Current concepts of neuroendocrine cancer of the prostate: a clinical case and review of the literature
- 作者: Chizh G.A.1, Tyutrina Y.A.2, Protsenko S.A.1, Dzhelialov E.S.3, Latipova D.H.1,2
-
隶属关系:
- Petrov National Medicine Research Center of Oncology
- Saint Petersburg State Pediatric Medical University
- Saint Petersburg State University
- 期: 卷 24, 编号 2 (2022)
- 页面: 242-249
- 栏目: CLINICAL ONCOLOGY
- ##submission.dateSubmitted##: 14.07.2022
- ##submission.dateAccepted##: 14.07.2022
- ##submission.datePublished##: 15.07.2022
- URL: https://modernonco.orscience.ru/1815-1434/article/view/109351
- DOI: https://doi.org/10.26442/18151434.2022.2.201242
- ID: 109351
如何引用文章
全文:
详细
Prostate cancer (PC) is a heterogeneous group of diseases that differ in their biological nature, clinical manifestations, and prognosis. A special variant among them is a neuroendocrine prostate cancer (NEPC). NEPC is a rare disease with unfavorable prognosis. The majority of patients with different NEPC variants die within 2 years after the diagnosis, despite the performed treatment. The distinctive features of NEPC are the patterns of metastasis in the form of a tendency to involve internal organs and extra regional lymph nodes, lytic bone lesions; high rates (up to 6 months) of clinical and radiological disease progression against the background of androgen-deprivation therapy; expression of serological markers and their high content in peripheral blood. The reasons of the aggressive behavior of NEPC consists in molecular and genetic events in cells, leading to realization of androgen-independent mechanisms of proliferation as a result of the AURKA-mediated neuroendocrine differentiation of tumor cells, early loss of function of p53 and Rb1 oncosuppressors, and low expression of androgen receptors. In every tenth case of NEPC, these molecular changes are response of prostatic adenocarcinoma to androgen-deprivation therapy. The described clinical case demonstrates the differences of biological behavior of these cancer variants and their sensitivity to various variants of drug treatment. Our case also illustrates possible difficulties of differential diagnostics of prostatic adenocarcinoma with various variants of neuroendocrine cancer, especially with adenocarcinoma with foci of neuroendocrine differentiation. The complexity of management of patients with NEPC are exacerbated by insufficient coverage of this problem: the existing data on the management of patients suffering from various variants of NEPC are limited by descriptions of clinical cases, literature reviews and few phases I–II clinical studies. All this makes it necessary to thoroughly study and describe each case of NEPC.
全文:
Введение
Проблема нейроэндокринного рака предстательной железы (НЭРПЖ) является малоизученной. Существующие данные о ведении пациентов, страдающих различными вариантами НЭРПЖ, ограничены описаниями клинических случаев, литературных обзоров и немногочисленными клиническими исследованиями I–II фазы. Еще в меньшей степени данный вопрос освещен в русскоязычной научной литературе.
Актуальность данной проблемы объясняется следующим:
- Рак предстательной железы (РПЖ) способен утрачивать чувствительность к стандартной применяемой при РПЖ андрогендепривационной терапии (АДТ), приобретая при этом фенотипические черты нейроэндокринного рака. В мировой литературе это явление имеет название «терапевтически обусловленный нейроэндокринный РПЖ» (t-NEPC) [2, 4, 5], когда резистентность к АДТ при РПЖ приобретается путем постепенного приобретения злокачественной опухолью предстательной железы (ПЖ) элементов нейроэндокринной дифференцировки. В русскоязычной литературе данные о молекулярном механизме данного процесса, клиническом проявлении t-NEPC являются недостаточно освещенными.
- Различия биологического поведения аденокарциномы ПЖ (АПЖ) и различных вариантов НЭРПЖ: молекулярных событий, паттернов метастазирования, темпов клинического и радиологического прогрессирования заболевания. Это порождает различие чувствительности данных вариантов злокачественных новообразований к различным режимам химиотерапии и необходимость более дифференцированного подхода при определении тактики лекарственного лечения таких пациентов [2].
- Неблагоприятный прогноз: большинство больных с различными вариантами НЭРПЖ, как правило, умирают в течение 2 лет после постановки данного диагноза, несмотря на проводимое лечение [1–3]. Это свидетельствует о неудовлетворительных результатах лечения таких больных и необходимости поиска новых терапевтических опций.
Цель исследования – отразить особенности классификации, биологического поведения и клинического течения НЭРПЖ, существующие на сегодняшний день терапевтические возможности в отношении пациентов с этим заболеванием и продемонстрировать клинический случай успешного ведения пациента с метастатическим НЭРПЖ на базе химиотерапевтического отделения ФГБУ «НМИЦ онкологии им. Н.Н. Петрова».
Методом работы стал всесторонний анализ существующих на сегодняшний день данных, посвященных проблеме НЭРПЖ. При поиске соответствующих материалов мы пользовались базами данных Web of Science, MedLine, EMBASE, а также немногочисленными русскоязычными материалами, зарегистрированными в базах данных РИНЦ и Cyber Leninka.
Литературный обзор
Подходы к классификации НЭРПЖ. В отношении взглядов на классификацию НЭРПЖ в мире наблюдается некоторая гетерогенность. В 2013 г. на заседании Prostate Cancer Foundation (PCF) [2] доработана существующая на тот момент классификация НЭРПЖ [6–8]:
- АПЖ с фокусами/очагами нейроэндокринной дифференцировки;
- АПЖ с нейроэндокринной дифференцировкой и присутствием клеток Панета;
- карциноидная опухоль;
- мелкоклеточная нейроэндокринная карцинома;
- крупноклеточная нейроэндокринная карцинома;
- смешанный вариант нейроэндокринной карциномы/ацинарная аденокарцинома.
В 2015 г. Всемирная организация здравоохранения сузила эту классификацию до 4 вариантов [8, 9]:
- АПЖ с фокусами/очагами нейроэндокринной дифференцировки;
- высокодифференцированная нейроэндокринная опухоль;
- мелкоклеточная карцинома ПЖ;
- крупноклеточный НЭРПЖ.
