Опыт лечения первично-рефрактерной лимфомы Ходжкина (клинический случай)
- Авторы: Гущина Е.Е.1, Вернюк М.А.1, Червонцева А.М.1, Черкашина И.В.1, Хайруллина Л.С.1, Лунин В.В.1, Феденко А.А.1
-
Учреждения:
- Московский научно-исследовательский онкологический институт им. П.А. Герцена – филиал ФГБУ «Национальный медицинский исследовательский центр радиологии» Минздрава России
- Выпуск: Том 24, № 2 (2022)
- Страницы: 254-258
- Раздел: КЛИНИЧЕСКАЯ ОНКОЛОГИЯ
- Статья получена: 14.07.2022
- Статья одобрена: 14.07.2022
- Статья опубликована: 15.07.2022
- URL: https://modernonco.orscience.ru/1815-1434/article/view/109355
- DOI: https://doi.org/10.26442/18151434.2022.2.201518
- ID: 109355
Цитировать
Полный текст
Аннотация
Несмотря на значительные успехи, достигнутые в последние десятилетия в терапии классической лимфомы Ходжкина, у 10–30% пациентов отмечается рефрактерное течение или рецидив заболевания. Эффективность терапии 2-й и последующих линий составляет около 50%. Настоящим прорывом в лечении рецидивирующих/рефрактерных форм классической лимфомы Ходжкина стало появление таргетных препаратов. Включение новых препаратов в стандартные режимы терапии спасения значительно улучшает их эффективность. Представлен клинический опыт лечения пациента с прогрессированием классической лимфомы Ходжкина после терапии первой линии, применением брентуксимаб ведотина в комбинации с бендамустином в качестве терапии спасения с достижением полной ремиссии, последующим выполнением высокодозной консолидации с трансплантацией аутологичных гемопоэтических стволовых клеток.
Полный текст
Классическая лимфома Ходжкина (кЛХ) является одним из наиболее распространенных вариантов лимфом и относится к потенциально излечимым с применением стандартных программ комбинированной терапии лимфом [1–3]. Традиционно для стратификации групп риска рецидива/прогрессирования используют прогностические критерии Германской группы по изучению лимфомы Ходжкина (GHSG) и Европейской организации по изучению и терапии опухолей (EORTC), с учетом которых выделяют прогностически благоприятную группу пациентов с 5-летней общей выживаемостью (ОВ) до 98% и риском рецидивирования менее 5%, группу промежуточного прогноза с ОВ до 94% и риском рецидивирования 10–15% и группу неблагоприятного прогноза с ОВ 80–87% и риском рецидивирования 15–30% [1, 4–8]. Однако с введением промежуточной оценки эффективности терапии методом позитронно-эмиссионной томографии, совмещенной с компьютерной томографией (ПЭТ-КТ), классические прогностические факторы практически утратили свою значимость (за исключением экстранодального поражения) [2, 4]. В проспективном исследовании М. Hutchings и соавт. было показано, что уровень метаболической активности резидуальной опухолевой массы при ранней промежуточной ПЭТ-2 после 2 курсов химиотерапии (ХТ) является значимым предиктором рецидива/прогрессирования у конкретного пациента независимо от имеющихся общепринятых прогностических факторов [2].
