Possibilities of per-oral transpapillary cholangioscopy in oncological practice
- Authors: Yurichev I.N.1, Timofeev M.E.1, Malikhova O.A.1, Savosin R.S.1
-
Affiliations:
- Blokhin National Medical Research Center of Oncology
- Issue: Vol 22, No 1 (2020)
- Pages: 40-45
- Section: CLINICAL ONCOLOGY
- Submitted: 25.05.2020
- Accepted: 25.05.2020
- Published: 28.05.2020
- URL: https://modernonco.orscience.ru/1815-1434/article/view/34170
- DOI: https://doi.org/10.26442/18151434.2020.1.200023
- ID: 34170
Cite item
Full Text
Abstract
Relevance. Diagnosis of malignant diseases causing bile duct strictures is a big challenge. At admission, patients with suspected biliary tract stricture, initially undergo endoscopic retrograde cholangiopancreatography (ERCP) as a diagnostic and treatment method. The morphological diagnosis of bile duct stricture based on ERCP with brush biopsy or intraductal forceps biopsy is limited by their low sensitivity. Consequently, a significant proportion of strictures remains undiagnosed, which led to the development of methods based on cholangioscopy.
Aim. To determine the role of per-oral transpapillary cholangioscopy (TCS) in a specialized cancer clinic.
Materials and methods. SpyGlass direct visualization system for per-oral intraductal examination from Boston Scientific was clinically tasted in Blokhin National Medical Research Center of Oncology of the Ministry of Health of Russia. Using this electronic system, TCS was performed in 4 patients with various malignant diseases.
Results. In all cases, TCS was successful. In all patients, the diagnosis was confirmed with a forceps intraductal biopsy using Spybite forceps.
Conclusion. Single-use electronic direct visualization system for per-oral intraductal examination and interventions like SpyGlass can be recommended for use in specialized cancer centers.
Full Text
Актуальность
Эндоскопическая ретроградная холангиопанкреатография (ЭРХПГ) – эндоскопический метод исследования панкреатобилиарной системы под рентгенологическим контролем с использованием контрастного препарата, подающегося ретроградно в желчные и панкреатические протоки. Методы дренирования на основе ЭРХПГ являются «золотым стандартом» разрешения механической желтухи.
Диагностика онкологических заболеваний, приводящих к формированию стриктур желчевыводящих протоков, является сложной задачей. При поступлении пациента в стационар с подозрением на стриктуру желчевыводящих путей изначально как лечебно-диагностический метод используется ЭРХПГ. Морфологическая диагностика стриктуры желчных протоков на основе ЭРХПГ с использованием браш-биопсии или внутрипротоковой щипцовой биопсии ограничена их низкой чувствительностью. Следовательно, значительная доля стриктур остается неопределенной, что и привело к развитию методов на основе холангиоскопии. Одной из разновидностей транспапиллярной пероральной холангиоскопии (ТХС) является электронная система прямой визуализации SpyGlass компании Boston Scientific.
Система SpyGlass позволяет визуализировать слизистую оболочку внутрипеченочных и внепеченочных желчных протоков, желчного пузыря и поджелудочной железы с целью дифференциальной диагностики различных патологий панкреатобилиарной зоны; дает возможность выполнять прицельную биопсию для морфологической верификации при подозрении на злокачественный процесс; позволяет оценивать распространение опухолевого процесса и стадировать его по TNM-классификации; используется в терапевтических целях (внутрипротоковая литотрипсия при холедохолитиазе, дренирование желчных и панкреатического протоков).
