Clinical case of long-term use of osimertinib in the treatment of EGFR mutation-positive lung adenocarcinoma
- 作者: Odintsova S.V.1, Sviridenko M.A.1, Cheremnykh A.O.1, Filippova E.A.1, Urtenova M.A.1, Orlov S.V.1
-
隶属关系:
- Pavlov First Saint Petersburg State Medical University
- 期: 卷 22, 编号 2 (2020)
- 页面: 108-111
- 栏目: Clinical Case
- ##submission.dateSubmitted##: 07.07.2020
- ##submission.dateAccepted##: 07.07.2020
- ##submission.datePublished##: 07.07.2020
- URL: https://modernonco.orscience.ru/1815-1434/article/view/34962
- DOI: https://doi.org/10.26442/18151434.2020.2.200153
- ID: 34962
如何引用文章
全文:
详细
This article reviews clinical case of epidermal growth factor receptor (EGFR) mutation-positive non-small cell lung cancer and the usage of osimertinib for its treatment. Targeted drugs, EGFR tyrosine kinase inhibitors were approved for the treatment of non-small cell lung cancer more than 15 years ago*. Updated results of the large multicenter randomized FLAURA trial showed that osimertinib, a third-generation irreversible selective epidermal growth factor receptor tyrosine kinase inhibitor, was more effective than first-generation EGFR tyrosine kinase inhibitors, not only in terms of progression-free survival, but in terms of duration of response and overall survival. Furthermore, statistically and clinically significant benefit is achieved without deterioration of tolerance and quality of life. This article presents a clinical case of a woman who has taken part in this clinical trial. In light of the fact that this patient has been one of the first to receive this therapy in Russia, this experience appears to be interesting, because it allows assess the long-term results of the therapy: the achieved response duration is more than 50 months with good tolerance of therapy.
全文:
Несмотря на революционный прогресс с момента появления ингибиторов тирозинкиназы (ИТК) рецептора эпидермального фактора роста (EGFR), через 9–11 мес у пациентов развивается резистентность к данной терапии. У более чем 60% пациентов приобретенная резистентность к ИТК EGFR I–II поколения связана с появлением мутации резистентности в аденозинтрифосфатсвязывающем кармане в 20 экзоне гена EGFR, что приводит к замене треонина на метионин в положении 790 последовательности аминокислот (мутация T790M) [1]. Изменение последовательности аминокислот приводит к такой конформации белка-рецептора, которая не позволяет ИТК EGFR с ним связаться, аффинитет к аденозинтрифосфату возрастает. Необратимые ИТК II поколения (афатиниб) были разработаны для преодоления этого механизма резистентности. Однако, несмотря на воодушевляющие данные исследований in vitro, клинические испытания не показали увеличения общей выживаемости у пациентов с мутацией T790M. Вероятно, это связано с тем, что ингибирование рецепторов EGFR дикого типа достигается при более низких концентрациях препарата, чем рецепторов с мутацией Т790М, и, соответственно, возможность применения более высоких доз, позволяющих эффективно блокировать рецепторы с мутацией Т790М, была ограничена побочными эффектами [2, 3]. ИТК III поколения с пиримидиновым основанием в химической структуре были созданы для воздействия на клон T790M с сохраненной активностью в отношении активирующих мутаций del19 и L858R и минимальной активностью в отношении EGFR дикого типа. За счет связывания с локусом C797 и селективности по отношению к мутации T790M ИТК III поколения смогли показать эффективность у пациентов с резистентностью к ИТК предшествующих поколений при наличии этой мутации. Кроме того, применение их в 1-й линии терапии показало большую эффективность по сравнению с ИТК EGFR I поколения [4].