Однако несмотря на значительные успехи в последние десятилетия в лечении кЛХ, связанные с применением риск- адаптированной терапии со снижением токсичности, рефрактерное течение или рецидив заболевания развивается у 10–30% пациентов [1, 4, 9, 10]. С применением стандартной ХТ 2-й линии с последующей высокодозной ХТ с трансплантацией аутологичных гемопоэтических стволовых клеток (ВДХТ с аутоТГСК) возможно достижение ремиссии у примерно половины пациентов данной когорты. Установлена зависимость между продолжительностью противоопухолевого ответа после индукционного лечения и эффективностью терапии спасения. Наихудший прогноз, в частности, имеет первично-рефрактерное заболевание, при раннем рецидиве прогноз менее благоприятный, чем при позднем [2, 11]. Вопрос выбора режима терапии спасения остается открытым. Проводятся попытки сравнительного анализа эффективности различных программ ХТ 2-й линии, однако нет единого мнения о превосходстве тех или иных схем [10, 12–17]. В мультицентровом ретроспективном исследовании R. Shotton и соавт. не было выявлено преимуществ какой-либо программы среди изученных (ESHAP, GDP/GEM-P, IGEV, IVE – см. табл. 1) [11]. По данным обобщенного метаанализа, проведенного L. Castagna и соавт., частота достижения полных ремиссий при использовании стандартных схем ХТ колебалась от 17 до 73%. Значительная вариабельность результатов может быть обусловлена не только отличиями в эффективности схем ХТ, но и разной чувствительностью методов контроля. Так, более высокий показатель эффективности схемы BeGEV (бендамустин, гемцитабин, винорелбин) может быть связан с внедрением метода ПЭТ-КТ с оценкой не только размеров резидуальной опухоли, но и ее метаболической активности (см. табл. 1) [4, 5, 14, 15].
Таблица 1. Эффективность стандартных схем терапии спасения Table 1. Efficacy of standard salvage therapy regimens | ||||
Схемы ХТ | Автор, год, исследование | Число пациентов, n | Частота общего ответа, % | Полная ремиссия, % |
ICE | С. Moskowitz и соавт., 2001 [13] | 65 | 88 | 26 |
DHAP | A. Josting и соавт., 2010 [5] | 279 | 70 | 24 |
ESHAP | J. Labrador и соавт., 2014 [18] | 82 | 67 | 50 |
GDP | T. Baetz и соавт., 2003 [19] | 23 | 69 | 17 |
GVD | N. Bartlett и соавт., 2007 [14] | 91 | 70 | 19 |
IGEV | A. Santoro и соавт., 2007 [15] | 91 | 81 | 53 |
BeGEV* | A. Santoro и соавт., 2020 [20] | 59 | 83 | 73 |
Примечание. *Оценка эффекта методом ПЭТ-КТ. Здесь и далее в табл. 2: ICE – ифосфамид, карбоплатин, этопозид; DHAP – дексаметазон, цитарабин, цисплатин; ESHAP – этопозид, цитарабин, цисплатин, метилпреднизолон; GDP – гемцитабин, дексаметазон, цисплатин; GVD – гемцитабин, винорелбин, пегилированный липосомальный доксорубицин; IGEV – ифосфамид, гемцитабин, винорелбин; BeGEV – бендамустин, гемцитабин, винорелбин. | ||||
ВДХТ с аутоТГСК – хорошо зарекомендовавший себя стандарт лечения пациентов с химиочувствительной рецидивирующей/рефрактерной кЛХ, признанный как зарубежным, так и отечественным гематологическими сообществами. Показано, что вероятность достижения длительной ремиссии зависит от полноты противоопухолевого ответа перед выполнением ВДХТ с аутоТГСК [10, 12–14]. Так, исследование С. Moskowitz и соавт. показало, что пациенты с ПЭТ-негативным статусом на момент выполнения ВДХТ с аутоТГСК достигают бессобытийной выживаемости более 80% по сравнению с 29% у ПЭТ-положительных пациентов [17]. Изучается ряд новых стратегий для улучшения результатов ВДХТ и уменьшения токсичности лечения, таких как добавление таргетных препаратов к терапии спасения и применение их в качестве консолидирующей терапии после ВДХТ с аутоТГСК [21].