Перечисленные подтипы нейроэндокринных опухолей обладают своими уникальными морфологическими чертами и некоторыми различиями клинического течения. Между тем в их происхождении и биологии есть много общего.
Молекулярные и генетические аспекты патогенеза различных вариантов НЭРПЖ. Как и нейроэндокринные опухоли иных локализаций, источником данных новообразований в ПЖ считаются клетки диффузной нейроэндокринной системы (APUD-системы). Нейроэндокринные клетки являются нормальным компонентом ткани ПЖ [10] с тенденцией к наибольшему скоплению в области крупных протоков [5, 11]. Их функция сводится к паракринной регуляции деятельности отдельных элементов тканей ПЖ [9], но более точно судить об их роли в ПЖ пока не представляется возможным. Гораздо больше известно о молекулярно-генетических особенностях формирования нейроэндокринных образований ПЖ, их патогенетическом, предиктивном и прогностическом значениях.
- AR-экспрессия. В ряде исследований [7, 12, 13] продемонстрировано, что НЭРПЖ в сравнении с АПЖ характеризуется более низкой экспрессией андрогеновых рецепторов. Относительные значения такой экспрессии характеризуются показателями 12,8% против 61,2% (p<0,001) соответственно [7]. Данные изменения являются предиктивным маркером, свидетельствующим о неэффективности АДТ в большинстве случаев НЭРПЖ. Особенно это важно в контексте имеющихся данных об обратной корреляции экспрессии AR и выраженности нейроэндокринной дифференцировки [12].
- t-NEPC как причина кастрат-резистентного РПЖ. На фоне проводимой АДТ в сочетании или без антиандрогенных препаратов (в частности, абиратерона) АПЖ способна (в 10,5–17% случаях [13, 14]) претерпевать фенотипические изменения, заключающиеся в нейроэндокринной трансдифференцировке [4, 12]. В мировой литературе это явление имеет названия «вызванный терапией НЭРПЖ» (t-NEPC), «нейроэндокринная трансдифференцировка». Это явление рассматривается большинством исследователей как один из наиболее значимых механизмов устойчивости и адаптации АПЖ к проводимой АДТ.
Кроме того, у пациентов с фенотипом мелкоклеточного рака (МКР), возникшего на фоне АДТ, прогноз хуже в сравнении с группой МКР, возникшего de novo [14]: продемонстрировано различие в общей выживаемости (ОВ) у таких пациентов (рис. 1).
Рис. 1. ОВ пациентов с мелкоклеточным НЭРПЖ [14].
- AURKA-опосредованная нейроэндокринная трансдифференцировка. Нейроэндокринная трансдифференцировка как один из путей формирования кастрат-резистентного варианта РПЖ – КРРПЖ (по сути, НЭРПЖ), имеет важное патогенетическое значение у пациентов, получающих АДТ в течение длительного времени [5].
Одним из ключевых молекулярных инструментов данного процесса является МАРК-активируемая AURORA – киназа A (AURKA) [16].
AURKA участвует в формировании митотического веретена, разделении центросом и осуществлении перехода G2-M во время клеточного цикла. Также она обладает протоонкогенным потенциалом [15] в силу нескольких причин:
- активация экспрессии белков SOX2 и SMAD5 (рис. 2) с последующей реализацией программы эпителиально-мезенхимального перехода – важного молекулярного механизма, приводящего к опухолевой прогрессии, лекарственной устойчивости и метастазированию опухолевых клеток [16];
- стабилизация и поддержание активности онкогена N-myc. AURKA предотвращает деградацию N-myc, тем самым поддерживая его протоонкогенный эффект – экспрессию циклинов и циклинзависимых киназ, осуществляющих продвижение клетки по клеточному циклу (рис. 3).
Рис. 2. Схематическая иллюстрация протоонкогенного эффекта AURKA – серин/треониновой киназы, одним из аспектов которого является реализация программы эпителиально-мезенхимального перехода [16].
Рис. 3. Иллюстрация протоонкогенной роли AURKA, выражающейся в стабилизации протоонкогена N-myc, который в свою очередь выступает как транскрипционный фактор экспрессии генов CDK2, CDK4, CCND1 и CCNE1, обусловливающий прохождение клетки по клеточному циклу [17].
Выраженная экспрессия (в том числе в результате амплификации генов) протоонкогенов AURKA и N-myc обнаружена в нейроэндокринных карциномах ПЖ (в особенности в мелкоклеточном варианте), в то время как в аденокарциноме и нормальных простатических клетках экспрессии данных протоонкогенов не обнаружено [13, 17].
Таким образом, именно эпителиально-мезенхимальный переход, «катализируемый» AURKA в нейроэндокринном раке, является одним из ведущих механизмов метастазирования опухоли, что и объясняет агрессивное течение опухолевого заболевания при нейроэндокринном фенотипе. Однако это не единственные молекулярные механизмы, имеющие важное значение в образовании НЭРПЖ.
- Утрата Rb1 и p53. Наиболее значимой в прогностическом отношении для пациентов с НЭРПЖ и ключевой в патогенетическом отношении сегодня считается утрата клетками карциномы ПЖ белка Rb1 [15].
При нейроэндокринном раке простаты и кастрат-резистентной аденокарциноме частота альтерации функции Rb1 прослеживается в 76,6 и 48,5% (p<0,002) соответственно [25]. Существует корреляция альтерации гена Rb1 с неблагоприятным прогнозом: пациенты с альтерацией гена pRb имели более короткий период времени до прогрессирования заболевания на фоне АДТ и сравнительно низкую выживаемость (рис. 4) [12].
Альтерация функции белка р53 в отсутствие утраты Rb1 не несет столь выраженного отрицательного прогностического значения по сравнению с утратой Rb1. Встречаемость альтерации р53 в НЭРПЖ и при гормонорезистентной АПЖ составляет 68,1 и 50,5% соответственно [13, 25]. Однако совместная альтерация Rb1 и p53 является чрезвычайно неблагоприятным прогностическим маркером и наиболее часто прослеживается именно в НЭРПЖ [12, 13] (см. рис. 4).
Рис. 4. ОВ в зависимости от характера молекулярно-генетических нарушений при НЭРПЖ. Сочетанная альтерация Rb1 и TP53 отражена как наиболее неблагоприятная в прогностическом отношении [12].