Основанием для исследования осимертиниба в качестве терапии 1-й линии была следующая гипотеза: супрессия клона T790M на раннем этапе лечения может улучшить его результаты. В исследовании III фазы FLAURA (NCT02296125) сравнивался осимертиниб (80 мг/сут) с ИТК EGFR I поколения (гефитиниб 250 мг/сут или эрлотиниб 150 мг/сут), в исследовании приняли участие 556 пациентов с немелкоклеточным раком легкого (НМРЛ) с наличием активирующих мутаций в гене EGFR (делеция в экзоне 19 или мутация L858R). Осимертиниб показал преимущество по выживаемости без прогрессирования по сравнению с эрлотинибом/гефитинибом: медиана 18,9 мес в сравнении с 10,2 мес (относительный риск 0,46; 95% доверительный интервал 0,37–0,57; p<0,0001). Продолжительность ответа была вдвое выше в группе осимертиниба и составила 17,2 мес в сравнении с 8,5 мес в группе ИТК EGFR I поколения [4]. Частота нежелательных явлений 3-й степени и выше в группе осимертиниба составила 42%, в группе сравнения – 47%. А главное, что, несмотря на кроссовер (пациенты в группе ИТК EGFR I поколения могли переходить на осимертиниб при прогрессировании заболевания и наличии мутации T790M), было достигнуто статистически и клинически значимое преимущество по общей выживаемости по сравнению со стандартом. Медиана общей выживаемости в группе осимертиниба превысила 3 года (38,6 мес в сравнении с 31,8 мес; относительный риск 0,799; 95% доверительный интервал 0,64–0,99; р=0,046) [5]. Безусловно, применение осимертиниба в качестве терапии 1-й линии позволит каждому пациенту с EGFRm + НМРЛ получить преимущество от большей эффективности лечения (как показано в исследовании FLAURA) в сравнении с ИТК EGFR I поколения и вместе с тем снизить риск прогрессирования в центральной нервной системе [4].
Также важно отметить, что многократное воздействие системной терапии при выборе стратегии последовательного применения ИТК EGFR может привести к усилению гетерогенности опухоли и, как следствие, к более слабым ответам на лечение в последующих линиях терапии [6]. Следовательно, пациент может получить большее преимущество от наиболее эффективной опции, если ее применять в первой, а не последующих линиях.
При выборе последовательного подхода мы также должны помнить о том, что лишь часть пациентов смогут в конечном счете получить эффективную опцию, которая остается в резерве. Это связано с тем, что T790M не единственный механизм резистентности к ИТК EGFR I–II поколения. Частота этой мутации составляет от 40 до 55% [1, 3]. Однако проведение теста на эту мутацию бывает затруднительно (у некоторых пациентов невозможно будет получить биопсийный материал при прогрессировании; взятого материала может оказаться недостаточно или результат может оказаться ошибочным; анализ плазмы крови может оказаться ложноотрицательным) примерно у 30% больных [7–13]. Кроме того, по данным клинических исследований, не все пациенты получают 2-ю линию терапии. Интересно, что эти наблюдения подтвердились и в ходе исследований в реальной клинической практике в странах с хорошо финансируемой системой здравоохранения – США, Японии, Сингапуре, Германии. Получить осимертиниб во 2-й линии смогут от 3 до 36% пациентов [14–18].
Терапевтические опции для продолжения лечения после прогрессирования на осимертинибе в настоящее время активно разрабатываются [19, 20]. Но некоторые подходы доступны уже сейчас. Так, при бессимптомном или олигопрогрессировании рекомендовано продолжить ИТК EGFR, в том числе осимертиниб [21–23]. Такой подход позволяет получить дополнительное преимущество от терапии 1-й линии [24, 25]. Кроме того, в работе В.М. Моисеенко было отмечено, что те больные, которым ИТК отменяли не при первых признаках прогрессирования, а продолжали ИТК совместно с локальным лечением, имели статистически значимое преимущество в выживаемости [26]. В исследовании FLAURA терапия также могла быть продолжена после прогрессирования заболевания. Время до начала терапии 2-й линии было вдвое больше в группе осимертиниба: 25,9 мес в сравнении с 13,4 мес [5].
Интересно также отметить исследование Impower 150, в котором изучалось применение атезолизумаба в сочетании с бевацизумабом и химиотерапией. В исследовании могли принимать участие пациенты с наличием EGFR/ALK мутаций после прогрессирования заболевания на ИТК. Было показано, что в группе пациентов с наличием мутаций в гене EGFR медиана времени без прогрессирования составила 10,2 мес на квадриплете в сравнении с 6,9 мес на комбинации химиотерапии и бевацизумаба [27].
Клинический случай
Пациентка З., 1942 год рождения (73 года на момент первого обращения). Профессия – преподаватель, не курит.
Сопутствующая патология – артериальная гипертензия 3-й степени. Ишемическая болезнь сердца. Острое нарушение мозгового кровообращения (1999 г.).
История болезни
В феврале 2015 г. обратилась к врачу по поводу появления сухого кашля. При флюорографии выявлены очаговые образования правого легкого. При компьютерной томографии (КТ) выявлены периферическая опухоль нижней доли правого легкого, метастазы в среднюю долю и лимфоузлы средостения.