Настоящим прорывом в лечении рецидивирующих/рефрактерных форм кЛХ стало внедрение таргетных препаратов, таких как конъюгат моноклонального антитела и противоопухолевого агента монометилауристатина Е – брентуксимаб ведотин (Bv), ингибиторов контрольных точек – ниволумаба и пембролизумаба, а также других новых агентов как в монотерапии, так и в комбинациях с другими схемами (табл. 2). По данным А. Mina и соавт. и ряда других исследований, добавление новых препаратов к стандартным программам ХТ значительно улучшает эффективность терапии спасения. Наряду с многообещающими результатами при оценке эффективности данные комбинации обладают более благоприятным профилем токсичности, что позволяет рассматривать их в перспективе в качестве терапии спасения и включения в программы лечения на более ранних этапах [1, 4, 34, 35]. Национальной всеобщей онкологической сетью США (NCCN) в качестве терапии 2-й линии, кроме традиционных режимов, рекомендованы следующие схемы: Bv в монорежиме или в комбинации с бендамустином (BvB) или ниволумабом, пембролизумаб в монорежиме (у больных – не кандидатов на аутоТГСК) или в комбинации с GVD (гемцитабин, винорелбин, пегилированный липосомальный доксорубицин); а в 3-й и последующих линиях – ниволумаб и пембролизумаб (с осторожностью в случае планируемой аллогенной ТГСК в связи с риском развития реакции «трансплантат против хозяина» и других иммунных осложнений).
Таблица 2. Показатели эффективности брентуксимаб ведотина, ниволумаба, пембролизумаба, а также других новых агентов в монотерапии и в комбинациях с другими схемами Table 2. Efficacy rates of brentuximab vedotin, nivolumab, pembrolizumab, and other new agents alone and in combination with other regimens | ||||
Схемы ХТ | Автор, год, исследование | Число пациентов, n | Частота общего ответа, % | Полная ремиссия |
Bv | R. Chen и соавт., 2015 [22] | 37 | 68 | 35 |
Bv+augICE 7 | A. Moskowitz и соавт., 2015 [23] | 46 | – | 76 |
Bv+бендамустин (BvB) | A. LaCasce и соавт., 2020 [24] | 55 | 92 | 73 |
Bv+ESHAP | R. Garcia-Sanz и соавт., 2019 [25] | 66 | 91 | 70 |
Bv+IGEV | K. Abuelgasim и соавт., 2019 [26] | 28 | 96 | 71 |
Ниволумаб | P. Armand и соавт., 2018 [27] | 243 | 69 | 16 |
Bv+ниволумаб | A. Herrera и соавт., 2018 [28] | 62 | 82 | 61 |
Пембролизумаб | R. Chen и соавт., 2017 [29] | 210 | 69 | 22 |
Пембролизумаб + GVD | A. Moskowitz и соавт., 2021 [30] | 39 | 100 | 95 |
Эверолимус | P. Johnston и соавт., 2018 [31] | 57 | 45 | 8,8 |
Эверолимус + панобиностат | Y. Oki и соавт., 2013 [32] | 30 | 43 | 15 |
PI3K-ингибитор + JAK1-ингибитор | T. Phillips и соавт., 2018 [33] | 39 | 67 | – |
Клиническое наблюдение
В июле 2017 г. в клинику МНИОИ им. П.А. Герцена – филиал ФГБУ «НМИЦ радиологии» обратился пациент 28 лет с жалобами на фебрильную лихорадку до 39°С, прогрессирующее снижение массы тела на 10 кг, увеличение надключичных лимфоузлов и ночную потливость. За полгода до обращения появились интенсивные боли в пояснично- крестцовом отделе позвоночника. Пациент наблюдался у невролога и уролога, проводилась антибактериальная и симптоматическая терапия. В июне 2017 г. было выполнено комплексное обследование, при котором выявлена генерализованная лимфаденопатия. Выполнена биопсия надключичного лимфоузла, при морфологическом и иммуногистохимическом исследовании установлен диагноз лимфомы Ходжкина, нодулярный склероз 1-го типа [крупные одно- и многоядерные клетки CD45 негативны, в них выявляется положительная реакция с CD15, CD30 (мембранное, цитоплазматическое и пятнистое в зоне аппарата Гольджи окрашивание), РАХ5 (слабая ядерная реакция)]; CD20-, CD3-, EBV-негативные. Основная масса мелких лимфоидных клеток CD3 положительна, в умеренном количестве сохранены CD20-положительные В-лимфоидные клетки. На ПЭТ-КТ перед началом лечения выявлены генерализованная лимфаденопатия по обе стороны диафрагмы (SUVmax до 13), вовлечение селезенки и множественные очаги повышенного накопления радиофармпрепарата в костях без структурных изменений по КТ (рис. 1). С учетом распространенной стадии заболевания больной отнесен к группе неблагоприятного прогноза.