Особенности биологического поведения и клинического течения НЭРПЖ
Ключевыми особенностями этой группы являются [18–25]:
- тенденция к особенному метастатическому поведению: по сравнению с аденокарциномой прослеживается более высокая частота висцеральных метастазов (65%) [25], литическое поражение костей (72%) [25];
- метастатическое поражение лимфатических узлов в 47% случаев [25];
- образование крупных (5 см и более) метастатических конгломератов в лимфатических узлах [24];
- низкий уровень простат-специфического антигена – ПСА (≤10 нг/мл) при очевидном прогрессировании опухолевого процесса;
- короткий (до 6 мес) временной интервал до формирования КРРПЖ;
- экспрессия нейроэндокринных маркеров, которые можно обнаружить в сыворотке плазмы крови: нейронспецифическая енолаза (HCE), серотонин, хромогранин А (ХГА) без или в сочетании с иными биохимическими отклонениями (повышение уровня лактатдегидрогеназы плазмы крови выше 2 верхних границ нормы, гиперкальциемия [18], раково-эмбрионального антигена выше 2 верхних границ нормы).
Во многих опубликованных обзорах и описаниях клинических случаев бросается в глаза тенденция формирования НЭРПЖ у пациентов старшей возрастной группы. Наиболее частые описания возникновения подобных новообразований относятся к возрастной группе 59–72 года [25].
Отдельного внимания заслуживают имеющиеся на сегодняшний день данные об исходах для различных групп пациентов, имеющих тот или иной вариант злокачественных новообразований ПЖ. Наихудшие результаты наблюдаются среди пациентов с мелкоклеточным фенотипом нейроэндокринной карциномы. Даже при условии получения лекарственной противоопухолевой терапии отдаленные результаты у данной группы скромны: медиана ОВ при условии получения платиносодержащей терапии составляет 16 мес [24], по ретроспективным данным – 11–12 мес [25]. Несколько выше ОВ при смешанных вариантах РПЖ [25] (рис. 5).
Рис. 5. ОВ пациентов с различными вариантами НЭРПЖ [25].
Подходы к лечению
Поскольку современные знания об оптимальном лечении НЭПРЖ являются неполными, руководящие принципы большинства медицинских обществ не дают конкретных рекомендаций по лечению этой подгруппы больных. Наилучший режим лечения пациентов, у которых РПЖ имеет фенотип нейроэндокринной дифференцировки, но не является чистым МКР (например, как агрессивный вариант РПЖ), пока не установлен. Какие существуют лекарственные режимы для таких пациентов? Существующие на сегодняшний день исследования представлены в табл. 1 [43].
Таблица 1. Наиболее крупные исследования, проведенные в отношении лекарственной терапии при НЭРПЖ на 2020 г. [43] Table 1. The largest studies concerning the drug therapy in case of NEPCs in 2020 [43] | ||||||
Исследование/авторы | С. Papandreou и соавт. | Y. Loriot и соавт. | GETUG-P01 | S. Culine и соавт. | А. Aparicio и соавт. | Р. Corn и соавт. |
Дизайн | II фаза, однорукавное исследование | II фаза, однорукавное исследование | II фаза, однорукавное исследование | II фаза, однорукавное исследование | II фаза, однорукавное исследование | II фаза, рандомизированное |
Схема лечения | Этопозид + цисплатин + доксорубицин | Этопозид + карбоплатин | Этопозид + карбоплатин | Цисплатин + доцетаксел | Карбоплатин + доцетаксел (с переходом на ЕР при прогрессировании) | Карбоплатин + кабазитаксел vs кабазитаксел |
Вариант опухоли | Мелкоклеточный РПЖ | КРРПЖ после терапии доцетакселом | КРРПЖ с висцеральными метастазами ± рост НСЕ/ХГА | КРРПЖ с ростом HCE/ХГА | Агрессивные варианты РПЖ | Агрессивные варианты РПЖ |
Размер выборки | 38 | 40 | 60 | 41 | 121 | 160 |
Эффект | 36% – ПСА-ответ 61% ЧОО по RECIST 1.1 84% в отношении противоболевого эффекта мБРВ – 5,8 мес мОВ – 10,5 мес | 23% – ПСА-ответ 9% ЧОО по RECIST 1.1 51% в отношении противоболевого эффекта мБРВ – 2,9 мес мОВ – 19 мес | 48% – ПСА-ответ 9% ЧОО по RECIST 1.1 0% в отношении противоболевого эффекта мБРВ – 2,9 мес мОВ – 9,6 мес | 42% – ПСА-ответ 43% ЧОО по RECIST 1.1 45% в отношении противоболевого эффекта мОВ – 9,6 мес | 47% – ПСА-ответ 41% ЧОО по RECIST 1.1 45% в отношении противоболевого эффекта мБРВ – 5,1 мес мОВ – 16 мес | 62% vs 41% – ПСА-ответ 57% vs 21% ЧОО по RECIST 1.1 45% в отношении противоболевого эффекта мБРВ – 7,3 мес vs 4,5 мес мОВ – 18,3 мес vs 17,5 м* |
Частота НЯ 3–4-й степени, % | Нейтропения – 100 ИО – 66 ТП – 66 Тошнота – 34 Анемия – 26 Рвота – 21 | Нейтропения – 38 (2 – ФН) 25 – анемия | Нейтропения – 66 (7 – ФН) ТП – 33 Анемия – 27 | Нейтропения – 91 (17 – ФН) ТП – 14 Анемия – 17 Слабость – 15 | НЯ 3–4-й степени не зарегистрированы в исследовании | Тошнота – 27 Слабость 23 |
НЯ со смертельным исходом | 3 (сепсис) | – | 1 (ФН) | 1 (сепсис) | 1 (сепсис, на фоне 2-й линии лечения) | 1 (ТЭО в группе кабазитаксела) |
*Наибольшее преимущество схемы карбоплатин + кабазитаксел получено у пациентов с НЭРПЖ (объяснения в тексте). Примечание. мБРВ – медиана БРВ, мОВ – медиана ОВ, ИО – инфекционные осложнения, ФН – фебрильная нейтропения, ЕР – цисплатин + этопозид, ТП – тромбоцитопения, ТЭО – тромбоэмболические осложнения. | ||||||
Цисплатин и этопозид. Поскольку комбинация цисплатина с этопозидом (режим ЕР) оказалась эффективной при лечении МКР легкого, этот же режим изучен при малодифференцированных нейроэндокринных опухолях [26–29]. Данный режим является одним из возможных в отношении НЭРПЖ и одним из предлагаемых российскими и зарубежными рекомедациями, несмотря на то, что данные об эффективности при конкретном варианте новообразования ПЖ ограничены.