Историческая справка. Холангиоскопия позволяет осуществлять прямую визуализацию и последующие лечебные манипуляции с желчевыводящей и панкреатической системой. Еще в 1950-х годах попытки холангиоскопии описаны в медицинской литературе [1]. В начале использовался термин «холедохоскопия», и этот метод задумывался как дополнительный к холангиографии для интраоперационной оценки наличия камней в желчных протоках при желчекаменной болезни и холедохолитиазе [2]. В 1970-х годах [3, 4] отдельно описаны два различных метода ТХС. Самая ранняя платформа для холангиоскопии использовала тонкий «дочерний» холангиоскоп, который проводился через рабочий канал «материнского» ширококанального дуоденоскопа. J. Urakami и соавт. первыми сообщили о ТХС с использованием эндоскопа прямой визуализации [4]. Это были оптиковолоконные эндоскопы. Позднее платформу для холангиоскопии «mother-babyscope» улучшили путем создания цифровых эндоскопов, а также добавили возможность использовать узкоспектральную визуализацию (NBI), что расширило возможность дифференцировать злокачественные и доброкачественные поражения желчевыводящих путей. Основными недостатками холангиоскопической платформы «mother-babyscope» являются необходимость двух операторов, хрупкость дочернего холангиоскопа и высокие стартовые затраты. В 2005 г. представлен новый холангиоскоп на основе системы с одним оператором (SpyGlass™, Boston Scientific Corp, Мальборо, Массачусетс, США) [5]. С тех пор дальнейшее развитие эндоскопических методов и миниатюризация эндоскопических инструментов привели к тому, что ТХС превратилась в легкодоступную минимально инвазивную процедуру для оценки и ведения сложных заболеваний желчевыводящих и панкреатических путей.
Обзор методов холангиоскопии
Чрескожная холангиоскопия. Этот метод, также называемый чрескожной чреспеченочной холангиоскопией, часто применяется в ситуациях, когда ТХС неосуществима или неэффективна. Например, у пациентов с измененной анатомией желудочно-кишечного тракта (после выполненных резекционных операций на желудке различного объема) или у пациентов с внутрипеченочными или крупными внепеченочными желчными камнями более 1,5 см [6]. Процедура начинается с выполнения чрескожной чреспеченочной холангиографии с дренированием желчных путей и установкой на несколько дней наружной холангиостомы для декомпрессии желчных протоков. Далее холангиостомический дренаж удаляется через жесткую направляющую струну-проводник, а холангиоскоп вводится в желчный проток над направляющей проволокой с помощью эндоскопической и рентгеноскопической визуализации [7]. Преимущества этого подхода включают возможность использования короткого холангиоскопа (обычно уретероскопа), который, в свою очередь, повышает маневренность и нацеливание на области, которые могут быть труднодоступными при пероральной холангиоскопии. Тем не менее существенные ограничения этого подхода включают его инвазивность, а также время, необходимое для «разгрузки» желчных путей, что сделало его второстепенным методом исследования.
Система двух операторов типа «motherscope-babyscope». Пероральные видеохолангиоскопы состоят из ширококанального дуоденоскопа «motherscope» и дочернего тонкого холангиоскопа «babyscope». Холангиоскоп продвигается через рабочий канал специализированного терапевтического дуоденоскопа по проводнику. Эта манипуляция требует двух операторов: один оператор нужен для управления «материнским» дуоденоскопом, а другой – для управления «дочерним» холангиоскопом. Одним из примеров холангиоскопа текущего поколения является Olympus CHF-B260 (Olympus Co., Токио, Япония), где диаметр дистального холангиоскопа составляет 3,4 мм, а диаметр вспомогательного канала – 1,2 мм [8]. Холангиоскоп продвигается через вспомогательный канал диаметром 4,2 мм терапевтического дуоденоскопа. Сфинктеротомия должна выполняться до введения холангиоскопа в общий желчный проток из-за его большого наружного диаметра. С помощью винтов-манипуляторов возможны движения дистального конца холангиоскопа в двух взаимоперпендикулярных плоскостях, а функции высокого разрешения и NBI доступны для детального исследования слизистой желчевыводящих путей. Основным преимуществом данной платформы нынешнего поколения являются ее превосходное качество изображения и возможность использования узкоспектрального режима. Ряд недостатков ограничил использование данной системы: высокие эксплуатационные расходы, хрупкость «дочернего» холангиоскопа, необходимость в двух квалифицированных эндоскопистах, ограничения в возможностях отклонения дистального конца холангиоскопа и неоптимальные возможности внутрипросветного орошения [9–11].