Установлен диагноз: аденокарцинома нижней доли правого легкого T4N2M0 IIIВ стадии.
В июне 2015 г. выполнено оперативное вмешательство – нижняя билобэктомия справа. При исследовании послеоперационного гистологического материала подтвержден диагноз аденокарциномы легкого, молекулярно-генетическое исследование выявило мутацию EGFR (del 19ex). Неоадъюватной и адъювантной химиотерапии не проводилось.
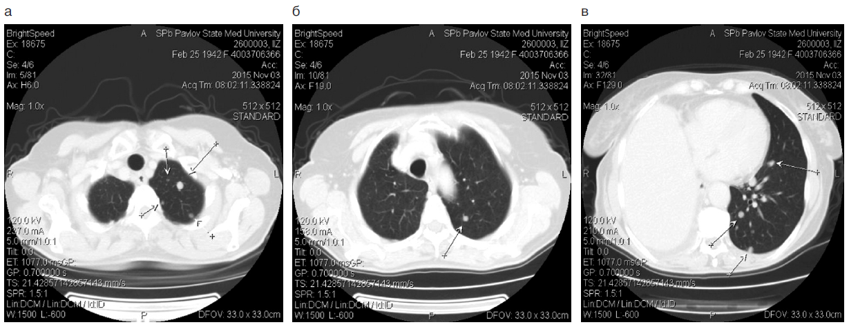
Через 3 мес после операции, в сентябре 2015 г., при контрольной КТ (рис. 1) выявлена прогрессия заболевания – появление метастазов в обоих легких, плеврит справа.
Рис. 1. КТ больной З., 73 года, ноябрь 2015 г.
Fig. 1. Computed tomography of patient Z., 73 years old, November 2015.
Установлен диагноз: аденокарцинома нижней доли правого легкого T4N2M1a IV стадии. Состояние после нижней билобэктомии справа 25.06.2015.
Учитывая наличие мутации, больной в 1-й линии лечении показана терапия ИТК. Больной предложено участие в международном многоцентровом клиническом исследовании III фазы, Double-blind, Randomised Study to Assess the Efficacy and Safety of AZD9291 versus a Standard of Care Epidermal Growth Factor Receptor-Tyrosine Kinase Inhibitor as First-line Treatment in Patients with Epidermal Growth Factor Receptor Mutation-positive, Locally-advanced or Metastatic Non-small-cell Lung Cancer.
С ноября 2015 г. больная получает терапию в рамках исследования – осимертиниб 80 мг/сут. Осложнения терапии: сухость кожи, гиперкератоз. Сыпи, диареи не отмечено.
Через 6 нед от начала терапии при КТ (рис. 2) отмечен частичный ответ опухоли – уменьшение на 57% суммы размеров контрольных очагов, исчезновение плеврита.
Положительная рентгенологическая динамика сопровождалась уменьшением слабости, кашля, одышки. Пациентка вышла на работу, статус ECOG – 1.
Рис. 2. КТ больной З., 73 года, декабрь 2015 г.
Fig. 2. Computed tomography of patient Z., 73 years old, December 2015.
На протяжении 4 лет больная продолжает получать терапию препаратом осимертиниб. Отмечается минимум побочных действий терапии – сухость кожи, периодически регистрировалась нейтропения 1–2-й степени.
По данным КТ сохраняется частичный ответ (рис. 3).
Рис. 3. КТ больной З., 77 лет, январь 2020 г.
Fig. 3. Computed tomography of patient Z., 77 years old, January 2020.
Длительность ответа к настоящему моменту составила 52 мес (4 года и 4 мес).
Заключение
Наше понимание молекулярных характеристик такого гетерогенного заболевания, как рак легкого, расширяет возможности применения новых подходов к терапии и меняет рутинную клиническую практику. Все больше пациентов могут получать эффективную терапию уже в 1-й линии. Применение ИТК EGFR III поколения в 1-й линии терапии позволяет значительно увеличить продолжительность жизни пациентов с местно-распространенным или метастатическим НМРЛ с наличием мутаций в гене EGFR при сохранении благоприятного профиля безопасности терапии, сопоставимого с ИТК EGFR I поколения. По данным исследования FLAURA, почти 30% пациентов продолжают терапию 1-й линии более 3 лет. Представленный клинический случай – один из примеров долгосрочных результатов лечения, достигнутый эффект сохраняется более 50 мес с хорошей переносимостью терапии, несмотря на пожилой возраст пациентки.
