиях – редкое явление. В доступной литературе оно представлено, как правило, единичными сообщениями [11–17].
В 2021 г. D. Xing и соавт. опубликовали результаты структурированного анализа литературы по частоте локализации первичной опухоли при метастатическом поражении полового члена. С этой целью они использовали базу данных Medline, а также сообщения о случаях за период с января 1940 по декабрь 2018 г. При этом авторы выявили 42 случая метастатического поражения полового члена при урогенитальном и колоректальном раке, раке пищевода, немелкоклеточном раке легкого. Рак предстательной железы послужил причиной метастатического поражения в 13/31% случаев, второе место занимает рак мочевого пузыря – 9/27,4% (табл. 1).
Таблица 1. Локализация первичной опухоли при метастатическом поражении полового члена [16] Table 1. The localization of the primary tumor in case of metastatic tumors of the penis [16] | ||
Локализация | Абс. | % |
Аденокарцинома предстательной железы | 13 | 31 |
Уротелиальный рак мочевого пузыря | 9 | 21,4 |
Почечно-клеточный рак | 5 | 11,9 |
Немелкоклеточный рак легкого | 4 | 9,5 |
Аденокарцинома прямой кишки | 3 | 7,1 |
Рак слепой кишки | 2 | 4,8 |
Рак мочеточника | 1 | 2,4 |
Рак пищевода | 1 | 2,4 |
Хондросаркома | 1 | 2,4 |
Хондрома | 1 | 2,4 |
Меланома | 1 | 2,4 |
Лимфома | 1 | 2,4 |
В конце прошлого столетия F. Dubocq и соавт. (1998 г.) опубликовали анализ литературных данных, где привели 88 случаев первичных опухолей, послуживших причиной развития злокачественного приапизма при метастатическом поражении полового члена [18]. Тем не менее как по нозологическим вариантам, так и по статистическим результатам они являются практически одинаковыми с предыдущим исследованием.
В приведенном наблюдении причиной метастатического поражения полового члена с развитием злокачественного приапизма послужил низкодифференцированный уротелиальный рак, который развился спустя 7 мес после оперативного лечения в объеме цистпростатэктомии с расширенной тазовой лимфаденэктомией, уретрэктомией и операцией Брикера.
На страницах печати представлено подобного рода наблюдение в виде рефрактерного приапизма. Так, M. da Silva и соавт. (2021 г.) изложили случай 79-летнего мужчины с приапизмом двухнедельной длительности. За 3 года до события ему выполнена радикальная цистпростатэктомия. При гистологическом исследовании диагностированы уротелиальная карцинома мочевого пузыря высокой степени злокачественности и сопутствующая аденокарцинома простаты [11].
V. Prabhuswamy и соавт. (2019 г.) описали злокачественный приапизм у 75-летнего пациента через 6 мес после радикальной цистэктомии с формированием илеокондуита по поводу переходноклеточного рака мочевого пузыря. Клинически у больного диагностирован приапизм с набуханием кавернозных тел, без признаков ишемии [15].
Подобное сообщение после радикальной цистпростатэктомии опубликовали F. Al-Mufarrej и соавт. (2006 г.). Они расценили приапизм как признак рецидива урогенитального рака [19].
В отечественной литературе весьма необычное наблюдение по длительности приапизма опубликовали Р.Д. Галимов и соавт. (2014 г.). У пациента 71 года рефрактерный злокачественный приапизм развился через 6 мес после левосторонней гемиколэктомии, выполненной по поводу рака сигмовидной кишки стадии IV. Длительность злокачественного приапизма при этом составила 4 нед [20].
Клиническая манифестация метастатического поражения полового члена сопровождается болевым синдромом, появлением опухолевых образований в виде плотных узелков в теле члена, изменениями кожи, а также симптомами поражения нижних мочевыводящих путей и, как правило, злокачественным приапизмом, который наблюдается у 20–53% пациентов [2, 12, 13, 15]. Тем не менее боль не является основным симптомом заболевания. При ее наличии она локализуется в основном в области члена [21].
В приведенном случае у пациента первые клинические проявления в виде болей тянущего характера появились в области корня члена с последующим его уплотнением и увеличением на протяжении 14 дней.
Среди методов медицинской визуализации метастатического поражения полового члена используют ультра- звуковое исследование с допплерографией, МРТ [12, 22, 23]. По мнению авторов, каждый способ имеет свои преимущества и ограничения, тем самым не может дать однозначного ответа в сложных клинических случаях [15].
Важным исследованием, позволяющим дифференцировать ишемический и неишемический приапизм, является интракавернозный анализ газов крови [15, 24].
В последние годы конкурентным методом диагностики стала гибридная технология – ПЭТ/КТ, которая позволяет оценить истинную распространенность опухолевого процесса. При этом в качестве РФП применяют 18-ФДГ, а также 68Ga-PSMA [1, 13].