Система SpyGlass. Представленная в 2005 г. система SpyGlass™ (Boston Scientific Corp.) разработана для преодоления некоторых ограничений платформы «мать-дитя». Подобно системам «мать-дитя» холангиоскоп продвигается по проводнику через рабочий канал терапевтического дуоденоскопа, хотя возможна и методика прямой канюляции после предварительной сфинктеротомии. Процедура обычно проводится вместе с ЭРХПГ со сфинктеротомией, чтобы облегчить доступ в протоковые системы и наладить адекватный отток содержимого во время ирригации [12]. Платформа SpyGlass™ I поколения (теперь называемая SpyGlass™ Legacy) состояла из одноразового катетера для доставки (SpyScope™), через который был вставлен многоразовый оптоволоконный зонд (SpyGlass™ Direct Visualization Probe). Повторно используемый зонд имел в среднем ожидаемую кратность использования не более 8–10 раз, но был хрупким и в реальности использовался 3–4 раза. Подающий катетер имел наружный диаметр 3,3 мм с диаметром вспомогательного канала 1,2 мм, но, что немаловажно, имел специальный ирригационный канал [5, 12, 13]. Ручка холангиоскопа SpyGlass™ предназначена для крепления на терапевтическом дуоденоскопе, что позволяет использовать его одному оператору. Рукоятка включает в себя ручки управления для отклонения дистального конца в четырех направлениях, рычаги для блокировки положения, элементы управления для аспирации и орошения и доступ к порту рабочего канала. Конструкция с одним оператором, безусловно, является наиболее важным преимуществом системы SpyGlass™. Платформа SpyGlass™ обозначила пероральную холангиоскопию как метод широкого использования и сделала эту процедуру выполнимой в повседневной эндоскопической практике. Тем не менее SpyGlass™ Legacy имел некоторые существенные ограничения, связанные с долговечностью оптиковолоконного зонда, ограниченным качеством изображения и поля зрения, небольшим терапевтическим каналом и сложной настройкой. В свете этих недостатков была представлена цифровая усовершенствованная система прямой визуализации SpyGlass™ DS (Boston Scientific Corp), со значительными улучшениями, включая качество цифрового изображения, более яркий источник света, более широкое поле зрения, более изгибаемый дистальный конец холангиоскопа конической формы и настройкe по принципу «подключи и работай» [13].
Прямая пероральная холангископия (DPOC)
Пероральный холангиоскоп UltraSlim (например, GIF XP190N, Olympus America, Center Valley, PA, USA) непосредственно продвигается в билиарную систему во время стандартной пероральной эндоскопии. Перед этим требуется сфинктеротомия с возможной дилатацией большого дуоденального сосочка [14]. Преимущества DPOC включают улучшенную четкость изображения по сравнению с другими системами, возможность использования узкоспектральных режимов (например, NBI), большой терапевтический канал 2,2 мм и тот факт, что он устраняет необходимость в отдельной специальной платформе для холангиоскопии [15]. Данный метод исследования не имеет такого широкого распространения и использования, так как его технически сложно выполнить. Естественные перегибы желудка, сложность канюляции желчных протоков и нестабильность эндоскопа внутри желчного протока являются факторами, которые увеличивают техническую сложность процедуры [14–16]. Кроме того, эндоскоп UltraSlim относительно более крупного калибра по сравнению с другими платформами, что ограничивает его способность оценивать желчные протоки меньшего диаметра.
Технические характеристики системы SpyGlass
Система SpyGlass DS, Boston Scientific Corp, имеет два компонента:
1) комбинированный процессор и источник света;
2) стерильный одноразовый катетер – рабочая длина 2140 см, внешний диаметр 3,2 мм.
Дистальный конец катетера изгибается в двух взаимоперпендикулярных плоскостях. Катетер имеет 1,2-миллиметровый рабочий канал, 2 выделенных канала для ирригации и аспирации, соединенные с рабочим каналом. На кончике расположены 2 светодиода и один дополнительный металлооксидный полупроводниковый чип, который обеспечивает улучшенное изображение (×4) и более широкое поле обзора (на 60% больше по сравнению со старой системой SpyGlass). Система проста в настройке, а конусообразный дистальный конец позволяет легко входить в желчевыводящие протоки по проводнику [17].
