Клинический случай длительного применения дурвалумаба в лечении распространенного мелкоклеточного рака легкого
- Авторы: Стаценко Г.Б.1, Куракин В.И.1, Плохотенко И.В.1
-
Учреждения:
- БУЗ ОО «Клинический онкологический диспансер»
- Выпуск: Том 22, № 2 (2020)
- Страницы: 112-115
- Раздел: Клинический случай
- Статья получена: 07.07.2020
- Статья одобрена: 07.07.2020
- Статья опубликована: 07.07.2020
- URL: https://modernonco.orscience.ru/1815-1434/article/view/34963
- DOI: https://doi.org/10.26442/18151434.2020.2.200222
- ID: 34963
Цитировать
Полный текст
Аннотация
На протяжении последних нескольких десятилетий в лечении мелкоклеточного рака легкого (МРЛ) не удавалось достигнуть каких-либо значимых успехов. В настоящее время подходы начинают меняться, и в клиническую практику входят ингибиторы контрольных точек иммунного ответа. Применение иммунотерапии в комбинации с химиотерапией в 1-й линии у пациентов с распространенным МРЛ привело к достоверному увеличению общей выживаемости, медиана продолжительности жизни у таких пациентов впервые превысила 1 год. В данной статье представлен клинический случай применения дурвалумаба, моноклонального антитела к PD-L1, в комбинации с этопозидом и карбоплатином у пациента с распространенным МРЛ, принимавшего участие в международном клиническом исследовании CASPIAN. В исследовании CASPIAN более 20% пациентов, получавших дурвалумаб, оставались живы в течение 2 лет и более. В описанном случае также был достигнут длительный контроль заболевания – пациент получал дурвалумаб более 2 лет с хорошей переносимостью.
Полный текст
На долю мелкоклеточного рака легкого (МРЛ) приходится 13–15% всех случаев рака легкого [1, 2], таким образом, согласно эпидемиологическим данным в России каждый год регистрируется около 6 тыс. больных с диагнозом МРЛ [3]. МРЛ характеризуется крайне агрессивным течением и плохим прогнозом: на момент постановки диагноза 60–70% пациентов имеют отдаленные метастазы, локальная стадия диагностируется менее чем у 10% пациентов; 5-летняя выживаемость по данным SEER составляет всего 6,5%, а среди пациентов с отдаленными метастазами – 2,8% [1, 4]. Независимо от стадии, прогноз для пациентов с МРЛ является чаще неудовлетворительным. Медиана выживаемости пациентов с МРЛ без лечения не превышает 2–4 мес [5].
Применение стандартных химиотерапевтических режимов терапии у пациентов с распространенным МРЛ позволяет добиться медианы выживаемости 9–11 мес [4–6]. Стандартом 1-й линии терапии МРЛ на протяжении уже нескольких десятилетий являются комбинированные режимы химиотерапии на основе производных платины, а именно – этопозид в сочетании с цисплатином или карбоплатином [7]. Однако, несмотря на первоначальную высокую чувствительность к химиотерапии (ответ на терапию отмечается у 50–75% пациентов с распространенной стадией), у 80% пациентов c локальной стадией и почти у всех пациентов с распространенным МРЛ развивается рецидив через 4–6 мес [4–6].
В настоящее время подходы к терапии распространенного МРЛ начинают меняться, и в клиническую практику входят иммуноонкологические препараты – ингибиторы контрольных точек иммунного ответа. Иммунотерапия может применяться в монорежиме при рецидивах МРЛ, однако по данным клинических исследований длительный ответ отмечается лишь в 7–12% случаев [8, 9]. Более значимый эффект может быть получен при применении иммунотерапии в комбинации с химиотерапией в 1-й линии. По данным клинического исследования CASPIAN добавление дурвалумаба, моноклонального антитела к PD-L1, к стандартному платиносодержащему режиму 1-й линии терапии распространенного МРЛ привело к достоверному увеличению общей выживаемости (ОВ) по сравнению с применением только химиотерапии [10, 11].