Конфликт интересов. Авторы заявляют об отсутствии конфликта интересов.
Conflict of interests. The authors declare that there is not conflict of interests.
*Дата регистрации лекарственного препарата Иресса в Российской Федерации – 30.11.2004.
作者简介
Svetlana Odintsova
Pavlov First Saint Petersburg State Medical University
编辑信件的主要联系方式.
Email: odin-svet@yandex.ru
Cand. Sci. (Med.)
俄罗斯联邦, Saint PetersburgMariia Sviridenko
Pavlov First Saint Petersburg State Medical University
Email: maria_sviridenko@list.ru
Research Assistant
俄罗斯联邦, Saint PetersburgAntonina Cheremnykh
Pavlov First Saint Petersburg State Medical University
Email: cheremnikh82@mail.ru
Research Assistant
俄罗斯联邦, Saint PetersburgElena Filippova
Pavlov First Saint Petersburg State Medical University
Email: helen-doc@mail.ru
Research Assistant
俄罗斯联邦, Saint PetersburgMagaripa Urtenova
Pavlov First Saint Petersburg State Medical University
Email: urtenova@mail.ru
Research Assistant
俄罗斯联邦, Saint PetersburgSergei Orlov
Pavlov First Saint Petersburg State Medical University
Email: orloff-sv@mail.ru
ORCID iD: 0000-0001-6080-8042
D. Sci. (Med.), Corr. Memb. RAS
俄罗斯联邦, Saint Petersburg参考
- Sequist LV, Waltman BA, Dias-Santagata D et al. Genotypic and histological evolution of lung cancers acquiring resistance to EGFR Inhibitors. Sci Transl Med 2011; 3: 75ra26.
- Miller VA, Hirsh V, Cadranel J et al. Afatinib versus placebo for patients with advanced, metastatic non-small-cell lung cancer after failure of erlotinib, gefitinib, or both, and one or two lines of chemotherapy (LUX-Lung 1): a phase 2b/3 randomised trial. Lancet Oncol 2012; 13: 528–38.
- Camidge DR et al. Acquired Resistance to TKIs in Solid Tumours: Learning From Lung Cancer. Nat Rev Clin Oncol 2014; 11: 473–81.
- Soria J-C, Ohe Y, Vansteenkiste J et al. Osimertinib in Untreated EGFR-mutated advanced non–small-cell lung cancer. N Engl J Med 2017; 378: 113–25.
- Ramalingam SS, Vansteenkiste J, Planchard D et al. Overall survival with osimertinib in untreated, EGFR-mutated advanced NSCLC. N Engl J Med 2019. doi: 10.1056/NEJMoa1913662
- Dagogo-Jack I, Shaw AT. Tumour heterogeneity and resistance to cancer therapies. Nat Rev Clin Oncol 2018; 15: 81–94.
- Arcila ME et al. Rebiopsy of Lung Cancer Patients With Acquired Resistance to EGFR Inhibitors and Enhanced Detection of the T790M Mutation Using a Locked Nucleic Acid-Based Assay. Clin Cancer Res 2011; 17: 1169–80.
- Yoon HJ et al. Repeat Biopsy for Mutational Analysis of Non-Small Cell Lung Cancers Resistant to Previous Chemotherapy: Adequacy and Complications. Radiology 2012; 265: 939–48.
- Chouaid C et al. Feasibility and Clinical Impact of Re-Biopsy in Advanced Non Small-Cell Lung Cancer: A Prospective Multicenter Study in a Real-World Setting (GFPC Study 12-01). Lung Cancer 2014; 86: 170–3.
- Набор для тестирования cobas® EGFR Mutation Test v2. Инструкция по использованию. Indianapolis, IN: Roche Molecular Systems, Inc. 2016. [Nabor dlia testirovaniia cobas® EGFR Mutation Test v2. Instruktsiia po ispol’zovaniiu. Indianapolis, IN: Roche Molecular Systems, Inc. 2016 (in Russian).]
- Oxnard GR et al. Association Between Plasma Genotyping and Outcomes of Treatment With Osimertinib (AZD9291) in Advanced Non-Small-Cell Lung Cancer. J Clin Oncol 2016; 34: 3375–82.
- Jenkins S et al. Plasma ctDNA Analysis for Detection of the EGFR T790M Mutation in Patients With Advanced Non-Small Cell Lung Cancer. J Thorac Oncol 2017; 12: 1061–70.
