Transthoracic biopsy under the control of computed tomography as a method of differential diagnosis of nodular neoplasms of the lung in outpatient settings: Retrospective cohort study
- Authors: Perepelevskiy A.N.1, Stanojevic U.S.1, Lazarenko V.A.2, Grebenkin E.N.1, Sumina O.E.2
-
Affiliations:
- Ostroverkhov Kursk Cancer Research and Clinical Center
- Kursk State Medical University
- Issue: Vol 24, No 2 (2022)
- Pages: 216-220
- Section: CLINICAL ONCOLOGY
- Submitted: 14.07.2022
- Accepted: 14.07.2022
- Published: 15.07.2022
- URL: https://modernonco.orscience.ru/1815-1434/article/view/109347
- DOI: https://doi.org/10.26442/18151434.2022.2.201413
- ID: 109347
Cite item
Full Text
Abstract
Background. Morphological verification of central and peripheral focal lung neoplasms is a difficult task for modern minimally invasive methods of differential diagnosis. The use of transthoracic trepanobiopsy of lung neoplasms under the control of computed tomography (CT) allows you to obtain informative, histological material and make a correct diagnosis.
Aim. The aim of the study was to determine the possibility and safety of performing transthoracic trepanobiopsy of lung tumors under the control of CT in patients who are on an outpatient appointment in a third-level institution in order to obtain informative histological material.
Materials and methods. From January 2020 to April 2021, 65 patients underwent transthoracic trepanobiopsy of focal lung neoplasms under the control of CT on an outpatient basis in the polyclinic department of the Ostroverkhov Kursk Cancer Research and Clinical Center.
Results. The average time spent on performing a biopsy, with preliminary marking under CT control, was 15.1±4.5 minutes. In 2 (3.1%) cases, the morphological material was uninformative. The informativeness of the performed trepanobiopsies for the verification of the lung tumor process was 96.9%. Complications were observed in 5 (7.6%) patients: pneumothorax – in 4 (6.1%), hemoptysis – in 1 (1.5%). Pneumothorax occurred mainly in patients aged 55–67 years.
Conclusion. The used method of transthoracic lung trepanobiopsy under CT control should be used in outpatient settings of third-level institutions for morphological confirmation of the diagnosis, since it is safe and highly informative for patients, which is confirmed by a low percentage of complications (7.6%) and allows for differential diagnosis of focal lung neoplasms at the pre-hospital stage.
Full Text
По данным о состоянии онкологической помощи населению Российской Федерации в 2020 г., рак легкого занимает первое место по заболеваемости среди злокачественных опухолей у мужчин в России и первое место по смертности среди мужчин и женщин как в России, так и в мире [1, 2]. Одним из актуальных вопросов торакальной хирургии и онкологии остается безопасная и своевременная верификация очаговых новообразований в легких [1, 3–10]. В настоящее время число больных с новообразованиями легких по-прежнему остается на высоком уровне, и определение их гистологической принадлежности является I этапом в формировании алгоритма лечения пациента. Анализ статистических данных по РФ за 2020 г. показывает, что только в 79,9% случаев впервые выявленных новообразований легочной ткани подтвержден диагноз рака легкого морфологическим методом [1].
Использующиеся инструментальные методы получения гистологического биоптата (анализ мокроты из трахеобронхиального дерева, диагностическая бронхоскопия) не утратили своей актуальности1 [3, 6, 9, 10, 11]. Бронхоскопия позволяет получить биоматериал из экзофитных опухолей бронхов I–IV. В последнее время широкое распространение получила эндобронхиальная ультрасонография. При этом исследовании стало возможным получение цитологического и гистологического материала из центральных опухолей легкого, расположенных перибронхиально, и из лимфатических узлов с аналогичным расположением. Использование данного метода диагностики ограничено дальностью работы ультразвукового датчика, длиной трепанобиопсийной иглы, встроенной в эндоскоп, а также достаточно высокой стоимостью этой процедуры.
Но применение указанных методов инструментальной диагностики при периферическом расположении новообразований легочной ткани невозможно, что приводит к необходимости выполнения диагностических инвазивных операций, это подразумевает госпитализацию в стационар со значительными материально-экономическими затратами, а также увеличивает срок получения пациентом специализированного лечения.