Для морфологического подтверждения диагноза применяются интракорпоральная аспирационная биопсия и cor-биопсия.
Лечение злокачественного приапизма на сегодняшний день остается весьма сложной задачей и, как правило, носит паллиативный характер, направленный на улучшение качества жизни. Это обусловлено отсутствием рекомендаций из-за небольшого количества наблюдений, в связи с чем выбор лечебных опций носит эмпирический характер.
Для этих целей применяют различные хирургические манипуляции, такие как пункция кавернозных тел, шунтирующие операции, кавернозотомия, бужирование кавернозных тел, а также частичная или тотальная пенэктомия [3, 12, 25]. В ряде случаев используют химиотерапию и таргетную терапию, которые позволяют получить некий контроль над болезнью. В последние годы появились сообщения о применении иммунотерапии ингибиторами PDL1 – пембролизумаб.
В литературе имеются данные об эффективной высокодозной паллиативной лучевой терапии приапизма, обусловленного раком предстательной железы, позволяющей контролировать течение болезни [16, 26].
Заключение
Злокачественный приапизм встречается редко, носит характер описания отдельных случаев. Причиной развития злокачественного приапизма в подавляющем большинстве случаев являются первичные опухоли урогенитального тракта. Среди них лидируют мочевой пузырь и предстательная железа. В приведенном случае причиной приапизма послужил низкодифференцированный уротелиальный рак мочевого пузыря.
Для клинической картины рефрактерного злокачественного приапизма характерно нарастание местных проявлений в течение времени, в представленном случае – на протяжении 14 дней. При этом преобладают болевой синдром и уплотнение полового члена.
ПЭТ/КТ с 18-ФДГ является методом выбора диагностики злокачественного приапизма, поскольку она позволяет оценить метаболическую и структурную визуализацию всего тела. Это дает возможность персонализированного выбора лечебной тактики. Наличие приапизма указывает на прогрессирование опухолевого процесса с неблагоприятным прогнозом.
Раскрытие интересов. Авторы декларируют отсутствие явных и потенциальных конфликтов интересов, связанных с публикацией настоящей статьи.
Disclosure of interest. The authors declare that they have no competing interests.
Вклад авторов. Авторы декларируют соответствие своего авторства международным критериям ICMJE. Все авторы в равной степени участвовали в подготовке публикации: разработка концепции статьи, получение и анализ фактических данных, написание и редактирование текста статьи, проверка и утверждение текста статьи.
Authors’ contribution. The authors declare the compliance of their authorship according to the international ICMJE criteria. All authors made a substantial contribution to the conception of the work, acquisition, analysis, interpretation of data for the work, drafting and revising the work, final approval of the version to be published and agree to be accountable for all aspects of the work.
Источник финансирования. Авторы декларируют отсутствие внешнего финансирования для проведения исследования и публикации статьи.
Funding source. The authors declare that there is no external funding for the exploration and analysis work.
Информированное согласие на публикацию. Пациент подписал форму добровольного информированного согласия на публикацию медицинской информации.
Consent for publication. Written consent was obtained from the patient for publication of relevant medical information and all of accompanying images within the manuscript.
Об авторах
Николай Алексеевич Огнерубов
ФГБОУ ВО «Тамбовский государственный университет им. Г.Р. Державина»; ГБУЗ «Тамбовский областной онкологический клинический диспансер»
Автор, ответственный за переписку.
Email: ognerubov_n.a@mail.ru
ORCID iD: 0000-0003-4045-1247
SPIN-код: 3576-3592
д-р мед. наук, канд. юрид. наук, проф., зав. каф. онкологии Медицинского института; зам. глав. врача по клинико-экспертной работе; засл. работник высшей школы РФ, засл. врач РФ
Россия, Тамбов; ТамбовТатьяна Сергеевна Антипова
ООО «ПЭТ-Технолоджи»
Email: antipovats@gmail.com
ORCID iD: 0000-0003-4165-8397
врач Центра ядерной медицины
Россия, ТамбовСписок литературы
- Kamaleshwaran KK, Balasundararaj BKP, Jose R, Shinto AS. Penile metastasis from prostate cancer presenting as malignant priapism detected using gallium-68 prostate-specific membrane antigen positron emission tomography/computed tomography. Indian J Nucl Med. 2018;33:57-8. doi: 10.4103/ijnm.IJNM_107_17
- Cocci A, Hakenberg OW, Cai T, et al. Prognosis of men with penile metastasis and malignant priapism: a systematic review. Oncotarget. 2017;9:2923-30.
- Lin YH, Kim JJ, Stein NB, Khera M. Malignant priapism secondary to metastatic prostate cancer: a case report and review of literature. Rev Urol. 2011;13(2):90-4.