Цели и возможности SpyGlass
Визуализация. Хотя в настоящее время не существует стандартной классификации для визуальной диагностики злокачественных новообразований желчных протоков, в литературе опубликовано множество холангиоскопических критериев, свидетельствующих о злокачественности. К ним относятся внутрипротоковые опухолевые массы и узелки, папиллярные/ворсинчатые перестройки эпителия слизистой оболочки и измененный сосудистый рисунок (извилистые и расширенные сосуды) [18, 19]. Измененные сосуды, в частности, представляются наиболее характерной визуальной находкой. H. Kim и соавт. сообщили, что визуализация измененного сосудистого рисунка имела чувствительность 61% при обнаружении злокачественного новообразования, а сочетание с биопсией под контролем холангиоскопии увеличивало чувствительность до 96%. Эти изменения отсутствовали у любого пациента с доброкачественной стриктурой [20]. В многоцентровом проспективном когортном исследовании Y. Chen и соавт. сравнили чувствительность ЭРХПГ и пероральной холангиоскопии при выявлении злокачественных стриктур желчных путей у 95 пациентов и обнаружили, что пероральная холангиоскопия обладает чувствительностью 77,8% по сравнению с 51,1% для ЭРХПГ [21]. Метаанализ 10 когортных исследований, посвященных использованию пероральной холангиоcкопии для диагностики злокачественных стриктур, показал общую точность, чувствительность и специфичность 89, 93 и 85% соответственно [22]. Авторы отметили cниженную чувствительность при применении холангиоскопов первых поколений с одним оператором по сравнению с платформами «мать-дитя» из-за использования ими оптиковолоконной визуализации [22]. Эта проблема, по-видимому, была устранена с помощью холангиоскопов нового поколения с одним оператором, которые используют цифровую визуализацию (SpyGlass DS™). Проспективное многоцентровое исследование холангиоскопа SpyGlass DS™ у 44 пациентов со стриктурами неясного генеза, выполненное U. Navaneethan и соавт., продемонстрировало чувствительность и специфичность пероральной холангиоскопии 90 и 95,8% соответственно [23].
Примечательно, что пероральная холангиоскопия особенно полезна для оценки внутрипросветных стриктур (например, при холангиокарциноме), но более ограничена в диагностике злокачественных новообразований, вызывающих компрессию извне (таких как рак поджелудочной железы, рак желчного пузыря или метастатическое поражение лимфатических узлов гепатодуоденальной связки). В исследовании, проведенном Y. Chen и соавт., точность пероральной холангископии при идентификации внутрипросветных стриктур составила 84% по сравнению только с 62% при стриктурах вторичного генеза [21].
Биопсия во время холангиоскопии. Несомненным преимуществом пероральной холангиоскопии является возможность получения биопсии под эндоскопическим контролем из стриктур неясного генеза для морфологического анализа. Исследования, оценивающие холангиоскопическую биопсию, показали чувствительность в диапазоне от 71 до 100% и специфичность от 96,7 до 100% [10, 11, 19, 24]. Превосходство холангиоскопической биопсии по сравнению со стандартными цитологическими браш-биопсиями во время ЭРХПГ продемонстрировано в проспективном исследовании в 2012 г. для 26 пациентов со стриктурами неясного генеза [25]. Биопсия щипцами Spybite обеспечила значительно лучшую чувствительность (76,5% против 5,9%; p<0,0001) и общую точность (84,6% против 53,8%; p=0,0215) по сравнению со стандартными цитологическими браш-биопсиями [25]. Данные метаанализа 2016 г. 13 исследований результатов биопсий, выполненных во время холангиоскопии, показали точность, чувствительность и специфичность 79, 69, 94% соответственно [26]. Как и при выполнении других эндоскопических диагностических вмешательств, множественные биопсии увеличивают диагностическую ценность и позволяют повысить чувствительность и специфичность. В исследовании с использованием чрескожной холангиоскопии K.Tamada и соавт. сообщили об истинно положительных результатах у 95% пациентов, которым проводились троекратные биопсии из стриктур [27].
Исследование, включающее в себя около 300 человек, показало, что с помощью системы SpyGlass удалось обнаружить 96% всех стриктур и в 88% случаев выполнена успешная биопсия. Злокачественный процесс подтвержден в 77% пациентов [23].