Сегодня большое применение в диагностике очаговых новообразований легочной ткани находят малоинвазивные методы, такие как трансторакальные трепанобиопсии под разными видами навигации [3, 4, 12].
Цель исследования – определение возможности и без- опасности выполнения трансторакальной трепанобиопсии опухолей легкого под контролем компьютерной томографии (КТ) у пациентов, находящихся на амбулаторном приеме в учреждении третьего уровня, с целью получения информативного гистологического материала.
Материалы и методы
Нами проведен ретроспективный анализ амбулаторных карт 65 пациентов, находившихся на амбулаторном приеме в поликлиническом отделении ОБУЗ «КОНКЦ им. Г.Е. Островерхова» за период с января 2020 по апрель 2021 г. Протокол исследования был одобрен локальным этическим комитетом ФГБОУ ВО КГМУ (протокол №1 от 03.02.2020).
Возраст больных варьировал от 34 до 71 года; средний возраст составил 50±2,5 года. Все пациенты находились на обследовании с очаговыми новообразованиями легких.
Все пациенты обследованы в амбулаторных условиях согласно клиническим рекомендациям: выполнены лабораторно-инструментальные методы диагностики, ультразвуковое исследование органов брюшной полости и отобраны по данным КТ органов грудной клетки.
Обязательно выполнена консультация врача-терапевта с целью выявления и коррекции сопутствующей патологии. Пациентам с наличием сердечной патологии проведена консультация врача-кардиолога. В основном выявлена следующая сопутствующая патология: гипертоническая болезнь – у 3 (4,6%) пациентов, ишемическая болезнь сердца – у 36 (55,3%) пациентов, ожирение – у 5 (7,6%) пациентов, хроническая обструктивная болезнь легких – у 21 (32,3%) пациента. Пациентам с выраженной сопутствующей патологией трансторакальная трепанобиопсия новообразования легкого под контролем КТ выполнена в условиях стационара. У большинства – 28 (43%) – пациентов размер образования легкого варьировал в промежутке от 20 до 40 мм.
В табл. 1 отражены размеры пунктированных образований легкого.
Таблица 1. Размеры пунктированных образований легкого (n=65) Table 1. Dimensions of punctured lung masses (n=65) | ||
Размер образования, мм | Количество случаев | % |
10–20 | 7 | 10,7 |
21–40 | 28 | 43,0 |
41–60 | 21 | 32,3 |
>60 | 9 | 14,0 |
Всего | 65 | 100 |
В основном у 27 (41,5%) пациентов образования располагались на расстоянии 10–30 мм от висцеральной плевры до края новообразования (табл. 2).
Таблица 2. Расстояние от висцеральной плевры до опухоли легкого (n=65) Table 2. Distance from visceral pleura to lung tumor (n=65) | ||
Расстояние, мм | Количество случаев | % |
Субплеврально | 18 | 27,6 |
10–30 | 27 | 41,5 |
30–50 | 13 | 20,0 |
>50 | 7 | 10,9 |
Всего | 65 | 100 |
Абсолютные противопоказания к выполнению данной манипуляции: сердечно-легочная недостаточность 3-й степени и выше, локализация новообразования в единственном легком, прием антикоагулянтов и заболевания крови, сопровождающиеся повышенной кровоточивостью, выраженная дыхательная недостаточность, буллезная болезнь (буллы в зоне пункции), отказ пациента от выполнения манипуляции.
Данное малоинвазивное вмешательство проводилось только под КТ-навигацией аппарата Brilliance CT Big Bore (рис. 1, а) врачом – онкологом-хирургом в амбулаторных условиях под контролем врача-реаниматолога. Использовались коаксиальная система 14G со стилетом внутри и дополнительным каналом для перманентной анестезии (рис. 1, b)1 и полуавтоматическая одноразовая биопсийная игла меньшим диаметром 16G.
Рис. 1: а – компьютерный томограф Brilliance CT Big Bore; b – коаксиальная система с функцией перманентной анестезии.
По предварительно полученным данным КТ органов грудной клетки выявлен наиболее короткий и безопасный путь трансторакальной трепанобиопсии. За 30 мин до манипуляции выполнялась премедикация. После этого произведена разметка точки вкола на коже с использованием рентгеноконтрастной (R) метки. Дальнейшее сканирование проводилось с целью контроля правильности установки R-метки, а также определялось расстояние от кожи до опухоли и направление коаксиальной системы (рис. 2).