- Wu YL, Jenkins S, Ramalingam S et al. MA08.03 Osimertinib vs Platinum-Pemetrexed for T790M-Mutation Positive Advanced NSCLC (AURA3): Plasma ctDNA Analysis. J Thorac Oncol 2017; 12: S386.
- Roeper J, Falk M, Tiemannet M et al. Risk of not receiving 2nd line therapy is high in EGFR mt+ pts: real world data of certified lung cancer centers on treatment sequence in EGFR mt+ pts. J Clin Oncol 2018; 36 (15 Suppl.).
- Reckamp KL, Nieva J, Taylor A et al. US real-world management of EGFR-mutated advanced NSCLC: prescribing and attrition data from first-to-second-line treatment. Presented at: IASLC 2019 WCLC; September 7–10, 2019; Barcelona, Spain.
- Seto T, Nogami N, Yamamoto N et al. Real-world EGFR T790M testing in advanced non-small-cell lung cancer: a prospective observational study in Japan. Oncol Ther 2018; 6: 203–15.
- Chiang AC, Fernandes AW, Pavilack M et al. Real world biomarker testing and treatment patterns in patients with advanced NSCLC receiving EGFR-TKIs. Presented at: IASLC 19th WCLC; September 23–26, 2018; Toronto, Canada.
- Chua B, Tan EH, Lim DW et al. Real world data on epidermal growth factor receptor (EGFR) tyrosine kinase inhibitors (TKI) use in advanced/metastatic non-small cell lung cancer. Ann Oncol 2018; 29 (Suppl. 9): ix150–ix169. Abs 523P.
- https://clinicaltrials.gov/ct2/show/NCT03778229?term=savannah&draw=2&rank=1
- https://clinicaltrials.gov/ct2/show/NCT03944772?term=ORCHARD&draw=2&rank=1
- NCCN Clinical practice guidelines. NSCLC v2.2020.
- Лактионов К.К., Артамонова Е.В., Бредер В.В. и др. Практические рекомендации по лекарственному лечению немелкоклеточного рака легкого. Злокачественные опухоли. Практические рекомендации RUSSCO #3s2. 2019; 9: 32–48. [Laktionov K.K., Artamonova E.V., Breder V.V. et al. Prakticheskie rekomendatsii po lekarstvennomu lecheniiu nemelkokletochnogo raka legkogo. Zlokachestvennye opukholi. Prakticheskie rekomendatsii RUSSCO #3s2. 2019; 9: 32–48 (in Russian).]
- Практические рекомендации ассоциации онкологов России 2020. http://oncology-association.ru/clinical-guidelines [Prakticheskie rekomendatsii assotsiatsii onkologov Rossii 2020. http://oncology-association.ru/clinical-guidelines (in Russian).]
- Qinghua Xu et al. First-line continual EGFR-TKI plus local ablative therapy demonstrated survival benefit in EGFR-mutant NSCLC patients with oligoprogressive disease. J Cancer 2019; 10 (2): 522–9.
- Park K et al. First-Line Erlotinib Therapy Until and Beyond Response Evaluation Criteria in Solid Tumors Progression in Asian Patients With Epidermal Growth Factor Receptor Mutation-Positive Non-Small-Cell Lung Cancer: The ASPIRATION Study. JAMA Oncol 2016; 2 (3): 305–12.
- Моисеенко В.М. и др. Опыт использования гефитиниба у больных неоперабельным неплоскоклеточным раком легкого с активирующими мутациями EGFR. Вопросы онкологии. 2015; 61 (2): 259–64. [Moiseenko V.M. et al. Opyt ispol’zovaniia gefitiniba u bol’nykh neoperabel’nym neploskokletochnym rakom legkogo s aktiviruiushchimi mutatsiiami EGFR. Voprosy onkologii. 2015; 61 (2): 259–64 (in Russian).]
- Reck M et al. Atezolizumab Plus Bevacizumab and Chemotherapy in Non-Small-Cell Lung Cancer (IMpower150): Key Subgroup Analyses of Patients With EGFR Mutations or Baseline Liver Metastases in a Randomised, Open-Label Phase 3 Trial. Lancet Respir Med 2019; 7 (5): 387–401.
- Leighl NB et al. Patient-reported outcomes from FLAURA: Osimertinib versus erlotinib or gefitinib in patients with EGFR-mutated advanced non-small-cell lung cancer. Eur J Cancer 2020; 125: 49–57.
补充文件