Цисплатин + этопозид + доксорубицин. В попытке повысить эффективность традиционной схемы цисплатин/этопозид при РПЖ С. Papandreou и соавт. изучена комбинация цисплатин/этопозид и доксорубицин в исследовании II фазы у 38 пациентов (67% – чистый, 33% – смешанный) [23]. В этом исследовании соотношение пользы и риска комбинации из 3 препаратов считалось неблагоприятным, и поэтому добавление доксорубицина к цисплатину/этопозиду не рекомендуется для клинической практики [23, 43].
Карбоплатин + таксаны. У мужчин с метастати- ческим РПЖ таксаны (доцетаксел или кабазитаксел) являются одним из стандартных вариантов лекарственного лечения [31, 32]. Однако достаточно ли его в случае НЭРПЖ? А. Aparicio и соавт. пытались ответить на этот вопрос, для чего изучили комбинацию карбоплатин/доцетаксел вo II фазе исследования на выборке из 120 пациентов. В исследование включались пациенты, страдающие метастатическим КРРПЖ, у которых прослеживался 1 или более признак, характерный для НЭРПЖ [35]. Пациенты получали лекарственное лечение по схеме карбоплатин + доцетаксел, а затем, при прогрессировании, предлагалось продолжение лечения по схеме этопозид/цисплатин в качестве 2-й линии химиотерапии [35]. В среднем проводили 4 цикла карбоплатина/доцетаксела. Объективный ответ – у 34%, и, учитывая изначально запланированную частоту объективного ответа (ЧОО), которая, по мнению исследователей, свидетельствовала бы об эффективности лечения, в 30%, режим доцетаксел + карбоплатин признан эффективным вариантом лечения у пациентов с НЭРПЖ. Медиана беспрогрессивной выживаемости на режиме карбоплатин/доцетаксел составила 5,1 мес, в то время как медиана ОВ – 16 мес.
Карбоплатин + кабазитаксел. Основываясь на этих результатах, Р. Corn и соавт. провели рандомизированное исследование II фазы, где оценивали эффективность кабазитаксела по сравнению с сочетанным режимом кабазитаксел + карбоплатин у пациентов с метастатическим КРРПЖ, стратифицированных по наличию агрессивного варианта рака простаты (около 55% в каждой группе) [36]. Комбинация на основе платины продемонстрировала более высокую эффективность, особенно в подгруппе агрессивного варианта рака простаты. В чем она выражалась? Медиана беспрогрессивной выживаемости была выше в комбинации по сравнению с группой, где применяли только кабазитаксел (7,3 мес против 4,5 мес), причем предварительный анализ подгрупп показал, что комбинация платины благоприятствовала только тем, у кого был именно нейроэндокринный вариант РПЖ (отношение рисков – ОР 0,58; 95% доверительный интервал – ДИ 0,37–0,89). Медиана ОВ была одинаковой в 2 группах (ОР 0,89, 95% ДИ 0,63–1,25, р=0,50), без анализа подгрупп.
Карбоплатин + этопозид. Данный химиотерапевтический режим был многообещающим, однако в исследовании II фазы GETUG-P01 исследователи не смогли достичь заранее выбранной ЧОО (40%). ЧОО составила всего 9%, а сам режим характеризовался выраженной гематологи- ческой токсичностью 3–4-й степени. Медиана ОВ составляла 9,6 мес. В силу низкой ЧОО и выраженной гематологической токсичности режим карбоплатин + этопозид признан исследователями как неподходящий для пациентов с метастатическим НЭРПЖ [43, 44].
Иммунотерапия при НЭРПЖ. Точная распространенность опухолей с высоким уровнем MSI/dMMR у пациентов с НЭРПЖ на сегодняшний день неизвестна, и клиническую значимость назначения PD-L1-ингибиторов для данных пациентов еще только предстоит понять. Что известно сегодня?
R. Aggarwal и соавт. сообщили [37], что наличие соматических мутаций в генах MMR, MLH1, MSH2, MLH3 и MSH6 было почти полностью взаимоисключающим (у 7 из 8 пациентов) с наличием смешанной или чистой мелкоклеточной гистологии в популяции, однако другие исследователи сообщают о противоположных результатах. L. Guedes и соавт. обнаружили относительно высокие показатели потери MSH2 в первичных опухолях с нейроэндокринной дифференцировкой (2/43, 5%), в то время как 3 из 32 пациентов с высоким уровнем MSI/MMR-дефицита (9%) в серии случаев W. Abida и соавт. имели гистологию нейроэндокринной/мелкоклеточной опухоли [12]. На основании этих данных тестирование на MSI/dMMR следует поощрять у пациентов с агрессивным вариантом рака простаты, а пембролизумаб следует предлагать в качестве 2-й или более поздней линии терапии у этих пациентов при наличии MSI или dMMR, поскольку у отдельных пациентов может быть получена клиническая польза от данного варианта лечения [39].
Благоприятные результаты рандомизированного двойного слепого исследования III фазы пациентов с МКР легкого, получавших добавление анти-PD-L1-антитела атезолизумаба к стандартной химиотерапии (карбоплатин/этопозид) [30], являются причиной экстраполяции предположения, что пациенты с нейроэндокринными опухолями также могут извлечь выгоду из ингибирования контрольных точек с химиотерапией на основе платины или без нее, однако данная гипотеза выглядит сомнительной в силу результатов, представленных ранее в GETUG-P01, об отсутствии значимой эффективности режима карбоплатин + этопозид. Возможность назначения комбинированной иммунохимиотерапии у пациентов с НЭРПЖ еще только предстоит выяснить.
В настоящее время известно о ряде исследований, в которых преследуют цель оценить эффективность различных иммунотерапевтических агентов у пациентов с НЭРПЖ (табл. 2).