CASPIAN – это рандомизированное открытое многоцентровое сравнительное исследование III фазы по изучению эффективности и безопасности дурвалумаба или комбинации дурвалумаба с тремелимумабом и платиносодержащей химиотерапией (ЕР) в качестве 1-й линии терапии пациентов с распространенным МРЛ, проводимое в заслепленном для спонсора режиме. В исследование включались взрослые пациенты с гистологически или цитологически подтвержденным распространенным МРЛ, ранее не получавшие лечения, с соматическим статусом по шкале Всемирной организации здравоохранения 0–1, имевшие измеримые очаги согласно критериям RECIST 1.1. Допускалось наличие бессимптомных или стабильных метастазов в головном мозге. 805 пациентов были рандомизированы в 3 группы в соотношении 1:1:1 для получения терапии дурвалумаб + ЕР, дурвалумаб + тремелимумаб + ЕР или только ЕР (режим EP: этопозид 80–100 мг/м2 в 1–3-й дни каждого цикла в комбинации с карбоплатином AUC 5–6 или цисплатином 75–80 мг/м2 в 1-й день каждого цикла). В группах иммунотерапии пациенты получали до 4 циклов ЕР в комбинации с дурвалумабом 1500 мг ± тремелимумаб 75 мг каждые 3 нед с последующей поддерживающей терапией дурвалумабом 1500 мг каждые 4 нед до прогрессирования заболевания, в группе химиотерапии – до 6 циклов ЕР каждые 3 нед с последующим профилактическим облучением головного мозга (опционально по решению исследователя). Первичная конечная точка исследования – ОВ. Вторичные конечные точки – выживаемость без прогрессирования (ВБП); частота объективного ответа (ЧОО); безопасность и переносимость; качество жизни, связанное со здоровьем; фармакокинетика; иммуногенность [10].
Согласно данным промежуточного анализа добавление дурвалумаба к химиотерапии привело к статистически значимому увеличению ОВ и снижению риска смерти на 27% (отношение рисков – ОР 0,73; 95% доверительный интервал – ДИ 0,59–0,91; р=0,0047) по сравнению с группой только ЕР. Также было продемонстрировано и преимущество режима дурвалумаб + ЕР по сравнению с применением только ЕР в отношении вторичных конечных точек: ЧОО 67,9% против 57,6% (отношение шансов 1,56); ОР для ВБП 0,78; ВБП через 12 мес – 17,5% против 4,7%. Нежелательные явления 3–4-й степени тяжести были зарегистрированы у 62% пациентов в каждой группе, отмена терапии вследствие развития нежелательных явлений потребовалась у 9% пациентов в каждой группе [10].
Результаты финального анализа, представленные на конгрессе ASCO 2020, подтверждают ранее полученные результаты в группе дурвалумаб + EP. Медиана ОВ в группе дурвалумаб + ЕР составила 12,9 мес по сравнению с 10,5 мес в группе только ЕР, ОР 0,75 (95% ДИ 0,62–0,91; р=0,0032). Двухлетняя ОВ составила 22,2% в группе дурвалумаб + ЕР против 14,4% в группе только ЕР [11].
В исследовании CASPIAN принимали участие 209 центров из 23 стран, включая Россию. В центре 6214 (Россия, г. Омск) были включены 22 пациента, рандомизированы 18 пациентов, 4 не прошли скрининг. Результаты лечения одного из пациентов, включенных в исследование, представлены ниже.
Клинический случай
Пациент: мужчина 1934 г. р., в анамнезе неходжкинская лимфома с поражением лимфоузлов шеи, по поводу которой было проведено 6 курсов полихимиотерапии (ПХТ) по схеме циклофосфан + винкристин + преднизолон (СОР). С 2012 г. пациент находился под регулярным динамическим наблюдением, признаков прогрессирования заболевания зафиксировано не было.