Абляционная терапия. Различные виды абляций все чаще используются для улучшения оттока желчи и улучшения качества жизни у пациентов с опухолевым поражением желчных протоков. К видам абляций относятся такие методы, как фотодинамическая терапия [28] и радиочастотная абляция [26]. Фотодинамическая терапия включает введение внутривенно фотосенсибилизатора, который накапливается в опухолевых клетках. Далее на опухолевую ткань воздействуют источником света во время холангиоскопии, что, в свою очередь, вызывает цитотоксическую реакцию, последующую ишемию, некроз и апоптоз опухолевых клеток [9]. В рандомизированном исследовании с участием 32 пациентов с нерезектабельным раком желчных протоков, проведенном T. Zoepf и соавт., пациенты, рандомизированные на фотодинамическую терапию, имели среднюю продолжительность жизни 21 мес по сравнению с 7 мес в контрольной группе (p=0,0109) [29]. С другой стороны, радиочастотная абляция вызывает тепловое повреждение и последующий локализованный некроз опухоли. Поскольку эта процедура обычно выполняется с использованием только рентгеноскопических технологий, она связана с высокой частотой осложнений [24]. T. Ogura и соавт. сообщили о возможности и относительной безопасности проведения абляции под эндоскопическим контролем. Визуализация опухоли и проведение радиочастотной абляции выполнены у 12 пациентов с раком желчных протоков с использованием холангиоскопа. Технический успех составил 100%, и только у одного пациента развился послеоперационный холангит [30]. В целом как радиочастотная абляция, так и фотодинамическая терапия безопасны, выполнимы и обладают значительным потенциалом для оказания паллиативной помощи у пациентов с нерезектабельным раком желчных протоков.
Клинические случаи
- Пациент Л., 62 года
Анамнез. В феврале 2018 г. появились жалобы на боли в правой половине живота. По месту жительства по данным УЗИ органов брюшной полости (ОБП) – картина диффузных изменений структуры печени, уплотнение желчных протоков правой доли печени; дифференциальный диагноз следует проводить между первично-склерозирующим холангитом и опухолью внепеченочных желчных протоков. В течение 1 года отмечал эпизоды спонтанно купирующейся механической желтухи.
Обследования по месту жительства
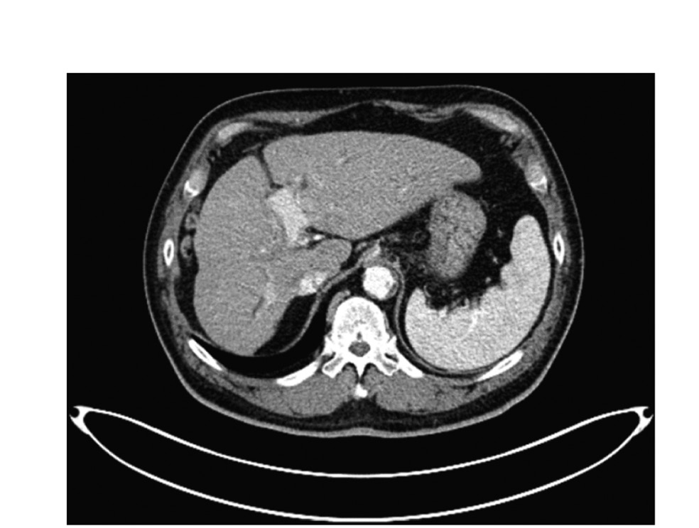
По данным спиральной компьютерной томографии (КТ) ОБП – в воротах печени определяются тканевые массы, распространяющиеся как вдоль протоков к желчному пузырю, так и в сторону печени (рис. 1).
Рис.1. Изображение компьютерной томографии – опухоль ворот печени.
Fig. 1. CT scan – hilar cholangiocarcinoma.
По данным магнино-резонансной томографии (МРТ) ОБП – формальная МР-картина опухоли Клатскина с распространением на пузырный проток и желчный пузырь. Метастатическое поражение лимфатических узлов брыжейки и печеночно-двенадцатиперстной связки (рис. 2, 3).
Рис. 2. Изображение магнитно-резонансной томографии – опухоль ворот печени.
Fig. 2. MRI scan – hilar cholangiocarcinoma.