Рис. 1. ПЭТ-КТ в дебюте заболевания (поражение правых надключичных, множественных внутригрудных, забрюшинных, подвздошных, паховых лимфоузлов, селезенки, проксимальных диафизов плечевых костей, левой боковой массы крестца, крыла правой подвздошной, нижней ветви левой лонной кости, шеек бедренных костей).
С июля по октябрь 2017 г. пациенту было проведено 6 циклов ХТ по программе ВЕАСОРР-14. Частичная ремиссия по данным КТ была достигнута после 2 циклов (ПЭТ-КТ не выполнялась по техническим причинам). На ПЭТ-КТ после 6 циклов определялась резидуальная активность в паратрахеальных лимфоузлах SUVmax до 3,4 (рис. 2). В ноябре – декабре 2017 г. в рамках комбинированного лечения была проведена лучевая терапия на средостение и правую надключичную область.
Рис. 2. ПЭТ-КТ после индукционной ХТ (резидуальная активность в паратрахеальных лимфоузлах).
При плановом контроле ПЭТ-КТ через 3 мес после окончания лучевой терапии была выявлена прогрессия заболевания в виде множественного поражения лимфоузлов с максимальным накоплением SUVmax до 11, многоочаговым поражением ткани легких, костей и диффузным поражением селезенки (рис. 3). Клинических симптомов не отмечалось. Прогрессирование заболевания было подтверждено морфологически по данным биопсии шейного лимфоузла.
Рис. 3. Прогрессирование заболевания по результатам ПЭТ-КТ (поражение левых шейных, единичных внутригрудных, единичных забрюшинных лимфоузлов, множественные очаги в легких и селезенке, в ости правой лопатки, в позвонках (ThIV, ThX–ThXII, LII, LIII, LV), в VI и VIII ребрах справа, костях таза, в проксимальном диафизе левой бедренной кости).
В качестве терапии спасения с июня по ноябрь 2018 г. пациенту проведено 6 циклов Bv в комбинации с бендамустином (BvB). После 3 циклов был достигнут полный метаболический ответ (1 балл по шкале Deauville). Переносимость терапии была относительно удовлетворительной, отмечалась лейкопения 2-й степени без инфекционных осложнений. После 4-го цикла выполнены мобилизация циклофосфамидом и заготовка периферических гемопоэтических стволовых клеток (5,3×106 CD34+ клеток/кг массы тела). При ПЭТ-контроле в ноябре 2018 г. (после 6 циклов BvB) сохранялась полная ремиссия. Далее выполнена ВДХТ по программе СЕАМ с последующей аутоТГСК с восстановлением количества лейкоцитов до 1,0×109/л на +15-й день и тромбоцитов более 25×109/л на +12-й день.
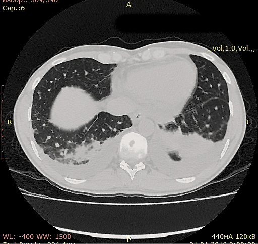
В связи с высоким риском рецидива после выполнения ВДХТ с аутоТГСК планировалось продолжить консолидирующую терапию Bv в монорежиме до 16 введений. В декабре 2018 г. проведено первое введение Bv. Накануне следующего введения отмечен подъем температуры до 38,5°С без озноба и катаральных явлений. На КТ органов грудной клетки выявлены очагово-инфильтративные изменения в средней и нижней долях обоих легких, двусторонний гидроторакс (рис. 4).
Рис. 4. КТ органов грудной клетки (очагово-инфильтративные изменения в средней и нижней долях обоих легких, жидкость в плевральных полостях).