Таблица 2. Проводимые на 2020 г. исследования, посвященные иммунотерапии при НЭРПЖ [42] Table 2. The studies concerning NEPC immunotherapy in 2020 [42] | |||||||
Номер исследования | Дизайн | Выборка (число пациентов) | Варианты опухоли | Терапия | ПКТ | ВКТ | Статус исследования (на начало 2021 г.) |
NCT03582475 | Фаза Ib | 30 | Местно-распространенный и метастатический МКР уротелия или ПЖ | Пембролизумаб + платиносодержащая химиотерапия | ДОО, ЧОО, ОВ, ВБП | Безопасность | Набор пациентов открыт |
NCT03910669 | Фаза Ib/2 | 40 | Метастатический КРРПЖ с мелкоклеточным фенотипом | Пембролизумаб + талабостата мезилат (ингибитор дипептидил-пептидазы) | ЧОО | ВБП, ОВ, ДОО, безопасность | Набор пациентов открыт |
NCT02834013 | Фаза II, не рандомизированное | 818 | Редкие опухоли, в том числе лечение-ассоциированный МКР ПЖ | Ипилимумаб + ниволумаб vs ниволумаб | ЧОО | ВБП, ОВ, безопасность | Набор пациентов открыт |
NCT03866382 | Фаза II | 186 | Редкие метастатические опухоли мочеполовой системы, в том числе МКР ПЖ | Ипилимумаб + ниволумаб + кабозантиниб | ЧОО | ВБП, ОВ, ДОО, безопасность | Набор пациентов открыт |
NCT03179410 | Фаза II | 18 | Метастатический НЭРПЖ | Авелумаб | ЧОО | ВБП, ОВ, безопасность | Набор пациентов открыт |
NCT03551782 | Фаза I | 98 | Метастатический КРРПЖ, включая лечение-ассоциированный МКР ПЖ | Цетрелимаб + апалутамид | Безопасность и ПСА-ответ | ЦОК-ответ | Набор пациентов открыт |
Примечание. ДОО – длительность объективного ответа, ВБП – выживаемость без прогрессирования, ЦОК – циркулирующие опухолевые клетки, ПКТ – первичная конечная точка, ВКТ – вторичная конечная точка | |||||||
Перспективы
В настоящее время исследуются целевые агенты против путей, которые были вовлечены в нейроэндокринную трансдифференцировку и/или прогрессирование нейроэндокринного рака, и появляются частично многообещающие данные. Ровалпитузумаб – моноклональное антитело, нацеленное на дельта-подобный лиганд 3 (DLL3), белок, также экспрессируемый в нейроэндокринных типах рака простаты [40]. В последние годы ведутся исследования по изучению его эффективности при МКР легкого [41] и других запущенных опухолях, включая рак предстательной железы.
AURORA-киназы являются заманчивой терапевтической мишенью для различных локализаций рака, в том числе НЭРПЖ. На сегодняшний день имеются данные о нескольких проведенных ранее и проводимых в настоящее время исследованиях, посвященных оценке эффективности и безопасности применения ингибиторов AURKA [44].
Однако среди всех исследуемых препаратов еще не существует лекарства, которое могло бы применяться у таких пациентов: препараты пока либо не демонстрируют значимой эффективности, либо характеризуются чрезвычайно неблагоприятным токсическим профилем [44].
Наши возможности в отношении лекарственной терапии пациентов с НЭРПЖ на сегодняшний день ограничены. Однако имеющихся данных может быть достаточно для принятия решения, наиболее благоприятного для пациента с НЭРПЖ. Мы представляем случай пациента с крайне редким вариантом РПЖ: аденокарциномы с нейроэндокринной дифференцировкой.
Клинический случай
Пациент Б., 62 года, обратился в ФГБУ «НМИЦ онкологии им Н.Н. Петрова» с жалобами на учащенное мочеиспускание, отек и умеренную болезненность верхней трети бедра левой нижней конечности, болезненность в области тыла левой стопы. Уровень PSA (за 2 мес до первичного обращения) был 3,32 нг/мл. В связи с имеющимися жалобами назначено дообследование.
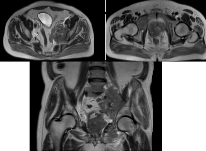
- По данным магнитно-резонансной томографии (МРТ) – новообразование левой доли ПЖ 45×44×36 мм. Слева, вдоль подвздошных сосудов – конгломерат лимфатических узлов, 70×44 мм с муфтообразным окружением подвздошных сосудов.
- По данным компьютерной томографии (КТ) органов грудной клетки: в S10 легкого очаг 9 мм.
- КТ органов брюшной полости – единичные гиподенсные очаги в печени до 7 мм. Забрюшинные лимфоузлы ниже почечной артерии до 13×13 мм, ниже уровня бифуркации аорты – до 30×27 мм.
- Остеосцинтиграфия: гиперфиксация радиофармпрепарата в заднем отрезке VIII ребра справа, ThIV позвонка без костной деструкции, крестце (SII–SIII), лонной кости справа, костях черепа.
- Морфологическая верификация: ацинарная АПЖ с нейроэндокринной дифференцировкой. Оценка по шкале Глисона 8–9 (4+4). Фокальное окрашивание ХГА, выраженное окрашивание опухолевых клеток синаптофизином. Ki – 67–90%.При первичном обращении установлен диагноз: АПЖ с нейроэндокринной дифференцировкой cT4N1M1 (hep, oss).
Начата лекарственная терапия абиратероном 1000 мг в сочетании с преднизолоном 10 мг/сут длительно на фоне АДТ препаратом гозерелин 3,6 мг 1 раз в 28 дней подкожно.
После 2 мес терапии абиратероном отмечалось прогрессирование в виде увеличения размера и количества метастатических очагов в печени, размеров абдоминальных и тазовых лимфатических узлов, появление метастатических очагов в поджелудочной железе, правом надпочечнике, парагастральных лимфатических узлах и развитие гидронефроза 2-й степени слева (рис. 6, 7).