История болезни
С лета 2017 г. появились жалобы на кашель, в сентябре обратился на прием к торакальному онкологу. По результатам фибробронхоскопии выявлено злокачественное новообразование правого легкого (перибронхиальный вариант). Эндоскопические признаки поражения бифуркационных лимфоузлов.
Установлен диагноз: центральное злокачественное новообразование правого легкого T4N3M0. Стадия 3B. Клиническая группа II. Мелкоклеточная карцинома.
Учитывая гистологический диагноз и степень распространенности процесса пациенту предложено участие в исследовании CASPIAN.
С октября 2017 г. пациент начал получать терапию в рамках протокола: проведено 4 курса ПХТ по схеме этопозид 90 мг/м2 + карбоплатин AUC 5 (ЕР) + дурвалумаб 1500 мг, далее переведен на поддерживающую терапию дурвалумабом 1500 мг с введением 1 раз в 4 нед. Последнее введение дурвалумаба в январе 2020 г. (итого 31 введение).
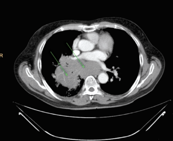
Ответ на терапию оценивался по данным мультиспиральной компьютерной томографии (МСКТ) по двум таргетным очагам: образование в корне правого легкого размерами 93×85×119 мм (очаг №1), конгломерат увеличенных внутригрудных лимфоузлов размерами 65×72×118 мм (очаг №2); рис. 1.
Рис. 1. Пациент 1934 г. р. МСКТ органов грудной клетки с внутривенным контрастированием, сентябрь 2017 г. (до начала лечения).
Fig. 1. The patient, born 1934. MSCT of the chest cavity with contrast, September 2017 (before the treatment).
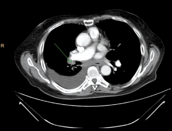
При контрольном обследовании в ноябре 2019 г. (рис. 2) отмечена положительная динамика: уменьшение размеров таргетных очагов до 85×90×100 мм и 54×56×100 мм, новых очагов не обнаружено.
Рис. 2. Пациент 1934 г. р. МСКТ органов грудной клетки с внутривенным контрастированием, ноябрь 2019 г. (через 2 года после начала терапии).
Fig. 2. The patient, born 1934. MSCT of the chest cavity with contrast, November 2019 (two years after the beginning of the therapy).
На фоне проводимого лечения зарегистрированы следующие нежелательные явления, связанные, по мнению исследователей, с химиотерапией: анемия (1-й степени тяжести), тромбоцитопения (1-й степени), нейтропения (1-й степени), алопеция. Иммуноопосредованные нежелательные явления, связанные, по мнению исследователей, с терапией дурвалумабом, включали тиреоидит с манифестацией гипотиреоидизма (до 2-й степени). Пациенту назначен L-тироксин с постепенным повышением дозировки с 25 до 100 мкг/сут, введение дурвалумаба при этом не прекращалось и не приостанавливалось.
По данным на декабрь 2019 г. у пациента отмечалось хорошее самочувствие, по мнению исследователей, сохранялся длительный эффект от получаемого лечения – стабилизация размеров опухоли на протяжении более 2 лет. Переносимость исследуемого режима терапии была удовлетворительной.
В январе 2020 г., через 27 мес после начала терапии, появились жалобы на увеличение лимфоузлов шеи слева, других новых жалоб не было. Заподозрено прогрессирование заболевания. Проведена биопсия лимфоузла в подчелюстной области, морфологический диагноз: фолликулярная лимфома цитологического типа I.
Пациент снят с протокола, так как зарегистрирован рецидив лимфомы. Последнее введение дурвалумаба – 03.01.2020, пациент получил 31 дозу дурвалумаба. Результат МСКТ органов грудной клетки в январе 2020 г. приведен на рис. 3.
Рис. 3. Пациент 1934 г. р. МСКТ органов грудной клетки, январь 2020 г. (после окончания терапии дурвалумабом).
Fig. 3. The patient, born 1934. MSCT of the chest cavity, January 2020 (after the end of durvalumab therapy).