- Zhang K, Da J, Yao HJ, et al. Metastatic tumors of the penis: a report of 8 cases and review of the literature. Medicine (Baltimore). 2015;94:e132.
- Mearini L, Colella R, Zucchi A, et al. A review of penile metastasis. Oncol Rev. 2012;6:e10. doi: 10.4081/oncol.2012.e10
- Eberth C. Krebsmetastasen des corpus cavernosum penis. Virchows Archiv. 1870;51:145-6.
- Triki W, Kacem A, Itami A, et al. Penile metastasis of colon carcinoma: A rare case report. Urol Case Rep. 2019;24:100875.
- Cherian J, Rajan S, Thwaini A, et al. Secondary penile tumours revisited. Int Semin Surg Oncol. 2006;3:33.
- De Luca F, Zacharakis E, Shabbir M, et al. Malignant priapism due to penile metastases: case series and literature review. Arch Ital Urol Androl. 2016;88:150-2. doi: 10.4081/aiua.2016.2.150
- Peacock AH. Malignant priapism due to secondary carcinoma in the corpora cavernosum. Northwest Med. 1938;37:143-5.
- da Silva MC, Vilares AT, Dias SC, et al. Penile Metastatic Disease Presenting as Malignant Priapism: A Case Report. J Urol Surg. 2021;8(4):297-9.
- Sibarani J, Syahreza A, Wijayanti Z, et al. Malignant priapismus induced by adenocarcinoma of the prostate. Urol Case Rep. 2020;29:101102.
- Lam KO, Huang J. Malignant priapism and germ cell tumour. Lancet Oncol. 2019;20(4):e224. doi: 10.1016/s1470-2045(19)30075-0
- Aynaou M, Elhoumaidi A, Mhanna T, et al. Penile gangrene: an unusual complication of malignant priapism in a patient with renal cell carcinoma. Pan Afr Med J. 2019;34:130. doi: 10.11604/pamj.2019.34.130.20447
- Prabhuswamy VK, Krishnappa P, Tyagaraj K. Malignant refractory priapism: An urologist's nightmare. Urol Ann. 2019;11(2):222-5.
- Xing DT, Yilmaz H, Hettige S, et al. Successful Treatment of Malignant Priapism by Radiotherapy: Report of a Case, Review of the Literature, and Treatment Recommendations. Cureus. 2021;13(8):e17287.
- Огнерубов Н.А., Огнерубова И.Н. Злокачественный приапизм. Вестник ТГУ. 2017;22(1):171-3 [Ognerubov NA, Ognerubova IN. Cancerous priapism. Tambov University Reports. 2017;22(1):171-3 (in Russian)].
- Dubocq FM, Tefilli MV, Grignon DJ, et al. High flow malignant priapism with isolated metastasis to the corpora cavernosa. Urology. 1998;51(2):324-6.
- Al-Mufarrej F, Kamel MH, Mohan P, Hickey D. Tricorporal priapism postradical cystoprostatectomy: first sign of recurrent urogenital malignancy. Int J Urol. 2006;13:460-2.
- Галимов Р.Д., Иванцов А.О., Павлов Д.Г., и др. Приапизм, вызванный метастатическим поражением полового члена, при раке толстой кишки. Клиническое наблюдение. Экспериментальная клиническая урология. 2014;4:120-3 [Galimov RD, Ivantsov AO, Pavlov DG, et al. Priapizm, vyzvannyi metastaticheskim porazheniem polovogo chlena, pri rake tolstoi kishki. Klinicheskoe nabliudenie. Eksperimental'naia klinicheskaia urologiia. 2014;4:120-3 (in Russian)].
- Osther PJ, Lontoff E. Metastasis to the penis: Case reports and review of literature. Int Urol Nephrol. 1991;23:161-7.
- Wong HL, Shi H, Koh LT. Solitary metastasis to the penis from prostate adenocarcinoma – a case report. J Radiol Case Rep. 2019;13:20-8. doi: 10.3941/jrcr.v13i12.3846
- Fujita N, Kurokawa R, Kaneshima R, et al. Patient with penile metastasis from prostate cancer and survival over 5 years: A case report with longitudinal evaluation using computed tomography and magnetic resonance imaging. Radiol Case Rep. 2021;16(6):1255-8.
- Broderick GA, Kadioglu A, Bivalacqua TJ, et al. Priapism: Pathogenesis, epidemiology, and management. J Sex Med. 2010;7:476-500.
- Salonia A, Eardley I, Giuliano F. European Association of Urology guidelines on priapism. Eur Urol. 2014;65(2):480-9.
- Cante D, Franco P, Sciacero P, et al. Penile metastasis from prostate cancer: a case report. Tumori. 2014;100:0-6.
Дополнительные файлы