Рис. 2. Компьютерная томограмма больного В. Установлена R-метка на коже.
Место прокола обрабатывалось раствором антисептика. Процедура проводилась под местной анестезией с положением пациента лежа на столе компьютерного томографа. Далее осуществлялось введение коаксиальной системы с перманентной инфильтрационной анестезией раневого канала на заранее измеренную глубину (рис. 3).
Рис. 3. Установка коаксиальной системы к образованию легкого.
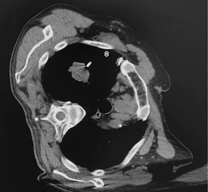
При втором (контрольном) сканировании определялась правильность расположения иглы у края опухоли, после чего игла заводилась в опухоль на несколько мм (рис. 4). После из коаксиальной системы удалялся стилет и в просвет устанавливалась биопсийная игла, выполнялось двукратное взятие биопсийного материала, после чего коаксиальная система удалялась. Полученный материал помещался в 10% раствор нейтрального формалина и передавался на морфологическое и иммуногистохимическое исследование (рис. 5).
Рис. 4. Компьютерная томограмма больного В. Конец коаксиальной системы локализован в стенке опухоли.
Рис. 5. Гистологические столбики, полученные из опухолевой ткани легкого.
Сразу после выполнения процедуры и через 1 ч с целью контроля послеманипуляционных осложнений производили контрольное КТ-исследование органов грудной клетки. При отсутствии осложнений больной покидал учреждение для ожидания результатов гистологического исследования. При выявлении выраженного постманипуляционного пневмоторакса незамедлительно выполнялось дренирование плевральной полости в стандартной точке, и пациент госпитализировался в отделение торакальной хирургии для восстановления аэростаза. При появлении кровохарканья пациенту проводилась гемостатическая терапия.
Методы статистического анализа
Статистическую обработку полученных данных проводили с использованием программного обеспечения SPSS Statistics 23.0. Для количественных данных рассчитывали стандартные описательные статистики в группах – стандартное отклонение (σ) и среднее значение, для качественных – частотные характеристики. Для анализа развития осложнений и эффективности метода выполнялось вычисление критерия χ2 Пирсона и χ2 с соотношением правдоподобия. Также применялась поправка Бонферрони для коррекции уровня значимости.
Результаты и обсуждение
Среднее время, затраченное на выполнение биопсии, с предварительной разметкой под контролем КТ составило 15,1±4,5 мин.
У 63 (96,9%) пациентов при выполнении биопсии получено достаточное количество гистологического материала для выполнения иммуногистохимического и молекулярно-генетического исследования. Окончательное морфологическое заключение в 54 (83%) наблюдениях представлено злокачественными опухолями и лишь в 2 (3,1%) наблюдениях – доброкачественным процессом. В 7 (10,7%) наблюдениях выявлен неопухолевый процесс. В 2 (3,1%) случаях морфологический материал оказался неинформативен (некротические ткани). Морфологическое строение злокачественных опухолей можно разделить в следующем соотношении: аденокарцинома – 51%, плоскоклеточный рак – 30%, железисто-плоскоклеточный рак – 4%, крупноклеточная карцинома – 3%, мелкоклеточный рак – 5%, метастатические опухоли – 7%.
Информативность выполненных трепанобиопсий для верификации опухолевого процесса легкого составила 96,9%. Осложнения наблюдались у 5 (7,6%) больных: пневмоторакс – у 4 (6,1%), кровохарканье – у 1 (1,5%). Пневмоторакс возник преимущественно у пациентов возрастной группы 55–67 лет (рис. 6).
Рис. 6. Выявленные постманипуляционные осложнения после проведения контрольной КТ органов грудной полости (число пациентов).
Лечение заключалось в дренировании плевральной полости. Больной госпитализировался в онкологическое отделение хирургических методов лечения для достижения аэростаза. Как правило, дренаж из плевральной полости удалялся на 1–2-е сутки после дренирования. Кровохарканье, которое развилось у 1 пациента, оказалось незначительным; клинические признаки купированы через 15 мин после проведения гемостатической терапии.