По поводу рецидива лимфомы начата ПХТ по схеме RB (бендамустин, ритуксимаб). С февраля по апрель 2020 г. проведено 4 курса.
При контрольном обследовании в апреле 2020 г. (рис. 4) определяются таргетные очаги примерными размерами 30×29×45 мм (на предыдущей МСКТ 85×90×100 мм) и 12×13×30 мм (на предыдущей МСКТ 54×56×100 мм), в левой подчелюстной области сохраняется объемное образование с четкими ровными контурами размерами до 31×16 мм (ранее 45×45 мм).
Рис. 4. Пациент 1934 г. р. МСКТ органов грудной клетки, апрель 2020 г. (после 4 курсов ПХТ по схеме RB).
Fig. 4. The patient, born 1934. MSCT of the chest cavity, April 2020 (after 4 courses of PCT using RB scheme).
Пациент чувствует себя хорошо, активен, статус ECOG 1. Планируется продолжение лечения по прежней схеме. Рассматривается возможность проведения фибробронхо- скопии с целью реверификации процесса в бронхе (в случае согласия пациента) для уточнения гистологии в повторном биоптате.
Заключение
Впервые при применении ингибиторов контрольных точек иммунного ответа в комбинации с платиносодержащими режимами в 1-й линии терапии медиана ОВ пациентов с распространенным МРЛ превысила 1 год [10, 11]. Эти результаты стали первым значимым успехом в данном направлении за последние более чем 30 лет. Стандарты лечения пациентов с распространенным МРЛ начинают меняться, и комбинированные режимы иммунохимиотерапии уже являются предпочтительными режимами терапии согласно клиническим рекомендациям NCCN (National Comprehensive Cancer Network) [12]. Использование данного подхода в широкой клинической практике может улучшить результаты лечения пациентов с распространенным МРЛ без значительного увеличения токсичности. Данный клинический случай продемонстрировал возможность длительного контроля заболевания у пациента с распространенным МРЛ при применении комбинированного режима иммунохимиотерапии дурвалумаб + ЕР. Длительность терапии дурвалумабом превысила 2 года, при этом у пациента не было подтверждено прогрессирование МРЛ и терапия была прекращена в связи с развившимся рецидивом лимфомы. Это значительно больше медианы ОВ при применении не только стандартных режимов терапии, но и иммунотерапии в комбинации с химиотерапией у таких пациентов. По результатам финального анализа исследования CASPIAN более 20% пациентов, получавших дурвалумаб, остаются живы в течение 2 лет и больше, однако до настоящего времени не было выявлено каких-либо подгрупп пациентов, которые могут получить наибольшую пользу от добавления дурвалумаба к стандартной химиотерапии. Преимущество дурвалумаба было продемонстрировано для всех подгрупп пациентов, независимо от уровня экспрессии PD-L1, наличия метастазов в головной мозг и других характеристик [10, 13, 14]. Возможно, в будущем появятся новые биомаркеры, которые позволят выделить пациентов, наиболее чувствительных к терапии ингибиторами контрольных точек иммунного ответа, у которых будет достигаться длительный ответ на лечение. Но уже сейчас такой подход меняет стандартную практику и дает шанс продлить жизнь пациентам с распространенным МРЛ.
Конфликт интересов. Авторы заявляют об отсутствии конфликта интересов.
Conflict of interests. The authors declare that there is not conflict of interests.
Об авторах
Галина Борисовна Стаценко
БУЗ ОО «Клинический онкологический диспансер»
Автор, ответственный за переписку.