Рис. 3. Изображение магнитно-резонансной томографии – опухоль ворот печени.
Fig. 3. MRI scan – hilar cholangiocarcinoma.
Диагноз направительный: подозрение на опухоль внепеченочных желчных протоков.
Пациенту с диагностической целью выполнены дуоденоскопия, папиллосфинктеротомия, ЭРХПГ, холангиоскопия, щипцовая биопсия.
При рентгенографическом (РГ) исследовании – при тугом контрастировании данных за расширение желчных протоков не получено. Интрапанкреатическая часть общего желчного протока до 5–6 мм, стенка ровная. На уровне средней и верхней трети холедоха стенка узурированная, неровная, просвет нитевидный, извитой. Долевые протоки также с неровными контурами и нитевидным просветом. Неровность стенки прослеживается до сегментарных протоков. Рисунок внутрипеченочных желчных протоков при тугом контрастировании резко обеднен.
При выполнении холангиоскопии при визуальной оценке слизистой желчных протоков на уровне средней трети определяются гиперемия и полнокровие подслизистых сосудов, отечность тканей с формированием сужения до 2 мм, непроходимого для холедохоскопа. При этом явного экзофитного образования не определяется. Под визуальным контролем выполнена множественная биопсия тканей.
Данные морфологического исследования – в полученном материале найденные изменения крайне похожи на код: 8140/3 Аденокарцинома.
Заключительный диагноз: опухоль Клацкина T4N1M0 IV A ст., Бисмут IV.
Пациент консультирован химиотерапевтом – назначена полихимиотерапия (ПХТ) по схеме GEMOX (рис. 4).
Рис. 4а. Изображение ретроградной холангиографии.
Fig. 4a. ERCP image.
Рис. 4б. Изображение транспапиллярной холангиоскопии с помощью системы SpyGlass.
Fig. 4b. SpyGlass image.
- Пациентка Н., 65 лет
Анамнез. В 2014 г. по поводу рака прямой кишки выполнена резекция прямой кишки с формированием одноствольной разгрузочной сигмостомы (морфологическое заключение – умеренно дифференцированная аденокарцинома). После – 5 курсов адъювантной ПХТ. В марте 2016 г. – операция по восстановлению непрерывности кишечной трубки. В июле 2016 г. при контрольном обследовании обнаружены метастазы в правой доле печени (по данным позитронно-эмиссионной и компьютерной томографии – 3 очага до 2 см в диаметре). В сентябре 2016 г. – правосторонняя гемигепатэктомия с последующей ПХТ (5 циклов XELOX). В начале июня отметила появление желтухи, потемнение мочи. При дообследовании (УЗИ брюшной полости) – признаки механической желтухи с блоком на уровне ворот печени.
В 2015 г. – протезирование коленного сустава (выполнение МРТ брюшной полости невозможно).
Диагноз направительный: блок на уровне ворот печени, механическая желтуха.
Пациентке выполнена дуоденоскопия, папиллосфинктеротомия, ЭРХПГ, холангиоскопия, билиодуоденальное стентирование левого долевого протока пластиковым стентом.
При РГ-исследовании: внепеченочные желчные протоки не расширены на всем протяжении. На уровне отхождения левого долевого протока (в анамнезе правосторонняя гемигепатэктомия) определяются деформация просвета и сужение протока протяженностью до 1,5 см, стенка неровная. При этом левый долевой проток извитой, образует острый угол с общим печеночным протоком. Протоки левой доли печени выраженно расширены, долевой до 2 см, сегментарные до 1 см.
При визуальной оценке в верхней трети общего печеночного протока, на границе с долевым протоком определяется внутрипросветное экзофитное полуциркулярное образование до 15 мм, перекрывающее просвет протока более чем на 2/3. Ткани мелкобугристые, гиперемированные. Под визуальным контролем выполнена множественная биопсия тканей (цитология + гистология). Далее под РГ-контролем также выполнена биопсия из зоны стриктуры, под визуальным контролем струна-проводник заведена в левый долевой проток за зону сужения. По струне-проводнику установлен пластиковый билиодуоденальный стент (Olympus 15 см, 8.5 Fr). По стенту отмечено поступление желчи (рис. 5).