Заключение
Трансторакальная трепанобиопсия очаговых новообразований легкого, выполняемая под контролем КТ с использованием коаксиальной системы, является ценным методом диагностики, позволяющим в большинстве (96,9%) случаев установить верный диагноз по полученным гистологическим трепанобиоптатам. Используемый метод трансторакальной трепанобиопсии легкого под контролем КТ нужно использовать в амбулаторных условиях учреждений третьего уровня для морфологического подтверждения диагноза, так как он безопасен и высокоинформативен для пациентов, что подтверждается низким процентом (7,6%) осложнений, и позволяет провести дифференциальную диагностику очаговых новообразованиях легких на догоспитальном этапе.
Раскрытие интересов. Авторы декларируют отсутствие явных и потенциальных конфликтов интересов, связанных с публикацией настоящей статьи.
Disclosure of interest. The authors declare that they have no competing interests.
Вклад авторов. Авторы декларируют соответствие своего авторства международным критериям ICMJE. А.Н. Перепелевский – концепция и дизайн исследования, сбор и обработка материала, написание текста; У.С. Станоевич – редактирование; В.А. Лазаренко – редактирование; Е.Н. Гребенкин – редактирование; О.Е. Сумина – концепция и дизайн исследования, сбор и обработка материала, статистическая обработка.
Authors’ contribution. The authors declare the compliance of their authorship according to the international ICMJE criteria. A.N. Perepelevskiy – the concept and design of the study, collection and processing of material, writing the text; U.S. Stanojevic – editing; V.A. Lazarenko – editing; E.N. Grebenkin – editing; O.E. Sumina – the concept and design of the study, collection and processing of material, statistical processing.
Источник финансирования. Авторы декларируют отсутствие внешнего финансирования для проведения исследования и публикации статьи.
Funding source. The authors declare that there is no external funding for the exploration and analysis work.
Информированное согласие на публикацию. Пациент подписал форму добровольного информированного согласия на публикацию медицинской информации.
Consent for publication. Written consent was obtained from the patient for publication of relevant medical information and all of accompanying images within the manuscript.
Соответствие принципам этики. Протокол исследования был одобрен локальным этическим комитетом ФГБОУ ВО КГМУ (протокол №1 от 03.02.2020). Одобрение и процедуру проведения протокола получали по принципам Хельсинкской конвенции.
Ethics approval. The study was approved by the local ethics committee of Kursk State Medical University (Protocol №1 of 03.02.2020). The approval and procedure for the protocol were obtained in accordance with the principles of the Helsinki Convention.
1Перепелевский А.Н., Киселев И.Л., Лазаренко В.А., Перепелевская Ю.Е. Коаксиальная система для трансторакальной трепанобиопсии новообразований грудной полости под контролем компьютерной томографии и способ ее применения. Российская Федерация. Патент RU 2734972 2020 [Perepelevskiy AN, Kiselev IL, Lazarenko VA, Perepelevskaya YuE. Coaxial system for transthoracic trepanobiopsy of thoracic cavity neoplasms under the control of computed tomography and the method of its application. Russian Federation. Patent RU No. 2734972 2020 (in Russian)].
About the authors
Alexandr N. Perepelevskiy
Ostroverkhov Kursk Cancer Research and Clinical Center
Author for correspondence.
Email: perepelevskiy@yandex.ru
ORCID iD: 0000-0001-8303-0042
surgeon, oncologist
Russian Federation, KislinoUgljesa S. Stanojevic
Ostroverkhov Kursk Cancer Research and Clinical Center
Email: 8158791@gmail.com
ORCID iD: 0000-0002-9057-6227
D. Sci. (Med.)
Russian Federation, KislinoViktor A. Lazarenko
Kursk State Medical University
Email: lazarenkomed@mail.ru
ORCID iD: 0000-0002-2069-7701
D. Sci. (Med.), Prof.
Russian Federation, KurskEgor N. Grebenkin
Ostroverkhov Kursk Cancer Research and Clinical Center
Email: kursk_ood@mail.ru
ORCID iD: 0000-0002-1396-1789
Cand. Sci. (Med.)