Стартовая эмпирическая антибиотическая терапия – без эффекта. Был выполнен бронхоальвеолярный лаваж. При исследовании бронхоальвеолярного смыва выявлена ДНК вирусов Эпштейна–Барр и простого герпеса 1, 2-го типов, получен рост Burkholderia cepacia и Enterococcus faecalis. Кроме этого, были обнаружены серологические маркеры инвазивного кандидоза (повышенный уровень маннана и антиманнановых антител). Проводилась антибактериальная, противовирусная и противогрибковая терапия с неоднократной коррекцией комбинаций препаратов. Инфекционное осложнение было купировано. От продолжения дальнейшей терапии Bv решено было воздержаться.
С декабря 2018 г. пациент находится под динамическим наблюдением. По данным контрольного обследования спустя 38 мес после аутоТГСК сохраняется полная ремиссия заболевания.
Заключение
Добавление новых таргетных препаратов к стандартным программам терапии спасения значительно повышает ее эффективность. Включение Bv в комбинации с бендамустином уже во 2-ю линию терапии ведет к преодолению первичной резистентности заболевания, делает возможным выполнение высокодозной консолидации и, соответственно, сохранение длительного противоопухолевого эффекта. Целесообразно дальнейшее внедрение более раннего применения новых препаратов в терапию рецидивов и рефрактерных форм кЛХ.
Информированное согласие на публикацию. Пациент подписал форму добровольного информированного согласия на публикацию медицинской информации.
Consent for publication. Written consent was obtained from the patient for publication of relevant medical information and all of accompanying images within the manuscript.
Раскрытие интересов. Авторы декларируют отсутствие явных и потенциальных конфликтов интересов, связанных с публикацией настоящей статьи.
Disclosure of interest. The authors declare that they have no competing interests.
Вклад авторов. Авторы декларируют соответствие своего авторства международным критериям ICMJE. Все авторы в равной степени участвовали в подготовке публикации: разработка концепции статьи, получение и анализ фактических данных, написание и редактирование текста статьи, проверка и утверждение текста статьи.
Authors’ contribution. The authors declare the compliance of their authorship according to the international ICMJE criteria. All authors made a substantial contribution to the conception of the work, acquisition, analysis, interpretation of data for the work, drafting and revising the work, final approval of the version to be published and agree to be accountable for all aspects of the work.
Источник финансирования. Авторы декларируют отсутствие внешнего финансирования для проведения исследования и публикации статьи.
Funding source. The author declares that there is no external funding for the exploration and analysis work.
Об авторах
Елизавета Евгеньевна Гущина
Московский научно-исследовательский онкологический институт им. П.А. Герцена – филиал ФГБУ «Национальный медицинский исследовательский центр радиологии» Минздрава России
Автор, ответственный за переписку.