Рис. 5а. Изображение ретроградной холангиографии.
Fig. 5a. ERCP image.
Рис. 5б. Изображение транспапиллярной холангиоскопии с помощью системы SpyGlass
Fig. 5b. SpyGlass image.
Заключение: визуальная картина соответствует опухолевому поражению желчных протоков указанной локализации, блоку на уровне левого долевого протока (возможно как первичное опухолевое поражение, так и врастание метастаза рака толстой кишки).
По данным морфологического исследования – в полученном материале обнаружены клетки, соответствующие коду: 8140/3 Аденокарцинома, вероятнее всего вторичного поражения.
Заключение
- Методика холангиоскопии эффективна в диагностике опухолевого поражения желчевыводящих протоков.
- Холангиоскопия позволяет выполнять прицельную биопсию измененных тканей под двойным (эндоскопическим и рентгенологическим) контролем.
- Прямая оптическая визуализация стриктур желчных протоков позволяет успешно выполнять дренирующие вмешательства с целью купирования механической желтухи.
Конфликт интересов. Авторы заявляют об отсутствии конфликта интересов.
Conflict of interests. The authors declare that there is not conflict of interests.
About the authors
Ilia N. Yurichev
Blokhin National Medical Research Center of Oncology
Author for correspondence.
Email: ilia-yurichev@yandex.ru
ORCID iD: 0000-0002-1345-041X
endoscopist
Russian Federation, MoscowMikhail E. Timofeev
Blokhin National Medical Research Center of Oncology
Email: ilia-yurichev@yandex.ru
D. Sci. (Med.)
Russian Federation, MoscowOlga A. Malikhova
Blokhin National Medical Research Center of Oncology
Email: ilia-yurichev@yandex.ru
D. Sci. (Med.), Prof.
Russian Federation, MoscowRuslan S. Savosin
Blokhin National Medical Research Center of Oncology
Email: ilia-yurichev@yandex.ru
endoscopist
Russian Federation, MoscowReferences
- Roca J, Flichtentrei R, Parodi M. Progress in the radiologic study of the biliary tract in surgery; cholangioscopy and cholangiography; utilization of apparatus; preliminary note. Dia Med 1951; 23: 3420.
- Berci G. General surgery: endoscopic exploration (choledoscopy) of the biliary system at operation. West J Med 1977; 126: 388.
- Rösch W, Koch H, Demling L. Peroral cholangioscopy. Endoscopy 1976; 8: 172–5.
- Urakami Y, Seifert E, Butke H. Peroral Direct Cholangioscopy (PDCS) Using Routine Straight-view Endoscope: First Report. Endoscopy 1977; 9: 27–30.
- Chen YK. Preclinical characterization of the SpyGlass peroral cholangiopancreatoscopy system for direct access, visualization, and biopsy. Gastrointest Endosc 2007; 65: 303–11.
- Lee JH, Kim HW, Kang DH et al. Usefulness of percutaneous transhepatic cholangioscopic lithotomy for removal of difficult common bile duct stones. Clin Endosc 2013; 46: 65–70.
- Ahmed O, Mathevosian S, Arslan B. Biliary interventions: tools and techniques of the trade, access, cholangiography, biopsy, cholangioscopy, cholangioplasty, stenting, stone extraction, and brachytherapy. Semin Intervent Radiol 2016; 33: 283–90.
- Ishida Y, Itoi T, Okabe Y. Types of Peroral Cholangioscopy: how to choose the most suitable type of cholangioscopy. Curr Treat Options Gastroenterol 2016; 14: 210–9.
- Franzini TA, Moura RN, de Moura EG. Advances in therapeutic cholangioscopy. Gastroenterol Res Pract 2016; 2016: 5249152.
- Chen YK, Pleskow DK. SpyGlass single-operator peroral cholangiopancreatoscopy system for the diagnosis and therapy of bile duct disorders: a clinical feasibility study (with video). Gastrointest Endosc 2007; 65: 832–41.
- Draganov PV, Lin T, Chauhan S et al. Prospective evaluation of the clinical utility of ERCP-guided cholangiopancreatoscopy with a new direct visualization system. Gastrointest. Endosc 2011; 73: 971–9.