Russian Federation, KislinoOlga E. Sumina
Kursk State Medical University
Email: olya.sumina.02@mail.ru
ORCID iD: 0000-0003-4123-6258
Student
Russian Federation, KurskReferences
- Каприн А.Д., Старинский В.В., Петрова Г.В. Состояние онкологической помощи населению России в 2020 году. Отчет главного онколога. М., 2021; с. 8-9 [Kaprin AD, Starinsky VV, Petrova GV. Sostoianie onkologicheskoi pomoshchi naseleniiu Rossii v 2020 godu. Otchet glavnogo onkologa. Moscow: 2021; p. 8-9 (in Russian)].
- Wu HR, Liu CQ, Xu MQ, et al. Systematic mediastinal lymph node dissection outcomes and conversion rates of uniportal video-assisted thoracoscopic lobectomy for lung cancer. ANZ J Surg. 2019;89(9):1056-60.
- Максудов М.Ф. Информативность и безопасность трансторакальной биопсии объемных образований органов грудной клетки, выполняемой под контролем компьютерной томографии. Медицинская визуализация. 2010;3:33-8 [Maksudov MF. Informativeness and safety of transthoracic biopsy of volumetric formations of the chest organs performed under the control of computed tomography. Medical Imaging. 2010;3:33-8 (in Russian)].
- Величко С.А., Фролова И.Г., Окунев В.В. Роль трансторакальной пункции в диагностике периферического рака легкого. Вопросы онкологии. 2000;2:214-7 [Velichko SA, Frolova IG, Okunev VV. The role of transthoracic puncture in the diagnosis of peripheral lung cancer. Questions of Oncology. 2000;2:214-7 (in Russian)].
- Рагулин Ю.А., Усачев В.С., Медведев В.Н., Дементьев А.В. Трансторакальная биопсия под контролем компьютерной томографии в диагностике объемных образований легких и средостения. Хирургия. 2012;6:24-7 [Ragulin YuA, Usachev VS, Medvedev VN, Dementiev AV. Transthoracic biopsy under the control of computed tomography in the diagnosis of volumetric formations of the lung and mediastinum. Surgery. 2012;6:24-7 (in Russian)].
- Трахтенберг А.Х., Чиссов В.И. Рак легкого: руководство, атлас. М.: ГЭОТАР-Медиа, 2009 [Trachtenberg AH, Chissov VI. Rak legkogo: rukovodstvo, atlas. Moscow: GEOTAR-Media, 2009 (in Russian)].
- Hwang EJ, Park CM, Yoon SH, et al. Risk factors for haemoptysis after percutaneous transthoracic needle biopsies in 4,172 cases: Focusing on the effects of enlarged main pulmonary artery diameter. Eur Radiol. 2018;28:1410-9.
- Nour-Eldin NE, Alsubhi M, Emam A, et al. Pneumothorax complicating coaxial and non-coaxial CT-guided lung biopsy: Comparative analysis of determining risk factors and management of pneumothorax in a retrospective review of 650 patients. Cardiovasc Intervent Radiol. 2016;39:261-70.
- Giannatiempo S, Carpino G, Petitti T, et al. Efficacy and economic impact evaluation of a navigation system for assisted lung biopsy. Healthc Technol Lett. 2018;5(2):49-53.
- Iannelli G, Caivano R, Villonio A, et al. Percutaneous Computed Tomography-Guided Lung Biopsies using a Virtual Navigation Guidance: Our Experience. Cancer Invest. 2018;36(6):349-55.
- Choo JY, Park CM, Lee NK, et al. Percutaneous transthoracic needle biopsy of small (≤1 cm) lung nodules under C arm cone beam CT virtual navigation guidance. Eur Radiol. 2013;23:712-9.
- Перепелевский А.Н., Киселев И.Л., Никулин А.И., и др. Возможности трансторакальной трепанобиопсии под контролем компьютерной томографии в диагностике новообразований грудной полости. Современная Онкология. 2019;21(1):40-4 [Perepelevskiy AN, Kiselev IL, Nikulin AI, et al. Possibilities of transthoracic trepanobiopsy under the control of computed tomography in the diagnosis of neoplasms of the thoracic cavity. Journal of Modern Oncology. 2019;21(1):40-4 (in Russian)].
Supplementary files