Email: vdht.mnioi@yandex.ru
ORCID iD: 0000-0002-5625-3635
врач-гематолог отд-ния высокодозной химиотерапии с блоком трансплантации костного мозга
Россия, МоскваМария Андреевна Вернюк
Московский научно-исследовательский онкологический институт им. П.А. Герцена – филиал ФГБУ «Национальный медицинский исследовательский центр радиологии» Минздрава России
Email: vdht.mnioi@yandex.ru
ORCID iD: 0000-0003-1497-2436
канд. мед. наук, зав. отд-нием высокодозной химиотерапии с блоком трансплантации костного мозга
Россия, МоскваАлевтина Михайловна Червонцева
Московский научно-исследовательский онкологический институт им. П.А. Герцена – филиал ФГБУ «Национальный медицинский исследовательский центр радиологии» Минздрава России
Email: vdht.mnioi@yandex.ru
ORCID iD: 0000-0002-8498-6289
канд. мед. наук, науч. сотр. отд-ния высокодозной химиотерапии с блоком трансплантации костного мозга
Россия, МоскваИрина Васильевна Черкашина
Московский научно-исследовательский онкологический институт им. П.А. Герцена – филиал ФГБУ «Национальный медицинский исследовательский центр радиологии» Минздрава России
Email: vdht.mnioi@yandex.ru
ORCID iD: 0000-0001-7096-4700
врач-гематолог отд-ния высокодозной химиотерапии с блоком трансплантации костного мозга
Россия, МоскваЛилия Сабуровна Хайруллина
Московский научно-исследовательский онкологический институт им. П.А. Герцена – филиал ФГБУ «Национальный медицинский исследовательский центр радиологии» Минздрава России
Email: vdht.mnioi@yandex.ru
ORCID iD: 0000-0001-8520-0711
врач-гематолог отд-ния высокодозной химиотерапии с блоком трансплантации костного мозга
Россия, МоскваВладимир Владимирович Лунин
Московский научно-исследовательский онкологический институт им. П.А. Герцена – филиал ФГБУ «Национальный медицинский исследовательский центр радиологии» Минздрава России
Email: vdht.mnioi@yandex.ru
ORCID iD: 0000-0001-8689-1227
врач гематолог-трансфузиолог отд-ния высокодозной химиотерапии с блоком трансплантации костного мозга
Россия, МоскваАлександр Александрович Феденко
Московский научно-исследовательский онкологический институт им. П.А. Герцена – филиал ФГБУ «Национальный медицинский исследовательский центр радиологии» Минздрава России
Email: vdht.mnioi@yandex.ru
ORCID iD: 0000-0003-4927-5585
д-р мед. наук, рук. отд. лекарственного лечения опухолей
Россия, МоскваСписок литературы
- Brice P, de Kerviler E, Friedberg JW. Classical Hodgkin lymphoma. Lancet. 2021;398(10310):1518-27. doi: 10.1016/S0140-6736(20)32207-8
- Hutchings M, Loft A, Hansen M, et al. FDG-PET after two cycles of chemotherapy predicts treatment failure and progression-free survival in Hodgkin lymphoma. Blood. 2006;107(1):52-9. doi: 10.1182/blood-2005-06-2252
- Mauch PM, Armitage JO, Diehl V, et al. Hodgkin’s Disease. Philadelphia, PA: Lippincott Williams & Wilkins, 1999.
- Castagna L, Santoro A, Carlo-Stella C. Salvage Therapy for Hodgkin’s Lymphoma: A Review of Current Regimens and Outcomes. J Blood Med. 2020;11:389-403. doi: 10.2147/JBM.S250581
- Josting A, Müller H, Borchmann P, et al. Dose Intensity of Chemotherapy in Patients With Relapsed Hodgkin’s Lymphoma. J Clin Oncol. 2010;28(34):5074-80. doi: 10.1200/JCO.2010.30.5771
- Radford J, Illidge T, Counsell N, et al. Results of a Trial of PET-Directed Therapy for Early-Stage Hodgkin’s Lymphoma. N Engl J Med. 2015;372(17):1598-607. doi: 10.1056/NEJMoa1408648