- Judah JR, Draganov PV. The use of SpyGlass Direct Visualization System in the management of pancreatobiliary disease. Diagnostic and therapeutic procedures in gastroenterology. Humana Press 2011: 195–209.
- Pereira P, Peixoto A, Andrade P et al. Peroral cholangiopancreatoscopy with the SpyGlassR system: What do we know 10 years later. J Gastrointestin Liver Dis 2017; 26: 165–70.
- Moon JH, Ko BM Choi HJ et al. Direct peroral cholangioscopy using an ultra-slim upper endoscope for the treatment of retained bile duct stones. Am J Gastroenterol 2009; 104: 2729–33.
- Komanduri S, Thosani N, Abu Dayyeh BK et al. Cholangiopancreatoscopy. Gastrointest Endosc 2016; 84: 209–21.
- Brauer BC, Chen YK, Shah RJ. Single-step direct cholangioscopy by freehand intubation using standard endoscopes for diagnosis and therapy of biliary diseases. Am J Gastroenterol 2012; 107: 1030–5.
- Komanduri S, Thosani N, Abu Dayyeh BK et al. ASGE Technology Committee. Cholangiopancreatoscopy. Gastrointest Endosc 2016; 84: 209–21.
- Seo DW, Lee SK, Yoo KS et al. Cholangioscopic findings in bile duct tumors. Gastrointest Endosc 2000; 52: 630–4.
- Woo YS, Lee JK, Oh SH et al. Role of SpyGlass peroral cholangioscopy in the evaluation of indeterminate biliary lesions. Dig Dis Sci 2014; 59: 2565–70.
- Kim HJ, Kim MH, Lee SK et al. Tumor vessel: A valuable cholangioscopic clue of malignant biliary stricture. Gastrointest Endosc 2000; 52: 635–8.
- Chen YK, Parsi MA, Binmoeller KF et al. Single-operator cholangioscopy in patients requiring evaluation of bile duct disease or therapy of biliary stones (with videos). Gastrointest Endosc 2011; 74: 805–14.
- Korrapati P, Ciolino J, Wani S et al. The efficacy of peroral cholangioscopy for difficult bile duct stones and indeterminate strictures: a systematic review and meta-analysis. Endosc Int Open 2016; 4: E263–75.
- Navaneethan U, Hasan MK, Kommaraju K et al. Digital, single-operator cholangiopancreatoscopy in the diagnosis and management of pancreatobiliary disorders: a multicenter clinical experience (with video). Gastrointest Endosc 2016; 84: 649–55.
- Wadsworth CA, Westaby D, Khan SA. Endoscopic radiofrequency ablation for cholangiocarcinoma. Curr Opin Gastroenterol 2013; 29: 305–11.
- Draganov PV, Chauhan S, Wagh MS et al. Diagnostic accuracy of conventional and cholangioscopy-guided sampling of indeterminate biliary lesions at the time of ERCP: A prospective, long-term follow-up study. Gastrointest Endosc 2012; 75: 347–53.
- Roque J, Ho SH, Reddy N et al. Endoscopic ablation therapy for biliopancreatic malignancies. Clin Endosc 2015; 48: 15–9.
- Tamada K, Kurihara K, Tomiyama T et al. How many biopsies should be performed during percutaneous transhepatic cholangioscopy to diagnose biliary tract cancer? Gastrointest Endosc 1999; 50: 653–8.
- Choi HJ, Moon JH, Ko BM et al. Clinical feasibility of direct peroral cholangioscopyguided photodynamic therapy for inoperable cholangiocarcinoma performed by using an ultra-slim upper endoscope (with videos). Gastrointest Endosc 2011; 73: 808–13.
- Zoepf T, Jakobs R, Arnold JC et al. Palliation of nonresectable bile duct cancer: Improved survival after photodynamic therapy. Am J Gastroenterol 2005; 100: 2426–30.
- Ogura T, Onda S, Sano T et al. Evaluation of the safety of endoscopic radiofrequency ablation for malignant biliary stricture using a digital peroral cholangioscope (with videos). Dig Endosc 2017; 29: 712–7.
Supplementary files