Рис. 6. МРТ через 2 мес от начала лечения. Отмечается увеличение размера конгломерата подвздошных лимфоузлов слева (левый верхний и нижний слайд), экстракапсулярное распространение опухоли ПЖ без вовлечения прямой кишки и мочевого пузыря (правый верхний слайд).
Рис. 7. КТ органов брюшной полости после 2 мес лечения. Отмечается появление опухолевого очага в хвосте поджелудочной железы (левый верхний слайд), поражение парагастральных лимфоузлов (левый нижний слайд), увеличение размеров конгломерата подвздошных лимфоузлов со сдавлением левого мочеточника (правый верхний слайд), формирование гидронефроза слева с расширением чашечно-лоханочной системы (правый нижний слайд).
В рамках обследования также производилась оценка уровня серотонина в крови: 97 нг/мл. ХГА в сыворотке – 153 нг/мл, HCE – 1485 мкг/л. Уровень ПСА не оценивался.
Учитывая клиническое течение данного заболевания (быстрое – до 6 мес – прогрессирование на фоне проведения АДТ, характер метастазирования в виде множественных висцеральных очагов и очагов в нерегионарных лимфатических узлах, высокое содержание нейроэндокринных маркеров в сыворотке крови), начата химиотерапия по схеме DР – доцетаксел 75 мг/м² + карбоплатин AUC 5 [35].
Учитывая наличие осложнения заболевания в виде гидронефроза с постепенным ростом креатинина сыворотки крови, установлена нефростома. Учитывая высокий риск синдрома лизиса опухоли, проводилась лекарственная терапия аллопуринолом по 600 мг/сут.
Пациент получил химиотерапию в объеме 4 циклов, переносимых с рядом ожидаемых, но от этого не менее нежелательных явлений (НЯ). После 1-го цикла химиотерапии по схеме доцетаксел + карбоплатин отмечалось появление диареи 2-й, нейтропении 3-й степени, лейкопении 3-й степени, повышение АСТ 3-й степени, в связи с чем редуцирована доза доцетаксела на 25% при последующих введениях. После 2-го цикла химиотерапии по схеме доцетаксел + карбоплатин отмечалась анемия 2-й степени, сохранявшаяся в течение последующих 2 циклов лечения.
После 4-го цикла проведено контрольное обследование:
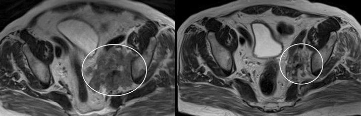
- по данным МРТ малого таза отмечается частичный регресс поражения ПЖ;
- отмечается уменьшение размеров пораженных лимфатических узлов общей подвздошной группы до 25×18×30 мм (ранее – 70×117×63 мм), с вовлечением сосудов, однако без гемодинамически значимого сдавления;
- сохраняется поражение костных структур с выраженным регрессом мягкотканых компонентов (сохраняется вдоль левой лонной кости до 30×21 мм, ранее – 65×48 мм).
На рис. 9 отражены наиболее наглядные и клинически значимые изменения опухолевого процесса.
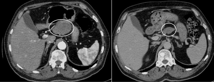
Рис. 8. Динамика опухолевого процесса в парагастральных лимфатических узлах.
Чашечно-лоханочная система обеих почек не расширена. Единичные простые кисты в почках до 6 мм. Уменьшились абдоминальные лимфоузлы: парааортальный – до 16 мм в диаметре (ранее 31×25 мм). Уменьшение размеров конгломерата парагастральных лимфоузлов вдоль малой кривизны желудка до 41×21 мм (срез 321, ранее 53×52 мм), который инфильтрует паренхиму поджелудочной железы и подрастает к общей печеночной и селезеночной артериям, селезеночной вене (рис. 8). Уменьшились внеорганные узлы в клетчатке апоневроза, желудочно-ободочной связке, паранефральной клетчатке слева – 8 мм (срез 421, ранее 22 мм).
Рис. 9. Отмечается выраженное уменьшение в размерах опухолево-измененных подвздошных лимфоузлов.
Последующие 4 цикла полихимиотерапии пациент перенес с явлениями тошноты, астении и анемии 2-й степени, а также эпизодом нейтропении 4-й степени после 7-го цикла.
К настоящему моменту проведено 8 циклов лекарственной противоопухолевой терапии 2-й линии по схеме доцетаксел + карбоплатин, эффект химиотерапии расценен как частичный регресс, выразившийся в уменьшении объема опухолевого поражения ПЖ, лимфатических узлов и костей, уменьшении размеров некоторых метастазов в печени, уменьшении размеров абдоминальных лимфоузлов, метастазов в правом надпочечнике, в поджелудочной железе.
Безрецидивная выживаемость (БРВ) пациента составляет уже 9 мес, что на 4 мес больше, чем медиана, полученная в исследовании, продемонстрировавшем эффективность данного режима химиотерапии [35].
Заключение
Главный вывод работы заключается в том, что подход к лечению пациентов с НЭРПЖ должен отличаться от подхода к пациенту с аденокарциномой. Молекулярные особенности НЭРПЖ в виде утраты экспрессии андрогеновых рецепторов являются причиной неэффективности гормонотерапии. Нарушение функции pRb1 белка, экспрессия AURORA-киназы являются пусковыми факторами агрессивного течения НЭРПЖ: тенденции к висцеральному метастазированию, быстрому прогрессированию на фоне АДТ, необходимости проведения полихимиотерапии. Наиболее эффективными режимами химиотерапии для лечения НЭРПЖ являются доцетаксел + карбоплатин и карбоплатин + кабазитаксел [35, 43], однако прогноз для таких пациентов по-прежнему неблагоприятный: медиана ОВ не превышает 1,5–2 лет.
Что касается представленного клинического случая, по результатам консультации патоморфолога и гистологического исследования изначально создавалось впечатление, что данного пациента следует вести по всем стандартам лечения пациентов с метастатической нелеченой аденокарциномой ПЖ, поскольку в нашем случае отмечалось преобладание фенотипа аденокарциномы в опухолевой ткани. Именно поэтому лечение пациента начато с гормонотерапии.
Вопреки преобладанию фенотипа аденокарциномы, опухоль продемонстрировала клиническую картину нейроэндокринного рака [25]: быстрое прогрессирование опухолевого процесса на фоне АДТ, нетипичный для аденокарциномы характер метастазирования, высокая экспрессия нейроэндокринных маркеров в крови и пр. Учитывая столь стремительный характер прогрессирования, единственно возможным вариантом лечения в данном случае была химиотерапия.