- André MPE, Girinsky T, Federico M, et al. Early Positron Emission Tomography Response – Adapted Treatment in Stage I and II Hodgkin Lymphoma: Final Results of the Randomized EORTC/LYSA/FIL H10 Trial. J Clin Oncol. 2017;35(16):1786-94. doi: 10.1200/JCO.2016.68.6394
- Viviani S, Zinzani PL, Rambaldi A, et al. ABVD versus BEACOPP for Hodgkin’s Lymphoma When High-Dose Salvage Is Planned. N Engl J Med. 2011;365(3):203-12. doi: 10.1056/NEJMoa1100340
- Yung L, Linch D. Hodgkin’s lymphoma. Lancet. 2003;361(9361):943-51. doi: 10.1016/S0140-6736(03)12777-8
- Mina A, Vakkalagadda C, Pro B. Novel Therapies and Approaches to Relapsed/Refractory HL Beyond Chemotherapy. Cancers (Basel). 2019;11(3):421. doi: 10.3390/cancers11030421
- Shotton R, Kirkwood AA, Northend M, et al. Real world outcomes and responses to second-line therapy in relapsed/refractory Hodgkin lymphoma: a multicentre UK study. Hematol Oncol. 2021;39(S2). doi: 10.1002/hon.106_2880
- Josting A, Rudolph C, Mapara M, et al. Cologne high-dose sequential chemotherapy in relapsed and refractory Hodgkin lymphoma: results of a large multicenter study of the German Hodgkin Lymphoma Study Group (GHSG). Ann Oncol. 2005;16(1):116-23. doi: 10.1093/annonc/mdi003
- Moskowitz CH, Nimer SD, Zelenetz AD, et al. A 2-step comprehensive high-dose chemoradiotherapy second-line program for relapsed and refractory Hodgkin disease: analysis by intent to treat and development of a prognostic model. Blood. 2001;97(3):616-23. doi: 10.1182/blood.V97.3.616
- Bartlett NL, Niedzwiecki D, Johnson JL, et al. Gemcitabine, vinorelbine, and pegylated liposomal doxorubicin (GVD), a salvage regimen in relapsed Hodgkin’s lymphoma: CALGB 59804. Ann Oncol. 2007;18(6):1071-9. doi: 10.1093/annonc/mdm090
- Santoro A, Magagnoli M, Spina M, et al. Ifosfamide, gemcitabine, and vinorelbine: a new induction regimen for refractory and relapsed Hodgkin’s lymphoma. Haematologica. 2007;92(1):35-41. doi: 10.3324/haematol.10661
- Kuruvilla J, Nagy T, Pintilie M, et al. Similar response rates and superior early progression-free survival with gemcitabine, dexamethasone, and cisplatin salvage therapy compared with carmustine, etoposide, cytarabine, and melphalan salvage therapy prior to autologous stem cell transplantation. Cancer. 2006;106(2):353-60. doi: 10.1002/cncr.21587
- Moskowitz CH, Matasar MJ, Zelenetz AD, et al. Normalization of pre-ASCT, FDG-PET imaging with second-line, non-cross-resistant, chemotherapy programs improves event-free survival in patients with Hodgkin lymphoma. Blood. 2012;119(7):1665-70. doi: 10.1182/blood-2011-10-388058
- Labrador J, Cabrero-Calvo M, Pérez-López E, et al. ESHAP as salvage therapy for relapsed or refractory Hodgkin’s lymphoma. Ann Hematol. 2014;93(10):1745-53. doi: 10.1007/s00277-014-2114-0
- Baetz T, Belch A, Couban S, et al. Gemcitabine, dexamethasone and cisplatin is an active andnon-toxic chemotherapy regimen in relapsed or refractory Hodgkin’s disease: a phase II study by the National Cancer Institute of Canada Clinical Trials Group. Ann Oncol. 2003;14(12):1762-7. doi: 10.1093/annonc/mdg496
- Santoro A, Mazza R, Pulsoni A, et al. Five-year results of the BEGEV salvage regimen in relapsed/refractory classical Hodgkin lymphoma. Blood Adv. 2020;4(1):136-40. doi: 10.1182/bloodadvances.2019000984
- Sureda A, André M, Borchmann P, et al. Improving outcomes after autologous transplantation in relapsed/refractory Hodgkin lymphoma: a European expert perspective. BMC Cancer. 2020;20(1):1088. doi: 10.1186/s12885-020-07561-2