Email: galina.stacenko.00@mail.ru
ORCID iD: 0000-0001-7123-8639
зам. глав. врача
Россия, ОмскВячеслав Игоревич Куракин
БУЗ ОО «Клинический онкологический диспансер»
Email: KurakinVI@mail.ru
ORCID iD: 0000-0002-6580-9607
зав. отд-нием химиотерапии (противоопухолевой лекарственной терапии) №1
Россия, ОмскИрина Валерьевна Плохотенко
БУЗ ОО «Клинический онкологический диспансер»
Email: plokirina@yandex.ru
ORCID iD: 0000-0002-1257-1586
торакальный онколог поликлиники
Россия, ОмскСписок литературы
- SEER Cancer Statistics Review (1975-2016, National Cancer Institute. Bethesda, MD). Eds. N Howlander et al. https://seer.cancer.gov/csr/1975_2016/.
- Barta JA et al. Global Epidemiology of Lung Cancer. Annals of Global Health 2019; 85 (1): 8, 1–16.
- Состояние онкологической помощи населению России в 2018 году. Под ред. А.Д. Каприна, В.В. Старинского, Г.В. Петровой. М.: МНИОИ им. П.А. Герцена – филиал ФГБУ «НМИЦ радиологии» Минздрава России, 2019. [The status of cancer care for the population of Russia in 2018. Pod red. A.D. Kaprina, V.V. Starinskogo, G.V. Petrovoi. Moscow: MNIOI im. P.A. Gertsena – filial FGBU «NMITs radiologii’ Minzdrava Rossii, 2019 (in Russian).]
- Bernhardt EB, Jalal SI. Small Cell Lung Cancer. Cancer Treat Res 2016; 170: 301–22.
- Lampaki S et al. Small Cell Lung Cancer: Current and Future Strategies. Oncomedicine 2016; 1: 4–13.
- Koinis F et al. Small cell lung cancer (SCLC): no treatment advances in recent years. Transl Lung Cancer Res 2016; 5: 39–50.
- Чубенко В.А., Бычков М.Б., Деньгина Н.В. и др. Практические рекомендации по лекарcтвенному лечению мелкоклеточного рака легкого. Злокачественные опухоли: Практические рекомендации RUSSCO #3s2 2019; 9: 49–54. [Chubenko V.A., Bychkov M.B., Den’gina N.V. et al. Prakticheskie rekomendatsii po lekarctvennomu lecheniiu melkokletochnogo raka legkogo. Zlokachestvennye opukholi: Prakticheskie rekomendatsii RUSSCO #3s2 2019; 9: 49–54. (in Russian).]
- Ready N et al. Third-Line Nivolumab Monotherapy in Recurrent SCLC: CheckMate 032. J Thorac Oncol 2019; 14 (2): 237–44.
- Chung H et al. Pembrolizumab After Two or More Lines of Previous Therapy in Patients With Recurrent or Metastatic SCLC: Results From the KEYNOTE-028 and KEYNOTE-158 Studies. J Thorac Oncol 2020; 15 (4): 618–27.
- Paz-Ares L et al. Durvalumab plus platinum-etoposide versus platinum-etoposide in first-line treatment of extensive-stage small-cell lung cancer (CASPIAN): a randomised, controlled, open-label, phase 3 trial. Lancet 2019; 394 (10212): 1929–39.
- Paz-Ares L et al. Durvalumab ± tremelimumab + platinum-etoposide in first-line extensive-stage SCLC (ES-SCLC): Updated Results from the phase III CASPIAN study. J Clin Oncol 2020; 38 (Suppl.): abstr 9002.
- National Comprehensive Cancer Network. NCCN Clinical Practice Guidelines in Oncology (NCCN Guidelines®). Small Cell Lung Cancer. Version 3.2020. February 5, 2020.
- Paz-Ares L et al. PD-L1 expression, patterns of progression and patient-reported outcomes (PROs) with durvalumab plus platinum-etoposide in ES-SCLC: results from CASPIAN. Ann Oncol 2019; 30 (Suppl. 5): v851-v934. 10.1093/annonc/mdz394
- Chen Y et el. First-line durvalumab plus platinum-etoposide in extensive-stage (ES)-SCLC (CASPIAN): Impact of brain metastases on treatment patterns and outcomes. J Clin Oncol 2020; 38 (Suppl.): abstr 9068.
Дополнительные файлы