Главный вывод данного клинического случая заключается в том, что АПЖ с фокусами нейроэндокринной дифференцировки должна расцениваться как нейроэндокринная карцинома и вестись в соответствии с существующими рекомендациями.
Конфликт интересов. Авторы заявляют об отсутствии конфликта интересов.
Conflict of interests. The authors declare no conflict of interest.
作者简介
Grigoriy Chizh
Petrov National Medicine Research Center of Oncology
编辑信件的主要联系方式.
Email: ya.grisha234@yandex.ru
ORCID iD: 0000-0002-4979-3246
Medical Resident
俄罗斯联邦, Saint PetersburgYuliya Tyutrina
Saint Petersburg State Pediatric Medical University
Email: ya.grisha234@yandex.ru
ORCID iD: 0000-0003-4279-9933
Medical Resident
俄罗斯联邦, Saint PetersburgSvetlana Protsenko
Petrov National Medicine Research Center of Oncology
Email: ya.grisha234@yandex.ru
ORCID iD: 0000-0001-6822-9467
D. Sci. (Med.), Prof.
俄罗斯联邦, Saint PetersburgErnest Dzhelialov
Saint Petersburg State University
Email: ya.grisha234@yandex.ru
ORCID iD: 0000-0002-2571-243X
oncologist
俄罗斯联邦, Saint PetersburgDilorom Latipova
Petrov National Medicine Research Center of Oncology; Saint Petersburg State Pediatric Medical University
Email: ya.grisha234@yandex.ru
ORCID iD: 0000-0002-8906-0370
oncologist
俄罗斯联邦, Saint Petersburg; Saint Petersburg参考
- Abbas F, Civantos F, Benedetto P, et al. Small cell carcinoma of the bladder and prostate. Urology. 1995;46(5):617-30.
- Сивков А.В., Кешишев Н.Г., Ефремов Г.Д., и др. Нейроэндокринная дифференцировка рака предстательной железы, что нового? Экспериментальная и клиническая урология. 2015;3:22-30 [Sivkov AV, Keshishev NG, Efremov GD, et al. Neiroendokrinnaia differentsirovka raka predstatel'noi zhelezy, chto novogo? Eksperimental'naia i klinicheskaia urologiia. 2015;3:22-30 (in Russian)].
- Beltran H, Demichelis F. Therapy considerations in neuroendocrine prostate cancer: what next? Endocr Relat Cancer. 2021;28(8):T67-78. doi: 10.1530/ERC-21-0140
- Deng X, Liu H, Huang J, et al. Ionizing radiation induces prostate cancer neuroendocrine differentiation through interplay of CREB and ATF2: Implications for disease progression. Cancer Res. 2008;68:9663-70. doi: 10.1158/0008-5472.CAN-08-2229
- Patel GK, Chugh N, Tripathi M. Neuroendocrine Differentiation of Prostate Cancer – An Intriguing Example of Tumor Evolution at Play. Cancers (Basel). 2019;11(10):1405.
- Zhang Q, Han Y, Zhang Y, et al. Treatment-Emergent Neuroendocrine Prostate Cancer: A Clinicopathological and Immunohistochemical Analysis of 94 Cases. Front Oncol. 2021;10:571308. doi: 10.3389/fonc.2020.571308
- Epstein JI, Amin MB, Beltran H, et al. Proposed morphologic classification of prostate cancer with neuroendocrine differentiation. Am J Surg Pathol. 2014;38(6):756-67.
- Beltran H, Tomlins S, Aparicio A, et al. Aggressive variants of castration-resistant prostate cancer. Clin Cancer Res. 2014;20(11):2846-50. doi: 10.1158/1078-0432.CCR-13-3309
- Аббасова Д.В. Нейроэндокринные опухоли редких локализаций. Дис. … канд. мед. наук. М., 2020 [Abbasova DV. Neiroendokrinnye opukholi redkikh lokalizatsii. Dis. … kand. med. nauk. Moscow, 2020 (in Russian)].
- Di Sant'Agnese PA. Neuroendocrine cells of the prostate and neuroendocrine differentiation in prostatic carcinoma: a review of morphologic aspects. Urology. 1998;51(5A Suppl.):121-4. doi: 10.1016/s0090-4295(98)00064-8
- Chughtai B, Forde J, Thomas D, et al. Benign prostatic hyperplasia. Nat Rev Dis Primers. 2016;2:16031.
- Abida W, Cyrta J, Heller G, et al. Genomic correlates of clinical outcome in advanced prostate cancer. Proc Natl Acad Sci USA. 2019;116(23):11428-36.
- Beltran H, Rickman DS, Park K, et al. Molecular Characterization of Neuroendocrine Prostate Cancer and Identification of New Drug Targets. Cancer Discov. 2011;1(6): 487-95. doi: 10.1158/2159-8290.CD-11-0130
- Aggarwal R, Huang J, Alumkal JJ, et al. Clinical and Genomic Characterization of Treatment-Emergent Small-Cell Neuroendocrine Prostate Cancer: A Multi-institutional Prospective Study. J Clin Oncol. 2018;36(24):2492-503.
- Zhou H, Kuang J, Zhong L, et al. Tumour amplified kinase STK15/BTAK induces centrosome amplification, aneuploidy and transformation. Nat Genet. 1998;20:189-93.
- D`Assoro AB, Haddad T, Galanis E. Aurora-A Kinase as a Promising Therapeutic Target in Cancer. Front Oncol. 2016;5:295.
- Terry S, Beltran H. The Many Faces of Neuroendocrine Differentiation in Prostate Cancer Progression. Published online 2014 Mar 25. Prepublished online 2014 Mar 3.
- Wu CH, Lan YJ, Wang CH, Wu MS. Hypercalcemia in prostate cancer with positive neuron-specific enolase stain. Ren Fail. 2004;26(3):325-7.
- Hindson DA, Knight LL, Ocker JM. Small-cell carcinoma of prostate. Transient complete remission with chemotherapy. Urology. 1985;26:182-4.