- Chen R, Palmer JM, Martin P, et al. Results of a Multicenter Phase II Trial of Brentuximab Vedotin as Second-Line Therapy before Autologous Transplantation in Relapsed/Refractory Hodgkin Lymphoma. Biol Blood Marrow Transplant. 2015;21(12):2136-40. doi: 10.1016/j.bbmt.2015.07.018
- Moskowitz AJ, Schöder H, Yahalom J, et al. PET-adapted sequential salvage therapy with brentuximab vedotin followed by augmented ifosamide, carboplatin, and etoposide for patients with relapsed and refractory Hodgkin’s lymphoma: a non-randomised, open-label, single-centre, phase 2 study. Lancet Oncol. 2015;16(3):284-92. doi: 10.1016/S1470-2045(15)70013-6
- LaCasce AS, Bociek RG, Sawas A, et al. Three-year outcomes with brentuximab vedotin plus bendamustine as first salvage therapy in relapsed or refractory Hodgkin lymphoma. Br J Haematol. 2020;189(3). doi: 10.1111/bjh.16499
- Garcia-Sanz R, Sureda A, de la Cruz F, et al. Brentuximab vedotin and ESHAP is highly effective as second-line therapy for Hodgkin lymphoma patients (long-term results of a trial by the Spanish GELTAMO Group). Ann Oncol. 2019;30(4):612-20. doi: 10.1093/annonc/mdz009
- Abuelgasim KA, Alzahrani M, Alsharhan Y, et al. Chemoimmunotherapy with brentuximab vedotin combined with ifosfamide, gemcitabine, and vinorelbine is highly active in relapsed or refractory classical Hodgkin lymphoma. Bone Marrow Transplant. 2019;54(7):1168-72. doi: 10.1038/s41409-019-0454-z
- Armand P, Engert A, Younes A, et al. Nivolumab for Relapsed/Refractory Classic Hodgkin Lymphoma After Failure of Autologous Hematopoietic Cell Transplantation: Extended Follow-Up of the Multicohort Single-Arm Phase II CheckMate 205 Trial. J Clin Oncol. 2018;36(14):1428-39. doi: 10.1200/JCO.2017.76.0793
- Herrera AF, Moskowitz AJ, Bartlett NL, et al. Interim results of brentuximab vedotin in combination with nivolumab in patients with relapsed or refractory Hodgkin lymphoma. Blood. 2018;131(11):1183-94. doi: 10.1182/blood-2017-10-811224
- Chen R, Zinzani PL, Fanale MA, et al. Phase II Study of the Efficacy and Safety of Pembrolizumab for Relapsed/Refractory Classic Hodgkin Lymphoma. J Clin Oncol. 2017;35(19):2125-32. doi: 10.1200/JCO.2016.72.1316
- Moskowitz AJ, Shah G, Schöder H, et al. Phase II Trial of Pembrolizumab Plus Gemcitabine, Vinorelbine, and Liposomal Doxorubicin as Second-Line Therapy for Relapsed or Refractory Classical Hodgkin Lymphoma. J Clin Oncol. 2021;39(28):3109-17. doi: 10.1200/JCO.21.01056
- Johnston PB, Pinter-Brown LC, Warsi G, et al. Phase 2 study of everolimus for relapsed or refractory classical Hodgkin lymphoma. Exp Hematol Oncol. 2018;7(1):12. doi: 10.1186/s40164-018-0103-z
- Oki Y, Buglio D, Fanale M, et al. Phase I Study of Panobinostat plus Everolimus in Patients with Relapsed or Refractory Lymphoma. Clin Cancer Res. 2013;19(24):6882-90. doi: 10.1158/1078-0432.CCR-13-1906
- Phillips TJ, Forero-Torres A, Sher T, et al. Phase 1 study of the PI3Kδ inhibitor INCB040093 ± JAK1 inhibitor itacitinib in relapsed/refractory B-cell lymphoma. Blood. 2018;132(3):293-306. doi: 10.1182/blood-2017-10-812701
- Baryakh EA. Treatment of relapse and refractory Hodgkin lymphoma. Oncohematology. 2017;12(2):8-13. doi: 10.17650/1818-8346-2017-12-2-8-13
- Chervontseva AM, Verniuk MA, Gushchina EE, et al. Experience in the treatment of refractory hodgkin’s lymphoma. Sib J Oncol. 2021;20(1):155-61. doi: 10.21294/1814-4861-2021-20-1-155-161
Дополнительные файлы