- Bhandari R, Vengaloor TT, Giri S, et al. Small Cell Carcinoma of the Prostate: A Case Report and Review of the Literature. Cureus. 2020;12(2):e7074.
- Furtado P, Lima MV, Nogueira C, et al. Review of small cell carcinomas of the prostate. Prostate Cancer. 2011;2011:543272.
- Amato RJ, Logothetis CJ, Hallinan R, et al. Chemotherapy for small cell carcinoma of prostatic origin. J Urol. 1992;147:935-7.
- Papandreou CN, Daliani DD, Thall PF, et al. Results of a phase II study with doxorubicin, etoposide, and cisplatin in patients with fully characterized small-cell carcinoma of the prostate. J Clin Oncol. 2002;20:3072-80.
- Hager S, Ackermann CJ, Joerger M, et al. Anti-tumour activity of platinum compounds in advanced prostate cancer – a systematic literature review. Ann Oncol. 2016;27(6):975-84. doi: 10.1093/annonc/mdw156
- Conteduca V, Oromendia C, Eng K, et al. Clinical features of neuroendocrine prostate cancer. Eur J Cancer. 2019;121:7-18. doi: 10.1016/j.ejca.2019.08.011
- Krook JE, Jett JR, Little C. A Phase I-II Study of Sequential Infusion VP-16 and Cisplatin Therapy in Advanced Lung Cancer. Am J Clin Oncol. 1989;12:114-7. doi: 10.1097/00000421-198904000-00005
- Moertel CG, Kvols LK, O’Connell MJ, Rubin J. Treatment of neuroendocrine carcinomas with combined etoposide and cisplatin. Evidence of major therapeutic activity in the anaplastic variants of these neoplasms. Cancer. 1991;68:227-32.
- Caubet M, Dobi E, Pozet A, et al. Carboplatin-etoposide combination chemotherapy in metastatic castration-resistant prostate cancer: A retrospective study. Mol Clin Oncol. 2015;6:1208-12. doi: 10.3892/mco.2015.628
- Fjällskog ML, Granberg DP, Welin SL, et al. Treatment with cisplatin and etoposide in patients with neuroendocrine tumors. Cancer. 2001;92:1101-7.
- Horn L, Mansfield AS, Szczęsna A, et al; IMpower133 Study Group. First-Line Atezolizumab plus Chemotherapy in Extensive-Stage Small-Cell Lung Cancer. N Engl J Med. 2018;379:2220-9.
- Petrylak DP, Tangen CM, Hussain MH, et al. Docetaxel and Estramustine Compared with Mitoxantrone and Prednisone for Advanced Refractory Prostate Cancer. N Engl J Med. 2004;351:1513-20.
- Tannock IF, De Wit R, Berry WR, et al. Docetaxel plus Prednisone or Mitoxantrone plus Prednisone for Advanced Prostate Cancer. N Engl J Med. 2004;351:1502-12.
- Smyth J, Smith I, Sessa C, et al. Activity of docetaxel (Taxotere) in small cell lung cancer. The Early Clinical Trials Group of the EORTC. Eur J Cancer. 1994;30:1058-60. doi: 10.1016/0959-8049(94)90455-3.
- Hesketh PJ, Crowley JJ, Burris HA, et al. Evaluation of docetaxel in previously untreated extensive-stage small cell lung cancer: A Southwest Oncology Group phase II trial. Cancer J Sci Am. 1999;5:237-41. PMID: 10439170.
- Aparicio AM, Harzstark AL, Corn PG, et al. Platinum-Based Chemotherapy for Variant Castrate-Resistant Prostate Cancer. Clin Cancer Res. 2013;19:3621-30. doi: 10.1158/1078-0432.CCR-12-3791
- Corn PG, Heath E, Zurita A, et al. Cabazitaxel plus carboplatin for the treatment of men with metastatic castration-resistant prostate cancers: A randomised, open-label, phase 1–2 trial. Lancet Oncol. 2019;20:1432-43.
- Aggarwal R, Huang J, Alumkal JJ, et al. Clinical and Genomic Characterization of Treatment-Emergent Small-Cell Neuroendocrine Prostate Cancer: A Multi-institutional Prospective Study. J Clin Oncol. 2018;36:2492-503.
- Guedes LB, Antonarakis ES, Schweizer MT, et al. MSH2 Loss in Primary Prostate Cancer. Clin Cancer Res. 2017;23(22):6863-74.
- Wagner DG, Gatalica Z, Lynch HT, et al. Neuroendocrine-Type Prostatic Adenocarcinoma with Microsatellite Instability in a Patient With Lynch Syndrome. Int J Surg Pathol. 2010;18:550-3.
- Puca L, Gayvert K, Sailer V, et al. Delta-like protein 3 expression and therapeutic targeting in neuroendocrine prostate cancer. Sci Transl Med. 2019;11:eaav0891.
- Rudin CM, Pietanza MC, Bauer TM, et al. Rovalpituzumab tesirine, a DLL3-targeted antibody-drug conjugate, in recurrent small-cell lung cancer: a first-in-human, first-in-class, open-label, phase 1 study. Lancet Oncol. 2017;18(1):42-51. doi: 10.1016/S1470-2045(16)30565-4
- Spetsieris N, Boukovala M, Patsakis G, et al. Neuroendocrine and Aggressive-Variant Prostate Cancer. Cancers (Basel). 2020;12(12):3792.
- Fléchon A, Pouessel D, Ferlay C, et al. Phase II study of carboplatin and etoposide in patients with anaplastic progressive metastatic castration-resistant prostate cancer (mCRPC) with or without neuroendocrine differentiation: results of the French Genito-Urinary Tumor Group (GETUG) P01 trial. Ann Oncology. 2011;22(11)2476481.
- Walia G, Pienta KJ, Simons JW, Soule HR. The 19th annual Prostate Cancer Foundation scientific retreat. Cancer Res. 2013;73(16):4988-91. doi: 10.1158/0008-5472.CAN-12-4576
- Tang A, Keu Gao K, Chu L, et al. Aurora kinases: novel therapy targets in cancers. Oncotarget. 2017;8(14):23937-54. doi: 10.18632/oncotarget.14893
补充文件












